Ionizing 
radiation...Effects 
and Safety 
what every physician must know 
Dr/Ahmed bahnassy 
Consultant radiologist 
PSMMC
Aims of lecture 
• To become familiar 
with the mechanisms 
& biological effects 
following exposure to 
ionizing radiation. 
• To be aware of the 
risks of ionizing 
radiation . 
• To know main safety 
issues of protection.
RADIATION:- 
Radiation is the energy that comes from a source and 
travels through some material or space as waves or 
photons. 
IONIZING RATIATION:- 
This kind of radiation on interaction with matter produce 
charged particles called ions. 
This type of radiation has enough energy to break 
chemical bonds. 
NON-IONIZING RATIATION:- 
Radiation that does not have enough energy to break 
chemical bonds but can vibrate atom. It cannot produce 
ions.
SOURCES OF RADIATION
UNITS OF RADIATION:- 
1) Roentgen (R):- Radiaton exposure in a volume of air. 
2) Rad:- 
It is the unit of absorbed dose. 
The SI unit of absorbed dose is Gray (Gy) 
1 Gy=100 rad 
3) Rem:- 
It is the unit of effective dose. 
Used only in radiation protection. 
The SI unit is Sievert 
1 Sv= 100 rem 
1 mSv = 0.001 Sv.
0.01 mSv 
0.5 Chest 
X-ray. 
0.02mSv 
1 CXR 
0.07 mSv 
3.5 CXR 
1.3mSv 
65 CXR 
0.7mSv 1.0mSv 2.5mSv 3.0mSv 7.0mSv 
35 CXR 50 CXR 125CXR 150CXR 350CXR
2.3mSv 8.0mSv 10mSv 
115 Chest 400 CXR 500 CXR 
X-rays.
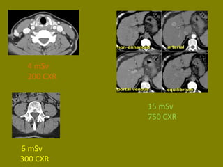
15 mSv 
750 CXR 
4 mSv 
200 CXR 
6 mSv 
300 CXR
THYROID SCAN RENAL SCAN LUNG PERFUSION 
1.0 mSv 1.0 mSv 1.0 mSv 
50 CXR 50 CXR 50 CXR 
BONE SCAN PET HEAD (FDG) CARDIAC GATED 
4.0 mSv 5.0 mSv 6.0 mSv 
200 CXR 250 CXR 300 CXR
IIoonniizziinngg RRaaddiiaattiioonn....HHooww 
eeffffeeccttss aarree pprroodduucceedd 
IIoonniizziinngg RRaaddiiaattiioonn iiss tthhee 
rreemmoovvaall ooff aann eelleeccttrroonn 
ffrroomm aann aattoomm lleeaavviinngg aann 
uunnssttaabbllee mmoolleeccuullee wwhhiicchh 
mmaayy tthheenn bbrreeaakk aappaarrtt ttoo 
ffoorrmm ffrreeee rraaddiiccaallss.. 
The weapon 
http://www.paradigmlink.com/ionrad.shtml
LLiinneeaarr EEnneerrggyy TTrraannssffeerr ((LLEETT)) 
TThhee aavveerraaggee eenneerrggyy ddeeppoossiitteedd ppeerr uunniitt 
lleennggtthh ooff ttrraacckk.. 
MMeeaassuurreedd iinn kkiillooeelleeccttrroonn vvoollttss ppeerr mmiiccrroonn 
((1100--66 mm))
LLooww LLEETT // HHiigghh LLEETT 
 LLooww LLEETT 
LLooww mmaassss,, iinnccrreeaasseedd 
ttrraavveell ddiissttaannccee ((ggaammmmaa rraayyss,, xx-- 
rraayyss)).. 
SSppaarrsseellyy iioonniizziinngg wwiitthh 
rraannddoomm iinntteerraaccttiioonnss.. 
CCaauusseess ddaammaaggee pprriimmaarriillyy 
tthhrroouugghh iinnddiirreecctt aaccttiioonn oorr 
mmaayy ccaauussee ssiinnggllee ssttrraanndd 
bbrreeaakkss ((wwhhiicchh aarree rreeppaaiirraabbllee)).. 
e- 
http://staff.jccc.net/PDECELL/biochemistry/dna.gif
LLooww LLEETT // HHiigghh LLEETT 
HHiigghh LLEETT 
– LLaarrggee mmaassss,, ddeeccrreeaasseedd 
ttrraavveell ddiissttaannccee ((aallpphhaa 
ppaarrttiicclleess,, pprroottoonnss,, llooww 
eenneerrggyy nneeuuttrroonnss)).. 
– CCaauusseess ddeennssee iioonniizzaattiioonn 
aalloonngg iittss ppaatthh wwiitthh aa hhiigghh 
pprroobbaabbiilliittyy ooff iinntteerraaccttiinngg 
ddiirreeccttllyy wwiitthh DDNNAA.. 
α++ 
http://staff.jccc.net/PDECELL/biochemistry/dna.gif
IIoonniizziinngg RRaaddiiaattiioonn 
The injury mechanism 
TThhee rreeaaccttiioonnss ccaauusseedd bbyy iioonniizziinngg rraaddiiaattiioonn 
ooccccuurr rraappiiddllyy,, tthheeyy aarree nnoonnsseelleeccttiivvee aanndd 
rraannddoomm.. 
TThhee mmaajjoorriittyy ooff ddaammaaggee ccaauusseedd bbyy 
rraaddiiaattiioonn iiss dduuee ttoo cchheemmiiccaall rreeaaccttiioonnss wwiitthh 
wwaatteerr wwiitthhiinn tthhee cceellll..
H2O 
HOH+ 
H+ 
OH* 
Positively charged 
water molecule 
H* OH 
- 
e- + H2O 
HOH-water 
negatively charged 
water molecule 
Hydrogen 
ion 
Hydroxyl 
electron radical water 
hydrogen 
radical 
Hydroxyl 
ion 
The negatively charged 
water molecule dissociates 
into a hydrogen radical 
and a hydroxyl ion.
RReeaaccttiioonnss 
TThhee pprreevviioouuss rreeaaccttiioonnss pprroodduuccee ffrreeee 
eelleeccttrroonnss ((ee--)),, tthhee iioonnss HH-- aanndd OOHH--,, 
tthhee ffrreeee rraaddiiccaallss HH** aanndd OOHH**.. 
TThhee ffaattee ooff tthheessee pprroodduuccttss aarree…………..
FFrreeee RRaaddiiccaallss 
AA ffrreeee rraaddiiccaall iiss aann aattoomm oorr 
mmoolleeccuullee tthhaatt hhaass aann uunnppaaiirreedd 
eelleeccttrroonn iinn iittss vvaalleennccee sshheellll.. 
TThheessee ffrreeee rraaddiiccaallss aarree 
nnoonn--sseelleeccttiivvee wwhheenn ppaaiirriinngg uupp 
wwiitthh eelleeccttrroonnss ffrroomm ootthheerr 
aattoommss,, iinncclluuddiinngg tthhoossee tthhaatt 
mmaakkee uupp tthhee DDNNAA mmoolleeccuullee..
DDiirreecctt AAccttiioonn // IInnddiirreecctt AAccttiioonn 
DDiirreecctt AAccttiioonn 
CCaauusseess ddaammaaggee ddiirreeccttllyy ttoo DDNNAA oorr ootthheerr iimmppoorrttaanntt 
mmoolleeccuulleess iinn tthhee cceellll.. 
MMoorree lliikkeellyy wwhheenn tthhee bbeeaamm ooff cchhaarrggeedd ppaarrttiicclleess 
ccoonnssiisstt ooff aallpphhaa ppaarrttiicclleess,, pprroottoonnss,, oorr eelleeccttrroonnss 
IInnddiirreecctt AAccttiioonn 
CCaauusseess ddaammaaggee bbyy iinntteerraaccttiinngg wwiitthh tthhee cceelllluullaarr 
mmeeddiiuumm pprroodduucciinngg ffrreeee rraaddiiccaallss wwhhiicchh tthheenn ddaammaaggee 
tthhee DDNNAA mmoolleeccuullee.. 
MMoorree lliikkeellyy wwhheenn xx--rraayyss oorr ggaammmmaa--rraayyss ccoommppoossee tthhee 
bbeeaamm..
DDiirreecctt AAccttiioonn // IInnddiirreecctt AAccttiioonn
DDNNAA DDaammaaggee 
 TThhee aarrrraannggeemmeenntt ooff nniittrrooggeennoouuss bbaasseess 
pprroovviiddee aa bblluueepprriinntt ffoorr DDNNAA ffoorr tthhee ssyynntthheessiiss 
ooff ssppeecciiffiicc pprrootteeiinnss nneecceessssaarryy ffoorr iinnddiivviidduuaall 
cceellll ffuunnccttiioonn.. 
 IInn tthhee eevveenntt ooff aa lloossss oorr cchhaannggee ooff oonnee oorr 
mmoorree ooff tthhee nniittrrooggeennoouuss bbaasseess........bbaassee 
sseeqquueennccee aanndd nnoorrmmaall ffuunnccttiioonniinngg ooff tthhee cceellll 
iiss aalltteerreedd.. 
 AAnnootthheerr ffoorrmm ooff DDNNAA ddaammaaggee dduuee ttoo 
rraaddiiaattiioonn iinnvvoollvveess aa bbrreeaakk iinn tthhee hhyyddrrooggeenn 
bboonnddss bbeettwweeeenn tthhee AAddeenniinnee –– TThhyymmiinnee aanndd 
CCyyttoossiinnee –– GGuuaanniinnee bbaassee ppaaiirrss.. TThheessee 
bboonnddss ffuunnccttiioonn ttoo kkeeeepp tthhee DDNNAA ssttrraannddss 
ttooggeetthheerr 
 BBoonnddss ccaann aallssoo bbrreeaakk bbeettwweeeenn ddeeooxxyyrriibboossee 
ssuuggaarr aanndd tthhee pphhoosspphhaattee ggrroouuppss wwhhiicchh ccaann 
lleeaadd ttoo ccrroossss--lliinnkkiinngg ooff DDNNAA 
The target
CChhrroommoossoommee AAbbeerrrraattiioonnss 
 IIff tthhee cchhrroommoossoommee ffrraaggmmeennttss aarree 
nneeaarr oonnee aannootthheerr tthheeyy hhaavvee aa hhiigghh 
cchhaannccee ooff rreeaattttaacchhiinngg iinn tthheeiirr 
oorriiggiinnaall ppoossiittiioonn –– ccaauussiinngg nnoo ffuuttuurree 
ddaammaaggee ttoo tthhee cceellll..AA pprroocceessss kknnoowwnn 
aass rreessttiittuuttiioonn.. 
 IInn ttrraannssllooccaattiioonnss aanndd iinnvveerrssiioonnss,, nnoo 
ggeenneettiicc iinnffoorrmmaattiioonn iiss lloosstt,, bbuutt tthhee 
rreeaarrrraannggeemmeenntt ooff ggeennee sseeqquueennccee 
wwiillll aalltteerr pprrootteeiinn ssyynntthheessiiss.. 
 IInn aa ddeelleettiioonn,, aa cchhrroommoossoommee 
ffrraaggmmeenntt iiss nnoott rreepplliiccaatteedd dduurriinngg tthhee 
nneexxtt mmiittoossiiss,, tthhee ggeenneettiicc iinnffoorrmmaattiioonn 
iiss lloosstt.. TThhee eeffffeeccttss tthhiiss hhaass oonn tthhee 
cceellll ddeeppeennddss oonn tthhee aammoouunntt aanndd 
ttyyppee ooff iinnffoorrmmaattiioonn lloosstt.. 
The effects 
Inversion 
Translocation 
Deletion
Chromosome deletion 
Chromosome translocation
Outcomes after cell exposure 
DAMAGE 
REPAIRED 
DAMAGE TO DNA 
CELL DEATH 
(APOPTOSIS) 
TRANSFORMED 
CELL 
IAEA 3 : Biological effects of ionizing radiation
DNA Mutation 
Mutation 
repaired 
Cell survives 
but mutated 
Viable Cell 
Cancer ? 
Cell death 
Unviable Cell
Repair of DNA damage 
• RADIOBIOLOGISTS 
ASSUME THAT THE 
REPAIR SYSTEM IS 
NOT 100% 
EFFECTIVE. 
IAEA 3 : Biological effects of ionizing radiation
CCaanncceerr iinniittiiaattiioonn
NORMAL TISSUE
CELL INITIATION 
An initiating event 
creates a mutation in 
one of the basal cells
DYSPLASIA 
More mutations occurred. 
The initiated cell has 
gained proliferative 
advantages. 
Rapidly dividing cells 
begin to accumulate 
within the epithelium.
BENIGN TUMOR 
More changes within 
the proliferative cell line lead 
to full tumor development.
MALIGNANT TUMOR 
The tumor breaks trough 
the basal lamina. 
The cells are irregularly 
shaped and the cell line is 
immortal. They have an increased 
mobility and invasiveness.
METASTASIS 
Cancer cells break through 
the wall of a lymphatic 
vessel or blood capillary. 
They can now migrate 
throughout the body and 
potentially seed new tumors.
A simple generalized scheme for multistage oncogenesis 
Damage to chromosomal DNA 
of a normal target cell 
Failure to correct 
DNA repair 
Appearance of specific 
neoplasia-initiating mutation 
Promotional growth 
of pre-neoplasm 
Conversion to overtly 
malignant phenotype 
Malignant progression 
and tumour spread
RRaaddiioosseennssiittiivviittyy 
AAccttiivveellyy rreepprroodduucciinngg cceellllss aarree mmoorree 
rraaddiioosseennssiittiivvee tthhaann mmaattuurree cceellllss.. 
DDuurriinngg mmiittoossiiss,, tthhee cceellll iiss iinn aa ssttrreesssseedd 
ssttaattee aanndd sshhoowwss aann iinnccrreeaassee iinn ddaammaaggee 
ccaauusseedd bbyy rraaddiiaattiioonn.. 
CCeellllss tthhaatt hhaavvee ddeeccrreeaasseedd lleevveellss ooff 
ddiiffffeerreennttiiaattiioonn aarree mmoorree rraaddiioosseennssiittiivvee 
tthhaann ssppeecciiaalliizzeedd cceellllss..
The Cell Cycle 
 An ordered set of events, 
culminating in cell growth and 
division into two daughter 
cells 
 Tc, full mitotic cycle 
G2 
(2nd gap) 
M 
(mitosis) 
S 
(DNA Synthesis phase) 
G1 
(1st gap) 
Cells that 
cease 
division
Radiosensitivity & Mitotic Cycle 
 Cell cycle components 
 M, G1, S, G2 
 Cell cycles times vary largely due to G1 
 crypt cells, 9 - 10 hours 
 stem cells (mouse skin) 200 hr 
 Sensitivity 
 Cells most sensitive close to mitosis 
 Resistance greatest in latter part of S 
 For long G1’s, there is an early resistance period followed by 
sensitive one at the end of G1 
 G2 ~ M in sensitivity
Radiosensitivity 
High RS Medium RS Low RS 
Muscle 
Bones 
Nervous 
system 
Skin 
Mesoderm 
organs (liver, 
heart, lungs…) 
Bone Marrow 
Spleen 
Thymus 
Lymphatic 
nodes 
Gonads 
Eye lens 
Lymphocytes 
(exception to the RS laws) 
IAEA 3 : Biological effects of ionizing radiation
FFrraaccttiioonnaattiioonn iinn rraaddiiootthheerraappyy 
 IInnsstteeaadd ooff aa ssiinnggllee ttrreeaattmmeenntt 
ccoonnssiissttiinngg ooff aa hhiigghh ddoossee,, 
ffrraaccttiioonnaattiioonn ddiivviiddeess tthhee ddoossee ttoo 
bbee ddeelliivveerreedd oovveerr aa ppeerriioodd ooff ttiimmee,, 
uussuuaallllyy 66--88 wweeeekkss.. 
 AAtt llooww ddoosseess ooff rraaddiiaattiioonn,, 
nnoorrmmaall cceellllss hhaavvee aann iinnccrreeaasseedd 
ssuurrvviivvaall rraattee bbeeccaauussee ooff tthheeiirr 
aabbiilliittyy ttoo rreeppaaiirr ssuubblleetthhaall 
ddaammaaggee bbeeffoorree tthhee nneexxtt ffrraaccttiioonn ooff 
rraaddiiaattiioonn iiss ddeelliivveerreedd.. 
 TTuummoorr cceellllss ddoo nnoott ppoosssseessss tthhee 
rreeppaaiirr eennzzyymmeess nneecceessssaarryy ttoo 
kkeeeepp uupp wwiitthh tthhee rreeppaaiirrss aanndd 
aass aa rreessuulltt tthhee cceellll iiss 
oovveerrwwhheellmmeedd aanndd iiss ddeessttrrooyyeedd.. 
http://www.usoncology.com/CompanyInfo/PhotoLibrary.asp
Dose-Response Relationships 
 Two effects of radiation 
exposure: 
 deterministic (threshold) 
 stochastic: cancer 
 Radiation Standards 
 set below threshold 
 set to limit stochastic risk
Non-Stochastic (Deterministic) Effects 
 Occurs above threshold 
dose 
 Severity increases with 
dose 
 Alopecia (hair loss) 
 Cataracts 
 Erythema (skin reddening) 
 Radiation Sickness 
 Temporary Sterility
Stochastic (Probabilistic) Effects 
 Occurs by chance 
 Probability increases with dose 
 Carcinogenesis 
 Mutagenesis 
 Teratogenesis
Radiation health effects 
CELL DEATH 
DETERMINISTIC 
Somatic 
Clinically attributable 
in the exposed 
individual 
STOCHASTIC 
somatic & hereditary 
epidemiologically 
attributable in large 
populations 
ANTENATAL 
somatic and 
hereditary expressed 
in the foetus, in the live 
born or descendants 
IAEA 3 : Biological effects of ionizing radiation 
BOTH 
TYPE 
OF 
EFFECTS 
CELL TRANSFORMATION
Radiation effects and 
Syndromes
Injury 
Threshold 
Dose to 
Skin (Sv) 
Weeks to 
Onset 
Early transient erythema 2 <<1 
Temporary epilation 3 3 
Main erythema 6 1.5 
Permanent epilation 7 3 
Dry desquamation 10 4 
Invasive fibrosis 10 
Dermal atrophy 11 >14 
Telangiectasis 12 >52 
Moist desquamation 15 4 
Late erythema 15 6-10 
Dermal necrosis 18 >10 
Secondary ulceration 20 >6 
IAEA 3 : Biological effects of ionizing radiation 
Skin damage 
from prolonged 
fluoroscopic 
exposure 
Skin reactions
Skin injuries 
IAEA 3 : Biological effects of ionizing radiation
Effects in eye 
• Eye lens is highly RS. 
• Coagulation of proteins 
occur with doses 
greater than 2 Gy. 
• There are 2 basic 
effects: 
Histologic view of eye: 
From “Atlas de Histologia...”. J. Boya 
Detectable 0.5-2.0 > 0.1 
opacities 
Eye lens is highly RS, 
moreover, it is surrounded by 
highly RS cuboid cells. 5.0 > 0.15 
Visual 
impairment 
(cataract) 
IAEA 3 : Biological effects of ionizing radiation 
Sv/year for 
many years 
Sv single brief 
exposure 
Effect
Whole body response: adult 
Acute irradiation 
syndrome Chronic irradiation 
syndrome 
Steps: 
1. Prodromic 
(onset of 
disease) 
2. Latency 
3. Manifestation 
Lethal dose 50 / 30 
IAEA 3 : Biological effects of ionizing radiation 49 
Survival time 
Dose 
BONE 
MARROW GASTRO 
INTESTINA 
L CNS 
(central nervous 
system) 
1-10 Gy 
10 - 50 Gy 
> 50 Gy 
•Mechanism: 
Neurovegetative 
disorder 
•Similar to a sick 
feeling 
•Quite frequent in 
fractionated 
radiotherapy
Threshold Doses for Deterministic 
Effects 
• Cataracts of the lens of the 
eye 2-10 Gy 
• Permanent sterility 
• males 3.5-6 Gy 
• females 2.5-6 Gy 
• Temporary sterility 
• males 0.15 Gy 
• females 0.6 Gy 
Severity of 
effect 
dose 
threshold
Symptoms of Acute Radiation Sickness 
 Three categories (E. Hall, 1994) 
 Hemopoietic: 3-8 Gy LD50/60 
 radiation damages precursors to red/white blood cells & 
platelets 
 prodromal may occur immediately 
 symptoms: septicemia, 
 survival mixed 
 examples include Chernobyl personnel (203 exhibited 
symptoms, 13 died)
Symptoms, continued 
 Gastrointestinal : >10 Gy 
 radiation depopulates GI epithelium (crypt cells) 
 abdominal pain/fever, diarrhea, dehydration 
 death 3 to 10 days (no record of human survivors above 10 
Gy) 
 examples include Chernobyl firefighters 
 Cerebrovascular : > 100 Gy 
 death in minutes to hours
Delayed Effects 
 SOMATIC: they affect the health of the 
irradiated person. They are mainly different 
kinds of cancer (leukemia is the most 
common, with a delay period of 2-5 years, 
but also colon, lung, stomach cancer…) 
 GENETIC: they affect the health of the 
offspring of the irradiated person. They are 
mutations that cause malformation of any 
kind (such as mongolism)
RADIATION PROTECTION 
Based on two components. 
A) JUSTIFICATION. 
B) OPTIMIZATION. 
JUSTIFICATION:- 
Applications of ionising radiation are only justified 
when they provide a net benefit with minimization of 
risks of radiation for people.
GUIDELINES FOR REFERRING PHYSICIANS:- 
1) Repeating investigations which have already been 
done: 
For example at other hospital, in an outpatient department, 
or in an accident and emergency department. 
HAS IT BEEN DONE ALREADY? Every attempt should be made 
to get previous films. 
2) Investigation when results are unlikely to affect 
patient management: 
The anticipated 'positive' finding is usually irrelevant, e.g. 
degenerative spinal disease (as 'normal' as white hairs in old 
age) or because a positive finding is so unlikely. DO I NEED 
IT?
3) Investigating too often:- 
i.e. before the disease could have progressed or resolved or 
before the results could influence treatment. DO I NEED IT 
NOW? Or some clinicians tend to rely on investigations more 
than others. ARE TOO MANY INVESTIGATIONS BEING 
PERFORMED? 
4) Doing the wrong investigation:- 
Imaging techniques are developing rapidly. It is often helpful to 
discuss an investigation with a specialist in clinical radiology or 
nuclear medicine before it is requested. IS THIS THE BEST 
INVESTIGATION? 
5) Failing to provide appropriate clinical information & 
questions that imaging Investigation should answer. 
Deficiencies here may lead to the wrong technique being used 
(e.g. the omission of an essential view). HAVE I EXPLAINED THE 
PROBLEM?
OPTIMIZATION:- 
Once a practice is 
justified, the exposure to 
ionising radiation should 
be kept as low as 
reasonably achievable 
(ALARA).
FUNDAMENTAL 
PRINCIPLES OF 
RADIATION 
PROTECTION: 
1. Distance. 
2. Exposure time. 
3. Barriers & Shielding.
DISTANCE 
INVERSE SQUARE LAW: 
Intensity of radiation is inversely proportional to 
the square of the distance from the source of radiation. 
In equation form: 
For Example: If the 
dose is 9 R at 3 
feet, stepping back 
to a distance of 
6 feet will cause 
the dose to 
decrease to 2.25 R.
57cm from x-ray source 50cm from x-ray source
EXPOSURE TIME 
 The amount of radiation received is proportional to 
the length of the exposure time. 
 Minimized by conducting 
procedures as quickly as possible. 
 For Example, using short 
bursts of fluoroscopy. 
Employing image intensifiers & 
Intensifying screens. 
Using high kVp , low maS 
techniques.
BARRIERS & SHIELDING 
 The most commonly used protective material is lead. 
It has a double advantage of high density and high 
atomic number. 
 Lead equivalent: it is the thickness of lead which 
provide the same degree of protection as the material. 
ROOM SHIELDING: 
 Should be located as far as away from areas of high 
occupancy and general traffic. 
 Wall on which primary beam falls should not be less 
than 35 cm thick brick or equivalent. 
 Shielding of 1.7mm lead (23 cm brick) in front of doors 
& windows of x-ray room.
X-RAY CONTROL 
ROOM: 
Walls & viewing 
windows of control 
booth should have lead 
equivalent of 1.5 mm. 
Distance between 
control panel & X-ray 
unit / chest 
stand should be 
minimum 3 meters.
PATIENT WAITING ROOM: 
 Provided outside X-ray room a proper warning signal 
when unit is in use. 
 Warning devices may include audible and visual 
signs.
LEAD APRON:- 
 Typically thickness of 0.5 
mm lead equivalent is 
used. 
 Weight ranges from 2.5 to 
7 kg. 
 Should cover much of red 
bone marrow & breast. 
LEAD GLOVES: 
 Lead salts or metallic lead 
are added to rubber or 
plastic. 
 Lead equivalent of these 
is about ¼ mm.
LEAD GLASS: 
 Made by adding lead salts to silicates , in the 
manufacturing of glass. 
 It is acceptably transparent and a better protective 
material. 
 Contains 60% of lead by weight. 
GONADAL SHIELDING: 
 Must be 0.5 mm of lead. 
 Must be used when gonads will lie within 5 cm of the 
collimated area. 
 Separate male vs. female shielding available.
LEAD GLOVES 
LEAD GLASSES
OVARIAN PROTECTION 
THYROID COLLER 
MALE GONADAL 
SHIELD
 Have standard projections for specific indications. 
 Additional views - on a case-by-case basis 
 Use PA projections, where practical, for chest and spine 
radiographs. 
 Avoid repeating exposures. 
 Use safe exposure factors – high KVp and low mAs 
technique. 
Never stand in the primary beam. 
Always wear protective apparel when not behind a 
protective barrier. 
Always wear a radiation monitor and position it outside the 
protective apron at collar level. 
The person holding the patient must wear protective apron 
and if possible gloves. 
Always collimate to smallest field size appropriate to 
examination.
RADIATION MONITORING DEVICES 
Non-Self Reading Devices: 
1) FILM BADGES: 
 Consist of a small dental–sized film wrapped in light proof 
paper and mounted in a holder filled with metallic filters of 
different thicknesses. 
2) THERMOLUMINESCENT DOSIMETERS (TLD): 
 They are used to measure external 
individual whole body doses from 
X-rays , beta rays & gamma radiation. 
 It consists of a TLD card loaded in a 
cassette (card holder ) having suitable 
metallic & plastic filters.
TLD Ring or Finger badges: 
 Ring or finger badges are worn by fluoroscopists & 
interventional radiologists who usually receive high 
doses to their extremities. 
 The ring dosimeter contains a small radiation-sensitive 
lithium fluoride crystal.
SELF READING DEVICES: 
Real time dose information available 
Needs frequent Calibration checks 
Can be taken from hospital to hospital. 
Good for visiting consultants 
surgeons, anesthetists, 
urologists, gastroenterologists 
etc.
Summary 
 Ionizing radiation use should be only used 
when benefit outweighs possible risks. 
 Every examination should be justified. 
 Optimized protocols for lowering patient dose 
without affecting accurate diagnosis should 
be done. 
 Use all kinds of radiation protection during 
work...It's your life.!
Where to Get More Information (1) 
• The 2007 Recommendations of the International 
Commission on Radiological Protection, ICRP 103, 
Annals of the ICRP 37(2-4):1-332 (2007) 
• UNSCEAR 2008 Report to the General Assembly, 
with scientific annexes, United Nations Scientific 
Committee on the Effects of Atomic Radiation, 
United Nations, Vienna, Austria, 2008 
• Avoidance of radiation injuries from medical 
interventional procedures. ICRP Publication 85. 
Ann ICRP 2000;30 (2). Elsevier 
IAEA 3 : Biological effects of ionizing radiation 75
Ionizing radiation hazards and safety :must know

Ionizing radiation hazards and safety :must know

  • 1.
    Ionizing radiation...Effects andSafety what every physician must know Dr/Ahmed bahnassy Consultant radiologist PSMMC
  • 3.
    Aims of lecture • To become familiar with the mechanisms & biological effects following exposure to ionizing radiation. • To be aware of the risks of ionizing radiation . • To know main safety issues of protection.
  • 4.
    RADIATION:- Radiation isthe energy that comes from a source and travels through some material or space as waves or photons. IONIZING RATIATION:- This kind of radiation on interaction with matter produce charged particles called ions. This type of radiation has enough energy to break chemical bonds. NON-IONIZING RATIATION:- Radiation that does not have enough energy to break chemical bonds but can vibrate atom. It cannot produce ions.
  • 5.
  • 7.
    UNITS OF RADIATION:- 1) Roentgen (R):- Radiaton exposure in a volume of air. 2) Rad:- It is the unit of absorbed dose. The SI unit of absorbed dose is Gray (Gy) 1 Gy=100 rad 3) Rem:- It is the unit of effective dose. Used only in radiation protection. The SI unit is Sievert 1 Sv= 100 rem 1 mSv = 0.001 Sv.
  • 8.
    0.01 mSv 0.5Chest X-ray. 0.02mSv 1 CXR 0.07 mSv 3.5 CXR 1.3mSv 65 CXR 0.7mSv 1.0mSv 2.5mSv 3.0mSv 7.0mSv 35 CXR 50 CXR 125CXR 150CXR 350CXR
  • 9.
    2.3mSv 8.0mSv 10mSv 115 Chest 400 CXR 500 CXR X-rays.
  • 10.
    15 mSv 750CXR 4 mSv 200 CXR 6 mSv 300 CXR
  • 11.
    THYROID SCAN RENALSCAN LUNG PERFUSION 1.0 mSv 1.0 mSv 1.0 mSv 50 CXR 50 CXR 50 CXR BONE SCAN PET HEAD (FDG) CARDIAC GATED 4.0 mSv 5.0 mSv 6.0 mSv 200 CXR 250 CXR 300 CXR
  • 12.
    IIoonniizziinngg RRaaddiiaattiioonn....HHooww eeffffeeccttssaarree pprroodduucceedd IIoonniizziinngg RRaaddiiaattiioonn iiss tthhee rreemmoovvaall ooff aann eelleeccttrroonn ffrroomm aann aattoomm lleeaavviinngg aann uunnssttaabbllee mmoolleeccuullee wwhhiicchh mmaayy tthheenn bbrreeaakk aappaarrtt ttoo ffoorrmm ffrreeee rraaddiiccaallss.. The weapon http://www.paradigmlink.com/ionrad.shtml
  • 13.
    LLiinneeaarr EEnneerrggyy TTrraannssffeerr((LLEETT)) TThhee aavveerraaggee eenneerrggyy ddeeppoossiitteedd ppeerr uunniitt lleennggtthh ooff ttrraacckk.. MMeeaassuurreedd iinn kkiillooeelleeccttrroonn vvoollttss ppeerr mmiiccrroonn ((1100--66 mm))
  • 14.
    LLooww LLEETT //HHiigghh LLEETT  LLooww LLEETT LLooww mmaassss,, iinnccrreeaasseedd ttrraavveell ddiissttaannccee ((ggaammmmaa rraayyss,, xx-- rraayyss)).. SSppaarrsseellyy iioonniizziinngg wwiitthh rraannddoomm iinntteerraaccttiioonnss.. CCaauusseess ddaammaaggee pprriimmaarriillyy tthhrroouugghh iinnddiirreecctt aaccttiioonn oorr mmaayy ccaauussee ssiinnggllee ssttrraanndd bbrreeaakkss ((wwhhiicchh aarree rreeppaaiirraabbllee)).. e- http://staff.jccc.net/PDECELL/biochemistry/dna.gif
  • 15.
    LLooww LLEETT //HHiigghh LLEETT HHiigghh LLEETT – LLaarrggee mmaassss,, ddeeccrreeaasseedd ttrraavveell ddiissttaannccee ((aallpphhaa ppaarrttiicclleess,, pprroottoonnss,, llooww eenneerrggyy nneeuuttrroonnss)).. – CCaauusseess ddeennssee iioonniizzaattiioonn aalloonngg iittss ppaatthh wwiitthh aa hhiigghh pprroobbaabbiilliittyy ooff iinntteerraaccttiinngg ddiirreeccttllyy wwiitthh DDNNAA.. α++ http://staff.jccc.net/PDECELL/biochemistry/dna.gif
  • 16.
    IIoonniizziinngg RRaaddiiaattiioonn Theinjury mechanism TThhee rreeaaccttiioonnss ccaauusseedd bbyy iioonniizziinngg rraaddiiaattiioonn ooccccuurr rraappiiddllyy,, tthheeyy aarree nnoonnsseelleeccttiivvee aanndd rraannddoomm.. TThhee mmaajjoorriittyy ooff ddaammaaggee ccaauusseedd bbyy rraaddiiaattiioonn iiss dduuee ttoo cchheemmiiccaall rreeaaccttiioonnss wwiitthh wwaatteerr wwiitthhiinn tthhee cceellll..
  • 17.
    H2O HOH+ H+ OH* Positively charged water molecule H* OH - e- + H2O HOH-water negatively charged water molecule Hydrogen ion Hydroxyl electron radical water hydrogen radical Hydroxyl ion The negatively charged water molecule dissociates into a hydrogen radical and a hydroxyl ion.
  • 18.
    RReeaaccttiioonnss TThhee pprreevviioouussrreeaaccttiioonnss pprroodduuccee ffrreeee eelleeccttrroonnss ((ee--)),, tthhee iioonnss HH-- aanndd OOHH--,, tthhee ffrreeee rraaddiiccaallss HH** aanndd OOHH**.. TThhee ffaattee ooff tthheessee pprroodduuccttss aarree…………..
  • 19.
    FFrreeee RRaaddiiccaallss AAffrreeee rraaddiiccaall iiss aann aattoomm oorr mmoolleeccuullee tthhaatt hhaass aann uunnppaaiirreedd eelleeccttrroonn iinn iittss vvaalleennccee sshheellll.. TThheessee ffrreeee rraaddiiccaallss aarree nnoonn--sseelleeccttiivvee wwhheenn ppaaiirriinngg uupp wwiitthh eelleeccttrroonnss ffrroomm ootthheerr aattoommss,, iinncclluuddiinngg tthhoossee tthhaatt mmaakkee uupp tthhee DDNNAA mmoolleeccuullee..
  • 20.
    DDiirreecctt AAccttiioonn //IInnddiirreecctt AAccttiioonn DDiirreecctt AAccttiioonn CCaauusseess ddaammaaggee ddiirreeccttllyy ttoo DDNNAA oorr ootthheerr iimmppoorrttaanntt mmoolleeccuulleess iinn tthhee cceellll.. MMoorree lliikkeellyy wwhheenn tthhee bbeeaamm ooff cchhaarrggeedd ppaarrttiicclleess ccoonnssiisstt ooff aallpphhaa ppaarrttiicclleess,, pprroottoonnss,, oorr eelleeccttrroonnss IInnddiirreecctt AAccttiioonn CCaauusseess ddaammaaggee bbyy iinntteerraaccttiinngg wwiitthh tthhee cceelllluullaarr mmeeddiiuumm pprroodduucciinngg ffrreeee rraaddiiccaallss wwhhiicchh tthheenn ddaammaaggee tthhee DDNNAA mmoolleeccuullee.. MMoorree lliikkeellyy wwhheenn xx--rraayyss oorr ggaammmmaa--rraayyss ccoommppoossee tthhee bbeeaamm..
  • 21.
    DDiirreecctt AAccttiioonn //IInnddiirreecctt AAccttiioonn
  • 22.
    DDNNAA DDaammaaggee TThhee aarrrraannggeemmeenntt ooff nniittrrooggeennoouuss bbaasseess pprroovviiddee aa bblluueepprriinntt ffoorr DDNNAA ffoorr tthhee ssyynntthheessiiss ooff ssppeecciiffiicc pprrootteeiinnss nneecceessssaarryy ffoorr iinnddiivviidduuaall cceellll ffuunnccttiioonn..  IInn tthhee eevveenntt ooff aa lloossss oorr cchhaannggee ooff oonnee oorr mmoorree ooff tthhee nniittrrooggeennoouuss bbaasseess........bbaassee sseeqquueennccee aanndd nnoorrmmaall ffuunnccttiioonniinngg ooff tthhee cceellll iiss aalltteerreedd..  AAnnootthheerr ffoorrmm ooff DDNNAA ddaammaaggee dduuee ttoo rraaddiiaattiioonn iinnvvoollvveess aa bbrreeaakk iinn tthhee hhyyddrrooggeenn bboonnddss bbeettwweeeenn tthhee AAddeenniinnee –– TThhyymmiinnee aanndd CCyyttoossiinnee –– GGuuaanniinnee bbaassee ppaaiirrss.. TThheessee bboonnddss ffuunnccttiioonn ttoo kkeeeepp tthhee DDNNAA ssttrraannddss ttooggeetthheerr  BBoonnddss ccaann aallssoo bbrreeaakk bbeettwweeeenn ddeeooxxyyrriibboossee ssuuggaarr aanndd tthhee pphhoosspphhaattee ggrroouuppss wwhhiicchh ccaann lleeaadd ttoo ccrroossss--lliinnkkiinngg ooff DDNNAA The target
  • 23.
    CChhrroommoossoommee AAbbeerrrraattiioonnss IIff tthhee cchhrroommoossoommee ffrraaggmmeennttss aarree nneeaarr oonnee aannootthheerr tthheeyy hhaavvee aa hhiigghh cchhaannccee ooff rreeaattttaacchhiinngg iinn tthheeiirr oorriiggiinnaall ppoossiittiioonn –– ccaauussiinngg nnoo ffuuttuurree ddaammaaggee ttoo tthhee cceellll..AA pprroocceessss kknnoowwnn aass rreessttiittuuttiioonn..  IInn ttrraannssllooccaattiioonnss aanndd iinnvveerrssiioonnss,, nnoo ggeenneettiicc iinnffoorrmmaattiioonn iiss lloosstt,, bbuutt tthhee rreeaarrrraannggeemmeenntt ooff ggeennee sseeqquueennccee wwiillll aalltteerr pprrootteeiinn ssyynntthheessiiss..  IInn aa ddeelleettiioonn,, aa cchhrroommoossoommee ffrraaggmmeenntt iiss nnoott rreepplliiccaatteedd dduurriinngg tthhee nneexxtt mmiittoossiiss,, tthhee ggeenneettiicc iinnffoorrmmaattiioonn iiss lloosstt.. TThhee eeffffeeccttss tthhiiss hhaass oonn tthhee cceellll ddeeppeennddss oonn tthhee aammoouunntt aanndd ttyyppee ooff iinnffoorrmmaattiioonn lloosstt.. The effects Inversion Translocation Deletion
  • 24.
  • 25.
    Outcomes after cellexposure DAMAGE REPAIRED DAMAGE TO DNA CELL DEATH (APOPTOSIS) TRANSFORMED CELL IAEA 3 : Biological effects of ionizing radiation
  • 26.
    DNA Mutation Mutation repaired Cell survives but mutated Viable Cell Cancer ? Cell death Unviable Cell
  • 27.
    Repair of DNAdamage • RADIOBIOLOGISTS ASSUME THAT THE REPAIR SYSTEM IS NOT 100% EFFECTIVE. IAEA 3 : Biological effects of ionizing radiation
  • 28.
  • 29.
  • 30.
    CELL INITIATION Aninitiating event creates a mutation in one of the basal cells
  • 31.
    DYSPLASIA More mutationsoccurred. The initiated cell has gained proliferative advantages. Rapidly dividing cells begin to accumulate within the epithelium.
  • 32.
    BENIGN TUMOR Morechanges within the proliferative cell line lead to full tumor development.
  • 33.
    MALIGNANT TUMOR Thetumor breaks trough the basal lamina. The cells are irregularly shaped and the cell line is immortal. They have an increased mobility and invasiveness.
  • 34.
    METASTASIS Cancer cellsbreak through the wall of a lymphatic vessel or blood capillary. They can now migrate throughout the body and potentially seed new tumors.
  • 35.
    A simple generalizedscheme for multistage oncogenesis Damage to chromosomal DNA of a normal target cell Failure to correct DNA repair Appearance of specific neoplasia-initiating mutation Promotional growth of pre-neoplasm Conversion to overtly malignant phenotype Malignant progression and tumour spread
  • 36.
    RRaaddiioosseennssiittiivviittyy AAccttiivveellyy rreepprroodduucciinnggcceellllss aarree mmoorree rraaddiioosseennssiittiivvee tthhaann mmaattuurree cceellllss.. DDuurriinngg mmiittoossiiss,, tthhee cceellll iiss iinn aa ssttrreesssseedd ssttaattee aanndd sshhoowwss aann iinnccrreeaassee iinn ddaammaaggee ccaauusseedd bbyy rraaddiiaattiioonn.. CCeellllss tthhaatt hhaavvee ddeeccrreeaasseedd lleevveellss ooff ddiiffffeerreennttiiaattiioonn aarree mmoorree rraaddiioosseennssiittiivvee tthhaann ssppeecciiaalliizzeedd cceellllss..
  • 37.
    The Cell Cycle  An ordered set of events, culminating in cell growth and division into two daughter cells  Tc, full mitotic cycle G2 (2nd gap) M (mitosis) S (DNA Synthesis phase) G1 (1st gap) Cells that cease division
  • 38.
    Radiosensitivity & MitoticCycle  Cell cycle components  M, G1, S, G2  Cell cycles times vary largely due to G1  crypt cells, 9 - 10 hours  stem cells (mouse skin) 200 hr  Sensitivity  Cells most sensitive close to mitosis  Resistance greatest in latter part of S  For long G1’s, there is an early resistance period followed by sensitive one at the end of G1  G2 ~ M in sensitivity
  • 39.
    Radiosensitivity High RSMedium RS Low RS Muscle Bones Nervous system Skin Mesoderm organs (liver, heart, lungs…) Bone Marrow Spleen Thymus Lymphatic nodes Gonads Eye lens Lymphocytes (exception to the RS laws) IAEA 3 : Biological effects of ionizing radiation
  • 40.
    FFrraaccttiioonnaattiioonn iinn rraaddiiootthheerraappyy  IInnsstteeaadd ooff aa ssiinnggllee ttrreeaattmmeenntt ccoonnssiissttiinngg ooff aa hhiigghh ddoossee,, ffrraaccttiioonnaattiioonn ddiivviiddeess tthhee ddoossee ttoo bbee ddeelliivveerreedd oovveerr aa ppeerriioodd ooff ttiimmee,, uussuuaallllyy 66--88 wweeeekkss..  AAtt llooww ddoosseess ooff rraaddiiaattiioonn,, nnoorrmmaall cceellllss hhaavvee aann iinnccrreeaasseedd ssuurrvviivvaall rraattee bbeeccaauussee ooff tthheeiirr aabbiilliittyy ttoo rreeppaaiirr ssuubblleetthhaall ddaammaaggee bbeeffoorree tthhee nneexxtt ffrraaccttiioonn ooff rraaddiiaattiioonn iiss ddeelliivveerreedd..  TTuummoorr cceellllss ddoo nnoott ppoosssseessss tthhee rreeppaaiirr eennzzyymmeess nneecceessssaarryy ttoo kkeeeepp uupp wwiitthh tthhee rreeppaaiirrss aanndd aass aa rreessuulltt tthhee cceellll iiss oovveerrwwhheellmmeedd aanndd iiss ddeessttrrooyyeedd.. http://www.usoncology.com/CompanyInfo/PhotoLibrary.asp
  • 41.
    Dose-Response Relationships Two effects of radiation exposure:  deterministic (threshold)  stochastic: cancer  Radiation Standards  set below threshold  set to limit stochastic risk
  • 42.
    Non-Stochastic (Deterministic) Effects  Occurs above threshold dose  Severity increases with dose  Alopecia (hair loss)  Cataracts  Erythema (skin reddening)  Radiation Sickness  Temporary Sterility
  • 43.
    Stochastic (Probabilistic) Effects  Occurs by chance  Probability increases with dose  Carcinogenesis  Mutagenesis  Teratogenesis
  • 44.
    Radiation health effects CELL DEATH DETERMINISTIC Somatic Clinically attributable in the exposed individual STOCHASTIC somatic & hereditary epidemiologically attributable in large populations ANTENATAL somatic and hereditary expressed in the foetus, in the live born or descendants IAEA 3 : Biological effects of ionizing radiation BOTH TYPE OF EFFECTS CELL TRANSFORMATION
  • 45.
  • 46.
    Injury Threshold Doseto Skin (Sv) Weeks to Onset Early transient erythema 2 <<1 Temporary epilation 3 3 Main erythema 6 1.5 Permanent epilation 7 3 Dry desquamation 10 4 Invasive fibrosis 10 Dermal atrophy 11 >14 Telangiectasis 12 >52 Moist desquamation 15 4 Late erythema 15 6-10 Dermal necrosis 18 >10 Secondary ulceration 20 >6 IAEA 3 : Biological effects of ionizing radiation Skin damage from prolonged fluoroscopic exposure Skin reactions
  • 47.
    Skin injuries IAEA3 : Biological effects of ionizing radiation
  • 48.
    Effects in eye • Eye lens is highly RS. • Coagulation of proteins occur with doses greater than 2 Gy. • There are 2 basic effects: Histologic view of eye: From “Atlas de Histologia...”. J. Boya Detectable 0.5-2.0 > 0.1 opacities Eye lens is highly RS, moreover, it is surrounded by highly RS cuboid cells. 5.0 > 0.15 Visual impairment (cataract) IAEA 3 : Biological effects of ionizing radiation Sv/year for many years Sv single brief exposure Effect
  • 49.
    Whole body response:adult Acute irradiation syndrome Chronic irradiation syndrome Steps: 1. Prodromic (onset of disease) 2. Latency 3. Manifestation Lethal dose 50 / 30 IAEA 3 : Biological effects of ionizing radiation 49 Survival time Dose BONE MARROW GASTRO INTESTINA L CNS (central nervous system) 1-10 Gy 10 - 50 Gy > 50 Gy •Mechanism: Neurovegetative disorder •Similar to a sick feeling •Quite frequent in fractionated radiotherapy
  • 50.
    Threshold Doses forDeterministic Effects • Cataracts of the lens of the eye 2-10 Gy • Permanent sterility • males 3.5-6 Gy • females 2.5-6 Gy • Temporary sterility • males 0.15 Gy • females 0.6 Gy Severity of effect dose threshold
  • 51.
    Symptoms of AcuteRadiation Sickness  Three categories (E. Hall, 1994)  Hemopoietic: 3-8 Gy LD50/60  radiation damages precursors to red/white blood cells & platelets  prodromal may occur immediately  symptoms: septicemia,  survival mixed  examples include Chernobyl personnel (203 exhibited symptoms, 13 died)
  • 52.
    Symptoms, continued Gastrointestinal : >10 Gy  radiation depopulates GI epithelium (crypt cells)  abdominal pain/fever, diarrhea, dehydration  death 3 to 10 days (no record of human survivors above 10 Gy)  examples include Chernobyl firefighters  Cerebrovascular : > 100 Gy  death in minutes to hours
  • 53.
    Delayed Effects SOMATIC: they affect the health of the irradiated person. They are mainly different kinds of cancer (leukemia is the most common, with a delay period of 2-5 years, but also colon, lung, stomach cancer…)  GENETIC: they affect the health of the offspring of the irradiated person. They are mutations that cause malformation of any kind (such as mongolism)
  • 55.
    RADIATION PROTECTION Basedon two components. A) JUSTIFICATION. B) OPTIMIZATION. JUSTIFICATION:- Applications of ionising radiation are only justified when they provide a net benefit with minimization of risks of radiation for people.
  • 56.
    GUIDELINES FOR REFERRINGPHYSICIANS:- 1) Repeating investigations which have already been done: For example at other hospital, in an outpatient department, or in an accident and emergency department. HAS IT BEEN DONE ALREADY? Every attempt should be made to get previous films. 2) Investigation when results are unlikely to affect patient management: The anticipated 'positive' finding is usually irrelevant, e.g. degenerative spinal disease (as 'normal' as white hairs in old age) or because a positive finding is so unlikely. DO I NEED IT?
  • 57.
    3) Investigating toooften:- i.e. before the disease could have progressed or resolved or before the results could influence treatment. DO I NEED IT NOW? Or some clinicians tend to rely on investigations more than others. ARE TOO MANY INVESTIGATIONS BEING PERFORMED? 4) Doing the wrong investigation:- Imaging techniques are developing rapidly. It is often helpful to discuss an investigation with a specialist in clinical radiology or nuclear medicine before it is requested. IS THIS THE BEST INVESTIGATION? 5) Failing to provide appropriate clinical information & questions that imaging Investigation should answer. Deficiencies here may lead to the wrong technique being used (e.g. the omission of an essential view). HAVE I EXPLAINED THE PROBLEM?
  • 58.
    OPTIMIZATION:- Once apractice is justified, the exposure to ionising radiation should be kept as low as reasonably achievable (ALARA).
  • 59.
    FUNDAMENTAL PRINCIPLES OF RADIATION PROTECTION: 1. Distance. 2. Exposure time. 3. Barriers & Shielding.
  • 60.
    DISTANCE INVERSE SQUARELAW: Intensity of radiation is inversely proportional to the square of the distance from the source of radiation. In equation form: For Example: If the dose is 9 R at 3 feet, stepping back to a distance of 6 feet will cause the dose to decrease to 2.25 R.
  • 61.
    57cm from x-raysource 50cm from x-ray source
  • 62.
    EXPOSURE TIME The amount of radiation received is proportional to the length of the exposure time.  Minimized by conducting procedures as quickly as possible.  For Example, using short bursts of fluoroscopy. Employing image intensifiers & Intensifying screens. Using high kVp , low maS techniques.
  • 63.
    BARRIERS & SHIELDING  The most commonly used protective material is lead. It has a double advantage of high density and high atomic number.  Lead equivalent: it is the thickness of lead which provide the same degree of protection as the material. ROOM SHIELDING:  Should be located as far as away from areas of high occupancy and general traffic.  Wall on which primary beam falls should not be less than 35 cm thick brick or equivalent.  Shielding of 1.7mm lead (23 cm brick) in front of doors & windows of x-ray room.
  • 64.
    X-RAY CONTROL ROOM: Walls & viewing windows of control booth should have lead equivalent of 1.5 mm. Distance between control panel & X-ray unit / chest stand should be minimum 3 meters.
  • 65.
    PATIENT WAITING ROOM:  Provided outside X-ray room a proper warning signal when unit is in use.  Warning devices may include audible and visual signs.
  • 66.
    LEAD APRON:- Typically thickness of 0.5 mm lead equivalent is used.  Weight ranges from 2.5 to 7 kg.  Should cover much of red bone marrow & breast. LEAD GLOVES:  Lead salts or metallic lead are added to rubber or plastic.  Lead equivalent of these is about ¼ mm.
  • 67.
    LEAD GLASS: Made by adding lead salts to silicates , in the manufacturing of glass.  It is acceptably transparent and a better protective material.  Contains 60% of lead by weight. GONADAL SHIELDING:  Must be 0.5 mm of lead.  Must be used when gonads will lie within 5 cm of the collimated area.  Separate male vs. female shielding available.
  • 68.
  • 69.
    OVARIAN PROTECTION THYROIDCOLLER MALE GONADAL SHIELD
  • 70.
     Have standardprojections for specific indications.  Additional views - on a case-by-case basis  Use PA projections, where practical, for chest and spine radiographs.  Avoid repeating exposures.  Use safe exposure factors – high KVp and low mAs technique. Never stand in the primary beam. Always wear protective apparel when not behind a protective barrier. Always wear a radiation monitor and position it outside the protective apron at collar level. The person holding the patient must wear protective apron and if possible gloves. Always collimate to smallest field size appropriate to examination.
  • 71.
    RADIATION MONITORING DEVICES Non-Self Reading Devices: 1) FILM BADGES:  Consist of a small dental–sized film wrapped in light proof paper and mounted in a holder filled with metallic filters of different thicknesses. 2) THERMOLUMINESCENT DOSIMETERS (TLD):  They are used to measure external individual whole body doses from X-rays , beta rays & gamma radiation.  It consists of a TLD card loaded in a cassette (card holder ) having suitable metallic & plastic filters.
  • 72.
    TLD Ring orFinger badges:  Ring or finger badges are worn by fluoroscopists & interventional radiologists who usually receive high doses to their extremities.  The ring dosimeter contains a small radiation-sensitive lithium fluoride crystal.
  • 73.
    SELF READING DEVICES: Real time dose information available Needs frequent Calibration checks Can be taken from hospital to hospital. Good for visiting consultants surgeons, anesthetists, urologists, gastroenterologists etc.
  • 74.
    Summary  Ionizingradiation use should be only used when benefit outweighs possible risks.  Every examination should be justified.  Optimized protocols for lowering patient dose without affecting accurate diagnosis should be done.  Use all kinds of radiation protection during work...It's your life.!
  • 75.
    Where to GetMore Information (1) • The 2007 Recommendations of the International Commission on Radiological Protection, ICRP 103, Annals of the ICRP 37(2-4):1-332 (2007) • UNSCEAR 2008 Report to the General Assembly, with scientific annexes, United Nations Scientific Committee on the Effects of Atomic Radiation, United Nations, Vienna, Austria, 2008 • Avoidance of radiation injuries from medical interventional procedures. ICRP Publication 85. Ann ICRP 2000;30 (2). Elsevier IAEA 3 : Biological effects of ionizing radiation 75