CHEST RADIOLOGY Prepared By : Belal Alrefaei Merry Admaso Bshara
The 12-Step: 1:  Name 2:  Date 3 :  Old films 4 :  What type of  view(s) 5 :  Penetration 6 :  Inspiration 7 :  Rotation 8 :  Angulation 9 :  Soft tissues / bony structures 10 :  Mediastinum 11 :  Diaphragms 12 :  Lung Fields Quality Control Findings } } Pre-read }
Chest X-Ray Findings Is heart enlarged or normal?  Signs of heart failure and fluid overload?  Does patient have pneumonia or collapsed lung?  Is there evidence of emphysema?  Are there findings of an  aortic aneurysm?  Is there fluid in the sac that surrounds the lung?  Is there free air under the diaphragm?  Is there a tumor in the lung that could represent cancer?
NORMAL CHEST X-RAY PA LATERAL Two (2) projections are needed for most x-rays to locate structures in 3 planes  (1)Right or Left , (2) Anterior or Posterior)  or (3) Superior or Inferior.
NORMAL HEART BORDERS Note cardiac chambers that account for margins on the chest X-ray
R Atrium R Ventricle 3.  Apex of L Ventricle Superior Vena Cava Inferior Vena Cava 6.  Tricuspid Valve Pulmonary Valve Pulmonary Trunk 9.  R PA  10.  L  PA
LEFT 4 TH  RIB   POSTERIOR  AND  ANTERIOR  PORTIONS POSTERIOR ANTERIOR 4 A P
AORTIC ARCH LT. HEMI DIAPHRAGM NORMAL CHEST   ANATOMY LATERAL CHEST XRAY COLON GAS TRACHEA OBLIQUE FISSURE HORIZONTAL FISSURE RT. HEMI DIAPHRAGM Diaphragm-AP view Diaphragm- Lateral view LT. LT. RT. LT.
CARINA LT. MAIN BRONCHUS RT. MAIN BRONCHUS TRACHEA OBLIQUE FISSURE (major) OBLIQUE FISSURE major HORIZONTAL FISSURE minor BRONCHOGRAM—CONTRAST OUTLINING AIRWAY
HORIZONTAL FISSURE FISSURES DIVIDE  LUNGS INTO LOBES RIGHT  lung has: UPPER  MIDDLE  lobes LOWER LEFT  lung has: UPPER  lobes LOWER
INTERESTING  CASES INFECTION NEOPLASTIC CARDIOVASCULAR TRAUMA
 
RUL pneumonia
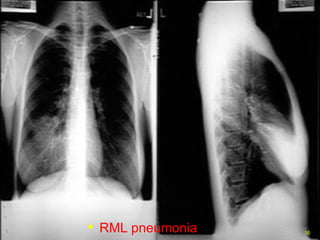
RML pneumonia
RLL pneumonia
LUL pneumonia
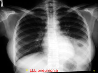
LLL pneumonia
Pulmonary Fibrosis
Miliary TB Snow Storm Apperance
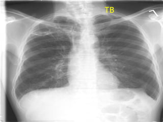
TB
Cavitating lesion
CaVity
Hilar Lymphadenopathy - BL
PNEUMOTHORAX PLEURAL EFFUSION
PLEURAL EFFUSION NORMAL
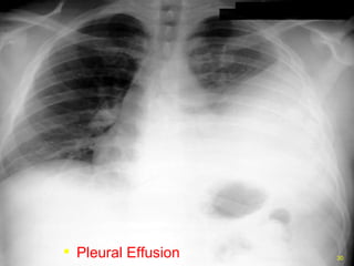
PLEURAL EFFUSION
Pleural Effusion
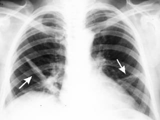
Bilateral pleural effusions
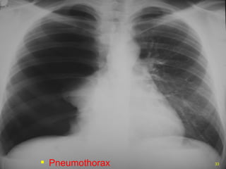
PNEUMOTHORAX
Pneumothorax
TENSION PNEUMOTHORAX
TENSION PNEUMOTHORAX
Hyperinflation
Hemothorax
Aortic dissection with hemothorax
RUL collapse
LLL collapse
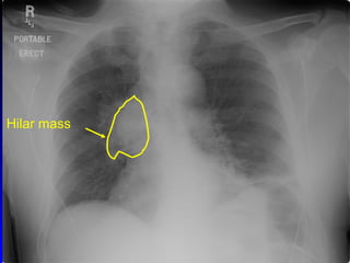
Chest mass, emphysema Hilar mass
Emphysema
Subcutaneous emphysema
ARDS Congestion Interstitial and alveolar edema Collapsed or distended alveoli Bilateral
Bulla
SARCOIDOSIS Granulomatous Inflammation Bilateral & symmetrical hilar & mediastinal LAD Generalized fibrosis
ATELECTASIS No ventilation to lobe beyond the obstruction   Trapped  air absorbed by pulmonary circulation   Segmental/lobar density Compensatory hyper-inflation of normal lungs.
NORMAL HEART  CARDIOMEGLY
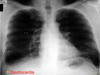
Dextrocardia
Cardiomegaly Cardiac silhouette greater than 50% of width of thorax
CARDIOMEGLY CONGESTIVE   HEART FAILURE Evolution of congestive heart failure and pulmonary edema. With Progressive Lt. Ventricular failure blood backs into the left atrium—then to the pulmonary veins (PULMONARY VENOUS HYPERTENSION) then to the pulmonary interstitium (INTERSTITIAL EDEMA) then to the alveoli (ALVEOLAR EDEMA)
Congestive Heart Failure Increased heart size:  cardiothoracic ratio  >0.5 Large hila with indistinct markings Fluid in interlobar fissures Pleural effusions, alveolar edema
Heart failure
Pericardial effusion
Pulmonary Edema
Pulmonary Embolism
Kerley B line
VSD
ASD
Tetrology Of Fallot (Boot Shaped)
Aortic dissection
Multiple Masses
Free air Free air beneath diaphragm
Air under the diaphragm
Empyema after trauma Clavicle fracture Cavitary lesion Opacified hemithorax
Pneumonectomy
Pneumonectomy Entire mediastinum shifted left, indicating  volume loss Opacified left hemithorax Trachea shifted left, indicating  volume   loss
Hiatus hernia
PULMONARY METASTATIC NODULES
Clavicle dislocation Medial clavicle is displaced inferiorly
Clavicle fracture, distal
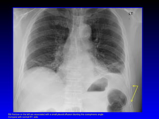
LT. Rib fracture on the left are associated with a small pleural effusion blunting the costophrenic angle. Compare with normal RT. side.
FRONTAL LATERAL WHAT AND WHERE IS IT? Air stripe Coin in esophagus shows a wider diameter than possible in the trachea and is posterior to the tracheal air stripe on the lateral chest x-ray.
Diaphragm rupture
Smoke inhalation, chronic changes
 
Right Lower Lobe Pneumonia
Right side tension pneumothorax
Fracture of posterior rib #7
Right Side Pleural Effusion
Left Sided Pneumothorax
 

Chest Xray

Editor's Notes

  • #5 Two (2) projections are needed for most x-rays to locate structures in 3 planes (1)Right or Left , (2)Anterior or Posterior) or (3) Superior or Inferior.
  • #6 Note cardiac chambers that account for margins on the chest X-ray
  • #11 This exam shows barium contrast outlining the bronchial tree. This is an old exam not done now with CT imaging replacing it. It does demonstrate the anatomy of the hila which superimpose over the pulmonary arteries and veins. This is why anatomy here on the chest X-ray is difficult in this region.
  • #12 With heart failure edema builds up in lungs and edema along fissures allows them to be seen more easily on chest x-ray
  • #29 Pleural effusion developing on the left
  • #33 Air in the pleural space separates the visceral and parietal pleura. This limits effective ventilation of the lung.
  • #35 Here air has built up under pressure in the pleural space and collapsed the lung severely compromising ventilation. The pressure builds due to a ball valve type leak of air into the pleural space with air going into the space on each inspiration.
  • #56 Evolution of congestive heart failure and pulmonary edema. With Progressive Lt. Ventricular failure blood backs into the left atrium—then to the pulmonary veins (PULMONARY VENOUS HYPERTENSION) then to the pulmonary interstitium (INTERSTITIAL EDEMA) then to the alveoli (ALVEOLAR EDEMA)
  • #75 Multiple lesions in the chest are typical for metastatic disease since the pulmonary capillary bed is often the first site metastatic lesions appear as they spread and embolize the pulmonary capillaries and grow in the new location.
  • #78 Rib fracture on the left are associated with a small pleural effusion blunting the costophrenic angle. Compare with normal RT. side.
  • #79 Coin in esophagus shows a wider diameter than possible in the trachea and is posterior to the tracheal air stripe on the lateral chest x-ray.