Imaging of vasculitis 
Dr/Ahmed Bahnassy 
Consultant Radiologist 
PSMMC
WHAT IS VASCULITIS? 
• Vasculitis is a clinicopathologic 
process characterized by inflammation 
and damage to blood vessels,leading 
to compromise of the vascular lumen 
resulting in ischemia of the tissues 
supplied by the involved vessels.
3 
pathogenesis 
• Immune complex production & 
deposition 
• Production of ANCA 
• T-Lymphocyte response and 
granuloma formation 
group of autoantibodies, mainly IgG , 
detected in autoimmune disorders, 
particularly systemic vasculitis
Pathological 
process
Steps of thinking 
1.Which vessels are affected ? 
arteries,veins ,or both. 
2.which arteries are affected? 
Large,medium or small sized. 
3.How vessels are affected? 
stenosis ,occlusion ,aneurysm 
venous thrombosis (acute or chronic) 
4.what secondary effects of vascular affection are 
present? 
e.g.: infarction,bowel ischaemia
5.Look in other sites for syndromic vasculitis 
e.g. :Lungs (wegener granulomatosis). 
6.Estimate disease activity 
Ultrasound (( ffoorr aacccceessiibbllee aarrtteerriieess.. 
CCTT 
MMRRII 
PPEETT
Differential diagnosis
Large vessel vasculitis 
• Giant cell arteritis 
• Takayasu’s arteritis
Medium vessel Vasculitis 
• Poly Arteritis Nodosa 
• Kawasaki’s vasculitis
Small vessel Vasculitis 
Pauci-immune (ANCA mediated) 
Wegener’s Granulomatosis 
Churg Strauss vasculitis 
Microscopic Polyangiitis 
Immune complex mediated 
Henoch Schonlein Purpura 
Essential Mixed Cryoglobulinemia 
SLE and other collagen c=vascular diseases 
related vascultis
Other primary vasculitides 
• Thromb Angiitis Obliterans 
• Behcet’s disease 
• Idiopathic Cutaneous vasculitis 
• Isolated Vasculitis of CNS 
• Relapsing Polychondritis 
• Polyangiitis overlap syndromes (features 
of more than 1 vasculitis)
Giant cell arteritis 
• Temporal arteritis 
• Elderly persons more than 50 yrs. of age 
• Non specific symptoms, Headache, 
Elevated ESR 
• BLINDNESS-most serious complication 
• Jaw claudication, Scalp pain, Scalp 
Tenderness 
• Polymyalgia Rheumatica.
Takayasu’s Arteritis 
• Pulseless Disease 
• Middle aged females 
• Aorta and its branches mainly involved 
• Subclavian vessels, Carotid vessels, 
Mesentric vessels 
• Chronic and Relapsing course
Poly Arteritis Nodosa 
• Renal arteries most commonly involved 
leading to renovascular hypertension 
• Pulmonary vessels NEVER involved 
• Association with patients of 
o Hepatitis B 
o Hairy cell leukemia
Kawasaki’s Vasculitis 
• MucoCutaneous Lymph node 
syndrome 
• Children < 5 years of age 
mostly 
• Desquamative erythematous 
rashes involving the skin, 
mucus membranes, cervical 
lymphadenopathy 
• 25 % develop coronary artery 
aneurysms in the convalescent 
stage of the illness
Pauci immune Vasculitis 
Usually Pulmonary capillaritis PLUS 
Glomerulonephritis 
•Granulomas +, Asthma +  Churg Strauss 
•Granulomas +, NO asthma  Wegener’s 
•NO granulomas, NO asthma  
Microscopic Polyangiitis
Wegener’s Granulomatosis 
• Chronis sinusitis, Pulmonary nodules, 
Pulmonary cavities, Rapidly Progressive 
Glomerulonephritis 
• Cutaneous vasculitis, Eye lesions may be 
present 
• Non specific symptoms may predominate
Churg Strauss Vasculitis 
• Asthma, Eosinophilia with pulmonary 
infiltrates , glomerulonephritis 
• Myocardial involvement  most common 
cause of death 
Microscopic Polyangiitis 
• Pulmonary alveolar capillariitis, 
glomerulonephritis
Henoch Schonlein Purpura 
• 2nd decade 
• Palpable purpura over 
lower limbs, 
• Gastrointestinal 
complaints (abd.colicky 
pain, blood in stools), 
• Fever, polyarthralgia 
• Increased IgA levels in 
blood
role of imaging ?
Essential Mixed Cryoglobulinemia 
• 5 % of Chronic Hepatits C pts. Have EMC 
• Cryoglobulins formed agianst HCV RNA 
• Pulmonary, renal ( MPGN ), cutaneous 
vasculitis
Thromb Angiitis Obliterans 
• Chronic heavy Smokers 
• Inflammation of arteries, veins, nerves 
• Upper and lower limb gangrene, Instep 
claudication, rest pain
Other primary vasculitides 
• Behcet’s disease (Recurrent 
OculoOroGenital ulcerations with 
vasculitis)
Other primary vasculitides 
• Idiopathic Cutaneous vasculitis 
• Isolated Vasculitis of CNS 
• Relapsing Polychondritis 
• Polyangiitis overlap syndromes (features 
of more than 1 vasculitis)
Pearls in requesting 
imaging study 
Angiography is useful in demonstrating vessel lumen alterations such 
as stenoses or aneurysms. However, it is unable to reveal initial 
vasculitic lesions such as vessel wall oedema and thickening, and is 
thus not useful to diagnose vasculitis early.
CDS, CT angiography, MRI and MRA are 
able to delineate both the vessel wall 
and the lumen. Therefore, they can reveal 
vessel wall alterations when the lumen is 
still unaffected on angiography
18 FDG PET does not 
delineate the vessel wall, 
but is very sensitive in 
revealing 
vessel wall inflammation. 
It is particularly useful to 
make a diagnosis and 
disclose the extent of 
large vessel vasculitis, as 
well as to monitor the 
disease course.
other pearls 
Not every vessel with active disease on 
imaging will develop structural changes 
Vessels that appear to be unaffected on 
imaging at a given time may still develop 
alterations at a later stage 
CT is the investigation of choice for 
demonstrating lung lesions 
MRI is the most appropriate technique to 
study brain involvement 
MRI has shown promising results in the 
evaluation of muscle disease
Imaging of vasculitis

Imaging of vasculitis

  • 1.
    Imaging of vasculitis Dr/Ahmed Bahnassy Consultant Radiologist PSMMC
  • 2.
    WHAT IS VASCULITIS? • Vasculitis is a clinicopathologic process characterized by inflammation and damage to blood vessels,leading to compromise of the vascular lumen resulting in ischemia of the tissues supplied by the involved vessels.
  • 3.
    3 pathogenesis •Immune complex production & deposition • Production of ANCA • T-Lymphocyte response and granuloma formation group of autoantibodies, mainly IgG , detected in autoimmune disorders, particularly systemic vasculitis
  • 4.
  • 5.
    Steps of thinking 1.Which vessels are affected ? arteries,veins ,or both. 2.which arteries are affected? Large,medium or small sized. 3.How vessels are affected? stenosis ,occlusion ,aneurysm venous thrombosis (acute or chronic) 4.what secondary effects of vascular affection are present? e.g.: infarction,bowel ischaemia
  • 6.
    5.Look in othersites for syndromic vasculitis e.g. :Lungs (wegener granulomatosis). 6.Estimate disease activity Ultrasound (( ffoorr aacccceessiibbllee aarrtteerriieess.. CCTT MMRRII PPEETT
  • 7.
  • 8.
    Large vessel vasculitis • Giant cell arteritis • Takayasu’s arteritis
  • 9.
    Medium vessel Vasculitis • Poly Arteritis Nodosa • Kawasaki’s vasculitis
  • 10.
    Small vessel Vasculitis Pauci-immune (ANCA mediated) Wegener’s Granulomatosis Churg Strauss vasculitis Microscopic Polyangiitis Immune complex mediated Henoch Schonlein Purpura Essential Mixed Cryoglobulinemia SLE and other collagen c=vascular diseases related vascultis
  • 11.
    Other primary vasculitides • Thromb Angiitis Obliterans • Behcet’s disease • Idiopathic Cutaneous vasculitis • Isolated Vasculitis of CNS • Relapsing Polychondritis • Polyangiitis overlap syndromes (features of more than 1 vasculitis)
  • 12.
    Giant cell arteritis • Temporal arteritis • Elderly persons more than 50 yrs. of age • Non specific symptoms, Headache, Elevated ESR • BLINDNESS-most serious complication • Jaw claudication, Scalp pain, Scalp Tenderness • Polymyalgia Rheumatica.
  • 13.
    Takayasu’s Arteritis •Pulseless Disease • Middle aged females • Aorta and its branches mainly involved • Subclavian vessels, Carotid vessels, Mesentric vessels • Chronic and Relapsing course
  • 14.
    Poly Arteritis Nodosa • Renal arteries most commonly involved leading to renovascular hypertension • Pulmonary vessels NEVER involved • Association with patients of o Hepatitis B o Hairy cell leukemia
  • 15.
    Kawasaki’s Vasculitis •MucoCutaneous Lymph node syndrome • Children < 5 years of age mostly • Desquamative erythematous rashes involving the skin, mucus membranes, cervical lymphadenopathy • 25 % develop coronary artery aneurysms in the convalescent stage of the illness
  • 16.
    Pauci immune Vasculitis Usually Pulmonary capillaritis PLUS Glomerulonephritis •Granulomas +, Asthma +  Churg Strauss •Granulomas +, NO asthma  Wegener’s •NO granulomas, NO asthma  Microscopic Polyangiitis
  • 17.
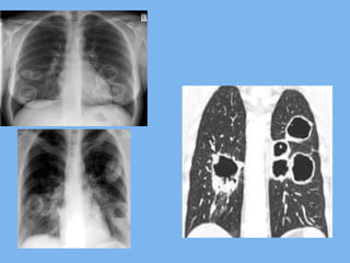
    Wegener’s Granulomatosis •Chronis sinusitis, Pulmonary nodules, Pulmonary cavities, Rapidly Progressive Glomerulonephritis • Cutaneous vasculitis, Eye lesions may be present • Non specific symptoms may predominate
  • 19.
    Churg Strauss Vasculitis • Asthma, Eosinophilia with pulmonary infiltrates , glomerulonephritis • Myocardial involvement  most common cause of death Microscopic Polyangiitis • Pulmonary alveolar capillariitis, glomerulonephritis
  • 21.
    Henoch Schonlein Purpura • 2nd decade • Palpable purpura over lower limbs, • Gastrointestinal complaints (abd.colicky pain, blood in stools), • Fever, polyarthralgia • Increased IgA levels in blood
  • 22.
  • 23.
    Essential Mixed Cryoglobulinemia • 5 % of Chronic Hepatits C pts. Have EMC • Cryoglobulins formed agianst HCV RNA • Pulmonary, renal ( MPGN ), cutaneous vasculitis
  • 24.
    Thromb Angiitis Obliterans • Chronic heavy Smokers • Inflammation of arteries, veins, nerves • Upper and lower limb gangrene, Instep claudication, rest pain
  • 26.
    Other primary vasculitides • Behcet’s disease (Recurrent OculoOroGenital ulcerations with vasculitis)
  • 27.
    Other primary vasculitides • Idiopathic Cutaneous vasculitis • Isolated Vasculitis of CNS • Relapsing Polychondritis • Polyangiitis overlap syndromes (features of more than 1 vasculitis)
  • 28.
    Pearls in requesting imaging study Angiography is useful in demonstrating vessel lumen alterations such as stenoses or aneurysms. However, it is unable to reveal initial vasculitic lesions such as vessel wall oedema and thickening, and is thus not useful to diagnose vasculitis early.
  • 29.
    CDS, CT angiography,MRI and MRA are able to delineate both the vessel wall and the lumen. Therefore, they can reveal vessel wall alterations when the lumen is still unaffected on angiography
  • 30.
    18 FDG PETdoes not delineate the vessel wall, but is very sensitive in revealing vessel wall inflammation. It is particularly useful to make a diagnosis and disclose the extent of large vessel vasculitis, as well as to monitor the disease course.
  • 31.
    other pearls Notevery vessel with active disease on imaging will develop structural changes Vessels that appear to be unaffected on imaging at a given time may still develop alterations at a later stage CT is the investigation of choice for demonstrating lung lesions MRI is the most appropriate technique to study brain involvement MRI has shown promising results in the evaluation of muscle disease