Radiology Spotters
mixed collection
RADIOLOGY SPOTTER COLLECTION (MOST VVI )
DR PRADEEP
Persistent primitive trigeminal artery
Variant anatomy of the aortic arch
Right aortic arch with aberrant left subclavian artery
Double aortic arch
Aberrant right subclavian artery
Aberrant left pulmonary artery
Bovine arch is the most common variant of the aortic arch and occurs when
the brachiocephalic (innominate) artery shares a common origin with the
left common carotid artery
CCF(Caroticocavernous fistula).
Carotid body tumor
Carotid body tumor
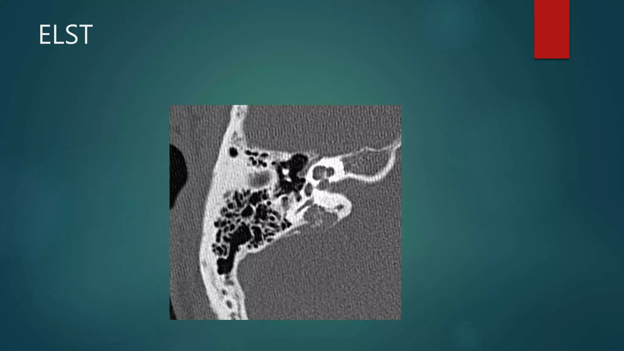
Glomus juglare/jugulotympanicum
ELST
Ependymoma
Medulloblastoma
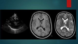
Cerebellar hemangioblastma
Pilocytic astrocytoma
Pleomorphic xanthoastrocytoma
Ganglioglioma
Central neurocytoma
Tuberous sclerosis or Bourneville
disease
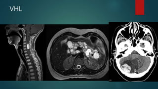
VHL
HIPPEL
• H: haemangioblastoma
• I: increased risk of renal cell cancer
• P: phaeochromocytoma
• P: pancreatic lesions (cyst, cystadenoma, cystadenocarcinoma)
• E: eye dysfunction (retinal haemangioblastoma), endolymphatic sac
tumours
• L: liver, renal and pancreatic cysts
NF1 or von Recklinghausen
disease,
• CAFE SPOT
 Mnemonic
• C: café-au-lait spots (greater than six seen during one year)
• A: axillary or inguinal freckling
• F: fibromas (neurofibroma (two or more) or plexiform
neurofibroma (one))
• E: eye hamartomas (Lisch nodules)
• S: skeletal abnormalities, e.g. sphenoid wing dysplasia, leg bowing
• P: positive family history
• OT: optic tumour (optic nerve glioma)
NF2
Mnemonics
 MISME
• M: multiple
• I: inherited
• S: schwannomas
• M: meningiomas and
• E: ependymomas
 Rule of 2s
• neurofibromatosis type 2
• chromosome 22 (22q12) gene location
• bilateral vestibular schwannomas
• presents in 2nd-4th decades (around 20 years)
• initial prevalence estimated to be 1:200,000
Renal important spotter
Megaureter
Ectopic kidney and pancake kidney
Horseshoe kidney
Supernumerary kidney
Renal tb
Papillary necrosis
Bladder tb
Medullary nephrocalcinosis
•HAM HOP
Mnemonic
•H: hyperparathyroidism
•A: (renal tubular) acidosis
•M: medullary sponge kidney
•H: hypercalcaemia/hypercalciuria
•O: oxalosis
•P: papillary necrosis
Cortical nephrocalcinosis
•G: (chronic) glomerulonephritis
•O: oxalosis
•A: Alport syndrome/ Acute cortical necrosis
•T: Transplant rejection (Chronic)
MLD(Metachromatic leukodystrophy)
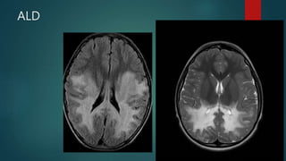
ALD
Canavans
Alexander disease
Wilson disease
Leigh syndrome
or subacute necrotising encephalomyelopathy
(SNEM)
Wernicke's encephalopathy
MS
TM
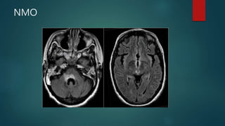
NMO
ADEM
SACD
Spinal cord ischemia
Spinal AVF
Diastematomyelia
 Diastematomyelia, also known as a split cord malformation, refers to a
type of spinal dysraphism (spina bifida occulta) when there is a longitudinal
split in the spinal cord.
Spinal cord tumor
Ependymoma
Spinal astrocytoma - thoracic
Haemangioblastoma
HOD
Lateral medullary syndrome
Osmotic pontine demyelination
PAGETS
Signs of Paget’s disease
There are many Paget disease-related signs,
listed here and described in the modality-
specific sections below:
•banana fracture
•blade of grass sign
•cotton wool appearance of bone
•ivory vertebra sign
•jigsaw pattern bone or mosaic pattern bone
•Lincoln sign
•Looser zones
•Mickey Mouse sign
•osteoporosis circumscripta
•picture frame vertebra
•Tam o' Shanter sign
Fibrous Dysplasia
Hyperostosis frontalis interna
Hyperparathyroidism
Ankylosing Spondylitis
PSORITIC
EROSIVE
 Erosive osteoarthritis has a predilection for the hands. The
dominant features are those of osteoarthritis, particularly in
terms of distribution:
• distal interphalangeal (DIP) joints
• proximal interphalangeal (PIP) joints
• first carpometacarpal (CMC) joint
 Additional characteristic features include:
• diffuse cartilage loss, with joint space narrowing
• subchondral erosions (at least two central erosions affecting
separate interphalangeal joints); typical central location of the
erosions produces the classic "gull-wing" appearance
• joint ankylosis
• absence of 2
• marginal erosions
• fusiform soft-tissue swelling
• osteopenia
RA
 MRI is particularly sensitive to the early and subtle features of RA.
 Commonly used sequences include T1-weighted contrast-enhanced spin-echo with fat saturation and T2-weighted spin-echo or
gradient-echo sequences 2.
 Features of RA best demonstrated with MRI include 2:
• synovial hyperaemia: an indication of acute inflammation
• synovial hyperplasia (rice bodies)
• pannus formation
• decreased thickness of cartilage
• subchondral cysts and erosions:
• MRI is much more sensitive than radiography
• it is thought that subchondral cysts in RA eventually progress to erosions (i.e. constitute "pre-erosions")
• contrast enhancement may distinguish erosions or pre-erosions from degenerative subchondral cysts
• juxta-articular bone marrow oedema
• joint effusions
RA
RA
GOUT
Distribution
NEUROPATHIC
 Charcot joint, also known as a neuropathic joint or Charcot (neuro/osteo)arthropathy, refers to a
progressive degenerative/destructive joint disorder in patients with abnormal pain sensation and
proprioception.
BONE TUMOR
Osteoid osteoma/osteoblastoma
Chondroblastoma
Osteochondroma/exostosis
 They are usually sporadic, but can be part of:
• hereditary multiple exostoses (HME): also known as diaphyseal aclasis
• Trevor disease: also known as dysplasia epiphysealis hemimelica
Chondrosarcoma
Osteosacrcoma parosteal type
Synovial chondromatosis
Tumoral calcinosis
Myositis ossificans
Ewing's
Osteosarcoma
Osteosarcoma Calcified mets in lungs
Parosteal sarcoma
Synovial sarcomas
BARIUM
Barret esophagus
Apthoid ulcer
ccam
Pulmonary Stenosis
Mitral Stenosis
CELIAC disease
Pulmonary sling
Dermatomyositis
Gamekeeper thumb
volvulus
Chronic ureteritic cystica
Posterior mediastinal mass
Zenker’s diverticula
Epiphrenic diverticula
Focal cortical defect
Meckel's diverticula
Caustic esophagus
Neck: Enlarged tonsil and adenoid
Croup
 Croup, also known as acute laryngotracheobronchitis, is due to viral infection of
the upper airway by parainfluenza virus or respiratory syncytial virus (RSV)
Epiglottitis
Retropharyngeal abscess
Retropharyngeal abscess
2nd brachial cleft cyst
Many more will be added ……….
WMD
SMA , nutcracker, median arcuate
syndrome
RDS
Meconium aspiration
TTN
BPD
PIE
CLE
PUL. Sequestration
Pedia git/gut(Liver, renal and adrenal)
 TEF
 Achlasia
Pedia CVS

Radiology Spotters mixed collection ppt

Editor's Notes

  • #3 Digital subtraction angiogram of the internal carotid artery, lateral view, demonstrates a large tortuous vessel (arrow) passing from the internal carotid artery (open arrow) to the basilar artery (arrowhead), and supplying the posterior circulationLarge persistent trigeminal artery passing from the left ICA to the terminal basilar artery via the cavernous sinus.  Note the grossly hypoplastic vertebro-basilar arterial system as a result of this congenital anomaly with most posterior circulation blood coming from the left ICA via the trigeminal artery Persistent primitive trigeminal artery (PPTA) is one of the persistent carotid-vertebrobasilar anastomoses.
  • #4 There is direct communication between the basilar artery and left internal carotid artery, in keeping with a persistent left trigeminal artery
  • #6 Persistent smooth posterior oesophageal indentation, suggestive of vascular impression
  • #7 First vessel from the arch is the left commmon carotid artery. Bilateral calcified pleural plaques. Thrombosed ligamentum arteriosum. Kommerell's diverticulum/dilatation of the origin of the left subclavian artery causes compression of the left brachiocephalic vein resulting in contrast entering the heart via alternative routes
  • #8 This anomaly is caused by persistence of the right and left embryonic fourth aortic arches, which results in formation of a vascular ring from the splitting of the ascending aorta into two limbs that pass to either side of the trachea and oesophagus 5 (both of which get encircled), which then join as a single descending aorta
  • #9 Aberrant right subclavian arteries (ARSA), also known as arteria lusoria, are one of the commonest of the aortic arch anomalies.  Instead of being the first branch (with the right common carotid as the brachiocephalic artery), it arises on its own as the fourth branch, distal to the left subclavian artery. It then hooks back to reach the right side with its relationship to the oesophagus variable: 80% posterior to the oesophagus 15% between oesophagus and trachea 5% anterior to the trachea aneurysmal dilatation (aberrant subclavian arterial aneurysms) of the proximal portion of an aberrant right subclavian artery can occur, a pouch-like aneurysmal dilatation is called a diverticulum of Kommerell
  • #11 Aberrant left pulmonary artery, also known as pulmonary sling, represents an anatomical variant characterised by the left pulmonary artery arising from the right pulmonary artery and passing above the right main bronchus and in between the trachea and oesophagus to reach the left lung. It may lead to compression and focal stenosis of the trachea Fluoroscopy In most instances, the barium oesophagogram characteristically shows a mass between the trachea and the oesophagus just above the level of the carina, usually seen as an anterior indentation over the oesophagus
  • #31 Post contrast T1 axial imaging demonstrates bilateral enhancing masses in the cerebellopontine angle, larger on the left. Both can be seen extending into the internal acoustic meatii and are consistent with acoustic schwannomas. The fact that they are bilateral almost certainly indicates that the patient has NF2.  There are multiple enhancing nodular lesions spread throughout all the spinal canal and going through some vertebral foramina Mixed solid-cystic mass arising from the fourth ventricle and causing mass effect on the brainstem. There was also resultant obstructive hydrocephalus, not shown here. The mass appears to ‘ooze’ out of the foramen of Magendie. There was no associated spinal lesion. Classical ‘plastic’ ependymoma
  • #38 Pancake kidney (also known as discoid kidney, disc kidney, lump kidney, fused pelvic kidney or cake kidney) is a rare renal fusion anomaly of the kidneys of the crossed fused variety.
  • #49 Characterised by bilateral symmetrical confluent areas of periventricular deep white matter signal change, in particular around the atria and frontal horns with sparing of subcortical U fibres leading to a "butterfly pattern". Progression can lead to cortical and subcortical atrophy T2:affected areas are high signal and may show a "tigroid pattern" on axial plane or "leopard pattern" on sagittal plane representing sparing along the venules subcortical U-fibres are usually spared
  • #50 five different MRI patterns of adrenoleukodystrophy based on the involved anatomic locations and MR patterns of progression: deep white matter in the parieto-occipital lobes and splenium of the corpus callosum (66% of cases, chiefly in children); may include lesions of the visual and auditory pathways frontal lobe or genu of the corpus callosum (15.5%, mostly in adolescents) frontopontine or corticospinal projection fibres (12%, mostly in adults) cerebellar white matter (1%, mostly in adolescents) combined parieto-occipital and frontal white matter (2.5%, mostly children) There tends to be cortical and subcortical U-fibre sparing
  • #51 MRI confirms the megalencephalic appearance and provides more detail of the white matter disease, which is typically diffuse, bilateral, and involving the subcortical U-fibres
  • #53 Diffuse T2 hyperintensities and restricted DWI signal of the pons with extension into the middle cerebellar peduncles. Also similar increased T2 signal of the symmetric basal ganglia, including the caudate nuclei, putamina, as well as the ventrolateral thalami, without the restriction of diffusion. 2. On MRI images seen T2, FLAIR hyperintensity in medulla oblangata, pons, both thalami and putamen, and the caudate nuclei.  Additionally an cavum septum pellucidum and cavum vergae.
  • #54 There is symmetric marked hyperintense signal intensity on T2/FLAIR imaging and restricted diffusion in the dentate nuclei, inferior cerebellar peduncles, lateral fourth ventricle floor in the expected locations of the vestibular tract and in the expected tract of the vestibular cochlear nerve. Also present, is diffusion restriction in the posterior columns of the proximal cervical cord, anteriorly in the inferior medulla, and punctate symmetric foci of restricted diffusion in the inferior colliculi of the quadrigeminal plate and medial geniculate bodies. There is mild high signal on FLAIR and diffusion weighted imaging involving the bilateral putamen 2nd image is dwi image
  • #55  1. Selected FLAIR MRI images of the brain demonstrates hyperintensities in the periaqueductal region and the medial thalami. Note that this is on a background of global cerebral atrophy with CSF spaces more prominent than would normally be expected for a patient of 45 years old. 2.Hyperintense signals in the bilateral medial thalami and periventricular regions of third ventricle on FLAIR images, consistent with Wernicke encephalopathy 3.Abnormal signal bilateral and symmetrical involving the medial and posterior aspect of both thalami displaying bright signal in DWI, T2 and FLAIR.
  • #57 Focal inflammatory disorder of the spinal cord resulting in motor, sensory and autonomic dysfunction. Imaging findings: More than 2/3 of the cross sectional area is involved. Focal enlargement. T2WI hyperintensity Enhancement + / -. Two forms of TM: Acute partial transverse myelitis - APTM Lesions extending less than two Segments. These patients are at risk of developing MS. Acute complete transverse myelitis - ACTM Lesions extending more than two Segments
  • #63 Arterial infarction Spinal cord ischemia is typically seen as a complication of aortic aneurysm surgery or stenting. The images are of a patient who developed a paraparesis after stenting of an aortic aneurysm. Notice the high signal ventrally in the chord, which is typical for arterial infarction. On transverse images a typical snake-eye appearance can be seen.
  • #64 Notice the high signal in the lower thoracic cord and the surrounding dilated vessels on the T2WI. On the enhanced T1WI there is subtle enhancement.
  • #67 T2 hyperintense expansion of the thoracic cord is demonstrated. The main mass effect is centred  between T5 and T8 but abnormal high T2 signal extends between T4 and T11. Postcontrast images demonstrate patchy irregular peripheral enhancement of this lesion, and central low intensity.  No definite evidence of blood products/haemorrhage although some T2 hypointensity is seen.No further intra medullary lesion is identified.
  • #68 Lower thoracic cord is a vividly enhancing nodule with associated prominent serpiginous flow voids both within the mass and over the surface of the cord, and among the cauda equina. It is an isolated abnormality, associated with marked expansion of the entire cord by a large syrinx.  Selected MRI images demonstrate multiple enhancing intramedullary lesions, the largest at C4/5, with an associated syrinx. 
  • #72 1.Paget involvement of the skull, with widening of the diploic space, typical "cotton wool" appearance and over-riding enlarged frontal bone (Tam o' Shanter sign). 2. Marked thickening of the calvarium. The diploic space is widened and there are ill-defined sclerotic and lucent areas throughout. The cortex is thickened and irregular. 3. Osteosarcoma in Paget disease
  • #77 1.chalk stick fracture-Single sagittal image of the lumbar spine demonstrates a fracture extending from the anterior disc margin, through the inferior body of L1 and through the posterior elements. Note extensive syndesmophytic fusion of the discs spaces and posterior elements consistent with ankylosing spondylitis. 2.Typical features of ankylosing spondylitis with syndesmophytes, bamboo spine and bony fusion of posterior elements (dagger sign). 3.Throughout the spine, the vertebral bodies are fused by marginal syndesmophytes giving the appearance of Bamboo spine.
  • #80 1. Severe joint space narrowing at the first carpometacarpal joint and the interphalangeal joints. At the first carpometacarpal joint there is associated subchondral sclerosis and cyst formation. There are also subchondral central erosions at the heads of the proximal phalanges with marginal osteophytes involving the distal phalangeal bases, demonstrating gull wing deformity through the second and fifth digits. Severe joint space narrowing, subchondral sclerosis, and erosive changes of the scaphoid-trapezium and scaphoid-trapezoid joints. Narrowing of the radiocarpal joint. Diffuse osteopenia. Findings are keeping with erosive osteoarthritic changes 2. Extensive erosive changes and alignment abnormalities are observed along the articular surfaces of the 2nd through 5th PIP and DIP joints bilaterally, as well as at the 1st IP, MCP and carpometacarpal joints bilaterally. These erosive changes assume a gull wing appearance. The alignment abnormalities involving the 1st digits resemble a hitchhiker's thumb. There are no significant erosive changes involving the radiocarpal or intercapral joints, and the 2nd-5th MCP joints are also spared. 
  • #82 Almost total loss of radiocarpal, carpometacarpal and intercarpal joint spaces associated with multiple radial and carpal bone small subchondral cysts and bony fusion of trapezium, trapezoid and scaphoid bones. Diagnosis: Advanced rheumatoid arthriti
  • #83 Erosive changes of intercarpal, carpometacarpal anX-ray (both hands) findings: Loss of intercarpal, carpometacarpal and distal radio-ulnar joint spaces ulnar deviation of MCP joints extension deformity of DIPs (Boutonierre deformity) and hitchhiker thumb deformit d metacarpophalangeal of the 2nd finger of right hand. Left elbow and left knee are affected as well.
  • #84 Punched-out juxta-articular erosions of the first and fifth metatarsal heads with overhanging edges are typical for gout. Overlying soft tissue swelling and increased density represent tophi.
  • #86 There is destruction and deformity of the tarsal bones characterised by sclerosis, joint space narrowing, cortical irregularities, and loose bodies. Lisfranc injury involving the second to fifth tarsometatarsal joints with lateral dislocation. Cortical thickening and sclerosis involving the proximal second to fifth metatarsal bones. Local soft tissue oedema. Destruction, disorganisation and fragmentation of the subtalar and inter-tarsal joints, associated with soft tissue tumefaction and multiple bone fragments. 
  • #88 1. A sharply defined lucent lesion is centred on the epiphysis of the distal femur, and appears to transgress the growth plate (which remains open). It has a narrow zone of transition and no convincing matrix calcification. Anteriorly it appears to abut the articular surface, possibly breaching it. A joint effusion is present. No periosteal reaction is present 2.Chondroblastoma in right lateral femoral condyle with low T1W and high T2W/STIR internal signal and surrounding bone marrow oedema
  • #89 2. A large posteromedial bony projection is demonstrated involving the distal one quarter of the femoral shaft. It is continuous with the medullary cavity and has an irregular medial margin without large soft tissue component or fracture. Severe narrowing of the medial and patellofemoral joint compartments and marginal osteophyte formations indicate degenerative disease of the knee.
  • #93 There are numerous similar-sized intra-articular loose bodies of variable signal intensity, some of them are showing intermediate to high signal intensity that is of cartilage.  Others have low signal intensity at the periphery, which represents ossification. The joint capsule is distended with a little fluid and these numerous loose bodies Synovial chondromatosis (osteochondromatosis or synovial chondrometaplasia) also known as Reichel syndrome, is a disorder characterised by loose cartilaginous bodies which may, or may not be calcified or ossified. It is classified under two main types: primary synovial chondromatosis: predominantly monoarticular disorder of unknown aetiology secondary synovial chondromatosis: resulting in intra-articular loose bodies from causes such as trauma, osteoarthrosis and neuropathic arthropathy
  • #94 "Cloud-like" calcifications in the region of the triceps insertion, olecranon, and olecranon bursa (3.3 x 7.7 x 5.7 cm). There is no connection to the underlying humerus or ulna. Bilateral extensive soft tissue calcification posterior to the elbow joint around the insertion of triceps.  US confirmed that it was extra-articular.  Limitation of extension at the elbow.
  • #96 Hypertrophic phenomena and gross heterogeneous muscle calcifications that extend from the pelvis to the middle third of the thighs. A firearm projectile is located in the soft tissues in left inguinal region. Notice that the bone cortical isn't affected Myositis ossificans is a benign process characterised by heterotopic ossification usually within large muscles. The diagnosis is usually based on the patient's history (of trauma), 
  • #99 he distal half of the femur is occupied and expanded with a heterogeneous mass with areas of bone formation. Posterior the periosteum is elevated (Codman's triangle). 
  • #101 There is a lobulated juxtacortical mass with dense calcification and smooth borders arising from the lateral cortex of the right femoral metaphysis measuring approximately 5.8 x 3.3 x 9.3 cm. There is no aggressive periosteal reaction. Superiorly, a thin radiolucent line separates the tumour from the cortex.  Ill-defined calcified/ossified mass arising from the lateral aspect of distal femu
  • #103 Synovial sarcomas are relatively common intermediate-to-high grade malignant soft tissue tumours, often with an initial indolent course, affecting young patients, and most commonly involving the soft tissue surrounding the knees
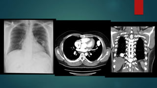
  • #105 Lobulated mass-like density in the left lung adjacent to the heart border. A prominent vessel is noted extending to the mass from the pulmonary hilum. Appearance is suggestive of a pulmonary arteriovenous malformation. After adjusting the image contrast, a similar lesion is seen in the right lung base behind the diaphragm.
  • #121 Large wide necked diverticulum arising several centrimetres proximal to the GOJ. The diverticulum contains a progressively filling air fluid-level following barium consumption. Normal calibre oesophagus - no stricture. No hiatus hernia.
  • #126 Characteristic tapering of the upper trachea (steeple sign) on an AP radiograph which was suspicious for croup in this clinical context. Lateral x-ray of the neck demonstrates distension of hypopharynx and subglottic oedema consistent with croup.
  • #127 Epiglottitis. Lateral radiograph of the neck demonstrates and enlarged epiglottis (red arrow) and thickening of the aryepiglottic folds (yellow arrow). There is also reversal of the normal lordotic curve in the cervical spine and slight dilatation of the hypopharynx
  • #128 Annotations showing the normal width of the pre-vertebral soft tissue at the various cervical levels. The annotated pathological images reveals the magnitude of the soft tissue widening.
  • #129 Huge fluid-gas filled rim enhancing abscess in the retropharyngeal space. Its extends over nearly the whole length of the cervical spine.