VASCULITIS.
 It means ―inflammation of the walls of the
vessels‖ and can be associated to many
different clinical conditions.
CLASSIFICATION.
*Direct Infection.
-Bacterial(Neisseria)
-Rickettsial(spotted fever)
-Spirochetal(Syphilis)
-Fungal(aspergillosis)
-Viral(herpes zoster)
VASCULITIS.
CLASSIFICATION.(cont.)
 *Immunologic.
A. Immune complex- mediated.
-Infection-induced(Hepatitis B,C)
-Henoch-Schonlein purpura
-SLE, etc.
-Drug-induced
-Cryoglobulinemia(Ig, IgM)
-Serum sickness
VASCULITIS.
CLASSIFICATION.(cont.)
 B. ANCA-mediated.
-Wegener granulomatosis
-Microscopic polyangeitis
-Churg-Strauss syndrome
C. Direct Ab-induced
-Goodpasture syndrome(anti-GBM
Abs) -Kawasaki
disease(anti-endoth.Ab)
VASCULITIS.
CLASSIFICATION.(cont.)
 D. Cell-mediated.
-Organ-allograft rejection
-Inflammatory bowel disease
-Paraneoplastic vasculitis
*Unknown.
-Giant.cell arteritis
-Takayasu arteritis
-Polyarteritis nodosa
Classification
CLASSIFICATION TREE
Vasculitis
Large Blood Vessel
• Temporal Arteritis
• Takayasu Arteritis
Medium Blood Vessel
• Polyarteritis Nodosa
• Kawasaki’s Disease
Small Blood Vessel
ANCAAssociated
• Wegener’s Granulomatosis
• Churg-Strauss Vasculitis
• Microscopic Polyangiitis
• Drug Induced
Non-ANCAAssociated
Immune Complex
• Hypersensitivity Vasculitis
• Cryoglobulinemic Vasculitis
• CTD related Vasculitis
• Henoch Schonlein Purpura
• Behcet’s
Miscellaneous
• Paraneoplastic Vasculitis
• Inflammatory Bowel Disease
GIANT CELL
(TEMPORAL)
ARTERITIS
GIANT CELL (TEMPORAL)
ARTERITIS.
 A vasculitis of unknown etiology occurring
primarily in the elderly. Other terms
commonly used include temporal arteritis,
cranial arteritis and granulomatous arteritis.
 Is the MOST common form of systemic
vasculitis in adults, acute or chronic, often
granulomatous inflammation of large/small
size. It affects temporal arteries, but also
vertebral, ophtalmic (blindness) and aorta
(aneurysm)
 Involved arteries have nodular thickening
reduction of lumenthrombosis.
Granulomatous inflammation in inner half of
media with mononuclear cells+ giant cells.
GIANT CELL (TEMPORAL)
ARTERITIS.
 CLINICAL: old patients with:
◦ fever,
◦ fatigue,
◦ loss of weight,
◦ with or w/o facial pain and headache.
GIANT CELL (TEMPORAL)
ARTERITIS.
 Others, with more severe form and
involvement of ophtalmic arterydiplopia
or blindness of abrupt onset.
Dx.: significantly elevated ESR + arterial
biopsy.
TAKAYASU ARTERITIS.
TAKAYASU ARTERITIS.
 Takayasu’s arteritis is a chronic
inflammatory disorder of unknown
etiology primarily affecting the aorta
and its major branches.
 Predominant in females below 40´s
w/probable autoimmune mechanism,
 Arteritis may also affects pulmonary
arteries in ½ of cases as well as
coronary/renal arteries.
Aortic arch
arteriogram in a
patient with
Takayasu‘s arteritis.
Smooth tapered
stenosis of bilateral
common carotid
arteries (upper
arrows) and of the
right subclavian
artery (lower arrow)
can be seen. There is
poststenotic
dilatation beyond the
left common carotid
narrowed segment.
Total involvement is
seen along the
TAKAYASU ARTERITIS.(cont.)
 MICROSCOPIC: mononuclear infiltration of
adventiciamid-layer with involvement of
vasa vasorum.
TAKAYASU ARTERITIS.(cont.)
 CLINICAL:
◦ reduced brachial pulse,
◦ difference in BP between R & L arm >10 mm
Hg,
◦ Coldness + numbness of fingers,
◦ bruising above a subclavia and/or aorta,
◦ hypertension, visual defectsblindness.
POLYARTERITIS
NODOSA
POLYARTERITIS NODOSA
 Is a small/medium sized arteritis affecting
multiple organs (skin, peripheral nerves,
gut, kidney and heart.
 Age of onset is from childhoodlate
adulthood (average
40´s) and it has been associated
w/Hepatitis B,C or both (most common in
injection drug abusers).
 Probably mediated by immune complexes
(Igs + viral Ags)circulating and
deposited in inflammed vessels.
POLYARTERITIS NODOSA
 CLINICAL: onset is gradual (wksmos.)
and nonspecific:
◦ malaise,
◦ fever,
◦ weight loss,
◦ abdominal pain,
◦ melena,
◦ myalgias,
◦ muscular weakness
POLYARTERITIS NODOSA
◦ diastolic pressure >90 mm Hg,
◦ mononeuropathy or polyneuropathy
◦ palpable purpura,
◦ livedo reticularis,
◦ digital gangrene or tender nodules
POLYARTERITIS NODOSA
◦ Renal involvementhypertension.
◦ In GI tract abdominal angina (hemorrhage,
perforation).
◦ In heart: myocarditis/myocardial infarction.
◦ Eye: scleritis.
POLYARTERITIS NODOSA
 Dx.
◦ Elevated BUN or creatinine
◦ Proven hepatitis B/C virus infection
◦ Angiographic signs of
aneuryms/vascular
occlusion
◦ Demonstration of granulocytes in small
or medium sized vessels (biopsy).
BUERGER´S DISEASE
 Also known as Thromboangiitis obliterans,
is characterized by segmental thrombosis
+ acute/chronic inflammation of medium
and small arteries MOSTLY
tibial and radial arteries, and secondarily
involvement of veins and nerves of limbs.
 Apparently heavy cigarette-smokers are
MOST frequently affected (endoth. cells
hypersensitivity?)
BUERGER´S DISEASE
 Microscopically: acute + chronic
inflammation in arterial walls +
thrombosisorganization/recanalization.
 Also, thrombosis contains microabscesses
+ granulomatous inflammationextension
to veins/nerves.
 Late complication: chronic ulceration of
toes or fingersgangrene.
BUERGER´S DISEASE
 CLINICAL:
Claudication in feet and/or hands
sometimes centrally
radiated. Also, numbness and/or tingling
in limbs + Raynaud´s phenomenon.
Skin ulcerations + gangrene of digits
KAWASAKI DISEASE
KAWASAKI DISEASE
(Mucocutaneous lymph node
syndrome).
 Is an arteritis that frequently affects coronary
arteries USUALLY in children/infants
(about 80% are < 4 yrs old)
 Associated w/mucocutaneous lymph node
syndrome of acute and self-limited evolution:
◦ fever, conjunctivitis, sore throat,
◦ generalized rash, redding of palms/soles,
peeling of fingers/ toes and mucopurulent
cervical lymphadenopathy.
 It is epidemic in Japan, Hawaii and US
KAWASAKI DISEASE
 Dx.:
◦ Leukocytosis (PMN´s), thrombocytosis.
◦ Some children have ANCA+ in plasma
and
◦ Aprox.1/5 of patients involvement of
coronary arteries/myocardium 
aneurysm/myocarditis that usually
resolves spontaneously(mortality 2%).
Behçet’s Syndrome
 A systemic vasculitis of unknown cause
with mucocutaneous and frequent ocular
and musculoskeletal involvement.
 A marked geographic distribution is
characterized by highest prevalence in
Turkey, Iran and Japan.
Behçet’s Syndrome: Clinical
features
 Recurrent oral and/or genital aphthous
ulceration.
 Chronic relapsing uveitis leading to
blindness in 10% of all cases.
 A variety of skin manifestations, including
the ‗pathergy‘ phenomenon.
 Musculoskeletal, neurologic, major artery
and vein involvement.
 An undulating course that generally
abates in intensity with the passage of
time.
MICROSCOPIC
POLYANGIITIS
MICROSCOPIC
POLYANGIITIS
 It affects arterioles, capillaries and
venules (smaller than PAN) and
the leions are in the same stage.
 Typically presents as ―palpable purpura‖
(skin), but also with mucous membranes,
lungs, brain, heart, GI tract, kidneys,
muscle, PNS.
MICROSCOPIC POLYANGIITIS
 CLINICAL:
◦ Necrotizing GN (90%)hematuria
◦ Lungshemoptysis
◦ GI tractabdominal pain
◦ Jointsarthralgias
◦ Weight loss(>70%)
◦ Nerve damage(60%)numbness/tingling in
limbs.
◦ Chronically: muscle wasting
◦ Skin: purpura(>60%) in legs, feet, buttocks
MICROSCOPIC POLYANGIITIS
 About 70% of patients may have a clear
relation with a recent immunologic
reaction to an Ag (drugs, microrganisms,
tumor Ags,etc) having + pANCAS.
 MPA is quite similar histologically to PAN
microscopic changes EXCEPT that
muscular/large
arteries are usually spared.
 It reminds Wegener vasculitis BUT w/o
granulomatosis.
CHURG-STRAUSS SYNDROME
 Asthma is the cardinal clinical feature of CSS (8-
10 yrs BEFORE symptoms of vasculitis) with 8-10
yrs of evolutionrespiratory failure.
 Eosinophilia(>10% in CBC)
 Allergy
 Mono/polyneuropathy(ocular symptoms)
 Lung hemorrhage, pleural effusion, pulmonary
infiltrates
 Changes in paranasal sinuses
 Eosinophilic granulomatosis vasculitis/perivasc.
 Abdominal cramps/heart failure(myocarditis)
Wegener’s
Granulomatosis
History of Wegener’s
 In 1936, Wegener first described a distinct
syndrome in three patients found to have
necrotizing granulomas involving the
upper and lower respiratory tract.
 In 1954, seven more patients described,
resulting in definite criteria
Criteria for Classification
 Nasal or oral inflammation
◦ Development of painful or painless oral ulcers or purulent
or bloody nasal discharge
 Abnormal chest radiograph
◦ Chest radiograph showing the presence of nodules, fixed
infiltrates, or cavities
 Abnormal Urinary sediment
◦ Microhematuria (>5 red blood cells per high power field)
or red cell casts in urine sediment
 Granulomatous inflammation on
biopsy
◦ Histologic changes showing granulomatous inflammation
within the wall of an artery or in the perivascular or
extravascular area (artery or arteriole)
* For purposes of classification, a patient shall be said to have
Wegener's granulomatosis if at least 2 of these 4 criteria are
present. The presence of any 2 or more criteria yields a sensitivity
of 88.2% and a specificity of 92.0%
Classic Symptoms
 Upper respiratory tract
◦ sinuses
◦ nose
◦ ears
◦ trachea
 Lungs
 Kidneys
Eye
Scleritis
Uveitis
Orbital
pseudotum
or
/proptosis
Upper Respiratory
Tract
Ear
Ear infections that are slow to
resolve.
Recurrent otitis media.
Decrease in hearing.
Upper Respiratory Tract
Nose
 Nasal crusting
 Frequent
nosebleeds
 Erosion and
perforation of
the nasal
septum.
◦ The bridge of the nose can
collapse resulting in a
―saddle–nose deformity‖.
Upper Respiratory Tract
Sinuses/Trachea
 Sinuses
◦ Chronic sinus
inflammation
 Trachea
◦ subglottic stenosis
Lungs
 Nodules
 Alveolar
opacities
 Pleural
opacities
 Diffuse hazy
opacities (which
may reflect alveolar
hemorrhage)
Kidney
 Glomerulonephritis w/ associated
hematuria and proteinuria
 Can lead to renal failure if not treated
aggressively
 Active urine sediment: red blood cell casts
RBC casts
Skin
 ―palpable purpura‖
most common
 Raynaud‘s
phenomenon—due
to inadequate
blood flow to
fingers and toes
 Ulcers
Miscellaneous
 Joints
◦ Arthritis can occur, with joint swelling and
pain
 Nerves
◦ Peripheral nerve involvement leads to
numbness, tingling, shooting pains in the
extremities, and sometimes to weakness in
a foot, hand, arm, or leg
 Meninges
 Prostate gland
 Genito–urinary tract
 Constitutional symptoms of fatigue, low–
grade fever, and weight loss
Incidence of symptoms
Symptom At Onset
Total
 ENT 75% 95%
 Lung 50 85
 Joints 30 70
 Fever 25 50
 Kidney 20 75
 Cough 20 50
 Eye 15 50
 Skin 15 45
 Weight Loss 10 35
 Nervous System (Central/Peripheral) 0 10/15
One-third of patients may be without symptoms at onset of
disease
Pathogenesis
ANCA
 ANCAs may be not only markers for
Wegener's granulomatosis and related
disorders, but they may also be actors in
pathogenesis
 Neutrophils exposed to cytokines such as
TNF, express PR3 & MPO (the targets for
ANCAs)
 Adding ANCAs to these cytokine-primed
neutrophils causes them to generate
oxygen radicals and release enzymes
capable of damaging blood vessels.
Anti-Neutrophil Cytoplasmic
Antibody Immunofluorescence
c-ANCA
Anti-Neutrophil Cytoplasmic
Antibody Immunofluorescence
Anti-Neutrophil Cytoplasmic
Antibody Immunofluorescence
p-ANCA
Anti-Neutrophil Cytoplasmic
Antibody Immunofluorescence
Diagnosis
 Nasal or oral inflammation
◦ Development of painful or painless oral ulcers or
purulent or bloody nasal discharge
 Abnormal chest radiograph
◦ Chest radiograph showing the presence of nodules, fixed
infiltrates, or cavities
 Abnormal urinary sediment
◦ Microhematuria (>5 red blood cells per high power field)
or red cell casts in urine sediment
 Granulomatous inflammation on
biopsy
◦ Histologic changes showing granulomatous inflammation
within the wall of an artery or in the perivascular or
extravascular area (artery or arteriole)
Criteria for Classification
Management
 Vasculitides are often serious and
sometimes fatal
- require prompt recognition and therapy
 Treatment – helpful
- particularly in the acute phase
 During maintenance therapy
- adverse effects
- superimposed infections
Management cont.
 Early deaths – due to active disease
Late deaths – may be due to the
complications of therapy
 The risk-versus-benefit ratio of any
therapeutic approach should be weighed
carefully
Management cont.
 Glucocorticoides and/or
immunosuppressive therapy should be
instituted immediately in diseases where
irreversible organ system dysfunction and
high morbidity and mortality have been
clearly established
 Aggressive therapy should be avoided for
vasculitic manifestations that rarely
results in irreversible organ system
dysfunction and that usually do not
respond to such therapy
Management cont.
Treatment of aggressive small vessel vasculitis
1. Induction of remission
2. Maintenance of remission
3. Treatment of relapse
Induction therapy (to 3 months after remission, usually 6
months from diagnosis)
 Cyclophosphamide 2.0mg/kg/day (maximum
200mg/day)
Age > 60years, reduce dose by 25%
> 75years, by 50%
 Prednisolone 1mg/kg/day (maximum 80mg/day)
reduced weekly to 25mg/day by 8 weeks and then
more slowly to 10mg/day by 6 months
Management cont.
In severe, life threatening disease
(pulmonary haemorrhage, severe
crescentic glomerulonephritis with
creatinine > 500μmol/L) consider,
◦ Plasma exchange, 7-10 treatments over
14 days or
◦ Three pulses of methylprednisolone,
15mg/kg/day for 3 days
Management cont.
Maintenance therapy (to 18-24 months, longer
if clinically indicated)
 Azathioprine, 2.0mg/kg/day (maximum
200mg/day)
Age > 60yrs, reduce dose by 25%
> 75yrs, by 50%
Relapse therapy
 Major relapse: return to induction therapy
 Minor relapse: increase dose of corticosteroid
Management cont.
 Stop cyclophosphamide or azathioprine if
WBC < 4x109/L.
 Restart with a dose reduced by at least 25mg
when WBC > 4x109/L on 2 consecutive tests.
Management cont.
 Most of other systemic vasculitides need at
least corticosteroids
Usual dose is 1mg/kg at the induction
Gradual tapering during the remission

Vascul lecture

  • 1.
    VASCULITIS.  It means―inflammation of the walls of the vessels‖ and can be associated to many different clinical conditions. CLASSIFICATION. *Direct Infection. -Bacterial(Neisseria) -Rickettsial(spotted fever) -Spirochetal(Syphilis) -Fungal(aspergillosis) -Viral(herpes zoster)
  • 2.
    VASCULITIS. CLASSIFICATION.(cont.)  *Immunologic. A. Immunecomplex- mediated. -Infection-induced(Hepatitis B,C) -Henoch-Schonlein purpura -SLE, etc. -Drug-induced -Cryoglobulinemia(Ig, IgM) -Serum sickness
  • 3.
    VASCULITIS. CLASSIFICATION.(cont.)  B. ANCA-mediated. -Wegenergranulomatosis -Microscopic polyangeitis -Churg-Strauss syndrome C. Direct Ab-induced -Goodpasture syndrome(anti-GBM Abs) -Kawasaki disease(anti-endoth.Ab)
  • 4.
    VASCULITIS. CLASSIFICATION.(cont.)  D. Cell-mediated. -Organ-allograftrejection -Inflammatory bowel disease -Paraneoplastic vasculitis *Unknown. -Giant.cell arteritis -Takayasu arteritis -Polyarteritis nodosa
  • 5.
  • 6.
    CLASSIFICATION TREE Vasculitis Large BloodVessel • Temporal Arteritis • Takayasu Arteritis Medium Blood Vessel • Polyarteritis Nodosa • Kawasaki’s Disease Small Blood Vessel ANCAAssociated • Wegener’s Granulomatosis • Churg-Strauss Vasculitis • Microscopic Polyangiitis • Drug Induced Non-ANCAAssociated Immune Complex • Hypersensitivity Vasculitis • Cryoglobulinemic Vasculitis • CTD related Vasculitis • Henoch Schonlein Purpura • Behcet’s Miscellaneous • Paraneoplastic Vasculitis • Inflammatory Bowel Disease
  • 8.
  • 9.
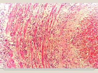
    GIANT CELL (TEMPORAL) ARTERITIS. A vasculitis of unknown etiology occurring primarily in the elderly. Other terms commonly used include temporal arteritis, cranial arteritis and granulomatous arteritis.  Is the MOST common form of systemic vasculitis in adults, acute or chronic, often granulomatous inflammation of large/small size. It affects temporal arteries, but also vertebral, ophtalmic (blindness) and aorta (aneurysm)  Involved arteries have nodular thickening reduction of lumenthrombosis. Granulomatous inflammation in inner half of media with mononuclear cells+ giant cells.
  • 18.
    GIANT CELL (TEMPORAL) ARTERITIS. CLINICAL: old patients with: ◦ fever, ◦ fatigue, ◦ loss of weight, ◦ with or w/o facial pain and headache.
  • 19.
    GIANT CELL (TEMPORAL) ARTERITIS. Others, with more severe form and involvement of ophtalmic arterydiplopia or blindness of abrupt onset. Dx.: significantly elevated ESR + arterial biopsy.
  • 20.
  • 21.
    TAKAYASU ARTERITIS.  Takayasu’sarteritis is a chronic inflammatory disorder of unknown etiology primarily affecting the aorta and its major branches.  Predominant in females below 40´s w/probable autoimmune mechanism,  Arteritis may also affects pulmonary arteries in ½ of cases as well as coronary/renal arteries.
  • 22.
    Aortic arch arteriogram ina patient with Takayasu‘s arteritis. Smooth tapered stenosis of bilateral common carotid arteries (upper arrows) and of the right subclavian artery (lower arrow) can be seen. There is poststenotic dilatation beyond the left common carotid narrowed segment. Total involvement is seen along the
  • 25.
    TAKAYASU ARTERITIS.(cont.)  MICROSCOPIC:mononuclear infiltration of adventiciamid-layer with involvement of vasa vasorum.
  • 26.
    TAKAYASU ARTERITIS.(cont.)  CLINICAL: ◦reduced brachial pulse, ◦ difference in BP between R & L arm >10 mm Hg, ◦ Coldness + numbness of fingers, ◦ bruising above a subclavia and/or aorta, ◦ hypertension, visual defectsblindness.
  • 27.
  • 28.
    POLYARTERITIS NODOSA  Isa small/medium sized arteritis affecting multiple organs (skin, peripheral nerves, gut, kidney and heart.  Age of onset is from childhoodlate adulthood (average 40´s) and it has been associated w/Hepatitis B,C or both (most common in injection drug abusers).  Probably mediated by immune complexes (Igs + viral Ags)circulating and deposited in inflammed vessels.
  • 34.
    POLYARTERITIS NODOSA  CLINICAL:onset is gradual (wksmos.) and nonspecific: ◦ malaise, ◦ fever, ◦ weight loss, ◦ abdominal pain, ◦ melena, ◦ myalgias, ◦ muscular weakness
  • 35.
    POLYARTERITIS NODOSA ◦ diastolicpressure >90 mm Hg, ◦ mononeuropathy or polyneuropathy ◦ palpable purpura, ◦ livedo reticularis, ◦ digital gangrene or tender nodules
  • 36.
    POLYARTERITIS NODOSA ◦ Renalinvolvementhypertension. ◦ In GI tract abdominal angina (hemorrhage, perforation). ◦ In heart: myocarditis/myocardial infarction. ◦ Eye: scleritis.
  • 37.
    POLYARTERITIS NODOSA  Dx. ◦Elevated BUN or creatinine ◦ Proven hepatitis B/C virus infection ◦ Angiographic signs of aneuryms/vascular occlusion ◦ Demonstration of granulocytes in small or medium sized vessels (biopsy).
  • 38.
    BUERGER´S DISEASE  Alsoknown as Thromboangiitis obliterans, is characterized by segmental thrombosis + acute/chronic inflammation of medium and small arteries MOSTLY tibial and radial arteries, and secondarily involvement of veins and nerves of limbs.  Apparently heavy cigarette-smokers are MOST frequently affected (endoth. cells hypersensitivity?)
  • 39.
    BUERGER´S DISEASE  Microscopically:acute + chronic inflammation in arterial walls + thrombosisorganization/recanalization.  Also, thrombosis contains microabscesses + granulomatous inflammationextension to veins/nerves.  Late complication: chronic ulceration of toes or fingersgangrene.
  • 43.
    BUERGER´S DISEASE  CLINICAL: Claudicationin feet and/or hands sometimes centrally radiated. Also, numbness and/or tingling in limbs + Raynaud´s phenomenon. Skin ulcerations + gangrene of digits
  • 44.
  • 45.
    KAWASAKI DISEASE (Mucocutaneous lymphnode syndrome).  Is an arteritis that frequently affects coronary arteries USUALLY in children/infants (about 80% are < 4 yrs old)  Associated w/mucocutaneous lymph node syndrome of acute and self-limited evolution: ◦ fever, conjunctivitis, sore throat, ◦ generalized rash, redding of palms/soles, peeling of fingers/ toes and mucopurulent cervical lymphadenopathy.  It is epidemic in Japan, Hawaii and US
  • 47.
    KAWASAKI DISEASE  Dx.: ◦Leukocytosis (PMN´s), thrombocytosis. ◦ Some children have ANCA+ in plasma and ◦ Aprox.1/5 of patients involvement of coronary arteries/myocardium  aneurysm/myocarditis that usually resolves spontaneously(mortality 2%).
  • 52.
    Behçet’s Syndrome  Asystemic vasculitis of unknown cause with mucocutaneous and frequent ocular and musculoskeletal involvement.  A marked geographic distribution is characterized by highest prevalence in Turkey, Iran and Japan.
  • 53.
    Behçet’s Syndrome: Clinical features Recurrent oral and/or genital aphthous ulceration.  Chronic relapsing uveitis leading to blindness in 10% of all cases.  A variety of skin manifestations, including the ‗pathergy‘ phenomenon.  Musculoskeletal, neurologic, major artery and vein involvement.  An undulating course that generally abates in intensity with the passage of time.
  • 54.
  • 55.
    MICROSCOPIC POLYANGIITIS  It affectsarterioles, capillaries and venules (smaller than PAN) and the leions are in the same stage.  Typically presents as ―palpable purpura‖ (skin), but also with mucous membranes, lungs, brain, heart, GI tract, kidneys, muscle, PNS.
  • 60.
    MICROSCOPIC POLYANGIITIS  CLINICAL: ◦Necrotizing GN (90%)hematuria ◦ Lungshemoptysis ◦ GI tractabdominal pain ◦ Jointsarthralgias ◦ Weight loss(>70%) ◦ Nerve damage(60%)numbness/tingling in limbs. ◦ Chronically: muscle wasting ◦ Skin: purpura(>60%) in legs, feet, buttocks
  • 63.
    MICROSCOPIC POLYANGIITIS  About70% of patients may have a clear relation with a recent immunologic reaction to an Ag (drugs, microrganisms, tumor Ags,etc) having + pANCAS.  MPA is quite similar histologically to PAN microscopic changes EXCEPT that muscular/large arteries are usually spared.  It reminds Wegener vasculitis BUT w/o granulomatosis.
  • 64.
    CHURG-STRAUSS SYNDROME  Asthmais the cardinal clinical feature of CSS (8- 10 yrs BEFORE symptoms of vasculitis) with 8-10 yrs of evolutionrespiratory failure.  Eosinophilia(>10% in CBC)  Allergy  Mono/polyneuropathy(ocular symptoms)  Lung hemorrhage, pleural effusion, pulmonary infiltrates  Changes in paranasal sinuses  Eosinophilic granulomatosis vasculitis/perivasc.  Abdominal cramps/heart failure(myocarditis)
  • 69.
  • 70.
    History of Wegener’s In 1936, Wegener first described a distinct syndrome in three patients found to have necrotizing granulomas involving the upper and lower respiratory tract.  In 1954, seven more patients described, resulting in definite criteria
  • 71.
    Criteria for Classification Nasal or oral inflammation ◦ Development of painful or painless oral ulcers or purulent or bloody nasal discharge  Abnormal chest radiograph ◦ Chest radiograph showing the presence of nodules, fixed infiltrates, or cavities  Abnormal Urinary sediment ◦ Microhematuria (>5 red blood cells per high power field) or red cell casts in urine sediment  Granulomatous inflammation on biopsy ◦ Histologic changes showing granulomatous inflammation within the wall of an artery or in the perivascular or extravascular area (artery or arteriole) * For purposes of classification, a patient shall be said to have Wegener's granulomatosis if at least 2 of these 4 criteria are present. The presence of any 2 or more criteria yields a sensitivity of 88.2% and a specificity of 92.0%
  • 72.
    Classic Symptoms  Upperrespiratory tract ◦ sinuses ◦ nose ◦ ears ◦ trachea  Lungs  Kidneys
  • 73.
  • 74.
    Upper Respiratory Tract Ear Ear infectionsthat are slow to resolve. Recurrent otitis media. Decrease in hearing.
  • 75.
    Upper Respiratory Tract Nose Nasal crusting  Frequent nosebleeds  Erosion and perforation of the nasal septum. ◦ The bridge of the nose can collapse resulting in a ―saddle–nose deformity‖.
  • 76.
    Upper Respiratory Tract Sinuses/Trachea Sinuses ◦ Chronic sinus inflammation  Trachea ◦ subglottic stenosis
  • 77.
    Lungs  Nodules  Alveolar opacities Pleural opacities  Diffuse hazy opacities (which may reflect alveolar hemorrhage)
  • 80.
    Kidney  Glomerulonephritis w/associated hematuria and proteinuria  Can lead to renal failure if not treated aggressively  Active urine sediment: red blood cell casts
  • 81.
  • 82.
    Skin  ―palpable purpura‖ mostcommon  Raynaud‘s phenomenon—due to inadequate blood flow to fingers and toes  Ulcers
  • 83.
    Miscellaneous  Joints ◦ Arthritiscan occur, with joint swelling and pain  Nerves ◦ Peripheral nerve involvement leads to numbness, tingling, shooting pains in the extremities, and sometimes to weakness in a foot, hand, arm, or leg  Meninges  Prostate gland  Genito–urinary tract  Constitutional symptoms of fatigue, low– grade fever, and weight loss
  • 84.
    Incidence of symptoms SymptomAt Onset Total  ENT 75% 95%  Lung 50 85  Joints 30 70  Fever 25 50  Kidney 20 75  Cough 20 50  Eye 15 50  Skin 15 45  Weight Loss 10 35  Nervous System (Central/Peripheral) 0 10/15 One-third of patients may be without symptoms at onset of disease
  • 85.
    Pathogenesis ANCA  ANCAs maybe not only markers for Wegener's granulomatosis and related disorders, but they may also be actors in pathogenesis  Neutrophils exposed to cytokines such as TNF, express PR3 & MPO (the targets for ANCAs)  Adding ANCAs to these cytokine-primed neutrophils causes them to generate oxygen radicals and release enzymes capable of damaging blood vessels.
  • 86.
  • 87.
  • 88.
  • 89.
  • 91.
    Diagnosis  Nasal ororal inflammation ◦ Development of painful or painless oral ulcers or purulent or bloody nasal discharge  Abnormal chest radiograph ◦ Chest radiograph showing the presence of nodules, fixed infiltrates, or cavities  Abnormal urinary sediment ◦ Microhematuria (>5 red blood cells per high power field) or red cell casts in urine sediment  Granulomatous inflammation on biopsy ◦ Histologic changes showing granulomatous inflammation within the wall of an artery or in the perivascular or extravascular area (artery or arteriole) Criteria for Classification
  • 92.
    Management  Vasculitides areoften serious and sometimes fatal - require prompt recognition and therapy  Treatment – helpful - particularly in the acute phase  During maintenance therapy - adverse effects - superimposed infections
  • 93.
    Management cont.  Earlydeaths – due to active disease Late deaths – may be due to the complications of therapy  The risk-versus-benefit ratio of any therapeutic approach should be weighed carefully
  • 94.
    Management cont.  Glucocorticoidesand/or immunosuppressive therapy should be instituted immediately in diseases where irreversible organ system dysfunction and high morbidity and mortality have been clearly established  Aggressive therapy should be avoided for vasculitic manifestations that rarely results in irreversible organ system dysfunction and that usually do not respond to such therapy
  • 95.
    Management cont. Treatment ofaggressive small vessel vasculitis 1. Induction of remission 2. Maintenance of remission 3. Treatment of relapse Induction therapy (to 3 months after remission, usually 6 months from diagnosis)  Cyclophosphamide 2.0mg/kg/day (maximum 200mg/day) Age > 60years, reduce dose by 25% > 75years, by 50%  Prednisolone 1mg/kg/day (maximum 80mg/day) reduced weekly to 25mg/day by 8 weeks and then more slowly to 10mg/day by 6 months
  • 96.
    Management cont. In severe,life threatening disease (pulmonary haemorrhage, severe crescentic glomerulonephritis with creatinine > 500μmol/L) consider, ◦ Plasma exchange, 7-10 treatments over 14 days or ◦ Three pulses of methylprednisolone, 15mg/kg/day for 3 days
  • 97.
    Management cont. Maintenance therapy(to 18-24 months, longer if clinically indicated)  Azathioprine, 2.0mg/kg/day (maximum 200mg/day) Age > 60yrs, reduce dose by 25% > 75yrs, by 50% Relapse therapy  Major relapse: return to induction therapy  Minor relapse: increase dose of corticosteroid
  • 98.
    Management cont.  Stopcyclophosphamide or azathioprine if WBC < 4x109/L.  Restart with a dose reduced by at least 25mg when WBC > 4x109/L on 2 consecutive tests.
  • 99.
    Management cont.  Mostof other systemic vasculitides need at least corticosteroids Usual dose is 1mg/kg at the induction Gradual tapering during the remission