Signs in chest Xray
Dr. Archana Koshy
RADIOLOGICAL ANATOMY
Silhouette Sign
• The loss of the lung/soft tissue interface due to the
presence of fluid in the normally air-filled lung
• If an intrathoracic opacity is in anatomic contact
with a border, then the opacity will obscure that
border
• Commonly seen with the borders of the heart,
aorta, chest wall, and diaphragm
• Used to describe the location of a lesion at the inlet of the thoracic cavity.
• In this anatomical space, the posterior portions of the lung apices are located more
superiorly than the anterior portions .
• A lesion clearly visible above the clavicles on the frontal view must lie posteriorly and be
entirely within the thorax.
• If the cranial border of the lesion is obscured at or below the level of the clavicles, it is
located at the anterior mediastinum
CERVICOTHORACIC SIGN
Air Bronchogram
A tubular outline of an airway made visible due to the filling of the surrounding
alveoli by fluid or inflammatory exudates
Conditions in which air bronchograms are seen:
• Lung consolidation
• Pulmonary edema
• Non-obstructive pulmonary atelectasis
• Interstitial disease
• Neoplasm
• Normal expiration
AIR BRONCHOGRAM
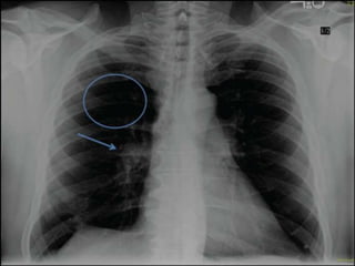
HILUM OVERLAY SIGN
• The hilum overlay sign refers to an appearance on frontal
chest radiographs of patients with a mass projected at the
level of the hilum which is in fact either anterior or posterior
to the hilum.
• When a mass arises from the hilum, the pulmonary vessels
are in contact with the mass and as such their silhouette is
obliterated.
• The sign was first described by Benjamin Felson
DEEP SULCUS SIGN
• The deep sulcus sign describes the radiolucency extending from the lateral
costophrenic angle to the hypochondrium
• It is an important clue indicating possible pneumothorax in chest x-rays obtained in
the supine position.
• When plain films are taken with the subject in an upright position, the free air in the
pleural space gathers at the apicolateral space.
• In the supine position, the air accumulating at the anterior space forms a triangular
radiolucency that makes the inferior borders of the lateral costophrenic angle
conspicuous
Air crescent (“meniscus”) sign
• The air crescent (“meniscus”) sign is the result of air
accumulation between a mass or nodule and
normal lung parenchyma.
• It is most frequently encountered in neutropenic
patients with aspergillosis.
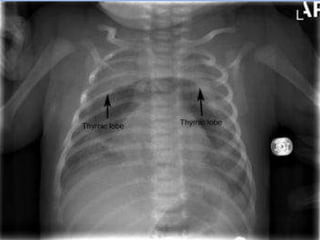
SPINNAKER SIGN
The spinnaker sign (the angel wing sign) is a sign of pneumomediastinum seen on
neonatal chest radiographs.
It refers to the thymus being outlined by air with each lobe displaced laterally and
appearing like spinnaker sails.
HAMPTON HUMP SIGN
• It is a wedge-shaped, pleura-based consolidation with a
rounded convex apex directed towards the hilus.
• This sign was first described by Aubrey Otis Hampton.
• It is usually encountered at the lower lobes and heals with
scar formation
WESTERMARK SIGN
• Decrease of vascularization at the periphery of the
lungs due to mechanical obstruction or reflex
vasoconstriction in pulmonary embolism .
FLEISCHNER SIGN
Bulging Fissure Sign
The bulging fissure sign refers to lobar consolidation where the affected
portion of the lung is expanded.
It is now rarely seen due to the widespread use of antibiotics.
Continuous Diaphragm Sign
Continuous lucency outlining the base
of the heart, representing
pneumomediastinum .
Air in the mediastinum tracks
extrapleurally, between the heart and
diaphragm .
Pneumopericardium can have a similar
appearance but will show air
circumferentially outlining the heart.
Fallen Lung Sign
• This sign refers to the appearance
of the collapsed lung occurring
with a fractured bronchus .
• The bronchial fracture results in
the lung to fall away from the
hilum, either inferiorly and
laterally in an upright patient or
posteriorly, as seen on CT in a
supine patient.
• DD:
Pneumothorax causes a lung to
collapse inward toward the hilum.
FLAT WAIST SIGN
• This sign refers to flattening of the contours of the aortic knob and adjacent main
pulmonary artery .
• It is seen in severe collapse of the left lower lobe and is caused by leftward
displacement and rotation of the heart
Finger in Glove Sign
The finger in glove sign can be seen on either chest radiograph or CT chest and refers to the
characteristic sign of a bronchocele
In bronchial obstruction, the portion of the bronchus distal to the obstruction is dilated
with the presence of mucous secretions (mucus plugging ).
GOLDEN “S” SIGN
• When a lobe collapses around a large central mass, the peripheral lung collapses
and the central portion of lung is prevented from collapsing by the presence of
the mass.
• The relevant fissure is concave toward the lung peripherally but convex centrally,
and the shape of the fissure resembles an S or a reverse S .
Juxtaphrenic Peak Sign
• This sign refers to a small triangular shadow that obscures the dome of the
diaphragm secondary to upper lobe atelectasis .
• The shadow is caused by traction on the lower end of the major fissure, the
inferior accessory fissure, or the inferior pulmonary ligament.
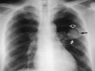
Luftsichel Sign
This peri-aortic lucency has been termed the luftsichel sign, derived from the
German words luft (air) and sichel (sickle).
DOUGHNUT SIGN
• Occurs when mediastinal lymphadenopathy occurs behind
the bronchus intermedius in the subcarinal region
• Lymphadenopathy is seen as lobulated densities on lateral
radiographs
SCIMITAR SIGN
• Indicates anomalous venous return of the right inferior pulmonary vein (total or
segmental) directly to the hepatic vein, portal vein or inferior vena cava.
• A tubular-shaped opacity extending towards the diaphragm along the right side
of the heart is seen (Fig. 9).
• The abnormal pulmonary vein resembles a Turkish sword called a “pala”.
• The scimitar sign is associated with congenital hypogenetic lung syndrome
(scimitar syndrome)
Signs in Chest Xray

Signs in Chest Xray

  • 1.
    Signs in chestXray Dr. Archana Koshy
  • 3.
  • 4.
    Silhouette Sign • Theloss of the lung/soft tissue interface due to the presence of fluid in the normally air-filled lung • If an intrathoracic opacity is in anatomic contact with a border, then the opacity will obscure that border • Commonly seen with the borders of the heart, aorta, chest wall, and diaphragm
  • 7.
    • Used todescribe the location of a lesion at the inlet of the thoracic cavity. • In this anatomical space, the posterior portions of the lung apices are located more superiorly than the anterior portions . • A lesion clearly visible above the clavicles on the frontal view must lie posteriorly and be entirely within the thorax. • If the cranial border of the lesion is obscured at or below the level of the clavicles, it is located at the anterior mediastinum CERVICOTHORACIC SIGN
  • 9.
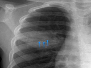
    Air Bronchogram A tubularoutline of an airway made visible due to the filling of the surrounding alveoli by fluid or inflammatory exudates Conditions in which air bronchograms are seen: • Lung consolidation • Pulmonary edema • Non-obstructive pulmonary atelectasis • Interstitial disease • Neoplasm • Normal expiration
  • 10.
  • 15.
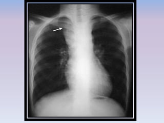
    HILUM OVERLAY SIGN •The hilum overlay sign refers to an appearance on frontal chest radiographs of patients with a mass projected at the level of the hilum which is in fact either anterior or posterior to the hilum. • When a mass arises from the hilum, the pulmonary vessels are in contact with the mass and as such their silhouette is obliterated. • The sign was first described by Benjamin Felson
  • 18.
    DEEP SULCUS SIGN •The deep sulcus sign describes the radiolucency extending from the lateral costophrenic angle to the hypochondrium • It is an important clue indicating possible pneumothorax in chest x-rays obtained in the supine position. • When plain films are taken with the subject in an upright position, the free air in the pleural space gathers at the apicolateral space. • In the supine position, the air accumulating at the anterior space forms a triangular radiolucency that makes the inferior borders of the lateral costophrenic angle conspicuous
  • 20.
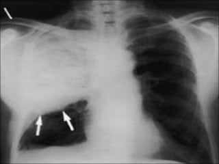
    Air crescent (“meniscus”)sign • The air crescent (“meniscus”) sign is the result of air accumulation between a mass or nodule and normal lung parenchyma. • It is most frequently encountered in neutropenic patients with aspergillosis.
  • 22.
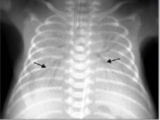
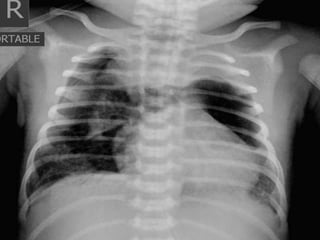
    SPINNAKER SIGN The spinnakersign (the angel wing sign) is a sign of pneumomediastinum seen on neonatal chest radiographs. It refers to the thymus being outlined by air with each lobe displaced laterally and appearing like spinnaker sails.
  • 25.
    HAMPTON HUMP SIGN •It is a wedge-shaped, pleura-based consolidation with a rounded convex apex directed towards the hilus. • This sign was first described by Aubrey Otis Hampton. • It is usually encountered at the lower lobes and heals with scar formation
  • 27.
    WESTERMARK SIGN • Decreaseof vascularization at the periphery of the lungs due to mechanical obstruction or reflex vasoconstriction in pulmonary embolism .
  • 29.
  • 30.
    Bulging Fissure Sign Thebulging fissure sign refers to lobar consolidation where the affected portion of the lung is expanded. It is now rarely seen due to the widespread use of antibiotics.
  • 34.
    Continuous Diaphragm Sign Continuouslucency outlining the base of the heart, representing pneumomediastinum . Air in the mediastinum tracks extrapleurally, between the heart and diaphragm . Pneumopericardium can have a similar appearance but will show air circumferentially outlining the heart.
  • 35.
    Fallen Lung Sign •This sign refers to the appearance of the collapsed lung occurring with a fractured bronchus . • The bronchial fracture results in the lung to fall away from the hilum, either inferiorly and laterally in an upright patient or posteriorly, as seen on CT in a supine patient. • DD: Pneumothorax causes a lung to collapse inward toward the hilum.
  • 36.
    FLAT WAIST SIGN •This sign refers to flattening of the contours of the aortic knob and adjacent main pulmonary artery . • It is seen in severe collapse of the left lower lobe and is caused by leftward displacement and rotation of the heart
  • 37.
    Finger in GloveSign The finger in glove sign can be seen on either chest radiograph or CT chest and refers to the characteristic sign of a bronchocele In bronchial obstruction, the portion of the bronchus distal to the obstruction is dilated with the presence of mucous secretions (mucus plugging ).
  • 39.
    GOLDEN “S” SIGN •When a lobe collapses around a large central mass, the peripheral lung collapses and the central portion of lung is prevented from collapsing by the presence of the mass. • The relevant fissure is concave toward the lung peripherally but convex centrally, and the shape of the fissure resembles an S or a reverse S .
  • 40.
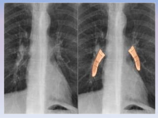
    Juxtaphrenic Peak Sign •This sign refers to a small triangular shadow that obscures the dome of the diaphragm secondary to upper lobe atelectasis . • The shadow is caused by traction on the lower end of the major fissure, the inferior accessory fissure, or the inferior pulmonary ligament.
  • 41.
    Luftsichel Sign This peri-aorticlucency has been termed the luftsichel sign, derived from the German words luft (air) and sichel (sickle).
  • 42.
    DOUGHNUT SIGN • Occurswhen mediastinal lymphadenopathy occurs behind the bronchus intermedius in the subcarinal region • Lymphadenopathy is seen as lobulated densities on lateral radiographs
  • 44.
    SCIMITAR SIGN • Indicatesanomalous venous return of the right inferior pulmonary vein (total or segmental) directly to the hepatic vein, portal vein or inferior vena cava. • A tubular-shaped opacity extending towards the diaphragm along the right side of the heart is seen (Fig. 9). • The abnormal pulmonary vein resembles a Turkish sword called a “pala”. • The scimitar sign is associated with congenital hypogenetic lung syndrome (scimitar syndrome)

Editor's Notes

  • #5 For the heart, the silhouette sign can be caused by an opacity in the RML, lingula, anterior segment of the upper lobe, lower aspect of the oblique fissure, anterior mediastinum, and anterior portion of the pleural cavity. This contrasts with an opacity in the posterior pleural cavity, posterior mediastinum, of lower lobes which cause an overlap and not an obliteration of the heart border. Therefore both the presence and absence of this sign is useful in the localization of pathology.
  • #6 For the heart, the silhouette sign can be caused by an opacity in the RML, lingula, anterior segment of the upper lobe, lower aspect of the oblique fissure, anterior mediastinum, and anterior portion of the pleural cavity. This contrasts with an opacity in the posterior pleural cavity, posterior mediastinum, of lower lobes which cause an overlap and not an obliteration of the heart border. Therefore both the presence and absence of this sign is useful in the localization of pathology. NON VISUALISATION OF THE BORDER OF AN ANATOMICAL STRUCTURE NORMALYY VISUALUSED SHOWS THAT THE AREA NEOGHBOURING THE MARGIN IS FILLED WITH TISSUE OR MATERIAL OF THE SAME DENSITY EXAMPLE ; OBILLTERATION OG THE LEFT HEART BORDER DUE TO MIDDLE LOBE ATELECTASIS . RULE CAN ALSO BE APPLIED TO THE ARCH OF AORTA HEMIDIAPHGRAMS AND LEFT BORDER OF THE HEART.
  • #10 Bronchi, which are not normally seen, become visible as a result of opacification of the lung parenchyma. Branching, tubular lucencies of bronchi are seen in an opacified lung (Fig. 1a). This sign shows that the pathology is in the lung parenchyma itself (1). This sign is most frequently encountered in pneumonia and pulmonary edema. Its generalized form can be seen in respiratory distress syndrome (2). The air bronchogram sign shows that the central bronchi are not obstructed; however, it can also be seen when a mass causes half-obstruction. Bronchioalveolar carcinoma, lymphoma, interstitial fibrosis, alveolar hemorrhage, fibrosis due to radiation and sarcoidosis can also present with this sign (1–3). This sign can also be seen on CT images (Fig. 1b).
  • #13 Bronchograms in RDS.
  • #15 1 2 3 sign of sarcoidosis , bilateral symmetrical hilar lymph nodes and paratreacheal nodes . Known as the Golden s triad .,
  • #16 SILHOUETTE SIGN OF THE HIKA . USED TO DETERMINE THE LOCALISATION OF A LESION IN THE HILAR REGION IN CHEST XRAYS .
  • #21 . In invasive aspergillosis, nearly two weeks after the onset of the infection, neutrophils increase in number and separate necrotic tissue from the normal lung parenchyma. The separated area then fills with air, resulting in the air crescent sign. In
  • #23 A spinnaker is a special type of sail that is designed specifically for sailing off the wind from a reaching course to a downwind, 
  • #26 Occurs within two days as a result of alveolar wall necrosis accompanying alveolar hemorrhage due to pulmonary infarct. OCCURS MOST COMMONLY DUE TO PULOMONARY EMOBLISM AND LUNG INFARCTION . (vascular occlusion due to invasive aspergillosis) THE EXPECTED APEX OF THIS WEDGE SHAPED INFARCTION IS SPARED BECAUSE OF BRONCHIAL ARTERIAL CIRCULATION IN THIS PART,resulting in the characteristic rounded appearance of a hampton hump . \occlusion occurs secondary to heamarrhoage due to dual blood supply fron the bronchial arteries . In case of infarction. It takes months to resolve and often leaves a linear scar . If the underlying parenchyma dosent undergo infarction , the hsmption humo will resolve within a week keeping its typical configuration – MELTING SIGN ,.
  • #28 Westermark sign The Westermark sign describes a decrease of vascularization at the periphery of the lungs due to mechanical obstruction or reflex vasoconstriction in pulmonary embolism (oligemia). It was first described by Neil Westermark (7). An increase in translucency on frontal radiographs is depicted (Fig. 12) (7). One of the three signs used to describe pulmonary emblism as seen on pplain films ,.
  • #30 PROMINENT CENTRAL ARTERY THAT CAN BE CAUSED WITHER BY PULMONARY HY[ERTENSION THAT DEVELOPS OR BY DISTENSION OF THE VESSEL BY A LARGE PULMONARY EMBOLUS ,
  • #31 The most common infective causative agents are 1: Klebsiella pneumoniae: Klebsiella pneumonia Streptococcus pneumoniae Pseudomonas aeruginosa: pseudomonas pulmonary infection Staphylococcus aureus Other uncommon agents are: Legionella pneumophila 3 It may also be seen with bronchoalveolar carcinoma 4.
  • #38 The same appearance has also been referred to as: rabbit ear appearance mickey mouse appearance toothpaste shaped opacities Y-shaped opacities V-shaped opacities
  • #41 The juxtaphrenic peak sign, which occurs in upper lobe atelectasis, describes the triangular opacity projecting superiorly at the medial half of the diaphragm (Fig. 13). It is most commonly related to the presence of an inferior accessory fissure (7). The mechanism is not known with certainty; according to one theory, the negative pressure of upper lobe atelectasis causes upward retraction of the visceral pleura, and protrusion of extrapleural fat into the recess of the fissure is responsible (15). The juxtaphrenic sign can also be seen in combined right upper and middle lobe volume loss or even with middle lobe collapse only
  • #42 In left upper lobe collapse, the superior segment of the left lower lobe, which is positioned between the aortic arch and the collapsed left upper lobe, is hyperinflated. This aerated segment of left lower lobe is hyperlucent and shaped like a sickle, where it outlines the aortic arch on the frontal chest radiograph