DEPARTEMENT ILMU RADIOLOGI
FAKULTAS KEDOKTERAN
UNIVERSITAS KRISTEN INDONESIA
Jl. Mayjen Sutoyo No.2 Cawang – Jakarta 13650
Disusun oleh :
Fransiska Lumempouw 1261050302
RADIOLOGI
KEPANITERAAN KLINIK SMF RADIOLOGI RSU UKI
PERIODE 07 NOVEMBER 2016 – 10 DESEMBER 2016
FAKULTAS KEDOKTERAN UNIVERSITAS KRISTEN INDONESIA
JAKARTA
Spondilitis
Manifestasi
Klinis
Klasifikasi
Definisi
Inflamasi pada tulang vertebra yang biasa
disebabkan oleh beberapa hal, misalnya
proses infeksi dan imunitas.
Spondilitis
Ankilosa
Manifestasi
pada
tulang
Manifestasi
di luar
tulang
Spondilitis
Tuberkulosa
- Nyeri punggung(95%)
- Gejala neurologis 40-
50 % : kelemahan,
paresthesia, gejala usus
- Gejala sistemik 40-
50% : Demam, keringat
malam, penurunan
berat badanhttps://www1.imperial.ac.uk/resources/12EA1E66-395F-4A67-9A1F-B9BA5833671B/white.pdf
Radiologi Spondilitis Ankilosis
Spondilitis tb
(a) Clinical photograph of a 6 year old child reported with severe kyphosis following long segment tuberculosis of spine.
(b) lateral x-rays shows severe kyphosis with destruction of D5-9 vertebral bodies
(c) the lateral x-rays of the same patient taken 3 months before (which patient was carrying) also shows widening of prevertebral
soft tissue shadow seen as deviation of tracheal shadow in front of upper dorsal spine (white arrows).
http://www.ijoonline.com/viewimage.asp?img=IndianJOrthop_2014_48_2_136_128747_u3.jpg
• Soft tissue swelling +
osteoporosis periartikuler
• Ujung-ujung sendi kurang
nyata
• Ruang sendi : menyempit
• Pada anak-anak : Epiphisis
melebar
• Spine : * Destruksi anterior
adjacent korpus vertebra 
collaps  kyfosis (gibbus).
* Abses para vertebra
Spondiloarthrosis adalah kondisi dimana terjadi perubahan
degeneratif pada sendi intervertebralis antara corpus dan
diskus.
Spondiloarthrosis
Gejala Klinis
Leher (Cervical spine)
• Rasa sakit yang hilang timbul
• Nyeri yang menyebar ke bahu,
lengan, tangan, atau jari
• Kekakuan sendi pada bahu atau
leher sehingga membatasi
pergerakan setelah bangun tidur
• Mati rasa pada daerah leher atau
bahu
• Kelemahan atau kesemutan di
leher, bahu, lengan, tangan, atau
jari
• Sakit kepala di bagian belakang
kepala
• Kehilangan keseimbangan
Punggung tengah
(thoracal spine)
• Nyeri di bagian atas dan
pertengahan punggung
• Kaku punggung setelah bangun
tidur
• Terbatasnya gerak tulang
punggung
Punggung bawah
(Lumbal spine)
• Rasa sakit yang hilang timbul
• Kaku tulang punggung bagian
bawah
• Rasa sakit yang berkurang dengan
istirahat atau setelah berolahraga
• Mati rasa daerah sekitar pinggang
atau punggung bawah
• Kelemahan pada punggung bawah
• Sering terjadi kesemutan pada kaki
• Kesulitan berjalan
• Masalah usus atau kandung kemih
(ini jarang terjadi, tetapi mungkin
terjadi jika sumsum tulang
belakang dikompresi.)
Gambaran Radiologis
• Penyempitan ruang discus intervertebralis
• Perubahan kelengkungan vertebrae dan
penekanan saraf
• Osteofit/Spur formation di anterior ataupun
posterior vertebrae
• Pemadatan Corpus vertebrae
• Porotik (Lubang) pada tulang
• Vertebrae tampak seperti bambu (Bamboo Spine)
• Sendi sacroiliaca tidak tampak atau kabur
• Celah sendi menghilang
Gambar : Osteofit atau Spur Formation
Foto Lumbosakral :
• Allignment dan trabekulasi tulang normal
• Tidak tampak adanya fraktur corpus vertebrae
• Corpus vertebrae dan pedikel normal
• Diskus intervertebralis L4-L5 dan L5-S1 menyempit, diskus intervertebralis lainnya normal.
• Tampak osteofit pada vertebrae lumbal
Kesan : Suspect HNP L4-L5 dan L5-S1
Spondyloarthrosis lumbalis
Spondilolistesis
Spondilolistesis adalah kelainan yang disebabkan perpindahan ke
depan satu corpus vertebrae terhadap vertebrae dibawahnya.
Paling sering terjadi pada L4-L5
Manifestasi klinis
• Terbatasnya pergerakan
tulang belakang
• Kekakuan otot hamstring
• Tidak dapat memfleksikan
panggul dengan lutut
berekstensi penuh
• Hiperlordosis lumbal dan
thorakolumbal
• Hiperkifosis lumbosacral
junction
Gambaran Radiologi
• Terplesetnya vertebra
paling baik diperlihatkan
pada proyeksi lateral dari
tulang belakang lumbal
dan mungkin ditemukan
rongga diskus yang
hilang.
• Paling sering terjadi
setinggi L4/L5 dan L5/S1.
CT/MRI dapat menilai dan
adanya penyempitan
kanal tulang.
S P I N A B I F I D A
SPIDA BIFIDA
• Spina bifida berarti terbelahnya arcus vertebrae dan bisa
melibatkan jaringan saraf di bawahnya atau tidak.
• Spina bifida disebut juga myelodisplasia, yaitu suatu keadaan
dimana ada perkembangan abnormal pada tulang belakang,
spinal cord, saraf-saraf sekitar dan kantung yang berisa cairan
yang mengitari spinal cord.
• Gejala : Penonjolan seperti kantung di punggung tengah sampai
bawah pada bayi baru lahir. Jika disinari, kantung tersebut tidak
tembus cahaya. Kelumpuhan/kelemahan pada pinggul, tungkai
atau kaki. Penurunan sensasi. Inkontinensia urin maupun
inkontinensia tinja. Korda spinalis yang terkena rentan terhadap
infeksi (meningitis)
• http://elib.fk.uwks.ac.id/asset/archieve/jurnal/vol1.no2.Juli2011/SPINA%20BIFIDA.pdf
Types of spida bifida
• http://www.cdc.gov/ncbddd/spinabifida/facts.html
Foto Roentgen
• https://www.studyblue.com/notes/note/n/nuhs-radiology-final/deck/11719805
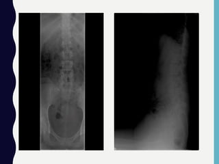
SAKRALISASI
Foto Pelvis, proyeksi AP, kondisi cukup, hasil :
• Tak tampak soft tissue swelling
• Struktur dan trabekulasi tulang baik
• Tak tampak diskontinuitas pada tulang pelvis
• Tampak facies articularis licin
• Tampak caput femoris bilateral berada di dalam fossa
acetabulum
• Tampak sacroiliaca dan hip joint bilateral tak melebar maupun
menyempit
• Tampak prosesus transversus L. V bilateral menempel pada
sakrum
Kesan :
Sakralisasi L. V
Sakralisasi Lumbal Vertebrae
Sakralisasi lumbar vertebra adalah kelainan kongenital yang
merupakan fusi dari sacral 1 (S1) dan lumbar 5 (L5) dan bisa
menyebabkan diskus intervertebralis menyempit. Fusi
tersebut dapat terjadi unilateral maupun bilateral.
Gejala patologis yang lain yaitu :
• Nyeri pada regio gluteal dan ekstremitas bawah
• Kehilangan sensasi kulit paha
• Nyeri lokal pada palpasi sepanjang spinal
• Penurunan mobilitas dari tulang belakang
LUMBALISASI
Lumbalisasi
• Lumbalisasi atau adanya 6 bukan 5 korpus
vertebra lumbalis merupakan variasi anatomik
yang tidak mengandung arti patologik.
• Bagian lumbal kolum vertebral seolah-olah
menjadi lebih panjang, hingga tekanan dan
tarikan pada daerah lumbal pada tiap gerakan
lebih besar daripada orang normal. Beban yang
lebih berat pada otot-otot dan ligament sering
menimbulkan NPB
• Gejala : Nyeri pinggang bawah/nyeri tulang
belakang
Foto Roentgen
Referensi
• https://www.scribd.com/doc/192469332/Referat-i-Diagnosis-
Dan-Penatalaksanaan-Spondilitis-Ankilosa
• Sjamsjulhidayat R., Jong W.D.2013.Buku Ajar Ilmu Bedah Edisi
3.Jakarta : EGC
• https://www.scribd.com/doc/257371831/Spondilolitesis
• https://www1.imperial.ac.uk/resources/12EA1E66-395F-4A67-
9A1F-B9BA5833671B/white.pdf
• http://www.nhs.uk/conditions/Spina-
bifida/Pages/Introduction.aspx
• http://www.cdc.gov/ncbddd/spinabifida/facts.html
• http://www.ninds.nih.gov/disorders/spina_bifida/spina_bifida_
brochure_508comp.pdf
• http://elib.fk.uwks.ac.id/asset/archieve/jurnal/vol1.no2.Juli201
1/SPINA%20BIFIDA.pdf

Penyakit vertebrae

  • 2.
    DEPARTEMENT ILMU RADIOLOGI FAKULTASKEDOKTERAN UNIVERSITAS KRISTEN INDONESIA Jl. Mayjen Sutoyo No.2 Cawang – Jakarta 13650 Disusun oleh : Fransiska Lumempouw 1261050302 RADIOLOGI KEPANITERAAN KLINIK SMF RADIOLOGI RSU UKI PERIODE 07 NOVEMBER 2016 – 10 DESEMBER 2016 FAKULTAS KEDOKTERAN UNIVERSITAS KRISTEN INDONESIA JAKARTA
  • 3.
  • 4.
    Manifestasi Klinis Klasifikasi Definisi Inflamasi pada tulangvertebra yang biasa disebabkan oleh beberapa hal, misalnya proses infeksi dan imunitas. Spondilitis Ankilosa Manifestasi pada tulang Manifestasi di luar tulang Spondilitis Tuberkulosa - Nyeri punggung(95%) - Gejala neurologis 40- 50 % : kelemahan, paresthesia, gejala usus - Gejala sistemik 40- 50% : Demam, keringat malam, penurunan berat badanhttps://www1.imperial.ac.uk/resources/12EA1E66-395F-4A67-9A1F-B9BA5833671B/white.pdf
  • 5.
  • 9.
    Spondilitis tb (a) Clinicalphotograph of a 6 year old child reported with severe kyphosis following long segment tuberculosis of spine. (b) lateral x-rays shows severe kyphosis with destruction of D5-9 vertebral bodies (c) the lateral x-rays of the same patient taken 3 months before (which patient was carrying) also shows widening of prevertebral soft tissue shadow seen as deviation of tracheal shadow in front of upper dorsal spine (white arrows). http://www.ijoonline.com/viewimage.asp?img=IndianJOrthop_2014_48_2_136_128747_u3.jpg • Soft tissue swelling + osteoporosis periartikuler • Ujung-ujung sendi kurang nyata • Ruang sendi : menyempit • Pada anak-anak : Epiphisis melebar • Spine : * Destruksi anterior adjacent korpus vertebra  collaps  kyfosis (gibbus). * Abses para vertebra
  • 10.
    Spondiloarthrosis adalah kondisidimana terjadi perubahan degeneratif pada sendi intervertebralis antara corpus dan diskus. Spondiloarthrosis
  • 11.
    Gejala Klinis Leher (Cervicalspine) • Rasa sakit yang hilang timbul • Nyeri yang menyebar ke bahu, lengan, tangan, atau jari • Kekakuan sendi pada bahu atau leher sehingga membatasi pergerakan setelah bangun tidur • Mati rasa pada daerah leher atau bahu • Kelemahan atau kesemutan di leher, bahu, lengan, tangan, atau jari • Sakit kepala di bagian belakang kepala • Kehilangan keseimbangan Punggung tengah (thoracal spine) • Nyeri di bagian atas dan pertengahan punggung • Kaku punggung setelah bangun tidur • Terbatasnya gerak tulang punggung Punggung bawah (Lumbal spine) • Rasa sakit yang hilang timbul • Kaku tulang punggung bagian bawah • Rasa sakit yang berkurang dengan istirahat atau setelah berolahraga • Mati rasa daerah sekitar pinggang atau punggung bawah • Kelemahan pada punggung bawah • Sering terjadi kesemutan pada kaki • Kesulitan berjalan • Masalah usus atau kandung kemih (ini jarang terjadi, tetapi mungkin terjadi jika sumsum tulang belakang dikompresi.)
  • 12.
    Gambaran Radiologis • Penyempitanruang discus intervertebralis • Perubahan kelengkungan vertebrae dan penekanan saraf • Osteofit/Spur formation di anterior ataupun posterior vertebrae • Pemadatan Corpus vertebrae • Porotik (Lubang) pada tulang • Vertebrae tampak seperti bambu (Bamboo Spine) • Sendi sacroiliaca tidak tampak atau kabur • Celah sendi menghilang
  • 14.
    Gambar : Osteofitatau Spur Formation
  • 15.
    Foto Lumbosakral : •Allignment dan trabekulasi tulang normal • Tidak tampak adanya fraktur corpus vertebrae • Corpus vertebrae dan pedikel normal • Diskus intervertebralis L4-L5 dan L5-S1 menyempit, diskus intervertebralis lainnya normal. • Tampak osteofit pada vertebrae lumbal Kesan : Suspect HNP L4-L5 dan L5-S1 Spondyloarthrosis lumbalis
  • 16.
    Spondilolistesis Spondilolistesis adalah kelainanyang disebabkan perpindahan ke depan satu corpus vertebrae terhadap vertebrae dibawahnya. Paling sering terjadi pada L4-L5
  • 17.
    Manifestasi klinis • Terbatasnyapergerakan tulang belakang • Kekakuan otot hamstring • Tidak dapat memfleksikan panggul dengan lutut berekstensi penuh • Hiperlordosis lumbal dan thorakolumbal • Hiperkifosis lumbosacral junction Gambaran Radiologi • Terplesetnya vertebra paling baik diperlihatkan pada proyeksi lateral dari tulang belakang lumbal dan mungkin ditemukan rongga diskus yang hilang. • Paling sering terjadi setinggi L4/L5 dan L5/S1. CT/MRI dapat menilai dan adanya penyempitan kanal tulang.
  • 19.
    S P IN A B I F I D A
  • 20.
    SPIDA BIFIDA • Spinabifida berarti terbelahnya arcus vertebrae dan bisa melibatkan jaringan saraf di bawahnya atau tidak. • Spina bifida disebut juga myelodisplasia, yaitu suatu keadaan dimana ada perkembangan abnormal pada tulang belakang, spinal cord, saraf-saraf sekitar dan kantung yang berisa cairan yang mengitari spinal cord. • Gejala : Penonjolan seperti kantung di punggung tengah sampai bawah pada bayi baru lahir. Jika disinari, kantung tersebut tidak tembus cahaya. Kelumpuhan/kelemahan pada pinggul, tungkai atau kaki. Penurunan sensasi. Inkontinensia urin maupun inkontinensia tinja. Korda spinalis yang terkena rentan terhadap infeksi (meningitis) • http://elib.fk.uwks.ac.id/asset/archieve/jurnal/vol1.no2.Juli2011/SPINA%20BIFIDA.pdf
  • 21.
    Types of spidabifida • http://www.cdc.gov/ncbddd/spinabifida/facts.html
  • 24.
  • 25.
  • 28.
    Foto Pelvis, proyeksiAP, kondisi cukup, hasil : • Tak tampak soft tissue swelling • Struktur dan trabekulasi tulang baik • Tak tampak diskontinuitas pada tulang pelvis • Tampak facies articularis licin • Tampak caput femoris bilateral berada di dalam fossa acetabulum • Tampak sacroiliaca dan hip joint bilateral tak melebar maupun menyempit • Tampak prosesus transversus L. V bilateral menempel pada sakrum Kesan : Sakralisasi L. V
  • 29.
    Sakralisasi Lumbal Vertebrae Sakralisasilumbar vertebra adalah kelainan kongenital yang merupakan fusi dari sacral 1 (S1) dan lumbar 5 (L5) dan bisa menyebabkan diskus intervertebralis menyempit. Fusi tersebut dapat terjadi unilateral maupun bilateral. Gejala patologis yang lain yaitu : • Nyeri pada regio gluteal dan ekstremitas bawah • Kehilangan sensasi kulit paha • Nyeri lokal pada palpasi sepanjang spinal • Penurunan mobilitas dari tulang belakang
  • 31.
  • 32.
    Lumbalisasi • Lumbalisasi atauadanya 6 bukan 5 korpus vertebra lumbalis merupakan variasi anatomik yang tidak mengandung arti patologik. • Bagian lumbal kolum vertebral seolah-olah menjadi lebih panjang, hingga tekanan dan tarikan pada daerah lumbal pada tiap gerakan lebih besar daripada orang normal. Beban yang lebih berat pada otot-otot dan ligament sering menimbulkan NPB • Gejala : Nyeri pinggang bawah/nyeri tulang belakang
  • 33.
  • 34.
    Referensi • https://www.scribd.com/doc/192469332/Referat-i-Diagnosis- Dan-Penatalaksanaan-Spondilitis-Ankilosa • SjamsjulhidayatR., Jong W.D.2013.Buku Ajar Ilmu Bedah Edisi 3.Jakarta : EGC • https://www.scribd.com/doc/257371831/Spondilolitesis • https://www1.imperial.ac.uk/resources/12EA1E66-395F-4A67- 9A1F-B9BA5833671B/white.pdf • http://www.nhs.uk/conditions/Spina- bifida/Pages/Introduction.aspx • http://www.cdc.gov/ncbddd/spinabifida/facts.html • http://www.ninds.nih.gov/disorders/spina_bifida/spina_bifida_ brochure_508comp.pdf • http://elib.fk.uwks.ac.id/asset/archieve/jurnal/vol1.no2.Juli201 1/SPINA%20BIFIDA.pdf

Editor's Notes

  • #6 Patofisiologi : Spondilitis ankilosis menyerang tulang rawan dan fibrokartilago sendi pada tulang belakang dan ligamen – ligamen para vertebral. Apabila diskusvertebral  juga terinvasi oleh jaringan vaskular dan fibrosa maka akan timbul kalsifikasi sendi- sendi dan struktur artikular . Kalsifikasi yang terjadi pada jaringan lunak akan menjembatani satu tulang vertebra dengan vertebra lainnya.Jaringan sinovial disekitar sendi yang terserang akan meradang .Penyakit jantung juga dapat timbul bersamaan dengan penyakit ini.
  • #10 Patofisiologi Destruksi berjalan lambat (lokal osteolysis) Dimulai : bagian depan korpus vertebra + osteoporosis sekitar Penyebaran perkejuan : - formasi tulang baru tidak terbentuk - sequestrum Jaringan granulasi menembus kortek yang tipis Abses para vertebra meliputi beberapa korpus, di bawah LL Ant dan Post Diskus : Menyempit (dehidrasi  destruksi) Destruksi korpus anterior yang lanjut  kyphotic deformity (gibbus)
  • #11 Spondiloarthrosis merupakan bagian dari osteoarthritis yang juga dapat menghasilkan perubahan degeneratif pada sendi – sendi synovial sehingga dapat terjadi pada sendi – sendi apophyseal tulang belakang. Secara klinis kedua perubahan degeneratif tersebut terjadi secara bersamaan (hamdy, 2010).
  • #21 Spina bifida adalah kelainan neural tube ( neural tube defect ) yang terjadi akibat kegagalan neural tube untuk menutup dengan sempurna. Angka kejadian 1 per 1000 kelahiran. Spina bifida terdiri dari sebuah hiatus yang biasanya terletak dalam vertebra lumbosakralis, dan lewat hiatus ini menonjol sakus meningus sehingga terbentuk meningokel. Jika sakus tersebut juga berisi medulla spinalis, anomali tersebut dinamakan mielomeningokel. Gejala bervariasi tergantung kepada beratnya kerusakan pada korda spinalis dan akar saraf yang terkena. Beberapa anak memiliki gejala ringan atau tanpa gejala, sedangkan yang lainnya mengalami kelumpuhan pada daerah yang dipersarafi oleh korda spinalismaupun nakar saraf yang terkena.
  • #22 Myelomeningocele (terdengar seperti: my-rendah-ma-nin-jo-seal; mendengar bagaimana "myelomeningocele" terdengar) Ketika orang berbicara tentang spina bifida, paling sering mereka mengacu pada myelomeningocele. Myelomeningocele adalah jenis yang paling serius dari spina bifida. Dengan kondisi ini, kantung cairan datang melalui sebuah lubang di punggung bayi. Bagian dari sumsum tulang belakang dan saraf berada di kantung ini dan rusak. Jenis spina bifida menyebabkan moderat untuk cacat berat, seperti masalah yang mempengaruhi bagaimana orang pergi ke kamar mandi, hilangnya rasa di kaki atau kaki seseorang, dan tidak bisa menggerakkan kaki. Meningocele (terdengar seperti: ma-nin-jo-seal; mendengar bagaimana "meningocele" terdengar) Tipe lain dari spina bifida adalah meningocele. Dengan meningocele kantung cairan datang melalui sebuah lubang di punggung bayi. Tapi, sumsum tulang belakang tidak dalam kantung ini. Biasanya ada kerusakan saraf sedikit atau tidak ada. Jenis spina bifida dapat menyebabkan cacat minor. Spina Bifida Occulta (terdengar seperti: o-kultus-tuh; mendengar bagaimana "occulta" terdengar) Spina bifida occulta adalah jenis paling ringan dari spina bifida. Hal ini kadang-kadang disebut "tersembunyi" spina bifida. Dengan itu, ada celah kecil di tulang belakang, tapi tidak ada pembukaan atau kantung di bagian belakang. Sumsum tulang belakang dan saraf biasanya normal. Banyak kali, spina bifida occulta tidak ditemukan sampai akhir masa kanak-kanak atau dewasa. Jenis spina bifida biasanya tidak menyebabkan cacat apapun. Spina bifida disebabkan oleh kegagalan dari tabung saraf untuk menutup selama bulanpertama embrio pembangunan (sering sebelum ibu tahu dia hamil). Biasanya penutupantabung saraf terjadi pada sekitar 28 hari setelah pembuahan. Namun, jika sesuatu yangmengganggu dan tabung gagal untuk menutup dengan baik, cacat tabung saraf akanterjadi. Obat seperti beberapa Antikonvulsan, diabetes, setelah seorang kerabat denganspina bifida, obesitas, dan peningkatan suhu tubuh dari demam atau sumber-sumbereksternal seperti bak air panas dan selimut listrik dapat meningkatkan kemungkinanseorang wanita akan mengandung bayi dengan spina bifida. Namun, sebagian besarwanita yang melahirkan bayi dengan spina bifida tidak punya faktor risiko tersebut,sehingga meskipun banyak penelitian, masih belum diketahui apa yang menyebabkanmayoritas kasus. Beragam spina bifida prevalensi dalam populasi manusia yang berbedadan bukti luas dari strain tikus dengan spina bifida menunjukkan dasar genetik untuk kondisi. Seperti manusia lainnya penyakit seperti kanker, hipertensi dan aterosklerosis(penyakit arteri koroner), spina bifida kemungkinan hasil dari interaksi dari beberapa gendan faktor lingkungan. Penelitian telah menunjukkan bahwa kekurangan asam folat(folat) adalah faktor dalam patogenesis cacat tabung saraf, termasuk spina bifida.