Membranoproliferative GN
(MPGN)
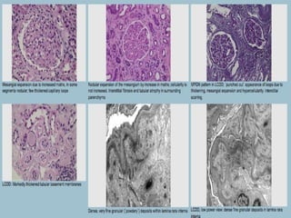
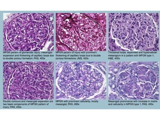
• Membranoproliferative pattern of glomerular
injury consists of two components:
• 1. mesangial expansion and hypercellularity,
and
• 2. thickening of the peripheral capillary loops
due to double contour formation ('tram-
tracking', best appreciated on silver or PAS
stains).
• This pattern of glomerular injury can be appreciated in three types of disorders:
• 1. IMMUNE COMPLEX-MEDIATED DISEASES
• a. Idiopathic or primary forms (MPGN I, II, III)
• b. Secondary forms (chronic infections, autoimmune diseases)
• 2. THROMBOTIC MICROANGIOPATHIES
• 3. PARAPROTEIN DEPOSITION DISEASES
• a. monoclonal immunoglobulin deposition disease, such as light chain DD
• b. fibrillary and immunotactoid glomerulopathy
• c. cryoglobulin-associated GN
• d. Waldenström macroglobulinemia
• e. POEMS syndrome (polyneuropathy, organomegaly, endocrinopathy, m-protein,
skin change)
Membranoproliferative
glomerulonephritis (MPGN), idiopathic,
type I
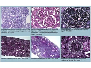
• Idiopathic membranoproliferative glomerulonephritis is an immune
complex-mediated disease of unknown etiology with a
membranoproliferative pattern of glomerular injury (mesangial
hypercellularity and expansion and double contour formations in
peripheral capillary loops). The diagnosis of primary MPGN is one of
exclusion, since similar morphologic findings can be seen in
secondary forms with an MPGN pattern of injury (autoimmune
diseases and chronic infections, see classification). There are three
types (I, II, and III) of primary MPGN.
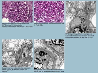
• Type I MPGN is the most common, “classic” type of primary MPGN,
with subendothelial and mesangial deposits and with strong C3 and
less intense IgG immunofluorescence reactivity.
• Etiology:
• The disease is idiopathic (primary).
• Clinical:
• Occurs more commonly in young patients (ages 7 – 30 years).
• Usually presents with mixed nephrotic and nephritic syndrome,
with predominant nephrotic component; less commonly the
presentation is purely nephritic
• C3 is reduced and C1q and C4 are commonly borderline or
reduced
• C3 nephritic factor (autoantibody against C3bBb or alternate
pathway C3 convertase) is associated with type II MPGN, but may
be present in one-third of type I cases
• Histopathology:
• Lobular appearance of glomeruli on low power magnification
• Mesangial expansion due to increased mononuclear inflammatory
cells and matrix
• Peripheral capillary loops are markedly thickened; on PAS and
silver stains, there are prominent double contour formations (“tram
tracking”)
• Immunofluorescence:
• There is fine granular deposition of IgG and C3 in the
mesangium and along the peripheral capillary loops; the reactivity
for C3 is usually very strong, commonly stronger than reactivity for
IgG
• Electron microscopy:
• Visceral epithelial cells: Focal, sometimes marked effacement of
visceral epithelial cell foot processes
• Glomerular basement membranes: Prominent subendothelial
widening due to cellular interposition and electron-dense deposits;
secondary basement membrane forms under the displaced
endothelium (double contour formation)
• Glomerular endothelial cells: Show loss of fenestrations and other
non-specific changes; they do not contain tubuloreticular structures
• Mesangium: Mesangial expansion due to increased number of
mononuclear inflammatory cells, an increase in the amount of
matrix and a presence of electron-dense deposits
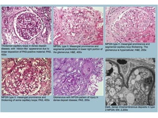
(MPGN), type II (Dense deposit
disease)
• Type II membranoproliferative
glomerulonephritis (MPGN) is a distinct and
very rare form of MPGN characterized by
dense intramembranous deposits (hence the
synonym “dense deposit disease”) with C3
reactivity by IF; the disease is associated with
serum C3 nephritic factor and is characterized
by profound decrease in serum C3 levels.
• Etiology:
• Formation of autoantibody (known as C3 nephritic
factor) against C3 convertase of the alternative
pathway
• Clinical:
• Occurs in children
• Marked and persistent depression of C3;C4 is normal
• Can be associated with acquired partial lipodystrophy
• Histopathology:
• Mesangial prominence and hypercellularity
• Capillary loops are thickened and may exhibit a ribbon-like
appearance due to intramembranous deposits; double
contours are not a dominant feature
• Crescents and proliferative changes are rare but may be
present
• Immunofluorescence:
• Striking C3 positivity along the capillary loops and in the
mesangium, in the absence of immunoglobulins and other
complement components (C4 and C1q)
• Electron microscopy:
• Visceral epithelial cells: Focal, sometimes marked
effacement of visceral epithelial cell foot processes
• Glomerular basement membranes: “Sausage-string”
appearance due to alternating normal with thickened
segments containing very dense and homogeneous
intramembranous deposits
• Glomerular endothelial cells: Show loss of
fenestrations and other non-specific changes; they do
not contain tubuloreticular structures
• Mesangium: Deposits of similar texture and quality to
those seen in the GBM are also seen in the mesangium
(MPGN), type III (Burkholder, and
Strife and Anders variants)
• Type III membranoproliferative
glomerulonephritis (MPGN) consists of two
variants; Burkholder variant (MPGN type I
with subepithelial deposits) and Strife and
Anders variant (complex intramembranous
and subendothelial deposits, with marked
basement membrane irregularities). Electron
microscopy is essential in distinguishing these
variants from classic type I MPGN.
• Etiology:
• Unknown
• Clinical:
• Most commonly occurs in children and young adults
• Presents with mixed nephrotic and nephritic
syndromes and hypocomplementemia
• C3 nephritic factor (autoantibody against C3bBb or
alternate pathway C3 convertase) is absent in type III
MPGN.
• Histopathology:
• Lobular appearance of glomeruli on low power magnification
• Mesangial expansion due to increased mononuclear inflammatory
cells and matrix
• Peripheral capillary loops are markedly thickened; on PAS and
silver stains, there are prominent double contour formations (“tram
tracking”)
• Immunofluorescence:
• There is fine granular deposition of IgG and C3 in the
mesangium and along the peripheral capillary loops; the reactivity
for complement component is usually very strong, commonly
stronger than reactivity for IgG
• Electron microscopy:
• Visceral epithelial cells: Focal, sometimes marked effacement of
visceral epithelial cell foot processes
• Glomerular basement membranes: In the Burkholder variant, in
addition to subendothelial deposits similar to MPGN type I, there
are subepithelial, sometimes “hump”-like electron-dense deposits.
In the Strife and Anders variant, there are complex
intramembranous and subendothelial deposits, with marked
basement membrane irregularities; there is breakage, lamellation,
and disrupted appearance of the basement membranes
• Glomerular endothelial cells: Show loss of fenestrations and other
non-specific changes; they do not contain tubuloreticular structures
• Mesangium: Mesangial expansion due to increased number of
mononuclear inflammatory cells, an increase in the amount of
matrix, and a presence of electron-dense deposits
Cryoglobulin-associated
glomerulonephritis
• Cryoglobulin-associated glomerulonephritis is
a form of glomerulonephritis with
membranoproliferative pattern of glomerular
injury secondary to cryoglobulin deposition.
Cryoglobulins are a group of circulating
proteins with the physical property of
precipitating in cold and dissolving when
heated.
• Etiology:
• Production of cryoglobulins can result from neoplastic or non-neoplastic
monoclonal or polyclonal B-cell proliferation, associated with dysproteinemia,
chronic infections, or autoimmune diseases. (1)Type 1 cryoglobulinemia (with
singe monoclonal Ig) is associated with B-cell lymphoproliferative disorders
(multiple myeloma, lymphomas, Waldenstrom macroglobulinemia) (2)Type 2
(mixed monoclonal and polyclonal Ig) is associated with hepatitis C, other
infections (EBV, bacterial endocarditis, hepatitis B), autoimmune diseases (SLE, SS,
RA), or paraproteinemias (3)Type 3 (mixed polyclonal Ig) is associated with chronic
infections and autoimmune disorders
• Clinical:
• Hematuria, proteinuria, renal failure
• Systemic vasculitis (purpura, arthralgias, arthritis, Raynaud’s phenomenon,
peripheral neuropathy, abdominal pain)
• Underlying systemic diseases; chronic infection (hepatitis C), autoimmune
diseases, dysproteinemia
• Low complements
• Histopathology:
• Lobular appearance of glomeruli on low power magnification.
• Commonly, mesangial expansion with increased mononuclear
inflammatory cells and matrix and peripheral capillary loop thickening
(MPGN-like pattern of injury); rarely, there is diffuse or focal proliferative
pattern of glomerulonephritis
• Subendothelial or intraluminal “microthrombi” that are composed of
cryoglobulins
• Vasculitis may be present in some cases
• Immunofluorescence:
• In type 1 cryoglobulinemia, there will be a monoclonal
immunoglobulin (often IgG/kappa). Monoclonal IgM is seen in
cryoglobulinemia associated with Waldenstrom macroglobulinemia. In
type 2, associated with hepatitis C, there is staining for IgG and IgM, C3,
C1q, kappa and lambda light chains, but the reactivity is stronger for
IgM/kappa.
• Electron microscopy:
• Visceral epithelial cells: Focal effacement of visceral
epithelial cell foot processes
• Glomerular basement membranes: May show mild
irregularities. Subendothelial space is expanded by
sometimes large deposits, with or without substructural
organization; the deposits can exhibit curvilinear or
microtubular organization
• Glomerular endothelial cells: Loss of fenestrations and
other non-specific changes; they do not contain
tubuloreticular structures
• Mesangium: Usually expanded by matrix and deposits; an
increase in cells may be also noted
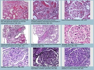
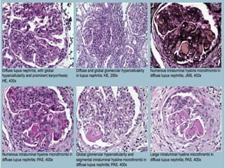
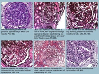
Lupus Nephritis Class IV
• Histopathology:
• Light microscopic examination reveals segmental or global endocapillary
proliferative changes. The mesangium is variably expanded and
hypercellular
• The peripheral capillary loops are irregular in thickness, sometimes
showing 'wire loops' and intraluminal 'microthrombi' (hyaline thrombi)
• Leukocyte infiltration, focal necrosis, hematoxilin bodies, and cellular
crescents can all be seen
• In some cases, membranoproliferative pattern of injury may be
dominant in glomeruli (class IV)
• The tubulointerstitium may show active interstitial nephritis
• Immunofluorescence:
• There is 'full house' reactivity (reactivity for IgG, IgM, and IgA), with
granular deposits in the mesangium.
• Electron microscopy:
• Visceral epithelial cells: Show different degrees of injury and
degenerative changes, with focal, but sometimes extensive,
effacement of foot processes. Subepithelial deposits can be seen in
many cases
• Glomerular basement membranes: May be irregular in thickness,
with the presence of intramembranous, subepithelial, and/or
subendothelial deposits. Subendothelial deposits can be rather
large and may demonstrate substructural organization
('fingerprint'-like pattern)
• Glomerular endothelial cells: May contain tubuloreticular
structures
• Mesangium: Expanded by increase in cellular elements and
extracellular matrix, with sometimes large and confluent fine
granular, electron-dense deposits
Lupus Nephritis Class IV
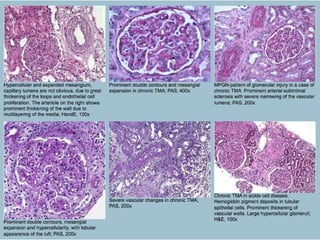
Thrombotic microangiopathy, chronic
(CTMA)
• Thrombotic microangiopathies are a diverse
group of disorders that affect small vasculature
and/or glomerular capillary walls. In chronic
TMAs, there are no active thrombotic lesions, but
there is a membranoproliferative type of
glomerular injury, with widespread glomerular
capillary loop double contour formations, in the
absence of immune complex or paraprotein
deposition. Chronic TMAs present with chronic
renal insufficiency.
• Etiology:
• Etiology varies between different entities in this group of disorders
(see classification). Common pathogenic denominators are
endothelial cell injury and platelet activation and consumption in
acute TMAs; alternating injury and repair lead to complex
remodeling of vascular and glomerular capillary wall elements, as
seen in chronic TMAs
• Clinical:
• Progressive chronic renal failure
• Clinical history reveals thrombophilia (acquired or inherited),
autoimmune disease, previous episode of HUS/TTP, chemotherapy/
immunosuppressive regimens, malignancy, or other factors that
may have resulted in vascular injury
• Histopathology:
• Lobular appearance of glomeruli on low-power
magnification
• Mesangial expansion by matrix and increase in cell
elements
• Peripheral capillary loops are markedly thickened; on PAS
and silver stains, there are prominent double contour
formations (“tram tracking”)
• Immunofluorescence:
• Reactivity for fibrin can be demonstrated in thrombi
within glomeruli and small vessels
• Electron microscopy:
• Visceral epithelial cells: Usually focal, sometimes marked
effacement of visceral epithelial cell foot processes
• Glomerular basement membranes: Prominent subendothelial
widening by basement membrane material and interposed cellular
elements, in the absence of electron-dense or organized deposits. A
new, usually irregular and thin layer of basement membrane is seen
under the regenerated endothelium (double contours); cellular
interposition between the two layers of basement membrane is
common
• Glomerular endothelial cells: Loss of fenestrations, detachment
from the original basement membranes, and focal swelling; they do
not contain tubuloreticular structures
• Mesangium: Cellular debris may be deposited, but electron-dense
deposits are not seen
Thrombotic microangiopathy, acute
(ATMA)
• Thrombotic microangiopathies are a diverse
group of disorders that affect small vasculature
and/or glomeruli. Acute TMAs area a
histopathologic term that defines glomerular,
arterial and arteriolar lesions, characterized by
patchy distribution, bloodless glomeruli,
mesangiolysis, intimal cell proliferation,
thickening and necrosis of the vascular walls,
thrombi, and narrowed lumens. Clinically, acute
TMAs present with microangiopathic hemolytic
anemia, microvascular thrombosis, and
thrombocytopenia.
• Etiology:
• Etiology varies between different entities in this group of disorders (see table);
common pathogenic denominators are endothelial cell injury and platelet
activation and consumption
• Shiga-toxin (verotoxin) of E. coli O157:H7 in typical (diarrheal) HUS
• Abnormalities in complement regulators (factors H and I, membrane cofactor
protein - MCP) in atypical (non-diarrheal) HUS {1} {2}
• Clinical:
• Microangiopathic hemolytic anemia (anemia, schistocytosis, thrombocytopenia)
with purpura and fever
• Acute renal failure, with or without anuria
• Neurologic deficits (more common in TTP)
• Diarrhea (in E. coli associated HUS)
• Indirect hyperbilirubinemia, reticulocytosis, and low heptoglobin may be present.
• Histopathology:
• Thrombosis and fibrinoid necrosis of small vessels and/or glomerular tufts. Renal cortical necrosis
in severe cases
• Bloodless glomeruli: lumens of the capillary loops are obliterated due to endothelial swelling
(endotheliosis)
• Immunofluorescence:
• Reactivity for fibrin can be demonstrated in thrombi within glomeruli and small vessels.
• Electron microscopy:
• Visceral epithelial cells: Usually focal, sometimes marked effacement of visceral epithelial cell
foot processes
• Glomerular basement membranes: Prominent subendothelial widening by electron-lucent fluffy
material that may contain fibrin elements, fragments of platelets and red blood cells. Electron-
dense or organized deposits are not present.
• Glomerular endothelial cells: Swelling, loss of fenestrations, and detachment from the original
basement membranes. They may be missing in some places
• Mesangium: Areas of mesangiolysis are characterized by electron-lucent spaces that may contain
fibrin and fragments of platelets and red blood cells. Cellular debris may be deposited, but
electron-dense deposits are not seen
Fibrillary GN
• Histopathology:
• Commonly, there is mesangial expansion with increased mononuclear inflammatory cells and matrix and
peripheral capillary loop thickening (MPGN-like pattern of injury); sometimes, the predominant pattern is
mesangioproliferative (if the deposition is not involving capillary loops) or even less commonly, membranous,
diffuse proliferative, or sclerosing patterns may be seen {2}
• Proliferative changes, such as increased endocapillary proliferation or crescent formation, are uncommon but
occur
• Congo red stain is negative
• Silver stain may reveal “moth eaten” appearance (non-reactive deposits admixed with reactive matrix)
• Immunofluorescence:
• There is polyclonal deposition of IgG (most often IgG1 or IgG4) and C3 in the mesangium and along the
peripheral capillary loops; in less than 10% of cases, the reactivity will be of monoclonal IgG; in very rare cases
there will be no immunoglobulin reactivity.
• Electron microscopy:
• Visceral epithelial cells: Focal, sometimes marked effacement of visceral epithelial cell foot processes
• Glomerular basement membranes: Usually marked thickening of the membranes with extensive fibrillary
deposits; the deposition extends to subepithelial, subendothelial, and paramesangial spaces. The fibrils are non-
branching, randomly oriented, 12-30 nm in diameter
• Glomerular endothelial cells: Show loss of fenestrations and other non-specific changes; they do not contain
tubuloreticular structures
• Mesangium: Usually expanded by matrix and organized fibrillary deposits
Immunotactoid glomerulopathy
• Histopathology:
• Commonly, there is mesangial expansion with increased mononuclear
inflammatory cells and matrix and peripheral capillary loop thickening
(MPGN-like pattern of injury); rarely, the predominant pattern can be
mesangioproliferative (if the deposition is not involving capillary loops) or,
even less commonly, predominantly membranous
• Proliferative changes, such as increased endocapillary proliferation or
crescent formation, can be seen on rare occasions
• Congo red stain is negative
• Silver stain may reveal “moth eaten” appearance (non-reactive deposits
admixed with reactive matrix)
• Immunofluorescence:
• Monoclonal (kappa or lambda) reactivity of immunoglobulins (usually
IgG)
• Electron microscopy:
• Visceral epithelial cells: Focal, sometimes marked effacement of
visceral epithelial cell foot processes
• Glomerular basement membranes: Microtubular deposits,
frequently in parallel arrangements, can be seen in subepithelial
and intramembranous locations, extending to the paramesangial
and mesangial compartment; the basement membrane can be
affected with deposits in various degrees. The fibrils or
microtubules are non-branching, usually greater than 30 nm (10-90
nm) in diameter
• Glomerular endothelial cells: Show loss of fenestrations and other
non-specific changes; they do not contain tubuloreticular structures
• Mesangium: Usually expanded by matrix and organized
microtubular deposits
Monoclonal immunoglobulin
deposition disease (MIDD)
• Histopathology:
• Marked mesangial expansion, with formation of distinct nodules
(nodular glomerulosclerosis)
• Nodules may show hypercellularity, some may be hypocellular and
laminated
• No fibrin caps, capsular drops, or prominent hyalinosis
• The tubular basement membranes show marked thickening, with
refractile appearance
• The vessel walls may be thickened
• Congo red stain is negative
• Immunofluorescence:
• There is immunofluorescence reactivity restricted to abnormal
truncated protein (one of the light chains - kappa or lambda, or a single
heavy chain - gamma, mu, alpha)
• Electron microscopy:
• Visceral epithelial cells: Focal, sometimes marked effacement of
visceral epithelial cell foot processes
• Glomerular basement membranes: Markedly thickened, with
band-like, sometimes laminated deposition of powdery, very dense
fine granular material. The deposits show no substructural
organization. Usual place of deposition is within lamina rara interna
and inner portion of lamina densa; similarly, in tubular basement
membranes, the deposits are found on the interstitial side of the
membrane
• Glomerular endothelial cells: Loss of fenestrations and other non-
specific changes
• Mesangium: Deposition of powdery, very dense fine granular
material; the deposits show no substructural organization
MPGN/MCGN
MPGN/MCGN

MPGN/MCGN

  • 1.
  • 2.
    • Membranoproliferative patternof glomerular injury consists of two components: • 1. mesangial expansion and hypercellularity, and • 2. thickening of the peripheral capillary loops due to double contour formation ('tram- tracking', best appreciated on silver or PAS stains).
  • 3.
    • This patternof glomerular injury can be appreciated in three types of disorders: • 1. IMMUNE COMPLEX-MEDIATED DISEASES • a. Idiopathic or primary forms (MPGN I, II, III) • b. Secondary forms (chronic infections, autoimmune diseases) • 2. THROMBOTIC MICROANGIOPATHIES • 3. PARAPROTEIN DEPOSITION DISEASES • a. monoclonal immunoglobulin deposition disease, such as light chain DD • b. fibrillary and immunotactoid glomerulopathy • c. cryoglobulin-associated GN • d. Waldenström macroglobulinemia • e. POEMS syndrome (polyneuropathy, organomegaly, endocrinopathy, m-protein, skin change)
  • 4.
    Membranoproliferative glomerulonephritis (MPGN), idiopathic, typeI • Idiopathic membranoproliferative glomerulonephritis is an immune complex-mediated disease of unknown etiology with a membranoproliferative pattern of glomerular injury (mesangial hypercellularity and expansion and double contour formations in peripheral capillary loops). The diagnosis of primary MPGN is one of exclusion, since similar morphologic findings can be seen in secondary forms with an MPGN pattern of injury (autoimmune diseases and chronic infections, see classification). There are three types (I, II, and III) of primary MPGN. • Type I MPGN is the most common, “classic” type of primary MPGN, with subendothelial and mesangial deposits and with strong C3 and less intense IgG immunofluorescence reactivity.
  • 5.
    • Etiology: • Thedisease is idiopathic (primary). • Clinical: • Occurs more commonly in young patients (ages 7 – 30 years). • Usually presents with mixed nephrotic and nephritic syndrome, with predominant nephrotic component; less commonly the presentation is purely nephritic • C3 is reduced and C1q and C4 are commonly borderline or reduced • C3 nephritic factor (autoantibody against C3bBb or alternate pathway C3 convertase) is associated with type II MPGN, but may be present in one-third of type I cases
  • 6.
    • Histopathology: • Lobularappearance of glomeruli on low power magnification • Mesangial expansion due to increased mononuclear inflammatory cells and matrix • Peripheral capillary loops are markedly thickened; on PAS and silver stains, there are prominent double contour formations (“tram tracking”) • Immunofluorescence: • There is fine granular deposition of IgG and C3 in the mesangium and along the peripheral capillary loops; the reactivity for C3 is usually very strong, commonly stronger than reactivity for IgG
  • 7.
    • Electron microscopy: •Visceral epithelial cells: Focal, sometimes marked effacement of visceral epithelial cell foot processes • Glomerular basement membranes: Prominent subendothelial widening due to cellular interposition and electron-dense deposits; secondary basement membrane forms under the displaced endothelium (double contour formation) • Glomerular endothelial cells: Show loss of fenestrations and other non-specific changes; they do not contain tubuloreticular structures • Mesangium: Mesangial expansion due to increased number of mononuclear inflammatory cells, an increase in the amount of matrix and a presence of electron-dense deposits
  • 12.
    (MPGN), type II(Dense deposit disease) • Type II membranoproliferative glomerulonephritis (MPGN) is a distinct and very rare form of MPGN characterized by dense intramembranous deposits (hence the synonym “dense deposit disease”) with C3 reactivity by IF; the disease is associated with serum C3 nephritic factor and is characterized by profound decrease in serum C3 levels.
  • 13.
    • Etiology: • Formationof autoantibody (known as C3 nephritic factor) against C3 convertase of the alternative pathway • Clinical: • Occurs in children • Marked and persistent depression of C3;C4 is normal • Can be associated with acquired partial lipodystrophy
  • 14.
    • Histopathology: • Mesangialprominence and hypercellularity • Capillary loops are thickened and may exhibit a ribbon-like appearance due to intramembranous deposits; double contours are not a dominant feature • Crescents and proliferative changes are rare but may be present • Immunofluorescence: • Striking C3 positivity along the capillary loops and in the mesangium, in the absence of immunoglobulins and other complement components (C4 and C1q)
  • 15.
    • Electron microscopy: •Visceral epithelial cells: Focal, sometimes marked effacement of visceral epithelial cell foot processes • Glomerular basement membranes: “Sausage-string” appearance due to alternating normal with thickened segments containing very dense and homogeneous intramembranous deposits • Glomerular endothelial cells: Show loss of fenestrations and other non-specific changes; they do not contain tubuloreticular structures • Mesangium: Deposits of similar texture and quality to those seen in the GBM are also seen in the mesangium
  • 19.
    (MPGN), type III(Burkholder, and Strife and Anders variants) • Type III membranoproliferative glomerulonephritis (MPGN) consists of two variants; Burkholder variant (MPGN type I with subepithelial deposits) and Strife and Anders variant (complex intramembranous and subendothelial deposits, with marked basement membrane irregularities). Electron microscopy is essential in distinguishing these variants from classic type I MPGN.
  • 20.
    • Etiology: • Unknown •Clinical: • Most commonly occurs in children and young adults • Presents with mixed nephrotic and nephritic syndromes and hypocomplementemia • C3 nephritic factor (autoantibody against C3bBb or alternate pathway C3 convertase) is absent in type III MPGN.
  • 21.
    • Histopathology: • Lobularappearance of glomeruli on low power magnification • Mesangial expansion due to increased mononuclear inflammatory cells and matrix • Peripheral capillary loops are markedly thickened; on PAS and silver stains, there are prominent double contour formations (“tram tracking”) • Immunofluorescence: • There is fine granular deposition of IgG and C3 in the mesangium and along the peripheral capillary loops; the reactivity for complement component is usually very strong, commonly stronger than reactivity for IgG
  • 22.
    • Electron microscopy: •Visceral epithelial cells: Focal, sometimes marked effacement of visceral epithelial cell foot processes • Glomerular basement membranes: In the Burkholder variant, in addition to subendothelial deposits similar to MPGN type I, there are subepithelial, sometimes “hump”-like electron-dense deposits. In the Strife and Anders variant, there are complex intramembranous and subendothelial deposits, with marked basement membrane irregularities; there is breakage, lamellation, and disrupted appearance of the basement membranes • Glomerular endothelial cells: Show loss of fenestrations and other non-specific changes; they do not contain tubuloreticular structures • Mesangium: Mesangial expansion due to increased number of mononuclear inflammatory cells, an increase in the amount of matrix, and a presence of electron-dense deposits
  • 24.
    Cryoglobulin-associated glomerulonephritis • Cryoglobulin-associated glomerulonephritisis a form of glomerulonephritis with membranoproliferative pattern of glomerular injury secondary to cryoglobulin deposition. Cryoglobulins are a group of circulating proteins with the physical property of precipitating in cold and dissolving when heated.
  • 25.
    • Etiology: • Productionof cryoglobulins can result from neoplastic or non-neoplastic monoclonal or polyclonal B-cell proliferation, associated with dysproteinemia, chronic infections, or autoimmune diseases. (1)Type 1 cryoglobulinemia (with singe monoclonal Ig) is associated with B-cell lymphoproliferative disorders (multiple myeloma, lymphomas, Waldenstrom macroglobulinemia) (2)Type 2 (mixed monoclonal and polyclonal Ig) is associated with hepatitis C, other infections (EBV, bacterial endocarditis, hepatitis B), autoimmune diseases (SLE, SS, RA), or paraproteinemias (3)Type 3 (mixed polyclonal Ig) is associated with chronic infections and autoimmune disorders • Clinical: • Hematuria, proteinuria, renal failure • Systemic vasculitis (purpura, arthralgias, arthritis, Raynaud’s phenomenon, peripheral neuropathy, abdominal pain) • Underlying systemic diseases; chronic infection (hepatitis C), autoimmune diseases, dysproteinemia • Low complements
  • 26.
    • Histopathology: • Lobularappearance of glomeruli on low power magnification. • Commonly, mesangial expansion with increased mononuclear inflammatory cells and matrix and peripheral capillary loop thickening (MPGN-like pattern of injury); rarely, there is diffuse or focal proliferative pattern of glomerulonephritis • Subendothelial or intraluminal “microthrombi” that are composed of cryoglobulins • Vasculitis may be present in some cases • Immunofluorescence: • In type 1 cryoglobulinemia, there will be a monoclonal immunoglobulin (often IgG/kappa). Monoclonal IgM is seen in cryoglobulinemia associated with Waldenstrom macroglobulinemia. In type 2, associated with hepatitis C, there is staining for IgG and IgM, C3, C1q, kappa and lambda light chains, but the reactivity is stronger for IgM/kappa.
  • 27.
    • Electron microscopy: •Visceral epithelial cells: Focal effacement of visceral epithelial cell foot processes • Glomerular basement membranes: May show mild irregularities. Subendothelial space is expanded by sometimes large deposits, with or without substructural organization; the deposits can exhibit curvilinear or microtubular organization • Glomerular endothelial cells: Loss of fenestrations and other non-specific changes; they do not contain tubuloreticular structures • Mesangium: Usually expanded by matrix and deposits; an increase in cells may be also noted
  • 30.
    Lupus Nephritis ClassIV • Histopathology: • Light microscopic examination reveals segmental or global endocapillary proliferative changes. The mesangium is variably expanded and hypercellular • The peripheral capillary loops are irregular in thickness, sometimes showing 'wire loops' and intraluminal 'microthrombi' (hyaline thrombi) • Leukocyte infiltration, focal necrosis, hematoxilin bodies, and cellular crescents can all be seen • In some cases, membranoproliferative pattern of injury may be dominant in glomeruli (class IV) • The tubulointerstitium may show active interstitial nephritis • Immunofluorescence: • There is 'full house' reactivity (reactivity for IgG, IgM, and IgA), with granular deposits in the mesangium.
  • 31.
    • Electron microscopy: •Visceral epithelial cells: Show different degrees of injury and degenerative changes, with focal, but sometimes extensive, effacement of foot processes. Subepithelial deposits can be seen in many cases • Glomerular basement membranes: May be irregular in thickness, with the presence of intramembranous, subepithelial, and/or subendothelial deposits. Subendothelial deposits can be rather large and may demonstrate substructural organization ('fingerprint'-like pattern) • Glomerular endothelial cells: May contain tubuloreticular structures • Mesangium: Expanded by increase in cellular elements and extracellular matrix, with sometimes large and confluent fine granular, electron-dense deposits
  • 32.
  • 35.
    Thrombotic microangiopathy, chronic (CTMA) •Thrombotic microangiopathies are a diverse group of disorders that affect small vasculature and/or glomerular capillary walls. In chronic TMAs, there are no active thrombotic lesions, but there is a membranoproliferative type of glomerular injury, with widespread glomerular capillary loop double contour formations, in the absence of immune complex or paraprotein deposition. Chronic TMAs present with chronic renal insufficiency.
  • 36.
    • Etiology: • Etiologyvaries between different entities in this group of disorders (see classification). Common pathogenic denominators are endothelial cell injury and platelet activation and consumption in acute TMAs; alternating injury and repair lead to complex remodeling of vascular and glomerular capillary wall elements, as seen in chronic TMAs • Clinical: • Progressive chronic renal failure • Clinical history reveals thrombophilia (acquired or inherited), autoimmune disease, previous episode of HUS/TTP, chemotherapy/ immunosuppressive regimens, malignancy, or other factors that may have resulted in vascular injury
  • 37.
    • Histopathology: • Lobularappearance of glomeruli on low-power magnification • Mesangial expansion by matrix and increase in cell elements • Peripheral capillary loops are markedly thickened; on PAS and silver stains, there are prominent double contour formations (“tram tracking”) • Immunofluorescence: • Reactivity for fibrin can be demonstrated in thrombi within glomeruli and small vessels
  • 38.
    • Electron microscopy: •Visceral epithelial cells: Usually focal, sometimes marked effacement of visceral epithelial cell foot processes • Glomerular basement membranes: Prominent subendothelial widening by basement membrane material and interposed cellular elements, in the absence of electron-dense or organized deposits. A new, usually irregular and thin layer of basement membrane is seen under the regenerated endothelium (double contours); cellular interposition between the two layers of basement membrane is common • Glomerular endothelial cells: Loss of fenestrations, detachment from the original basement membranes, and focal swelling; they do not contain tubuloreticular structures • Mesangium: Cellular debris may be deposited, but electron-dense deposits are not seen
  • 41.
    Thrombotic microangiopathy, acute (ATMA) •Thrombotic microangiopathies are a diverse group of disorders that affect small vasculature and/or glomeruli. Acute TMAs area a histopathologic term that defines glomerular, arterial and arteriolar lesions, characterized by patchy distribution, bloodless glomeruli, mesangiolysis, intimal cell proliferation, thickening and necrosis of the vascular walls, thrombi, and narrowed lumens. Clinically, acute TMAs present with microangiopathic hemolytic anemia, microvascular thrombosis, and thrombocytopenia.
  • 42.
    • Etiology: • Etiologyvaries between different entities in this group of disorders (see table); common pathogenic denominators are endothelial cell injury and platelet activation and consumption • Shiga-toxin (verotoxin) of E. coli O157:H7 in typical (diarrheal) HUS • Abnormalities in complement regulators (factors H and I, membrane cofactor protein - MCP) in atypical (non-diarrheal) HUS {1} {2} • Clinical: • Microangiopathic hemolytic anemia (anemia, schistocytosis, thrombocytopenia) with purpura and fever • Acute renal failure, with or without anuria • Neurologic deficits (more common in TTP) • Diarrhea (in E. coli associated HUS) • Indirect hyperbilirubinemia, reticulocytosis, and low heptoglobin may be present.
  • 43.
    • Histopathology: • Thrombosisand fibrinoid necrosis of small vessels and/or glomerular tufts. Renal cortical necrosis in severe cases • Bloodless glomeruli: lumens of the capillary loops are obliterated due to endothelial swelling (endotheliosis) • Immunofluorescence: • Reactivity for fibrin can be demonstrated in thrombi within glomeruli and small vessels. • Electron microscopy: • Visceral epithelial cells: Usually focal, sometimes marked effacement of visceral epithelial cell foot processes • Glomerular basement membranes: Prominent subendothelial widening by electron-lucent fluffy material that may contain fibrin elements, fragments of platelets and red blood cells. Electron- dense or organized deposits are not present. • Glomerular endothelial cells: Swelling, loss of fenestrations, and detachment from the original basement membranes. They may be missing in some places • Mesangium: Areas of mesangiolysis are characterized by electron-lucent spaces that may contain fibrin and fragments of platelets and red blood cells. Cellular debris may be deposited, but electron-dense deposits are not seen
  • 46.
    Fibrillary GN • Histopathology: •Commonly, there is mesangial expansion with increased mononuclear inflammatory cells and matrix and peripheral capillary loop thickening (MPGN-like pattern of injury); sometimes, the predominant pattern is mesangioproliferative (if the deposition is not involving capillary loops) or even less commonly, membranous, diffuse proliferative, or sclerosing patterns may be seen {2} • Proliferative changes, such as increased endocapillary proliferation or crescent formation, are uncommon but occur • Congo red stain is negative • Silver stain may reveal “moth eaten” appearance (non-reactive deposits admixed with reactive matrix) • Immunofluorescence: • There is polyclonal deposition of IgG (most often IgG1 or IgG4) and C3 in the mesangium and along the peripheral capillary loops; in less than 10% of cases, the reactivity will be of monoclonal IgG; in very rare cases there will be no immunoglobulin reactivity. • Electron microscopy: • Visceral epithelial cells: Focal, sometimes marked effacement of visceral epithelial cell foot processes • Glomerular basement membranes: Usually marked thickening of the membranes with extensive fibrillary deposits; the deposition extends to subepithelial, subendothelial, and paramesangial spaces. The fibrils are non- branching, randomly oriented, 12-30 nm in diameter • Glomerular endothelial cells: Show loss of fenestrations and other non-specific changes; they do not contain tubuloreticular structures • Mesangium: Usually expanded by matrix and organized fibrillary deposits
  • 49.
    Immunotactoid glomerulopathy • Histopathology: •Commonly, there is mesangial expansion with increased mononuclear inflammatory cells and matrix and peripheral capillary loop thickening (MPGN-like pattern of injury); rarely, the predominant pattern can be mesangioproliferative (if the deposition is not involving capillary loops) or, even less commonly, predominantly membranous • Proliferative changes, such as increased endocapillary proliferation or crescent formation, can be seen on rare occasions • Congo red stain is negative • Silver stain may reveal “moth eaten” appearance (non-reactive deposits admixed with reactive matrix) • Immunofluorescence: • Monoclonal (kappa or lambda) reactivity of immunoglobulins (usually IgG)
  • 50.
    • Electron microscopy: •Visceral epithelial cells: Focal, sometimes marked effacement of visceral epithelial cell foot processes • Glomerular basement membranes: Microtubular deposits, frequently in parallel arrangements, can be seen in subepithelial and intramembranous locations, extending to the paramesangial and mesangial compartment; the basement membrane can be affected with deposits in various degrees. The fibrils or microtubules are non-branching, usually greater than 30 nm (10-90 nm) in diameter • Glomerular endothelial cells: Show loss of fenestrations and other non-specific changes; they do not contain tubuloreticular structures • Mesangium: Usually expanded by matrix and organized microtubular deposits
  • 52.
    Monoclonal immunoglobulin deposition disease(MIDD) • Histopathology: • Marked mesangial expansion, with formation of distinct nodules (nodular glomerulosclerosis) • Nodules may show hypercellularity, some may be hypocellular and laminated • No fibrin caps, capsular drops, or prominent hyalinosis • The tubular basement membranes show marked thickening, with refractile appearance • The vessel walls may be thickened • Congo red stain is negative • Immunofluorescence: • There is immunofluorescence reactivity restricted to abnormal truncated protein (one of the light chains - kappa or lambda, or a single heavy chain - gamma, mu, alpha)
  • 53.
    • Electron microscopy: •Visceral epithelial cells: Focal, sometimes marked effacement of visceral epithelial cell foot processes • Glomerular basement membranes: Markedly thickened, with band-like, sometimes laminated deposition of powdery, very dense fine granular material. The deposits show no substructural organization. Usual place of deposition is within lamina rara interna and inner portion of lamina densa; similarly, in tubular basement membranes, the deposits are found on the interstitial side of the membrane • Glomerular endothelial cells: Loss of fenestrations and other non- specific changes • Mesangium: Deposition of powdery, very dense fine granular material; the deposits show no substructural organization