Radiological imaging of bronchiectasis.
Dr/ ABD ALLAH NAZEER. MD.
Clinical Findings:
Classical clinical triad: chronic cough, excess sputum production and repeated infection
Hemoptysis.
Shortness of breath.
Wheezing.
Fever is rare even with infection.
Morphological-types-of-bronchiectasis.
Imaging Findings
Location
Proximal, frequently upper lobe, bronchiectasis is characteristic of allergic
bronchopulmonary aspergillosis (ABPA)
Bronchiectasis from viral or pyogenic infections is usually at the bases
Tuberculous bronchiectasis is usually at the apices
Diffuse bronchiectasis
Impaired mucus clearing e.g. cystic fibrosis and Kartagener
Chronic diffuse airways disease (chronic bronchitis, asthma, bronchiolitis
obliterans
Immune deficiency states
CT is the study of choice with a sensitivity of up to 97% and a specificity up to 99%
Signet ring appearance on CT : normally, the vessel is larger than the corresponding
bronchus
In bronchiectasis, the bronchus is larger than the corresponding vessel
“Tramlines” or “honeycombing” represents dilated, thickened bronchial walls
Volume loss due to destruction of lung tissue
Multiple small nodular densities from plugged alveoli
Lack of normal, bronchial tapering
Non uniform bronchial dilation
Cystic lesions, often with air-fluid levels, and frequently in a cluster
Bronchial wall thickening.
MRI has potential in the imaging of bronchiectasis, particularly in
conditions such as CF, in which young patients may require serial
imaging for disease monitoring and assessment of response to
treatment. Compared to HRCT, the ability of MR to provide
functional imaging and lack of radiation could compensate for its
limited spatial resolution. With improvement in MRI techniques,
recent studies have shown good reproducibility and good
correlation with PFT results.
Further work is required to improve spatial resolution, develop
robust validated scoring systems and evaluate correlations with
clinical outcomes.
Currently cost, limited availability and limited spatial resolution limit
the use of MRI in bronchiectasis largely to the research arena.
Although hyperpolarized noble gas imaging has great potential in
terms of provision of functional data, technical issues and set-up and
ongoing costs suggest its role will be limited to research for the
foreseeable future.
Scintigraphy
Prior to the advent of HRCT, ventilation (with or without
perfusion) scintigraphy was used to aid disease evaluation in
bronchiectasis. DOLLERY and HUGH-JONES studied the
physiological implications of bronchiectasis and found reduced
blood flow and impaired ventilation in bronchiectatic areas.
V/Q scintigraphy typically demonstrates matched ventilation
and perfusion defects, reflecting abnormal ventilation
secondary to bronchiectasis and associated small airways
obstruction V/Q scintigraphy and lung function are additive
tools to aid diagnosis and guide therapeutic management. The
ongoing issue of radiation dose and absence of useful
anatomical information, however, limit the value of V/Q
scintigraphy in routine practice.
Chest radiography
Chest radiography (CXR) is usually the initial study performed in both
suspected bronchiectasis and the evaluation of nonspecific respiratory
symptoms, such as dyspnea and hemoptysis, when bronchiectasis may
be identified incidentally. Signs on CXR include the identification of
parallel linear densities, tram-track opacities, or ring shadows
reflecting thickened and abnormally dilated bronchial walls. These
bronchial abnormalities form a spectrum from subtle or barely
perceptible 5-mm ring shadows to obvious cysts. Tubular branching
opacities conforming to the expected bronchial branching pattern may
result from fluid or mucous filling of bronchi. Peribronchial fibrosis
results in a loss of definition of vessel walls.
Signs of complications/exacerbations, such as patchy densities due to
mucoid impaction and consolidation, volume loss secondary to
bronchial mucoid obstruction or chronic cicatrisation, are also seen. In
the more diffuse forms of bronchiectasis, such as cystic fibrosis (CF),
generalized hyperinflation and oligaemia are often present, consistent
with severe small airways obstruction.
Chest radiography showing a) cystic bronchiectasis with multiple cystic airspaces and
b) cylindrical bronchiectasis and tram track opacities in a cystic fibrosis patient.
(a) (b)
Chest radiographs: Demonstrate thin-walled, cystic structures in right
lower lobe (white arrow), some with air-fluid levels (yellow arrows).
Cystic bronchiectasis with air-fluid levels.
CT signs of bronchiectasis
Signet ring appearance on CT: normally, the vessel is larger than
the corresponding bronchus in bronchiectasis, the bronchus is
larger than the corresponding vessel.
Bronchial dilation, the cardinal sign of bronchiectasis, is
characterised on HRCT by a bronchoarterial ratio (BAR) of .1, lack
of bronchial tapering, and visibility of airways within 1 cm of the
pleural surface or abutting the mediastinal pleural surface.
“Tramlines” or “honeycombing” represents dilated, thickened
bronchial walls.
Volume loss due to destruction of lung tissue.
Multiple small nodular densities from plugged alveoli.
Lack of normal, bronchial tapering
Non uniform bronchial dilation
Cystic lesions, often with air-fluid levels, and frequently in a cluster
Bronchial wall thickening.
SIGNET RING SIGN. Chest CT shows small bronchiectasis.
SIGNET RING SIGN. Chest CT shows small bronchiectasis.
Bronchiectasis. Signet-ring sign.
Axial CT scan. Lower lobe
bronchiectasis. Signet-ring sign.
Axial CT scan. Lower lobe
bronchiectasis. Signet-ring sign.
High-resolution computed tomography image showing
non tapering bronchi, in keeping with bronchiectasis.
Lack of bronchial tapering.
Young adult with cystic fibrosis. Coronal CT scan.
Widespread bronchiectasis. Lack of bronchial tapering
Varicose bronchiectasis.
Varicose bronchiectasis with cystic bronchiectasis.
Varicose bronchiectasis.
Cylindrical bronchiectasis.
Cylindrical bronchiectasis.
Cylindrical bronchiectasis.
Categories of bronchiectasis. Normal bronchus (arrow) (A), cylindrical bronchiectasis with lack of bronchial tapering
(arrow) (B), varicose bronchiectasis with string-of-pearls appearance (arrow) (C), and cystic bronchiectasis (arrow) (D).
BA C
D
Abnormal bronchial contour.
*
High-resolution computed tomography image demonstrating bronchiectasis with
bronchial wall thickening (asterisk) and mucous plugging (arrow) in the right lower lobe.
Bronchial wall thickening
Inspiratory high-resolution computed tomography image showing bronchiectasis
and widespread areas of low attenuation, representing air-trapping.
Air-trapping Sign.
High-resolution computed tomography showing a) proximal bronchiectasis affecting
segmental airways and b) high attenuation mucous plugs in patients with allergic
bronchopulmonary aspergillosis. No intravenous contrast medium was used in (b).
a)
b)
Mucous plugs Impaction.
Cystic Bronchiectasis. CT: Markedly dilated bronchi are seen, some
with air-fluid levels (yellow arrows), mostly in the right lung.
Cystic changes with air-fluid levels.
High-resolution computed tomography
image showing cystic bronchiectasis.
Cystic Bronchiectasis. CT: Markedly dilated bronchi are seen, some with air-fluid levels.
Cystic Bronchiectasis. CT: Markedly dilated bronchi are seen, some with air-fluid levels.
Cystic Bronchiectasis. X-Ray and CT: Dilated bronchi are seen, some with air-fluid levels.
Cystic Bronchiectasis.
Endoluminal Obstruction by Tumor Most
carcinoid tumors are primarily endobronchial
lesions, occurring in the central, main, or
segmental bronchi. Some small tumors are
located entirely within the lumen. However,
some display a dominant extraluminal
component with only a small part of the
tumor lying within the airway (iceberg
lesion). A variety of other benign and
malignant neoplasms can also result in
obstruction leading to focal bronchiectasis.
Carcinoid. This predominantly endobronchial tumor, arising before bifurcation
of left upper and lower lobe bronchi, causes distal bronchiectasis. Transverse
images of tumor (arrow, A) and distal bronchiectasis (arrows, B).
Carcinoid. This predominantly endobronchial tumor, arising before bifurcation of
left upper and lower lobe bronchi, causes distal bronchiectasis. Coronal oblique
image (C) and volume-rendering reformation (D) in similar orientation as A and B
show central carcinoid tumor (arrows) and distal bronchiectasis (arrowheads, C).
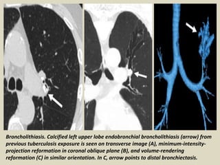
Broncholithiasis Calcified or ossified material within
the bronchial lumen can cause focal bronchiectasis.
By far the most common cause of broncholithiasis is
erosion by and extrusion of a calcified adjacent lymph
node, usually associated with a long-standing focus of
necrotizing granulomatous lymphadenitis, especially
after tuberculosis. Nevertheless, the frequency of
broncholithiasis complicating granulomatous
infection is quite low. The most common sites are the
proximal right middle lobe bronchus and the origin of
the anterior segmental bronchus of the upper lobes
because of airway anatomy and lymph node
distribution.
Broncholithiasis. Calcified left upper lobe endobronchial broncholithiasis (arrow) from
previous tuberculosis exposure is seen on transverse image (A), minimum-intensity-
projection reformation in coronal oblique plane (B), and volume-rendering
reformation (C) in similar orientation. In C, arrow points to distal bronchiectasis.
Congenital stenosis of left mainstem bronchus. Transverse images show
stenosis (arrow, A), distal bronchiectasis, and mucoid impaction (arrows, B).
Airway stenosis causing focal bronchiectasis can result from a broad spectrum of entities including
infection, intubation stricture, healing of a tracheostomy stoma, tracheobronchopathia
osteochondroplastica, amyloidosis, relapsing polychondritis, sarcoidosis, and fibrosing mediastinitis.
Focal bronchiectasis (idiopathic) in left lower lobe (arrow).
Bronchial Atresia
The most common cause of
congenital focal bronchiectasis
is bronchial atresia,
characterized by obliteration
of a bronchus with distal
bronchiectasis, mucoid
impaction, and air trapping
that is most commonly seen in
the left upper lobe. In this rare
lesion, the bronchial tree
peripheral to the point of
obliteration is patent and the
lung parenchyma is
overinflated because of
collateral air drift.
Bronchial atresia. Transverse image of focal bronchiectasis (arrow) distal to
bronchial atresia associated with hyperlucency and hyperexpansion of left lung.
Post-radiation fibrosis. Right para-mediastinal fibrotic changes, which developed after
treatment of lung cancer, are associated with traction bronchiectasis (arrows).
Young adult with cystic fibrosis. Chronic
right upper lobe collapse (arrow)
Young adult female with cystic fibrosis. Long
standing middle and lingular collapse
(arrows) Background severe bronchiectasis.
Cystic Fibrosis The most common cause of congenital upper-lung-predominant bronchiectasis
is cystic fibrosis, commonly associated with enlarged lung volumes and interstitial alterations.
An autosomal recessive genetic disorder causing ineffective clearance of secretions, cystic
fibrosis presents with recurrent pneumonias, sinusitis, pancreatic insufficiency, and infertility.
Milder forms of cystic fibrosis, however, can remain unrecognized until adulthood.
Cystic fibrosis. Transverse (A) and coronal (B) images show upper
lobe predominance of cystic bronchiectasis (arrows) and volume
loss, enlarged lung volumes, and diffuse heterogeneous attenuation.
Young adult with cystic fibrosis. Arrow:
Cylindrical (tubular) bronchiectasis.
Elderly male with idiopathic pulmonary
fibrosis. Arrow: varicose bronchiectasis.
Sarcoidosis. Transverse images show fibrosis and traction bronchiectasis
(arrows, B) that predominantly involve upper lobes.
Sarcoidosis Parenchymal involvement by sarcoidosis can lead to upper and mid lung
fibrosis and traction bronchiectasis, typically associated with multiple nodules in a
perilymphatic distribution. Mediastinal and bilateral symmetric lymphadenopathy is
common, although it can regress as the interstitial disease worsens
Kartagener's syndrome. Transverse CT image confirms dextrocardia (asterisk is in left
ventricle) and bronchiectasis (arrows) that predominantly affects midportion of lungs.
Immobile Cilia Syndrome This rare congenital cause of bronchiectasis, which
primarily involves the middle lung, is characterized by ineffective clearing of secretions,
causing bronchiectasis, recurrent pneumonias, sinusitis, and infertility. In 50% of cases,
total situs inversus is present, a condition known as Kartagener's syndrome.
Mounier-Kuhn's syndrome. Enlarged mainstem bronchi
(black arrows) and distal bronchiectasis (white arrows).
Mounier-Kuhn syndrome, also known as tracheobronchomegaly, is a rare
congenital abnormality of the trachea and main bronchi characterized by
cystic dilatation of the tracheobronchial tree and recurrent respiratory infections.
Mounier-Kuhn Syndrome. Two axial CT images of the thorax demonstrate marked dilatation of the
trachea (T) and right (R) and left (L) main bronchi in this patient with Mounier-Kuhn syndrome. Notice
the bronchiectasis (red arrows and red circle) in which the bronchi are larger than their accompanying
blood vessel and there is tram=tracking of thickened bronchial walls seen in profile.
Elderly male with COPD and upper lobe bronchiectasis
and scarring. New hemoptysis. Questionable soft tissue
nodule within a left upper lobe bullous (arrow).
Axial CT scan on lung windows. Mycetoma
within the left upper lobe bullous (arrow).
Coronal reformat demonstrating bilateral upper lobe bullae,
scarring and bronchiectasis with a fungus ball on the left (arrow).
MPR in MIP demonstrates hypervascular area of bronchiectasis with multiple
cysts containing air mucus at postero basal segment of left lower lobe.
MPR (oblique section) in MIP demonstrates area
of bronchiectasis at posterior basal segment.
MPR (axial section) in MIP demonstrates areas of
bronchiectasis at posterior basal segments at both sides.
CT show marked dilatation of the trachea, left and right bronchi with
multiple diverticula (arrow heads), and bilateral cystic bronchiectasis.
HRCT features of NSIP include extensive ground-glass areas in the lung (black arrows) and
traction bronchiectasis. This bronchiectasis frequently shows a parallel course through the lung,
well depicted by sagittal reconstruction in D (black dotted arrows). There is no honeycombing in
the lung. Cystic bronchiectasis is generally well documented by MPR images
Cystic bronchiectasis in middle lobe. Chest x ray and MDCT (axial, coronal and sagittal).
Bilateral cystic bronchiectasis.
Vascular abnormalities.
Dilated bronchial arteries. These are best
demonstrated post administration of intravenous
contrast. These tortuous vessels extend along the
central airways toward the hila. It is these vessels that
are often responsible for hemoptysis, a symptom
these patients may describe.
Dilated main pulmonary artery. This usually indicates
underlying pulmonary hypertension as a sequelae of
chronic, severe lung disease.
Other findings
Lobar collapse.
Mycetoma formation (Fungus ball)
Aspergillus fumigatus is a fungus that may colonise dilated
airways or bullae/cavities. It is an important cause of
hemoptysis.
Contrast enhanced CT scan in a coronal reformat. Dilated
bronchial arteries course through the mediastinum. (arrows).
Coronal reconstruction from high-resolution computed
Tomography showing a bronchial collateral vessel.
a) Transverse magnetic resonance (T2-weighted half-Fourier acquisition single-shot turbo spin
echo (HASTE)) image and b) corresponding computed tomography image in a 14-year-old female
with cystic fibrosis. In both images, bronchial wall thickening, bronchiectasis, peripheral mucous
plugging and dorsal consolidations are demonstrated, as shown by the arrows.
Bilateral upper lobes cystic bronchiectasis with air fluid level, MRI images.
MRI images with cystic bronchiectasis.
T1-weighted magnetic resonance imaging showing appearance a) before and b) after
contrast medium in a 43-year-old cystic fibrosis patient. The post-contrast images
demonstrate extensive bronchial wall enhancement and permit differentiation of a thickened
wall from intrabronchial secretions, with intrabronchial fluid having an air–fluid level (arrow).
Diagnostic approach to bronchiectasis.
Thank You.

Presentation1.pptx, radiological imaging of bronchiectasis.

  • 1.
    Radiological imaging ofbronchiectasis. Dr/ ABD ALLAH NAZEER. MD.
  • 3.
    Clinical Findings: Classical clinicaltriad: chronic cough, excess sputum production and repeated infection Hemoptysis. Shortness of breath. Wheezing. Fever is rare even with infection.
  • 4.
  • 5.
    Imaging Findings Location Proximal, frequentlyupper lobe, bronchiectasis is characteristic of allergic bronchopulmonary aspergillosis (ABPA) Bronchiectasis from viral or pyogenic infections is usually at the bases Tuberculous bronchiectasis is usually at the apices Diffuse bronchiectasis Impaired mucus clearing e.g. cystic fibrosis and Kartagener Chronic diffuse airways disease (chronic bronchitis, asthma, bronchiolitis obliterans Immune deficiency states CT is the study of choice with a sensitivity of up to 97% and a specificity up to 99% Signet ring appearance on CT : normally, the vessel is larger than the corresponding bronchus In bronchiectasis, the bronchus is larger than the corresponding vessel “Tramlines” or “honeycombing” represents dilated, thickened bronchial walls Volume loss due to destruction of lung tissue Multiple small nodular densities from plugged alveoli Lack of normal, bronchial tapering Non uniform bronchial dilation Cystic lesions, often with air-fluid levels, and frequently in a cluster Bronchial wall thickening.
  • 6.
    MRI has potentialin the imaging of bronchiectasis, particularly in conditions such as CF, in which young patients may require serial imaging for disease monitoring and assessment of response to treatment. Compared to HRCT, the ability of MR to provide functional imaging and lack of radiation could compensate for its limited spatial resolution. With improvement in MRI techniques, recent studies have shown good reproducibility and good correlation with PFT results. Further work is required to improve spatial resolution, develop robust validated scoring systems and evaluate correlations with clinical outcomes. Currently cost, limited availability and limited spatial resolution limit the use of MRI in bronchiectasis largely to the research arena. Although hyperpolarized noble gas imaging has great potential in terms of provision of functional data, technical issues and set-up and ongoing costs suggest its role will be limited to research for the foreseeable future.
  • 7.
    Scintigraphy Prior to theadvent of HRCT, ventilation (with or without perfusion) scintigraphy was used to aid disease evaluation in bronchiectasis. DOLLERY and HUGH-JONES studied the physiological implications of bronchiectasis and found reduced blood flow and impaired ventilation in bronchiectatic areas. V/Q scintigraphy typically demonstrates matched ventilation and perfusion defects, reflecting abnormal ventilation secondary to bronchiectasis and associated small airways obstruction V/Q scintigraphy and lung function are additive tools to aid diagnosis and guide therapeutic management. The ongoing issue of radiation dose and absence of useful anatomical information, however, limit the value of V/Q scintigraphy in routine practice.
  • 13.
    Chest radiography Chest radiography(CXR) is usually the initial study performed in both suspected bronchiectasis and the evaluation of nonspecific respiratory symptoms, such as dyspnea and hemoptysis, when bronchiectasis may be identified incidentally. Signs on CXR include the identification of parallel linear densities, tram-track opacities, or ring shadows reflecting thickened and abnormally dilated bronchial walls. These bronchial abnormalities form a spectrum from subtle or barely perceptible 5-mm ring shadows to obvious cysts. Tubular branching opacities conforming to the expected bronchial branching pattern may result from fluid or mucous filling of bronchi. Peribronchial fibrosis results in a loss of definition of vessel walls. Signs of complications/exacerbations, such as patchy densities due to mucoid impaction and consolidation, volume loss secondary to bronchial mucoid obstruction or chronic cicatrisation, are also seen. In the more diffuse forms of bronchiectasis, such as cystic fibrosis (CF), generalized hyperinflation and oligaemia are often present, consistent with severe small airways obstruction.
  • 14.
    Chest radiography showinga) cystic bronchiectasis with multiple cystic airspaces and b) cylindrical bronchiectasis and tram track opacities in a cystic fibrosis patient. (a) (b)
  • 15.
    Chest radiographs: Demonstratethin-walled, cystic structures in right lower lobe (white arrow), some with air-fluid levels (yellow arrows).
  • 18.
    Cystic bronchiectasis withair-fluid levels.
  • 20.
    CT signs ofbronchiectasis Signet ring appearance on CT: normally, the vessel is larger than the corresponding bronchus in bronchiectasis, the bronchus is larger than the corresponding vessel. Bronchial dilation, the cardinal sign of bronchiectasis, is characterised on HRCT by a bronchoarterial ratio (BAR) of .1, lack of bronchial tapering, and visibility of airways within 1 cm of the pleural surface or abutting the mediastinal pleural surface. “Tramlines” or “honeycombing” represents dilated, thickened bronchial walls. Volume loss due to destruction of lung tissue. Multiple small nodular densities from plugged alveoli. Lack of normal, bronchial tapering Non uniform bronchial dilation Cystic lesions, often with air-fluid levels, and frequently in a cluster Bronchial wall thickening.
  • 21.
    SIGNET RING SIGN.Chest CT shows small bronchiectasis.
  • 22.
    SIGNET RING SIGN.Chest CT shows small bronchiectasis.
  • 24.
  • 25.
    Axial CT scan.Lower lobe bronchiectasis. Signet-ring sign. Axial CT scan. Lower lobe bronchiectasis. Signet-ring sign.
  • 26.
    High-resolution computed tomographyimage showing non tapering bronchi, in keeping with bronchiectasis. Lack of bronchial tapering.
  • 27.
    Young adult withcystic fibrosis. Coronal CT scan. Widespread bronchiectasis. Lack of bronchial tapering
  • 28.
  • 29.
  • 30.
  • 31.
  • 32.
    Categories of bronchiectasis.Normal bronchus (arrow) (A), cylindrical bronchiectasis with lack of bronchial tapering (arrow) (B), varicose bronchiectasis with string-of-pearls appearance (arrow) (C), and cystic bronchiectasis (arrow) (D). BA C D Abnormal bronchial contour.
  • 34.
    * High-resolution computed tomographyimage demonstrating bronchiectasis with bronchial wall thickening (asterisk) and mucous plugging (arrow) in the right lower lobe. Bronchial wall thickening
  • 35.
    Inspiratory high-resolution computedtomography image showing bronchiectasis and widespread areas of low attenuation, representing air-trapping. Air-trapping Sign.
  • 36.
    High-resolution computed tomographyshowing a) proximal bronchiectasis affecting segmental airways and b) high attenuation mucous plugs in patients with allergic bronchopulmonary aspergillosis. No intravenous contrast medium was used in (b). a) b) Mucous plugs Impaction.
  • 37.
    Cystic Bronchiectasis. CT:Markedly dilated bronchi are seen, some with air-fluid levels (yellow arrows), mostly in the right lung. Cystic changes with air-fluid levels.
  • 38.
    High-resolution computed tomography imageshowing cystic bronchiectasis.
  • 39.
    Cystic Bronchiectasis. CT:Markedly dilated bronchi are seen, some with air-fluid levels.
  • 40.
    Cystic Bronchiectasis. CT:Markedly dilated bronchi are seen, some with air-fluid levels.
  • 41.
    Cystic Bronchiectasis. X-Rayand CT: Dilated bronchi are seen, some with air-fluid levels.
  • 42.
  • 45.
    Endoluminal Obstruction byTumor Most carcinoid tumors are primarily endobronchial lesions, occurring in the central, main, or segmental bronchi. Some small tumors are located entirely within the lumen. However, some display a dominant extraluminal component with only a small part of the tumor lying within the airway (iceberg lesion). A variety of other benign and malignant neoplasms can also result in obstruction leading to focal bronchiectasis.
  • 46.
    Carcinoid. This predominantlyendobronchial tumor, arising before bifurcation of left upper and lower lobe bronchi, causes distal bronchiectasis. Transverse images of tumor (arrow, A) and distal bronchiectasis (arrows, B).
  • 47.
    Carcinoid. This predominantlyendobronchial tumor, arising before bifurcation of left upper and lower lobe bronchi, causes distal bronchiectasis. Coronal oblique image (C) and volume-rendering reformation (D) in similar orientation as A and B show central carcinoid tumor (arrows) and distal bronchiectasis (arrowheads, C).
  • 48.
    Broncholithiasis Calcified orossified material within the bronchial lumen can cause focal bronchiectasis. By far the most common cause of broncholithiasis is erosion by and extrusion of a calcified adjacent lymph node, usually associated with a long-standing focus of necrotizing granulomatous lymphadenitis, especially after tuberculosis. Nevertheless, the frequency of broncholithiasis complicating granulomatous infection is quite low. The most common sites are the proximal right middle lobe bronchus and the origin of the anterior segmental bronchus of the upper lobes because of airway anatomy and lymph node distribution.
  • 49.
    Broncholithiasis. Calcified leftupper lobe endobronchial broncholithiasis (arrow) from previous tuberculosis exposure is seen on transverse image (A), minimum-intensity- projection reformation in coronal oblique plane (B), and volume-rendering reformation (C) in similar orientation. In C, arrow points to distal bronchiectasis.
  • 50.
    Congenital stenosis ofleft mainstem bronchus. Transverse images show stenosis (arrow, A), distal bronchiectasis, and mucoid impaction (arrows, B). Airway stenosis causing focal bronchiectasis can result from a broad spectrum of entities including infection, intubation stricture, healing of a tracheostomy stoma, tracheobronchopathia osteochondroplastica, amyloidosis, relapsing polychondritis, sarcoidosis, and fibrosing mediastinitis.
  • 51.
    Focal bronchiectasis (idiopathic)in left lower lobe (arrow). Bronchial Atresia The most common cause of congenital focal bronchiectasis is bronchial atresia, characterized by obliteration of a bronchus with distal bronchiectasis, mucoid impaction, and air trapping that is most commonly seen in the left upper lobe. In this rare lesion, the bronchial tree peripheral to the point of obliteration is patent and the lung parenchyma is overinflated because of collateral air drift.
  • 52.
    Bronchial atresia. Transverseimage of focal bronchiectasis (arrow) distal to bronchial atresia associated with hyperlucency and hyperexpansion of left lung.
  • 53.
    Post-radiation fibrosis. Rightpara-mediastinal fibrotic changes, which developed after treatment of lung cancer, are associated with traction bronchiectasis (arrows).
  • 54.
    Young adult withcystic fibrosis. Chronic right upper lobe collapse (arrow) Young adult female with cystic fibrosis. Long standing middle and lingular collapse (arrows) Background severe bronchiectasis. Cystic Fibrosis The most common cause of congenital upper-lung-predominant bronchiectasis is cystic fibrosis, commonly associated with enlarged lung volumes and interstitial alterations. An autosomal recessive genetic disorder causing ineffective clearance of secretions, cystic fibrosis presents with recurrent pneumonias, sinusitis, pancreatic insufficiency, and infertility. Milder forms of cystic fibrosis, however, can remain unrecognized until adulthood.
  • 55.
    Cystic fibrosis. Transverse(A) and coronal (B) images show upper lobe predominance of cystic bronchiectasis (arrows) and volume loss, enlarged lung volumes, and diffuse heterogeneous attenuation.
  • 56.
    Young adult withcystic fibrosis. Arrow: Cylindrical (tubular) bronchiectasis. Elderly male with idiopathic pulmonary fibrosis. Arrow: varicose bronchiectasis.
  • 57.
    Sarcoidosis. Transverse imagesshow fibrosis and traction bronchiectasis (arrows, B) that predominantly involve upper lobes. Sarcoidosis Parenchymal involvement by sarcoidosis can lead to upper and mid lung fibrosis and traction bronchiectasis, typically associated with multiple nodules in a perilymphatic distribution. Mediastinal and bilateral symmetric lymphadenopathy is common, although it can regress as the interstitial disease worsens
  • 58.
    Kartagener's syndrome. TransverseCT image confirms dextrocardia (asterisk is in left ventricle) and bronchiectasis (arrows) that predominantly affects midportion of lungs. Immobile Cilia Syndrome This rare congenital cause of bronchiectasis, which primarily involves the middle lung, is characterized by ineffective clearing of secretions, causing bronchiectasis, recurrent pneumonias, sinusitis, and infertility. In 50% of cases, total situs inversus is present, a condition known as Kartagener's syndrome.
  • 59.
    Mounier-Kuhn's syndrome. Enlargedmainstem bronchi (black arrows) and distal bronchiectasis (white arrows).
  • 60.
    Mounier-Kuhn syndrome, alsoknown as tracheobronchomegaly, is a rare congenital abnormality of the trachea and main bronchi characterized by cystic dilatation of the tracheobronchial tree and recurrent respiratory infections.
  • 61.
    Mounier-Kuhn Syndrome. Twoaxial CT images of the thorax demonstrate marked dilatation of the trachea (T) and right (R) and left (L) main bronchi in this patient with Mounier-Kuhn syndrome. Notice the bronchiectasis (red arrows and red circle) in which the bronchi are larger than their accompanying blood vessel and there is tram=tracking of thickened bronchial walls seen in profile.
  • 62.
    Elderly male withCOPD and upper lobe bronchiectasis and scarring. New hemoptysis. Questionable soft tissue nodule within a left upper lobe bullous (arrow). Axial CT scan on lung windows. Mycetoma within the left upper lobe bullous (arrow).
  • 63.
    Coronal reformat demonstratingbilateral upper lobe bullae, scarring and bronchiectasis with a fungus ball on the left (arrow).
  • 64.
    MPR in MIPdemonstrates hypervascular area of bronchiectasis with multiple cysts containing air mucus at postero basal segment of left lower lobe.
  • 65.
    MPR (oblique section)in MIP demonstrates area of bronchiectasis at posterior basal segment.
  • 66.
    MPR (axial section)in MIP demonstrates areas of bronchiectasis at posterior basal segments at both sides.
  • 67.
    CT show markeddilatation of the trachea, left and right bronchi with multiple diverticula (arrow heads), and bilateral cystic bronchiectasis.
  • 69.
    HRCT features ofNSIP include extensive ground-glass areas in the lung (black arrows) and traction bronchiectasis. This bronchiectasis frequently shows a parallel course through the lung, well depicted by sagittal reconstruction in D (black dotted arrows). There is no honeycombing in the lung. Cystic bronchiectasis is generally well documented by MPR images
  • 70.
    Cystic bronchiectasis inmiddle lobe. Chest x ray and MDCT (axial, coronal and sagittal).
  • 71.
  • 72.
    Vascular abnormalities. Dilated bronchialarteries. These are best demonstrated post administration of intravenous contrast. These tortuous vessels extend along the central airways toward the hila. It is these vessels that are often responsible for hemoptysis, a symptom these patients may describe. Dilated main pulmonary artery. This usually indicates underlying pulmonary hypertension as a sequelae of chronic, severe lung disease. Other findings Lobar collapse. Mycetoma formation (Fungus ball) Aspergillus fumigatus is a fungus that may colonise dilated airways or bullae/cavities. It is an important cause of hemoptysis.
  • 73.
    Contrast enhanced CTscan in a coronal reformat. Dilated bronchial arteries course through the mediastinum. (arrows).
  • 74.
    Coronal reconstruction fromhigh-resolution computed Tomography showing a bronchial collateral vessel.
  • 75.
    a) Transverse magneticresonance (T2-weighted half-Fourier acquisition single-shot turbo spin echo (HASTE)) image and b) corresponding computed tomography image in a 14-year-old female with cystic fibrosis. In both images, bronchial wall thickening, bronchiectasis, peripheral mucous plugging and dorsal consolidations are demonstrated, as shown by the arrows.
  • 76.
    Bilateral upper lobescystic bronchiectasis with air fluid level, MRI images.
  • 77.
    MRI images withcystic bronchiectasis.
  • 78.
    T1-weighted magnetic resonanceimaging showing appearance a) before and b) after contrast medium in a 43-year-old cystic fibrosis patient. The post-contrast images demonstrate extensive bronchial wall enhancement and permit differentiation of a thickened wall from intrabronchial secretions, with intrabronchial fluid having an air–fluid level (arrow).
  • 79.
    Diagnostic approach tobronchiectasis.
  • 80.