CHEST X RAY BASICS AND
INTERPRETATION
Dr. R. SOMASKANDAN
FINAL YEAR MEM PG
DEPARTMENT OF EMERGENCY
MEDICINE
VMCH
INTRODUCTION
WILHELM KONARD
ROENTGEN
Radiographic densities
 Black - air
 Dark grey - fat
 Light grey - soft tissue
 Off white - bone
 Bright white - metal
X ray chest views
 PA
 AP
 Lateral
 Lateral decubitus
 Oblique
 Lordotic view
D/W PA and AP view
PA VIEW AP VIEW
Scapula Seen in periphery of thorax Seen over lung fields
Clavicles project over lung fields Above the apex of lung field
Ribs Posterior ribs distinct Anterior ribs distinct
Spine Clearly seen not clearly seen
Decubitus view
 Useful for differentiating pleural effusions from
consolidation .
Lordotic view
 Used to visualize the apex of the lung , to pick
up abnormality such as a pancoast tumour
Assessment of image quality
 Inspiration or expiration
 Penetration
 Rotation
D/W inspiration and expiration
 The diaphragm should be intersected by the
6th to 8th anterior ribs or 9-11th ribs posterior is
complete inspiration
Penetration/Exposure
 It is the degree to which X – ray have passed
through the body .
 In in a well exposed film only the spinous
processes of the first four thoracic vertebra are
seen ,others are hidden by cardiac shadow .
Rotation
 To check is the film well centralized whether
the medial end of clavicle are equidistant from
the vertebral spinous processes
 Film must be well centered to comment on
 Mediastinal shift
 Cardiomegaly
Approach to CXR
 Airway
 Bones and soft tissue
 Cardiac
 Diaphargm
 Effusions
 Fields (lung)
 Gastric
 Hila and mediastinum
Airway trachea
 Trachea gets pushed away from abnormality, eg
pleural effusion or tension pneumothorax
 Trachea gets pulled towards abnormality, eg
atelectasis
 Beware of things that may increase this angle, eg
left atrial enlargement, lymph node enlargement
and left upper lobe atelectasis
 Follow out both main stem bronchi
 Check for tubes, pacemaker, wires, lines foreign
bodies etc
 If an endotracheal tube is in place, check the
positioning, the distal tip of the tube should be 3-
4cm above the carina
Airway mediastinum
 Mass lesions (eg tumour, lymph nodes)
 Inflammation (eg mediastinitis, granulomatous
inflammation)
 Trauma and dissection (eg haematoma,
aneurysm of the major mediastinal vessels)
Bones and soft tissue
 Check for fractures, dislocation, subluxation in
clavicles, ribs, thoracic , spine .
 At this time also check the soft tissues for
subcutaneous air, foreign bodies and surgical
clips
 Caution with nipple shadows, which may mimic
intrapulmonary nodules
 Compare side to side, if on both sides the
“nodules” in question are in the same position,
then they are likely to be due to nipple shadows
cardiac
Check heart size and heart borders
 Appropriate or blunted
 Thin rim of air around the heart, think of
pneumomediastinum
Check aorta
 Widening, tortuosity, calcification
Check heart valves
 Calcification, valve replacements
Check SVC, IVC, azygos vein
 Widening, tortuosity
Diaphragm
Right hemidiaphragm
 Should be higher than the left
 If much higher, think of effusion, lobar collapse,
diaphragmatic paralysis
 If you cannot see parts of the diaphragm,
consider infiltrate or effusion
If film is taken in erect or upright position you may
see free air under the diaphragm if intra-
abdominal perforation is present
Effusion
 Look for blunting of the costophrenic angle
 Identify the major fissures, if you can see
them more obvious than usual, then this could
mean that fluid is tracking along the fissure
Check out the pleura
 Thickening, loculations, calcifications and
pneumothorax
Fields ( lung fields )
 Check for infiltrates
 Identify the location of infiltrates by use of
known radiological phenomena, eg loss of
heart borders or of the contour of the
diaphragm
 The lingula abuts the left side of the heart
Cont …..
 Identify the pattern of infiltration
 Interstitial pattern (reticular) versus alveolar
(patchy or nodular) pattern
 Lobar collapse
 Look for air bronchograms, tram tracking,
nodules, Kerley B lines
Lung zones
Fissures in lung
Gastric
 Look for fee air
 Look for bowel loops between diaphragm and
liver
Hilum
Check the position and size bilaterally
 Enlarged lymph nodes
 Calcified nodules
 Mass lesions
Read the CXR
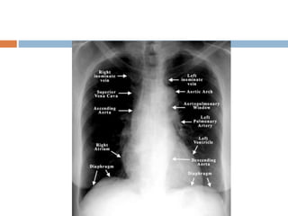
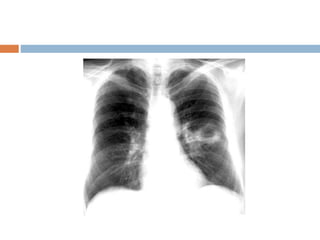
How to read a normal CXR
 This is chest radigraph , PA view with normal
exposure , no rotation and without any
apparent bony abnormality . Trachea is placed
centrally and lung fields are clear with normal
broncho- vescicular markings . Cardivascular
silhoutte is within normal limits with normal
cardiothoracic ratio. Mediastinum, costo
phrenic , cardio phrenic angles , dome of
diaphragm and soft tissue shadow within
normal limits .
The obvious abnormality
 It is often appropriate to start by describing the
most striking abnormality . However , once you
have done this, it is vital to continue checking
the rest of the image . Remember that the
most obvious abnormality may not be the most
clinically important .
Airway abnormality
 Tracheal deviation
 Ipsilateral : collapse and fibrosis
 Contralateral : apical mass ,pleural effusion and
pneumothorax
 Foreign body
Bones and soft tissue
 Bones
 Fractures
 Dislocation
 Malignancy
 Soft tissue
 Subcutaneous emphysema
 Breast cancer
Soft tissue abnormalities
Subcutaneous emphysema
there is often straited lucencies in the soft
tissue that may outline muscle fibres . If
affecting the anterior chect wall ,
subcutaneous emphysema can outline the
pectoralis major muscle , giving rise to the
ginkgo leaf sign .
 Breast cancer
 increased soft tissue density with mass projected
on breast and axilla
Cardiac abnormalities
Cardiomegaly
the cardiothoracic ratio should be less than 0.5
i.e A+B/C < 0.5
Cardiac abnormalities
Left ventricular enlargment
 Left border is displaced leftward , inferiorly ,
posteriorly .
 Rounding of apex
Cardiac abnormalities
Right ventricular enlargement
 Rounded left heart border
 Uplift cardiac apex
Cardiac abnormalities
Pericardial effusion
Globular enlargemenet ( water bottle
appearance )
Cardiac abnormalities
Congenital heart disease (tetralogy of fallot )
wooden shoe or boot shaped
heart
Diaphragm abnormalities
Hiatus hernia
it occurs when there is herniation abdominal
content through the oesophageal hiatus of
diaphragm into thoracic cavity
Diaphragm abnormalities
Pneumoperitoneum
Diaphragm abnormalities
Chilaiditi syndrome
it is a rare condition in which a portion of the
colon is abnormally located in between the
liver and diaphragm . (
pseudopneumoperitoneum )
Rugal
folds
Pleural Effusion
 On an upright film, an effusion will cause blunting
on the lateral costophrenicsulcus and, if large
enough, on the posterior costophrenicsulcus.
 Approximately 200 ml of fluid are needed to detect
an effusion in a PA film, while approximately 75 ml
of fluid would be visible in the lateral view
 In the AP film, an effusion will appear as a graded
haze that is denser at the base
 A lateral decubitus film is helpful in confirming an
effusion as the fluid will collect on the dependent
side
Massive pleural effusion
 Opacification of entire hemithorax and shifting
of mediastinum to opposite side
 If the effusion crosses 2nd rib anterior border it
is said to be massive
 If it crosses 4th rib it is said to be moderate
 Below 4th rib is mild
White out lung
Pneumothorax
 Appears in the chest radiograph as air without
lung markings
Lung field abnormality
Abnormal whiteness ( increased density )
 Consolidation
 Atelectasis
 Pneumonia
 Pulmonary edema
Abnormal blackness ( decreased density )
 Cavity
 Emphysema
 Cyst
Consolidation
 The lung is said to be consolidated when the
alveoli and small airways are filled with dense
material.
 This dense material may consist of:
•Pus (pneumonia)
•Fluid (pulmonary edema)
•Blood (pulmonary hemorrhage)
•Cells (cancer)
 It may be
 Lobar
 Diffuse
 Multifocal ill defined
Air bronchogram
 It refers to the phenomenon of air filled brochi
being made visible by the opacification of
surrounding alveoli
Lobar consolidation
Atelectasis
 Almost always associated with a linear
increased density due to volume loss
 Indirect indications of volume loss include
vascular crowding or mediastinal shift toward
the collapse
 Possible observance of hilar elevation with an
upper lobe collapse, or a hilar depression with
a lower lobe collapse
Miliary TB
 Miliary deposits appear as 1-3 mm diameter
nodules , which are uniform in size and
distribution
Pneumonia
 Typical findings on the chest radiograph
include:
 Airspace opacity
 Lobar consolidation
 Interstitial opacities
Pulmonary Edema (intertitial)
There are two basic types of pulmonary edema:
 Cardiogenic pulmonary edema caused by
increased pulmonary capillary pressure
 Noncardiogenicpulmonary edema caused by
either altered capillary membrane permeability
or decreased plasma oncotic pressure
Pulmonary edema
Interstitial disease
 Ground glass appearance
Pulmonary mass
 It is an area of pulmonary opacification that
measures more than 3 cm . The commonest
cause for a pulmonary mass is lung cancer .
Pulmonary cavity
 Are gas filled areas of the lung in the center of
a nodule , mass or area of consolidation .
 Cancer – bronchogenic ca
 Autoimmune , granulomas – rheumatoid nodules
 Infection – pulmonary abcess, PTB
Pulmonary emphysema
 Flattened hemidiaphragm
 Narrow mediastinum
Flat diaphragm
 When the maximum perpendicular height from
the supirior border of the diaphragm to a line
drawn between the costophrenic and
cardiophrenic angles in PA view is less than
1.5 cm .
Hilum abnormalities
 Hilar position
 Whether it is pushed or pulled
 The left hilum must never be lower the right hilum
.
it denotes collapse of either the left lower lobe or
of the right upper lobe
Hilar abnormalities
Hilar enlargement
it may be unilateral or bilateral
ex TB, lung tumor ,silicosis
Mediastinal abnormalities
 Aortic dissection
 Mediastinal widening
 Irregularity of the aortic contour
 Double aortic contour
Mediastinal abnormalities
 Aortic aneurysms
 widening of the mediastinum
 Enlargement of the aortic knob
Mediastinal abnormalities
Pneumomediastinum
small amount of air appear as linear or
curvilinear lucencies outlining mediastinal
contours .
 Signs of pneumomediastinum
 Ring around artery sing
 Tubular artery sign
 Continuous diaphragm sign
 Angle wing sign
Ring around artery sign
Air around pulmonary artery and main braches .
Tubular artery sign
Air outlining major aortic branches
Continuous diaphragm sign
 Air trapped posterior to pericardium
Angle wing sign
 Seen on neonatal PA CXR when thymic lobes
are displaced laterally by air .
Mediastinal abnormalities
 Masses
 Thymoma
 Lymphoma
 Neurogenic tumor
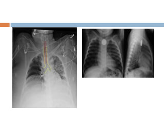
Lines and tubes
 Nasogastric tube
 Endotracheal tube
 Central venous catheter
 Intercostal tube drinage
 Pacemakers
Nasogastric tube
 Correct position – 10 cm distal to the sastro
oesophageal junction i.e below the left
hemidiapharm
Endotracheal tube
 ETT tip 5 cm +/- 2 cm above carina
 i.e at the level of medial ends of clavicle
Central venous line
 Cv line tip in the superior vena cava or at the
cavo atrial junction i.e at the level of 1st
anterior intercostal space above carina
Intercostal tube
 ICD tip lies between visceral and parietal
pleura
 Anterosuperiorly to drain pneumothorax
 Posteroinferiorly to drain haemothorax
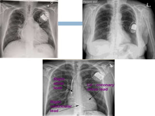
Pacemakers
 Single chamber – tip in right appendage or
right ventricular apex
 Dual chamber – tip in right atrium and right
ventricular apex
 Biventricular – tips in right atrium ,ventricle and
coronary sinus
chest X ray basics and interpretation
chest X ray basics and interpretation

chest X ray basics and interpretation

  • 1.
    CHEST X RAYBASICS AND INTERPRETATION Dr. R. SOMASKANDAN FINAL YEAR MEM PG DEPARTMENT OF EMERGENCY MEDICINE VMCH
  • 2.
  • 3.
    Radiographic densities  Black- air  Dark grey - fat  Light grey - soft tissue  Off white - bone  Bright white - metal
  • 4.
    X ray chestviews  PA  AP  Lateral  Lateral decubitus  Oblique  Lordotic view
  • 5.
    D/W PA andAP view PA VIEW AP VIEW Scapula Seen in periphery of thorax Seen over lung fields Clavicles project over lung fields Above the apex of lung field Ribs Posterior ribs distinct Anterior ribs distinct Spine Clearly seen not clearly seen
  • 7.
    Decubitus view  Usefulfor differentiating pleural effusions from consolidation .
  • 8.
    Lordotic view  Usedto visualize the apex of the lung , to pick up abnormality such as a pancoast tumour
  • 9.
    Assessment of imagequality  Inspiration or expiration  Penetration  Rotation
  • 10.
    D/W inspiration andexpiration  The diaphragm should be intersected by the 6th to 8th anterior ribs or 9-11th ribs posterior is complete inspiration
  • 11.
    Penetration/Exposure  It isthe degree to which X – ray have passed through the body .  In in a well exposed film only the spinous processes of the first four thoracic vertebra are seen ,others are hidden by cardiac shadow .
  • 12.
    Rotation  To checkis the film well centralized whether the medial end of clavicle are equidistant from the vertebral spinous processes  Film must be well centered to comment on  Mediastinal shift  Cardiomegaly
  • 13.
    Approach to CXR Airway  Bones and soft tissue  Cardiac  Diaphargm  Effusions  Fields (lung)  Gastric  Hila and mediastinum
  • 14.
    Airway trachea  Tracheagets pushed away from abnormality, eg pleural effusion or tension pneumothorax  Trachea gets pulled towards abnormality, eg atelectasis  Beware of things that may increase this angle, eg left atrial enlargement, lymph node enlargement and left upper lobe atelectasis  Follow out both main stem bronchi  Check for tubes, pacemaker, wires, lines foreign bodies etc  If an endotracheal tube is in place, check the positioning, the distal tip of the tube should be 3- 4cm above the carina
  • 17.
    Airway mediastinum  Masslesions (eg tumour, lymph nodes)  Inflammation (eg mediastinitis, granulomatous inflammation)  Trauma and dissection (eg haematoma, aneurysm of the major mediastinal vessels)
  • 19.
    Bones and softtissue  Check for fractures, dislocation, subluxation in clavicles, ribs, thoracic , spine .  At this time also check the soft tissues for subcutaneous air, foreign bodies and surgical clips  Caution with nipple shadows, which may mimic intrapulmonary nodules  Compare side to side, if on both sides the “nodules” in question are in the same position, then they are likely to be due to nipple shadows
  • 21.
    cardiac Check heart sizeand heart borders  Appropriate or blunted  Thin rim of air around the heart, think of pneumomediastinum Check aorta  Widening, tortuosity, calcification Check heart valves  Calcification, valve replacements Check SVC, IVC, azygos vein  Widening, tortuosity
  • 23.
    Diaphragm Right hemidiaphragm  Shouldbe higher than the left  If much higher, think of effusion, lobar collapse, diaphragmatic paralysis  If you cannot see parts of the diaphragm, consider infiltrate or effusion If film is taken in erect or upright position you may see free air under the diaphragm if intra- abdominal perforation is present
  • 25.
    Effusion  Look forblunting of the costophrenic angle  Identify the major fissures, if you can see them more obvious than usual, then this could mean that fluid is tracking along the fissure Check out the pleura  Thickening, loculations, calcifications and pneumothorax
  • 27.
    Fields ( lungfields )  Check for infiltrates  Identify the location of infiltrates by use of known radiological phenomena, eg loss of heart borders or of the contour of the diaphragm  The lingula abuts the left side of the heart
  • 28.
    Cont …..  Identifythe pattern of infiltration  Interstitial pattern (reticular) versus alveolar (patchy or nodular) pattern  Lobar collapse  Look for air bronchograms, tram tracking, nodules, Kerley B lines
  • 29.
  • 30.
  • 31.
    Gastric  Look forfee air  Look for bowel loops between diaphragm and liver
  • 33.
    Hilum Check the positionand size bilaterally  Enlarged lymph nodes  Calcified nodules  Mass lesions
  • 35.
  • 36.
    How to reada normal CXR  This is chest radigraph , PA view with normal exposure , no rotation and without any apparent bony abnormality . Trachea is placed centrally and lung fields are clear with normal broncho- vescicular markings . Cardivascular silhoutte is within normal limits with normal cardiothoracic ratio. Mediastinum, costo phrenic , cardio phrenic angles , dome of diaphragm and soft tissue shadow within normal limits .
  • 37.
    The obvious abnormality It is often appropriate to start by describing the most striking abnormality . However , once you have done this, it is vital to continue checking the rest of the image . Remember that the most obvious abnormality may not be the most clinically important .
  • 38.
    Airway abnormality  Trachealdeviation  Ipsilateral : collapse and fibrosis  Contralateral : apical mass ,pleural effusion and pneumothorax  Foreign body
  • 40.
    Bones and softtissue  Bones  Fractures  Dislocation  Malignancy  Soft tissue  Subcutaneous emphysema  Breast cancer
  • 42.
    Soft tissue abnormalities Subcutaneousemphysema there is often straited lucencies in the soft tissue that may outline muscle fibres . If affecting the anterior chect wall , subcutaneous emphysema can outline the pectoralis major muscle , giving rise to the ginkgo leaf sign .
  • 43.
     Breast cancer increased soft tissue density with mass projected on breast and axilla
  • 44.
    Cardiac abnormalities Cardiomegaly the cardiothoracicratio should be less than 0.5 i.e A+B/C < 0.5
  • 45.
    Cardiac abnormalities Left ventricularenlargment  Left border is displaced leftward , inferiorly , posteriorly .  Rounding of apex
  • 46.
    Cardiac abnormalities Right ventricularenlargement  Rounded left heart border  Uplift cardiac apex
  • 47.
    Cardiac abnormalities Pericardial effusion Globularenlargemenet ( water bottle appearance )
  • 48.
    Cardiac abnormalities Congenital heartdisease (tetralogy of fallot ) wooden shoe or boot shaped heart
  • 49.
    Diaphragm abnormalities Hiatus hernia itoccurs when there is herniation abdominal content through the oesophageal hiatus of diaphragm into thoracic cavity
  • 50.
  • 51.
    Diaphragm abnormalities Chilaiditi syndrome itis a rare condition in which a portion of the colon is abnormally located in between the liver and diaphragm . ( pseudopneumoperitoneum ) Rugal folds
  • 52.
    Pleural Effusion  Onan upright film, an effusion will cause blunting on the lateral costophrenicsulcus and, if large enough, on the posterior costophrenicsulcus.  Approximately 200 ml of fluid are needed to detect an effusion in a PA film, while approximately 75 ml of fluid would be visible in the lateral view  In the AP film, an effusion will appear as a graded haze that is denser at the base  A lateral decubitus film is helpful in confirming an effusion as the fluid will collect on the dependent side
  • 54.
    Massive pleural effusion Opacification of entire hemithorax and shifting of mediastinum to opposite side  If the effusion crosses 2nd rib anterior border it is said to be massive  If it crosses 4th rib it is said to be moderate  Below 4th rib is mild
  • 55.
  • 56.
    Pneumothorax  Appears inthe chest radiograph as air without lung markings
  • 57.
    Lung field abnormality Abnormalwhiteness ( increased density )  Consolidation  Atelectasis  Pneumonia  Pulmonary edema Abnormal blackness ( decreased density )  Cavity  Emphysema  Cyst
  • 58.
    Consolidation  The lungis said to be consolidated when the alveoli and small airways are filled with dense material.  This dense material may consist of: •Pus (pneumonia) •Fluid (pulmonary edema) •Blood (pulmonary hemorrhage) •Cells (cancer)  It may be  Lobar  Diffuse  Multifocal ill defined
  • 59.
    Air bronchogram  Itrefers to the phenomenon of air filled brochi being made visible by the opacification of surrounding alveoli
  • 60.
  • 61.
    Atelectasis  Almost alwaysassociated with a linear increased density due to volume loss  Indirect indications of volume loss include vascular crowding or mediastinal shift toward the collapse  Possible observance of hilar elevation with an upper lobe collapse, or a hilar depression with a lower lobe collapse
  • 63.
    Miliary TB  Miliarydeposits appear as 1-3 mm diameter nodules , which are uniform in size and distribution
  • 64.
    Pneumonia  Typical findingson the chest radiograph include:  Airspace opacity  Lobar consolidation  Interstitial opacities
  • 66.
    Pulmonary Edema (intertitial) Thereare two basic types of pulmonary edema:  Cardiogenic pulmonary edema caused by increased pulmonary capillary pressure  Noncardiogenicpulmonary edema caused by either altered capillary membrane permeability or decreased plasma oncotic pressure
  • 68.
  • 69.
  • 70.
    Pulmonary mass  Itis an area of pulmonary opacification that measures more than 3 cm . The commonest cause for a pulmonary mass is lung cancer .
  • 71.
    Pulmonary cavity  Aregas filled areas of the lung in the center of a nodule , mass or area of consolidation .  Cancer – bronchogenic ca  Autoimmune , granulomas – rheumatoid nodules  Infection – pulmonary abcess, PTB
  • 73.
    Pulmonary emphysema  Flattenedhemidiaphragm  Narrow mediastinum
  • 74.
    Flat diaphragm  Whenthe maximum perpendicular height from the supirior border of the diaphragm to a line drawn between the costophrenic and cardiophrenic angles in PA view is less than 1.5 cm .
  • 75.
    Hilum abnormalities  Hilarposition  Whether it is pushed or pulled  The left hilum must never be lower the right hilum . it denotes collapse of either the left lower lobe or of the right upper lobe
  • 76.
    Hilar abnormalities Hilar enlargement itmay be unilateral or bilateral ex TB, lung tumor ,silicosis
  • 77.
    Mediastinal abnormalities  Aorticdissection  Mediastinal widening  Irregularity of the aortic contour  Double aortic contour
  • 78.
    Mediastinal abnormalities  Aorticaneurysms  widening of the mediastinum  Enlargement of the aortic knob
  • 79.
    Mediastinal abnormalities Pneumomediastinum small amountof air appear as linear or curvilinear lucencies outlining mediastinal contours .  Signs of pneumomediastinum  Ring around artery sing  Tubular artery sign  Continuous diaphragm sign  Angle wing sign
  • 80.
    Ring around arterysign Air around pulmonary artery and main braches .
  • 81.
    Tubular artery sign Airoutlining major aortic branches
  • 82.
    Continuous diaphragm sign Air trapped posterior to pericardium
  • 83.
    Angle wing sign Seen on neonatal PA CXR when thymic lobes are displaced laterally by air .
  • 84.
    Mediastinal abnormalities  Masses Thymoma  Lymphoma  Neurogenic tumor
  • 85.
    Lines and tubes Nasogastric tube  Endotracheal tube  Central venous catheter  Intercostal tube drinage  Pacemakers
  • 86.
    Nasogastric tube  Correctposition – 10 cm distal to the sastro oesophageal junction i.e below the left hemidiapharm
  • 87.
    Endotracheal tube  ETTtip 5 cm +/- 2 cm above carina  i.e at the level of medial ends of clavicle
  • 88.
    Central venous line Cv line tip in the superior vena cava or at the cavo atrial junction i.e at the level of 1st anterior intercostal space above carina
  • 89.
    Intercostal tube  ICDtip lies between visceral and parietal pleura  Anterosuperiorly to drain pneumothorax  Posteroinferiorly to drain haemothorax
  • 90.
    Pacemakers  Single chamber– tip in right appendage or right ventricular apex  Dual chamber – tip in right atrium and right ventricular apex  Biventricular – tips in right atrium ,ventricle and coronary sinus