Abnormal lung
• An attempt to get the
• whole book in one small
• presentation.
Introduction
• This presentation is just an effort to
classify the visualized abnormalities
by their radiological appearances.
Homogeneous shadows grouped
according to shape , size and
distribution.
• Bilateral total homogeneous
shadows
• Bil.homo.opacity in the major part of
the lung
• Unilateral total homo. Opacity
• Large opacity in a part of the lung
• Long line or band type shadows
• Circular or oval type
Bilateral total
homogeneous shadows
• Extensive pulmonary oedema
• Terminal stages of a failing left ventricle
• Excessive oxygen in a respirator circuit
• Newborns where proper aeration of the
lungs is delayed
• Respiratory distress syndrome of newborn
premature baby
Excessive oxygen in
a respirator circuit
Extensive pulmonary oedema
Newborns where proper
aeration of the lungs
is delayed
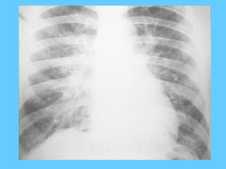
Bil.homo.opacity in
the major part of the
lung
• Bat’s wing shadow –Pulmonary oedema
• Alveolar Proteinosis
• SLE
• Polyarteritis nodosa
• Inhalation of gastric contents after
vomiting
• Bilateral pneumonia
• Acute interstitial pneumonia
Bat’s wing
Alveolar proteinosis
• Alveolar proteinosis,
• A disease characterized by filling of alveolar spaces by
proteinaceous material, rich in lipid, and related to
surfactant. The majority of cases are idiopathic, but some
cases result from exposure to dusts (particularly silica) or
from immunological disturbances (immunodeficiency,
haematologic and lymphatic malignancy,
chemotherapy). Symptoms are usually mild and insidious.
Treatment consists of bronchoalveolar lavage.
Radiographic findings are bilateral, patchy, diffuse, or
perihilar air-space consolidation or ground-glass opacity,
often most severe at the lung bases. High resolution CT
(HRCT) findings are confluent ground glass opacity or air-
space consolidation.ground glass opacity or consolidation
is sharply demarcated from surrounding normal lung. A
combination of geographic ground glass opacity and
interlobular septal thickening in the same regions is typical
of alveolar proteinosis ; this finding is termed "crazy-
paving"
Bilateral pneumonia
Pneumonia,
infectious or noninfectious inflammation of the airspaces and or interstitium of
the lung.
Aspiration pneumonia,
a common cause of pneumonia in young children and in
those with an impaired cough reflex or swallowing mechanism.
There is direct injury to the mucosa of the airways and acinar
epithelial cells. This may be evident radiographically as
pulmonary oedema or focal consolidation. If there is no
superimposed infection this may clear in a few days.
When food particles or salivary secretions are aspirated there
may be obstruction of small airways or inflammatory alveolar
change, particularly in the dependent parts of the lung. This
may be seen as patchy focal opacities on the chest
radiograph. Atelectasis may also be seen, often in isolation. If
the aspirate contains significant numbers of pathogens,
bacterial pneumonia may develop. Depending on the
organism, lung abscess may complicate the picture.
Inhalation of gastric
contents after
vomiting
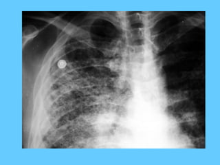
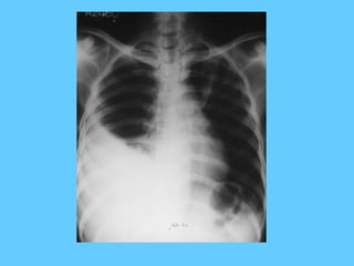
Unilateral total
homogeneous opacity
• Massive pleural effusion
• Total collapse
• Acute total pneumonic consolidation
• Supine x ray taken in hydropneumothorax
or haemopneumothorax
• Massive neoplasm of the lung
• Agenesis of the lung
Total collapse
Supine x ray taken in
hydropneumothorax or
haemopneumothorax
Acute total pneumonic
consolidation
 
Lung agenesis,
(also called lung aplasia), complete absence of a whole
lung and its bronchus. In lung aplasia there is no lung tissue
but a blind main bronchus is present. Both anomalies are
characterized by an opaque hemithorax with displacement
of the mediastinal structures, diaphragm and contralateral
lung from the affected hemithorax. The herniated isolated
lung can simulate an hypoplastic lung. The variable volume
of the single lung during respiration can also simulate a
pleural effusion of the diseased side. It can be easily ruled
out when performing an ultrasonography. Due to the left-
sided position of the aortic arch and the ductus arteriosus,
the left main bronchus may be narrowed in the presence of
a right-sided lung agenesis or aplasia, triggering a rotational
distorsion of the mediastinum.
collapse
Effusion
pneumonia
pneumonectomy
pneumonectomy
Large shadows occupying
part of one lung
• Pleural shadows
• Lobar consolidation
• Segmental consolidation
• Partial collapse
Pleural shadows
• Mod. Sized pleural effusion
• Small pleural effusion
• Sub –pulmonary pleural effusion
• Encysted pleural effusion
• Interlobar pleural effusion.
• Thickened pleural opacity
• Mediastinal pleural effusion.
pleural effusion
Lobar consolidation
Segmental
consolidation
Atelectasis,
(also called collapse), a loss of volume of lung parenchyma caused by
a reduced inflation. Several mechanisms may be responsible for
atelectasis. They include the following:
· resorption or obstructive atelectasis resulting from bronchial
obstruction;
· compression or passive atelectasis which is collapsed caused by
extrinsic compression such as pleural fluid or air, or the presence of any
space-occupying intrathoracic lesion resulting in extrinsic compression
of adjacent parenchyma;
· cicatrization atelectasis resulting from lung parenchymal fibrosis; and
· adhesive atelectasis which is collapse resulting from loss of surfactant.
Atelectasis may involve one or more lobes or segments (see lobar
atelectasis). In other circumstances, atelectasis can have a
nonanatomical distribution. Air within the collapsed or atelectatic lung
parenchyma can be entirely resorbed and partially replaced by fluid or
fibrosis (nonaerated lung collapse). It appears radiologically as an
opacification. When air within the collapsed lung parenchyma is only
partially resorbed and not replaced by any fluid or tissue, no
radiological opacification is depicted (aerated lung collapse).
Partial collapse
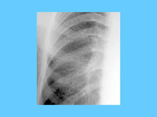
Long line & band –like
shadows
• Segmental collapse
Circular or homogeneous intrapulmonary shadows > 2 cms
• Bronchial carcinoma
• Secondary deposit
• Bronchial adenoma
• Leiomyoma
• Fibroma
• Hamartoma
• Arterio-venous aneurysm
• Fluid containing cyst
• Sequestrated segment
• Tuberculous focus
• Infected lesion
• Hydatid cyst
• Toruloma
• Mycetoma
• Infarct
• Non specific granuloma
• Syphilitic lesion
• Paraffin granuloma
• Interlobar pleural effusion.
Bronchial carcinoma
Secondary deposits
Hydatid Cyst
Tuberculous focus
Granuloma,
a histological microscopic organization, consisting of focal and chronic
conglomeration of inflammatory cells. According to the type of
prominent cells, different categories of granuloma may be described.
Polymorphic granuloma that is a chronic nonspecific inflammatory
reaction to different types of infection, is characterized by a collection
of macrophages associated with other leukocytes.
Tuberculoid granuloma is characterized histologically by the grouping of
macrophages in follicules. Some of the macrophages may display a
transformation in epitheloid cells and giant cells. Lymphocytes and
plasma cells may also be present. Necrosis may occur in the centre of
the follicules. Later a fibroplastic proliferation may be present.
Tuberculoid granuloma corresponds to a specific inflammatory reaction.
It may occur in a wide variety of lung diseases, including
pneumoconiosis (foreign body reaction), lung infection (tuberculosis
,fungal infection , infection pulmonary ,autoimmune disease ,
rheumatoid lung disease , weneners granulomatosis chest and
sarcoidosis.
 
Non specific granuloma
Fibroma, pulmonary,
rare benign pulmonary neoplasm that may
represent one-dimensional histological
expression of pulmonary hamartoma. Lung
fibromas present as a solitary pulmonary
nodule. Fibromas may also develop from the
pleura, representing the most common
benign pleural neoplasm
 
 Hamartoma, pulmonary,
the most common benign pulmonary neoplasm and the third
commonest cause of a solitary pulmonary nodule. Hamartomas
orginate in fibrous connective tissue beneath the mucous membrane of
the bronchial wall. They contain mixtures of connective tissue, epithelial-
lined clefts, nests of cartilage and variable amounts of bone, vessels, fat
and smooth muscles.
Hamartomas occur mainly between the fifth and the sixth decade with
an age range of 3070. Most patients are asymptomatic and the tumour
is incidentally discovered on a chest radiograph as a solitary pulmonary
nodule that typically grows slowly. Occasionally hamartomas may be
endobronchial in location, producing obstructive symptoms
Radiographically, hamartoma usually appears as a well-defined
spherical nodule or mass generally less than 4 cm in diameter.
Calcifications are frequent in large lesions. The classic popcorn
appearance of the calcification suggests the presence of cartilage.
Hamartomas may be diagnosed confidently on CT scans when the
nodule is less than 2 cm in diameter, appearing spherical with a smooth
contour and sharp outline and containing fat collection more or less
associated with popcorn calcifications
Hamartoma
CT scan in a patient with pulmonary hamartoma. There is a
round smooth well-defined nodule containing popcorn
calcification and a collection of fat.
A V Fistula
Fungal ball
Cyst
Pulmonary infarct,
condition in which radiologically
a pulmonary opacity develops
distal to an occluded pulmonary
artery. From a pathological point
of view it encompasses both
haemorrhage and infarction.
Typically Hampton's hump is a
wedge-shaped consolidation
with its base in contact with the
pleura and its apex towards the
hilum. It is more often seen on CT
than on chest radiography
Infarct
CT demonstrate wedge-shaped, nonenhancing pulmonary infarction in
the anterior and posterior basal segment. Clot is visible in anterior and
posterior basal segment arteries (arrows). Right pleural effusion is also
present.
Multiple Large Circular or
oval homogeneous
shadows > 2-5 cms
• Cannon ball – secondary deposits
• Multiple hydatid cysts
• Rheumatoid nodules
• neurilommoma
Cannon ball – secondary
deposits
Multiple hydatid cysts
Rheumatoid lung disease,
Rheumatoid arthritis (RA) is commonly associated with thoracic
abnormalities, including interstitial pneumonitis and fibrosis,pleural
effusion or pleural thickening, necrobiotic nodules, bronchiolitis
obliterans organizing pneumonia (BOOP), bronchiectasis and
bronchiolitis obliterans. The prevalence of radiologically detectable
interstitial disease in patients with rheumatoid arthritis is probably
around 10%. Histologically, radiologically, and on HRCT, the
appearance of RA with interstitial fibrosis is usually indistinguishable
from that of idiopathic pulmonary fibrosis (IPF). Clinical evidence of
arthritis precedes the development of pulmonary fibrosis in about 90%
of patients, and 90% have a positive serum rheumatoid factor.
HRCT findings reported in patients with rheumatoid arthritis include
nodules which are predominantly subpleural in location, bronchial
abnormalities and bronchiectasis , ground glass opacity ,pulmonary
fibrosis with or without honeycombing, consolidation, enlarged lymph
nodes and pleural abnormalities. In patients with rheumatoid arthritis,
the presence of ground glass opacity, consolidation and fibrosis
probably reflects the presence of interstitial pneumonia, while the
small and large nodules probably represent necrobiotic nodules .
Bronchiectasis can be associated with chronic infection, which has an
increased incidence in rheumatoid patients, or bronchiolitis obliterans.
Rheumatoid nodules
A single small circular homogeneous
shadow 2 mm - 2 cms
• Tuberculous lesion
• Blocked cavity
• Endobronchial Tuberculous lesion
• Neoplasm
• Infarct
• A V aneurysm
• Dilated bronchus full of secretions
• Rheumatoid nodule
Neoplasm
Tuberculosis
A single secondary deposit
Pulmonary angiography showing a Rasmussen's aneurysm of the right
lower lobe incidentally discovered in a patient with a previous history of
cavitary tuberculosis of the same lobe. The cavity is replaced by a
pulmonary nodule. Its aneurysmal origin is proved by CT angiography
Localized small circular shadows
or
patchy clouding 3-4 shadows ---1 cms
• Tuberculosis
• Inflammatory condition caused due to
bacterial ,viral ,neoplasm
• Sensitivity reactions as in farmer’s lung
,bird fancier’s lung.
• Early stages of bronchopneumonia
• Chronic bronchitis with inflammatory
episode
• Silent chronic pulmonary infarcts
Tuberculosis
Pigeon breeder's lung,
(also called bird fancier's disease), is a hypersensitivity pneumonitis caused by inhalation of
proteins contained in serum, droppings and feathers of pigeons and other birds .
Hypersensitivity pneumonitis, (also called extrinsic allergic alveolitis), an allergic lung
disease caused by the inhalation of antigens contained in a variety of organic dusts. The
radiographic and pathological abnormalities seen in patients with hypersensitivity
pneumonitis are quite similar, regardless of the organic antigen responsible; these
abnormalities can be classified into acute, subacute and chronic stages. In the acute
stage, heavy exposure to the inciting antigen can cause diffuse ill-defined air-space
consolidation visible on radiographs; this reflects alveolar filling by neutrophils, eosinophils,
lymphocytes and large mononuclear cells, or obstructive pneumonitis. After resolution of
the acute abnormalities, or between episodes of acute exposure, a fine nodular pattern is
often visible on radiographs. This pattern is characteristic of the subacute stage of
hypersensitivity pneumonitis. The nodular appearance correlates with the presence of
alveolitis, interstitial infiltrates, small granulomas and cellular bronchiolitis; histological
abnormalities are usually most severe in a peribronchiolar distribution. The chronic stage of
hypersensitivity pneumonitis is characterized by the presence of fibrosis, which may
develop months or years after the initial exposure.
The HRCT findings of hypersensitivity pneumonitis depend on the stage of disease. In the
subacute stage, weeks to months following first exposure to the antigen, typical findings
include patchy ground glass opacity and small ill-defined nodules, usually centrilobular in
distribution. Chronic hypersensitivity pneumonitis is characterized by the presence of
fibrosis, although findings of active disease are often superimposed. Findings of fibrosis in
patients with chronic disease most often show a milling zone predominance or are evenly
distributed throughout the upper, mid and lower lung zones
Bird fancier’s disease
:farmer’s lung
Multiple widely disseminated small circular
shadows 1- 2cms
• Secondary deposits & indolent tuberculosis 1-2
cms
• Ossifying secondary deposits-osteogenic
sarcoma
• Pneumoconiosis with rheumatoid nodules
• Fungoid deposits
• Pleural secondary deposits
Ossifying secondary deposits-
osteogenic sarcoma
Fungoid deposits
Single ill-defined Moderate sized
homogeneous shadows
• Partial consolidation
• Asthmatics
• Periarteritis nodosa
• Diffused lupus erythematosus
• Very early stages of coal miner’s
pneumoconiosis
Partial consolidation
Pneumoconiosis,
a term used to describe the non-neoplastic reactions of the lungs to inhaled dust particles. Although
some authors include organic as well as mineral dust, many limit the term to inorganic dust, notably
coal, silica and asbestos (Table 1).
Pneumoconiosis, Table 1. List of pneumoconioses.
Fibrogenic dust  
  silicosis
  asbestosis
  Coal workers pneumoconiosis
  Hard metal pneumoconiosis
Nonfibrogenic dust (benign pneumoconioses)  
  Aluminosis
  Anthracosis
  Antimony pneumoconiosis
  Baritosis
  Siderosis (iron pneumoconiosis)
  Stannosis (tin pneumoconiosis)
  Talcosis (talc pneumonoconiosis)
Mixed pneumoconioses  
  Siderosilicosis
  Silicoasbestosis
Diffused lupus erythematosus
Poorly defined small homogeneous
shadow
[ a smudge] < 2 cms
• Usually in the upper zones :
• Tuberculous focus
• If present in the lower ½ of the lung
near the pleura :
• Infract
Infract
Multiple widely disseminated
amorphous
ill-defined shadows 1-2 cms
• Secondary deposits : prostate , breast
Stomach or lymphosarcoma
Intra alveolar spread of a bronchiolar
adenocarcinoma
Pulmonary oedema
Periarteritis nodosa
Inhalation of irritant gas
Lung purpura
Cystic fibrosis
Fungoid lesions
Cystic fibrosis
Cystic fibrosis
PA chest radiograph (a) and HRCT scan (b) in a 25-year-old patient with
cystic fibrosis. Chest radiograph shows diffuse overinflation and
cicatrization atelectasis of the right upper lobe. Tubular shadows
underlying dilated bronchi are present in the right lung bases and left
lung. HRCT scan shows decreased lung attenuation and mosaic
perfusion representing lesions of constrictive bronchiolitis. Mucoid
impactions within dilated bronchi are present within the collapsed right
upper lobe and the superior segment of the right lower lobe.
Intra alveolar spread of a
bronchiolar adenocarcinoma
Fungoid lesions
Secondary deposits
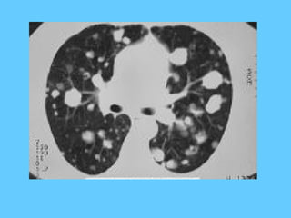
Nodular or Miliary shadows
pinpoint – 5 mm
• Miliary tuberculosis
• Viral infection.
• Haemosiderosis
• Pneumoconiosis
• Allergic pneumonias
• Alveolar carcinoma of the lung
• Sarcoidosis
• Fibrosing alveolitis
Miliary tuberculosis
Pneumoconiosis
Haemosiderosis
Pulmonary haemosiderosis,
condition resulting from recurrent intrapulmonary bleeding with
haemosiderin depositions in the lungs, leading to pulmonary fibrosis and
restrictive airways disease. Clinical presentation typically is with
haemoptysis, cough, dyspnoea, during an acute attack, with remissions.
There is in associated microcytic hypochromic anaemia. The diagnosis is
made by bronchoalveolar lavage in which iron-laden macrophages are
demonstrated in the sputum. Children, however, do not always present
with haemoptysis as they often swallow their saliva. They may instead
present with apparent chest infection and anaemia. Radiologically, the
appearances in the acute situation are those of extensive alveolar
shadowing in the lungs which as it clears becomes a more ground glass
appearance with small nodules . With recurrent attacks, interstitial
fibrosis develops.
Pulmonary bleeding associated with renal diseases is called
Goodpastures syndrome
Pulmonary haemosiderosis
13-year-old girl who presented with haemoptysis. Admission film (a) shows
acute alveolar shadowing. b. Repeat film 3 days later shows improvement
in the alveolar oedema but there is now a reticular nodular pattern
developing. A diagnosis of pulmonary haemosiderosis made by
bronchoalveolar lavage. c. CT scan done during the recovery phase
demonstrates airspace shadowing, particularly in the left lung.
Alveolar carcinoma of the lung
Allergic
Nodular shadows with ground
glass haze [pin point]
• Respiratory distress syndrome
• Fibrosing alveolitis
• Microlithiasis alveolaris
Fibrosing alveolitis
Pulmonary alveolar microlithiasis is a rare condition characterised by a
diffuse bilateral filling of the majority of alveoli by calcific concretions
called "Calcospherites".
The aetiology and pathogenesis are obscure; a familial incidence has
been reported in several instances. Pulmonary alveolar microlithiasis is
rare and less than 100, cases have been reported in the world literature.
The radiological picture that is very characteristic shows bilateral sand-
like micro nodules of calcific density, usually most marked in the middle
and lower zones with relative sparing of the apices. Although the
radiological picture is diagnostic, many cases are mistaken for miliary
tuberculosis, silicosis, berylliosis, sarcoidosis, haemosiderosis, fungal
infections and carcinomatosis. Most patients remain symptom-free for
many years despite extensive radiological changes. In over half the
reported cases, a familial incidence has been demonstrated almost
invariably among Siblings and only in two instances in a parent and
child; cases in infants have also been reported. A genetic factor has
been postulated because of familial occurrence.
It has been suggested the possibility of congenital error of metabolism
at the level of alveolar surface membrane, possibly an enzymatic fault,
resulting in the precipitation of calcium in the presence of undue
alkalinity.
Microlithiasis alveolaris
Nodular shadows with short
line shadows 1-2 cms
horizontal lines
Pneumoconiosis – asbestosis –coal
workers & tin handlers
• Fibrosing alveolitis
Pneumoconiosis –
asbestosis
Nodular shadows with long
line & septal line shadows 2-
4 cms hair like shadows
Lymphangitis carcinomatosa
Lymphangitic carcinomatosis,
 
tumour growth in the lymphatic system of the lungs. It occurs most commonly in patients
with carcinomas of the breast, lung, stomach, pancreas, prostate, cervix or thyroid, and in
patients with metastatic adenocarcinoma from an unknown primary site. It usually results
from haematogenous spread to lung, with subsequent interstitial and lymphatic invasion,
but can also occur because of direct lymphatic spread of tumour from mediastinal and
hilar lymph nodes. Symptoms of shortness of breath are common and can predate
radiographic abnormalities.
The radiographic manifestations of pulmonary lymphangitic carcinomatosis include
reticular opacities, Kerley lines, hilar and mediastinal lymphadenopathy and pleural
effusion. However, these findings are nonspecific.
Tumour growth in the peribronchovascular and septal lymphatics located within these
compartments, and associated oedema, result in the characteristic HRCT findings of
lymphangitic carcinoma. Lymphangitic carcinomatosis is characterized on HRCT by
reticular opacities. Specific findings include:
· thickening of the peribronchovascular interstitium surrounding vessels and bronchi in the
parahilar lung;
· interlobular septal thickening and subpleural interstitial thickening that is smooth, or
nodular;
· thickening of the peribronchovascular axial interstitium in the centrilobular regions; and
· a preservation of normal lung architecture at the lobular level, despite the presence of
these findings.
Hilar lymphadenopathy is visible on CT in only 50% of patients with lymphangitic
carcinoma. Lymph node enlargement can be symmetrical or asymmetrical. pleural
effusion may also be present.
Nodular shadows with small ring
shadows [ring diameter 3- 8 mm]
• Fibrosing alveolitis – late stage
cryptogenic form
• Asbestos induced fibrosis
• Systemic sclerosis
• Allergic alveolitis – farmers , bird fanciers ,
malt workers
• Xanthomatous lung disease
• Idiopathic Haemosiderosis
Fibrosing alveolitis
Nodular shadows with
shrunken upper lobes
Chronic tuberculosis
Sarcoidosis
Chronic tuberculosis
Sarcoidosis
Nodular shadows with large
homogeneous shadows
Sarcoidosis - late stage
Broncho-pulmonary aspergillosis with
eosinophilia
Pneumoconiosis with massive fibrosis
Sarcoidosis
Nodular shadows with raised
dome of the diaphragm
Fibrosing alveolitis
Lymphangitis carcinomatosa
Tuberculosis
Nodular shadows with
abnormalities seen in the
heart shadow
Lesions are secondary to heart
condition.
Pulmonary oedema
Haemosiderosis
Nodular shadows with hilar
gland enlargement
Sarcoidosis
Tuberculosis
Hodgkin’s disease
Secondary deposits from a carcinoma
Sarcoidosis with hilar glands
Hilar glands
Hodgkin’s
Nodular shadows with cavities ,
bronchiectasis or bullae
Tuberculosis
Sarcoidosis
Broncho-pulmonary aspergillosis with
eosinophilia
Resolved Xanthomatous lesions
Tuberculosis
Sarcoidosis
Tuberculosis
Bronchopulmonary aspergillosis,
invasion of the lungs and bronchial tree of the spores of Aspergillus fumigatus,
caused by inhalation of the spores. Two types are described, allergic
bronchopulmonary aspergillosis, typically seen in asthmatic patients, but rare in
children, and invasive infection seen in immunocompromised patients in which
disseminated infection may occur.
In allergic bronchopulmonary aspergillosis the symptoms are mainly those of
cough, wheeze and chest pain with expetoration of mucous plugs. The
repeated damage to the bronchial tree caused by deposition of the spores
leads to bronchiectasis. It is thought that the inhaled organisms grow within the
bronchi and release an antigen which causes sensitisation and later provokes an
immune reaction. Mucin produced as part of this reaction is thick and tenacious
and plugs the bronchi. This traps the fungus within the airway, with resultant
bronchiectasis. Within a bronchiectatic cavity a mycetoma may develop.
Radiographically, they appear as a mass lesion over which there is a crescent of
air
In invasive aspergillosis, the radiographic pattern is one of multiple areas of
consolidation. These may also cavitate and produce a crescent of air. Lesions,
which are fungal abscesses, may also be found in the brain, liver, kidneys and
spleen Aspergillosis infection also occurs in children with cystic fibrosis and is a
cause of deterioration in pulmonary function. The radiographic appearances
are nonspecific but infection may be suspected if there is a large area of
consolidation, often basal, which is out of proportion to the extent of the disease
elsewhere.
Bronchopulmonary
aspergillosis
Linear shadows : line , band , tubular
& ring shadows
• Line shadows :
Horizontal pleural line :
• Horizontal fissure
• Fissure over apical lower lobe
• Accessory fissure between apical lower and basal
segments
• Aerated but shrunken lobe
Vertical Pleural line shadows
The accessory lobe of the azygos
Main interlobar pleural fissure
Vertical line shadow from the dome of the diaphragm
Triangular shadow from the diaphragm
Axillary & Diaphragmatic pleura
Visceral pleura in pneumothorax
Mediastinal pleural hernia
Intrapulmonary line shadows
• Horizontal line shadow above the
diaphragm also known as Fleischer’s line
• Septal line shadows – kerley B lines
• Kerley A lines
• Isolated line shadows in upper half of the
lung
• Line shadows radiating out from circular
shadow
Kerley’s lines
Band like shadows
• Pleural
• Collapsed lung
• Foreign body
• Bronchial shadows
• Vessel shadows
Collapsed lung
Tubular shadows
• Normal – caused by two vessels running
parallel to each other.
• Abnormal -- tram like seen in cases of
Asthma , cystic fibrosis , allergic lung
conditions , pulmonary oedema ,
bronchiectasis
Tubular shadows
Rest of it next time

abnormal chest xray ppt

  • 1.
    Abnormal lung • Anattempt to get the • whole book in one small • presentation.
  • 2.
    Introduction • This presentationis just an effort to classify the visualized abnormalities by their radiological appearances.
  • 3.
    Homogeneous shadows grouped accordingto shape , size and distribution. • Bilateral total homogeneous shadows • Bil.homo.opacity in the major part of the lung • Unilateral total homo. Opacity • Large opacity in a part of the lung • Long line or band type shadows • Circular or oval type
  • 4.
    Bilateral total homogeneous shadows •Extensive pulmonary oedema • Terminal stages of a failing left ventricle • Excessive oxygen in a respirator circuit • Newborns where proper aeration of the lungs is delayed • Respiratory distress syndrome of newborn premature baby
  • 5.
    Excessive oxygen in arespirator circuit
  • 6.
  • 7.
    Newborns where proper aerationof the lungs is delayed
  • 8.
    Bil.homo.opacity in the majorpart of the lung • Bat’s wing shadow –Pulmonary oedema • Alveolar Proteinosis • SLE • Polyarteritis nodosa • Inhalation of gastric contents after vomiting • Bilateral pneumonia • Acute interstitial pneumonia
  • 9.
  • 10.
  • 11.
    • Alveolar proteinosis, •A disease characterized by filling of alveolar spaces by proteinaceous material, rich in lipid, and related to surfactant. The majority of cases are idiopathic, but some cases result from exposure to dusts (particularly silica) or from immunological disturbances (immunodeficiency, haematologic and lymphatic malignancy, chemotherapy). Symptoms are usually mild and insidious. Treatment consists of bronchoalveolar lavage. Radiographic findings are bilateral, patchy, diffuse, or perihilar air-space consolidation or ground-glass opacity, often most severe at the lung bases. High resolution CT (HRCT) findings are confluent ground glass opacity or air- space consolidation.ground glass opacity or consolidation is sharply demarcated from surrounding normal lung. A combination of geographic ground glass opacity and interlobular septal thickening in the same regions is typical of alveolar proteinosis ; this finding is termed "crazy- paving"
  • 13.
    Bilateral pneumonia Pneumonia, infectious ornoninfectious inflammation of the airspaces and or interstitium of the lung.
  • 16.
    Aspiration pneumonia, a commoncause of pneumonia in young children and in those with an impaired cough reflex or swallowing mechanism. There is direct injury to the mucosa of the airways and acinar epithelial cells. This may be evident radiographically as pulmonary oedema or focal consolidation. If there is no superimposed infection this may clear in a few days. When food particles or salivary secretions are aspirated there may be obstruction of small airways or inflammatory alveolar change, particularly in the dependent parts of the lung. This may be seen as patchy focal opacities on the chest radiograph. Atelectasis may also be seen, often in isolation. If the aspirate contains significant numbers of pathogens, bacterial pneumonia may develop. Depending on the organism, lung abscess may complicate the picture.
  • 17.
  • 18.
    Unilateral total homogeneous opacity •Massive pleural effusion • Total collapse • Acute total pneumonic consolidation • Supine x ray taken in hydropneumothorax or haemopneumothorax • Massive neoplasm of the lung • Agenesis of the lung
  • 19.
  • 20.
    Supine x raytaken in hydropneumothorax or haemopneumothorax
  • 21.
  • 22.
      Lung agenesis, (also calledlung aplasia), complete absence of a whole lung and its bronchus. In lung aplasia there is no lung tissue but a blind main bronchus is present. Both anomalies are characterized by an opaque hemithorax with displacement of the mediastinal structures, diaphragm and contralateral lung from the affected hemithorax. The herniated isolated lung can simulate an hypoplastic lung. The variable volume of the single lung during respiration can also simulate a pleural effusion of the diseased side. It can be easily ruled out when performing an ultrasonography. Due to the left- sided position of the aortic arch and the ductus arteriosus, the left main bronchus may be narrowed in the presence of a right-sided lung agenesis or aplasia, triggering a rotational distorsion of the mediastinum.
  • 25.
  • 26.
  • 27.
  • 28.
  • 29.
    Large shadows occupying partof one lung • Pleural shadows • Lobar consolidation • Segmental consolidation • Partial collapse
  • 30.
    Pleural shadows • Mod.Sized pleural effusion • Small pleural effusion • Sub –pulmonary pleural effusion • Encysted pleural effusion • Interlobar pleural effusion. • Thickened pleural opacity • Mediastinal pleural effusion.
  • 31.
  • 35.
  • 38.
  • 39.
    Atelectasis, (also called collapse),a loss of volume of lung parenchyma caused by a reduced inflation. Several mechanisms may be responsible for atelectasis. They include the following: · resorption or obstructive atelectasis resulting from bronchial obstruction; · compression or passive atelectasis which is collapsed caused by extrinsic compression such as pleural fluid or air, or the presence of any space-occupying intrathoracic lesion resulting in extrinsic compression of adjacent parenchyma; · cicatrization atelectasis resulting from lung parenchymal fibrosis; and · adhesive atelectasis which is collapse resulting from loss of surfactant. Atelectasis may involve one or more lobes or segments (see lobar atelectasis). In other circumstances, atelectasis can have a nonanatomical distribution. Air within the collapsed or atelectatic lung parenchyma can be entirely resorbed and partially replaced by fluid or fibrosis (nonaerated lung collapse). It appears radiologically as an opacification. When air within the collapsed lung parenchyma is only partially resorbed and not replaced by any fluid or tissue, no radiological opacification is depicted (aerated lung collapse).
  • 40.
  • 41.
    Long line &band –like shadows • Segmental collapse
  • 43.
    Circular or homogeneousintrapulmonary shadows > 2 cms • Bronchial carcinoma • Secondary deposit • Bronchial adenoma • Leiomyoma • Fibroma • Hamartoma • Arterio-venous aneurysm • Fluid containing cyst • Sequestrated segment • Tuberculous focus • Infected lesion • Hydatid cyst • Toruloma • Mycetoma • Infarct • Non specific granuloma • Syphilitic lesion • Paraffin granuloma • Interlobar pleural effusion.
  • 44.
  • 45.
  • 47.
  • 48.
  • 49.
    Granuloma, a histological microscopicorganization, consisting of focal and chronic conglomeration of inflammatory cells. According to the type of prominent cells, different categories of granuloma may be described. Polymorphic granuloma that is a chronic nonspecific inflammatory reaction to different types of infection, is characterized by a collection of macrophages associated with other leukocytes. Tuberculoid granuloma is characterized histologically by the grouping of macrophages in follicules. Some of the macrophages may display a transformation in epitheloid cells and giant cells. Lymphocytes and plasma cells may also be present. Necrosis may occur in the centre of the follicules. Later a fibroplastic proliferation may be present. Tuberculoid granuloma corresponds to a specific inflammatory reaction. It may occur in a wide variety of lung diseases, including pneumoconiosis (foreign body reaction), lung infection (tuberculosis ,fungal infection , infection pulmonary ,autoimmune disease , rheumatoid lung disease , weneners granulomatosis chest and sarcoidosis.  
  • 50.
  • 51.
    Fibroma, pulmonary, rare benignpulmonary neoplasm that may represent one-dimensional histological expression of pulmonary hamartoma. Lung fibromas present as a solitary pulmonary nodule. Fibromas may also develop from the pleura, representing the most common benign pleural neoplasm
  • 53.
       Hamartoma, pulmonary, the mostcommon benign pulmonary neoplasm and the third commonest cause of a solitary pulmonary nodule. Hamartomas orginate in fibrous connective tissue beneath the mucous membrane of the bronchial wall. They contain mixtures of connective tissue, epithelial- lined clefts, nests of cartilage and variable amounts of bone, vessels, fat and smooth muscles. Hamartomas occur mainly between the fifth and the sixth decade with an age range of 3070. Most patients are asymptomatic and the tumour is incidentally discovered on a chest radiograph as a solitary pulmonary nodule that typically grows slowly. Occasionally hamartomas may be endobronchial in location, producing obstructive symptoms Radiographically, hamartoma usually appears as a well-defined spherical nodule or mass generally less than 4 cm in diameter. Calcifications are frequent in large lesions. The classic popcorn appearance of the calcification suggests the presence of cartilage. Hamartomas may be diagnosed confidently on CT scans when the nodule is less than 2 cm in diameter, appearing spherical with a smooth contour and sharp outline and containing fat collection more or less associated with popcorn calcifications
  • 54.
  • 55.
    CT scan ina patient with pulmonary hamartoma. There is a round smooth well-defined nodule containing popcorn calcification and a collection of fat.
  • 56.
  • 57.
  • 60.
  • 61.
    Pulmonary infarct, condition inwhich radiologically a pulmonary opacity develops distal to an occluded pulmonary artery. From a pathological point of view it encompasses both haemorrhage and infarction. Typically Hampton's hump is a wedge-shaped consolidation with its base in contact with the pleura and its apex towards the hilum. It is more often seen on CT than on chest radiography
  • 62.
  • 64.
    CT demonstrate wedge-shaped,nonenhancing pulmonary infarction in the anterior and posterior basal segment. Clot is visible in anterior and posterior basal segment arteries (arrows). Right pleural effusion is also present.
  • 65.
    Multiple Large Circularor oval homogeneous shadows > 2-5 cms • Cannon ball – secondary deposits • Multiple hydatid cysts • Rheumatoid nodules • neurilommoma
  • 66.
    Cannon ball –secondary deposits
  • 67.
  • 68.
    Rheumatoid lung disease, Rheumatoidarthritis (RA) is commonly associated with thoracic abnormalities, including interstitial pneumonitis and fibrosis,pleural effusion or pleural thickening, necrobiotic nodules, bronchiolitis obliterans organizing pneumonia (BOOP), bronchiectasis and bronchiolitis obliterans. The prevalence of radiologically detectable interstitial disease in patients with rheumatoid arthritis is probably around 10%. Histologically, radiologically, and on HRCT, the appearance of RA with interstitial fibrosis is usually indistinguishable from that of idiopathic pulmonary fibrosis (IPF). Clinical evidence of arthritis precedes the development of pulmonary fibrosis in about 90% of patients, and 90% have a positive serum rheumatoid factor. HRCT findings reported in patients with rheumatoid arthritis include nodules which are predominantly subpleural in location, bronchial abnormalities and bronchiectasis , ground glass opacity ,pulmonary fibrosis with or without honeycombing, consolidation, enlarged lymph nodes and pleural abnormalities. In patients with rheumatoid arthritis, the presence of ground glass opacity, consolidation and fibrosis probably reflects the presence of interstitial pneumonia, while the small and large nodules probably represent necrobiotic nodules . Bronchiectasis can be associated with chronic infection, which has an increased incidence in rheumatoid patients, or bronchiolitis obliterans.
  • 69.
  • 72.
    A single smallcircular homogeneous shadow 2 mm - 2 cms • Tuberculous lesion • Blocked cavity • Endobronchial Tuberculous lesion • Neoplasm • Infarct • A V aneurysm • Dilated bronchus full of secretions • Rheumatoid nodule
  • 73.
  • 74.
  • 75.
  • 76.
    Pulmonary angiography showinga Rasmussen's aneurysm of the right lower lobe incidentally discovered in a patient with a previous history of cavitary tuberculosis of the same lobe. The cavity is replaced by a pulmonary nodule. Its aneurysmal origin is proved by CT angiography
  • 77.
    Localized small circularshadows or patchy clouding 3-4 shadows ---1 cms • Tuberculosis • Inflammatory condition caused due to bacterial ,viral ,neoplasm • Sensitivity reactions as in farmer’s lung ,bird fancier’s lung. • Early stages of bronchopneumonia • Chronic bronchitis with inflammatory episode • Silent chronic pulmonary infarcts
  • 78.
  • 79.
    Pigeon breeder's lung, (alsocalled bird fancier's disease), is a hypersensitivity pneumonitis caused by inhalation of proteins contained in serum, droppings and feathers of pigeons and other birds . Hypersensitivity pneumonitis, (also called extrinsic allergic alveolitis), an allergic lung disease caused by the inhalation of antigens contained in a variety of organic dusts. The radiographic and pathological abnormalities seen in patients with hypersensitivity pneumonitis are quite similar, regardless of the organic antigen responsible; these abnormalities can be classified into acute, subacute and chronic stages. In the acute stage, heavy exposure to the inciting antigen can cause diffuse ill-defined air-space consolidation visible on radiographs; this reflects alveolar filling by neutrophils, eosinophils, lymphocytes and large mononuclear cells, or obstructive pneumonitis. After resolution of the acute abnormalities, or between episodes of acute exposure, a fine nodular pattern is often visible on radiographs. This pattern is characteristic of the subacute stage of hypersensitivity pneumonitis. The nodular appearance correlates with the presence of alveolitis, interstitial infiltrates, small granulomas and cellular bronchiolitis; histological abnormalities are usually most severe in a peribronchiolar distribution. The chronic stage of hypersensitivity pneumonitis is characterized by the presence of fibrosis, which may develop months or years after the initial exposure. The HRCT findings of hypersensitivity pneumonitis depend on the stage of disease. In the subacute stage, weeks to months following first exposure to the antigen, typical findings include patchy ground glass opacity and small ill-defined nodules, usually centrilobular in distribution. Chronic hypersensitivity pneumonitis is characterized by the presence of fibrosis, although findings of active disease are often superimposed. Findings of fibrosis in patients with chronic disease most often show a milling zone predominance or are evenly distributed throughout the upper, mid and lower lung zones
  • 80.
  • 82.
    Multiple widely disseminatedsmall circular shadows 1- 2cms • Secondary deposits & indolent tuberculosis 1-2 cms • Ossifying secondary deposits-osteogenic sarcoma • Pneumoconiosis with rheumatoid nodules • Fungoid deposits • Pleural secondary deposits
  • 83.
  • 84.
  • 85.
    Single ill-defined Moderatesized homogeneous shadows • Partial consolidation • Asthmatics • Periarteritis nodosa • Diffused lupus erythematosus • Very early stages of coal miner’s pneumoconiosis
  • 86.
  • 87.
    Pneumoconiosis, a term usedto describe the non-neoplastic reactions of the lungs to inhaled dust particles. Although some authors include organic as well as mineral dust, many limit the term to inorganic dust, notably coal, silica and asbestos (Table 1). Pneumoconiosis, Table 1. List of pneumoconioses. Fibrogenic dust     silicosis   asbestosis   Coal workers pneumoconiosis   Hard metal pneumoconiosis Nonfibrogenic dust (benign pneumoconioses)     Aluminosis   Anthracosis   Antimony pneumoconiosis   Baritosis   Siderosis (iron pneumoconiosis)   Stannosis (tin pneumoconiosis)   Talcosis (talc pneumonoconiosis) Mixed pneumoconioses     Siderosilicosis   Silicoasbestosis
  • 89.
  • 90.
    Poorly defined smallhomogeneous shadow [ a smudge] < 2 cms • Usually in the upper zones : • Tuberculous focus • If present in the lower ½ of the lung near the pleura : • Infract
  • 91.
  • 92.
    Multiple widely disseminated amorphous ill-definedshadows 1-2 cms • Secondary deposits : prostate , breast Stomach or lymphosarcoma Intra alveolar spread of a bronchiolar adenocarcinoma Pulmonary oedema Periarteritis nodosa Inhalation of irritant gas Lung purpura Cystic fibrosis Fungoid lesions
  • 93.
  • 94.
    Cystic fibrosis PA chestradiograph (a) and HRCT scan (b) in a 25-year-old patient with cystic fibrosis. Chest radiograph shows diffuse overinflation and cicatrization atelectasis of the right upper lobe. Tubular shadows underlying dilated bronchi are present in the right lung bases and left lung. HRCT scan shows decreased lung attenuation and mosaic perfusion representing lesions of constrictive bronchiolitis. Mucoid impactions within dilated bronchi are present within the collapsed right upper lobe and the superior segment of the right lower lobe.
  • 95.
    Intra alveolar spreadof a bronchiolar adenocarcinoma
  • 97.
  • 100.
  • 101.
    Nodular or Miliaryshadows pinpoint – 5 mm • Miliary tuberculosis • Viral infection. • Haemosiderosis • Pneumoconiosis • Allergic pneumonias • Alveolar carcinoma of the lung • Sarcoidosis • Fibrosing alveolitis
  • 102.
  • 104.
  • 107.
    Haemosiderosis Pulmonary haemosiderosis, condition resultingfrom recurrent intrapulmonary bleeding with haemosiderin depositions in the lungs, leading to pulmonary fibrosis and restrictive airways disease. Clinical presentation typically is with haemoptysis, cough, dyspnoea, during an acute attack, with remissions. There is in associated microcytic hypochromic anaemia. The diagnosis is made by bronchoalveolar lavage in which iron-laden macrophages are demonstrated in the sputum. Children, however, do not always present with haemoptysis as they often swallow their saliva. They may instead present with apparent chest infection and anaemia. Radiologically, the appearances in the acute situation are those of extensive alveolar shadowing in the lungs which as it clears becomes a more ground glass appearance with small nodules . With recurrent attacks, interstitial fibrosis develops. Pulmonary bleeding associated with renal diseases is called Goodpastures syndrome
  • 108.
    Pulmonary haemosiderosis 13-year-old girlwho presented with haemoptysis. Admission film (a) shows acute alveolar shadowing. b. Repeat film 3 days later shows improvement in the alveolar oedema but there is now a reticular nodular pattern developing. A diagnosis of pulmonary haemosiderosis made by bronchoalveolar lavage. c. CT scan done during the recovery phase demonstrates airspace shadowing, particularly in the left lung.
  • 109.
  • 110.
  • 112.
    Nodular shadows withground glass haze [pin point] • Respiratory distress syndrome • Fibrosing alveolitis • Microlithiasis alveolaris
  • 113.
  • 114.
    Pulmonary alveolar microlithiasisis a rare condition characterised by a diffuse bilateral filling of the majority of alveoli by calcific concretions called "Calcospherites". The aetiology and pathogenesis are obscure; a familial incidence has been reported in several instances. Pulmonary alveolar microlithiasis is rare and less than 100, cases have been reported in the world literature. The radiological picture that is very characteristic shows bilateral sand- like micro nodules of calcific density, usually most marked in the middle and lower zones with relative sparing of the apices. Although the radiological picture is diagnostic, many cases are mistaken for miliary tuberculosis, silicosis, berylliosis, sarcoidosis, haemosiderosis, fungal infections and carcinomatosis. Most patients remain symptom-free for many years despite extensive radiological changes. In over half the reported cases, a familial incidence has been demonstrated almost invariably among Siblings and only in two instances in a parent and child; cases in infants have also been reported. A genetic factor has been postulated because of familial occurrence. It has been suggested the possibility of congenital error of metabolism at the level of alveolar surface membrane, possibly an enzymatic fault, resulting in the precipitation of calcium in the presence of undue alkalinity.
  • 115.
  • 117.
    Nodular shadows withshort line shadows 1-2 cms horizontal lines Pneumoconiosis – asbestosis –coal workers & tin handlers • Fibrosing alveolitis
  • 118.
  • 119.
    Nodular shadows withlong line & septal line shadows 2- 4 cms hair like shadows Lymphangitis carcinomatosa
  • 120.
    Lymphangitic carcinomatosis,   tumour growthin the lymphatic system of the lungs. It occurs most commonly in patients with carcinomas of the breast, lung, stomach, pancreas, prostate, cervix or thyroid, and in patients with metastatic adenocarcinoma from an unknown primary site. It usually results from haematogenous spread to lung, with subsequent interstitial and lymphatic invasion, but can also occur because of direct lymphatic spread of tumour from mediastinal and hilar lymph nodes. Symptoms of shortness of breath are common and can predate radiographic abnormalities. The radiographic manifestations of pulmonary lymphangitic carcinomatosis include reticular opacities, Kerley lines, hilar and mediastinal lymphadenopathy and pleural effusion. However, these findings are nonspecific. Tumour growth in the peribronchovascular and septal lymphatics located within these compartments, and associated oedema, result in the characteristic HRCT findings of lymphangitic carcinoma. Lymphangitic carcinomatosis is characterized on HRCT by reticular opacities. Specific findings include: · thickening of the peribronchovascular interstitium surrounding vessels and bronchi in the parahilar lung; · interlobular septal thickening and subpleural interstitial thickening that is smooth, or nodular; · thickening of the peribronchovascular axial interstitium in the centrilobular regions; and · a preservation of normal lung architecture at the lobular level, despite the presence of these findings. Hilar lymphadenopathy is visible on CT in only 50% of patients with lymphangitic carcinoma. Lymph node enlargement can be symmetrical or asymmetrical. pleural effusion may also be present.
  • 125.
    Nodular shadows withsmall ring shadows [ring diameter 3- 8 mm] • Fibrosing alveolitis – late stage cryptogenic form • Asbestos induced fibrosis • Systemic sclerosis • Allergic alveolitis – farmers , bird fanciers , malt workers • Xanthomatous lung disease • Idiopathic Haemosiderosis
  • 126.
  • 128.
    Nodular shadows with shrunkenupper lobes Chronic tuberculosis Sarcoidosis
  • 129.
  • 130.
  • 131.
    Nodular shadows withlarge homogeneous shadows Sarcoidosis - late stage Broncho-pulmonary aspergillosis with eosinophilia Pneumoconiosis with massive fibrosis
  • 132.
  • 134.
    Nodular shadows withraised dome of the diaphragm Fibrosing alveolitis Lymphangitis carcinomatosa Tuberculosis
  • 135.
    Nodular shadows with abnormalitiesseen in the heart shadow Lesions are secondary to heart condition. Pulmonary oedema Haemosiderosis
  • 136.
    Nodular shadows withhilar gland enlargement Sarcoidosis Tuberculosis Hodgkin’s disease Secondary deposits from a carcinoma
  • 137.
  • 138.
  • 139.
  • 140.
    Nodular shadows withcavities , bronchiectasis or bullae Tuberculosis Sarcoidosis Broncho-pulmonary aspergillosis with eosinophilia Resolved Xanthomatous lesions
  • 141.
  • 142.
  • 143.
  • 144.
    Bronchopulmonary aspergillosis, invasion ofthe lungs and bronchial tree of the spores of Aspergillus fumigatus, caused by inhalation of the spores. Two types are described, allergic bronchopulmonary aspergillosis, typically seen in asthmatic patients, but rare in children, and invasive infection seen in immunocompromised patients in which disseminated infection may occur. In allergic bronchopulmonary aspergillosis the symptoms are mainly those of cough, wheeze and chest pain with expetoration of mucous plugs. The repeated damage to the bronchial tree caused by deposition of the spores leads to bronchiectasis. It is thought that the inhaled organisms grow within the bronchi and release an antigen which causes sensitisation and later provokes an immune reaction. Mucin produced as part of this reaction is thick and tenacious and plugs the bronchi. This traps the fungus within the airway, with resultant bronchiectasis. Within a bronchiectatic cavity a mycetoma may develop. Radiographically, they appear as a mass lesion over which there is a crescent of air In invasive aspergillosis, the radiographic pattern is one of multiple areas of consolidation. These may also cavitate and produce a crescent of air. Lesions, which are fungal abscesses, may also be found in the brain, liver, kidneys and spleen Aspergillosis infection also occurs in children with cystic fibrosis and is a cause of deterioration in pulmonary function. The radiographic appearances are nonspecific but infection may be suspected if there is a large area of consolidation, often basal, which is out of proportion to the extent of the disease elsewhere.
  • 145.
  • 146.
    Linear shadows :line , band , tubular & ring shadows • Line shadows : Horizontal pleural line : • Horizontal fissure • Fissure over apical lower lobe • Accessory fissure between apical lower and basal segments • Aerated but shrunken lobe Vertical Pleural line shadows The accessory lobe of the azygos Main interlobar pleural fissure Vertical line shadow from the dome of the diaphragm Triangular shadow from the diaphragm Axillary & Diaphragmatic pleura Visceral pleura in pneumothorax Mediastinal pleural hernia
  • 149.
    Intrapulmonary line shadows •Horizontal line shadow above the diaphragm also known as Fleischer’s line • Septal line shadows – kerley B lines • Kerley A lines • Isolated line shadows in upper half of the lung • Line shadows radiating out from circular shadow
  • 150.
  • 152.
    Band like shadows •Pleural • Collapsed lung • Foreign body • Bronchial shadows • Vessel shadows
  • 153.
  • 154.
    Tubular shadows • Normal– caused by two vessels running parallel to each other. • Abnormal -- tram like seen in cases of Asthma , cystic fibrosis , allergic lung conditions , pulmonary oedema , bronchiectasis
  • 155.
  • 157.
    Rest of itnext time