Pathology of lung
NORMAL CHEST X-RAY L- Lung T- Trachea AK- Aortic Knob A- Ascending Aorta H- Heart R- Ribs P- Pulmonary Artery S- Spleen
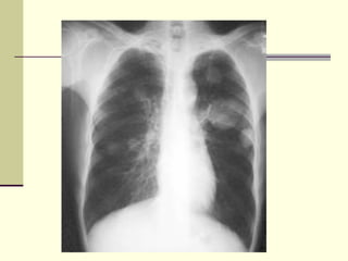
CONSOLIDATION Lobar or Segmental Density    Air Bronchogram No Loss of Lung Volume
CONSOLIDATION Density in left lower lung field  Loss of left heart silhouette  Diaphragmatic silhouette intact  No shift of mediastinum  Blunting of costophrenic angle
CONSOLIDATION Density in right upper lung field  Lobar density  Loss of ascending aorta silhouette  No shift of mediastinum  Transverse fissure not significantly shifted  Air bronchogram
PLEURAL EFFUSION Fluid accumulates in the pleural space. Radiological criteria  are:  Increased Density  In dependent portion Costophrenic angle in PA view  Along sides in lateral decubitus position  Along posteriorly in supine position, giving diffuse haziness on the side of effusion  Blunting of costophrenic angle   Lack of identifiable diaphragm  (silhouette sign principle).
The silhouette sign loss of an interface by adjacent disease and permits localization of a lesion on a film by studying the diaphragm, cardiac and aortic outlines. if the border is retained -the abnormality is superimposed, the lesion must he lying either anterior or posterior.
PLEURAL EFFUSION Homogenous density  Meniscus maximum in axilla  Loss of cardiophrenic angle  Loss of diaphragmatic and right cardiac silhouette
MASSIVE  PLEURAL EFFUSION Massive  Shift of mediastinum
LOCULATED PLEURAL EFFUSION Homogenous density  Loculated  Loss of cardiophrenic angle  Loss of lateral portion of  diaphragmatic  silhouette
ATELECTASIS loss of air in the alveoli; alveoli devoid of air  Increased  density, Signs indicating loss of lung volume Types of Atelectasis: Resorptive Atelectasis  Relaxation Atelectasis  Adhesive Atelectasis  Cicatricial Atelectasis  Round Atelectasis
SIGNS OF ATELECTASIS Generalized   Shift of mediastinum Elevation of diaphragm Drooping of shoulder.  Crowding of ribs Movement of Fissures  movement of oblique fissures.  Forward movement - LUL atelectasis.  Backward movement - lower lobe atelectasis.  Movement of transverse fissure on PA film.  Movement of Hilum
Cont… Compensatory Hyperinflation  Alterations in Proportion of Left and Right Lung  Hemithorax Asymmetry 
ATELECTASIS RIGHT LUNG Homogenous density right hemithorax  Mediastinal shift to right  Right hemithorax smaller  Right heart and diaphragmatic silhouette are not identifiable   
LEFT LOWER LOBE ATELECTASIS Inhomogeneous cardiac density  Left hilum pulled down  Non-visualization of left diaphragm  Triangular retrocardiac atelectatic LLL
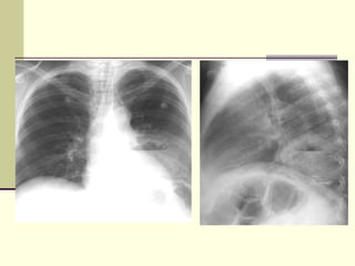
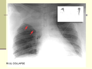
Rt UL COLLAPSE
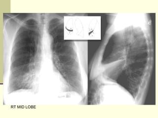
RT MID LOBE
FIBROSIS Diffuse haziness  Apical cap thickening  Blunting of costophrenic angle  No shift of fluid in lateral decubitus  Loss of lung volume  Lines not corresponding to fissures
PLEURAL FIROSIS Small right hemithorax  Diffuse haziness  Tracheal shift to right  Blunted costophrenic angle  Lines not corresponding to fissures
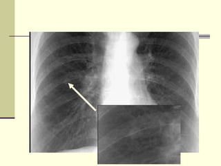
TUBERCULOSIS LUL cavities  RUL infiltrate   Bilateral upper lobe disease
TUERCULOSIS LUL cavity  Cavity behind clavicle - note increased density of clavicle in the region over lying cavity  Pleural effusion on right
 
Fungal ball
MILIARY TUBERCULOSIS Interstitial nodules  Uniform size  Sharper edges
PNEUMOTHORAX Air (black) in pleural space.  With No lung markings  Recognition of atelectatic lung (lung margin).  Shift of mediastinum  to the opposite side.  Larger hemithorax.  Opposite lung  - vascular markings prominent.
PNEUMOTHORAX No vascular markings on right  No shift of mediastinum to left  Deep sulcus  Atelectatic right lung  Increased haziness on left: Diversion of entire cardiac output  Small fluid level near costophrenic angle: Hydro pneumothorax
TENSION PNEUMOTHORAX No vascular markings on right  Shift of mediastinum to left  Deep sulcus  Atelectatic right lung  Increased haziness on left: Diversion of entire cardiac output
HYDROPNEUMOTHORAX Air in pleural cavity  Lung margin visible  Bilateral fluid level: Any time you see a horizontal fluid level, it means that there is air and fluid in the pleural space
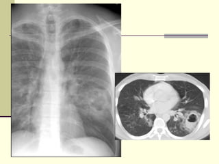
LUNG CANCER Squamous cell   Large mass  Cavitation  Atelectasis with hilar mass  Lympadenopathy  Large cell   Large mass  Adenocarcinoma   Solitary pulmonary nodule
Small cell   Insignificant lung lesion  Massive mediastinal adenopathy  Alveolar cell   Solitary pulmonary nodule  Pneumonic  Multicentric  Pancoast tumor   Apical shadow  Posterior rib destruction  Drooping of shoulder / Brachial plexus
ALVEOLAR CELL CARCINOMA Alveolar Cell Carcinoma / Solitary Pulmonary Nodule LUL anterior segment lesion  Round with irregular margins  Air bronchogram
PANCOAST TUMOUR Right apical mass  Cavitating mass  Para tracheal nodes  2nd rib destruction  Calcified nodes (silicosis)
LARGE CELL CANCER Large Cell Cancer Mass RUL
LUNG  MASS Mass   Round or oval  Sharp margin  Homogenous  No respect for anatomy  Lung Cancer: Large cell   
LUNG  ABSCESS Lung Abscess   Bilateral  Multiple  Fluid level
LUNG  ABSCESS Lung Abscess Anterior segment of LUL  Atypical location for aspiration lung abscess  Thick wall  Fluid level
PULMOARY  EDEMA Pulmonary Edema Acute Diffuse Alveolar   Bilateral  Diffuse  Butterfly pattern  Soft fluffy lesions  Coalescing  Air bronchogram
EMPHYSEMA Alpha 1 Anti-Trypsin Deficiency Hyperinflation Hyperlucency  Low set flat diaphragm  Vertical heart  Pre and infra cardiac lungs  Barrel shape  Emphysema Avascular zones  Cephalization of upper lung fields is not evident  Predominant basal involvement (not evident)
SOME D/D
MULTIPLE NODULES OR MASS >3 CM M ets/Carcinoma/Lymphoma T B/granuloma W egeners R heumatoid nodules/Round pneumonia F ungal S arcoid S eptic pulmonary emboli
 
COIN LESION <3 CM C arcinoma/Congenital H amartoma/Hematoma A VM/Abscess N eoplasm–mets G ranuoma TB pneumonia
 
 
CAVITY C arcinoma-SCC A bscess-fungal/bacterial/TB V ascular-septic emboli I nflammatory-rheumatoid nodule T rauma-resolving contusion Y oung-bronchogenic cyst
 
UNILATERAL HYPERLUCENT LUNG P oland syndrome/Pneumothorax O ligemia/Obstruction (PE) E mphysema M astectomy S wyer James
E mphysema
Anterior Mediastinal Masses   1. Thymoma  2. Teratoma  3. Substernal thyroid  4. Lymphoma
Opacified Hemithorax   1. Atelectasis  2. Pleural effusion 3. Pneumonia  4. Post-pneumonectomy/ agenesis
 
Large Cavitary Lung Lesions   1. Abscess  2. Carcinoma  3. TB
Bronchogenic Carcinoma
Upper Lobe Disease   1. TB (2° TB)  2. Silicosis 3. Eosinophilic granuloma
Micronodular Lung Disease   1. Mets 2. Sarcoid  3. Pneumoconiosis 4. Miliary TB
Micronodular Lung Disease-  Sarcoid
Small Cavitary Lung Lesions 1. Septic emboli  2. Rheumatoid nodules  3. Squamous or transitional cell mets 4. Wegener’s Granulomatosis
 
Multiple Lung Nodules   1. Mets  2. Wegener’s granulomatosis  3. Rheumatoid nodules  4. AVMs  5. Septic emboli
 
Pulmonary Interstitial Edema   1. CHF 2. Lymphangitic spread 3. Allergic reaction
CHF
Unilateral Hyperlucent Lung   1. Mcleod’s syndrome  2. Pulmonary embolism  3. Pneumothorax  4. Obstructive/ compensatory emphysema
p/o FB
Cavitating Pneumonia   1. Staph  2. Strep 3. TB  4. Gram negative (Klebsiella)
Staph
Middle Mediastinal Masses   1. Lymphadenopathy  2. Aneurysms  3. Esophageal duplication 4. Bronchogenic cysts
Bronchogenic cysts
Hilar Adenopathy   1. Sarcoid 2. TB  3. Lymphoma  4. Bronchogenic ca  5. Mets
Sarcoid
Cavities Containing Masses   1. Aspergillosis  2. Cavitating bronchogenic ca 3 Tuberculosis 4 Hydatid cyst
Aspergillosis
Solitary Pulmonary Nodule   1. Bronchogenic ca  2. Hamartoma  3. Histoplasmoma  4. TB granuloma  5. Bronchial adenoma 6. Solitary met  7. Round pneumonia  8. Rounded atelectasis
Hamartoma
Pleural Effusion   1. CHF 2. Mets 3. Pancreatitis 4. Pulmonary embolism 5. Trauma 6. Empyema 7. Collagen vascular 8. Ovarian tumor (Meig’s Syndrome) 9. Chylothorax
CCF
Left-sided Pleural Effusion   1. Dissecting aortic aneurysm 2. Pancreatitis  3. Distal thoracic duct rupture 4. Esophageal pathology
Dissecting aortic aneurysm
Posterior Mediastinal Masses   1. Neurogenic tumors  2. Lymphadenopathy  3. Extramedullary hematopoesis 4. SPINAL PATHOLOGY 5. DIAPHRAGMATIC HERNIA
 
Lung Disease & Rib Destruction   1. Bronchogenic ca, i.e Pancoast tumor 2. Actinomycosis  3. Blastomycosis  4. Multiple myeloma
 
Unilateral Pulmonary Edema   1. Aspiration 2. Disease in other lung, e.g. COPD  3. Postural  4. Rapid expansion of PTX
Unilateral Pulmonary Edema
Reverse “Pulmonary Edema” 1. Eosinophilic lung disease, e.g. Loeffler’s 2. Sarcoid 3. Pulmonary contusions
DIAGNOSIS PLEASE
 
RT ML CONSOLIDATION
 
CANNON BALL METZ
 
ABSCESS
 
LT UL CONSLIDATION
 
BRONCHIECTASIS
 
OS METZ
Thank you

Chest x ray pathology

  • 1.
  • 2.
    NORMAL CHEST X-RAYL- Lung T- Trachea AK- Aortic Knob A- Ascending Aorta H- Heart R- Ribs P- Pulmonary Artery S- Spleen
  • 3.
    CONSOLIDATION Lobar orSegmental Density   Air Bronchogram No Loss of Lung Volume
  • 4.
    CONSOLIDATION Density inleft lower lung field Loss of left heart silhouette Diaphragmatic silhouette intact No shift of mediastinum Blunting of costophrenic angle
  • 5.
    CONSOLIDATION Density inright upper lung field Lobar density Loss of ascending aorta silhouette No shift of mediastinum Transverse fissure not significantly shifted Air bronchogram
  • 6.
    PLEURAL EFFUSION Fluidaccumulates in the pleural space. Radiological criteria are: Increased Density In dependent portion Costophrenic angle in PA view Along sides in lateral decubitus position Along posteriorly in supine position, giving diffuse haziness on the side of effusion Blunting of costophrenic angle  Lack of identifiable diaphragm  (silhouette sign principle).
  • 7.
    The silhouette signloss of an interface by adjacent disease and permits localization of a lesion on a film by studying the diaphragm, cardiac and aortic outlines. if the border is retained -the abnormality is superimposed, the lesion must he lying either anterior or posterior.
  • 8.
    PLEURAL EFFUSION Homogenousdensity Meniscus maximum in axilla Loss of cardiophrenic angle Loss of diaphragmatic and right cardiac silhouette
  • 9.
    MASSIVE PLEURALEFFUSION Massive Shift of mediastinum
  • 10.
    LOCULATED PLEURAL EFFUSIONHomogenous density Loculated Loss of cardiophrenic angle Loss of lateral portion of  diaphragmatic  silhouette
  • 11.
    ATELECTASIS loss ofair in the alveoli; alveoli devoid of air Increased density, Signs indicating loss of lung volume Types of Atelectasis: Resorptive Atelectasis Relaxation Atelectasis Adhesive Atelectasis Cicatricial Atelectasis Round Atelectasis
  • 12.
    SIGNS OF ATELECTASISGeneralized  Shift of mediastinum Elevation of diaphragm Drooping of shoulder. Crowding of ribs Movement of Fissures movement of oblique fissures. Forward movement - LUL atelectasis. Backward movement - lower lobe atelectasis. Movement of transverse fissure on PA film. Movement of Hilum
  • 13.
    Cont… Compensatory Hyperinflation Alterations in Proportion of Left and Right Lung Hemithorax Asymmetry 
  • 14.
    ATELECTASIS RIGHT LUNGHomogenous density right hemithorax Mediastinal shift to right Right hemithorax smaller Right heart and diaphragmatic silhouette are not identifiable  
  • 15.
    LEFT LOWER LOBEATELECTASIS Inhomogeneous cardiac density Left hilum pulled down Non-visualization of left diaphragm Triangular retrocardiac atelectatic LLL
  • 16.
  • 17.
  • 18.
    FIBROSIS Diffuse haziness Apical cap thickening Blunting of costophrenic angle No shift of fluid in lateral decubitus Loss of lung volume Lines not corresponding to fissures
  • 19.
    PLEURAL FIROSIS Smallright hemithorax Diffuse haziness Tracheal shift to right Blunted costophrenic angle Lines not corresponding to fissures
  • 20.
    TUBERCULOSIS LUL cavities RUL infiltrate  Bilateral upper lobe disease
  • 21.
    TUERCULOSIS LUL cavity Cavity behind clavicle - note increased density of clavicle in the region over lying cavity Pleural effusion on right
  • 22.
  • 23.
  • 24.
    MILIARY TUBERCULOSIS Interstitialnodules Uniform size Sharper edges
  • 25.
    PNEUMOTHORAX Air (black)in pleural space. With No lung markings Recognition of atelectatic lung (lung margin). Shift of mediastinum to the opposite side. Larger hemithorax. Opposite lung - vascular markings prominent.
  • 26.
    PNEUMOTHORAX No vascularmarkings on right No shift of mediastinum to left Deep sulcus Atelectatic right lung Increased haziness on left: Diversion of entire cardiac output Small fluid level near costophrenic angle: Hydro pneumothorax
  • 27.
    TENSION PNEUMOTHORAX Novascular markings on right Shift of mediastinum to left Deep sulcus Atelectatic right lung Increased haziness on left: Diversion of entire cardiac output
  • 28.
    HYDROPNEUMOTHORAX Air inpleural cavity Lung margin visible Bilateral fluid level: Any time you see a horizontal fluid level, it means that there is air and fluid in the pleural space
  • 29.
    LUNG CANCER Squamouscell Large mass Cavitation Atelectasis with hilar mass Lympadenopathy Large cell Large mass Adenocarcinoma Solitary pulmonary nodule
  • 30.
    Small cell Insignificant lung lesion Massive mediastinal adenopathy Alveolar cell Solitary pulmonary nodule Pneumonic Multicentric Pancoast tumor Apical shadow Posterior rib destruction Drooping of shoulder / Brachial plexus
  • 31.
    ALVEOLAR CELL CARCINOMAAlveolar Cell Carcinoma / Solitary Pulmonary Nodule LUL anterior segment lesion Round with irregular margins Air bronchogram
  • 32.
    PANCOAST TUMOUR Rightapical mass Cavitating mass Para tracheal nodes 2nd rib destruction Calcified nodes (silicosis)
  • 33.
    LARGE CELL CANCERLarge Cell Cancer Mass RUL
  • 34.
    LUNG MASSMass Round or oval Sharp margin Homogenous No respect for anatomy Lung Cancer: Large cell  
  • 35.
    LUNG ABSCESSLung Abscess Bilateral Multiple Fluid level
  • 36.
    LUNG ABSCESSLung Abscess Anterior segment of LUL Atypical location for aspiration lung abscess Thick wall Fluid level
  • 37.
    PULMOARY EDEMAPulmonary Edema Acute Diffuse Alveolar Bilateral Diffuse Butterfly pattern Soft fluffy lesions Coalescing Air bronchogram
  • 38.
    EMPHYSEMA Alpha 1Anti-Trypsin Deficiency Hyperinflation Hyperlucency Low set flat diaphragm Vertical heart Pre and infra cardiac lungs Barrel shape Emphysema Avascular zones Cephalization of upper lung fields is not evident Predominant basal involvement (not evident)
  • 39.
  • 40.
    MULTIPLE NODULES ORMASS >3 CM M ets/Carcinoma/Lymphoma T B/granuloma W egeners R heumatoid nodules/Round pneumonia F ungal S arcoid S eptic pulmonary emboli
  • 41.
  • 42.
    COIN LESION <3CM C arcinoma/Congenital H amartoma/Hematoma A VM/Abscess N eoplasm–mets G ranuoma TB pneumonia
  • 43.
  • 44.
  • 45.
    CAVITY C arcinoma-SCCA bscess-fungal/bacterial/TB V ascular-septic emboli I nflammatory-rheumatoid nodule T rauma-resolving contusion Y oung-bronchogenic cyst
  • 46.
  • 47.
    UNILATERAL HYPERLUCENT LUNGP oland syndrome/Pneumothorax O ligemia/Obstruction (PE) E mphysema M astectomy S wyer James
  • 48.
  • 49.
    Anterior Mediastinal Masses 1. Thymoma 2. Teratoma 3. Substernal thyroid 4. Lymphoma
  • 50.
    Opacified Hemithorax 1. Atelectasis 2. Pleural effusion 3. Pneumonia 4. Post-pneumonectomy/ agenesis
  • 51.
  • 52.
    Large Cavitary LungLesions 1. Abscess 2. Carcinoma 3. TB
  • 53.
  • 54.
    Upper Lobe Disease 1. TB (2° TB) 2. Silicosis 3. Eosinophilic granuloma
  • 55.
    Micronodular Lung Disease 1. Mets 2. Sarcoid 3. Pneumoconiosis 4. Miliary TB
  • 56.
  • 57.
    Small Cavitary LungLesions 1. Septic emboli 2. Rheumatoid nodules 3. Squamous or transitional cell mets 4. Wegener’s Granulomatosis
  • 58.
  • 59.
    Multiple Lung Nodules 1. Mets 2. Wegener’s granulomatosis 3. Rheumatoid nodules 4. AVMs 5. Septic emboli
  • 60.
  • 61.
    Pulmonary Interstitial Edema 1. CHF 2. Lymphangitic spread 3. Allergic reaction
  • 62.
  • 63.
    Unilateral Hyperlucent Lung 1. Mcleod’s syndrome 2. Pulmonary embolism 3. Pneumothorax 4. Obstructive/ compensatory emphysema
  • 64.
  • 65.
    Cavitating Pneumonia 1. Staph 2. Strep 3. TB 4. Gram negative (Klebsiella)
  • 66.
  • 67.
    Middle Mediastinal Masses 1. Lymphadenopathy 2. Aneurysms 3. Esophageal duplication 4. Bronchogenic cysts
  • 68.
  • 69.
    Hilar Adenopathy 1. Sarcoid 2. TB 3. Lymphoma 4. Bronchogenic ca 5. Mets
  • 70.
  • 71.
    Cavities Containing Masses 1. Aspergillosis 2. Cavitating bronchogenic ca 3 Tuberculosis 4 Hydatid cyst
  • 72.
  • 73.
    Solitary Pulmonary Nodule 1. Bronchogenic ca 2. Hamartoma 3. Histoplasmoma 4. TB granuloma 5. Bronchial adenoma 6. Solitary met 7. Round pneumonia 8. Rounded atelectasis
  • 74.
  • 75.
    Pleural Effusion 1. CHF 2. Mets 3. Pancreatitis 4. Pulmonary embolism 5. Trauma 6. Empyema 7. Collagen vascular 8. Ovarian tumor (Meig’s Syndrome) 9. Chylothorax
  • 76.
  • 77.
    Left-sided Pleural Effusion 1. Dissecting aortic aneurysm 2. Pancreatitis 3. Distal thoracic duct rupture 4. Esophageal pathology
  • 78.
  • 79.
    Posterior Mediastinal Masses 1. Neurogenic tumors 2. Lymphadenopathy 3. Extramedullary hematopoesis 4. SPINAL PATHOLOGY 5. DIAPHRAGMATIC HERNIA
  • 80.
  • 81.
    Lung Disease &Rib Destruction 1. Bronchogenic ca, i.e Pancoast tumor 2. Actinomycosis 3. Blastomycosis 4. Multiple myeloma
  • 82.
  • 83.
    Unilateral Pulmonary Edema 1. Aspiration 2. Disease in other lung, e.g. COPD 3. Postural 4. Rapid expansion of PTX
  • 84.
  • 85.
    Reverse “Pulmonary Edema”1. Eosinophilic lung disease, e.g. Loeffler’s 2. Sarcoid 3. Pulmonary contusions
  • 86.
  • 87.
  • 88.
  • 89.
  • 90.
  • 91.
  • 92.
  • 93.
  • 94.
  • 95.
  • 96.
  • 97.
  • 98.
  • 99.