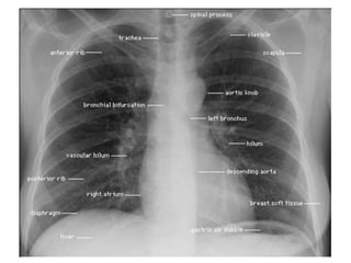
Chest Xray - Views
PA View
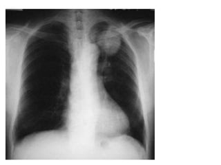
AP view
The clavicles project too high into the apices.
The heart magnified over the mediastinum.
The ribs will appear distorted or unnaturally
horizontal
Pulmonary markings decresed visibility
Blunting of costophrenic angles
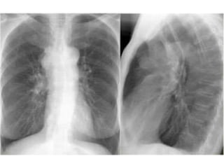
Lateral View

Position
Seen in : ant mediastinal
masses, encysted pleural fluid, post
basal consolidation
Other Views
• Decubitus - useful for differentiating
  pleural effusions from consolidation
  (e.g. pneumonia) ; Loculated
  effusions from free fluid in the
  pleura.
• Expiratory view and Inspiratory views
Demonstrates Air trapping and diaphragm
  movement
Exp : pneumothorax and interstitial shadowing
• Lordotic view
Clavicles projected up
Pancoast Tumour
• Apical View

50 to 60 degrees
• Oblique view
Retrocardiac area
Posterior costophrenic angle
Chest wall
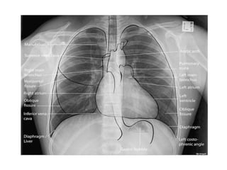
Normal Chest X-Ray
Scheme of viewing PA film
1. Request form                Name ,age, sex, date, clinical information
2. Technical                   View
                               Centering, patient position
                               Side Markers
                               Adequate inspiration
                               Exposure/Penetrance



3. Soft tissue and bony cage   Subcutaneous emphysema, fractures
4.Trachea                      Position, Outline
5. Heart and Mediastinum       Shape , Size, Displacement
6.Diaphragms                   Outline ,Shape , Relative position
7.Pleural spaces               Position of horizontal fissure,
                               costophrenic and cardiophrenic angles
8.Lungs                        Local , generalized abnormalities,
                               comparison of translucency and vascular
                               marking sof the lungs
9.Hidden areas            Apices, Posterior sulcus, Mediastinum,
                          Hila, Bones
10. Hila                  Density, Position, Shape
11. Below the Diaphragm   Gas shadows, Calcification
PA VIEW                            AP VIEW
• Chin up , shoulders rotated    • Taken in cases when patient
  forward, taken in full           is too ill to stand
  inspiration
• With plate in front of chest   • Film is placed behind the
  and back to the X-ray            back and x-ray exposure
  machine                          from front .

• Scapula away from the          • Scapula closer to the lung
  upper lung fields                fields
• Clavicles less apically        • Clavicles less apically
  displaced                        displaced
• Vertebral neural arches        • Vertebral disc spaces seen
  seen                             better
                                 • Relative cardiomegaly
Technical aspects of viewing a PA film
• Centering – medial ends of clavicle equidistant from
  spinous process at t4/5- always look for gastric
  bubble,aortic arch and heart to confirm normal situs.

• Penetration – disc spaces+vertebral bodies visible
  down to t8/9

• Degree of Inspiration – full inspiration ant. Ends of 6th
  rib or post ends of the 10th rib on right
  hemidiaphragm. On expiration larger cardiac shadow
  and basal opacity due to crowding of normal vascular
  markings.
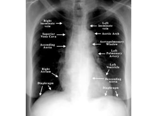
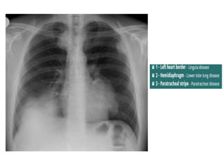
Trachea
• Upper part- midline
• Lower part- deviates slightly around aortic
  knuckle- marked on expiration
• Left bronchus not clearly visualized due to
  aorta
• 25mm in males , 21 mm in females
• Right paratracheal stripe- 60% N- 5mm
• Angle of carina- 60 -75 degrees
Mediastinum and Heart
• Mediastinum, Heart, Spine , Sternum
• Cardiothoracic ratio – less than 50% in PA and
  less than 60% in AP. Increased in AP and
  expiration
• Right and Left heart borders formed
• Thymus- triangular Sail shaped structure –
  Wave sign of Mulvey
Diaphragm
• Right higher than left
• Normal position of diaphragm, higher in
  supine
• Curves which steepen towards chest wall-
  costophrenic angles are acue
• Cardiophrenic angles may be blunted due to
  presence of fat pads
The Fissures
• Horizontal fissure seen often incompletely
  running from the hilum to the region of the
  sixth rib
• Fissures seen clearly seen on lateral view
• Accessory fissure- Azygos fissure comma
  shaped right sided triangular based
  peripherally
Lungs
• Hidden areas- Apices, Mediastinum and hila,
  Diaphragms, Bones
• Hila- 97% left higher than right., Clearly
  defined borders –concave lateral borders-
  mainly formed by pulmonary areteries and
  upper lobe veins. Lymph nodes not normal
• Bronchovascular markings seen upto – 2/3rd of
  the lung field
• Lymphatics – normally not seen
Lung zones
• When describing the lungs divide them into three zones -
  upper, middle and lower.

• Each of these zones occupies approximately one third of
  the height of the lungs.

• The lung zones do not equate to the lung lobes.

• Upper zone- from 2nd costal cartilage to axilla
• Middle zone- between 2nd and 4th costal cartilage.
• Lower zone- below 4th costal cartilage.
Lymph Nodes
• Bronchopulmonary( hilar) nodes – appear as
  hilar masses
• Carinal nodes- widening of the carinal angle
• Tracheobronchial nodes- right paramedian
  stripe
• Anterior, Posterior, Paratracheal, parietal
Below the diaphragm
• Gas
• Chilaiditis syndrome
Soft tissue and Bony Cage
• Breasts may partially obscure the lungs.
• Skin folds tend to be confused with consolidation
  as they overlap the lung fields

•   Sternum
•   Clavicle
•   Scapulae
•   Ribs- rib notching
•   Spine- check bone and rib destruction
ABCDEFGHI!!
•   Bones and Soft tissue
•   Airway
•   Cardiac Silhouette, Mediastinum.
•   Diaphragms
•   Effusion
•   Fields of lung
•   Gastric Air Bubble
•   Hilum
•   Instruments.
Line shadows

By: Michelle Rasiah
Introduction
• Normal blood vessels and fissures form linear
  shadows
• Certain lung diseases also form linear shadows
• Linear shadow  < 5 mm wide
• Band shadow  > 5 mm thick
Causes for linear shadows
•   Kerley’s lines
•   Plate-like atelectasis
•   Pulmonary infarcts
•   Thickened fissures
•   Pulmonary / pleural scars
•   Bronchial wall thickening
•   Sentinel lines
•   Curvilinear shadows
•   Anamolous vessels
•   Artefacts
•   Bronchoceles
Kerley lines
• Pulmonary lymphatics are usually not visible
• Lymphatics drain the interstitial fluid and foreign particles
• They run in the interlobular septa and drain to the hilum
• Thickened lymphatics and surrounding connective tissue =
  Kerley lines
• Divided into 3 types
   – Kerley A lines – thickened deep septa
   – Kerley B lines – thickened interlobular septa
   – Kerley C lines
Formation of Kerley B lines
 Acinus
    5 - 6 mm in diameter
    alveoli, alveolar duct, resp. bronchiole




           3 - 5 acini = secondary
              pulmonary lobule



          Each lobule is separated
           by septa (interlobular
                  septa)



    Thickening of these septa = Kerley B
                    lines
Types
       Kerley A line             Kerley B line                    Kerley C line
Thin                      Thin, transverse, faint         Fine
Non branching             Non branching                   Interlacing lines
2 – 6 cm long             1 -3 cm long                    Seen throughout lung
1 – 2 mm thick            1- 2 mm thick                   “Spider web” like
                                                          appearance
Radiating from hila       Lateral part of lung base
                          extending to pleura
                          (common in costophrenic
                          angle)
not following course of   Frequently seen than A &C
artery, vein or bronchi   lines

                          Lines arranged in step
                          ladder like pattern (0.5 to 1
                          cm apart)
                          ALWAYS perpendicular to
                          pleural surface
• Kerley B lines can be:
      Transient            Persistent

      Pulmonary edema      Dilated lymphatics
                           Chronic interstitial edema
                           Hemosiderin dust deposition
                           Interstitial fibrosis




• They are present in the base of the lung due
  to hydrostatic pressure and gravity
Disk atelectasis
    Impaired diaphragmatic motion




            Underventilation




Collapse of small pulmonary sub divisions




       Fleischner line formation
Differentiation
     Fleischner’s lines           Kerley B lines               Linear scars
Fewer in number (1 -2)     More in number               May show fine strands
                                                        emanating from borders

Irregularly placed         Regularly placed (0.5 to 1   Associated pleural effusion
                           cm gaps)

Located deep in lung       Superficial                  Permanent
Thicker                    Thin
Thickening of fissures
Mucous filled bronchi
NODULAR LESIONS

VINYAS NISARGA(080201014)
• Nodular lesions could be classified as
1. solitary pulmonary nodules
2. Multiple pulmonary nodules
• Solitary nodule is defined as an x-ray density completely surrounded by
     normal aerated lung with circumscribed margins of any shape usually 1-
     6cm in greatest diameter.
• If its <3cm → ‘Coin lessions’
• If > 3cm → masses
Cannon ball lesions:Multiple nodules, widely disseminated,usually
     multiple, clearly demarcated 1- 2cm in diameter circular shadows
     throughout the lung fields (characteristic of secondary deposits)
Milliary shadows : Multiple small shadows 2-4mm in diameter
Solitary pulmonary nodule causes
Malignant
• Primary nodule
• Secondary nodule
• Lymphoma
• Plasmacytoma
• Alveolar cell carcinoma
Benign
• Hamartoma
• Adenoma
• Connective tissue tumours
Granuloma
• Tuberculosis
• Histoplasmosis
• Paraffinoma
• Sarcoidosis
Infection
• Round pneumonia
• Abscess
• Hydatid
• Amoebic
• Fungi
• Parasites
Others
• Pulmonary haematoma, Pulmonary infarct
• Collagen diseases-Rheumatoid arthritis, Wegener's granulomatosis
• Congenital-Bronchogenic cyst, Sequestrated segmen,Congenital bronchial
    atresia , AVM
• impacted mucus
• Amyloidosis, Intrapulmonary lymph node
• Pleural- fibroma, tumor, loculated fluid
Multiple nodules
Tumours
• Benign-hamartoma, laryngeal papillomatosis
• Malignant-metastases, lymphoma
Infection
• Granuloma-tuberculosis, histoplasmosis, fungi i
• Round pneumonia
• Abscesses
• Hydatid cysts
Inflammatory
• Caplan's syndrome
• Wegener's granulomatosis
• Sarcoidosis
• Drugs
Vascular
• Arteriovenous malformations
• Haematomas
• Infarcts
Miscellaneous
• Mucus impaction
• Amyloidosis
Multiple nodules –canonball appaernace (choriocarcnoma)
Metastatic lesions
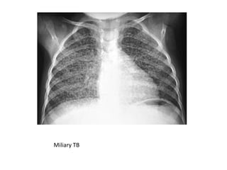
Miliary TB
Tuberculoma: It appears Round or oval, sharply circumscribed nodule that is
seldom more than 4 cm in diameter. Central calcification and satellite
lesions are common, as is calcification of hilar lymph nodes.




                        This X-ray shows :Single smooth, well-defined
                        pulmonary nodule in the left upper lobe. In the
                        absence of a central nidus of calcification, this
                        appearance is indistinguishable from that of a
                        malignancy.
TUBERCULOMA:(A) Frontal and (B) lateral views of the chest show a large
left lung soft-tissue mass (arrows) containing dense central calcification
Rheumatoid nodules




Large nodules in pulmonary parenchyma bilaterally
present, discrete similar to opacities of metastatic lesions –
Rhuematoid arthritis
Bronchogenic Carcinoma




Carcinoma of bronchus. A large, round soft-tissue mass is
present at the right apex. Blunting of the right costophrenic angle is due to
a small pleural effusion.
Hamartoma-popcorn calcification
Histoplasmosis-calcified
granuloma(coin lesion)
Pulmonary infarction




Chest radiograph with ‘classical’        Chest X ray after 4 days, prior
appearance of a pulmonary infarction –   to treatment, showing massive
a wedge-shaped lesion peripherally set   increase in volume of lesion.
against the pleura
Lung abscess (air fluid level)
Alveolar Shadows

     Neena S
Air-space (Acinar/alveolar) pattern
• When distal airways and alveoli are filled with
  fluid, whether it is a transudate, exudate or
  blood, acinus forms a nodular 4-8mm shadow.
• These coalesce into fluffy ill-defined round or
  irregular cotton-wool shadows.
• Non-segmental, homogenous or patchy, but
  frequently well defined adjacent to fissures.
Cont…
• Vascular markings usually obscured locally.
• Air bronchogram and silhouette sign are
  characteristic
• Ground-glass appearance of generalised
  homogenous haze with a “bat’s wing” or
  “butterfly” perihilar distribution may be seen,
  sparing the peripheral lungs.
Silhouette Sign
• An intrathoracic lesion touching a border of
  the heart, aorta, or diaphragm will obliterate
  that border on the radiograph.
• An intrathoracic lesion not anatomically
  continous with a border of one of these
  structures will not obliterate that border.
• Eg. Lower lobe pneumonia, disease of lingula
Causes of air space filling
•   Pulmonary edema
                                          • Alveolar blood
      – Cardiac
      – Non-cardiac                          – Pulmonary haemorrhage
            • Hypoalbuminemia                – Goodpasture’s syndrome
            • Uraemia                        – Pulmonary infarction
            • ARDS
                                          • Tumours
            • Mendelson’s syndrome
            • Heroin overdose                – Alveolar cell carcinoma
•   Infections                               – Lymphoma, leukaemia
      – Localised                            – Metastatic adenocarcinoma
      – Generalised eg.
         Pneumocystis, parasites, fungi   • Miscellaneous
•   Neonatal                                 – Alveolar proteinosis
      – Aspiration                           – Eosinophilic lung
      – Hyaline membrane disease             – Sarcoidosis
                                             – Amyloidosis
                                             – Wegener’s granulomatosis
                                             – Allergic bronchopulmonary
                                                aspergillosis
Pulmonary Edema
• Produces air space opacities with variable
  distribution.
• Sparing of the apices and extreme lung bases.
• “Butterfly” or “Bat wings” distribution – central
  lungs affected more.
• With progression – opacities coalesce to form a
  “white-out” on chest radiograph.
• Blurring of blood vessels occurs.
• Air bronchogram – indicating intra alveolar
  edema.
picture
Radiologic signs of collapse

                 Preethi .N.B
The term collapse is used when a whole lobe or lung is involved.

Atelectesis is defined as diminished volume
affecting all or part of a lung, whichmay or may
not include loss of normal lucency in the affected
part of lung .
Pulmonary atelectasis can be divided into six
types, based on mechanism: resorptive, adhesive,
compressive, passive, cicatrization, and gravity-
dependent
LOBAR ATELECTASIS
Radiologic signs of lobar atelectasis :- Direct
or Indirect .
Direct signs include increased opacification
of the airless lobe and displacement of
fissures.
Indirect signs include displacement of hilar and
cardiomediastinal structures toward the side of
collapse, narrowing of the ipsilateral intercostal
spaces, elevation of the ipsilateral
hemidiaphragm, compensatory hyperinflation
and hyperlucency of the remaining aerated
lung, and obscuration or desilhouetting of the
structures adjacent to the collapsed lung
(eg, diaphragm and heart borders). Additional
radiologic features vary according to the site of
atelectasis.
RADIOLOGY OF PLEURAL
      DISEASES
           Nikitha James
           080201018
PLEURAL EFFUSION
• Pleural effusion initially manifests as basal
  peripheral opacities that first fill the costo-
  phrenic angle.
Curve Of Ellis
Massive Pleural Effusion
Pneumothorax
• Chest X-ray PA view shows
  – Sharply defined edge of the deflated lung
  – Complete translucency between the lung and the
    chestwall.
Tension Pneumothorax
RADILOGICAL FEATURES OF
     CONSILIDATION
Consolidation
 Consolidation- replacement of air in one or more acini
  by fluid or solid material, but does not imply a
  particular pathology or etiology.
 Communications between the terminal airways allows
  fluid to spread between adjacent acini- responsible for
  larger area of involvement
 Commonest causes
    Acute inflammatory exudate from pneumonia.
    Non cardiogenic pulmonary oedema
    Cardiogenic pulmonary oedema
    Hemorrhage
    Aspiration
Radiologic features
 AIR BRONCHOGRAM-
 contrast between the column of air which is
  present in the airway and the surrounding
  opaque acini
 Normally the lung fields are radioluscent and the
  bronchi are not separately visualised
 But when, there is opacification of the alveoli due
  to various reasons (eg: fluid accumulation is
  pulmonary oedema)the bronchi stand out as
  radiolucent in contrast to the adjacent alveoli
  that are radio opaque
an x-ray for a patient with right middle
zone consolidation and demonstrates
           air bronchograms
Silhouette sign: If the airspace adjacent to one
 of the normal mediastinal or diaphragmatic
 contours is filled with dense material i.e.
 consolidated, then the normal air-soft tissue
 interface is lost and the normally seen edge of
 the silhouette disappears
.
Upper lobe consolidation
Middle and Lower lobe consolidation
Left lower lobe consolidation
Chest X Ray in Mediastinal
         Lesions
                    Manasa
• On the lateral
  radiograph
• drawing an imaginary
  line anterior to the
  trachea and
  posteriorly to the
  inferior vena cava.
• The middle and
  posterior
  compartments can be
  separated by an
  imaginary line passing
  1 cm posteriorly to the
  anterior border of the
  vertebral bodies.
• Approximately 60% of all mediastinal masses arise in the
  anterior mediastinum, 25% appear in the posterior
  mediastinum, and 15% occur in the middle mediastinum
• Most masses (> 60%) are:
   –   Thymomas
   –   Neurogenic Tumors
   –   Benign Cysts
   –   Lymphadenopathy
• In children the most common (> 80%) are:
   – Neurogenic tumors
   – Germ cell tumors
   – Foregut cysts
• In adults the most common are:
   –   Lymphomas
   –   Lymphadenopathy
   –   Thymomas
   –   Thyroid masses
Superior mediastinum
•   origins of the Sternohyoid and Sternothyroid
•   the aortic arch
•   the innominate artery
•   the thoracic portions of the left common carotid and
    the left subclavian arteries
•   the innominate veins
•   the upper half of the superior vena cava
•   the left highest intercostal vein
•   the vagus, cardiac, phrenic, and left recurrent nerves;
    the trachea, esophagus, and thoracic duct;
•   the remains of the thymus, and
•   some lymph glands
LUNG MASS OR MEDIASTINAL MASS ?




• A lung mass abutts the mediastinal surface and creates
  acute angles with the lung, while a mediastinal mass will
  sit under the surface creating obtuse angles with the lung
Anterior Mediastinum
• loose areolar tissue,
• some lymphatic vessels which ascend from
  the convex surface of the liver,
• two or three anterior mediastinal lymph
  glands
• small mediastinal branches of the internal
  mammary artery.
Anterior Mediastinum
Signs
Obliterated retrosternal clear space
Obliterated cardiophrenic angle
Hilum overlay sign
• Hilum Overlay Sign
• When there is a mediastinal mass and you still
  can see the hilar vessels through this mass,
  then you know the mass does not arise from
  the hilum.
  This is known as the hilum overlay sign.
  Because of the geometry of the mediastinum
  most of these masses will be located in the
  anterior mediastinum.
• The four T's make up the mnemonic for
  anterior mediastinal masses:
• Thymoma (myasthenia, upper anterior
  mediatinum)
• Teratoma (germ cell)
• Thyroid
• Terrible Lymphoma
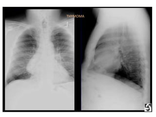
THYMOMA



• thymoma
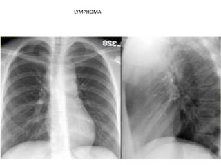
LYMPHOMA
Middle Mediastinum
It contains
• The heart enclosed in the   • the bifurcation of the
    pericardium                 trachea and the two
• the ascending aorta           bronchi
• the lower half of the       • the phrenic nerves
    superior vena cava with   • some bronchial lymph
    the azygos vein opening     glands.
    into it
• the pulmonary artery
    dividing into its two
    branches
• the right and left
    pulmonary veins
Middle Mediastinum
Signs
Widened paratracheal stripes
AP window mass
Displaced azygoesophageal recess on the right
Lateral ‘doughnut’
• Adenopathy
  Infection (fungal and mycobacterial)
  Neoplasm (bronchogenic
  carcinoma, metastases, lymphoma, leukemia)
  Sarcoidosis
• Aneurysm/vascular
• Abnormalities of development
  Bronchogenic cyst
  Pericardial cyst
  Esophageal duplication cyst
• Saccular aortic aneurysm
BRONCHOGENIC CYST
Posterior Mediastinum
•   Thoracic part of the descending aorta
•   the azygos and the two hemiazygos veins
•   the vagus and splanchnic nerves,
•   the esophagus
•   the thoracic duct
•   some lymph glands.
Common                          • Mesenchymal tumor
• Neural tumors                   (fibroma, lipoma, leiomyoma
• Neurogenic                      , hemangioma, lymphangio
   (neuroblastoma, ganglioneu     ma)
   roma, ganglioneuroblastom    • Abscess
   a)                           • Pancreatic pseudocyst
• Nerve root tumors             • Esophageal varices
   (schwannoma, neurofibrom     • Hematoma
   a, malignant schwannoma)
Less common                     • Traumatic
• Paraganglionic cell tumors    • pseudomeningocele
   (chemodectoma, pheochro      • Bochdalek hernia
   mocytoma)                    • Extramedullary
• Spinal tumor                    hematopoiesis
   (metastases, primary bone    • Descending thoracic aortic
   tumor)                         aneurysm
• Lymphoma
• Invasive thymoma
On conventional radiographs look for:
• Cervicothoracic Sign
• Widening of the paravertebral stripes
• Cervicothoracic sign
• The anterior mediastinum stops at the level of
  the superior clavicle.
  Therefore, when a mass extends above the
  superior clavicle, it is located either in the neck or
  in the posterior mediastinum.
  When lung tissue comes between the mass and
  the neck, the mass is probably in the posterior
  mediastinum.
  This is known as the Cervicothoracic Sign.
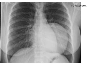
SCHWANNOMA
Chest x rays
Chest x rays

Chest x rays

  • 1.
  • 2.
  • 6.
    AP view The claviclesproject too high into the apices. The heart magnified over the mediastinum. The ribs will appear distorted or unnaturally horizontal Pulmonary markings decresed visibility Blunting of costophrenic angles
  • 8.
    Lateral View Position Seen in: ant mediastinal masses, encysted pleural fluid, post basal consolidation
  • 10.
    Other Views • Decubitus- useful for differentiating pleural effusions from consolidation (e.g. pneumonia) ; Loculated effusions from free fluid in the pleura.
  • 13.
    • Expiratory viewand Inspiratory views Demonstrates Air trapping and diaphragm movement Exp : pneumothorax and interstitial shadowing
  • 14.
    • Lordotic view Claviclesprojected up Pancoast Tumour
  • 16.
    • Apical View 50to 60 degrees
  • 17.
    • Oblique view Retrocardiacarea Posterior costophrenic angle Chest wall
  • 18.
  • 19.
    Scheme of viewingPA film 1. Request form Name ,age, sex, date, clinical information 2. Technical View Centering, patient position Side Markers Adequate inspiration Exposure/Penetrance 3. Soft tissue and bony cage Subcutaneous emphysema, fractures 4.Trachea Position, Outline 5. Heart and Mediastinum Shape , Size, Displacement 6.Diaphragms Outline ,Shape , Relative position 7.Pleural spaces Position of horizontal fissure, costophrenic and cardiophrenic angles 8.Lungs Local , generalized abnormalities, comparison of translucency and vascular marking sof the lungs
  • 20.
    9.Hidden areas Apices, Posterior sulcus, Mediastinum, Hila, Bones 10. Hila Density, Position, Shape 11. Below the Diaphragm Gas shadows, Calcification
  • 21.
    PA VIEW AP VIEW • Chin up , shoulders rotated • Taken in cases when patient forward, taken in full is too ill to stand inspiration • With plate in front of chest • Film is placed behind the and back to the X-ray back and x-ray exposure machine from front . • Scapula away from the • Scapula closer to the lung upper lung fields fields • Clavicles less apically • Clavicles less apically displaced displaced • Vertebral neural arches • Vertebral disc spaces seen seen better • Relative cardiomegaly
  • 23.
    Technical aspects ofviewing a PA film • Centering – medial ends of clavicle equidistant from spinous process at t4/5- always look for gastric bubble,aortic arch and heart to confirm normal situs. • Penetration – disc spaces+vertebral bodies visible down to t8/9 • Degree of Inspiration – full inspiration ant. Ends of 6th rib or post ends of the 10th rib on right hemidiaphragm. On expiration larger cardiac shadow and basal opacity due to crowding of normal vascular markings.
  • 28.
    Trachea • Upper part-midline • Lower part- deviates slightly around aortic knuckle- marked on expiration • Left bronchus not clearly visualized due to aorta • 25mm in males , 21 mm in females • Right paratracheal stripe- 60% N- 5mm • Angle of carina- 60 -75 degrees
  • 29.
    Mediastinum and Heart •Mediastinum, Heart, Spine , Sternum • Cardiothoracic ratio – less than 50% in PA and less than 60% in AP. Increased in AP and expiration • Right and Left heart borders formed • Thymus- triangular Sail shaped structure – Wave sign of Mulvey
  • 32.
    Diaphragm • Right higherthan left • Normal position of diaphragm, higher in supine • Curves which steepen towards chest wall- costophrenic angles are acue • Cardiophrenic angles may be blunted due to presence of fat pads
  • 34.
    The Fissures • Horizontalfissure seen often incompletely running from the hilum to the region of the sixth rib • Fissures seen clearly seen on lateral view • Accessory fissure- Azygos fissure comma shaped right sided triangular based peripherally
  • 35.
    Lungs • Hidden areas-Apices, Mediastinum and hila, Diaphragms, Bones • Hila- 97% left higher than right., Clearly defined borders –concave lateral borders- mainly formed by pulmonary areteries and upper lobe veins. Lymph nodes not normal • Bronchovascular markings seen upto – 2/3rd of the lung field • Lymphatics – normally not seen
  • 36.
    Lung zones • Whendescribing the lungs divide them into three zones - upper, middle and lower. • Each of these zones occupies approximately one third of the height of the lungs. • The lung zones do not equate to the lung lobes. • Upper zone- from 2nd costal cartilage to axilla • Middle zone- between 2nd and 4th costal cartilage. • Lower zone- below 4th costal cartilage.
  • 37.
    Lymph Nodes • Bronchopulmonary(hilar) nodes – appear as hilar masses • Carinal nodes- widening of the carinal angle • Tracheobronchial nodes- right paramedian stripe • Anterior, Posterior, Paratracheal, parietal
  • 38.
    Below the diaphragm •Gas • Chilaiditis syndrome
  • 41.
    Soft tissue andBony Cage • Breasts may partially obscure the lungs. • Skin folds tend to be confused with consolidation as they overlap the lung fields • Sternum • Clavicle • Scapulae • Ribs- rib notching • Spine- check bone and rib destruction
  • 42.
    ABCDEFGHI!! • Bones and Soft tissue • Airway • Cardiac Silhouette, Mediastinum. • Diaphragms • Effusion • Fields of lung • Gastric Air Bubble • Hilum • Instruments.
  • 44.
  • 45.
    Introduction • Normal bloodvessels and fissures form linear shadows • Certain lung diseases also form linear shadows • Linear shadow  < 5 mm wide • Band shadow  > 5 mm thick
  • 46.
    Causes for linearshadows • Kerley’s lines • Plate-like atelectasis • Pulmonary infarcts • Thickened fissures • Pulmonary / pleural scars • Bronchial wall thickening • Sentinel lines • Curvilinear shadows • Anamolous vessels • Artefacts • Bronchoceles
  • 47.
    Kerley lines • Pulmonarylymphatics are usually not visible • Lymphatics drain the interstitial fluid and foreign particles • They run in the interlobular septa and drain to the hilum • Thickened lymphatics and surrounding connective tissue = Kerley lines • Divided into 3 types – Kerley A lines – thickened deep septa – Kerley B lines – thickened interlobular septa – Kerley C lines
  • 48.
    Formation of KerleyB lines Acinus  5 - 6 mm in diameter  alveoli, alveolar duct, resp. bronchiole 3 - 5 acini = secondary pulmonary lobule Each lobule is separated by septa (interlobular septa) Thickening of these septa = Kerley B lines
  • 50.
    Types Kerley A line Kerley B line Kerley C line Thin Thin, transverse, faint Fine Non branching Non branching Interlacing lines 2 – 6 cm long 1 -3 cm long Seen throughout lung 1 – 2 mm thick 1- 2 mm thick “Spider web” like appearance Radiating from hila Lateral part of lung base extending to pleura (common in costophrenic angle) not following course of Frequently seen than A &C artery, vein or bronchi lines Lines arranged in step ladder like pattern (0.5 to 1 cm apart) ALWAYS perpendicular to pleural surface
  • 51.
    • Kerley Blines can be: Transient Persistent Pulmonary edema Dilated lymphatics Chronic interstitial edema Hemosiderin dust deposition Interstitial fibrosis • They are present in the base of the lung due to hydrostatic pressure and gravity
  • 52.
    Disk atelectasis Impaired diaphragmatic motion Underventilation Collapse of small pulmonary sub divisions Fleischner line formation
  • 54.
    Differentiation Fleischner’s lines Kerley B lines Linear scars Fewer in number (1 -2) More in number May show fine strands emanating from borders Irregularly placed Regularly placed (0.5 to 1 Associated pleural effusion cm gaps) Located deep in lung Superficial Permanent Thicker Thin
  • 55.
  • 56.
  • 57.
  • 58.
    • Nodular lesionscould be classified as 1. solitary pulmonary nodules 2. Multiple pulmonary nodules • Solitary nodule is defined as an x-ray density completely surrounded by normal aerated lung with circumscribed margins of any shape usually 1- 6cm in greatest diameter. • If its <3cm → ‘Coin lessions’ • If > 3cm → masses Cannon ball lesions:Multiple nodules, widely disseminated,usually multiple, clearly demarcated 1- 2cm in diameter circular shadows throughout the lung fields (characteristic of secondary deposits) Milliary shadows : Multiple small shadows 2-4mm in diameter
  • 59.
    Solitary pulmonary nodulecauses Malignant • Primary nodule • Secondary nodule • Lymphoma • Plasmacytoma • Alveolar cell carcinoma Benign • Hamartoma • Adenoma • Connective tissue tumours Granuloma • Tuberculosis • Histoplasmosis • Paraffinoma • Sarcoidosis
  • 60.
    Infection • Round pneumonia •Abscess • Hydatid • Amoebic • Fungi • Parasites Others • Pulmonary haematoma, Pulmonary infarct • Collagen diseases-Rheumatoid arthritis, Wegener's granulomatosis • Congenital-Bronchogenic cyst, Sequestrated segmen,Congenital bronchial atresia , AVM • impacted mucus • Amyloidosis, Intrapulmonary lymph node • Pleural- fibroma, tumor, loculated fluid
  • 61.
    Multiple nodules Tumours • Benign-hamartoma,laryngeal papillomatosis • Malignant-metastases, lymphoma Infection • Granuloma-tuberculosis, histoplasmosis, fungi i • Round pneumonia • Abscesses • Hydatid cysts Inflammatory • Caplan's syndrome • Wegener's granulomatosis • Sarcoidosis • Drugs
  • 62.
    Vascular • Arteriovenous malformations •Haematomas • Infarcts Miscellaneous • Mucus impaction • Amyloidosis
  • 63.
    Multiple nodules –canonballappaernace (choriocarcnoma) Metastatic lesions
  • 64.
  • 65.
    Tuberculoma: It appearsRound or oval, sharply circumscribed nodule that is seldom more than 4 cm in diameter. Central calcification and satellite lesions are common, as is calcification of hilar lymph nodes. This X-ray shows :Single smooth, well-defined pulmonary nodule in the left upper lobe. In the absence of a central nidus of calcification, this appearance is indistinguishable from that of a malignancy.
  • 66.
    TUBERCULOMA:(A) Frontal and(B) lateral views of the chest show a large left lung soft-tissue mass (arrows) containing dense central calcification
  • 67.
    Rheumatoid nodules Large nodulesin pulmonary parenchyma bilaterally present, discrete similar to opacities of metastatic lesions – Rhuematoid arthritis
  • 68.
    Bronchogenic Carcinoma Carcinoma ofbronchus. A large, round soft-tissue mass is present at the right apex. Blunting of the right costophrenic angle is due to a small pleural effusion.
  • 69.
  • 70.
  • 71.
    Pulmonary infarction Chest radiographwith ‘classical’ Chest X ray after 4 days, prior appearance of a pulmonary infarction – to treatment, showing massive a wedge-shaped lesion peripherally set increase in volume of lesion. against the pleura
  • 72.
    Lung abscess (airfluid level)
  • 73.
  • 74.
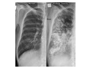
    Air-space (Acinar/alveolar) pattern •When distal airways and alveoli are filled with fluid, whether it is a transudate, exudate or blood, acinus forms a nodular 4-8mm shadow. • These coalesce into fluffy ill-defined round or irregular cotton-wool shadows. • Non-segmental, homogenous or patchy, but frequently well defined adjacent to fissures.
  • 75.
    Cont… • Vascular markingsusually obscured locally. • Air bronchogram and silhouette sign are characteristic • Ground-glass appearance of generalised homogenous haze with a “bat’s wing” or “butterfly” perihilar distribution may be seen, sparing the peripheral lungs.
  • 77.
    Silhouette Sign • Anintrathoracic lesion touching a border of the heart, aorta, or diaphragm will obliterate that border on the radiograph. • An intrathoracic lesion not anatomically continous with a border of one of these structures will not obliterate that border. • Eg. Lower lobe pneumonia, disease of lingula
  • 79.
    Causes of airspace filling • Pulmonary edema • Alveolar blood – Cardiac – Non-cardiac – Pulmonary haemorrhage • Hypoalbuminemia – Goodpasture’s syndrome • Uraemia – Pulmonary infarction • ARDS • Tumours • Mendelson’s syndrome • Heroin overdose – Alveolar cell carcinoma • Infections – Lymphoma, leukaemia – Localised – Metastatic adenocarcinoma – Generalised eg. Pneumocystis, parasites, fungi • Miscellaneous • Neonatal – Alveolar proteinosis – Aspiration – Eosinophilic lung – Hyaline membrane disease – Sarcoidosis – Amyloidosis – Wegener’s granulomatosis – Allergic bronchopulmonary aspergillosis
  • 80.
    Pulmonary Edema • Producesair space opacities with variable distribution. • Sparing of the apices and extreme lung bases. • “Butterfly” or “Bat wings” distribution – central lungs affected more. • With progression – opacities coalesce to form a “white-out” on chest radiograph. • Blurring of blood vessels occurs. • Air bronchogram – indicating intra alveolar edema.
  • 81.
  • 82.
    Radiologic signs ofcollapse Preethi .N.B
  • 83.
    The term collapseis used when a whole lobe or lung is involved. Atelectesis is defined as diminished volume affecting all or part of a lung, whichmay or may not include loss of normal lucency in the affected part of lung . Pulmonary atelectasis can be divided into six types, based on mechanism: resorptive, adhesive, compressive, passive, cicatrization, and gravity- dependent
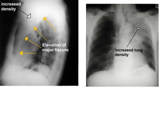
  • 84.
    LOBAR ATELECTASIS Radiologic signsof lobar atelectasis :- Direct or Indirect . Direct signs include increased opacification of the airless lobe and displacement of fissures.
  • 85.
    Indirect signs includedisplacement of hilar and cardiomediastinal structures toward the side of collapse, narrowing of the ipsilateral intercostal spaces, elevation of the ipsilateral hemidiaphragm, compensatory hyperinflation and hyperlucency of the remaining aerated lung, and obscuration or desilhouetting of the structures adjacent to the collapsed lung (eg, diaphragm and heart borders). Additional radiologic features vary according to the site of atelectasis.
  • 96.
    RADIOLOGY OF PLEURAL DISEASES Nikitha James 080201018
  • 97.
    PLEURAL EFFUSION • Pleuraleffusion initially manifests as basal peripheral opacities that first fill the costo- phrenic angle.
  • 98.
  • 99.
  • 100.
    Pneumothorax • Chest X-rayPA view shows – Sharply defined edge of the deflated lung – Complete translucency between the lung and the chestwall.
  • 101.
  • 103.
  • 104.
    Consolidation  Consolidation- replacementof air in one or more acini by fluid or solid material, but does not imply a particular pathology or etiology.  Communications between the terminal airways allows fluid to spread between adjacent acini- responsible for larger area of involvement  Commonest causes  Acute inflammatory exudate from pneumonia.  Non cardiogenic pulmonary oedema  Cardiogenic pulmonary oedema  Hemorrhage  Aspiration
  • 105.
    Radiologic features  AIRBRONCHOGRAM-  contrast between the column of air which is present in the airway and the surrounding opaque acini  Normally the lung fields are radioluscent and the bronchi are not separately visualised  But when, there is opacification of the alveoli due to various reasons (eg: fluid accumulation is pulmonary oedema)the bronchi stand out as radiolucent in contrast to the adjacent alveoli that are radio opaque
  • 106.
    an x-ray fora patient with right middle zone consolidation and demonstrates air bronchograms
  • 107.
    Silhouette sign: Ifthe airspace adjacent to one of the normal mediastinal or diaphragmatic contours is filled with dense material i.e. consolidated, then the normal air-soft tissue interface is lost and the normally seen edge of the silhouette disappears
  • 108.
  • 109.
  • 110.
    Middle and Lowerlobe consolidation
  • 111.
    Left lower lobeconsolidation
  • 112.
    Chest X Rayin Mediastinal Lesions Manasa
  • 114.
    • On thelateral radiograph • drawing an imaginary line anterior to the trachea and posteriorly to the inferior vena cava. • The middle and posterior compartments can be separated by an imaginary line passing 1 cm posteriorly to the anterior border of the vertebral bodies.
  • 116.
    • Approximately 60%of all mediastinal masses arise in the anterior mediastinum, 25% appear in the posterior mediastinum, and 15% occur in the middle mediastinum • Most masses (> 60%) are: – Thymomas – Neurogenic Tumors – Benign Cysts – Lymphadenopathy • In children the most common (> 80%) are: – Neurogenic tumors – Germ cell tumors – Foregut cysts • In adults the most common are: – Lymphomas – Lymphadenopathy – Thymomas – Thyroid masses
  • 117.
    Superior mediastinum • origins of the Sternohyoid and Sternothyroid • the aortic arch • the innominate artery • the thoracic portions of the left common carotid and the left subclavian arteries • the innominate veins • the upper half of the superior vena cava • the left highest intercostal vein • the vagus, cardiac, phrenic, and left recurrent nerves; the trachea, esophagus, and thoracic duct; • the remains of the thymus, and • some lymph glands
  • 119.
    LUNG MASS ORMEDIASTINAL MASS ? • A lung mass abutts the mediastinal surface and creates acute angles with the lung, while a mediastinal mass will sit under the surface creating obtuse angles with the lung
  • 120.
    Anterior Mediastinum • looseareolar tissue, • some lymphatic vessels which ascend from the convex surface of the liver, • two or three anterior mediastinal lymph glands • small mediastinal branches of the internal mammary artery.
  • 121.
    Anterior Mediastinum Signs Obliterated retrosternalclear space Obliterated cardiophrenic angle Hilum overlay sign
  • 123.
    • Hilum OverlaySign • When there is a mediastinal mass and you still can see the hilar vessels through this mass, then you know the mass does not arise from the hilum. This is known as the hilum overlay sign. Because of the geometry of the mediastinum most of these masses will be located in the anterior mediastinum.
  • 124.
    • The fourT's make up the mnemonic for anterior mediastinal masses: • Thymoma (myasthenia, upper anterior mediatinum) • Teratoma (germ cell) • Thyroid • Terrible Lymphoma
  • 125.
  • 126.
  • 128.
    Middle Mediastinum It contains •The heart enclosed in the • the bifurcation of the pericardium trachea and the two • the ascending aorta bronchi • the lower half of the • the phrenic nerves superior vena cava with • some bronchial lymph the azygos vein opening glands. into it • the pulmonary artery dividing into its two branches • the right and left pulmonary veins
  • 129.
    Middle Mediastinum Signs Widened paratrachealstripes AP window mass Displaced azygoesophageal recess on the right Lateral ‘doughnut’
  • 130.
    • Adenopathy Infection (fungal and mycobacterial) Neoplasm (bronchogenic carcinoma, metastases, lymphoma, leukemia) Sarcoidosis • Aneurysm/vascular • Abnormalities of development Bronchogenic cyst Pericardial cyst Esophageal duplication cyst
  • 131.
  • 135.
  • 136.
    Posterior Mediastinum • Thoracic part of the descending aorta • the azygos and the two hemiazygos veins • the vagus and splanchnic nerves, • the esophagus • the thoracic duct • some lymph glands.
  • 137.
    Common • Mesenchymal tumor • Neural tumors (fibroma, lipoma, leiomyoma • Neurogenic , hemangioma, lymphangio (neuroblastoma, ganglioneu ma) roma, ganglioneuroblastom • Abscess a) • Pancreatic pseudocyst • Nerve root tumors • Esophageal varices (schwannoma, neurofibrom • Hematoma a, malignant schwannoma) Less common • Traumatic • Paraganglionic cell tumors • pseudomeningocele (chemodectoma, pheochro • Bochdalek hernia mocytoma) • Extramedullary • Spinal tumor hematopoiesis (metastases, primary bone • Descending thoracic aortic tumor) aneurysm • Lymphoma • Invasive thymoma
  • 138.
    On conventional radiographslook for: • Cervicothoracic Sign • Widening of the paravertebral stripes
  • 139.
    • Cervicothoracic sign •The anterior mediastinum stops at the level of the superior clavicle. Therefore, when a mass extends above the superior clavicle, it is located either in the neck or in the posterior mediastinum. When lung tissue comes between the mass and the neck, the mass is probably in the posterior mediastinum. This is known as the Cervicothoracic Sign.
  • 141.