INTERPRETATION OF
NORMAL
CHEST X-RAY
By-Dr Saket Jain
Dr Setu Satani
Dept. of RADIO DIAGNOSIS
MGM HOSPITAL
A routine pattern of plain x-ray film
reporting can be ensured for proper
scrutiny. The 14-Step is listed below.
1.Name
2.Date.

Pre Read

3.IPD/OPD NO.

4.Markers (R/L)
5.Orientation
6.Penetration
7.Inspiration
8.Rotation
9.Angulation

Quality Control
10.Soft tissues / bony structures
11.Mediastinum
12.Diaphragms
13.Lung Fields
14.Abdominal structures

FINDINGS

Cont’d
CHEST INTRODUCTION
Technical Adequacy
In trying to determine if pathology is present in a chest
radiograph several factors have to be considered in the
overall judgment of the radiograph to determine if the
visual findings are pathologic or in part are related to the
radiograph itself.
Factors to be considered on all chest x-rays include:
 Orientation
 Inspiration
 Penetration
 Rotation
 Angulation
Orientation:
In this we are making reference to the position of the patient
and the x ray beam.
A PA radiograph is obtained with the x-ray traversing the
patient from posterior to anterior and striking the film.

Similarly an AP radiograph is positioned with the xray
traversing the patient from anterior to posterior striking the
film.
 The cardiac border will appear larger on an AP radiograph
due to the magnification effect of the more anteriorly located
heart relative to the film.
Difference between P.A & A.P VIEW
In PA view
 Clavicles don’t project too high into the apices or
thrown above the apices (more horizontal)
 Heart wont be magnified over the mediastinum
therefore preventing the appearance of
cardiomegaly
 Scapula are away from the lung fields
 Ribs are obliquely oriented in PA view
 Spine and posterior ends of ribs are clearly seen
Why is PA preferred over AP
Reduces magnification of heart therefore
preventing appearance of cardiomegaly
 Reduces radiation dose to radiation sensitive
organs such as thyroid,eyes,breasts
 Visualised maximum areas of lung
 Moves scapula away from the lung fields
 More stable positioning for the patient as they
can hold onto the unit – this reduces patient
movement.
 Compression of breast tissue against the film
cassette reduces the density of tissue around
the CP bases therefore visualizing them more
clearly

Orientation

PA

AP
PA
AP
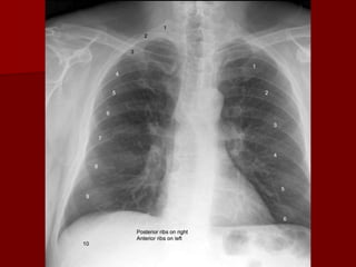
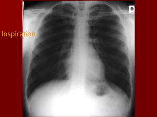
Inspiration:
The volume of air in the hemithorax will affect the
configuration of the heart in relation to cardiac size.
The vascular pattern in the lung fields will be
accentuated with a shallow inspiration.
The level of inspiration can be estimated by
counting ribs.
Visualization of nine posterior ribs, or seven
anterior ribs on an upright PA radiograph projecting
above the diaphragm would indicate a satisfactory
inspiration
Inspiration

Expiration
Inspiration
Expiration

NOTE - CHANGE IN HEART SIZE AND
VASCULARITY DUE TO EXPIRATION
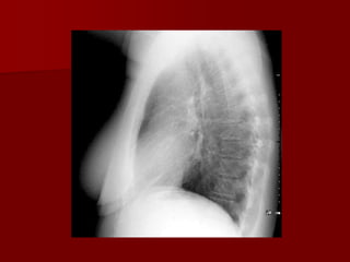
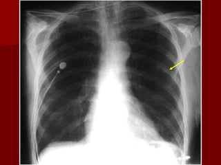
Penetration:
Refers to adequate photons traversing the patient to expose the
radiograph.

 The lack of penetration renders the area “whiter” than with an
adequate film and can simulate pneumonia or effusion.
 In an ideal radiograph the thoracic spine should be barely
perceptual viewing through the cardiac shadow , the left hemidiaphragm behind heart and vessels only up to 2/3 of lung area
In lateral view 2 sets of ribs should be seen, sternum seen,
spine appears clearer as it goes down.
Penetration
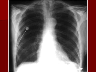
SEE THE NODULE ON THE
PREVIOUS FILM
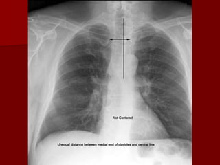
Rotation

Ideally the clavicle heads should be equidistant

from the spinous process.

Rotation of the radiograph is assessed by judging the
position of the clavicle heads and the thoracic spinous
process.
 Rotation Of patient distorts mediastinal anatomy and
makes assessment of cardiac chambers and the hilar
structures especially difficult.
Chest wall tissue also contributes to increased density
over the lower lobe fields simulating disease.
Rotation
Angulation:
With the patient in a more lordotic projection and in
Apicogram the clavicles will project superiorly relative
to the upper thorax again causing some distortion of
the normal mediastinal anatomy.
With the lordotic projection of the ribs assume a
more horizontal orientation.
Occasionally a lordotic x ray can be obtained
intentionally to better visualize structures in the
thoracic apex obscured by overlying boney
structures.
Angulation
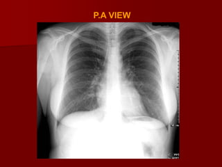
VIEWS OF CXR
P.A VIEW
AP VIEW
LATERAL VIEW
LATERAL DECUBITUS VIEW
LORDOTIC VIEW
Normal Radiographic Anatomy
WITH
VIEWING CHEST RADIOGRAPH
SOFT TISSUE
Soft tissues cast shadow on plain radiographs
which have less dense radio-opacity.
 Breast shadow result in increased opacity over
the lower thorax bilaterally.
 Nipple shadow may appear as round opacities in
the 4th or lower ant. Intercostal space.
 Breast and nipple shadow are usually bilateral
and symmetrical.

NIPPLE SHADOWS
NIPPLE SHADOW
Cont’d
Linear shadow may result from loose skin
fold
 A faint soft- tissue shadow parallel to the
clavicle results from over-lining skin fold
and subcutaneous tissue. ( Clavicular
companion shadow.)

BONY
THORAX
Bony thorax
Chest x-ray primarily visualizes intrathoracic
structure but also outline the shoulder girdle
,ribs, cervical and thoracic vertebrae.
Sternum is often well outlined .
Shape of the thorax varies with age and body
habitus.
Angulations of the ribs varies with body types.
downward angulations: minimal in short
hypersthenic individual. And maximal in
asthenic patient.
Cont’d
Intercostal space are numbered according to
the intercostal rib above them .The ribs and the
interspaces are designated into 2 groups :
anterior and posterior.
 The costal cartilages are not visible except when
calcified which then assume characteristic
mottled appearance (periphery in male but
central in female).
 Diaphragm in a normal adult is slightly higher on
right compared to the Left.

MEDIASTINUM.







This is the space between the right and left pleurae in
and near the median sagittal plane of the chest.
It is bounded by posterior surface of the sternum and
the anterior surface of the thoracic vertebrae.
It contains all the thoracic viscera except for the lungs.
It is divided into superior and inferior parts by an
imaginary horizontal line passing through the sternal
angle of Louis backwards to the lower border of T4
vertebrae.
The inferior mediastinum is further divided into the
anterior, middle and posterior mediastinum by the
fibrous pericardium
DIVISION OF MEDIASTINUM
1.

Felson’s Classification

2.

Sutton’s Classification

3.

Haaga’s Classification

4.

Heitzman’s Classification
1. FELSONS CLASSIFICATION



The mediastinum can be divided into
anterior, middle and posterior
compartments.
An imaginary line is
traced upward from the
diaphragm along the
back of the heart and
front of the trachea to
the neck. This divides
the “anterior” from the
“middle” midiastinum
A secondary
imaginary line connects
a point on each of the
thoracic vertebrae 1 cm
behind its anterior
margin. This divides the
“middle” from
“posterior”
mediastinum.
2.Suttons Classification

1.
2.
3.

Mediastinum is divided into 3 parts
Anterior division
Middle division
Posterior division

Anterior Divison lies infront of the anterior
pericardium
 Middle division within the pericardial cavity
 Posterior division lies beyond the post
pericardium and trachea

3.Heitzmans division


Heitzman divided the mediastinum into
the following anatomic regions: the
thoracic inlet, the supraaortic area (above
the aortic arch), the infraaortic area
(below the aortic arch), the supraazygos
area (above the azygos arch), and the
infraazygos area (below the azygos arch).
SUPERIOR MEDIASTINUM
It is located above a
horizontal line drawn from
the angle of Louis posteriorly
to the spine.
 Also defined as the space
between thoracic inlet and
superior aspect of the aortic
arch (ref. JOHN.R.HAAGA)
 Structures include the thyroid
gland, aortic arch and great
vessels, proximal portions of
the vagus and recurrent
laryngeal nerves, esophagus
and trachea.

ANTERIOR MEDIASTINUM






This is bounded above by thoracic inlet,
laterally by the pleural , anteriorly by the
sternum and posteriorly by the
pericardium and the great vessels.
It contains loose areolar tissue , lymph
nodes, lymphatic vessels , thyroid,
thymus, parathyroid and internal
mammary vessels.
It is seen as a triangular area of
radiolucency between the sternum and
heart on lateral view radiograph .
MIDDLE MEDIASTINUM




It is also referred to as vascular
space.
It is bounded by anterior and
posterior mediastinum.
It contains the heart ,pericardium
,ascending and transverse arch of
the aorta, SVC and azygos veins
that empties into it
brachiocephalic vessels , the
phrenic nerve , the upper vagus
nerves, the trachea and its
bifurcation, the main bronchi, the
pulmonary veins
POSTERIOR MEDASTINUM
It is also known as post
vascular space.
 It lies btw the heart
anteriorly and the thoracic
vertebrae from the
thoracic inlet to the T12.
 It contains descending
aorta ,oesophagus,
thoracic duct ,azygos and
hemiazygos vein, lymph
nodes ,sympathetic chains
and inferior vagus nerves.

MEDIASTINAL STRUCTURES
The hila are made up
of the main pulmonary
arteries and major
Bronchi
-The left hilum is higher
than the right
-Lymph nodes are not
normally seen on a
chest X-ray

TRACHEA

HILUM
carina
On the left side, the left
pulmonary artery is directed
posterolaterally, toward the
left scapula and goes over
the left main stem bronchus.
The left pulmonary artery is
therefore located higher
than the right pulmonary
artery.

The right hilar shadow is
inferior to the left on the
PA projection ( 70%). Hilar
shadows are equal in
height (30%).
The right hilum is never
superior to the left hilum
• On the lateral projection,
the left pulmonary artery is
posterior to a line drawn
down the tracheal air
column.
The trachea appears as an
air-shadow coursing down
(c6) the midline of the chest
and terminating at the carina
(T5).
The left and right mainstem
bronchi, as well as the lobar
bronchi may be evident
A very slight deviation to
the right at the level of
aortic arch, moderate
deviation to the right is
common in infant.
OTHER FINDINGS –

Thymus is usually visible in infants and occupies
the superior part of ant. Mediastinum (causes
widening of the mediastinum when present)

.There is need for a lateral view to confirm it.

 When there is enough air in the oesophagus a
tracheo - oesophageal stripe may be seen, however
oesophagus may be outlined by barium meal to
clearly define it’s relation to other mediastinal
structures & detection of abnormality .
HEART
Size
 Shape
 Diameter (>1/2 thoracic diameter is
enlarged heart)


Remember: AP views make heart appear larger than it
actually is
P.A. CARDIAC VIEW
Superior Vena Cava
Aortic Arch

Ascending Aorta

Pulmonary Artery

Left Atrium
Right Atrium
Left Ventricle

INFERIOR VENA CAVA
P.A. CARDIAC VIEW
LATERAL CARDIAC VIEW

Aortic Knob/Arch
Descending Aorta
Ascending Aorta

Left Atrium
Right Ventricle

Left Ventricle
Inferior Vena Cava
AORTOPULMONARY WINDOW
A "space" located
underneath the aortic
arch and above the left
pulmonary artery.
 Contains fat.
 On the PA projection, it
appears as a concave
shadow. If adenopathy is
present, it manifests as a
convex shadow.

DIAPHRAGM
The left and right diaphragm appear as
sharply marginated domes.
 The peripheral margins of the diaphragm
define the costophrenic sulci.
 The right diaphragm is higher than left
{usually 1-2 cm } & Will appear larger on
a lateral chest film
 A difference greater than 3 cm in the level
of two hemi diaphragms is significant

The right
hemidiaphragm is
higher than the left
( the heart is pushing
the left hemidiaphragm
down)
-A gas bubble beneath
the left hemidiaphragm
RT
LT
Cardiophrenic Sulci
(Recesses, Angles)

Lateral Costophrenic
Sulci
(Recesses, Angles)
Posterior
Costophrenic
Sulci
(Recesses,
Angles)
LUNG FIELDS
UPPER ZONE

MIDDLE ZONE

LOWER ZONE
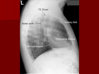
Pulmonary Fissures
Pulmonary fissures are formed with visceral
pulmonary pleura.
RIGHT LUNG

MAJOR FISSURE
OBLIQUE FISSURE

MINOR FISSURE

HORIZONTAL FISSURE

LEFT LUNG

MAJOR FISSURE
OBLIQUE FISSURE
Oblique fissure more clearly seen on Lateral view from
T4-T5 vertebrae to reach the diaphragm and 5 cm
behind the costophrenic angle on left And just behind
the angle on right.

Horizontal fissure more clearly Seen on P.A view
extending from Right hilum to 6th rib in the axillary line
RT. MAIN BRONCHUS

LT. MAIN BRONCHUS

6TH
RIB
CARINA

HORIZONTAL
FISSURE
minor

OBLIQUE
FISSURE
major

OBLIQUE
FISSURE
(major)
Horizontal Fissure
Right Oblique Fissure
Left Oblique Fissure
FISSURES DIVIDE
LUNGS INTO LOBES

HORIZONTAL FISSURE

RIGHT lung has:
UPPER
MIDDLE
lobes
LOWER
LEFT lung has:
UPPER
lobes
LOWER
RUL

LUL
RML

RLL

LLL
Retrosternal Clear Space

Retrocardiac Clear Space
Left Hemidiaphragm
Stomach gas bubble
Splenic flexure of the
large intestines
Right Hemidiaphragm
Liver
some of the visual abdominal structures
Significance of different views
Anteroposterior view


It is useful in differentiating free and loculated
pleural fluid

Lateral view
The only view that provides information of
localization of different lobes and segments
 Observation on lateral view include- clear
spaces, vertebral translucency , and outline of
diaphragms.

OBLIQUE VIEW
It is helpful in localizing a lesion , in visualizing its borders
and in projecting it free of overlying structures
Oblique view is preferred to lateral view in case of
bilateral disease

DECUBITUS VIEW
It is helpful in demonstrating small pneumothorax or
pleural effusions
LORDOTIC VIEW
It is particularly useful for lung apices
This view helps in conforming middle lobe and lingular
abnormalities
This view is also helpful in determining the anteropostero
location of a lesion

APICOGRAM VIEW
APICOGRAM is done when there is doubt about the apical area
THANK YOU

Chest x ray

  • 1.
    INTERPRETATION OF NORMAL CHEST X-RAY By-DrSaket Jain Dr Setu Satani Dept. of RADIO DIAGNOSIS MGM HOSPITAL
  • 2.
    A routine patternof plain x-ray film reporting can be ensured for proper scrutiny. The 14-Step is listed below. 1.Name 2.Date. Pre Read 3.IPD/OPD NO. 4.Markers (R/L) 5.Orientation 6.Penetration 7.Inspiration 8.Rotation 9.Angulation Quality Control
  • 3.
    10.Soft tissues /bony structures 11.Mediastinum 12.Diaphragms 13.Lung Fields 14.Abdominal structures FINDINGS Cont’d
  • 4.
    CHEST INTRODUCTION Technical Adequacy Intrying to determine if pathology is present in a chest radiograph several factors have to be considered in the overall judgment of the radiograph to determine if the visual findings are pathologic or in part are related to the radiograph itself. Factors to be considered on all chest x-rays include:  Orientation  Inspiration  Penetration  Rotation  Angulation
  • 5.
    Orientation: In this weare making reference to the position of the patient and the x ray beam. A PA radiograph is obtained with the x-ray traversing the patient from posterior to anterior and striking the film. Similarly an AP radiograph is positioned with the xray traversing the patient from anterior to posterior striking the film.  The cardiac border will appear larger on an AP radiograph due to the magnification effect of the more anteriorly located heart relative to the film.
  • 6.
    Difference between P.A& A.P VIEW In PA view  Clavicles don’t project too high into the apices or thrown above the apices (more horizontal)  Heart wont be magnified over the mediastinum therefore preventing the appearance of cardiomegaly  Scapula are away from the lung fields  Ribs are obliquely oriented in PA view  Spine and posterior ends of ribs are clearly seen
  • 7.
    Why is PApreferred over AP Reduces magnification of heart therefore preventing appearance of cardiomegaly  Reduces radiation dose to radiation sensitive organs such as thyroid,eyes,breasts  Visualised maximum areas of lung  Moves scapula away from the lung fields  More stable positioning for the patient as they can hold onto the unit – this reduces patient movement.  Compression of breast tissue against the film cassette reduces the density of tissue around the CP bases therefore visualizing them more clearly 
  • 8.
  • 9.
  • 10.
  • 11.
    Inspiration: The volume ofair in the hemithorax will affect the configuration of the heart in relation to cardiac size. The vascular pattern in the lung fields will be accentuated with a shallow inspiration. The level of inspiration can be estimated by counting ribs. Visualization of nine posterior ribs, or seven anterior ribs on an upright PA radiograph projecting above the diaphragm would indicate a satisfactory inspiration
  • 12.
  • 13.
  • 14.
    Expiration NOTE - CHANGEIN HEART SIZE AND VASCULARITY DUE TO EXPIRATION
  • 15.
    Penetration: Refers to adequatephotons traversing the patient to expose the radiograph.  The lack of penetration renders the area “whiter” than with an adequate film and can simulate pneumonia or effusion.  In an ideal radiograph the thoracic spine should be barely perceptual viewing through the cardiac shadow , the left hemidiaphragm behind heart and vessels only up to 2/3 of lung area In lateral view 2 sets of ribs should be seen, sternum seen, spine appears clearer as it goes down.
  • 17.
  • 19.
    SEE THE NODULEON THE PREVIOUS FILM
  • 21.
    Rotation Ideally the clavicleheads should be equidistant from the spinous process. Rotation of the radiograph is assessed by judging the position of the clavicle heads and the thoracic spinous process.  Rotation Of patient distorts mediastinal anatomy and makes assessment of cardiac chambers and the hilar structures especially difficult. Chest wall tissue also contributes to increased density over the lower lobe fields simulating disease.
  • 22.
  • 25.
    Angulation: With the patientin a more lordotic projection and in Apicogram the clavicles will project superiorly relative to the upper thorax again causing some distortion of the normal mediastinal anatomy. With the lordotic projection of the ribs assume a more horizontal orientation. Occasionally a lordotic x ray can be obtained intentionally to better visualize structures in the thoracic apex obscured by overlying boney structures.
  • 26.
  • 27.
  • 28.
  • 29.
  • 30.
  • 31.
  • 32.
  • 33.
  • 34.
    SOFT TISSUE Soft tissuescast shadow on plain radiographs which have less dense radio-opacity.  Breast shadow result in increased opacity over the lower thorax bilaterally.  Nipple shadow may appear as round opacities in the 4th or lower ant. Intercostal space.  Breast and nipple shadow are usually bilateral and symmetrical. 
  • 35.
  • 36.
  • 37.
    Cont’d Linear shadow mayresult from loose skin fold  A faint soft- tissue shadow parallel to the clavicle results from over-lining skin fold and subcutaneous tissue. ( Clavicular companion shadow.) 
  • 38.
  • 39.
    Bony thorax Chest x-rayprimarily visualizes intrathoracic structure but also outline the shoulder girdle ,ribs, cervical and thoracic vertebrae. Sternum is often well outlined . Shape of the thorax varies with age and body habitus. Angulations of the ribs varies with body types. downward angulations: minimal in short hypersthenic individual. And maximal in asthenic patient.
  • 41.
    Cont’d Intercostal space arenumbered according to the intercostal rib above them .The ribs and the interspaces are designated into 2 groups : anterior and posterior.  The costal cartilages are not visible except when calcified which then assume characteristic mottled appearance (periphery in male but central in female).  Diaphragm in a normal adult is slightly higher on right compared to the Left. 
  • 43.
    MEDIASTINUM.      This is thespace between the right and left pleurae in and near the median sagittal plane of the chest. It is bounded by posterior surface of the sternum and the anterior surface of the thoracic vertebrae. It contains all the thoracic viscera except for the lungs. It is divided into superior and inferior parts by an imaginary horizontal line passing through the sternal angle of Louis backwards to the lower border of T4 vertebrae. The inferior mediastinum is further divided into the anterior, middle and posterior mediastinum by the fibrous pericardium
  • 44.
    DIVISION OF MEDIASTINUM 1. Felson’sClassification 2. Sutton’s Classification 3. Haaga’s Classification 4. Heitzman’s Classification
  • 45.
    1. FELSONS CLASSIFICATION  Themediastinum can be divided into anterior, middle and posterior compartments.
  • 46.
    An imaginary lineis traced upward from the diaphragm along the back of the heart and front of the trachea to the neck. This divides the “anterior” from the “middle” midiastinum
  • 47.
    A secondary imaginary lineconnects a point on each of the thoracic vertebrae 1 cm behind its anterior margin. This divides the “middle” from “posterior” mediastinum.
  • 48.
    2.Suttons Classification  1. 2. 3. Mediastinum isdivided into 3 parts Anterior division Middle division Posterior division Anterior Divison lies infront of the anterior pericardium  Middle division within the pericardial cavity  Posterior division lies beyond the post pericardium and trachea 
  • 49.
    3.Heitzmans division  Heitzman dividedthe mediastinum into the following anatomic regions: the thoracic inlet, the supraaortic area (above the aortic arch), the infraaortic area (below the aortic arch), the supraazygos area (above the azygos arch), and the infraazygos area (below the azygos arch).
  • 51.
    SUPERIOR MEDIASTINUM It islocated above a horizontal line drawn from the angle of Louis posteriorly to the spine.  Also defined as the space between thoracic inlet and superior aspect of the aortic arch (ref. JOHN.R.HAAGA)  Structures include the thyroid gland, aortic arch and great vessels, proximal portions of the vagus and recurrent laryngeal nerves, esophagus and trachea. 
  • 53.
    ANTERIOR MEDIASTINUM    This isbounded above by thoracic inlet, laterally by the pleural , anteriorly by the sternum and posteriorly by the pericardium and the great vessels. It contains loose areolar tissue , lymph nodes, lymphatic vessels , thyroid, thymus, parathyroid and internal mammary vessels. It is seen as a triangular area of radiolucency between the sternum and heart on lateral view radiograph .
  • 54.
    MIDDLE MEDIASTINUM    It isalso referred to as vascular space. It is bounded by anterior and posterior mediastinum. It contains the heart ,pericardium ,ascending and transverse arch of the aorta, SVC and azygos veins that empties into it brachiocephalic vessels , the phrenic nerve , the upper vagus nerves, the trachea and its bifurcation, the main bronchi, the pulmonary veins
  • 56.
    POSTERIOR MEDASTINUM It isalso known as post vascular space.  It lies btw the heart anteriorly and the thoracic vertebrae from the thoracic inlet to the T12.  It contains descending aorta ,oesophagus, thoracic duct ,azygos and hemiazygos vein, lymph nodes ,sympathetic chains and inferior vagus nerves. 
  • 58.
    MEDIASTINAL STRUCTURES The hilaare made up of the main pulmonary arteries and major Bronchi -The left hilum is higher than the right -Lymph nodes are not normally seen on a chest X-ray TRACHEA HILUM carina
  • 59.
    On the leftside, the left pulmonary artery is directed posterolaterally, toward the left scapula and goes over the left main stem bronchus. The left pulmonary artery is therefore located higher than the right pulmonary artery. The right hilar shadow is inferior to the left on the PA projection ( 70%). Hilar shadows are equal in height (30%). The right hilum is never superior to the left hilum
  • 60.
    • On thelateral projection, the left pulmonary artery is posterior to a line drawn down the tracheal air column.
  • 61.
    The trachea appearsas an air-shadow coursing down (c6) the midline of the chest and terminating at the carina (T5). The left and right mainstem bronchi, as well as the lobar bronchi may be evident A very slight deviation to the right at the level of aortic arch, moderate deviation to the right is common in infant.
  • 62.
    OTHER FINDINGS – Thymusis usually visible in infants and occupies the superior part of ant. Mediastinum (causes widening of the mediastinum when present) .There is need for a lateral view to confirm it.  When there is enough air in the oesophagus a tracheo - oesophageal stripe may be seen, however oesophagus may be outlined by barium meal to clearly define it’s relation to other mediastinal structures & detection of abnormality .
  • 64.
    HEART Size  Shape  Diameter(>1/2 thoracic diameter is enlarged heart)  Remember: AP views make heart appear larger than it actually is
  • 65.
    P.A. CARDIAC VIEW SuperiorVena Cava Aortic Arch Ascending Aorta Pulmonary Artery Left Atrium Right Atrium Left Ventricle INFERIOR VENA CAVA
  • 66.
  • 67.
    LATERAL CARDIAC VIEW AorticKnob/Arch Descending Aorta Ascending Aorta Left Atrium Right Ventricle Left Ventricle Inferior Vena Cava
  • 68.
    AORTOPULMONARY WINDOW A "space"located underneath the aortic arch and above the left pulmonary artery.  Contains fat.  On the PA projection, it appears as a concave shadow. If adenopathy is present, it manifests as a convex shadow. 
  • 69.
    DIAPHRAGM The left andright diaphragm appear as sharply marginated domes.  The peripheral margins of the diaphragm define the costophrenic sulci.  The right diaphragm is higher than left {usually 1-2 cm } & Will appear larger on a lateral chest film  A difference greater than 3 cm in the level of two hemi diaphragms is significant 
  • 70.
    The right hemidiaphragm is higherthan the left ( the heart is pushing the left hemidiaphragm down) -A gas bubble beneath the left hemidiaphragm
  • 71.
  • 72.
    Cardiophrenic Sulci (Recesses, Angles) LateralCostophrenic Sulci (Recesses, Angles)
  • 73.
  • 74.
  • 75.
    Pulmonary Fissures Pulmonary fissuresare formed with visceral pulmonary pleura. RIGHT LUNG MAJOR FISSURE OBLIQUE FISSURE MINOR FISSURE HORIZONTAL FISSURE LEFT LUNG MAJOR FISSURE OBLIQUE FISSURE
  • 76.
    Oblique fissure moreclearly seen on Lateral view from T4-T5 vertebrae to reach the diaphragm and 5 cm behind the costophrenic angle on left And just behind the angle on right. Horizontal fissure more clearly Seen on P.A view extending from Right hilum to 6th rib in the axillary line
  • 77.
    RT. MAIN BRONCHUS LT.MAIN BRONCHUS 6TH RIB CARINA HORIZONTAL FISSURE minor OBLIQUE FISSURE major OBLIQUE FISSURE (major)
  • 78.
    Horizontal Fissure Right ObliqueFissure Left Oblique Fissure
  • 79.
    FISSURES DIVIDE LUNGS INTOLOBES HORIZONTAL FISSURE RIGHT lung has: UPPER MIDDLE lobes LOWER LEFT lung has: UPPER lobes LOWER
  • 80.
  • 81.
  • 82.
    Left Hemidiaphragm Stomach gasbubble Splenic flexure of the large intestines Right Hemidiaphragm Liver some of the visual abdominal structures
  • 83.
    Significance of differentviews Anteroposterior view  It is useful in differentiating free and loculated pleural fluid Lateral view The only view that provides information of localization of different lobes and segments  Observation on lateral view include- clear spaces, vertebral translucency , and outline of diaphragms. 
  • 84.
    OBLIQUE VIEW It ishelpful in localizing a lesion , in visualizing its borders and in projecting it free of overlying structures Oblique view is preferred to lateral view in case of bilateral disease DECUBITUS VIEW It is helpful in demonstrating small pneumothorax or pleural effusions
  • 85.
    LORDOTIC VIEW It isparticularly useful for lung apices This view helps in conforming middle lobe and lingular abnormalities This view is also helpful in determining the anteropostero location of a lesion APICOGRAM VIEW APICOGRAM is done when there is doubt about the apical area
  • 86.