Abnormal Chest Radiograph
– part 1
B Widaja
Awesomemedicalnotes.wordpress.com
Describe the abnormality
Collapse
   Compare with previous films if available (new or
    long standing?)
   Lung fields – right lung should be larger than
    left. If not, suspect area of right sided collapse
   Diaphragms – right diaphragm should be higher
    than left. Distortion may suggest left sided
    collapse
   Horizonal fissure in right lung – If pulled up,
    suspect right upper lobe collapse. If pulled down,
    suspect right lower lobe collapse
   Trachea – pulled towards area of collapse
   Heart – deviated towards side of collape
   Borders (diaphragm, heart or mediastinum) –
    blurred if lung adjacent to it is collapsed
    (silhouette sign)
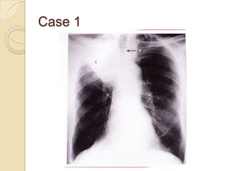
Case 1
Case 1
            Right upper lobe
             collapse
             ◦ Shadowing in upper
               zone of right lung (1)
             ◦ Horizontal fissure is
               elevated
             ◦ Tracheal deviation
               towards the right (2)
             ◦ Ribs over
               shadowing are
               closer together than
               normal
Case 2
Case 2
            Right middle lobe
             collapse
             ◦ Right diaphragm
               may be slightly
               raised (1)
             ◦ Horizontal fissure
               may be slightly lower
               than usual (2)
             ◦ Upper part of lower
               zone may have hazy
               shadowing (3)
             ◦ Right heart border
               may be indistinct
Case 3
Case 3
            Right lower lobe
             collapse
             ◦ Whiteness
               immediately above
               the diaphragm (1)
               causing loss of its
               outline
             ◦ Right heart border
               maintained
Case 3
Case 3
            Left upper lobe
             collapse
             ◦ Most left upper lobe
               lies in front of lower
               lobe
             ◦ Collapse of upper
               lobe causes a haze
               to appear over the
               whole left lung field
Case 4
Case 4
            Left lower lobe
             collapse
             ◦ Left lower lobe
               collapses behind
               heart
             ◦ Heart shadow
               appears whiter
             ◦ Double left heart
               border (sail sign)
             ◦ Left hemidiaphragm
               border can’t be
               followed to spine
Describe the abnormality
Volume loss -
pneumonectomy
   Mediastinum
    ◦ tracheal deviation towards side of pneumonectomy.
    ◦ Heart border not visible
   Contralateral lung field
    ◦ Hyperinflation of contralateral lung due to mediastinal shift.
    ◦ Appears darker (unaffected lung over-inflate, causing vessels to
      become more spread out, hence reduced vascular markings)
   Diaphragm
    ◦ Upper border obliterated
   Ribs
    ◦ Pneumonectomy usually involve cutting or removing ribs during
      operation. Look for rib deformity or absence of rib. Usually 5th rib

   Note extensive hypoplasia or congenital absence of one lung
    may cause similar appearance
Case 5
            Left sided
             pneumonectomy
             ◦ Left hemithorax
               white
             ◦ Left mediastinal shift
             ◦ Lft ribs crowded
               together
             ◦ Slight curvature of
               spine
             ◦ Right lung
               hyperinflated +
               crosses over midline
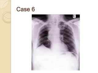
Case 6
Case 6
            Right upper lobe
             lobectomy
             ◦ Volume loss of right
               lung
             ◦ Right tracheal
               deviation
             ◦ Remaining right lung
               hyperinflated, appea
               rs darker
             ◦ Right diaphragm –
               diagphragmatic
               tenting
Case 7
Case 7
            Mass lesion in
             mediastinum
             ?enlarged thyroid
             gland
             ◦ Tracheal deviation
               caused by mass
             ◦ Long volume, ribs
               and diaphragms are
               normal

Abnormal chest radiograph part 1

  • 1.
    Abnormal Chest Radiograph –part 1 B Widaja Awesomemedicalnotes.wordpress.com
  • 2.
  • 3.
    Collapse  Compare with previous films if available (new or long standing?)  Lung fields – right lung should be larger than left. If not, suspect area of right sided collapse  Diaphragms – right diaphragm should be higher than left. Distortion may suggest left sided collapse  Horizonal fissure in right lung – If pulled up, suspect right upper lobe collapse. If pulled down, suspect right lower lobe collapse  Trachea – pulled towards area of collapse  Heart – deviated towards side of collape  Borders (diaphragm, heart or mediastinum) – blurred if lung adjacent to it is collapsed (silhouette sign)
  • 4.
  • 5.
    Case 1  Right upper lobe collapse ◦ Shadowing in upper zone of right lung (1) ◦ Horizontal fissure is elevated ◦ Tracheal deviation towards the right (2) ◦ Ribs over shadowing are closer together than normal
  • 6.
  • 7.
    Case 2  Right middle lobe collapse ◦ Right diaphragm may be slightly raised (1) ◦ Horizontal fissure may be slightly lower than usual (2) ◦ Upper part of lower zone may have hazy shadowing (3) ◦ Right heart border may be indistinct
  • 8.
  • 9.
    Case 3  Right lower lobe collapse ◦ Whiteness immediately above the diaphragm (1) causing loss of its outline ◦ Right heart border maintained
  • 10.
  • 11.
    Case 3  Left upper lobe collapse ◦ Most left upper lobe lies in front of lower lobe ◦ Collapse of upper lobe causes a haze to appear over the whole left lung field
  • 12.
  • 13.
    Case 4  Left lower lobe collapse ◦ Left lower lobe collapses behind heart ◦ Heart shadow appears whiter ◦ Double left heart border (sail sign) ◦ Left hemidiaphragm border can’t be followed to spine
  • 14.
  • 15.
    Volume loss - pneumonectomy  Mediastinum ◦ tracheal deviation towards side of pneumonectomy. ◦ Heart border not visible  Contralateral lung field ◦ Hyperinflation of contralateral lung due to mediastinal shift. ◦ Appears darker (unaffected lung over-inflate, causing vessels to become more spread out, hence reduced vascular markings)  Diaphragm ◦ Upper border obliterated  Ribs ◦ Pneumonectomy usually involve cutting or removing ribs during operation. Look for rib deformity or absence of rib. Usually 5th rib  Note extensive hypoplasia or congenital absence of one lung may cause similar appearance
  • 16.
    Case 5  Left sided pneumonectomy ◦ Left hemithorax white ◦ Left mediastinal shift ◦ Lft ribs crowded together ◦ Slight curvature of spine ◦ Right lung hyperinflated + crosses over midline
  • 17.
  • 18.
    Case 6  Right upper lobe lobectomy ◦ Volume loss of right lung ◦ Right tracheal deviation ◦ Remaining right lung hyperinflated, appea rs darker ◦ Right diaphragm – diagphragmatic tenting
  • 19.
  • 20.
    Case 7  Mass lesion in mediastinum ?enlarged thyroid gland ◦ Tracheal deviation caused by mass ◦ Long volume, ribs and diaphragms are normal