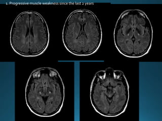
1. Progressive muscle weakness since the last 2 years
hydrocephalus
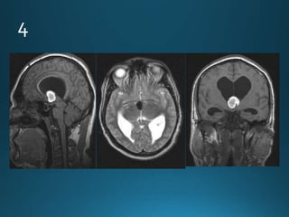
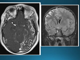
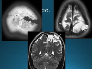
Giant cerebral aneurysms are ones that measure >25 mm in
greatest dimension.
Clinical presentation
Patients can present with symptoms and signs of mass effect
or subarachnoid haemorrhage 1,2.
Pathology
Most commonly represent saccular cerebral aneurysms but
may also be fusiform or serpentine in morphology .They are
thought to develop via two pathways :
• internal elastic lamina de novo defect
• enlargement from a smaller aneurysm
.
MRI
On MRI also the patent and thrombosed aneurysm display different imaging
features:
T1
most of the patent aneurysm appears as flow void, or they may show
heterogeneous signal intensity
in thrombosed aneurysm appearance depends on the age of clot within the
lumen
T2
typically hypointense
laminated thrombus may show a hyperintense rim
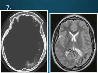
Sturge-Weber syndrome (SWS), or encephalotrigeminal angiomatosis, is a phakomatosis
characterised by facial port wine stains and pial angiomas
CT
detects subcortical calcification at an earlier age than plain film and can also demonstrate
associated parenchymal volume loss
'tram-track' subcortical calcification
MRI
T1: signal of affected region largely normal, with anatomic volume loss evident at older age
T1 C+ (Gd)
prominent leptomeningeal enhancement in affected area
T2
low signal in white matter subjacent to angioma representing
calcification later in life
abnormal deep venous drainage seen as flow voids
GE/SWI/EPI: sensitive to calcification, seen as regions of signal drop out
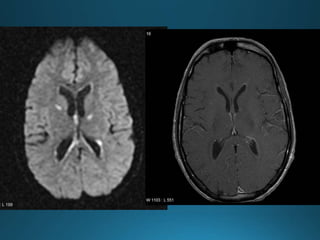
État criblé, also known as status cribrosum, is a term that describes the diffusely widened
perivascular spaces (Virchow-Robin spaces) in the basal ganglia, especially in the corpus
striatum. It is usually symmetrical, with the perivascular spaces showing CSF signal and
without diffusion restriction
11.
External auditory canal atresia (EACA) is characterised by complete or incomplete
bony atresia of the external auditory canal (EAC)
Findings in the middle ear are variable and the inner ear and inner auditory canal are
typically normal
number of syndromes are associated with external auditory canal atresia 2.These
include:
• Crouzon syndrome
• Treacher Collins syndrome
• Goldenhar syndrome
• Pierre Robin syndrome
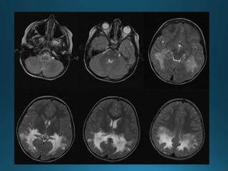
Cerebral Autosomal DominantArteriopathy with Subcortical Infarcts and
Leukoencephalopathy (CADASIL) is characterised by recurrent lacunar and
subcortical white matter ischaemic strokes and vascular dementia in young and
middle age patients without known vascular risk factors
autosomal dominant trait
recurrentTIA and dementia
MRI:
widespread confluent white matter hyperintensities . More circumscribed
hyperintense lesions are also seen in the basal ganglia, thalamus and pons
There is relative sparing of the occipital and orbitofrontal subcortical white matter 2,
subcortical U-fibers and cortex
MRI
In CMV encephalitis, there is usually only non specific increasedT2/FLAIR
signal in the white matter. If ventriculitis is also present then enhancement of
the ependymal surface and hydrocephalus may also be seen.
highT2 white matter change most prominent in a periventricular distribution
no enhancement (unless ventriculitis present, in which case 30% or so will
enhance)
no mass effect (often seen with concurrent atrophy)
Cytomegalovirus (CMV) encephalitis is a CNS infection that
almost always develops in the context of profound
immunosuppression
Adrenoleukodystrophy (ALD) is a x-linked inherited metabolic peroxisomal
disorder characterised by lack of oxidation of very long chain fatty acids
(VLCFAs) that results in severe inflammatory demyelination of the
periventricular deep white matter with posterior-predominant pattern and early
involvement of the splenium of the corpus callosum and periatrial white matter
changes
MRI
A majority of cases tend to show symmetrical cerebral white matter signal change involving
the posterior (occipitoparietal) periventricular white matter (i.e. posterior cerebral, around
splenium and peritrigonal white matter).
Signal intensity
T1
central zone: hypo-intense
T2
central zone: markedly hyperintense
intermediate zone: isointense to hypointense
peripheral zone: moderately hypointense
19.
Radiology Spotters
Radiology Spotters
Radiology Spotters
Radiology Spotters
Radiology Spotters
Radiology Spotters
Radiology Spotters
Radiology Spotters
Radiology Spotters
Radiology Spotters
Radiology Spotters
Radiology Spotters
Radiology Spotters
Radiology Spotters
Radiology Spotters
Radiology Spotters
Radiology Spotters
Radiology Spotters
Radiology Spotters

Radiology Spotters

  • 2.
    1. Progressive muscleweakness since the last 2 years
  • 13.
  • 16.
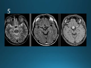
    Giant cerebral aneurysmsare ones that measure >25 mm in greatest dimension. Clinical presentation Patients can present with symptoms and signs of mass effect or subarachnoid haemorrhage 1,2. Pathology Most commonly represent saccular cerebral aneurysms but may also be fusiform or serpentine in morphology .They are thought to develop via two pathways : • internal elastic lamina de novo defect • enlargement from a smaller aneurysm .
  • 17.
    MRI On MRI alsothe patent and thrombosed aneurysm display different imaging features: T1 most of the patent aneurysm appears as flow void, or they may show heterogeneous signal intensity in thrombosed aneurysm appearance depends on the age of clot within the lumen T2 typically hypointense laminated thrombus may show a hyperintense rim
  • 25.
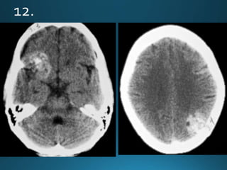
    Sturge-Weber syndrome (SWS),or encephalotrigeminal angiomatosis, is a phakomatosis characterised by facial port wine stains and pial angiomas CT detects subcortical calcification at an earlier age than plain film and can also demonstrate associated parenchymal volume loss 'tram-track' subcortical calcification MRI T1: signal of affected region largely normal, with anatomic volume loss evident at older age T1 C+ (Gd) prominent leptomeningeal enhancement in affected area T2 low signal in white matter subjacent to angioma representing calcification later in life abnormal deep venous drainage seen as flow voids GE/SWI/EPI: sensitive to calcification, seen as regions of signal drop out
  • 29.
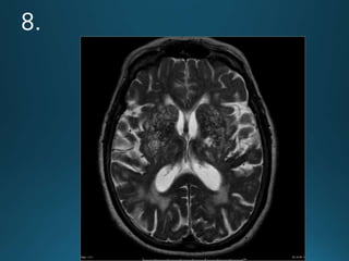
    État criblé, alsoknown as status cribrosum, is a term that describes the diffusely widened perivascular spaces (Virchow-Robin spaces) in the basal ganglia, especially in the corpus striatum. It is usually symmetrical, with the perivascular spaces showing CSF signal and without diffusion restriction
  • 37.
  • 53.
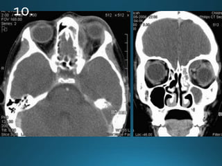
    External auditory canalatresia (EACA) is characterised by complete or incomplete bony atresia of the external auditory canal (EAC) Findings in the middle ear are variable and the inner ear and inner auditory canal are typically normal number of syndromes are associated with external auditory canal atresia 2.These include: • Crouzon syndrome • Treacher Collins syndrome • Goldenhar syndrome • Pierre Robin syndrome
  • 56.
    Cerebral Autosomal DominantArteriopathywith Subcortical Infarcts and Leukoencephalopathy (CADASIL) is characterised by recurrent lacunar and subcortical white matter ischaemic strokes and vascular dementia in young and middle age patients without known vascular risk factors autosomal dominant trait recurrentTIA and dementia MRI: widespread confluent white matter hyperintensities . More circumscribed hyperintense lesions are also seen in the basal ganglia, thalamus and pons There is relative sparing of the occipital and orbitofrontal subcortical white matter 2, subcortical U-fibers and cortex
  • 60.
    MRI In CMV encephalitis,there is usually only non specific increasedT2/FLAIR signal in the white matter. If ventriculitis is also present then enhancement of the ependymal surface and hydrocephalus may also be seen. highT2 white matter change most prominent in a periventricular distribution no enhancement (unless ventriculitis present, in which case 30% or so will enhance) no mass effect (often seen with concurrent atrophy) Cytomegalovirus (CMV) encephalitis is a CNS infection that almost always develops in the context of profound immunosuppression
  • 64.
    Adrenoleukodystrophy (ALD) isa x-linked inherited metabolic peroxisomal disorder characterised by lack of oxidation of very long chain fatty acids (VLCFAs) that results in severe inflammatory demyelination of the periventricular deep white matter with posterior-predominant pattern and early involvement of the splenium of the corpus callosum and periatrial white matter changes MRI A majority of cases tend to show symmetrical cerebral white matter signal change involving the posterior (occipitoparietal) periventricular white matter (i.e. posterior cerebral, around splenium and peritrigonal white matter). Signal intensity T1 central zone: hypo-intense T2 central zone: markedly hyperintense intermediate zone: isointense to hypointense peripheral zone: moderately hypointense
  • 66.