 Navdeep Singh
Partial or complete loss
of volume of a lung
 Lobar collapse due to endobronchial obstruction
 • Intrinsic
- Bronchogenic carcinoma, Bronchial carcinoid
- Adenoid cystic carcinoma,
- Metastases, Lymphoma
- Benign tumours (e.g. lipoma, hamartoma)
-Miscellaneous conditions (e.g. aspirated foreign
bodies, mucus plugs, gastric contents, malpositioned
endotracheal tubes)
• Extrinsic
- Hilar or mediastinal lymphadenopathy
- Mediastinal masses
- Fibrosing mediastinitis
- Aortic aneurysms
 Relaxation or passive collapse – lung tends to
retract towards its hilum when air or increased
fluid collects in the pleural space
 Cicatrisation collapse – pulmonary fibrosis
 Adhesive collapse - The surface tension of the
alveoli is decreased by surfactant. If this
mechanism is disturbed, as in the respiratory
distress syndrome, collapse of alveoli occurs,
although the central airways remain patent.
 Resorption collapse – CA bronchus
Direct signs
 Displacement of interlobar fissures
 Loss of aeration – if the collapsed lung is adjacent
to mediastinum or diaphragm, obscuration of
adjacent strucutres.Increased density of a
collapsed area of lung
 Vascular & bronchial signs – the pulmonary
vessels & bronchi become crowded together in the
affected lobe and their orientation changes.
 Compensatory hyperinflation - vessels more
widely spaced.
 Hilar displacement- The hilum may be elevated in
upper lobe collapse, and appears small in lower
lobe collapse
 Elevation of the hemidiaphragm – may be seen in
lower lobe collapse.
 Mediastinal displacement – in upper lobe collapse the
trachea is often displaced toward the affected side, and in
lower lobe collapse the heart may be displaced.
Displacement of the anterior and posterior junctional line,
azygo-oesophageal.
 Shifting granuloma
 Opacity at apex of hemithorax.
 Elevated horizontal fissure resulting in concave inferior
margin.
 On lateral view, the horizontal and oblique fissure are
displaced superiorly and medially.
 In severe collapse the horizontal fissure parallels the
mediastinum and appear as apical cap.
 Overinflation of middle and lower lobe resulting horizontal
course of right bronchus and pul. Artery.
 The hilum is elevated.
Right upper lobe collapse. (A) PA projection. Note how lesser
fissure is drawn upward, and often curved, toward the apex and
mediastinum.
(B) Right lateral view. Lesser fissure also displaced upward. Note
some forward displacement of greater fissure above the hilum.
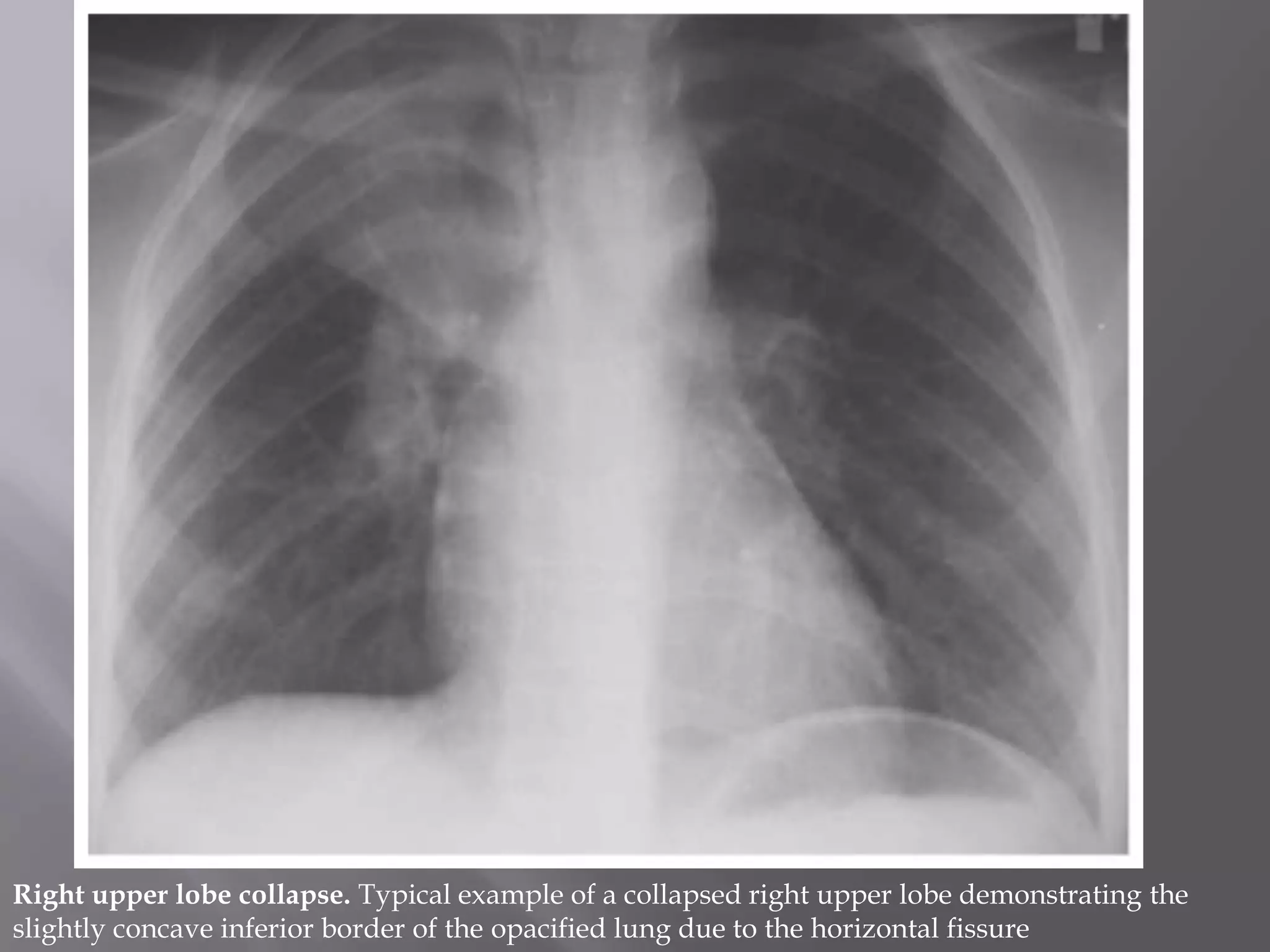
Right upper lobe collapse. Typical example of a collapsed right upper lobe demonstrating the
slightly concave inferior border of the opacified lung due to the horizontal fissure
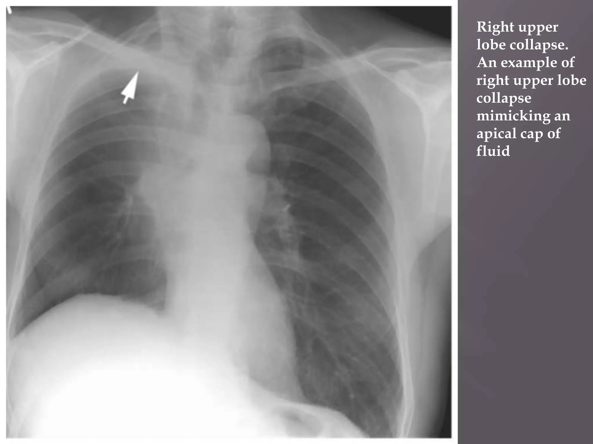
 Right upper
lobe collapse.
An example of
right upper lobe
collapse
mimicking an
apical cap of
fluid
Tight right upper lobe collapse. Note how the collapsed lobe (due to a central
bronchogenic carcinoma) results in increased right paramediastinal density.
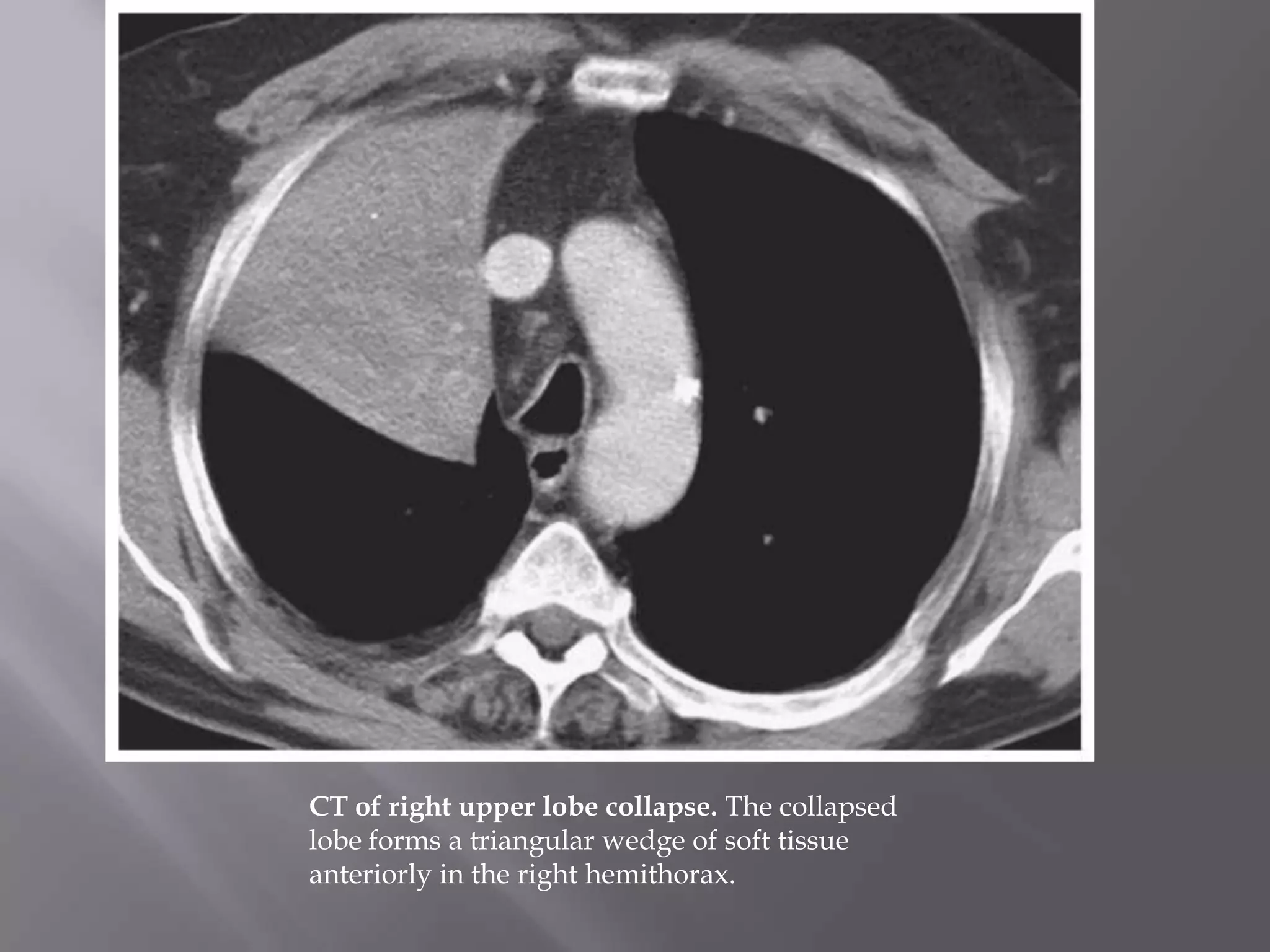
CT of right upper lobe collapse. The collapsed
lobe forms a triangular wedge of soft tissue
anteriorly in the right hemithorax.
 Direction of volume lobe is anterior and medial.
 Veil- like opacity in affected hemithorax, greatest at hium
and gradually fades away.
 Loss of normal silhouette of structures adjacent to collapse
as the area is no longer aerated.
 Luftsichel sign
 On lateral view the anterior outline of ascending aorta is
seen with unusual clarity due to compensatory
hyperinflation of right upper lobe.
 Left main bronchus has more horizontal course.
 Rarely left upper lobe collapse mimics right upper lobe
collapse when apicoposterior segment is mainly involved.
.
PA film shows
typical upper
zone haze,
through which is
seen the elevated
and enlarged left
hilum, and vessels
of the
hyperinflated
lower lobe.
The contour of the
aortic knuckle is
indistinct
Lateral film shows the collapsed
left upper lobe between the
anteriorly displaced oblique
fissure (arrow heads) and part of
the hyperinflated lower lobe. (C)
CT demonstration of left upper
lobe collapse. Calcified lymph
nodes due to previous
tuberculosis are visible.
 due to the overinflated superior segment of the ipsilateral lower lobe
occupying the space between the mediastinum and the medial aspect of
the collapsed upper lobe, resulting in a paramediastinal translucency
 An useful ancillary sign of
upper lobe collapse (or a
combination of right upper and
middle lobe collapse) is a
juxtaphrenic peak of the
diaphragm
 The sign refers to a small
triangular density at the highest
point of the dome of the
hemidiaphragm, due to the
anterior volume loss of the
affected upper lobe resulting in
traction and reorientation of an
inferior accessory fissure
 The sign refers to the S shape (or more accurately, reverse S on the
right) of the fissure due to the combination of collapse and mass
centrally resulting in a focal convexity with a concave outline
peripherally
A right upper lobe collapse
demonstrating peripheral
concavity and central convexity
(arrows) due to an underlying
bronchogenic carcinoma
resulting in a reverse S shape.
 Horizontal fissure and lower half of the oblique fissure move
toward one another
 Best seen in lateral projection
 Loss of the silhouette with right heart border.
 The lordotic projection brings the displaced fissure into the line of
the Xray beam, and may elegantly demonstrate right middle
lobe collapse.
Right middle lobe collapse. In both projections the
lesser fissure fissure is drawn downward. In the PA
view (A) the fissure finally merges with the
mediastinum and disappears. Note in the lateral view
(B) that the lower part of the greater fissure may be
displaced forward.
Right middle lobe collapse. (A) PA film shows loss of definition of the right
heart border indicating loss of aeration of the middle lobe.
(B) A lateral film shows partial collapse of the middle lobe evident as a wedge-
shaped opacity (arrows).
 The oblique fissure is displaced posteriorly and medially,
and the collapsed lobe lies in the posteromedial portion of
the chest
 On the frontal radiograph, the collapsed lower lobes
usually form a triangular density behind the heart
 The medial portion of the hemidiaphragm may be
obscured as it is no longer outlined by aerated lung
 On the lateral radiograph, a posterior portion of the
hemidiaphragm may not be seen
 The vertebral column appears progressively denser
inferiorly in lower lobe collapse
Right lower lobe collapse.
(A) Frontal view of an
example of right lower lobe
collapse demonstrating a
triangular density which does
not obscure the right
hemidiaphragm silhouette.
(B) The lateral radiograph
shows the typical features of
increased density of the
posterior costophrenic angle
and loss of the silhouette of
the right diaphragm
posteriorly.
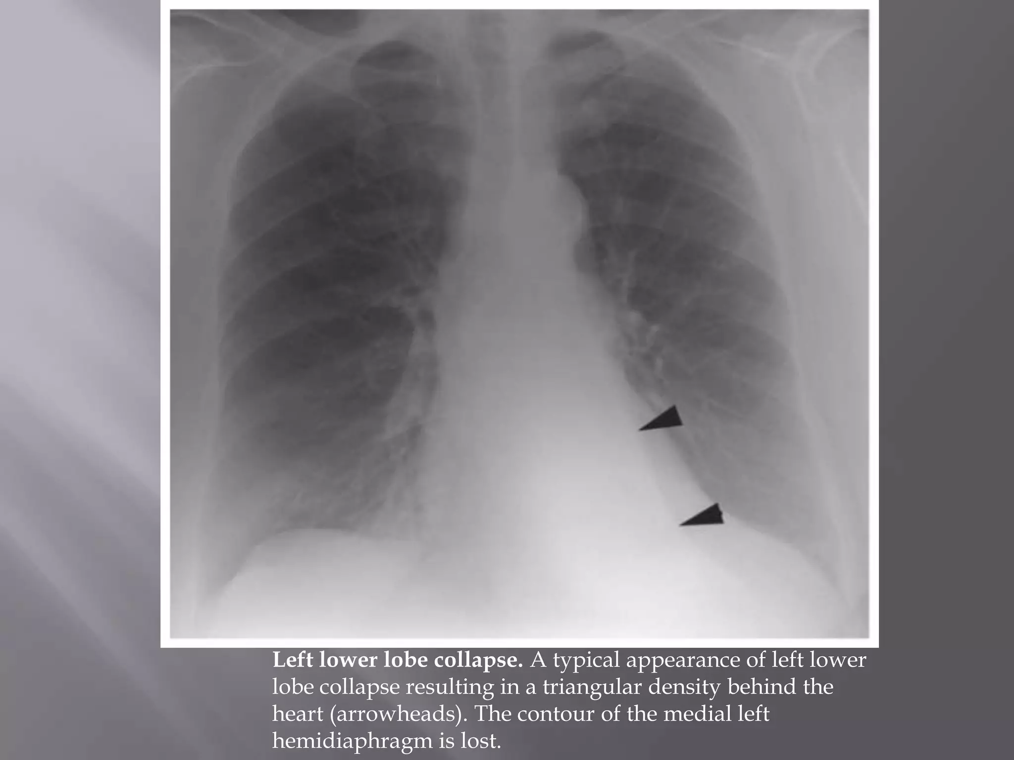
Left lower lobe collapse. A typical appearance of left lower
lobe collapse resulting in a triangular density behind the
heart (arrowheads). The contour of the medial left
hemidiaphragm is lost.
 On the frontal radiograph the lower lobe pulmonary
artery is usually not seen in lower lobe collapse as it is no
longer outlined by aerated lung
 There are several features involving the upper
mediastinum which are sometimes helpful in diagnosing
lower lobe collapse
 Superior triangle sign - triangular density to the
right of the mediastinum seen in right lower lobe collapse
due to displacement of anterior junctional structures
Superior triangle sign. (A) An
initial image shows the normal
appearances (note the lower lobe
artery is clearly visible). (B) The
subsequent image shows a right
lower lobe collapse
demonstrating the superior
triangle sign (arrow) (which
should not be confused with a
right upper lobe collapse). The
lower lobe artery can no longer
be seen
 ‘flat waist sign’ is seen in extensive collapse of the
left lower lobe and describes flattening of the
contours of the aortic knuckle and main
pulmonary artery due to cardiac rotation and
displacement to the left
 Third, the outline of the superior aortic knuckle
may be lost in severe left lower lobe collapse
 Complete opacification or ‘white-out’ of the affected
hemithorax.
 In adults, the cause is often an obstructing neoplasm
in the right or left main bronchi
 There is marked volume loss with compensatory
hyperinflation of the contralateral lung across the
midline
 The cardinal feature of volume loss can help
discriminate between collapsed lung and a large
pleural effusion
 By comparison, the opacity of the hemithorax is
more uniform on the lateral view in large pleural
effusion and may be a useful discriminating feature
in equivocal cases.
 Collapse of the right middle and right lower lobes is often
due to an obstructing lesion in the bronchus intermedius
 The features are similar to right lower lobe collapse with
the exception that the opacity extends laterally to the
costophrenic angle on the frontal view and from the front to
the back of the hemithorax on the lateral view
 Collapse of the right upper and right middle lobes is more
unusual as these lobes do not have a common bronchial
origin which spares the lower lobe
 Both bilateral lower lobe and upper lobe collapse are
exceedingly rare and may occur as a result of metachronous
bronchial neoplasms or mucous plugging
 This is an unusual form of pulmonary collapse which may
be misdiagnosed as a pulmonary mass.
 Appears on plain film as a homogeneous mass, upto 5 cm in
diameter, with ill-defined edges
 Always pleural based & associated with pleural thickening
 Vascular shadows may be seen to radiate from part of the
opacity, resembling a comet's tail.
 The appearance is caused by peripheral lung tissue folding
in on itself
 Often related to asbestos exposure, but may occur secondary
to any exudative pleural effusion
 It is not of any pathological significance.
 CT appearance is usually diagnostic, & enables
differentiation from other pulmonary masses
Rounded atelectasis in a patient with a history of asbestos exposure. (A) Chest
radiograph shows en face pleural plaque on the right with calcified pleural plaques
over the dome of the right diaphragm (arrowheads). There is the suggestion of a right
infrahilar mass. (B) Highresolution CT demonstrates indrawing of the
bronchovascular structures into a pleurally based mass. The appearances are typical
of rounded atelectasis.there is widespread calcified pleural plaques

Collapse- RADIOLOGY

  • 1.
  • 3.
    Partial or completeloss of volume of a lung
  • 4.
     Lobar collapsedue to endobronchial obstruction  • Intrinsic - Bronchogenic carcinoma, Bronchial carcinoid - Adenoid cystic carcinoma, - Metastases, Lymphoma - Benign tumours (e.g. lipoma, hamartoma) -Miscellaneous conditions (e.g. aspirated foreign bodies, mucus plugs, gastric contents, malpositioned endotracheal tubes) • Extrinsic - Hilar or mediastinal lymphadenopathy - Mediastinal masses - Fibrosing mediastinitis - Aortic aneurysms
  • 5.
     Relaxation orpassive collapse – lung tends to retract towards its hilum when air or increased fluid collects in the pleural space  Cicatrisation collapse – pulmonary fibrosis  Adhesive collapse - The surface tension of the alveoli is decreased by surfactant. If this mechanism is disturbed, as in the respiratory distress syndrome, collapse of alveoli occurs, although the central airways remain patent.  Resorption collapse – CA bronchus
  • 6.
    Direct signs  Displacementof interlobar fissures  Loss of aeration – if the collapsed lung is adjacent to mediastinum or diaphragm, obscuration of adjacent strucutres.Increased density of a collapsed area of lung  Vascular & bronchial signs – the pulmonary vessels & bronchi become crowded together in the affected lobe and their orientation changes.
  • 7.
     Compensatory hyperinflation- vessels more widely spaced.  Hilar displacement- The hilum may be elevated in upper lobe collapse, and appears small in lower lobe collapse  Elevation of the hemidiaphragm – may be seen in lower lobe collapse.  Mediastinal displacement – in upper lobe collapse the trachea is often displaced toward the affected side, and in lower lobe collapse the heart may be displaced. Displacement of the anterior and posterior junctional line, azygo-oesophageal.  Shifting granuloma
  • 8.
     Opacity atapex of hemithorax.  Elevated horizontal fissure resulting in concave inferior margin.  On lateral view, the horizontal and oblique fissure are displaced superiorly and medially.  In severe collapse the horizontal fissure parallels the mediastinum and appear as apical cap.  Overinflation of middle and lower lobe resulting horizontal course of right bronchus and pul. Artery.  The hilum is elevated.
  • 9.
    Right upper lobecollapse. (A) PA projection. Note how lesser fissure is drawn upward, and often curved, toward the apex and mediastinum. (B) Right lateral view. Lesser fissure also displaced upward. Note some forward displacement of greater fissure above the hilum.
  • 10.
    Right upper lobecollapse. Typical example of a collapsed right upper lobe demonstrating the slightly concave inferior border of the opacified lung due to the horizontal fissure
  • 11.
     Right upper lobecollapse. An example of right upper lobe collapse mimicking an apical cap of fluid
  • 12.
    Tight right upperlobe collapse. Note how the collapsed lobe (due to a central bronchogenic carcinoma) results in increased right paramediastinal density.
  • 13.
    CT of rightupper lobe collapse. The collapsed lobe forms a triangular wedge of soft tissue anteriorly in the right hemithorax.
  • 14.
     Direction ofvolume lobe is anterior and medial.  Veil- like opacity in affected hemithorax, greatest at hium and gradually fades away.  Loss of normal silhouette of structures adjacent to collapse as the area is no longer aerated.  Luftsichel sign  On lateral view the anterior outline of ascending aorta is seen with unusual clarity due to compensatory hyperinflation of right upper lobe.  Left main bronchus has more horizontal course.  Rarely left upper lobe collapse mimics right upper lobe collapse when apicoposterior segment is mainly involved.
  • 15.
    . PA film shows typicalupper zone haze, through which is seen the elevated and enlarged left hilum, and vessels of the hyperinflated lower lobe. The contour of the aortic knuckle is indistinct
  • 16.
    Lateral film showsthe collapsed left upper lobe between the anteriorly displaced oblique fissure (arrow heads) and part of the hyperinflated lower lobe. (C) CT demonstration of left upper lobe collapse. Calcified lymph nodes due to previous tuberculosis are visible.
  • 17.
     due tothe overinflated superior segment of the ipsilateral lower lobe occupying the space between the mediastinum and the medial aspect of the collapsed upper lobe, resulting in a paramediastinal translucency
  • 18.
     An usefulancillary sign of upper lobe collapse (or a combination of right upper and middle lobe collapse) is a juxtaphrenic peak of the diaphragm  The sign refers to a small triangular density at the highest point of the dome of the hemidiaphragm, due to the anterior volume loss of the affected upper lobe resulting in traction and reorientation of an inferior accessory fissure
  • 19.
     The signrefers to the S shape (or more accurately, reverse S on the right) of the fissure due to the combination of collapse and mass centrally resulting in a focal convexity with a concave outline peripherally A right upper lobe collapse demonstrating peripheral concavity and central convexity (arrows) due to an underlying bronchogenic carcinoma resulting in a reverse S shape.
  • 20.
     Horizontal fissureand lower half of the oblique fissure move toward one another  Best seen in lateral projection  Loss of the silhouette with right heart border.  The lordotic projection brings the displaced fissure into the line of the Xray beam, and may elegantly demonstrate right middle lobe collapse.
  • 21.
    Right middle lobecollapse. In both projections the lesser fissure fissure is drawn downward. In the PA view (A) the fissure finally merges with the mediastinum and disappears. Note in the lateral view (B) that the lower part of the greater fissure may be displaced forward.
  • 22.
    Right middle lobecollapse. (A) PA film shows loss of definition of the right heart border indicating loss of aeration of the middle lobe. (B) A lateral film shows partial collapse of the middle lobe evident as a wedge- shaped opacity (arrows).
  • 23.
     The obliquefissure is displaced posteriorly and medially, and the collapsed lobe lies in the posteromedial portion of the chest  On the frontal radiograph, the collapsed lower lobes usually form a triangular density behind the heart  The medial portion of the hemidiaphragm may be obscured as it is no longer outlined by aerated lung  On the lateral radiograph, a posterior portion of the hemidiaphragm may not be seen  The vertebral column appears progressively denser inferiorly in lower lobe collapse
  • 24.
    Right lower lobecollapse. (A) Frontal view of an example of right lower lobe collapse demonstrating a triangular density which does not obscure the right hemidiaphragm silhouette. (B) The lateral radiograph shows the typical features of increased density of the posterior costophrenic angle and loss of the silhouette of the right diaphragm posteriorly.
  • 25.
    Left lower lobecollapse. A typical appearance of left lower lobe collapse resulting in a triangular density behind the heart (arrowheads). The contour of the medial left hemidiaphragm is lost.
  • 26.
     On thefrontal radiograph the lower lobe pulmonary artery is usually not seen in lower lobe collapse as it is no longer outlined by aerated lung  There are several features involving the upper mediastinum which are sometimes helpful in diagnosing lower lobe collapse
  • 27.
     Superior trianglesign - triangular density to the right of the mediastinum seen in right lower lobe collapse due to displacement of anterior junctional structures Superior triangle sign. (A) An initial image shows the normal appearances (note the lower lobe artery is clearly visible). (B) The subsequent image shows a right lower lobe collapse demonstrating the superior triangle sign (arrow) (which should not be confused with a right upper lobe collapse). The lower lobe artery can no longer be seen
  • 28.
     ‘flat waistsign’ is seen in extensive collapse of the left lower lobe and describes flattening of the contours of the aortic knuckle and main pulmonary artery due to cardiac rotation and displacement to the left  Third, the outline of the superior aortic knuckle may be lost in severe left lower lobe collapse
  • 29.
     Complete opacificationor ‘white-out’ of the affected hemithorax.  In adults, the cause is often an obstructing neoplasm in the right or left main bronchi  There is marked volume loss with compensatory hyperinflation of the contralateral lung across the midline  The cardinal feature of volume loss can help discriminate between collapsed lung and a large pleural effusion  By comparison, the opacity of the hemithorax is more uniform on the lateral view in large pleural effusion and may be a useful discriminating feature in equivocal cases.
  • 30.
     Collapse ofthe right middle and right lower lobes is often due to an obstructing lesion in the bronchus intermedius  The features are similar to right lower lobe collapse with the exception that the opacity extends laterally to the costophrenic angle on the frontal view and from the front to the back of the hemithorax on the lateral view  Collapse of the right upper and right middle lobes is more unusual as these lobes do not have a common bronchial origin which spares the lower lobe  Both bilateral lower lobe and upper lobe collapse are exceedingly rare and may occur as a result of metachronous bronchial neoplasms or mucous plugging
  • 31.
     This isan unusual form of pulmonary collapse which may be misdiagnosed as a pulmonary mass.  Appears on plain film as a homogeneous mass, upto 5 cm in diameter, with ill-defined edges  Always pleural based & associated with pleural thickening  Vascular shadows may be seen to radiate from part of the opacity, resembling a comet's tail.  The appearance is caused by peripheral lung tissue folding in on itself  Often related to asbestos exposure, but may occur secondary to any exudative pleural effusion  It is not of any pathological significance.  CT appearance is usually diagnostic, & enables differentiation from other pulmonary masses
  • 32.
    Rounded atelectasis ina patient with a history of asbestos exposure. (A) Chest radiograph shows en face pleural plaque on the right with calcified pleural plaques over the dome of the right diaphragm (arrowheads). There is the suggestion of a right infrahilar mass. (B) Highresolution CT demonstrates indrawing of the bronchovascular structures into a pleurally based mass. The appearances are typical of rounded atelectasis.there is widespread calcified pleural plaques