JSS Medical College, Mysuru
Normal Chest X-Ray &
Approach to Chest X-Ray
Dr.Vikram Patil
Assistant Professor, Radiology
JSS Medical College and Hospital, Mysuru
JSS Medical College, Mysuru
Introduction
• Most of the chest x-rays you will see will be
normal
• In order to recognise abnormality, you need
to know what a normal CXR looks like
JSS Medical College, Mysuru
General Principles
• Have a systematic approach
• Interpret the CXR in conjunction with the
clinical findings
• Always compare with previous CXR if available
to assess for change
• Ask yourself “Does my interpretation make
sense?”
JSS Medical College, Mysuru
Before we start……
Relative Densities
The images seen on a chest radiograph result from the differences in
densities of the materials in the body.
The hierarchy of relative densities from least dense (Black) to most
dense (white) :
•Gas (air in the lungs)
•Fat (fat layer in soft tissue)
•Water (same density as heart and blood vessels)
•Bone (the most dense of the tissues)
•Metal (foreign bodies)
JSS Medical College, Mysuru
Before Interpreting the Radiograph …
1. Patient identification details
2. X-Ray view-PA, AP, Lateral….
3. Breath : Inspiration or Expiration
4. X-ray penetration : Under or Over penetrated
5. Rotation
JSS Medical College, Mysuru
Four major views of a chest
radiograph:
• Posterior-anterior (PA)
• Lateral
• Anterior-posterior (AP)
• Lateral Decubitus
JSS Medical College, Mysuru
Posterior-anterior (PA) Position
• The standard position for obtaining a routine adult chest
radiograph
• Patient stands upright with the anterior wall of chest placed
against the front of the film
• The shoulders are rotated forward enough to touch the film,
ensuring that the scapulae do not obscure a portion of the lung
fields
• Usually taken with the patient in full inspiration
• The PA film is viewed as if the patient is standing in front of you
JSS Medical College, Mysuru
JSS Medical College, Mysuru
Anterior-posterior (AP)
Position
• Used when the patient is debilitated, immobilized, or unable
to cooperate with the PA procedure
• Film is placed behind the patient’s back with the patient in a
supine position
• Heart is at a greater distance from the film hence appear
more magnified than in a PA
• The scapulae are usually visible in the lung fields because they
are not rotated out of the view as they are in a PA
JSS Medical College, Mysuru
JSS Medical College, Mysuru
PA view AP view
Scapula Seen in periphery of thorax Seen over lung fields
Clavicles Project over lung fields Above the apex of lung fields
Ribs Posterior ribs distinct Anterior ribs are distinct
Marker PA AP
View
JSS Medical College, Mysuru
Lateral Position
• Patient stands upright with the left side of the chest
against the film and the arms raised over the head
• Allows the viewer to see behind the heart and
diaphragmatic dome
• Typically used in conjunction with a PA view of the
same side of chest to help determine the three-
dimensional position of organs or abnormal densities
JSS Medical College, Mysuru
JSS Medical College, Mysuru
Lateral Decubitus Position
• The patient lies on either the right or left side rather than in
the standing position as with a regular lateral radiograph
• The radiograph is labeled according to the side that is placed
down (a left lateral decubitus radiograph would have the
patient’s left side down against the film)
• Often useful in revealing a pleural effusion that cannot be
easily observed in an upright view, since the effusion will
collect in the dependent position
JSS Medical College, Mysuru
JSS Medical College, Mysuru
Three Main Factors Determine the
Technical Quality of the
Radiograph
• Inspiration
• Penetration
• Rotation
JSS Medical College, Mysuru
Inspiration
The chest radiograph should be obtained with the
patient in full inspiration to help assess intrapulmonary
abnormalities.
At full inspiration, the diaphragm should be observed
at about the level of the 8th
to 10th
rib posteriorly, or the
5th
to 6th
rib anteriorly.
JSS Medical College, Mysuru
Inspiration Expiration
Good Inspiration:
•6 anterior ribs visible
•10 posterior ribs visible
JSS Medical College, Mysuru
Penetration
On a properly exposed chest radiograph:
•The lower thoracic vertebrae should be visible through
the heart
•The bronchovascular structures behind the heart
(trachea, aortic arch, pulmonary arteries, etc.) should
be seen
JSS Medical College, Mysuru
Underexposure
In an underexposed chest
radiograph, the cardiac shadow is
opaque, with little or no visibility of
the thoracic vertebrae.
The lungs may appear much denser
and whiter, gives appearance of
infiltrates.
JSS Medical College, Mysuru
Overexposure
With greater exposure of the chest
radiograph, the heart becomes more
radiolucent and the lungs become
proportionately darker.
Often gives the appearance of lacking
lung tissue, as would be seen in a
condition such as emphysema.
JSS Medical College, Mysuru
Penetration
Over-penetrated Under-penetrated
If intervertebral disc are very
clearly seen in the film
If intervertebral disc are not
seen in the film
Correct exposure : Barely able to see the intervertebral disc through the heart
JSS Medical College, Mysuru
Rotation
Patient rotation can be assessed by observing the clavicular
heads and determining whether they are equal distance from
the spinous processes of the thoracic vertebral bodies.
JSS Medical College, Mysuru
Rotation
JSS Medical College, Mysuru
Angulation:
• With the patient in a more lordotic projection the clavicles
will project superiorly relative to the upper thorax causing
some distortion of the normal mediastinal anatomy.
• With the lordotic projection, the ribs assume a more
horizontal orientation.
• Occasionally a lordotic x-ray can be obtained intentionally to
better visualize structures in the thoracic apex obscured by
overlying bony structures.
JSS Medical College, Mysuru
Angulation
JSS Medical College, Mysuru
•Name/Date..
•Marker
•Inspiration/
•Rotation/
•Penetration
Review of Basics……..
clavicles equidistant
from spinous processes
of thoracic spine
can just see lower
thoracic spine
AMESH
Y/M
01/11/2016
09:23
JSS Medical College, Mysuru
Approach
• In order to recognise abnormality, you need
to know what a normal CXR looks like
The CXR on the next slide is normal.
How would you interpret it?
JSS Medical College, Mysuru
21
Normal Radiograph
JSS Medical College, Mysuru
ABCDEFGHI approach
• Airway
• Bones and Soft tissue
• Cardia
• Diaphragm
• Effusions
• Fields(Lung fields)
• Gastric Bubble
• Hila and mediastinum
• Impression
JSS Medical College, Mysuru
A-Airway
JSS Medical College, Mysuru
B-Bones and Soft Tissues
•Look at each rib in turn
•Clavicles
•Scapulae and humeri if visible
•Lower cervical and thoracic spine
JSS Medical College, Mysuru
Soft Tissue
• Thick soft tissue due to obesity may obscure some underlying
structures such as lung markings
• Breast tissue may obscure the costophrenic angles
• Lucencies within soft tissue may represent gas (as observed with
subcutaneous air)
JSS Medical College, Mysuru
•Supraclavicular fossae
(enlarged nodes)
•Lateral chest wall
(surgical emphysema)
•Under diaphragm
(pneumoperitoneum)
Soft Tissues
JSS Medical College, Mysuru
Subcutaneous Emphysema Pneumoperitoneum
JSS Medical College, Mysuru
C-Cardia
• Two-thirds of the heart should lie on the left side of the chest, with
one-third on the right
• The heart should take up less that half of the thoracic cavity (C/T
ratio < 50%)
• The left atrium and the left ventricle create the left heart border
• The right heart border is created entirely by the right atrium (the
right ventricle lies anteriorly and, therefore, does not have a
border on the PA view)
JSS Medical College, Mysuru
C-Cardia
JSS Medical College, Mysuru
JSS Medical College, Mysuru
T
CR
CL
CT RATIO = CR + CL / T
CR + CL = TRANSVERSE CARDIAC DIAMETER
T = TRANSVERSE THORACIC DIAMETER (at max TC dia)
C-Cardia
JSS Medical College, Mysuru
Pneumomediastinum Pneumopericardium
JSS Medical College, Mysuru
Mach Effect
• Sometimes a normal CXR will show
a thin, well-defined, black line
around one or both lateral margins
of the heart.
• An optical illusion resulting from
overlap of superimposed normal
structures.
• This illusion is known as a Mach
band or Mach effect
JSS Medical College, Mysuru
D-Diaphragm
•Both diaphragms should form a sharp margin with the lateral chest wall
•Both diaphragm contours should be clearly visible medially to the spine
JSS Medical College, Mysuru
Diaphragmatic humps
JSS Medical College, Mysuru
E-Effusions(Pleura)
The pleura and pleural spaces will only be visible when there is an abnormality present
Common abnormalities seen with the pleura include pleural thickening, or fluid or air in the
pleural space.
JSS Medical College, Mysuru
Effusions ….
Meniscus sign +
Subpulmonic effusion
Hydropneumothorax
Phantom tumor
JSS Medical College, Mysuru
Pneumothorax
JSS Medical College, Mysuru
F-Lung Fields
• Normally, there are visible markings throughout the lungs due
to the pulmonary arteries and veins, continuing all the way to
the chest wall
• Both lungs should be scanned, starting at the apices and
working downward, comparing the left and right lung fields at
the same level
JSS Medical College, Mysuru
F-Lung Fields
JSS Medical College, Mysuru
Lungs
• On a PA radiograph, the minor fissure can often be seen as a
faint horizontal line dividing the RML from the RUL.
• The major fissures are not usually seen on a PA view because
they are being viewed obliquely.
JSS Medical College, Mysuru
Pulmonary Venous Hypertension
• Interstitial edema with Kerley B lines
JSS Medical College, Mysuru
Lobar anatomy
JSS Medical College, Mysuru
Lobar anatomy..
JSS Medical College, Mysuru
Hidden Areas….
JSS Medical College, Mysuru
G-Gastric Bubble
JSS Medical College, Mysuru
H-Hilum and mediastinum
• The hila consist primarily of the major bronchi and
the pulmonary veins and arteries
• The hila are not symmetrical, but contain the same
basic structures on each side
• The hila may be at the same level, but the left hilum
is commonly higher than the right
• Both hila should be of similar size and density
JSS Medical College, Mysuru
H-Hilum and mediastinum
JSS Medical College, Mysuru
Pulmonary Arterial Hypertension
Enlargement of the pulmonary trunk and main pulmonary arteries
Disproportionately small peripheral vessels
Oligemic lungs
Prune tree appearance
JSS Medical College, Mysuru
Mediastinum
• The trachea should be centrally located or slightly to the right
• The aortic arch is the first convexity on the left side of the
mediastinum
• The pulmonary artery is the next convexity on the left, and
the branches should be traceable as it fans out through the
lungs
• The lateral margin of the superior vena cava lies above the
right heart border
JSS Medical College, Mysuru
JSS Medical College, Mysuru
Mediastinum
JSS Medical College, Mysuru
JSS Medical College, Mysuru
JSS Medical College, Mysuru
ICU- Tubes & Lines
Tip at Junction of SVC &
Right atrium
JSS Medical College, Mysuru
•PROBLEM SOLVING TOOLS
JSS Medical College, Mysuru
PREVIOUS CXR
• Previous CXRs your best friend. You see a real or possible
abnormality on the CXR.
• Was it there before? Has it got larger or smaller? Is it
unchanged?
• A previous CXR will often highlight an important but subtle
change.
• On the other hand it will frequently provide reassurance that
all is well.
JSS Medical College, Mysuru
Silhouette Sign
• An intrathoracic lesion touching a border of the heart,
aorta, or diaphragm will obliterate part of that border
on the radiograph.
JSS Medical College, Mysuru
AIR BRONCHOGRAM SIGN
• When the internal tubular outline of a bronchus is visible
within a thoracic opacity…that is an air bronchogram.
• It is most commonly associated with a simple pneumonia.
Sometimes it occurs with pulmonary oedema.
JSS Medical College, Mysuru
THE CARDIAC DENSITY
• The density (opacity) of the cardiac shadow should be equal
on both sides of the spine.
• If there is any difference in density then look for evidence
of pneumonia, or lower lobe collapse, or a lower lobe mass
on the denser side
• There should be no abrupt change in density across the
cardiac shadow.
JSS Medical College, Mysuru
LUNG APICES
• Thickening of the apical pleura — sometimes referred to as
an apical cap — occurs normally in 10% of middle-aged and
elderly people.
• Unfortunately, a superior sulcus carcinoma (e.g. a Pancoast
tumour) can mimic an apical cap
JSS Medical College, Mysuru
PERIPHERAL OPACITIES
• An intrapulmonary opacity abutting the pleura forms
an acute angle at the interface.
• A pleural or extrapleural lesion forms an obtuse
angle
JSS Medical College, Mysuru
HILA ASSESSMENT
• The left hilum should be higher than the right. Occasionally the
hila are at the same level…but the right hilum should never be
higher than the left
• Most (unilateral) enlarged hila are both lumpy / bumpy and
denser than the opposite normal side. Some normal hila will
appear prominent — but are actually within the normal range.
JSS Medical College, Mysuru
HILUM CONVERGENCE SIGN
• Distinguishes enlarged hilum due to enlarged pulmonary
arteries to be distinguished from enlargement due to
tumour.
• If vessels arise from or converge directly onto the hilar
shadow — then the enlargement is vascular.
• If the vessels appear to arise or converge medial to the
lateral aspect of the hilar shadow — then the enlargement is
a mass
JSS Medical College, Mysuru
HILUM OVERLAY SIGN
• This sign is often misunderstood and misrepresented.
• Hilum lateral to the lateral border of the “mass” — cardiac
enlargement.
• Hilum medial to the lateral border of the “mass” —
mediastinal mass present.
JSS Medical College, Mysuru
DESCENDING PULMONARY ARTERIES
• Always look for and identify the lower lobe pulmonary arteries…
each will have a diameter similar to little finger.
• If either is missing, look for any other CXR features that suggest
collapse of a lower lobe.
• Right lower lobe pulmonary artery identified in approx 94% of
normal CXRs.
• Left descending pulmonary artery sometimes more difficult to
identify —visible in 62% of normal people
JSS Medical College, Mysuru
FOR RIBS
• If a rib abnormality is suspected on clinical grounds
(e.g. trauma) then before deciding that the ribs are
normal:
– Rotate the image through 90º and assess the ribs in this
second position.
– Then turn the original image through 180º (i.e. look at it
upside down) and evaluate the ribs in this third position
JSS Medical College, Mysuru
RIGHT PARATRACHEAL STRIPE APPEARANCE
• The wall of the right side of the trachea is visualised in approx 60% of
adult patients.
• The air within the trachea outlines its inside margin and the lung air
outlines its outside margin.
• In 40% of normal adults the lung does not abut the outside wall and so
this stripe (or line) will not be seen.
• When visible it should measure <2.5 mm in width .
• Stripe >2.5 mm –suspect adjacent lymph node enlargement
JSS Medical College, Mysuru
PARAVERTEBRAL STRIPE
• Left paravertebral stripe is visualised on most normal frontal CXRs.
• Extends from the level of the arch of the aorta to the diaphragm.
• It represents a deflection of the pleura posteriorly by the adjacent
descending thoracic aorta .
• Any focal bulge of the left paravertebral stripe-vertebral pathology
requires exclusion.
• A right paravertebral stripe is not visualised until middle age, when age
related marginal osteophytes can cause pleural displacement.
• A visualised right paravertebral stripe is always abnormal…unless age
related osteophyte formation is present.
JSS Medical College, Mysuru
THORACO-ABDOMINAL SIGN
• A sharply marginated mediastinal mass projected over the
diaphragm on a CXR (or on an AXR) will lie wholly or partly in
the thorax…because it is outlined by the air in the lung.
• If the lower lateral margin of the lesion does not converge,
and particularly if it diverges, then a significant amount of the
lesion lies within the abdomen (e.g. a paraspinal abscess).
JSS Medical College, Mysuru
CERVICO-THORACIC SIGN
• If the lateral outline of the mass is visualised above the
clavicle then the mass is situated posteriorly.
• If the lateral outline of the mass fades away as it reaches the
lower border of the clavicle then the mass is situated
anteriorly
JSS Medical College, Mysuru
Spine Sign -Posterior mediastinal mass
JSS Medical College, Mysuru
SUBCARINAL ANGLE
• Carina - site of the division of the trachea into the right and left
main bronchi.
• Normal angle varies from 50° to 100°.
• Angle greater than 100° implies the two main bronchi are
being pushed apart.
• Can be due to subcarinal tumour / lymph node enlargement or
to an enlarged left atrium (e.g. mitral valve stenosis).
JSS Medical College, Mysuru
Azygous Vein
• The azygos vein enters the superior vena cava to the right of the
tracheal bifurcation
• If the transverse diameter exceeds 1.0 cm
(a) determine whether the patient is in heart failure; and
(b) check whether the clinical presentation might include the possibility of
nodal enlargement.
JSS Medical College, Mysuru
UNILATERAL HYPERTRANSRADIANCY
• Detecting unilateral hypertransradiancy is subjective and
depends on how meticulously you look for it.
• Some observers are very sensitive to a difference between
the blackening of the two lungs.
• Frequently the cause is technical(Rotation).
• Other causes: Mastectomy, Sweyer James Syndrome, Poland
syndrome…
JSS Medical College, Mysuru
Pediatric points
• On an infant’s AP radiograph the normal cardiothoracic ratio
(CTR) should not exceed 60%.
• On a child’s PA radiograph the normal CTR can be slightly
above 50%, though by the second year it rarely exceeds 50%
• The thymic shadow is visible at birth, normally involutes
between the ages of two and eight years
JSS Medical College, Mysuru
Before we Conclude
JSS Medical College, Mysuru
Expiration vs Inspiration
JSS Medical College, Mysuru
Penetration…
JSS Medical College, Mysuru
Foreign Body…..
JSS Medical College, Mysuru
Soft Tissue-NF Lung-Mets
Nipple
shadow
SPN
JSS Medical College, Mysuru
Looks Normal????
JSS Medical College, Mysuru
Coarctation of aorta
JSS Medical College, Mysuru
Pectus Excavatum
JSS Medical College, Mysuru
Hiatus Hernia with gastric volvulus
JSS Medical College, Mysuru
Kartegeners Syndrome
JSS Medical College, Mysuru
Take home message
• Look carefully for patient identification details and technical issues
• Be systematic in approach
• It’s a chest X-ray, not a lung x-ray.
• Concentrate on hidden areas
• Compare with old films and lateral films
JSS Medical College, Mysuru
This presentation will be made
available on
www.jssmcradiology.com
Thank you

Approach to Chest X-Ray and Interpretation

  • 1.
    JSS Medical College,Mysuru Normal Chest X-Ray & Approach to Chest X-Ray Dr.Vikram Patil Assistant Professor, Radiology JSS Medical College and Hospital, Mysuru
  • 2.
    JSS Medical College,Mysuru Introduction • Most of the chest x-rays you will see will be normal • In order to recognise abnormality, you need to know what a normal CXR looks like
  • 3.
    JSS Medical College,Mysuru General Principles • Have a systematic approach • Interpret the CXR in conjunction with the clinical findings • Always compare with previous CXR if available to assess for change • Ask yourself “Does my interpretation make sense?”
  • 4.
    JSS Medical College,Mysuru Before we start…… Relative Densities The images seen on a chest radiograph result from the differences in densities of the materials in the body. The hierarchy of relative densities from least dense (Black) to most dense (white) : •Gas (air in the lungs) •Fat (fat layer in soft tissue) •Water (same density as heart and blood vessels) •Bone (the most dense of the tissues) •Metal (foreign bodies)
  • 5.
    JSS Medical College,Mysuru Before Interpreting the Radiograph … 1. Patient identification details 2. X-Ray view-PA, AP, Lateral…. 3. Breath : Inspiration or Expiration 4. X-ray penetration : Under or Over penetrated 5. Rotation
  • 6.
    JSS Medical College,Mysuru Four major views of a chest radiograph: • Posterior-anterior (PA) • Lateral • Anterior-posterior (AP) • Lateral Decubitus
  • 7.
    JSS Medical College,Mysuru Posterior-anterior (PA) Position • The standard position for obtaining a routine adult chest radiograph • Patient stands upright with the anterior wall of chest placed against the front of the film • The shoulders are rotated forward enough to touch the film, ensuring that the scapulae do not obscure a portion of the lung fields • Usually taken with the patient in full inspiration • The PA film is viewed as if the patient is standing in front of you
  • 8.
  • 9.
    JSS Medical College,Mysuru Anterior-posterior (AP) Position • Used when the patient is debilitated, immobilized, or unable to cooperate with the PA procedure • Film is placed behind the patient’s back with the patient in a supine position • Heart is at a greater distance from the film hence appear more magnified than in a PA • The scapulae are usually visible in the lung fields because they are not rotated out of the view as they are in a PA
  • 10.
  • 11.
    JSS Medical College,Mysuru PA view AP view Scapula Seen in periphery of thorax Seen over lung fields Clavicles Project over lung fields Above the apex of lung fields Ribs Posterior ribs distinct Anterior ribs are distinct Marker PA AP View
  • 12.
    JSS Medical College,Mysuru Lateral Position • Patient stands upright with the left side of the chest against the film and the arms raised over the head • Allows the viewer to see behind the heart and diaphragmatic dome • Typically used in conjunction with a PA view of the same side of chest to help determine the three- dimensional position of organs or abnormal densities
  • 13.
  • 14.
    JSS Medical College,Mysuru Lateral Decubitus Position • The patient lies on either the right or left side rather than in the standing position as with a regular lateral radiograph • The radiograph is labeled according to the side that is placed down (a left lateral decubitus radiograph would have the patient’s left side down against the film) • Often useful in revealing a pleural effusion that cannot be easily observed in an upright view, since the effusion will collect in the dependent position
  • 15.
  • 16.
    JSS Medical College,Mysuru Three Main Factors Determine the Technical Quality of the Radiograph • Inspiration • Penetration • Rotation
  • 17.
    JSS Medical College,Mysuru Inspiration The chest radiograph should be obtained with the patient in full inspiration to help assess intrapulmonary abnormalities. At full inspiration, the diaphragm should be observed at about the level of the 8th to 10th rib posteriorly, or the 5th to 6th rib anteriorly.
  • 18.
    JSS Medical College,Mysuru Inspiration Expiration Good Inspiration: •6 anterior ribs visible •10 posterior ribs visible
  • 19.
    JSS Medical College,Mysuru Penetration On a properly exposed chest radiograph: •The lower thoracic vertebrae should be visible through the heart •The bronchovascular structures behind the heart (trachea, aortic arch, pulmonary arteries, etc.) should be seen
  • 20.
    JSS Medical College,Mysuru Underexposure In an underexposed chest radiograph, the cardiac shadow is opaque, with little or no visibility of the thoracic vertebrae. The lungs may appear much denser and whiter, gives appearance of infiltrates.
  • 21.
    JSS Medical College,Mysuru Overexposure With greater exposure of the chest radiograph, the heart becomes more radiolucent and the lungs become proportionately darker. Often gives the appearance of lacking lung tissue, as would be seen in a condition such as emphysema.
  • 22.
    JSS Medical College,Mysuru Penetration Over-penetrated Under-penetrated If intervertebral disc are very clearly seen in the film If intervertebral disc are not seen in the film Correct exposure : Barely able to see the intervertebral disc through the heart
  • 23.
    JSS Medical College,Mysuru Rotation Patient rotation can be assessed by observing the clavicular heads and determining whether they are equal distance from the spinous processes of the thoracic vertebral bodies.
  • 24.
    JSS Medical College,Mysuru Rotation
  • 25.
    JSS Medical College,Mysuru Angulation: • With the patient in a more lordotic projection the clavicles will project superiorly relative to the upper thorax causing some distortion of the normal mediastinal anatomy. • With the lordotic projection, the ribs assume a more horizontal orientation. • Occasionally a lordotic x-ray can be obtained intentionally to better visualize structures in the thoracic apex obscured by overlying bony structures.
  • 26.
    JSS Medical College,Mysuru Angulation
  • 27.
    JSS Medical College,Mysuru •Name/Date.. •Marker •Inspiration/ •Rotation/ •Penetration Review of Basics…….. clavicles equidistant from spinous processes of thoracic spine can just see lower thoracic spine AMESH Y/M 01/11/2016 09:23
  • 28.
    JSS Medical College,Mysuru Approach • In order to recognise abnormality, you need to know what a normal CXR looks like The CXR on the next slide is normal. How would you interpret it?
  • 29.
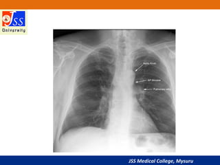
    JSS Medical College,Mysuru 21 Normal Radiograph
  • 30.
    JSS Medical College,Mysuru ABCDEFGHI approach • Airway • Bones and Soft tissue • Cardia • Diaphragm • Effusions • Fields(Lung fields) • Gastric Bubble • Hila and mediastinum • Impression
  • 31.
    JSS Medical College,Mysuru A-Airway
  • 32.
    JSS Medical College,Mysuru B-Bones and Soft Tissues •Look at each rib in turn •Clavicles •Scapulae and humeri if visible •Lower cervical and thoracic spine
  • 33.
    JSS Medical College,Mysuru Soft Tissue • Thick soft tissue due to obesity may obscure some underlying structures such as lung markings • Breast tissue may obscure the costophrenic angles • Lucencies within soft tissue may represent gas (as observed with subcutaneous air)
  • 34.
    JSS Medical College,Mysuru •Supraclavicular fossae (enlarged nodes) •Lateral chest wall (surgical emphysema) •Under diaphragm (pneumoperitoneum) Soft Tissues
  • 35.
    JSS Medical College,Mysuru Subcutaneous Emphysema Pneumoperitoneum
  • 36.
    JSS Medical College,Mysuru C-Cardia • Two-thirds of the heart should lie on the left side of the chest, with one-third on the right • The heart should take up less that half of the thoracic cavity (C/T ratio < 50%) • The left atrium and the left ventricle create the left heart border • The right heart border is created entirely by the right atrium (the right ventricle lies anteriorly and, therefore, does not have a border on the PA view)
  • 37.
    JSS Medical College,Mysuru C-Cardia
  • 38.
  • 39.
    JSS Medical College,Mysuru T CR CL CT RATIO = CR + CL / T CR + CL = TRANSVERSE CARDIAC DIAMETER T = TRANSVERSE THORACIC DIAMETER (at max TC dia) C-Cardia
  • 40.
    JSS Medical College,Mysuru Pneumomediastinum Pneumopericardium
  • 41.
    JSS Medical College,Mysuru Mach Effect • Sometimes a normal CXR will show a thin, well-defined, black line around one or both lateral margins of the heart. • An optical illusion resulting from overlap of superimposed normal structures. • This illusion is known as a Mach band or Mach effect
  • 42.
    JSS Medical College,Mysuru D-Diaphragm •Both diaphragms should form a sharp margin with the lateral chest wall •Both diaphragm contours should be clearly visible medially to the spine
  • 43.
    JSS Medical College,Mysuru Diaphragmatic humps
  • 44.
    JSS Medical College,Mysuru E-Effusions(Pleura) The pleura and pleural spaces will only be visible when there is an abnormality present Common abnormalities seen with the pleura include pleural thickening, or fluid or air in the pleural space.
  • 45.
    JSS Medical College,Mysuru Effusions …. Meniscus sign + Subpulmonic effusion Hydropneumothorax Phantom tumor
  • 46.
    JSS Medical College,Mysuru Pneumothorax
  • 47.
    JSS Medical College,Mysuru F-Lung Fields • Normally, there are visible markings throughout the lungs due to the pulmonary arteries and veins, continuing all the way to the chest wall • Both lungs should be scanned, starting at the apices and working downward, comparing the left and right lung fields at the same level
  • 48.
    JSS Medical College,Mysuru F-Lung Fields
  • 49.
    JSS Medical College,Mysuru Lungs • On a PA radiograph, the minor fissure can often be seen as a faint horizontal line dividing the RML from the RUL. • The major fissures are not usually seen on a PA view because they are being viewed obliquely.
  • 50.
    JSS Medical College,Mysuru Pulmonary Venous Hypertension • Interstitial edema with Kerley B lines
  • 51.
    JSS Medical College,Mysuru Lobar anatomy
  • 52.
    JSS Medical College,Mysuru Lobar anatomy..
  • 53.
    JSS Medical College,Mysuru Hidden Areas….
  • 54.
    JSS Medical College,Mysuru G-Gastric Bubble
  • 55.
    JSS Medical College,Mysuru H-Hilum and mediastinum • The hila consist primarily of the major bronchi and the pulmonary veins and arteries • The hila are not symmetrical, but contain the same basic structures on each side • The hila may be at the same level, but the left hilum is commonly higher than the right • Both hila should be of similar size and density
  • 56.
    JSS Medical College,Mysuru H-Hilum and mediastinum
  • 57.
    JSS Medical College,Mysuru Pulmonary Arterial Hypertension Enlargement of the pulmonary trunk and main pulmonary arteries Disproportionately small peripheral vessels Oligemic lungs Prune tree appearance
  • 58.
    JSS Medical College,Mysuru Mediastinum • The trachea should be centrally located or slightly to the right • The aortic arch is the first convexity on the left side of the mediastinum • The pulmonary artery is the next convexity on the left, and the branches should be traceable as it fans out through the lungs • The lateral margin of the superior vena cava lies above the right heart border
  • 59.
  • 60.
    JSS Medical College,Mysuru Mediastinum
  • 61.
  • 62.
  • 63.
    JSS Medical College,Mysuru ICU- Tubes & Lines Tip at Junction of SVC & Right atrium
  • 64.
    JSS Medical College,Mysuru •PROBLEM SOLVING TOOLS
  • 65.
    JSS Medical College,Mysuru PREVIOUS CXR • Previous CXRs your best friend. You see a real or possible abnormality on the CXR. • Was it there before? Has it got larger or smaller? Is it unchanged? • A previous CXR will often highlight an important but subtle change. • On the other hand it will frequently provide reassurance that all is well.
  • 66.
    JSS Medical College,Mysuru Silhouette Sign • An intrathoracic lesion touching a border of the heart, aorta, or diaphragm will obliterate part of that border on the radiograph.
  • 67.
    JSS Medical College,Mysuru AIR BRONCHOGRAM SIGN • When the internal tubular outline of a bronchus is visible within a thoracic opacity…that is an air bronchogram. • It is most commonly associated with a simple pneumonia. Sometimes it occurs with pulmonary oedema.
  • 68.
    JSS Medical College,Mysuru THE CARDIAC DENSITY • The density (opacity) of the cardiac shadow should be equal on both sides of the spine. • If there is any difference in density then look for evidence of pneumonia, or lower lobe collapse, or a lower lobe mass on the denser side • There should be no abrupt change in density across the cardiac shadow.
  • 69.
    JSS Medical College,Mysuru LUNG APICES • Thickening of the apical pleura — sometimes referred to as an apical cap — occurs normally in 10% of middle-aged and elderly people. • Unfortunately, a superior sulcus carcinoma (e.g. a Pancoast tumour) can mimic an apical cap
  • 70.
    JSS Medical College,Mysuru PERIPHERAL OPACITIES • An intrapulmonary opacity abutting the pleura forms an acute angle at the interface. • A pleural or extrapleural lesion forms an obtuse angle
  • 71.
    JSS Medical College,Mysuru HILA ASSESSMENT • The left hilum should be higher than the right. Occasionally the hila are at the same level…but the right hilum should never be higher than the left • Most (unilateral) enlarged hila are both lumpy / bumpy and denser than the opposite normal side. Some normal hila will appear prominent — but are actually within the normal range.
  • 72.
    JSS Medical College,Mysuru HILUM CONVERGENCE SIGN • Distinguishes enlarged hilum due to enlarged pulmonary arteries to be distinguished from enlargement due to tumour. • If vessels arise from or converge directly onto the hilar shadow — then the enlargement is vascular. • If the vessels appear to arise or converge medial to the lateral aspect of the hilar shadow — then the enlargement is a mass
  • 73.
    JSS Medical College,Mysuru HILUM OVERLAY SIGN • This sign is often misunderstood and misrepresented. • Hilum lateral to the lateral border of the “mass” — cardiac enlargement. • Hilum medial to the lateral border of the “mass” — mediastinal mass present.
  • 74.
    JSS Medical College,Mysuru DESCENDING PULMONARY ARTERIES • Always look for and identify the lower lobe pulmonary arteries… each will have a diameter similar to little finger. • If either is missing, look for any other CXR features that suggest collapse of a lower lobe. • Right lower lobe pulmonary artery identified in approx 94% of normal CXRs. • Left descending pulmonary artery sometimes more difficult to identify —visible in 62% of normal people
  • 75.
    JSS Medical College,Mysuru FOR RIBS • If a rib abnormality is suspected on clinical grounds (e.g. trauma) then before deciding that the ribs are normal: – Rotate the image through 90º and assess the ribs in this second position. – Then turn the original image through 180º (i.e. look at it upside down) and evaluate the ribs in this third position
  • 76.
    JSS Medical College,Mysuru RIGHT PARATRACHEAL STRIPE APPEARANCE • The wall of the right side of the trachea is visualised in approx 60% of adult patients. • The air within the trachea outlines its inside margin and the lung air outlines its outside margin. • In 40% of normal adults the lung does not abut the outside wall and so this stripe (or line) will not be seen. • When visible it should measure <2.5 mm in width . • Stripe >2.5 mm –suspect adjacent lymph node enlargement
  • 77.
    JSS Medical College,Mysuru PARAVERTEBRAL STRIPE • Left paravertebral stripe is visualised on most normal frontal CXRs. • Extends from the level of the arch of the aorta to the diaphragm. • It represents a deflection of the pleura posteriorly by the adjacent descending thoracic aorta . • Any focal bulge of the left paravertebral stripe-vertebral pathology requires exclusion. • A right paravertebral stripe is not visualised until middle age, when age related marginal osteophytes can cause pleural displacement. • A visualised right paravertebral stripe is always abnormal…unless age related osteophyte formation is present.
  • 78.
    JSS Medical College,Mysuru THORACO-ABDOMINAL SIGN • A sharply marginated mediastinal mass projected over the diaphragm on a CXR (or on an AXR) will lie wholly or partly in the thorax…because it is outlined by the air in the lung. • If the lower lateral margin of the lesion does not converge, and particularly if it diverges, then a significant amount of the lesion lies within the abdomen (e.g. a paraspinal abscess).
  • 79.
    JSS Medical College,Mysuru CERVICO-THORACIC SIGN • If the lateral outline of the mass is visualised above the clavicle then the mass is situated posteriorly. • If the lateral outline of the mass fades away as it reaches the lower border of the clavicle then the mass is situated anteriorly
  • 80.
    JSS Medical College,Mysuru Spine Sign -Posterior mediastinal mass
  • 81.
    JSS Medical College,Mysuru SUBCARINAL ANGLE • Carina - site of the division of the trachea into the right and left main bronchi. • Normal angle varies from 50° to 100°. • Angle greater than 100° implies the two main bronchi are being pushed apart. • Can be due to subcarinal tumour / lymph node enlargement or to an enlarged left atrium (e.g. mitral valve stenosis).
  • 82.
    JSS Medical College,Mysuru Azygous Vein • The azygos vein enters the superior vena cava to the right of the tracheal bifurcation • If the transverse diameter exceeds 1.0 cm (a) determine whether the patient is in heart failure; and (b) check whether the clinical presentation might include the possibility of nodal enlargement.
  • 83.
    JSS Medical College,Mysuru UNILATERAL HYPERTRANSRADIANCY • Detecting unilateral hypertransradiancy is subjective and depends on how meticulously you look for it. • Some observers are very sensitive to a difference between the blackening of the two lungs. • Frequently the cause is technical(Rotation). • Other causes: Mastectomy, Sweyer James Syndrome, Poland syndrome…
  • 84.
    JSS Medical College,Mysuru Pediatric points • On an infant’s AP radiograph the normal cardiothoracic ratio (CTR) should not exceed 60%. • On a child’s PA radiograph the normal CTR can be slightly above 50%, though by the second year it rarely exceeds 50% • The thymic shadow is visible at birth, normally involutes between the ages of two and eight years
  • 85.
    JSS Medical College,Mysuru Before we Conclude
  • 86.
    JSS Medical College,Mysuru Expiration vs Inspiration
  • 87.
    JSS Medical College,Mysuru Penetration…
  • 88.
    JSS Medical College,Mysuru Foreign Body…..
  • 89.
    JSS Medical College,Mysuru Soft Tissue-NF Lung-Mets Nipple shadow SPN
  • 90.
    JSS Medical College,Mysuru Looks Normal????
  • 91.
    JSS Medical College,Mysuru Coarctation of aorta
  • 92.
    JSS Medical College,Mysuru Pectus Excavatum
  • 93.
    JSS Medical College,Mysuru Hiatus Hernia with gastric volvulus
  • 94.
    JSS Medical College,Mysuru Kartegeners Syndrome
  • 95.
    JSS Medical College,Mysuru Take home message • Look carefully for patient identification details and technical issues • Be systematic in approach • It’s a chest X-ray, not a lung x-ray. • Concentrate on hidden areas • Compare with old films and lateral films
  • 96.
    JSS Medical College,Mysuru This presentation will be made available on www.jssmcradiology.com Thank you

Editor's Notes

  • #15 TOOL 11 — A HELPFUL TRICK: THE DECUBITUS CXR Problem 1: A CXR may show extensive lower zone shadowing. The question arises: is this mainly pleural 􀃅 uid or mainly lung consolidation? Problem 2: Sometimes a dome of the diaphragm appears high, and the con􀃄 guration raises the possibility of a subpulmonary pleural effusion (p. 82). The radiologist can sort out these problems by obtaining a lateral decubitus view. The patient lies with the abnormal side dependent and a cross-table CXR is obtained. Fluid that is free in the pleural space will layer out along the lateral chest wall
  • #32 Ensure trachea is visible and in midline Trachea gets pushed away from abnormality, eg pleural effusion or tension pneumothorax Trachea gets pulled towards abnormality, eg atelectasis Trachea normally narrows at the vocal cords View the carina, angle should be between 60 –100 degrees Beware of things that may increase this angle, eg left atrial enlargement, lymph node enlargement and left upper lobe atelectasis Follow out both main stem bronchi Check for tubes, pacemaker, wires, lines foreign bodies etc If an endotracheal tube is in place, check the positioning, the distal tip of the tube should be 3-4cm above the carina     Check for a widened mediastinum Mass lesions (eg tumour, lymph nodes) Inflammation (eg mediastinitis, granulomatous inflammation) Trauma and dissection (eg haematoma, aneurysm of the major mediastinal vessels)  
  • #36 Multiple rib fractures complicated by left hemidiaphragm injury, left pneumothorax (treated by drain) and widespread surgical emphysema (tracking subcutaneous air)
  • #40 Usually positioned with one-third of its diameter to the right, and two-thirds to the left of the thoracic vertebrae spinous processes. The right atrium makes up the right heart border and the left ventricle the left heart border. Poor distinction of the right heart border suggests consolidation of the right middle lobe. Poor distinction of the left heart border suggests lingular consolidation. Cardiothoracic ratio (CTR): Compares the transverse diameter of the heart to the internal thoracic diameter (inner aspect of the ribs) at its widest point. Should be less than 0.5 (50%) on a PA CXR, but may appear magnified on AP films. Abnormally increased CTR occurs with ventricular dilatation (usually left), cardiac failure and a pericardial effusion.
  • #41 Multiple rib fractures complicated by left hemidiaphragm injury, left pneumothorax (treated by drain) and widespread surgical emphysema (tracking subcutaneous air)
  • #42 If uncertainty persists then a lateral decubitus CXR will clarify
  • #43 The right is usually higher than the left by 1–3 cm. Pleural effusions will blunt the costophrenic angles. Loss of diaphragmatic outline indicates fluid, consolidation or collapse of adjacent lung (i.e. of the right or left lower lobe). Both hemidiaphragms are flat in chronic obstructive limitation disease such as emphysema. Free gas under a diaphragm on an erect film indicates rupture of an abdominal hollow viscus, such as the duodenum or small or large intestine. It also occurs after laparoscopy with the deliberate introduction of a pneumoperitoneum.
  • #57 evel with the T6–7 intervertebral space on either side of the mediastinum, and are made up of the pulmonary arteries and veins. The left hilum is usually higher (2cm) and squarer than the V-shaped right hilum. Unilateral or bilateral hilar enlargement can be caused by Enlarged hilar lymph nodes (e.g. sarcoidosis or infection) Hilar malignancy (e.g. small-cell carcinoma) Vascular disease (e.g. pulmonary hypertension or proximal pulmonary artery aneurysms). Superior mediastinum:Should have a width &amp;lt;8 cm on a PA CXR. A widened mediastinum can be associated with: AP CXR view, which magnifies the heart and mediastinal structures Unfolded aortic arch (not pathological) or a thoracic aortic aneurysm Mediastinal lymphadenopathy, retrosternal thyroid, thymoma (can be particularly massive in children) Paravertebral mass, oesophageal dilatation Ruptured aorta in deceleration trauma from vehicle crash or fall from a height. Look for evidence of mediastinal emphysema (abnormal air) secondary to: Penetrating wound ± lacerated lung Perforation of oesophagus or trachea Asthma and whooping cough (pneumomediastinum).
  • #59 Since the large airways contain air and are therefore of lower density than the surrounding soft tissue, they should be visible on most good-quality radiographs. The trachea may be slightly off midline to the right since it passes to the right of the aorta. The trachea can appear deviated if the patient is rotated.
  • #70 An apical pleural cap is present on the right. Apply these rules. (1) A benign apical pleural cap usually has a depth of less than 5 mm 5. (2) If bilateral apical caps are present and one is deeper by 5 mm or more, then you need to rule out the possibility that the deeper one represents a superior sulcus tumour. (3) Always check that the ribs adjacent to a pleural cap are intact. (Superior sulcus: the groove in the lung created by the subclavian vessels. Pancoast tumour: the original description by the American radiologist Henry Pancoast, 1875–1939, included speci􀃄 c physical 􀃄 ndings. The term is now used somewhat more loosely.)
  • #77 (a) Normal right paratracheal stripe. (b) Thickened right paratracheal stripe—it exceeds the normal width of 2.5 mm. Lymphadenopathy should be suspected. Occasionally, widening of the stripe is due to haemorrhage. (c) Caution: superimposition of (age related) unfolded vessels arising from the arch of the aorta must not be mistaken for the paratracheal strip