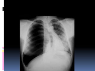
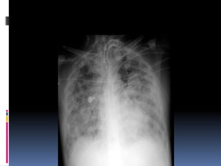
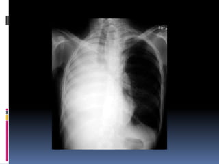
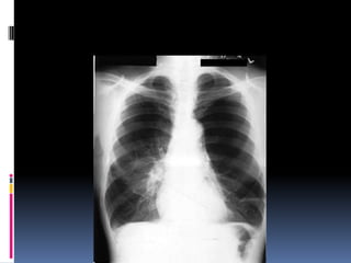
Chest Xray
Different tissues in body absorb X-rays at
different extents:

• Bone- high absorption (white)



• Tissue- somewhere in the middle absorption (grey)



• Air- low absorption (black)
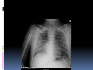
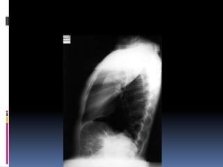
CXR - PA Vs AP view.

PA- the x-rays penetrate through the back of the
patient on to the film

AP-the x-rays penetrate through the front of the
patient on to the film.
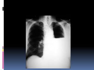
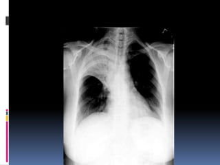
Penetration / Exposure
 Able to see ribs
  through the heart

 Barely see the
  spine through the
  heart

 Pulmonary vessels
  can be traced
  nearly to the edges
  of the lungs
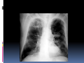
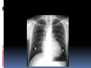
Underpenetrated Film
Hemi diaphragms are obscured
Pulmonary markings more prominent than they actually
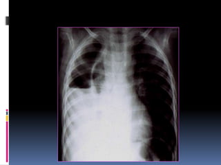
Over penetrated Film

 Lung fields darker than
    normal—may obscure subtle
    pathologies


•   See spine well beyond the
    diaphragms


•   Inadequate lung detail
Positioning / Rotation

Does the thoracic spine align in the center of the
 sternum and between the clavicles?

Clavicles – equidistant from spine
Determine side – ? L/R



 Gastric bubble should be on the left ( normally )
Look at

 Soft tissue
 Bony cage
Soft tissue and bony structures
 Check for
    Symmetry
    Deformities
    Fractures
    Masses
    Calcifications
    Lytic lesions
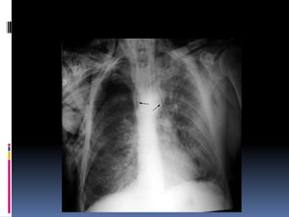
Look at the diaphram:

  -Tenting
  -free air
  -abnormal elevation
 Margins should be
  sharp
  (the right hemidiaphram is
  usually slightly higher than
  the left)
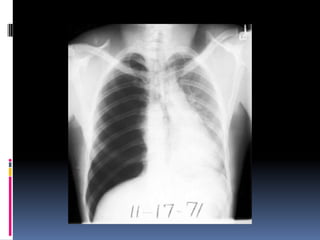
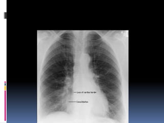
Heart

   Size
   Shape
   Silhouette-margins should be sharp
   Diameter (>1/2 thoracic diameter is
    enlarged heart)

 AP views make heart appear larger than it
  actually is.
Costo-phrenic / cardiophrenic angles




Margins should
be sharp
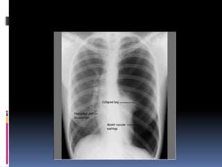
Lung fields

   Infiltrates
   Increased interstitial markings
   Masses
   Absence of normal margins
   Air bronchograms
   Increased vascularity
Cannon ball appearance- DDS
Osteogenic sarcoma
Thyroid (follicular)
Testicular carcinoma
Kidney
Choriocarcinoma
Prostate
Malignant melanoma,       Some GI,    Some very
  advanced      nasopharyngeal, and    pharyngeal
  carcinomas
Breast
Lymphangitis carcinomatosa
Chest xray
Chest xray
Chest xray
Chest xray
Chest xray
Chest xray
Chest xray
Chest xray
Chest xray
Chest xray
Chest xray
Chest xray
Chest xray
Chest xray
Chest xray
Chest xray
Chest xray
Chest xray
Chest xray
Chest xray
Chest xray
Chest xray
Chest xray
Chest xray
Chest xray
Chest xray
Chest xray
Chest xray
Chest xray
Chest xray
Chest xray

Chest xray

  • 1.
  • 2.
    Different tissues inbody absorb X-rays at different extents: • Bone- high absorption (white) • Tissue- somewhere in the middle absorption (grey) • Air- low absorption (black)
  • 4.
    CXR - PAVs AP view. PA- the x-rays penetrate through the back of the patient on to the film AP-the x-rays penetrate through the front of the patient on to the film.
  • 6.
    Penetration / Exposure Able to see ribs through the heart  Barely see the spine through the heart  Pulmonary vessels can be traced nearly to the edges of the lungs
  • 7.
    Underpenetrated Film Hemi diaphragmsare obscured Pulmonary markings more prominent than they actually
  • 8.
    Over penetrated Film Lung fields darker than normal—may obscure subtle pathologies • See spine well beyond the diaphragms • Inadequate lung detail
  • 9.
    Positioning / Rotation Doesthe thoracic spine align in the center of the sternum and between the clavicles? Clavicles – equidistant from spine
  • 11.
    Determine side –? L/R  Gastric bubble should be on the left ( normally )
  • 12.
    Look at  Softtissue  Bony cage
  • 13.
    Soft tissue andbony structures  Check for  Symmetry  Deformities  Fractures  Masses  Calcifications  Lytic lesions
  • 17.
    Look at thediaphram: -Tenting -free air -abnormal elevation  Margins should be sharp (the right hemidiaphram is usually slightly higher than the left)
  • 18.
    Heart  Size  Shape  Silhouette-margins should be sharp  Diameter (>1/2 thoracic diameter is enlarged heart)  AP views make heart appear larger than it actually is.
  • 20.
    Costo-phrenic / cardiophrenicangles Margins should be sharp
  • 21.
    Lung fields  Infiltrates  Increased interstitial markings  Masses  Absence of normal margins  Air bronchograms  Increased vascularity
  • 34.
    Cannon ball appearance-DDS Osteogenic sarcoma Thyroid (follicular) Testicular carcinoma Kidney Choriocarcinoma Prostate Malignant melanoma, Some GI, Some very advanced nasopharyngeal, and pharyngeal carcinomas Breast Lymphangitis carcinomatosa