Abdominal CT
scan
Department of radiology
Submittedby,
AL AUF JALALUDEEN
Group: 308
 An abdominal CT scan is an imaging method that uses x-rays to create cross-
sectional pictures of the belly area. CT stands for computed tomography.
How the Test is Performed
 You will lie on a narrow table that slides into the center of the CT scanner. Most
often, you will lie on your back with your arms raised above your head.
 Once you are inside the scanner, the machine's x-ray beam rotates around you.
Modern spiral scanners can perform the exam without stopping.
 A computer creates separate images of the belly area. These are called slices. These
images can be stored, viewed on a monitor, or printed on film. Three-dimensional
models of the belly area can be made by stacking the slices together.
 You must be still during the exam, because movement causes blurred images. You
may be told to hold your breath for short periods of time.
Why the Test is Performed
An abdominal CT scan makes detailed pictures of the structures inside your belly
(abdomen) very quickly.
This test may be used to look for:
 Cause of abdominal pain or swelling
 Hernia
 Cause of a fever
 Masses and tumors, including cancer
 Infections or injury
 Kidney stones
 Appendicitis
What Abnormal Results Mean
The abdominal CT scan may show some cancers, including:
 Cancer of the renal pelvis or ureter
 Colon cancer
 Hepatocellular carcinoma
 Lymphoma
 Melanoma
 Ovarian cancer
 Pancreatic cancer
 Pheochromocytoma
 Renal cell carcinoma (kidney cancer)
 Testicular cancer
The abdominal CT scan may show problems with the gallbladder, liver, or
pancreas, including:
 Acute cholecystitis
 Alcoholic liver disease
 Cholelithiasis
 Pancreatic abscess
 Pancreatic pseudocyst
 Pancreatitis
 Blockage of bile ducts
The abdominal CT scan may reveal the following kidney problems:
 Acute bilateral obstructive uropathy
 Acute unilateral obstructive uropathy
 Chronic bilateral obstructive uropathy
 Chronic unilateral obstructive uropathy
 Complicated UTI (pyelonephritis)
 Kidney stones
 Kidney or ureter damage
 Polycystic kidney disease
Abnormal results may also be due to:
 Abdominal aortic aneurysm
 Abscesses
 Appendicitis
 Bowel wall thickening
 Retroperitoneal fibrosis
 Renal artery stenosis
 Renal vein thrombosis
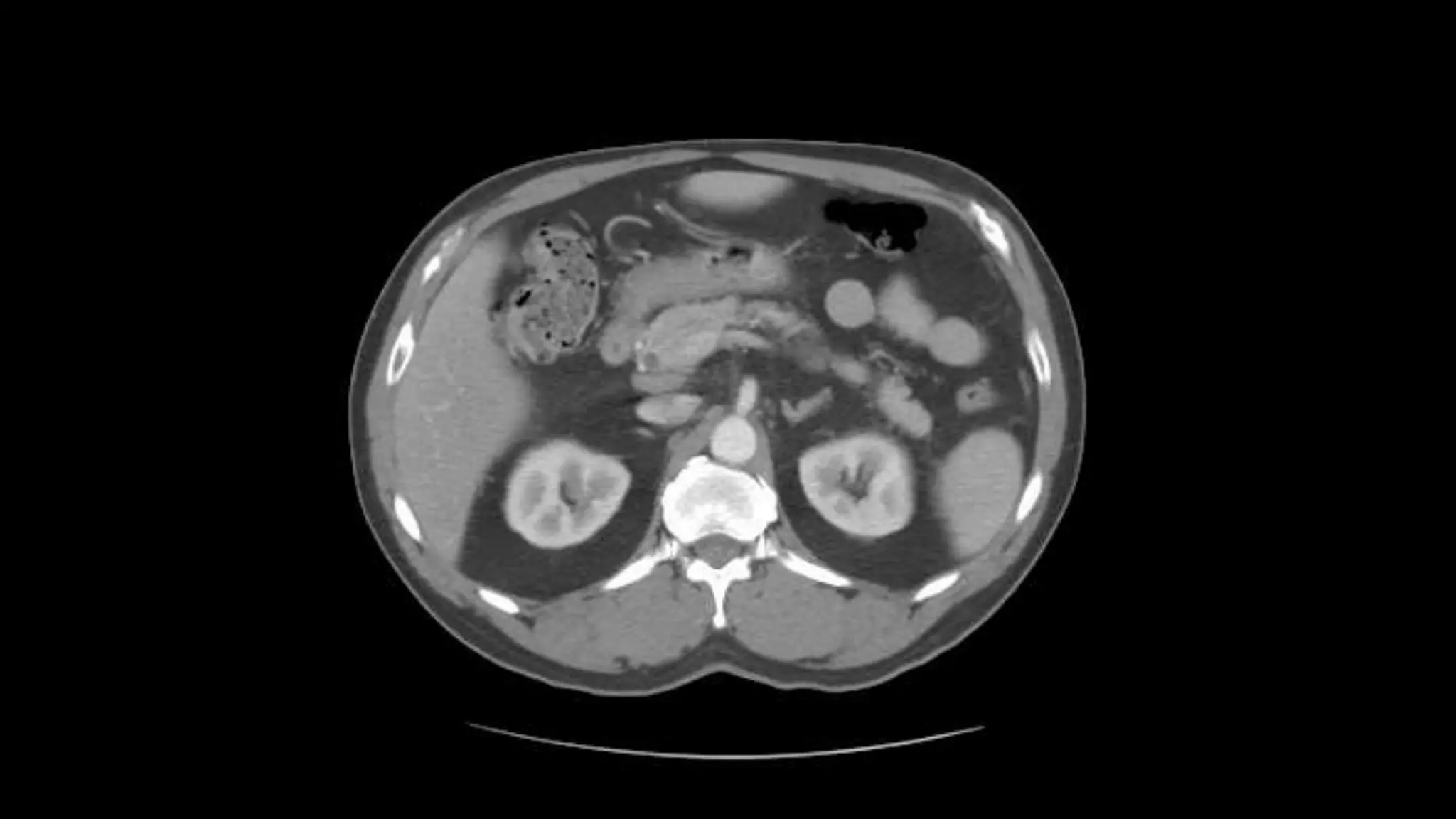
Studying the CT image
 In this sequence of images, we will label the abdominal vasculature.
The CT images are 5mm slices with soft tissue window settings. IV
and oral contrast have been administered which causes the vessels
and GI tract to appear hyperdense (white). Some images will contain
labels to assist with tracking the vessels.
 IMAGES ARE VIEWED AS LOOKING FROM THE FEET
RIGHT LEFT
Follow the IV contrast filled Aorta as we descend caudally. Branches and points
of interest will be noted.
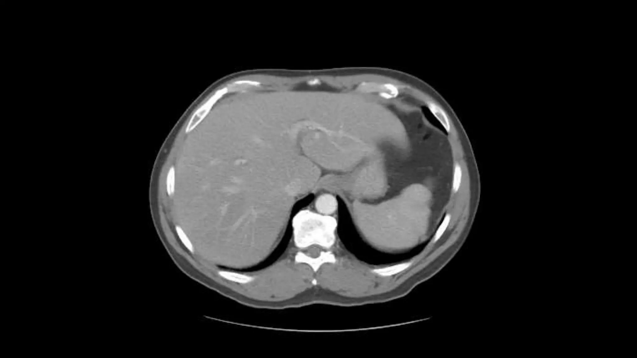
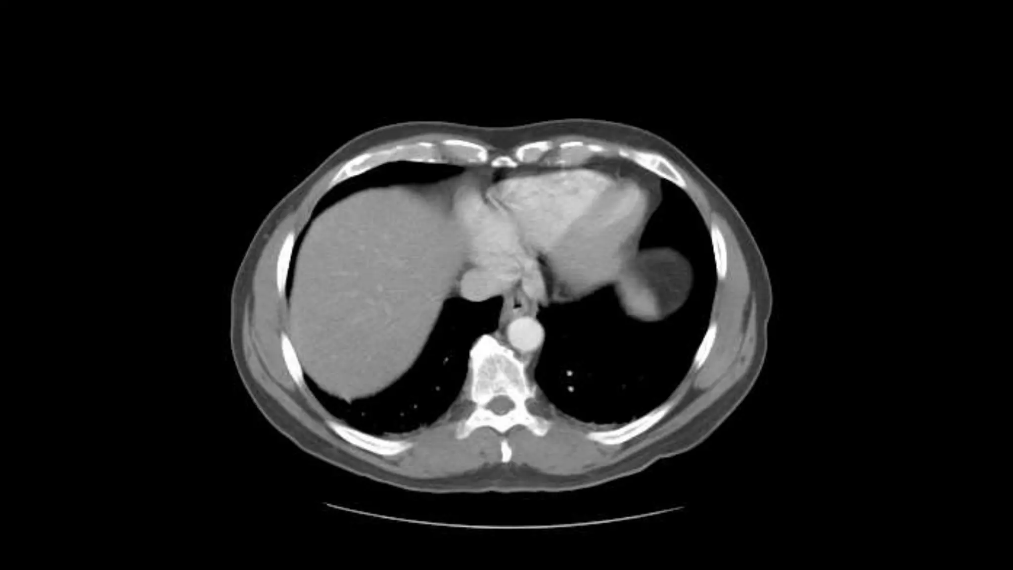
Azygous Vein. Hemiazygous Vein
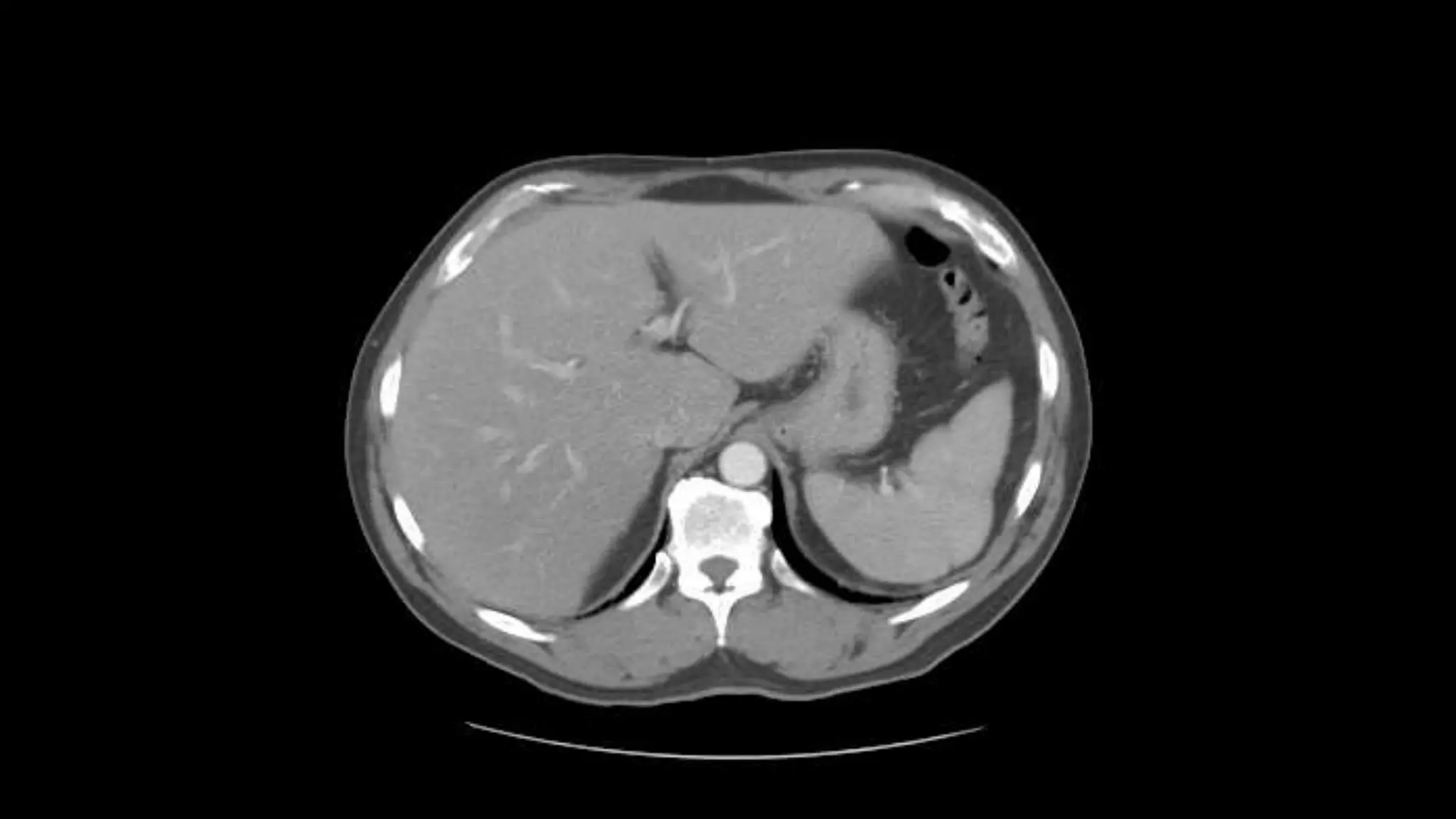
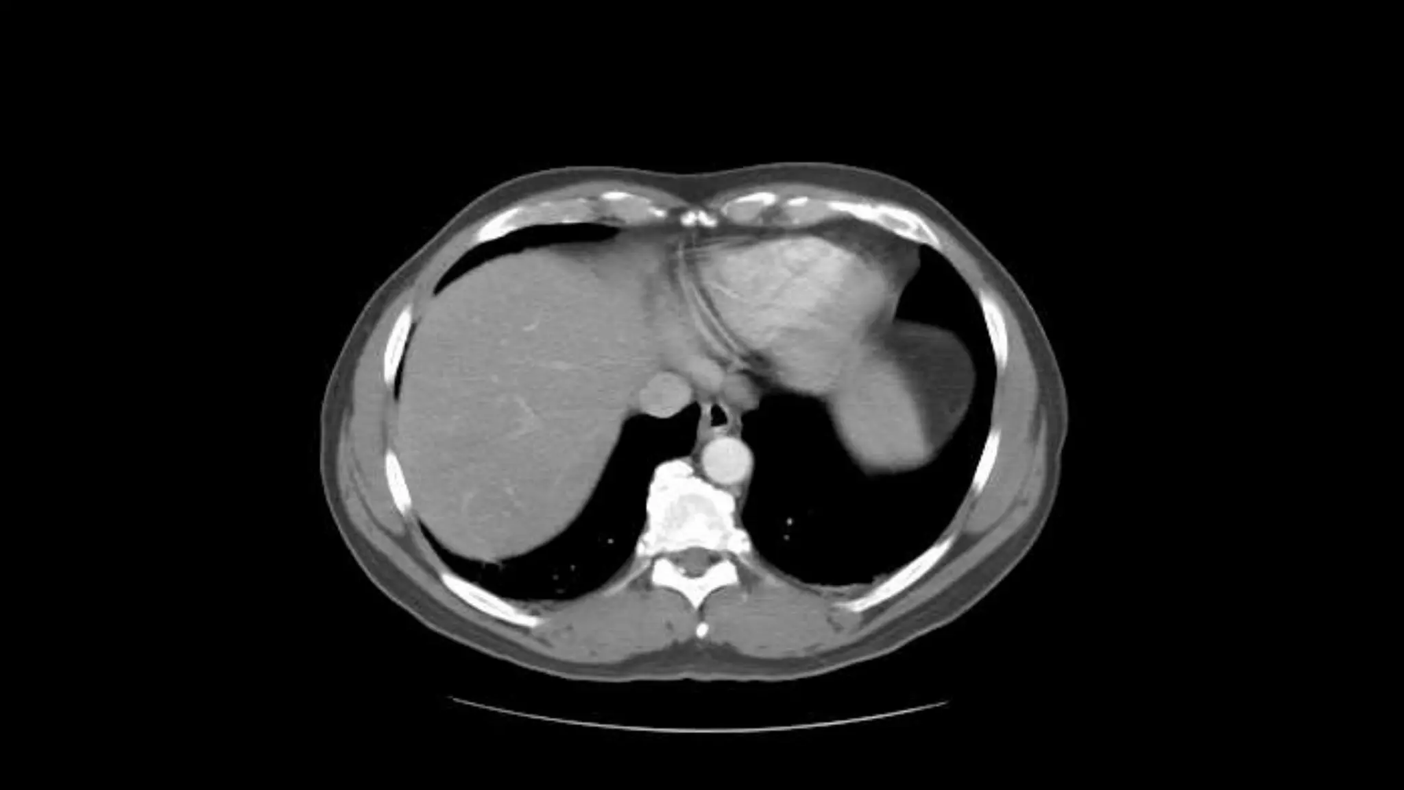
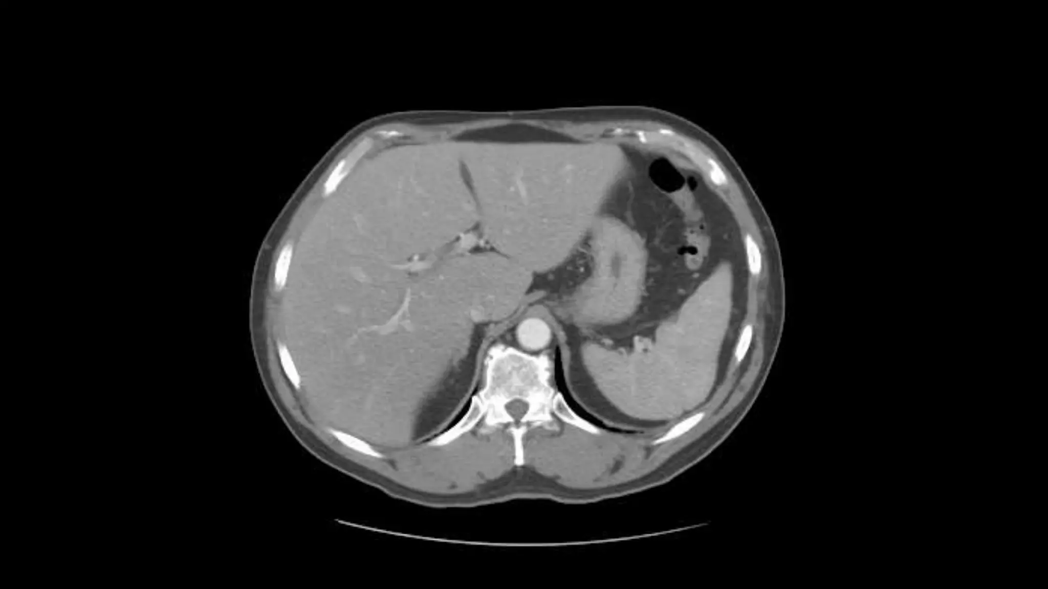
This is an excellent image of the right, middle and left hepatic veins draining into the Inferior
Vena Cava. Don’t confuse this structure with the IVC, this is the esophagus at the level of the
Lower esophageal sphincter, page up and down to confirm this.
The outline of the Inferior Vena Cava is more
distinct in this image.
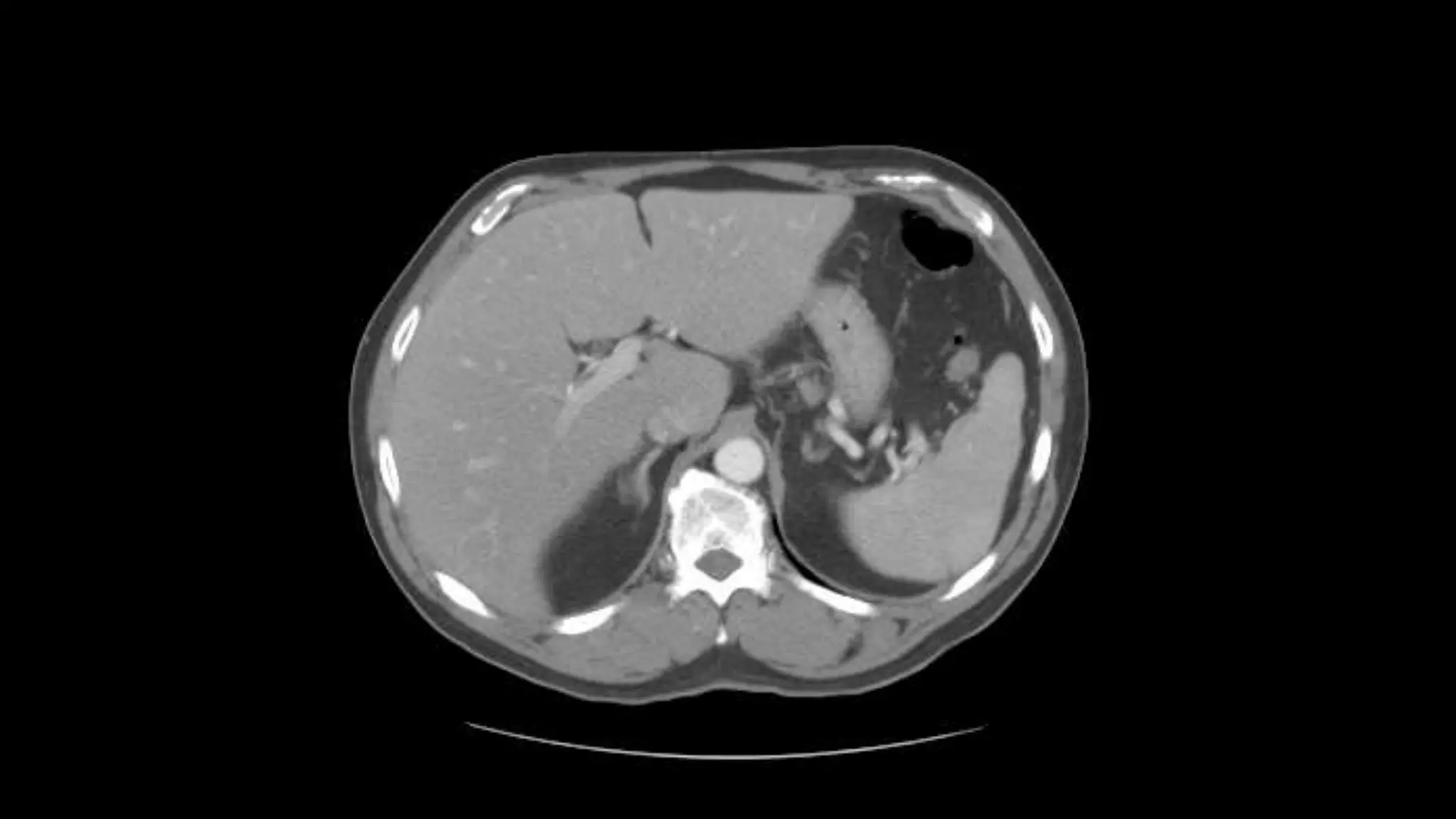
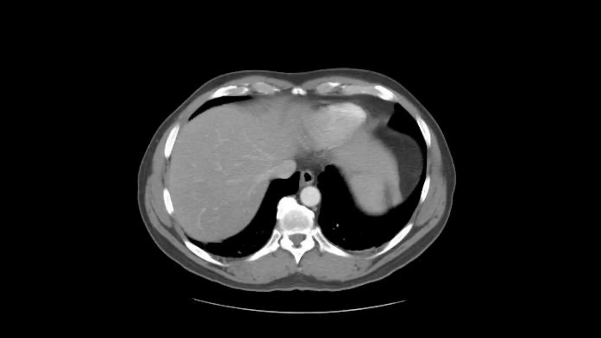
Portal Vein Branching into the Liver
Liver
Stomach
More portal vein branching into
the liver lobes
Splenic Artery. Splenic Vein. Scroll up and down
to confirm.
Spleen
Splenic Vein
Proper Hepatic Artery. Splenic Vein
Portal vein
Adrenal
Glands
You can see the Celiac artery starting to branch from the
Aorta. You can follow this down in the next four images
Proper Hepatic Artery is labeled in the upper right The splenic
vein and artery are in the lower left
Proper Hepatic Artery and Splenic Artery
(the splenic artery is the circle).
Splenic Vein
Here the Splenic Vein is emptying into the portal vein.
Follow this up and down.
Pancreas
This is the Superior Mesenteric Artery branching
off the Aorta.
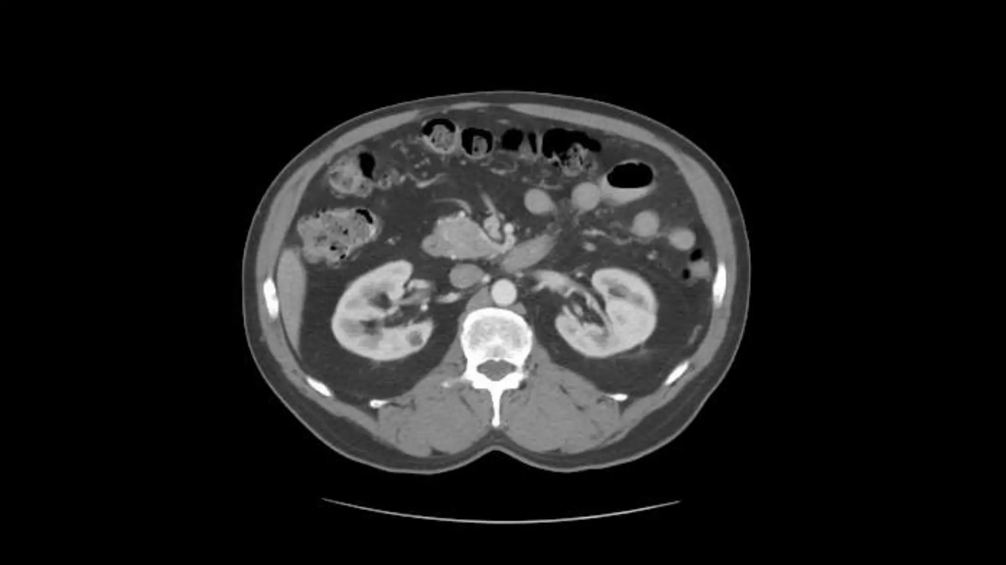
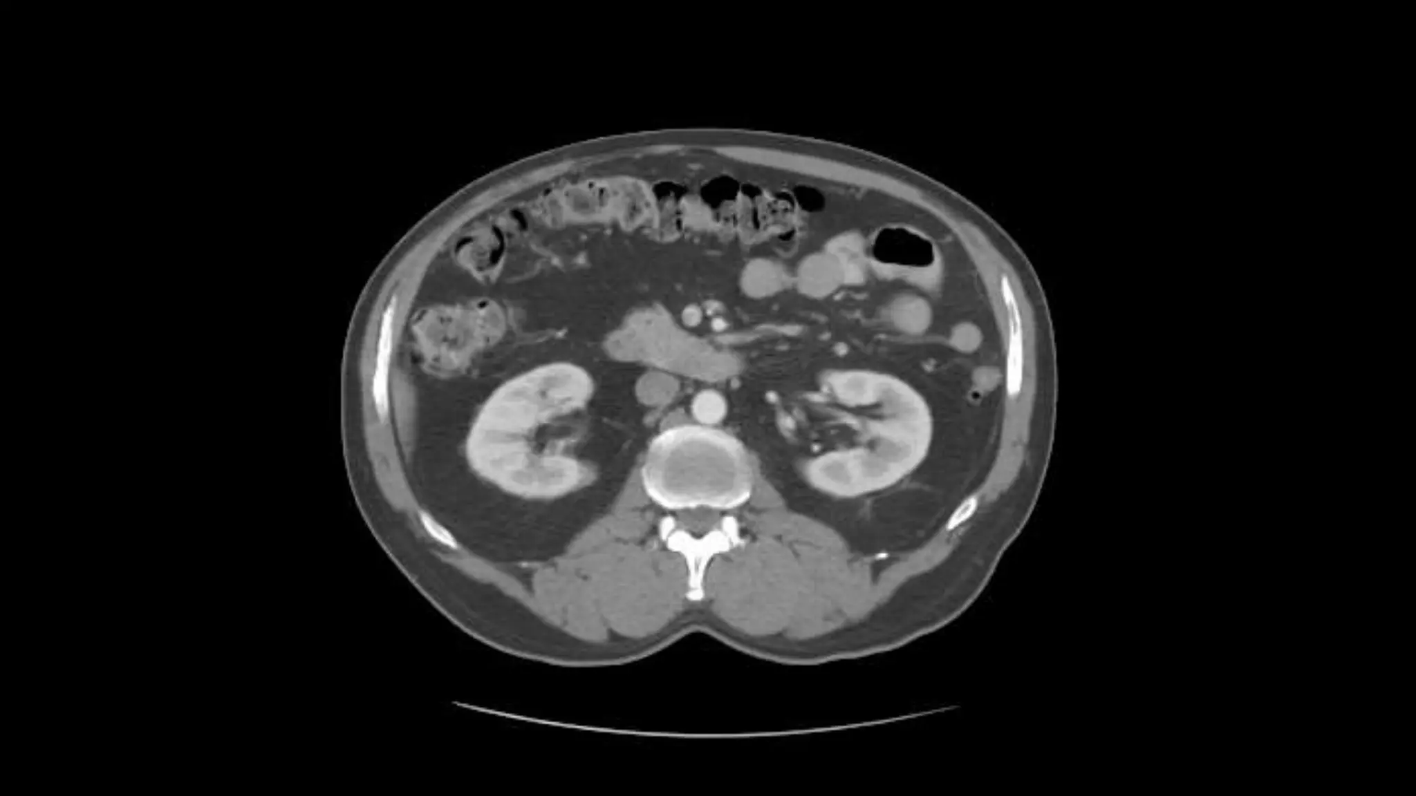
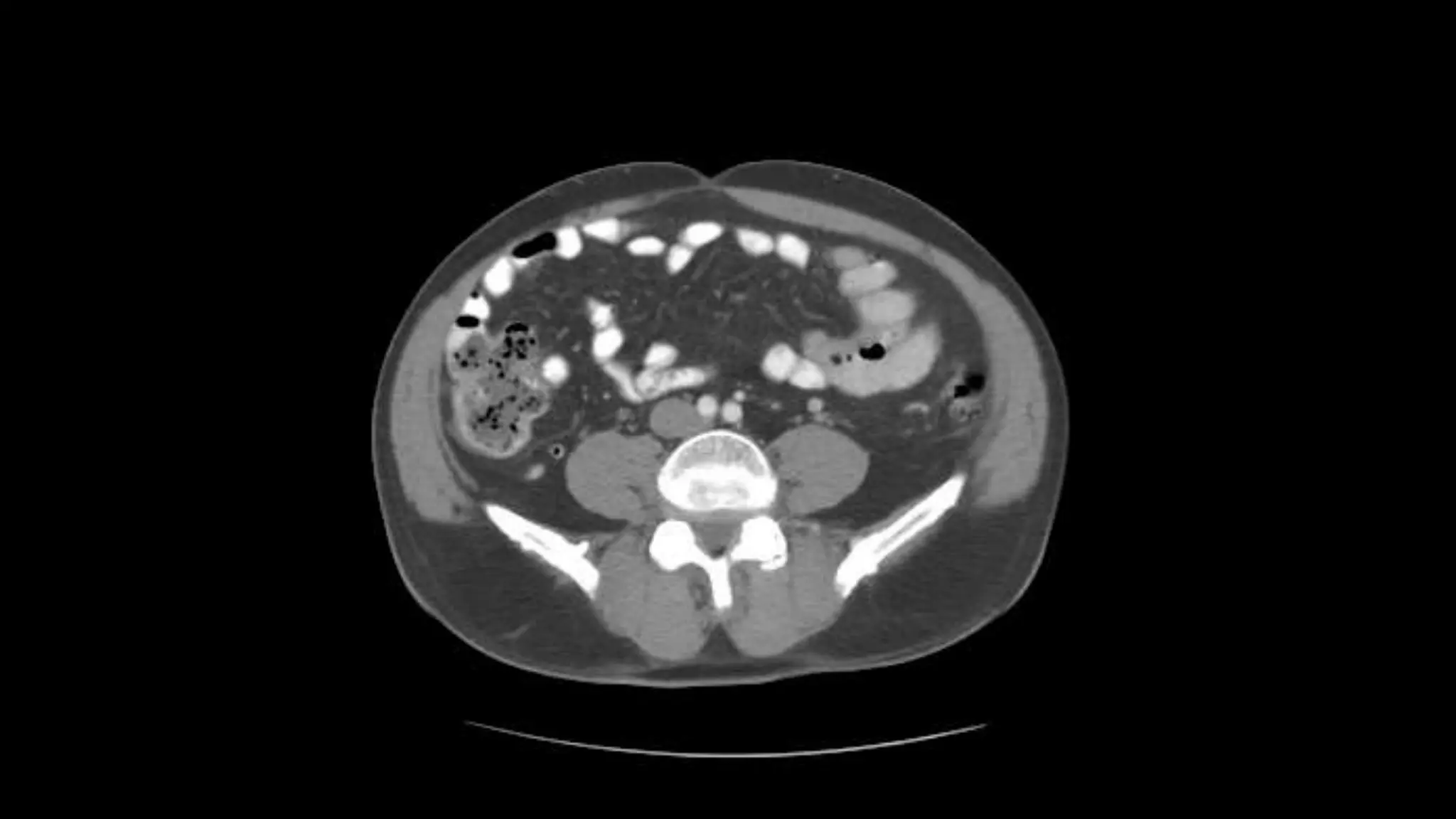
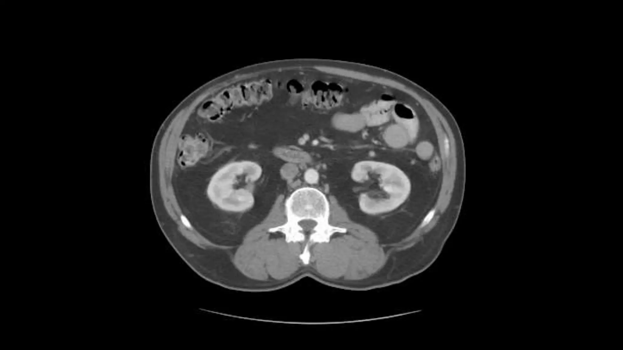
Rt. and Lt.Kidneys
Pancreas
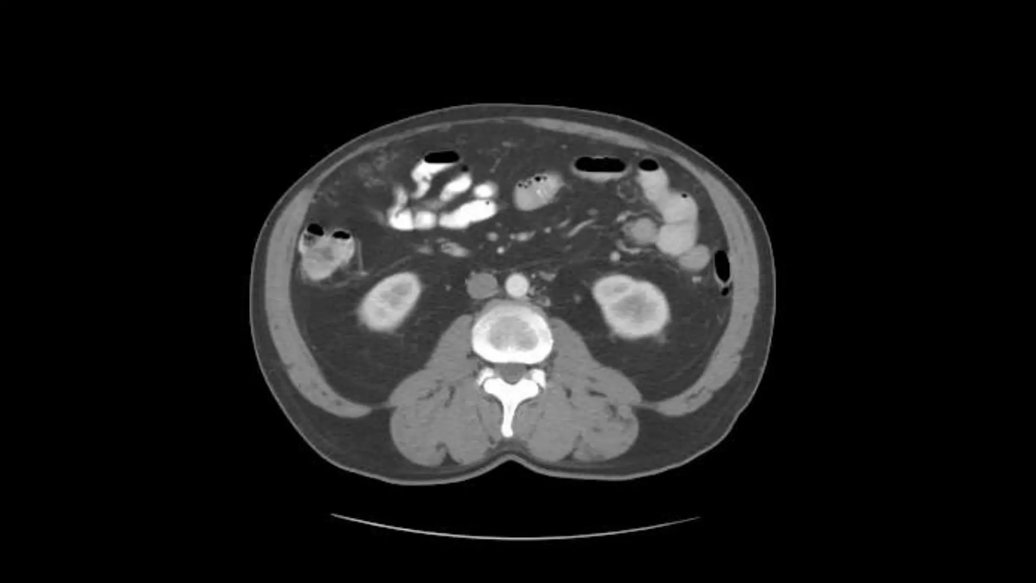
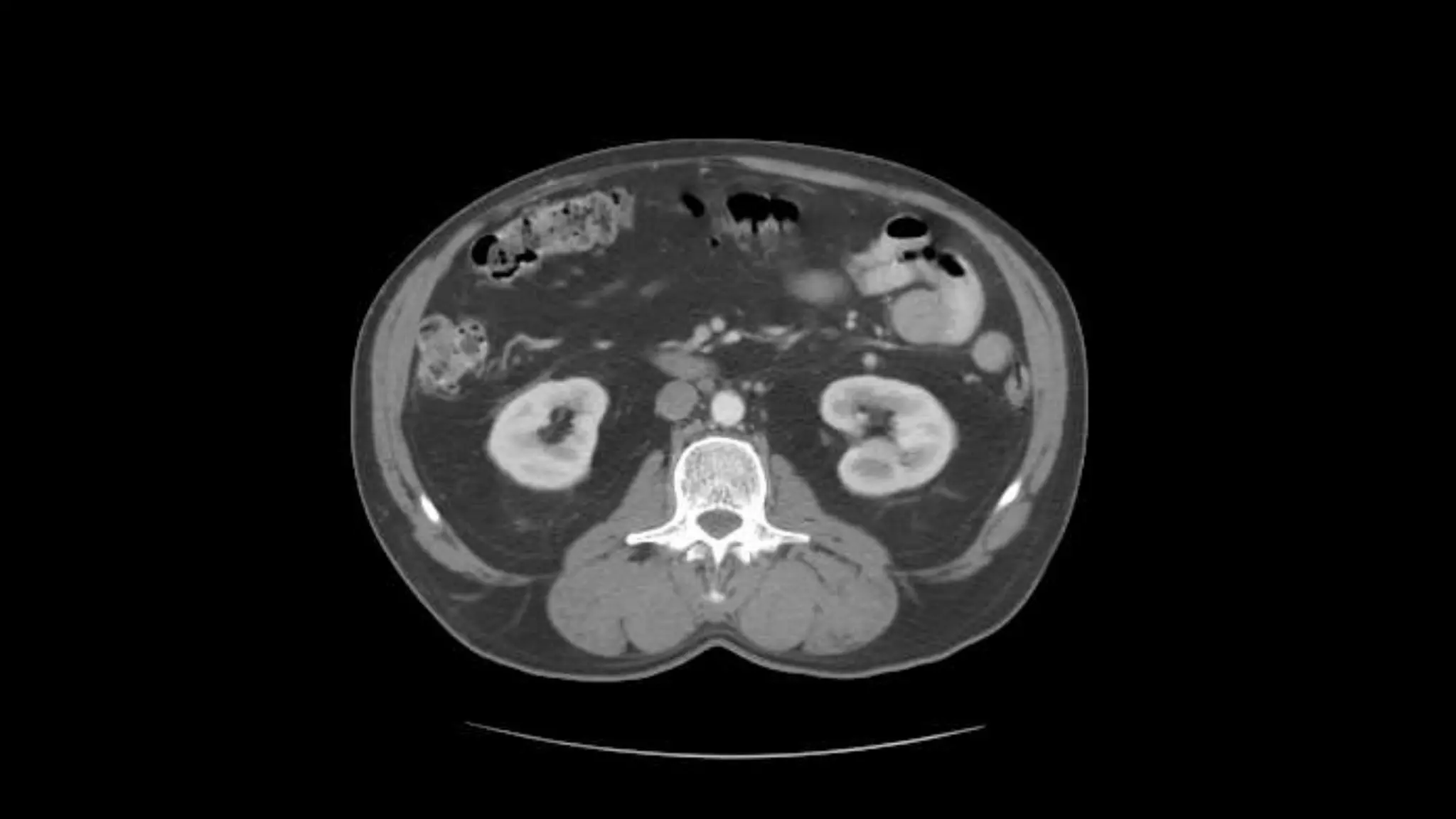
Renal Veins emptying into the IVC. We also see the right renal artery branching
off the Aorta, follow it down till you see it enter the right kidney. The Superior
Mesenteric Vein is outlined on the top of this image. If you follow the SMV up, you
will see it empty into the Portal Vein.
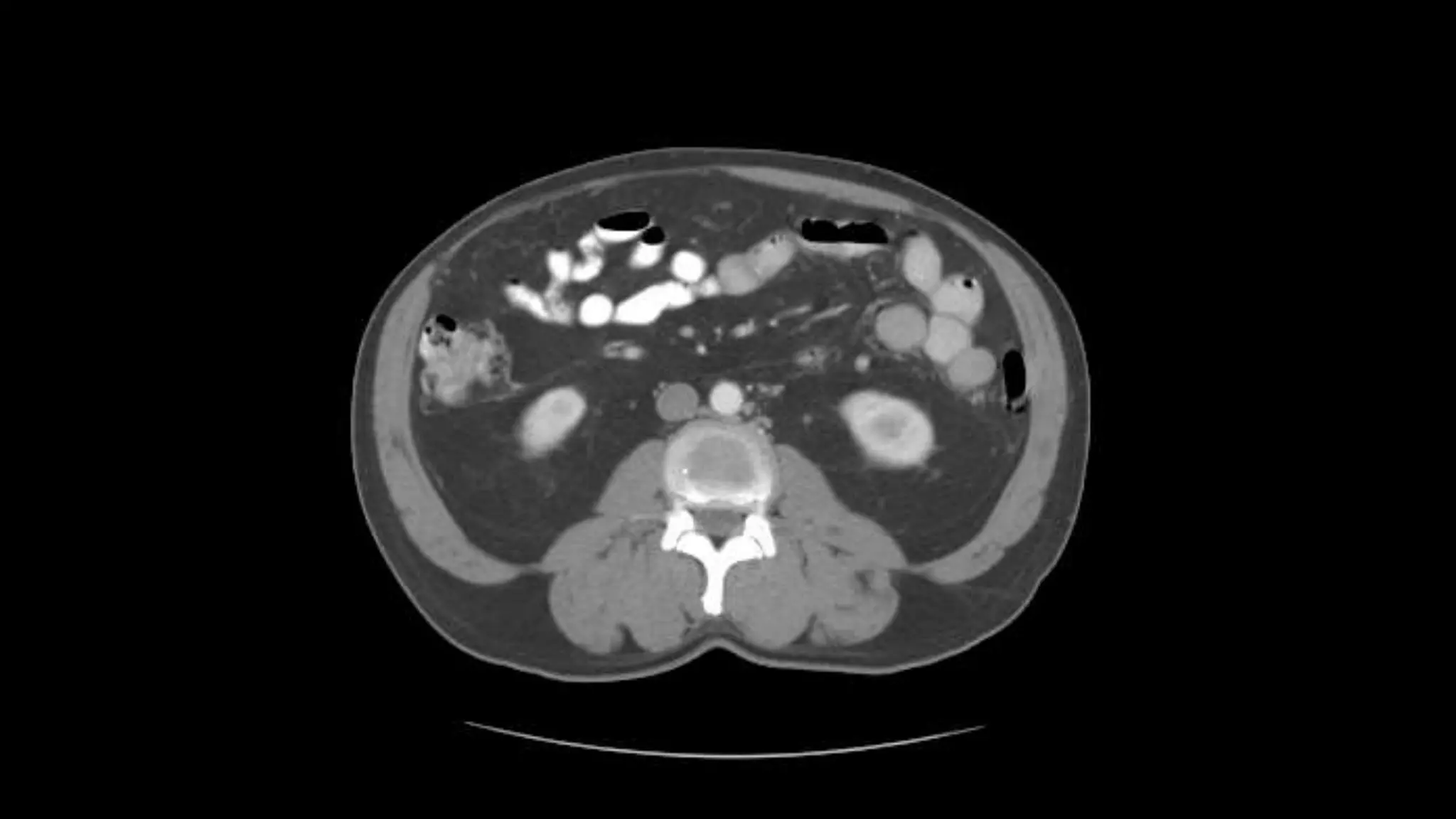
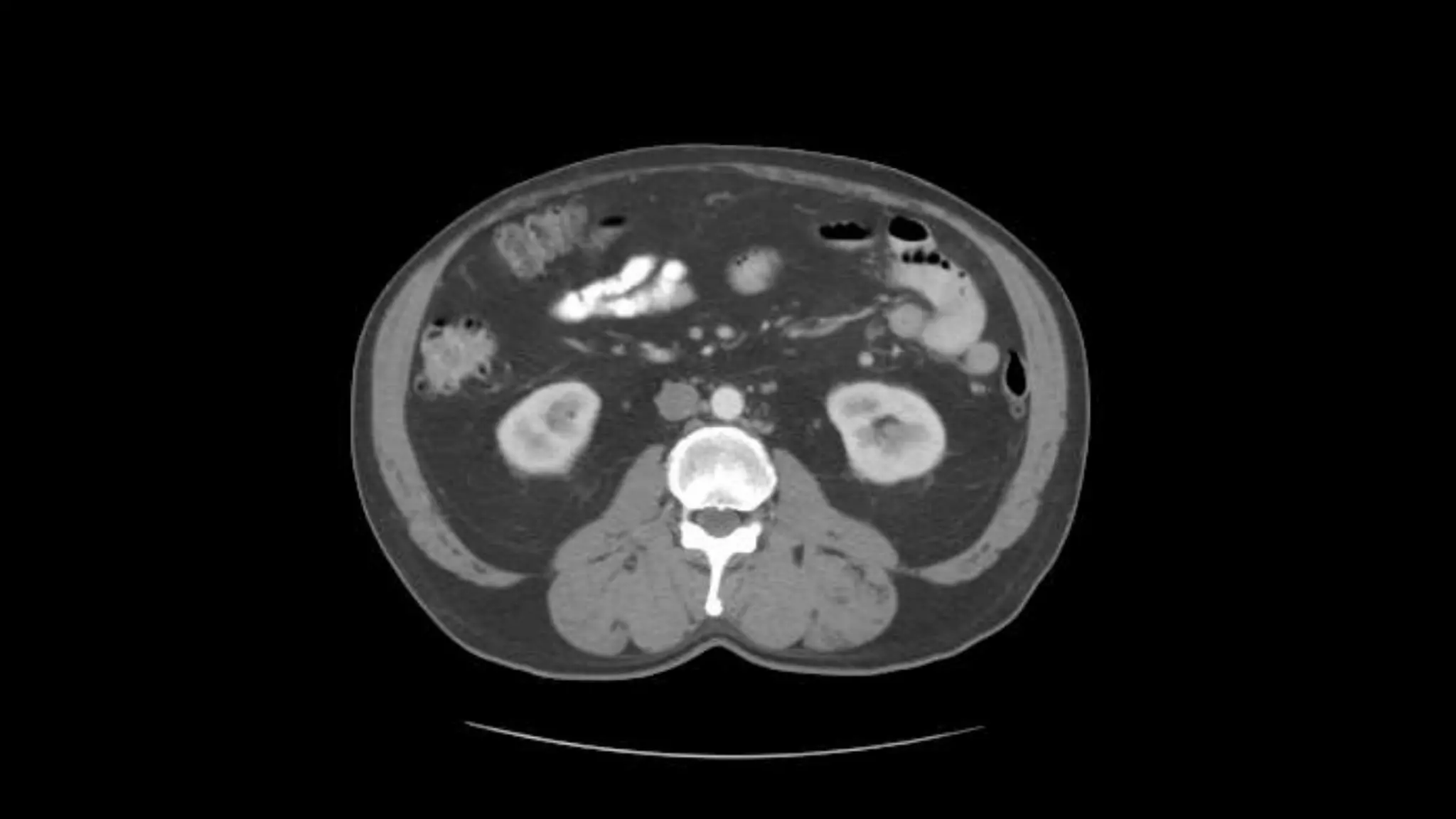
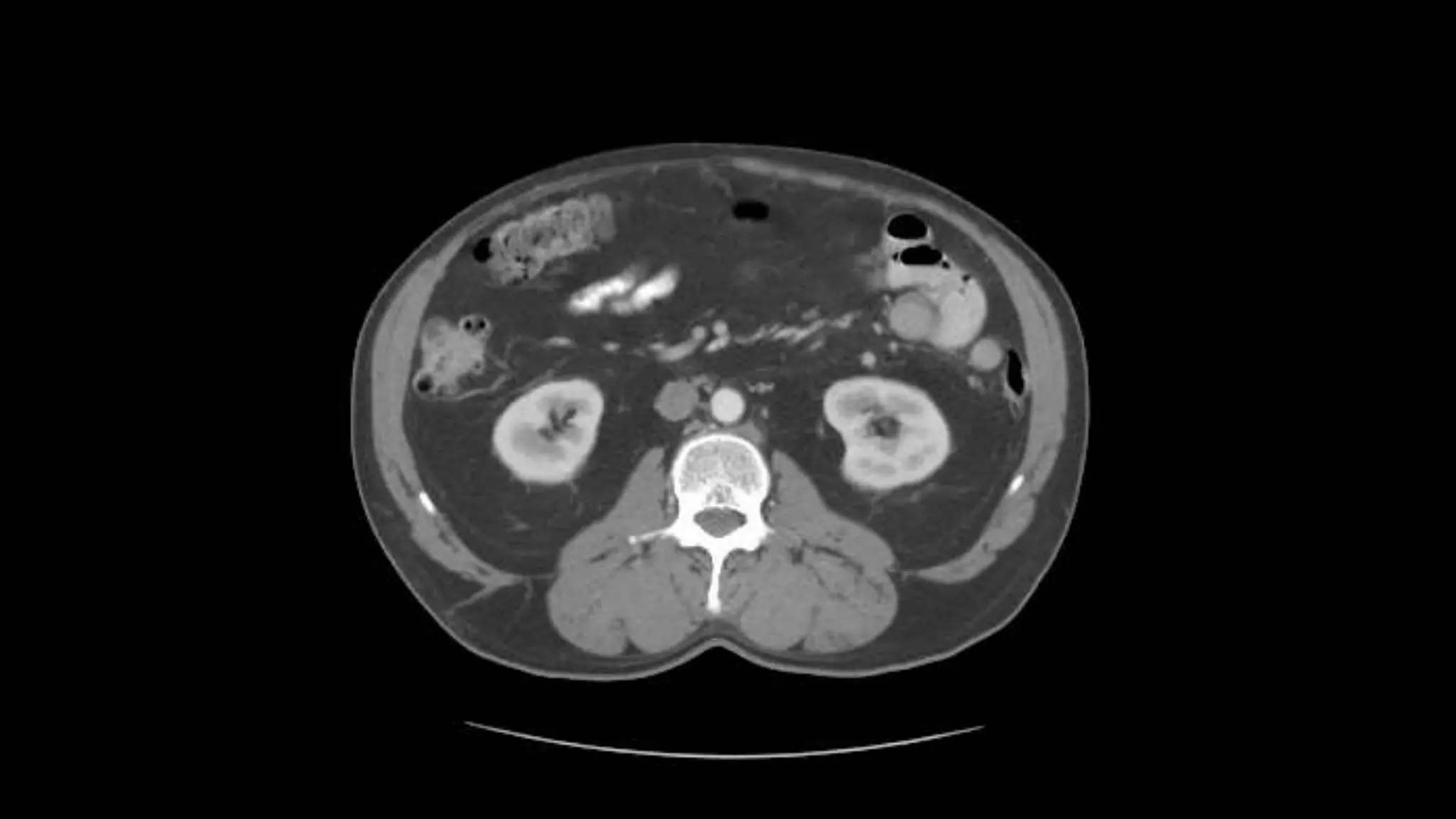
Here we see the right and left renal vein entering into the Inferior Vena Cava. We
Also see the left renal artery branching off the aorta and heading toward the left
kidney. Page up and down to trace these vessels.
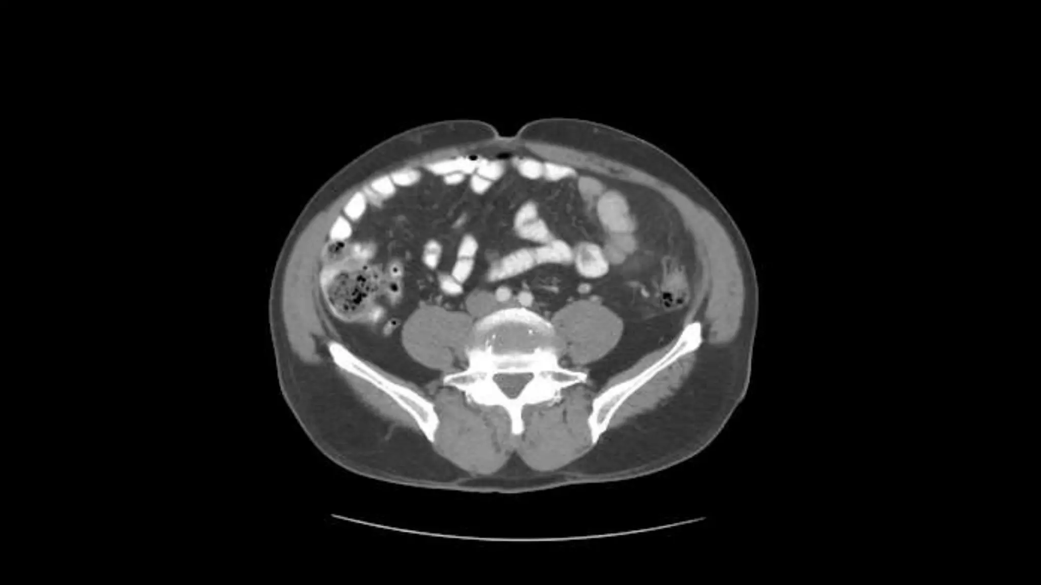
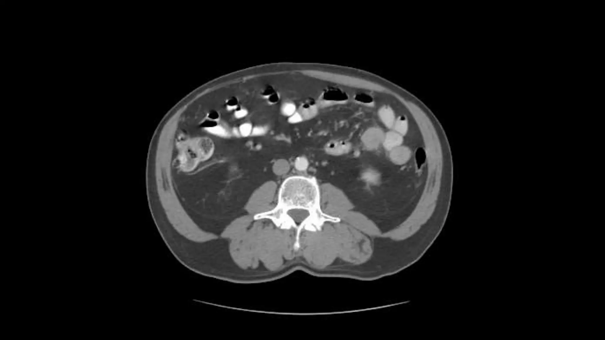
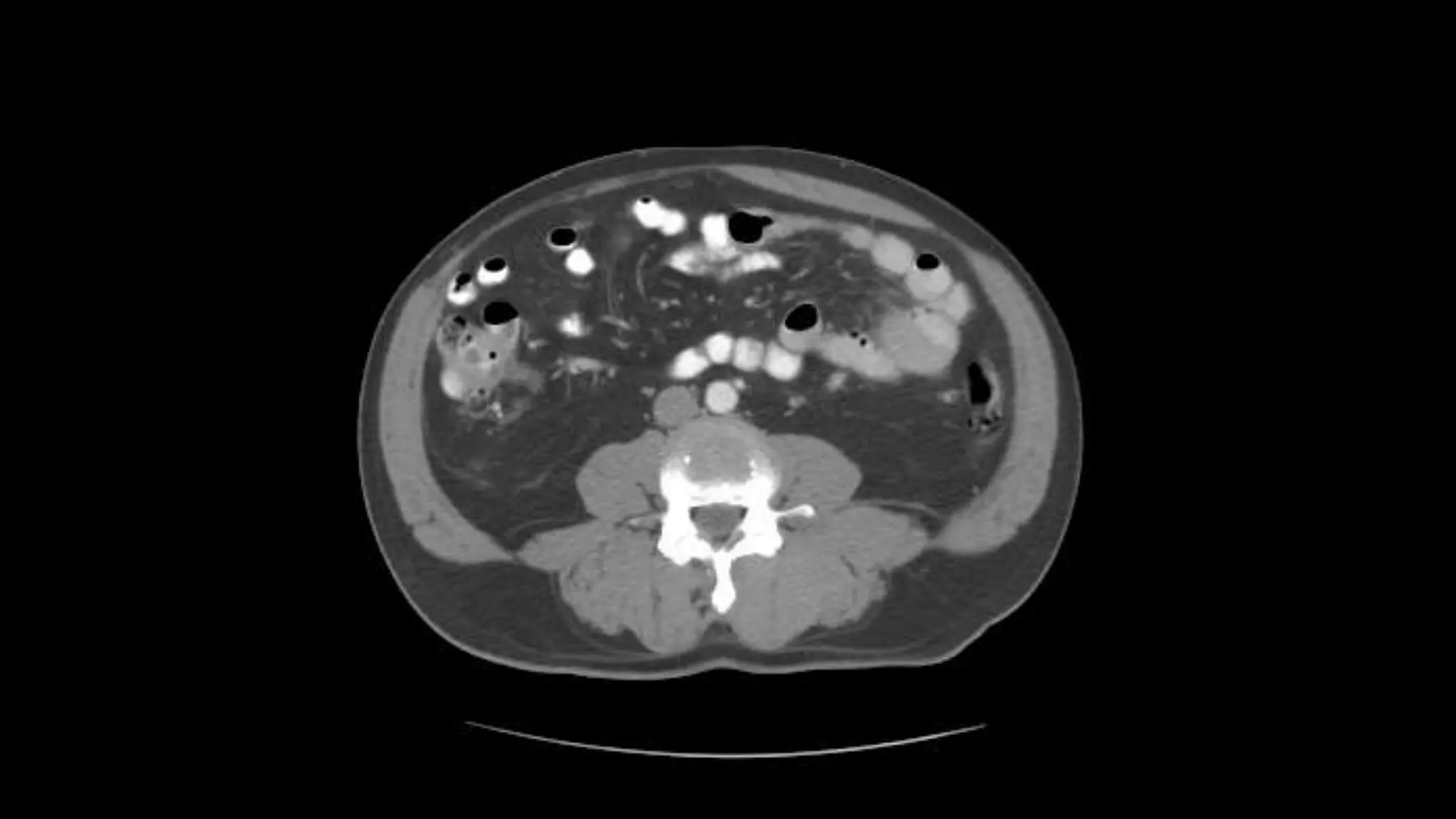
Superior Mesenteric Vein – follow it up as it joins the Splenic
Vein to form the Portal Vein
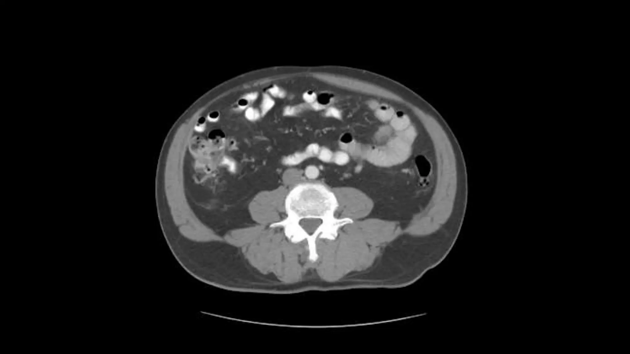
Transverse Colon Small Bowell
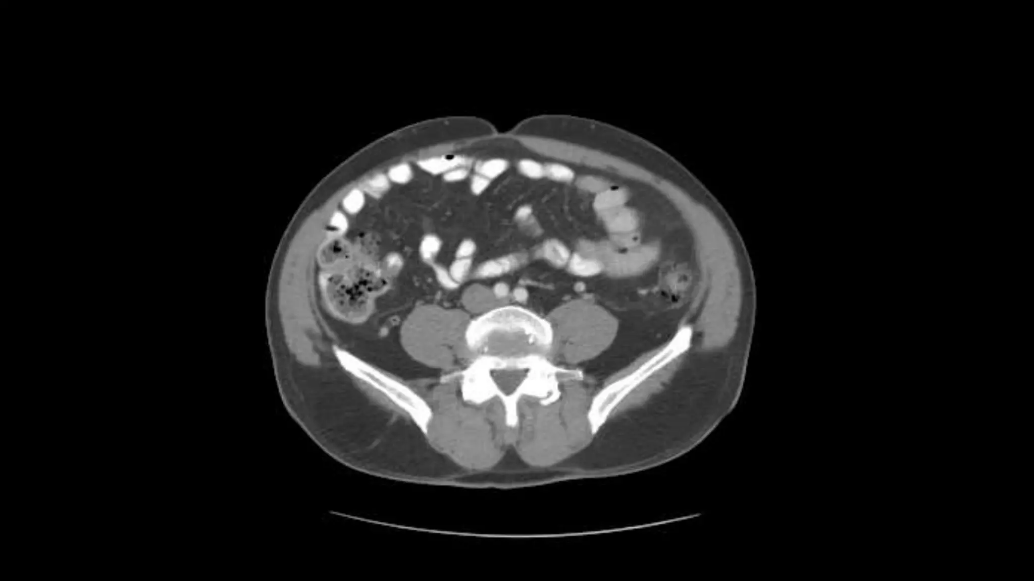
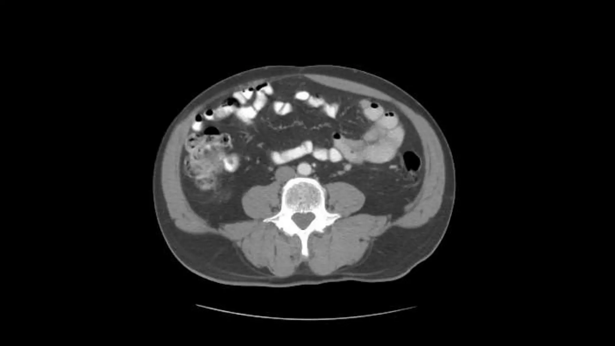
Note inferior mesenteric artery emerging from aorta
Inferior mesenteric vein extends cephalad to join smv.
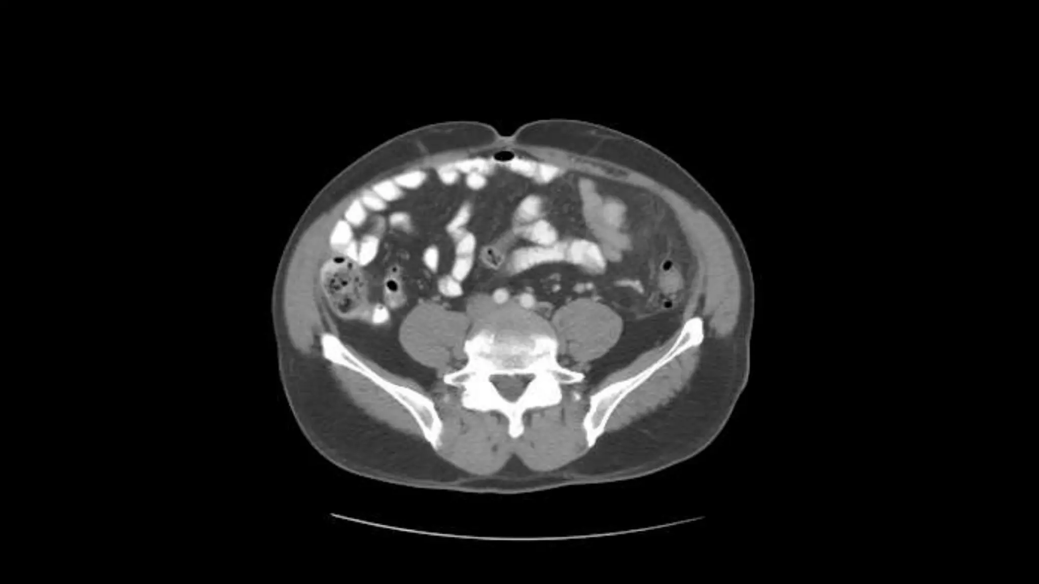
Aorta bifurcates into common illiac arteries
Appendix is noted coiling in Rt. Lower quadrant
Note air in lumen on adjacent scans
Psoas
muscles
ABDOMINAL CYST
An abdominal CT scan revealed a large right upper quadrant cyst measuring
14x17x21 cm ( lateral, anteroposterior and craniocaudal)There was mass effect
upon the liver and duodenum. The cyst had a thin smooth wall with internal fluid
and high density material consistent with a blood clot.
RENAL CYST
NO CONTRAST CONTRAST
HEPATOMEGALY
SPLENOMEGALY
DIVERTICULITS
ABDOMINAL ABSCESS
Psoas abscess (blue arrow), and abscess dissecting anteriorly in
transversalis fascia.
BOWEL OBSTRUCTION
RENAL STONE
PHEOCHROMOCYTOMA
Pheochromocytoma is a tumor of the adrenal gland that causes
excess release of epinephrine and norepinephrine, hormones that
regulate heart rate and blood pressure
CIRRHOSIS
CHOLELITHIASIS
CHOLECYSTITIS
PANCREATIC CANCER
PANCREATITIS
ABDOMINAL ANEURYSM
Abdominal CT scan

Abdominal CT scan

  • 1.
    Abdominal CT scan Department ofradiology Submittedby, AL AUF JALALUDEEN Group: 308
  • 2.
     An abdominalCT scan is an imaging method that uses x-rays to create cross- sectional pictures of the belly area. CT stands for computed tomography. How the Test is Performed  You will lie on a narrow table that slides into the center of the CT scanner. Most often, you will lie on your back with your arms raised above your head.  Once you are inside the scanner, the machine's x-ray beam rotates around you. Modern spiral scanners can perform the exam without stopping.  A computer creates separate images of the belly area. These are called slices. These images can be stored, viewed on a monitor, or printed on film. Three-dimensional models of the belly area can be made by stacking the slices together.  You must be still during the exam, because movement causes blurred images. You may be told to hold your breath for short periods of time.
  • 3.
    Why the Testis Performed An abdominal CT scan makes detailed pictures of the structures inside your belly (abdomen) very quickly. This test may be used to look for:  Cause of abdominal pain or swelling  Hernia  Cause of a fever  Masses and tumors, including cancer  Infections or injury  Kidney stones  Appendicitis
  • 4.
    What Abnormal ResultsMean The abdominal CT scan may show some cancers, including:  Cancer of the renal pelvis or ureter  Colon cancer  Hepatocellular carcinoma  Lymphoma  Melanoma  Ovarian cancer  Pancreatic cancer  Pheochromocytoma  Renal cell carcinoma (kidney cancer)  Testicular cancer
  • 5.
    The abdominal CTscan may show problems with the gallbladder, liver, or pancreas, including:  Acute cholecystitis  Alcoholic liver disease  Cholelithiasis  Pancreatic abscess  Pancreatic pseudocyst  Pancreatitis  Blockage of bile ducts
  • 6.
    The abdominal CTscan may reveal the following kidney problems:  Acute bilateral obstructive uropathy  Acute unilateral obstructive uropathy  Chronic bilateral obstructive uropathy  Chronic unilateral obstructive uropathy  Complicated UTI (pyelonephritis)  Kidney stones  Kidney or ureter damage  Polycystic kidney disease
  • 7.
    Abnormal results mayalso be due to:  Abdominal aortic aneurysm  Abscesses  Appendicitis  Bowel wall thickening  Retroperitoneal fibrosis  Renal artery stenosis  Renal vein thrombosis
  • 8.
    Studying the CTimage  In this sequence of images, we will label the abdominal vasculature. The CT images are 5mm slices with soft tissue window settings. IV and oral contrast have been administered which causes the vessels and GI tract to appear hyperdense (white). Some images will contain labels to assist with tracking the vessels.  IMAGES ARE VIEWED AS LOOKING FROM THE FEET RIGHT LEFT
  • 10.
    Follow the IVcontrast filled Aorta as we descend caudally. Branches and points of interest will be noted.
  • 14.
  • 15.
    This is anexcellent image of the right, middle and left hepatic veins draining into the Inferior Vena Cava. Don’t confuse this structure with the IVC, this is the esophagus at the level of the Lower esophageal sphincter, page up and down to confirm this.
  • 16.
    The outline ofthe Inferior Vena Cava is more distinct in this image.
  • 18.
    Portal Vein Branchinginto the Liver Liver Stomach
  • 21.
    More portal veinbranching into the liver lobes
  • 23.
    Splenic Artery. SplenicVein. Scroll up and down to confirm. Spleen
  • 24.
  • 25.
    Proper Hepatic Artery.Splenic Vein Portal vein Adrenal Glands
  • 26.
    You can seethe Celiac artery starting to branch from the Aorta. You can follow this down in the next four images Proper Hepatic Artery is labeled in the upper right The splenic vein and artery are in the lower left
  • 27.
    Proper Hepatic Arteryand Splenic Artery (the splenic artery is the circle). Splenic Vein
  • 28.
    Here the SplenicVein is emptying into the portal vein. Follow this up and down. Pancreas
  • 30.
    This is theSuperior Mesenteric Artery branching off the Aorta.
  • 31.
  • 32.
    Renal Veins emptyinginto the IVC. We also see the right renal artery branching off the Aorta, follow it down till you see it enter the right kidney. The Superior Mesenteric Vein is outlined on the top of this image. If you follow the SMV up, you will see it empty into the Portal Vein.
  • 33.
    Here we seethe right and left renal vein entering into the Inferior Vena Cava. We Also see the left renal artery branching off the aorta and heading toward the left kidney. Page up and down to trace these vessels.
  • 34.
    Superior Mesenteric Vein– follow it up as it joins the Splenic Vein to form the Portal Vein
  • 38.
  • 49.
    Note inferior mesentericartery emerging from aorta Inferior mesenteric vein extends cephalad to join smv.
  • 55.
    Aorta bifurcates intocommon illiac arteries Appendix is noted coiling in Rt. Lower quadrant Note air in lumen on adjacent scans Psoas muscles
  • 60.
    ABDOMINAL CYST An abdominalCT scan revealed a large right upper quadrant cyst measuring 14x17x21 cm ( lateral, anteroposterior and craniocaudal)There was mass effect upon the liver and duodenum. The cyst had a thin smooth wall with internal fluid and high density material consistent with a blood clot.
  • 61.
  • 62.
  • 63.
  • 64.
  • 65.
    ABDOMINAL ABSCESS Psoas abscess(blue arrow), and abscess dissecting anteriorly in transversalis fascia.
  • 66.
  • 67.
  • 68.
    PHEOCHROMOCYTOMA Pheochromocytoma is atumor of the adrenal gland that causes excess release of epinephrine and norepinephrine, hormones that regulate heart rate and blood pressure
  • 69.
  • 70.
  • 71.
  • 72.
  • 73.
  • 74.