MRCP
Presenter:Dr. Vidya T K
IIYR Resident
MD RADIO-DIAGNOSIS
Objectives
• Introduction
• Patient preparation
• Technique
• Advantages
• Limitations
• Clinical applications
Introduction
 Introduced in 1991.
 Magnetic resonance cholangiopancreatography
(MRCP) is performed with heavily T2-weighted fast
spin-echo sequences.
 Noninvasive, less costly, and sensitive alternative to
diagnostic ERCP
PATIENT PREPARATION
• It is very crucial to optimize imaging of the biliary
system with MRCP.
• The patient fasts for 4 hours to help reduce peristalsis
and gastroduodenal fluid before imaging.
PATIENT PREPARATION
• Oral contrast material that lowers the signal intensity
of intraluminal fluid in the bowel on T2-weighted
images.
• Superparamagnetic iron oxide particles, gadolinium-
meglumine compounds or pineapple juice
administered to suppress the signal from fluid in the
gastrointestinal tract.
PATIENT PREPARATION
• Patient removes all external metal items prior to
entering the magnet, and is given ear plugs.
PATIENT PREPARARTION
• Once in the scanning room, patient lie supine and
phased array torso-coil placed against the chest wall
& upper abdomen.
• The coil acts as antenna - improve the signal to noise
ratio of the images.
• Instructed to remain still and follow the breathing
instructions during the study.
MAGNET
• 1.5 Tesla -3Tesla magnet.
• Multiplanar thin-slice images -excellent spatial
resolution of the ducts.
• Stronger magnetic fields may provide better spatial
resolution.
TECHNIQUE
• Basic principle:
--Body fluids (bile and pancreatic secretions) have high
signal intensity on heavily T2-weighted MR
sequences  therefore, appear white.
--Background tissues generate little signal  appear
dark.
TECHNIQUE
• MR cholangiopancreatography uses
heavily T2-weighted images to visualize
stationary or slow moving fluids in the
biliary system and pancreatic duct with
high signal intensity.
TECHNIQUE
• Earlier sequences such as GRE & FSE provided
MRCP images ,but these long sequences often
suffered from motion artifact & poor spatial
resolution.
• Images are now acquired in one of the following
sequences that use heavy T2 weighting .
TECHNIQUE
1) Single shot fast-spin echo (SSFSE)
2) Half Fourier single-shot turbo spin echo (HASTE)
3) Rapid acquisition relaxation enhanced (RARE).
These ultrafast techniques obtain images rapidly with
reduced artifacts.
TECHNIQUE
• Since large component of residual background
signal from abdomen arises from fat, selective fat
suppression techniques used to improve overall
quality of the image.
TECHNIQUE
• Other refinements include development of breathing
independent sequences that suppress artifacts
associated with surgical clips, stents, and bowel gas
and allow image acquisition at thickness of 2-5mm.
TECHNIQUE
• Respiratory triggering : in which the imaging
procedure is timed to coincide with the patients
breathing.
• Can be used in patients who are unable to suspend
respiration.
TECHNIQUE
• Parameters for MRCP
- TE : 900 to -1000
- TR : Infinite
- Matrix : 256 x 256
- FOV : small, but without signal wrap of the biliary
structures.
- T1 axial – for any pancreatic lesion causing biliary
obstruction.
TECHNIQUE
• In general, the first step in performing MRCP is to
localize the biliary tract and pancreatic duct.
• Accomplished by acquiring a scout image of 30-70
mm – thick slab or single-shot projection. Depicts
majority of the biliary tract & pancreatic duct on a
single image.
TECHNIQUE
• To depict finer details of the ducts, thin-slab
technique is employed.
• By using the thick-slab images as guides ,
multiple, thin-slab (2-5mm)images of the
pancreaticobiliary tract in the coronal plane and at
a variety of angles which depict the ductal
systems.
TECHNIQUE
• The entire ductal systems are usually not located on a
single image.
• Although most diagnostic decisions are made on the
basis of 2D thin-slab images, the thin-slab images
may be manipulated with MIP algorithms MPR
techniques to generate 3D images of the ductal
systems.
TECHNIQUE
• Additional information may be obtained when
conventional MR is performed in conjunction with
MRCP.
• In suspected malignancy of the pancreaticobiliary
tract, MRA may also yield information important in
determining the resectability of neoplasms.
• The entire procedure takes about 10-30 minutes.
TECHNIQUE
• ROLE OF IV SECRETIN : IV injection of secretin,
at dose of 1ml/kg stimulates secretion by pancreas
thus allowing better distension of the pancreatic duct.
• The effect is rapid & resolves quickly.
TECHNIQUE
• Repeated imaging with thick-slab, every 15-30
seconds for 10-15 minutes is performed.
• This allows dynamic evaluation of the pancreatic duct
& ampullary regions.
• Secretin stimulation allows improved visualization of
the pancreatic duct compared with standard MRCP.
• This technique improves the detection of pancreas
divisum.
INTERPRETATION
• The interpretation of images obtained with MRCP
follows the same principles used for interpreting
ERCP images.
APPLICATIONS
• BILIARY DISEASE
- Cystic disease of bile ducts (choledochal cyst,
choledochocele, caroli’s disease)
- Congenital variants (aberrant right hepatic artery, low
or medial duct insertion).
- Choledocholithiasis
- Primary sclerosing cholangitis
- Post surgical biliary complications
- Cholangiocarcinoma
APPLICATIONS
• PANCREATIC DISEASE
- Pancreatic divisum
- Chronic pancreatitis
- Ca pancreas
APPLICATIONS
• In choledochal cysts :
- MRCP is equivalent to ERCP.
- detects the presence of anomalous union of
pancreatic & bile ducts.
- the length of extrahepatic bile duct involved by the
cyst is known – an important consideration in
planning surgery.
- well suited for pediatric patients.
APPLICATIONS
• In anatomic variants of the bile ducts :
- Variations in the branching pattern of the IHBD occur
in 37% - detected well on MRCP.
- MC being accessory right & left hepatic ducts that
enter the bile duct caudal to the confluence.
- cystic duct anomalies.
- although these may be incidental findings they can
complicate surgery
APPLICATIONS
• In Choledocholithiasis :
- USG & CT are often used in the initial evaluation in
suspected choledocholithiasis.
- On MRCP stones appear as signal void in the
background of high signal intensity bile.
- number, size & location are determined.
- stones as small as 2mm can be identified with current
techniques.
APPLICATIONS
• In Primary Sclerosing Cholangitis :
- MRCP depicts the subtle ductal abnormalities that
characterize PSC – mural irregularities, strictures
& diverticular outpouchings.
- Conventional abdominal MR + MRCP provides
useful information regarding the presence of cirrhosis
& portal hypertension in PSC patients.
APPLICATIONS
• In post surgical complications:
- The utility of MRCP has been demonstrated in the
evaluation of the surgically altered pancreatobiliary
tract.
- These alterations include
1) biliary – enteric anastomoses
2) pancreaticoenteric anastomoses
3) duct-to-duct anastomoses
• MRCP demonstrates the anastomoses & also the
complications such as – strictures, intraductal stone
formation, & anastomotic leak.
APPLICATIONS
• In Cholangiocarcinoma :
- MRCP is very accurate in identifying the presence &
level of neoplastic obstruction of pancreatobiliary
tract.
- In conjunction with conventional MR + MRCP and ,
when necessary MRA permits not only diagnosis but
also staging of malignant tumors of pancreatobiliary
tract.
• In hilar cholangiocarcinoma, it depicts the length of
extra-hepatic bile duct involved by the disease as well
as the proximal extent of the disease – an important
factor in determining the resectability.
APPLICATIONS
• In pancreatic divisum :
- occurs in 5.5 – 7.5% individuals
- MC variant of pancreatic duct, where the dorsal &
ventral anlage of the pancreas fail to fuse – resulting
in two separate drainage routes for pancreatic
secretions.
APPLICATIONS
• In pancreatitis :
- especially when ERCP is contraindicated in ongoing
acute pancreatitis.
- in detecting common ductal manifestations of chronic
pancreatitis such as dilatation, strictures, stones &
thoracopancreatic fistulas.
APPLICATIONS
• MRCP following the administration of secretin
shows improved depiction of pancreatic duct &
estimation of exocrine function as determined by the
amount of fluid filling the duodenum.
APPLICATIONS
• In pancreatic carcinoma :
- depicts the ducts obstructed by the pancreatic
mass & localizes the obstruction to pancreas.
- “double duct sign” is observed in case of
pancreatic head mass. ( non- specific as it may
seen in chronic pancreatitis)
- MRA done in conjunction – assesses the
resectability..
APPLICATIONS
• In failed / incomplete ERCP:
- most often technical in nature
- may be related to anatomic abnormalities such as
periampullary diverticula, duodenal stenosis, or
obstructing gastric neoplasms
APPLICATIONS
• In gall bladder :
- visualized as a high signal intensity structure owing to
its fluid content.
- fluid in the lumen allows the detection of stones that
are seen as low signal intensity foci.
- polyps, carcinoma and adenomyomatosis are also
detected.
LIMITATONS OF MRCP
• Only diagnostic
• Small / impacted calculi may be missed.
• Air / metal artifacts limit visualization of entire duct.
• Volume averaging can mask small calculi in thick-
slab HASTE images.
• Artifacts due to – gas, clot, metallic clips, motion /
pulsation.
• Respiratory motion may simulate ductal stones or
strictures.
LIMITATONS OF MRCP
• Pulsitality from the hepatic artery may simulate as
stricture in common duct.
• Overestimation of severity of biliary stenosis on MIP
images – thick slab HASTE images can overcome
this.
• Cannot be used in patients with aneurysms clips,
pacemakers etc.
• Can cause claustrophobia.
LIMITATIONS OF MRCP
• Inappropriate selection of the region
• If negative contrast is not used, fluid in the duodenum
may obscure the common duct.
• Ampullary region shows poor visualization thus
hinders interpretation.
MRCP
• Non – invasive
• Only diagnostic
• Multiplanar
projection
• No risk of ionizing
radiation
• No post procedure
complications
ERCP
• Invasive
• Diagnostic &
therapeutic
• Less
maneuverability
• Risk of radiation
• Complications –
pancreatitis,
hemorrhage, GI
perforation
Advantages of 3.0 T over 1.5 T
• Improved image quality ( SNR at 3.0 T is twice that at 1.5 T).
• Distal arborization and intrahepatic bile duct variation more
easily detected.
• Relation of pancreatic parenchyma to the ductal system
better visualized on nonpostprocessed images obtained at 3.0
T than in those obtained at 1.5 T.
• Delineation of pancreatic duct, particularly side branches,
improved at 3.0 T.
• When oral contrast is used, the fluid signal in the
gastrointestinal tract more effectively suppressed at 3.0T.
• Thin sections of 3–4 mm can be acquired in less time at 3.0 T
than at 1.5 T, helping reduce motion artifacts.
SUMMARY
• Over the past decade, MRCP has evolved not only as
a feasible means of non-invasively evaluating the
pancreatobiliary tract but also as a technique with
documented clinical utility.
• In fact, at some institutions MRCP has replaced
diagnostic ERCP such that ERCP is preserved for
only therapeutic interventions.
• MRCP + abd MR + MRA – evaluates solid organs &
vessels of abd & ductal systems
REFERENCES
• Hemant T. Patel, Ankur J. Shah, Shikha R.
Khandelwal, Hiren F. Patel, Megha D. Patel:
MR Cholangiopancreatography at 3.0 T.
RadioGraphics 2009; 29:1689–1706 .
• Computed body tomography with MRI
correlation-Lee & Sagel.
THANK YOU

Mrcp radiology

  • 1.
    MRCP Presenter:Dr. Vidya TK IIYR Resident MD RADIO-DIAGNOSIS
  • 2.
    Objectives • Introduction • Patientpreparation • Technique • Advantages • Limitations • Clinical applications
  • 3.
    Introduction  Introduced in1991.  Magnetic resonance cholangiopancreatography (MRCP) is performed with heavily T2-weighted fast spin-echo sequences.  Noninvasive, less costly, and sensitive alternative to diagnostic ERCP
  • 4.
    PATIENT PREPARATION • Itis very crucial to optimize imaging of the biliary system with MRCP. • The patient fasts for 4 hours to help reduce peristalsis and gastroduodenal fluid before imaging.
  • 5.
    PATIENT PREPARATION • Oralcontrast material that lowers the signal intensity of intraluminal fluid in the bowel on T2-weighted images. • Superparamagnetic iron oxide particles, gadolinium- meglumine compounds or pineapple juice administered to suppress the signal from fluid in the gastrointestinal tract.
  • 6.
    PATIENT PREPARATION • Patientremoves all external metal items prior to entering the magnet, and is given ear plugs.
  • 7.
    PATIENT PREPARARTION • Oncein the scanning room, patient lie supine and phased array torso-coil placed against the chest wall & upper abdomen. • The coil acts as antenna - improve the signal to noise ratio of the images. • Instructed to remain still and follow the breathing instructions during the study.
  • 8.
    MAGNET • 1.5 Tesla-3Tesla magnet. • Multiplanar thin-slice images -excellent spatial resolution of the ducts. • Stronger magnetic fields may provide better spatial resolution.
  • 9.
    TECHNIQUE • Basic principle: --Bodyfluids (bile and pancreatic secretions) have high signal intensity on heavily T2-weighted MR sequences  therefore, appear white. --Background tissues generate little signal  appear dark.
  • 10.
    TECHNIQUE • MR cholangiopancreatographyuses heavily T2-weighted images to visualize stationary or slow moving fluids in the biliary system and pancreatic duct with high signal intensity.
  • 11.
    TECHNIQUE • Earlier sequencessuch as GRE & FSE provided MRCP images ,but these long sequences often suffered from motion artifact & poor spatial resolution. • Images are now acquired in one of the following sequences that use heavy T2 weighting .
  • 12.
    TECHNIQUE 1) Single shotfast-spin echo (SSFSE) 2) Half Fourier single-shot turbo spin echo (HASTE) 3) Rapid acquisition relaxation enhanced (RARE). These ultrafast techniques obtain images rapidly with reduced artifacts.
  • 13.
    TECHNIQUE • Since largecomponent of residual background signal from abdomen arises from fat, selective fat suppression techniques used to improve overall quality of the image.
  • 14.
    TECHNIQUE • Other refinementsinclude development of breathing independent sequences that suppress artifacts associated with surgical clips, stents, and bowel gas and allow image acquisition at thickness of 2-5mm.
  • 15.
    TECHNIQUE • Respiratory triggering: in which the imaging procedure is timed to coincide with the patients breathing. • Can be used in patients who are unable to suspend respiration.
  • 16.
    TECHNIQUE • Parameters forMRCP - TE : 900 to -1000 - TR : Infinite - Matrix : 256 x 256 - FOV : small, but without signal wrap of the biliary structures. - T1 axial – for any pancreatic lesion causing biliary obstruction.
  • 17.
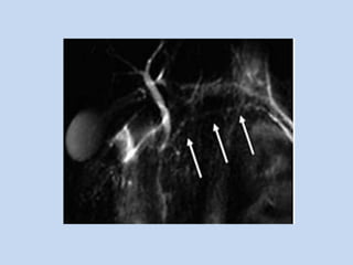
    TECHNIQUE • In general,the first step in performing MRCP is to localize the biliary tract and pancreatic duct. • Accomplished by acquiring a scout image of 30-70 mm – thick slab or single-shot projection. Depicts majority of the biliary tract & pancreatic duct on a single image.
  • 18.
    TECHNIQUE • To depictfiner details of the ducts, thin-slab technique is employed. • By using the thick-slab images as guides , multiple, thin-slab (2-5mm)images of the pancreaticobiliary tract in the coronal plane and at a variety of angles which depict the ductal systems.
  • 19.
    TECHNIQUE • The entireductal systems are usually not located on a single image. • Although most diagnostic decisions are made on the basis of 2D thin-slab images, the thin-slab images may be manipulated with MIP algorithms MPR techniques to generate 3D images of the ductal systems.
  • 20.
    TECHNIQUE • Additional informationmay be obtained when conventional MR is performed in conjunction with MRCP. • In suspected malignancy of the pancreaticobiliary tract, MRA may also yield information important in determining the resectability of neoplasms. • The entire procedure takes about 10-30 minutes.
  • 21.
    TECHNIQUE • ROLE OFIV SECRETIN : IV injection of secretin, at dose of 1ml/kg stimulates secretion by pancreas thus allowing better distension of the pancreatic duct. • The effect is rapid & resolves quickly.
  • 22.
    TECHNIQUE • Repeated imagingwith thick-slab, every 15-30 seconds for 10-15 minutes is performed. • This allows dynamic evaluation of the pancreatic duct & ampullary regions. • Secretin stimulation allows improved visualization of the pancreatic duct compared with standard MRCP. • This technique improves the detection of pancreas divisum.
  • 24.
    INTERPRETATION • The interpretationof images obtained with MRCP follows the same principles used for interpreting ERCP images.
  • 25.
    APPLICATIONS • BILIARY DISEASE -Cystic disease of bile ducts (choledochal cyst, choledochocele, caroli’s disease) - Congenital variants (aberrant right hepatic artery, low or medial duct insertion). - Choledocholithiasis - Primary sclerosing cholangitis - Post surgical biliary complications - Cholangiocarcinoma
  • 26.
    APPLICATIONS • PANCREATIC DISEASE -Pancreatic divisum - Chronic pancreatitis - Ca pancreas
  • 27.
    APPLICATIONS • In choledochalcysts : - MRCP is equivalent to ERCP. - detects the presence of anomalous union of pancreatic & bile ducts. - the length of extrahepatic bile duct involved by the cyst is known – an important consideration in planning surgery. - well suited for pediatric patients.
  • 30.
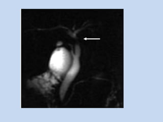
    APPLICATIONS • In anatomicvariants of the bile ducts : - Variations in the branching pattern of the IHBD occur in 37% - detected well on MRCP. - MC being accessory right & left hepatic ducts that enter the bile duct caudal to the confluence. - cystic duct anomalies. - although these may be incidental findings they can complicate surgery
  • 32.
    APPLICATIONS • In Choledocholithiasis: - USG & CT are often used in the initial evaluation in suspected choledocholithiasis. - On MRCP stones appear as signal void in the background of high signal intensity bile. - number, size & location are determined. - stones as small as 2mm can be identified with current techniques.
  • 37.
    APPLICATIONS • In PrimarySclerosing Cholangitis : - MRCP depicts the subtle ductal abnormalities that characterize PSC – mural irregularities, strictures & diverticular outpouchings. - Conventional abdominal MR + MRCP provides useful information regarding the presence of cirrhosis & portal hypertension in PSC patients.
  • 39.
    APPLICATIONS • In postsurgical complications: - The utility of MRCP has been demonstrated in the evaluation of the surgically altered pancreatobiliary tract. - These alterations include 1) biliary – enteric anastomoses 2) pancreaticoenteric anastomoses 3) duct-to-duct anastomoses
  • 40.
    • MRCP demonstratesthe anastomoses & also the complications such as – strictures, intraductal stone formation, & anastomotic leak.
  • 41.
    APPLICATIONS • In Cholangiocarcinoma: - MRCP is very accurate in identifying the presence & level of neoplastic obstruction of pancreatobiliary tract. - In conjunction with conventional MR + MRCP and , when necessary MRA permits not only diagnosis but also staging of malignant tumors of pancreatobiliary tract.
  • 42.
    • In hilarcholangiocarcinoma, it depicts the length of extra-hepatic bile duct involved by the disease as well as the proximal extent of the disease – an important factor in determining the resectability.
  • 44.
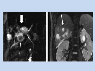
    APPLICATIONS • In pancreaticdivisum : - occurs in 5.5 – 7.5% individuals - MC variant of pancreatic duct, where the dorsal & ventral anlage of the pancreas fail to fuse – resulting in two separate drainage routes for pancreatic secretions.
  • 46.
    APPLICATIONS • In pancreatitis: - especially when ERCP is contraindicated in ongoing acute pancreatitis. - in detecting common ductal manifestations of chronic pancreatitis such as dilatation, strictures, stones & thoracopancreatic fistulas.
  • 50.
    APPLICATIONS • MRCP followingthe administration of secretin shows improved depiction of pancreatic duct & estimation of exocrine function as determined by the amount of fluid filling the duodenum.
  • 51.
    APPLICATIONS • In pancreaticcarcinoma : - depicts the ducts obstructed by the pancreatic mass & localizes the obstruction to pancreas. - “double duct sign” is observed in case of pancreatic head mass. ( non- specific as it may seen in chronic pancreatitis) - MRA done in conjunction – assesses the resectability..
  • 54.
    APPLICATIONS • In failed/ incomplete ERCP: - most often technical in nature - may be related to anatomic abnormalities such as periampullary diverticula, duodenal stenosis, or obstructing gastric neoplasms
  • 55.
    APPLICATIONS • In gallbladder : - visualized as a high signal intensity structure owing to its fluid content. - fluid in the lumen allows the detection of stones that are seen as low signal intensity foci. - polyps, carcinoma and adenomyomatosis are also detected.
  • 57.
    LIMITATONS OF MRCP •Only diagnostic • Small / impacted calculi may be missed. • Air / metal artifacts limit visualization of entire duct. • Volume averaging can mask small calculi in thick- slab HASTE images. • Artifacts due to – gas, clot, metallic clips, motion / pulsation. • Respiratory motion may simulate ductal stones or strictures.
  • 59.
    LIMITATONS OF MRCP •Pulsitality from the hepatic artery may simulate as stricture in common duct. • Overestimation of severity of biliary stenosis on MIP images – thick slab HASTE images can overcome this. • Cannot be used in patients with aneurysms clips, pacemakers etc. • Can cause claustrophobia.
  • 61.
    LIMITATIONS OF MRCP •Inappropriate selection of the region • If negative contrast is not used, fluid in the duodenum may obscure the common duct. • Ampullary region shows poor visualization thus hinders interpretation.
  • 62.
    MRCP • Non –invasive • Only diagnostic • Multiplanar projection • No risk of ionizing radiation • No post procedure complications ERCP • Invasive • Diagnostic & therapeutic • Less maneuverability • Risk of radiation • Complications – pancreatitis, hemorrhage, GI perforation
  • 63.
    Advantages of 3.0T over 1.5 T • Improved image quality ( SNR at 3.0 T is twice that at 1.5 T). • Distal arborization and intrahepatic bile duct variation more easily detected. • Relation of pancreatic parenchyma to the ductal system better visualized on nonpostprocessed images obtained at 3.0 T than in those obtained at 1.5 T. • Delineation of pancreatic duct, particularly side branches, improved at 3.0 T. • When oral contrast is used, the fluid signal in the gastrointestinal tract more effectively suppressed at 3.0T. • Thin sections of 3–4 mm can be acquired in less time at 3.0 T than at 1.5 T, helping reduce motion artifacts.
  • 64.
    SUMMARY • Over thepast decade, MRCP has evolved not only as a feasible means of non-invasively evaluating the pancreatobiliary tract but also as a technique with documented clinical utility. • In fact, at some institutions MRCP has replaced diagnostic ERCP such that ERCP is preserved for only therapeutic interventions. • MRCP + abd MR + MRA – evaluates solid organs & vessels of abd & ductal systems
  • 65.
    REFERENCES • Hemant T.Patel, Ankur J. Shah, Shikha R. Khandelwal, Hiren F. Patel, Megha D. Patel: MR Cholangiopancreatography at 3.0 T. RadioGraphics 2009; 29:1689–1706 . • Computed body tomography with MRI correlation-Lee & Sagel.
  • 66.