COLLAPSE AND
CONSOLIDATION OF
LUNGS
Dr Neelam Ashar
Nishtar hospital Radiology
Department
•Collapse

is diminished
volume of air in the lung with associated
reduction of lung volume and in
consolidation there is diminished volume
of air in the lung associated with normal
lung volume
• MECHANISMS OF
COLLAPSE
•
•
•
•

1)Relaxation or passive collapse
2)Cicatrization collapse
3)Adhesive collapse
4)Resorrption collapse
RADIOLOGICAL SIGNS OF
COLLAPSE

• Direct signs of collapse
• 1)Displacement of interlobar fissure
• 2)Loss of aeration
• 3)Vascular and bronchial signs
• Indirect signs of collapse
•
•
•
•

1)Elevation of hemidiaphragm
2)Mediastinal displacement
3)Hilar displacement
4)Compensatory hyperinflation
• Patterns of lung collapse
• 1)Complete collapse of a lung
• 2)Lobar collapse
1)COMPLETE COLLAPSE
• Causes opaque hemithorax with
displacement of mediastinum to the
affected side with compensatory
hyperinflation of opposite lung often with
herniation across midline.
• Herniation mostly occurs in retrosternal
space but may occur posterior to heart or
under aortic arch
LOBAR COLLAPSE

• RUL collapse
• Horizontal fissure displaced upward,The
upper half of oblique fissure moves
anteriorly.

• Hilum is elevated
• Tracheal deviation to right
• Compensatory hyperinflation of right
middle and lower lobes may be seen
RUL collapse
•

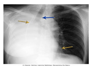
Golden‘s (reverse S)
sign. a. Chest X-ray of a
patient with a centrally
located mass. The
reverse S sign due to
right upper lobe
atelectasis is clearly
depicted. The lateral
portion of the ‘S’ is
formed by the superiorly
displaced minor fissure
and the medial portion by
the mass (arrows). b.
Golden S.
• Juxtaphrenic peak sign
• The juxtaphrenic peak sign, which occurs in upper lobe
atelectasis, describes the triangular opacity projecting
superiorly at the medial half of the diaphragm (Fig. 13). It
is most commonly related to the presence of an inferior
accessory fissure[7]. The mechanism is not known with
certainty; according to one theory, the negative pressure
of upper lobe atelectasis causes upward retraction of the
visceral pleura, and protrusion of extrapleural fat into the
recess of the fissure is responsible[15]. The juxtaphrenic
sign can also be seen in combined right upper and
middle lobe volume loss or even with middle lobe
collapse only.
RML collapse

• 2)

• Horizontal fissure and oblique fissure
move towards one another
• Obscuration of right heart border
• Lordotic AP projection best for middle lobe
collapse
• Volume of this lobe is small so indirect
signs rarely present.
RML
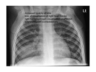
increased opacity of lobe
loss of visualisation of right heart border
right hemidiaphragm visualisation unaffected
airbronchogram (consolidation)
Posteroanterior (PA) (left) and lateral chest (right)
radiographs. A right middle lobe collapse obliterates the
right heart border on the PA image and projects as a
wedge-shaped opacity on the lateral view.
RLL collapse

• 3)
• Depression of horizontal fissure
• Increase opacity of collapse lower lobe
• In case of complete collapse of lower lobe it may
be so small that it merges with mediastinum and
produce a thin wedge shape shadow.
• Mediastinal parts and adjacent diaphragm
obscured
• Hila depressed
• Diaphragm elevation is not usual
RLL
The lateral view is usually
definitive- there will be
postero-inferior movement
of the oblique fissure whilst
maintaining the same
slope
The lower lobes collapse
downward
medially toward the spine
and
posteriorly
right lower lobe collapse that results in volume
loss, obliteration of the right side of the diaphragm,
and a posterior opacity.
collapse on USG
• Sonography of the chest
was done in this patient.
Images reveal a large,
clear, hypoechoic fluid
collection in the left
pleural space. The left
lung has collapsed into a
small mass of tissue
compressed by the
effusion. A small fibrotic
band is seen traversing
the fluid. These
ultrasound images are
diagnostic of
pleuraleffusion
LUL collapse

• 4)

• Anterior displacement of entire oblique
fissure
• Ill defined hazy opacity in upper,mid and
sometimes lower zone
• Hila elevated
• Aortic knuckle obscured.
• With increasing collapse upper lobe
retracts posteriorly and loses contact with
anterior chest wall.
• The space between the collapsed lung
and sternum is occupied by either
hyperinflatedleft lower lobe or herniated
right upper lobe.
• When complete collapse occurs LUL lose
contact with chest wall and diaphragm and
retract medially against the mediastinum
• On lateral film therefore LUL collapse
appears as an elongated opacity extending from
apex and almost reaching diaphragm,anterior to
hilum and is bounded by displaced oblique
fissure posteriorly and by hyperinflated lower
lobe anteriorly
• The lateral view is
usually definitive and
often highly
characteristic.
• As the LUL collapses,
the fissure moves
forward pivoting at its
lowest point
• The lateral view
demonstrates the
highly characteristic
collapsed lobe which
now lies parallel to
the sternum
lul
• The PA view will show
an area of increased
opacity in the left
upper lobe with an illdefined margin.
• The PA view will
shows an area of
increased opacity in
the left upper lobe
with an ill-defined
margin.
• Note the loss of the
heart
shadow/mediastinum
and the mediastinal
shift
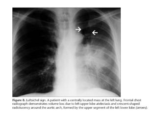
• Luftsichel sign
• The word “Luftsichel” in German means “air
crescent”. This sign is seen in severe left upper
lobe collapse. Due to the lack of a minor fissure
on the left side, upper lobe collapse causes
vertical positioning and anterior and medial
displacement of the major fissure. The superior
segment of the left lower lobe migrates superior
and anteriorly between the arch of the aorta and
the atelectatic lobe. The crescent-shaped
radiolucency around the aortic arch is called the
Luftsichel sign
• Left upper lobe collapse.
This radiograph shows an
opacity that is contiguous
with the aortic knob, a
smaller left hemithorax,
and a mediastinal shift.
The luftsichel sign
involves hyperextension
of the superior segment
of the left lower lobe,
which then occupies the
left apex
left upper lobe collapsing anteriorly
• 5)LINGULA COLLAPSE
• often involved with LUL collapse may
collaspe alone
• Anterior displacement of lower half of
oblique fissure
• Increase opacity
• Obscuration of left heart border
• LLL collapse
• Oblique fissure moves posteriorly
• The PA view will show a
triangular area of
increased opacity behind
the left heart shadow.
• There may be loss of
visualisation of the left
hemi-diaphragm behind
the heart
• The lower lobes collapse
• downward
• medially toward the spine
and
• posteriorly
• In the lateral view a
triangular opacity will
be seen at the base
of the lung with a
sharply defined
anterior margin
formed by the oblique
fissure
left a lower lobe collapse. The opacity
is in a posteroinferior location.
Computed tomography scan demonstrating rounded atelectasis in a
patient exposed to asbestos. This image shows a peripheral pleuralbased opacity with crowding of the bronchovascular structures in the
comet-tail sign

.
CONSOLIDATION
• Replacement of air in one or more acini by
fluid or solid material
• Smallest unit of consolidated lung is
acinus casts 7mm diameter shadow
• Confluence occurs
• Causes of consolidation
 Acute inflammatory exudate like
pneumonia
 Cardiogenic pulmonary edema
 Non cardiogenic pulmonary edema
 Hemorrhage
 Aspiration
 Alveolar cell carcinoma
 Alveloar proteinosis
• When consolidation is associated with
patent conducting airway an

air

bronchogram seen.It is produced by
contrast between the column of air in the
airway and surrounding opaque acini
• If consolidation is secondary to bronchial
obstruction affected area is of unifrorm
density with no air bronchograms.
• VOLUME OF THE LUNG
IS NORMAL UNLIKE
COLLAPSE
• RUL consolidationConfined
by horizontal fissure inferiorly and upper
half of oblique fissure posteriorly ,may
obscue right upper mediastinum
• RML consolidation
• limited by horizontal fissure
above and lower half of obliue
fissure posteriorly ,may
obscure right heart border
• Lower lobe consolidation
• It is limited by oblique fissure anteriorly
and may obscure diaphragm
• LUL and lingula consolidation
• These are limited by oblique fissure
posteriorly ,lingular consolidation may
obscure left heart
border,consolidation of upper lobe
may obscure aortic knuckle.
rul consolidation
lingular consolidation
RLL consolidation
• Air bronchogram sign. a.
Chest X-ray of a patient
who had radiotherapy for
breast cancer.
Consolidation with air
bronchograms (arrows)
due to radiation
pneumonitis at the upper
lobe of the right lung. b.
Air bronchogram sign on
CT. c. Illustration of air
bronchogram sign.
USG consolidation
•

Sonography of the left lung reveals
loss of normal aeration of the lung
parenchyma with echogencity and
texture similar to that of the spleen
below. The echogenic left dome of
diaphragm is seen separating the
lower lobe of the lung from the spleen.
The normal aerated lung surface
would reflect all the sound waves
producing a strong shadow. These
ultrasound images suggest
consolidation of the lung. Image
courtesy of Dr. Gunjan Puri, Surat,
India. Image taken using a Toshiba
Xario, ultrasound and color doppler
machine.
OPACITY WITH AIR
BRONCHGRAMS
Collapse and consolidation Lung Radiology

Collapse and consolidation Lung Radiology

  • 1.
    COLLAPSE AND CONSOLIDATION OF LUNGS DrNeelam Ashar Nishtar hospital Radiology Department
  • 2.
    •Collapse is diminished volume ofair in the lung with associated reduction of lung volume and in consolidation there is diminished volume of air in the lung associated with normal lung volume
  • 3.
    • MECHANISMS OF COLLAPSE • • • • 1)Relaxationor passive collapse 2)Cicatrization collapse 3)Adhesive collapse 4)Resorrption collapse
  • 4.
    RADIOLOGICAL SIGNS OF COLLAPSE •Direct signs of collapse • 1)Displacement of interlobar fissure • 2)Loss of aeration • 3)Vascular and bronchial signs
  • 5.
    • Indirect signsof collapse • • • • 1)Elevation of hemidiaphragm 2)Mediastinal displacement 3)Hilar displacement 4)Compensatory hyperinflation
  • 6.
    • Patterns oflung collapse • 1)Complete collapse of a lung • 2)Lobar collapse
  • 7.
    1)COMPLETE COLLAPSE • Causesopaque hemithorax with displacement of mediastinum to the affected side with compensatory hyperinflation of opposite lung often with herniation across midline. • Herniation mostly occurs in retrosternal space but may occur posterior to heart or under aortic arch
  • 15.
    LOBAR COLLAPSE • RULcollapse • Horizontal fissure displaced upward,The upper half of oblique fissure moves anteriorly. • Hilum is elevated • Tracheal deviation to right • Compensatory hyperinflation of right middle and lower lobes may be seen
  • 18.
  • 22.
    • Golden‘s (reverse S) sign.a. Chest X-ray of a patient with a centrally located mass. The reverse S sign due to right upper lobe atelectasis is clearly depicted. The lateral portion of the ‘S’ is formed by the superiorly displaced minor fissure and the medial portion by the mass (arrows). b. Golden S.
  • 24.
    • Juxtaphrenic peaksign • The juxtaphrenic peak sign, which occurs in upper lobe atelectasis, describes the triangular opacity projecting superiorly at the medial half of the diaphragm (Fig. 13). It is most commonly related to the presence of an inferior accessory fissure[7]. The mechanism is not known with certainty; according to one theory, the negative pressure of upper lobe atelectasis causes upward retraction of the visceral pleura, and protrusion of extrapleural fat into the recess of the fissure is responsible[15]. The juxtaphrenic sign can also be seen in combined right upper and middle lobe volume loss or even with middle lobe collapse only.
  • 29.
    RML collapse • 2) •Horizontal fissure and oblique fissure move towards one another • Obscuration of right heart border • Lordotic AP projection best for middle lobe collapse • Volume of this lobe is small so indirect signs rarely present.
  • 31.
  • 32.
    increased opacity oflobe loss of visualisation of right heart border right hemidiaphragm visualisation unaffected airbronchogram (consolidation)
  • 34.
    Posteroanterior (PA) (left)and lateral chest (right) radiographs. A right middle lobe collapse obliterates the right heart border on the PA image and projects as a wedge-shaped opacity on the lateral view.
  • 35.
    RLL collapse • 3) •Depression of horizontal fissure • Increase opacity of collapse lower lobe • In case of complete collapse of lower lobe it may be so small that it merges with mediastinum and produce a thin wedge shape shadow. • Mediastinal parts and adjacent diaphragm obscured • Hila depressed • Diaphragm elevation is not usual
  • 37.
  • 39.
    The lateral viewis usually definitive- there will be postero-inferior movement of the oblique fissure whilst maintaining the same slope The lower lobes collapse downward medially toward the spine and posteriorly
  • 41.
    right lower lobecollapse that results in volume loss, obliteration of the right side of the diaphragm, and a posterior opacity.
  • 42.
    collapse on USG •Sonography of the chest was done in this patient. Images reveal a large, clear, hypoechoic fluid collection in the left pleural space. The left lung has collapsed into a small mass of tissue compressed by the effusion. A small fibrotic band is seen traversing the fluid. These ultrasound images are diagnostic of pleuraleffusion
  • 43.
    LUL collapse • 4) •Anterior displacement of entire oblique fissure • Ill defined hazy opacity in upper,mid and sometimes lower zone • Hila elevated • Aortic knuckle obscured.
  • 44.
    • With increasingcollapse upper lobe retracts posteriorly and loses contact with anterior chest wall. • The space between the collapsed lung and sternum is occupied by either hyperinflatedleft lower lobe or herniated right upper lobe. • When complete collapse occurs LUL lose contact with chest wall and diaphragm and retract medially against the mediastinum
  • 45.
    • On lateralfilm therefore LUL collapse appears as an elongated opacity extending from apex and almost reaching diaphragm,anterior to hilum and is bounded by displaced oblique fissure posteriorly and by hyperinflated lower lobe anteriorly
  • 47.
    • The lateralview is usually definitive and often highly characteristic. • As the LUL collapses, the fissure moves forward pivoting at its lowest point
  • 48.
    • The lateralview demonstrates the highly characteristic collapsed lobe which now lies parallel to the sternum
  • 50.
    lul • The PAview will show an area of increased opacity in the left upper lobe with an illdefined margin.
  • 51.
    • The PAview will shows an area of increased opacity in the left upper lobe with an ill-defined margin. • Note the loss of the heart shadow/mediastinum and the mediastinal shift
  • 52.
    • Luftsichel sign •The word “Luftsichel” in German means “air crescent”. This sign is seen in severe left upper lobe collapse. Due to the lack of a minor fissure on the left side, upper lobe collapse causes vertical positioning and anterior and medial displacement of the major fissure. The superior segment of the left lower lobe migrates superior and anteriorly between the arch of the aorta and the atelectatic lobe. The crescent-shaped radiolucency around the aortic arch is called the Luftsichel sign
  • 54.
    • Left upperlobe collapse. This radiograph shows an opacity that is contiguous with the aortic knob, a smaller left hemithorax, and a mediastinal shift. The luftsichel sign involves hyperextension of the superior segment of the left lower lobe, which then occupies the left apex
  • 55.
    left upper lobecollapsing anteriorly
  • 57.
    • 5)LINGULA COLLAPSE •often involved with LUL collapse may collaspe alone • Anterior displacement of lower half of oblique fissure • Increase opacity • Obscuration of left heart border
  • 59.
    • LLL collapse •Oblique fissure moves posteriorly
  • 61.
    • The PAview will show a triangular area of increased opacity behind the left heart shadow. • There may be loss of visualisation of the left hemi-diaphragm behind the heart • The lower lobes collapse • downward • medially toward the spine and • posteriorly
  • 62.
    • In thelateral view a triangular opacity will be seen at the base of the lung with a sharply defined anterior margin formed by the oblique fissure
  • 63.
    left a lowerlobe collapse. The opacity is in a posteroinferior location.
  • 64.
    Computed tomography scandemonstrating rounded atelectasis in a patient exposed to asbestos. This image shows a peripheral pleuralbased opacity with crowding of the bronchovascular structures in the comet-tail sign .
  • 65.
    CONSOLIDATION • Replacement ofair in one or more acini by fluid or solid material • Smallest unit of consolidated lung is acinus casts 7mm diameter shadow • Confluence occurs
  • 66.
    • Causes ofconsolidation  Acute inflammatory exudate like pneumonia  Cardiogenic pulmonary edema  Non cardiogenic pulmonary edema  Hemorrhage  Aspiration  Alveolar cell carcinoma  Alveloar proteinosis
  • 67.
    • When consolidationis associated with patent conducting airway an air bronchogram seen.It is produced by contrast between the column of air in the airway and surrounding opaque acini • If consolidation is secondary to bronchial obstruction affected area is of unifrorm density with no air bronchograms.
  • 68.
    • VOLUME OFTHE LUNG IS NORMAL UNLIKE COLLAPSE
  • 69.
    • RUL consolidationConfined byhorizontal fissure inferiorly and upper half of oblique fissure posteriorly ,may obscue right upper mediastinum
  • 70.
    • RML consolidation •limited by horizontal fissure above and lower half of obliue fissure posteriorly ,may obscure right heart border
  • 71.
    • Lower lobeconsolidation • It is limited by oblique fissure anteriorly and may obscure diaphragm
  • 72.
    • LUL andlingula consolidation • These are limited by oblique fissure posteriorly ,lingular consolidation may obscure left heart border,consolidation of upper lobe may obscure aortic knuckle.
  • 81.
  • 82.
  • 83.
  • 85.
    • Air bronchogramsign. a. Chest X-ray of a patient who had radiotherapy for breast cancer. Consolidation with air bronchograms (arrows) due to radiation pneumonitis at the upper lobe of the right lung. b. Air bronchogram sign on CT. c. Illustration of air bronchogram sign.
  • 86.
    USG consolidation • Sonography ofthe left lung reveals loss of normal aeration of the lung parenchyma with echogencity and texture similar to that of the spleen below. The echogenic left dome of diaphragm is seen separating the lower lobe of the lung from the spleen. The normal aerated lung surface would reflect all the sound waves producing a strong shadow. These ultrasound images suggest consolidation of the lung. Image courtesy of Dr. Gunjan Puri, Surat, India. Image taken using a Toshiba Xario, ultrasound and color doppler machine.
  • 88.