CHEST X-RAY
 DR. NIKHIL MURKEY
STRUCTURES TO BE IDENTIFIED
•   1 SVC
•   2 IVC
•   3 RA
•   4 RV
•   5 LV
SCHEME

•   Patient demography
•   Technical aspect
•   Trachea
•   Heart and
    mediastinum
•   Diaphragms
•   Pleura
•   CP angles
•   Hilum
•   Lung field
•   Hidden areas
•   Below diaphragm
•   Soft tissue
•   Bones
TECHNICAL ASPECT

•   Centering
•   Penetration
•   Inspiration
•   Angulation
• Rotation

 • Medial ends of
   bilateral clavicles are
   equidistant from the
   midline or vertebral
   bodies
If spinous process appears closer to the right clavicle (red
      arrow), the patient is rotated toward their own left side




If spinous process appears closer to the left clavicle (red arrow),
         the patient is rotated toward their own right side
• Penetration

 • Should see ribs
   through the heart

 • Barely see the spine
   through the heart

 • Should see
   pulmonary vessels
   nearly to the edges
   of the lungs
Overpenetrated Film
• Lung fields darker than
normal—may obscure
subtle pathologies
• See spine well beyond the
diaphragms
• Inadequate lung detail
Underpenetrated Film
•Hemidiaphragms are obscured
•Pulmonary markings more prominent than they actually are
• Inspiration                          1

                                  2

 • Should be able to          3

   count 9-10 posterior       4

   ribs                   5

                          6

 • Heart shadow should    7
   not be hidden by the
   diaphragm              8


                          9
                                  10
• Angulation
                                  1

                              2
 • Clavicle should lay over
                              3
   3rd rib
Apical lordotic                Same patient, not lordotic




A film which is apical lordotic (beam is angled up toward
head) will have an unusually shaped heart and the usually
  sharp border of the left hemidiaphragm will be absent
TRACHEA

• 25 mm in males 21
  mm in females.
• Right paratracheal
  stripe
• Widening occurs in
  Lymphadenopathy, tr
  acheal
  malignancy, mediasti
  nal
  tumours, mediastinitis,
   pleural effusion
• Normal carinal angle
  60-75 degees.
HEART & MEDIASTINUM

• Cardio-thoracic ratio
• Transverse cardiac
  diameter
• Increase in transverse
  cardiac diameter by 1.5
  cm in significant.
• Normal in neonates and
  AP projection is 60
  percent
• Cardiac shadow
  measuring more than 5.5
  cm to the right signifies
  right atrial enlargement
DIAPHRAGM

• Position, sharpness
  of border
• Difference should
  be less than 3 cm
  between both sides.
• Subdiaphragmatic
  air
PLEURA


•   Pleural thickening
•   Calcification
•   Plaques
•   Pneumothorax
•   Effusion.
COSTOPHRENIC ANGLES

• Acute
• Well defined
LUNG FIELDS

• Infiltrates
• Increased interstitial
  markings
• Masses
• Absence of normal
  margins
• Air bronchograms
• Increased
  vascularity
LUNG FIELDS: USING STRUCTURES
        / SILHOUETTES
  Silhouette / Structure      Contact with Lung
    Upper right heart
                            Anterior segment of RUL
  border/ascending aorta
    Right heart border           RML (medial)
  Upper left heart border   Anterior segment of LUL
     Left heart border         Lingula (anterior)
                             Apical portion of LUL
       Aortic knob
                                  (posterior)
 Anterior hemidiaphragms     Lower lobes (anterior)
LUNG FIELDS: USING STRUCTURES
           / SILHOUETTES
Upper right
heart border /             Aortic knob
ascending aorta            (Apical
(anterior RUL)             portion of
                           LUL )

                            Upper left
Right heart border          heart
(medial RML)                border
                            (anterior
                            LUL)
                             Left heart
                             border
Anterior                     (lingula;
hemidiaphrag                 anterior)
ms
(anterior
lower lobes)
LUNG FIELDS: FISSURES
• The fissures can also help you to determine the
  boundaries of pathology



 Major Oblique Fissure   Separates the LUL from the LLL
                          Separates the RUL/RML from
  Right Major Fissure
                                     the RLL
                           Separates the RUL from the
  Right Minor Fissure
                                       RML
LUNG FIELDS: HIDDEN AREAS

• Apices
• Mediastinum
  and hila
• Behind the
  diaphragm
HILA

• Position (left 2.5 cm
  higher than right)
• Equal density
• Clearly defined lateral
  borders
• Lower lobe pulmonary
  arteries and upper lobe
  pulmonary veins
• Diameter of pulmonary
  arteries should measure
  10-16 mm in males and 9
  – 15 mm in females.
• Upper lobe veins lie
  lateral to the arteries and
  lower lobe veins lie
  medial to the arteries.
BRONCHIAL ARTERIES

• Usually not visualized
• Branches of descending thoracic aorta at T5/6 level
• 2 on left; 1 on right
• When enlarged appear as multiple small nodules
  around hila
• Enlarged in cyanotic heart disease like
  TOF, Pulmonary atresia
• Other causes include bronchiectasis or bronchial
  carcinoma
SUBDIAPHRAGMATIC REGION

• Free air
• Bowel (Chilaiditi
  syndrome)
• Dilated bowel loops
SOFT TISSUE

•   Breast
•   Nipple
•   Skin folds especially in oblique and ill centered X-rays
•   Companion shadow – upper border of clavicle
BONES

•   Vertebrae
•   Clavicle
•   Ribs
•   Scapulae
•   Sternum*
THANK YOU!!!

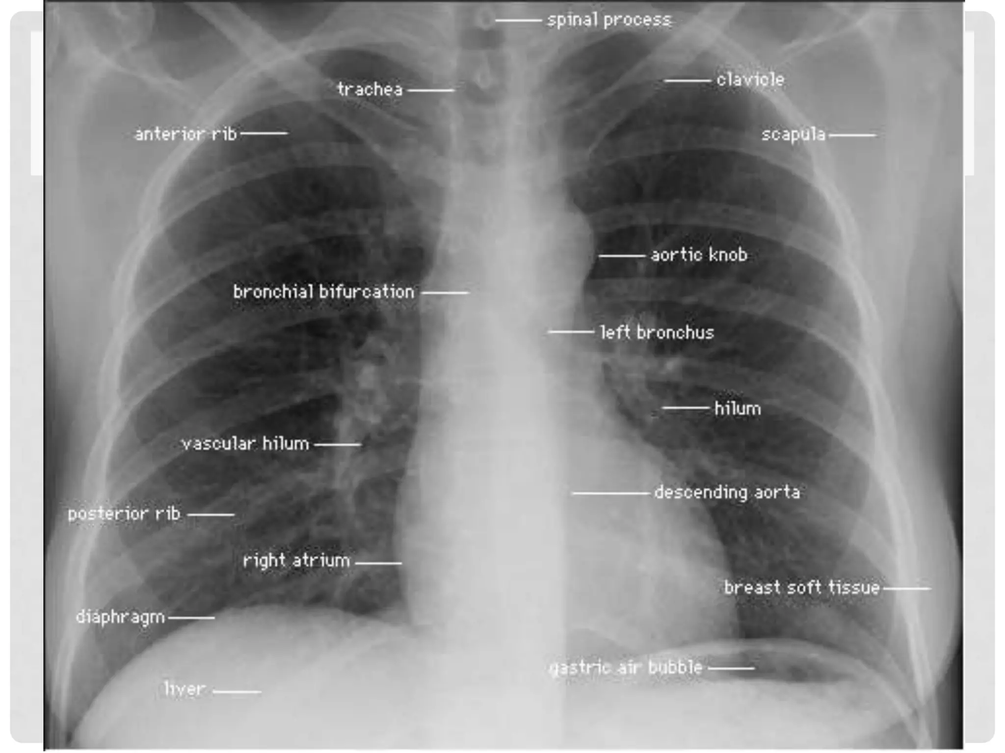
Normal Chest X-ray

  • 1.
    CHEST X-RAY DR.NIKHIL MURKEY
  • 3.
    STRUCTURES TO BEIDENTIFIED
  • 4.
    1 SVC • 2 IVC • 3 RA • 4 RV • 5 LV
  • 7.
    SCHEME • Patient demography • Technical aspect • Trachea • Heart and mediastinum • Diaphragms • Pleura • CP angles • Hilum • Lung field • Hidden areas • Below diaphragm • Soft tissue • Bones
  • 8.
    TECHNICAL ASPECT • Centering • Penetration • Inspiration • Angulation
  • 9.
    • Rotation •Medial ends of bilateral clavicles are equidistant from the midline or vertebral bodies
  • 10.
    If spinous processappears closer to the right clavicle (red arrow), the patient is rotated toward their own left side If spinous process appears closer to the left clavicle (red arrow), the patient is rotated toward their own right side
  • 11.
    • Penetration •Should see ribs through the heart • Barely see the spine through the heart • Should see pulmonary vessels nearly to the edges of the lungs
  • 12.
    Overpenetrated Film • Lungfields darker than normal—may obscure subtle pathologies • See spine well beyond the diaphragms • Inadequate lung detail
  • 13.
    Underpenetrated Film •Hemidiaphragms areobscured •Pulmonary markings more prominent than they actually are
  • 14.
    • Inspiration 1 2 • Should be able to 3 count 9-10 posterior 4 ribs 5 6 • Heart shadow should 7 not be hidden by the diaphragm 8 9 10
  • 15.
    • Angulation 1 2 • Clavicle should lay over 3 3rd rib
  • 16.
    Apical lordotic Same patient, not lordotic A film which is apical lordotic (beam is angled up toward head) will have an unusually shaped heart and the usually sharp border of the left hemidiaphragm will be absent
  • 17.
    TRACHEA • 25 mmin males 21 mm in females. • Right paratracheal stripe • Widening occurs in Lymphadenopathy, tr acheal malignancy, mediasti nal tumours, mediastinitis, pleural effusion • Normal carinal angle 60-75 degees.
  • 18.
    HEART & MEDIASTINUM •Cardio-thoracic ratio • Transverse cardiac diameter • Increase in transverse cardiac diameter by 1.5 cm in significant. • Normal in neonates and AP projection is 60 percent • Cardiac shadow measuring more than 5.5 cm to the right signifies right atrial enlargement
  • 19.
    DIAPHRAGM • Position, sharpness of border • Difference should be less than 3 cm between both sides. • Subdiaphragmatic air
  • 20.
    PLEURA • Pleural thickening • Calcification • Plaques • Pneumothorax • Effusion.
  • 21.
  • 22.
    LUNG FIELDS • Infiltrates •Increased interstitial markings • Masses • Absence of normal margins • Air bronchograms • Increased vascularity
  • 23.
    LUNG FIELDS: USINGSTRUCTURES / SILHOUETTES Silhouette / Structure Contact with Lung Upper right heart Anterior segment of RUL border/ascending aorta Right heart border RML (medial) Upper left heart border Anterior segment of LUL Left heart border Lingula (anterior) Apical portion of LUL Aortic knob (posterior) Anterior hemidiaphragms Lower lobes (anterior)
  • 24.
    LUNG FIELDS: USINGSTRUCTURES / SILHOUETTES Upper right heart border / Aortic knob ascending aorta (Apical (anterior RUL) portion of LUL ) Upper left Right heart border heart (medial RML) border (anterior LUL) Left heart border Anterior (lingula; hemidiaphrag anterior) ms (anterior lower lobes)
  • 25.
    LUNG FIELDS: FISSURES •The fissures can also help you to determine the boundaries of pathology Major Oblique Fissure Separates the LUL from the LLL Separates the RUL/RML from Right Major Fissure the RLL Separates the RUL from the Right Minor Fissure RML
  • 27.
    LUNG FIELDS: HIDDENAREAS • Apices • Mediastinum and hila • Behind the diaphragm
  • 28.
    HILA • Position (left2.5 cm higher than right) • Equal density • Clearly defined lateral borders • Lower lobe pulmonary arteries and upper lobe pulmonary veins • Diameter of pulmonary arteries should measure 10-16 mm in males and 9 – 15 mm in females. • Upper lobe veins lie lateral to the arteries and lower lobe veins lie medial to the arteries.
  • 29.
    BRONCHIAL ARTERIES • Usuallynot visualized • Branches of descending thoracic aorta at T5/6 level • 2 on left; 1 on right • When enlarged appear as multiple small nodules around hila • Enlarged in cyanotic heart disease like TOF, Pulmonary atresia • Other causes include bronchiectasis or bronchial carcinoma
  • 30.
    SUBDIAPHRAGMATIC REGION • Freeair • Bowel (Chilaiditi syndrome) • Dilated bowel loops
  • 31.
    SOFT TISSUE • Breast • Nipple • Skin folds especially in oblique and ill centered X-rays • Companion shadow – upper border of clavicle
  • 32.
    BONES • Vertebrae • Clavicle • Ribs • Scapulae • Sternum*
  • 33.