Embed presentation
Downloaded 217 times























































































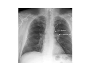
This document provides an overview of interpreting chest x-rays and identifies several key factors. It discusses the importance of inspiration, penetration, and rotation in obtaining a technically quality radiograph. It also outlines different views of chest x-rays including PA, AP, and lateral views. Finally, it identifies several anatomical structures that should be evaluated when interpreting a chest x-ray such as the lungs, heart, diaphragm, bones, and soft tissues.






















































































