Chest Imaging
 RADIOLOGY DEPARTMENT
IMAGING MODALITIES
1.   Plain chest Radiograph
2.   Fluoroscopy
3.   Computerized tomography
4.   Radionuclide lung scan
5.   MRI
6.   Ultrasound
7.   Pulmonary angiography
Plain chest radiograph
•   Diagnostic in 80% cases
•   Standard views
      1. Postero-anterior(P/A)
      2. Lateral (right/left)
•   Additional views
      1. Oblique view(ribs)
      2. Apical lordotic view
      3. Expiration view
      4. Decubitus view
Computed Tomography

• Numerous
  protocols/techniques
  depending on clinical
  history
• Helical/spiral versus high
  resolution
• Contrast
   – Renal failure
   – Allergy
Computed Tomography

• Role of CT
  – Main further investigation
    for most CXR abnormality
    (eg nodule/mass) or to
    exclude disease with
    normal CXR
  – Main investigation for
    certain scenarios (PE,
    dissection, trauma)
MRI
• Multiple planes
• No radiation
• Common Indication
   –   Pancoast tumour
   –   Brachial plexus
   –   Cardiac
   –   Vascular (aorta)
• Usually targeted
  examination (unlike
  CT)
                                Coronal
Nuclear Medicine
• Variety of tests: functional rather than
  anatomic
• V/Q specific to chest imaging
• Others: bone scan, gallium, WBC etc.
Ultrasound
• Limited use in thorax (non cardiac) due to
  air in lungs
• Assess pleural effusions
• Mainly used for procedures
Chest Radiographs
• PA (posterior to anterior) and Lateral (left)
   – Minimizes magnification of heart (heart closest to film)
• Portable (nearly always AP)
   – Supine or Erect
• Specialized Views
   – Lordotic
   – Lateral decubitus (for effusions, pneumothorax)
Lordotic View




    Better assess apices without bone overlap
1



                     1: Adequate penetration of
    4
                 a   the mediastinum-is the
             a       thoracic spine seen?

                     2: Has the patient taken a good
                     inspiratory effort? About 8-10
7
                     posterior thoracic ribs should be
                     seen through the lungs


                     3: Is there any rotation of the
                     chest? Assessed by checking
    10               the upper thoracic spinous
                     process (oval) in relation to the
                     medial ends of the clavicles
                     (lines ‘a’) - this CXR is rotated to
                     left
Retro sternal space   Retro cardiac space
Chest Radiograph: Approach and
       Normal Anatomy
THERE IS NO ONE APPROACH: BE SYSTEMATIC
•   Bone and Soft Tissue including abdomen
•   Heart
•   Mediastinum-aorta, trachea
•   Hila
•   Pulmonary Vasculature
•   Lungs
•   Pleura
Sequence For X Ray Reading
                     5 Ds
•   Detect
•   Describe
•   Differential Diagnosis
•   Discuss
•   Diagnosis
CXR: Superimposition
CT Coronal Reconstruction



Right Brachiocephalic
                          Left Brachiocephalic Vein
Vein




   Superior
   Vena
   Cava
                 Right
                 Atrium

  Inferior Vena Cava
Heart Size   • Normal is <50% on PA
               upright radiograph
Increased Cardiac Size
                           Normal for comparison
Cardiomegaly (Big heart)
MRI of Aorta   Aorta
                       PA view



                            Aortic arch




                                 Descending
                                 Aorta
Aorta    CXR: Lateral View




Ascending   Descending
Aorta       Aorta
Case: Aorta can be enlarged
       (aneurysm)
Pulmonary Artery
                           Left Lung




Coronal Image




                                        PA



                   Lung “markings”
                   are
                   pulmonary arteries
                   and veins
• Spine Sign: Lungs
                                              posteriorly should get
                               Scapula
                                              darker as you go down
                                  inspexp     more inferiorly
Retrosternal
 Airspace
               Hilum




                IVC



                   Pulmonary
                    Vessels
Case: (Look at the trachea)

Trachea is
Deviated by
large mass
(goiter)
Abnormal Cases
•   Bone
•   Cardiovascular
•   Airspace Disease including Silhouette Sign
•   Interstitial Disease and Pulmonary Edema
•   Atelectasis
•   Pulmonary Nodule
•   Pleura and Diaphragm
•   Mediastinal Mass
ACINAR PATTERN (CXR)

    Radiology:       Round or elliptical ill-defined 4-8mm opacities in lung
Microscopic: Portion of lung distal to terminal bronchial (respiratory bronchial,
              alveolar duct, alveolar sac and alveoli) is the acinus




              CXR close up of acinar pattern
ACINAR PATTERN (CT SCAN)

Round or elliptical ill-defined 4-8mm opacities in
                         lung




           CT scan of right upper lobe
          showing typical acinar pattern
                     (arrow)
AIR BRONCHOGRAM

Air containing bronchus peripheral to the hilum
           surrounded by airless lung




   CXR                                   CT Scan
               Air Bronchogram
NODULAR PATTERN
 Collection of innumerable small, linear and nodular opacities
 together producing a net with small superimposed nodules.




                                                                 CT
CXR
             Close up of nodular pattern
EMPHYSEMA:
   Abnormally expanded air spaces distal to terminal
   bronchiole with destruction of walls of involved air
                        spaces..

BULLA: Gas containing     avascularity of lung measuring 1cm or more in
                      diameter, 1mm thickness




              Bulla                                       CT of bulla
Pneumonia (consolidation)
• Air bronchograms would confirm an alveolar process.

• The lung volume should not be lost (may even be
  increased).

• Usually all radiographic abnormalities should disappear
  after 6 weeks of appropriate antibiotic therapy.
Pneumonia RML
Right Upper Lobe Pneumonia
Left Lingular Pneumonia
Left Lower Lobe Pneumonia
Pneumonia RLL
Consolidation and follow-up X-rays

• Recommendations are, repeat film at 1, 3 and 7 days to check for
  the development of complications.

• Resolution of the X-ray signs always lags behind the clinical
  findings

• The X-ray should therefore be repeated 4 weeks later to check for
  resolution.

• If there is persistent consolidation at this stage, further investigation
  is necessary to exclude an obstructive lesion.
SIGNS OF COLLAPSE
DIRECT SIGNS:
• Displacement of fissures
• Loss of aeration
• Vascular & bronchial signs

INDIRECT SIGNS:
• Mediastinal & Hilar displacement
• Elevation of Hemidiphragm
• Compensatory hyperinflation
Collapse RUL
Collapse LUL
Indistinct Right
  Heart Border
Right Middle Lobe Atelectasis
Left lower lobe collapse
• Further investigations?
Diagnosis: LLL Collapse
• Collapse secondary to central obstructing
  tumour
Pleural Effusion
Small Pleural Effusion
Small Pleural Effusion




                                          Normal:
                                        Sharp Angles




Blunted posterior costophrenic sulcus
Pleural Effusion
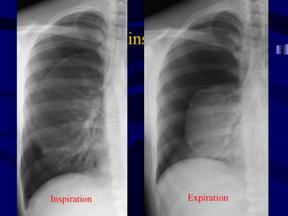
Tension Pneumothorax
ptxinspexp




Inspiration                Expiration
hugeptx
   Tracheal Deviation




         Collapsed Right Lung

    What would you do with this patient?

Tension Pneumothorax: Requires chest tube
Causes of a pneumothorax
• Spontaneous
• Iatrogenic/trauma,
• Obstructive lung disease, e.g. asthma, COPD
• Infection, e.g. pneumonia, tuberculosis Cystic
  fibrosis
• Connective Tissue Disorders, e.g. Marfan’s,
  Ehlers-Danlos
Pneumomed
Diagnosis: Pneumomediastinum
Coin Lesion
Causes of single coin lesions
• Benign tumor, e.g. hamartoma
• Malignant tumor, e.g. bronchial carcinoma,
  single secondary
• Infection, e.g. pneumonia, abscess,
  tuberculosis, hydatid cyst
• Infarction
• Rheumatoid nodule
Solitary Pulmonary Nodule can be:

Malignant: Adenocarcinoma   Benign: Densely calcified nodule
Cavitating lung lesion
Causes of cavitating lung lesions

•   Abscess
•   Neoplasm
•   Cavitating pneumonia
•   Cavitations in infarct
•   Rheumatoid nodules (rare)
Left Ventricular Failure
CASE 1




                              1:What is your diagnosis
History: Young patient with
  cough and night sweats
                                2: Give differential
                              diagnosis for upper lobe
Normal
Severe heart failure
• Severe pulmonary edema gives confluent
  alveolar shadowing which spreads out from the
  hilum giving a 'bat's wing' appearance.
• If this is the cause of generalized shadowing
  then upper lobe blood diversion and Kerley B
  lines should be present.
• In pulmonary edema hilum may appear
  distended and the vessels close to the hilum
  may be blurred.
Severe heart failure vs. non-
     carcinogenic pulmonary edema

• In non-cardiogenic pulmonary edema the heart
  size is likely to be normal and there will not
  necessarily be sparing of the peripheries.
COPD
Bronchiectasis
Causes of Bronchiectasis
• Structural, e.g. Kartagener syndrome,
• obstruction (carcinoma, foreign body)
• Infection, e.g. childhood pertussis or
  measles, tuberculosis, pneumonia
• Immune, e.g. hypogammaglobulinaemia,
  allergic bronchopulmonary aspergillosis
• Metabolic, e.g. cystic fibrosis
• Idiopathic to stasis
Unilateral Hilar enlargement
Unilateral Hilar Enlargement
• Causes of hilar lymphadenopothy
  – Neoplastic, e.g. spread from bronchial
    carcinoma, primary lymphoma
  – Infective, e.g. tuberculosis
  – Sarcoidosis (rarely unilateral)
• Causes of hilar vascular enlargement
  – Pulmonary artery aneurysm
  – Poststenotic dilatation of the pulmonary artery
Bilateral Hilar Enlargement
Bilateral Hilar Enlargement
• Causes of bilateral hilar lymphadenopathy
  –   Sarcoid
  –   Tumors, e.g. lymphoma, bronchial carcinoma, metastatic tumors
  –   Infection, e.g. tuberculosis, recurrent chest infections, AIDS
  –   Berylliosis

• Causes of pulmonary hypertension
  –   Obstructive lung disease, e.g. asthma, COPD
  –   Left heart disease, e.g. mitral stenosis, left ventricular failure
  –   Left to right shunts, e.g. ASD, VSD
  –   Recurrent pulmonary emboli
  –   Primary pulmonary hypertension
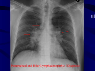
Paratracheal and Hilar Lymphadenopathy: ?Diagnosis
NORMAL
Sarcoidosis
benignthymoma
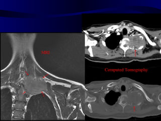
Lateral shows mass is anterior




                    NORMAL
Computed Tomography


                      Thymoma:



Do you know of any
      associated
 clinical syndrome?
Presenting CXR
MRI


      Computed Tomography
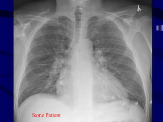
pulmedema




SOB
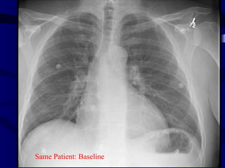
Same Patient
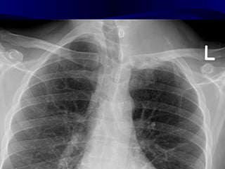
baseline




Same Patient: Baseline
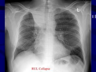
Rul collapse




RUL Collapse
Lul consolidation
Diagnosis: LUL Consolidation
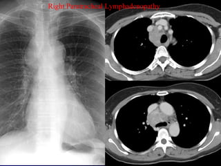
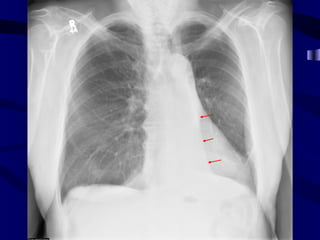
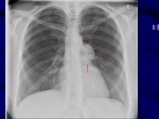
Paratracheal ln
Right Paratracheal Lymphadenopathy
RML Consolidation
 Rml consolidation
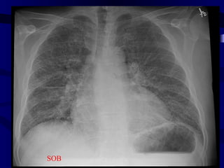
50 y.o female with progressive SOB.
 What can you do to improve SOB?
Volume loss with atelectasis
                               Mass effect with large effusion
baseline




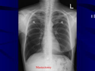
Mastectomy
Hiatus hernia
     hh
Rt. Paratracheal
Lymphadenopathy
  (Lymphoma)




                                  After Therapy
  Where is the Lymphadenopathy?
Nipple Shadow

Chest imaging

  • 1.
  • 2.
    IMAGING MODALITIES 1. Plain chest Radiograph 2. Fluoroscopy 3. Computerized tomography 4. Radionuclide lung scan 5. MRI 6. Ultrasound 7. Pulmonary angiography
  • 3.
    Plain chest radiograph • Diagnostic in 80% cases • Standard views 1. Postero-anterior(P/A) 2. Lateral (right/left) • Additional views 1. Oblique view(ribs) 2. Apical lordotic view 3. Expiration view 4. Decubitus view
  • 4.
    Computed Tomography • Numerous protocols/techniques depending on clinical history • Helical/spiral versus high resolution • Contrast – Renal failure – Allergy
  • 5.
    Computed Tomography • Roleof CT – Main further investigation for most CXR abnormality (eg nodule/mass) or to exclude disease with normal CXR – Main investigation for certain scenarios (PE, dissection, trauma)
  • 6.
    MRI • Multiple planes •No radiation • Common Indication – Pancoast tumour – Brachial plexus – Cardiac – Vascular (aorta) • Usually targeted examination (unlike CT) Coronal
  • 7.
    Nuclear Medicine • Varietyof tests: functional rather than anatomic • V/Q specific to chest imaging • Others: bone scan, gallium, WBC etc.
  • 8.
    Ultrasound • Limited usein thorax (non cardiac) due to air in lungs • Assess pleural effusions • Mainly used for procedures
  • 9.
    Chest Radiographs • PA(posterior to anterior) and Lateral (left) – Minimizes magnification of heart (heart closest to film) • Portable (nearly always AP) – Supine or Erect • Specialized Views – Lordotic – Lateral decubitus (for effusions, pneumothorax)
  • 10.
    Lordotic View Better assess apices without bone overlap
  • 11.
    1 1: Adequate penetration of 4 a the mediastinum-is the a thoracic spine seen? 2: Has the patient taken a good inspiratory effort? About 8-10 7 posterior thoracic ribs should be seen through the lungs 3: Is there any rotation of the chest? Assessed by checking 10 the upper thoracic spinous process (oval) in relation to the medial ends of the clavicles (lines ‘a’) - this CXR is rotated to left
  • 14.
    Retro sternal space Retro cardiac space
  • 15.
    Chest Radiograph: Approachand Normal Anatomy THERE IS NO ONE APPROACH: BE SYSTEMATIC • Bone and Soft Tissue including abdomen • Heart • Mediastinum-aorta, trachea • Hila • Pulmonary Vasculature • Lungs • Pleura
  • 16.
    Sequence For XRay Reading 5 Ds • Detect • Describe • Differential Diagnosis • Discuss • Diagnosis
  • 17.
  • 18.
    CT Coronal Reconstruction RightBrachiocephalic Left Brachiocephalic Vein Vein Superior Vena Cava Right Atrium Inferior Vena Cava
  • 19.
    Heart Size • Normal is <50% on PA upright radiograph
  • 20.
    Increased Cardiac Size Normal for comparison Cardiomegaly (Big heart)
  • 21.
    MRI of Aorta Aorta PA view Aortic arch Descending Aorta
  • 22.
    Aorta CXR: Lateral View Ascending Descending Aorta Aorta
  • 23.
    Case: Aorta canbe enlarged (aneurysm)
  • 24.
    Pulmonary Artery Left Lung Coronal Image PA Lung “markings” are pulmonary arteries and veins
  • 25.
    • Spine Sign:Lungs posteriorly should get Scapula darker as you go down inspexp more inferiorly Retrosternal Airspace Hilum IVC Pulmonary Vessels
  • 26.
    Case: (Look atthe trachea) Trachea is Deviated by large mass (goiter)
  • 27.
    Abnormal Cases • Bone • Cardiovascular • Airspace Disease including Silhouette Sign • Interstitial Disease and Pulmonary Edema • Atelectasis • Pulmonary Nodule • Pleura and Diaphragm • Mediastinal Mass
  • 29.
    ACINAR PATTERN (CXR) Radiology: Round or elliptical ill-defined 4-8mm opacities in lung Microscopic: Portion of lung distal to terminal bronchial (respiratory bronchial, alveolar duct, alveolar sac and alveoli) is the acinus CXR close up of acinar pattern
  • 30.
    ACINAR PATTERN (CTSCAN) Round or elliptical ill-defined 4-8mm opacities in lung CT scan of right upper lobe showing typical acinar pattern (arrow)
  • 31.
    AIR BRONCHOGRAM Air containingbronchus peripheral to the hilum surrounded by airless lung CXR CT Scan Air Bronchogram
  • 32.
    NODULAR PATTERN Collectionof innumerable small, linear and nodular opacities together producing a net with small superimposed nodules. CT CXR Close up of nodular pattern
  • 33.
    EMPHYSEMA: Abnormally expanded air spaces distal to terminal bronchiole with destruction of walls of involved air spaces.. BULLA: Gas containing avascularity of lung measuring 1cm or more in diameter, 1mm thickness Bulla CT of bulla
  • 34.
    Pneumonia (consolidation) • Airbronchograms would confirm an alveolar process. • The lung volume should not be lost (may even be increased). • Usually all radiographic abnormalities should disappear after 6 weeks of appropriate antibiotic therapy.
  • 35.
  • 36.
  • 37.
  • 38.
    Left Lower LobePneumonia
  • 39.
  • 40.
    Consolidation and follow-upX-rays • Recommendations are, repeat film at 1, 3 and 7 days to check for the development of complications. • Resolution of the X-ray signs always lags behind the clinical findings • The X-ray should therefore be repeated 4 weeks later to check for resolution. • If there is persistent consolidation at this stage, further investigation is necessary to exclude an obstructive lesion.
  • 41.
    SIGNS OF COLLAPSE DIRECTSIGNS: • Displacement of fissures • Loss of aeration • Vascular & bronchial signs INDIRECT SIGNS: • Mediastinal & Hilar displacement • Elevation of Hemidiphragm • Compensatory hyperinflation
  • 42.
  • 43.
  • 44.
    Indistinct Right Heart Border
  • 45.
    Right Middle LobeAtelectasis
  • 48.
    Left lower lobecollapse • Further investigations?
  • 49.
    Diagnosis: LLL Collapse •Collapse secondary to central obstructing tumour
  • 50.
  • 51.
  • 52.
    Small Pleural Effusion Normal: Sharp Angles Blunted posterior costophrenic sulcus
  • 53.
  • 55.
  • 57.
  • 58.
    hugeptx Tracheal Deviation Collapsed Right Lung What would you do with this patient? Tension Pneumothorax: Requires chest tube
  • 59.
    Causes of apneumothorax • Spontaneous • Iatrogenic/trauma, • Obstructive lung disease, e.g. asthma, COPD • Infection, e.g. pneumonia, tuberculosis Cystic fibrosis • Connective Tissue Disorders, e.g. Marfan’s, Ehlers-Danlos
  • 60.
  • 61.
  • 63.
  • 64.
    Causes of singlecoin lesions • Benign tumor, e.g. hamartoma • Malignant tumor, e.g. bronchial carcinoma, single secondary • Infection, e.g. pneumonia, abscess, tuberculosis, hydatid cyst • Infarction • Rheumatoid nodule
  • 65.
    Solitary Pulmonary Nodulecan be: Malignant: Adenocarcinoma Benign: Densely calcified nodule
  • 66.
  • 67.
    Causes of cavitatinglung lesions • Abscess • Neoplasm • Cavitating pneumonia • Cavitations in infarct • Rheumatoid nodules (rare)
  • 68.
  • 69.
    CASE 1 1:What is your diagnosis History: Young patient with cough and night sweats 2: Give differential diagnosis for upper lobe
  • 70.
  • 72.
    Severe heart failure •Severe pulmonary edema gives confluent alveolar shadowing which spreads out from the hilum giving a 'bat's wing' appearance. • If this is the cause of generalized shadowing then upper lobe blood diversion and Kerley B lines should be present. • In pulmonary edema hilum may appear distended and the vessels close to the hilum may be blurred.
  • 73.
    Severe heart failurevs. non- carcinogenic pulmonary edema • In non-cardiogenic pulmonary edema the heart size is likely to be normal and there will not necessarily be sparing of the peripheries.
  • 74.
  • 75.
  • 76.
    Causes of Bronchiectasis •Structural, e.g. Kartagener syndrome, • obstruction (carcinoma, foreign body) • Infection, e.g. childhood pertussis or measles, tuberculosis, pneumonia • Immune, e.g. hypogammaglobulinaemia, allergic bronchopulmonary aspergillosis • Metabolic, e.g. cystic fibrosis • Idiopathic to stasis
  • 77.
  • 78.
    Unilateral Hilar Enlargement •Causes of hilar lymphadenopothy – Neoplastic, e.g. spread from bronchial carcinoma, primary lymphoma – Infective, e.g. tuberculosis – Sarcoidosis (rarely unilateral) • Causes of hilar vascular enlargement – Pulmonary artery aneurysm – Poststenotic dilatation of the pulmonary artery
  • 79.
  • 80.
    Bilateral Hilar Enlargement •Causes of bilateral hilar lymphadenopathy – Sarcoid – Tumors, e.g. lymphoma, bronchial carcinoma, metastatic tumors – Infection, e.g. tuberculosis, recurrent chest infections, AIDS – Berylliosis • Causes of pulmonary hypertension – Obstructive lung disease, e.g. asthma, COPD – Left heart disease, e.g. mitral stenosis, left ventricular failure – Left to right shunts, e.g. ASD, VSD – Recurrent pulmonary emboli – Primary pulmonary hypertension
  • 81.
    Paratracheal and HilarLymphadenopathy: ?Diagnosis
  • 82.
  • 83.
  • 84.
  • 85.
    Lateral shows massis anterior NORMAL
  • 86.
    Computed Tomography Thymoma: Do you know of any associated clinical syndrome?
  • 87.
  • 89.
    MRI Computed Tomography
  • 90.
  • 91.
  • 92.
  • 93.
  • 94.
  • 95.
  • 96.
  • 97.
  • 98.
    RML Consolidation Rmlconsolidation
  • 99.
    50 y.o femalewith progressive SOB. What can you do to improve SOB?
  • 100.
    Volume loss withatelectasis Mass effect with large effusion
  • 101.
  • 102.
  • 103.
    Rt. Paratracheal Lymphadenopathy (Lymphoma) After Therapy Where is the Lymphadenopathy?
  • 104.