Brain Imaging in Patients
with HIV Infection
ADE WIJAYA, MD – OCTOBER 2018
Outline:
• Toxoplasmosis
• Primary CNS Lymphoma
• HIV encephalopathy
• CMV encephalitis
• Progressive Multifocal Leukoencephalopathy
• Tuberculosis
• Cryptococcosis
• Neurosyphilis
• Other Bacterial and Viral Infections
Toxoplasmosis (CT)
• Lesions have a striking predilection for the basal ganglia and the
corticomedullary junction of the cerebral hemispheres, and less commonly they
arise in the brainstem
• Single or multiple hypoattenuating lesions with ring or nodular enhancement
and surrounding edema
• Can occasionally exhibit intralesional hemorrhage at presentation
• After long-term therapy: focal hyperattenuating areas within these lesions.
Dina TS. Primary central nervous system lymphoma versus toxoplasmosis in AIDS. Radiology. 1991;179:823–828.
PostMJ, Sheldon JJ, Hensley GT, et al. Central nervous system disease in acquired immunodeficiency syndrome: prospective correlation using CT, MR imaging, and pathologic studies. Radiology. 1986;158:141–148.
Bhagavati S, Choi J. Frequent hemorrhagic lesions in cerebral toxoplasmosis in AIDS patients. J Neuroimaging. 2009;19:169–173.
Revel MP, Gray F, Brugieres P, et al. Hyperdense CT foci in treated AIDS toxoplasmosis encephalitis: MR and pathologic correlation. J Comput Assist Tomogr. 16:372–375
Toxoplasmosis (MRI)
• Isointense to hypointense on T1 with ring or nodular enhancement after
administration of gadolinium
• T2-weighted imaging is highly variable and may be hypointense, isointense, or
hyperintense, depending on the stage and composition of the abscess.
• T2 hyperintense while undergoing liquefactive necrosis early on and T2 hypointense
in the posttreatment organizing stage, with mixed signal seen during the transition
between stages
• “eccentric target sign” consists of a rim-enhancing lesion containing an eccentrically
located enhancing nodule, a finding which is present in only 30% of cases but is 95%
specific.
Dina TS. Primary central nervous system lymphoma versus toxoplasmosis in AIDS. Radiology. 1991;179:823–828.
Thurnher MM, Donovan Post MJ. Neuroimaging in the brain in HIV-1-infected patients. Neuroimaging Clin N Am. 2008;18:93–117; viii.
Brightbill TC, Post MJ, Hensley GT, et al. MR of Toxoplasma encephalitis: signal characteristics on T2-weighted images and pathologic correlation. J Comput Assist Tomogr. 20:417–422.
KumarGGS, MahadevanA,GuruprasadAS, et al. Eccentric target sign in cerebral toxoplasmosis: neuropathological correlate to the imaging feature. J Magn Reson Imaging. 2010;31:1469–1472
Primary CNS Lymphoma (PCNSL)
• Hyperattenuating lesions on non-contrast CT
• Subependymal spread and ventricular encasement
Dina TS. Primary central nervous system lymphoma versus toxoplasmosis in AIDS. Radiology. 1991;179:823–828.
Toxoplasmosis PCNSL
CT Hypoattenuating Hyperattenuating
Predilection Basal ganglia &
corticomedullary junction
Subependymal spread &
ventricular encasement
SPECT / PET Negative uptake Positive uptake
DWI ADC ratios > 1.6 ADC ratios between 1.0 - 1.6
MRI perfusion Lower cerebral blood volume Higher cerebral blood volume
Gottumukkala RV, Romero JM, Riascos RF, Rojas R, Glikstein RS. Imaging of the brain in patients with human immunodeficiency virus infection. Topics in Magnetic Resonance Imaging. 2014 Oct 1;23(5):275-91.
HIV Encephalopathy
• Generalized atrophy
• White matter hyperintensity on MRI
• MRS: Decrease in NAA and increase in choline signal
KimDM, Tien R, ByrumC, et al. Imaging in acquired immune deficiency syndrome dementia complex (AIDS dementia complex): a review. Prog Neuropsychopharmacol Biol Psychiatry. 1996;20:349–370.
Post MJ, Tate LG, Quencer RM, et al. CT, MR, and pathology in HIV encephalitis and meningitis. AJR Am J Roentgenol. 1988;151:373–380.
Broderick DF, Wippold FJ, Clifford DB, et al. White matter lesions and cerebral atrophy on MR images in patients with and without AIDS dementia complex. AJR Am J Roentgenol. 1993;161:177–181.
Olsen WL, Longo FM, Mills CM, et al. White matter disease in AIDS: findings at MR imaging. Radiology. 1988;169:445–448.
Wilkinson ID, Miller RF, Paley MN, et al. Cerebral proton magnetic resonance spectroscopy in cytomegalovirus encephalitis and HIV leucoencephalopathy/encephalitis. AIDS. 1996;10:1443–1444
CMV Encephalitis (CT)
• Generalized atrophy and ventriculomegaly.
• Low attenuation in the periventricular white matter
• Periventricular enhancement
Post MJ, Hensley GT, Moskowitz LB, et al. Cytomegalic inclusion virus encephalitis in patients with AIDS: CT, clinical, and pathologic correlation. AJR Am J Roentgenol. 1986;146:1229–1234
Arribas JR, Storch GA, Clifford DB, et al. Cytomegalovirus encephalitis. Ann Intern Med. 1996;125:577–587.
CMV Encephalitis (MRI)
• Focal or diffuse areas of increased T2 signal preferentially affecting the
periventricular white matter
• Rare: meningeal enhancement & cerebral mass lesion(s) with ring enhancement
• Diffusion weighted imaging showed bright signal indicative of restricted
diffusion along the ependyma and subependyma, which accompanied the
classic findings of ependymal T2 hyperintensity and enhancement.
• MRS: Decrease in NAA and increase in choline signal (more prominent in HIV
encephalopathy)
Seok JH, Ahn K, Park HJ. Diffusion MRI findings of cytomegalovirus-associated ventriculitis: a case report. Br J Radiol. 2011; 84:e179–e181.
Dyer JR, French MA, Mallal SA. Cerebral mass lesions due to cytomegalovirus in patients with AIDS: report of two cases. J Infect. 1995; 30:147–151.
Arribas JR, Storch GA, Clifford DB, et al. Cytomegalovirus encephalitis. Ann Intern Med. 1996;125:577–587.
Wilkinson ID, Miller RF, Paley MN, et al. Cerebral proton magnetic resonance spectroscopy in cytomegalovirus encephalitis and HIV leucoencephalopathy/encephalitis. AIDS. 1996;10:1443–1444
Progressive Multifocal Leukoencephalopathy (CT)
• Asymmetric white matter lesions visible as areas of low attenuation that often
involve the subcortical white matter.
• Lack enhancement or mass effect
• Peripheral enhancement may be seen in around 10% of cases
Berger JR, Pall L, Lanska D, et al. Progressive multifocal leukoencephalopathy in patients with HIV infection. J Neurovirol. 1998;4:59–68.
Whiteman ML, Post MJ, Berger JR, et al. Progressive multifocal leukoencephalopathy in 47 HIV-seropositive patients: neuroimaging with clinical and pathologic correlation. Radiology. 1993;187:233–240
Shah R, Bag AK, Chapman PR, et al. Imaging manifestations of progressive multifocal leukoencephalopathy. Clin Radiol. 2010;65: 431–439
Progressive Multifocal Leukoencephalopathy (MRI)
• Single or multifocal asymmetric white matter lesions that are T1 hypointense and T2
hyperintense and may become more confluent with disease progression
• The subcortical white matter and centrum semiovale are affected more commonly
than the periventricular white matter, and the deep gray nuclei may also be involved.
• Subcortical U-fiber involvement creates a scalloped appearance with lesions closely
abutting the cortical grey matter
• Posterior fossa lesions are seen in one third of patients, most commonly in the middle
cerebellar peduncles
Whiteman ML, Post MJ, Berger JR, et al. Progressive multifocal leukoencephalopathy in 47 HIV-seropositive patients: neuroimaging with clinical and pathologic correlation. Radiology. 1993;187:233–240
Shah R, Bag AK, Chapman PR, et al. Imaging manifestations of progressive multifocal leukoencephalopathy. Clin Radiol. 2010;65: 431–439
Sahraian MA, Radue E-W, Eshaghi A, et al. Progressive multifocal leukoencephalopathy: a review of the neuroimaging features and differential diagnosis. Eur J Neurol. 2012;19:1060–1069.
Progressive Multifocal Leukoencephalopathy (MRI)
• PML-IRIS, lesions may cause clinically significant mass effect with or without
heterogeneous enhancement
• Diffusion weighted imaging of PML lesions depicts a central core of low signal with
a corresponding increase in ADC. Surrounding this core is a rim of high DWI signal,
likely representing restricted diffusion from cellular swelling at the more active
leading edges of the lesion
• Magnetic resonance spectroscopy demonstrates decreased NAA, increased choline,
increased lactate, and variablemyoinositol levels, findings which are less prominent
at the leading edge of the lesion where the degree of neuronal loss and other
pathologic changes may be less advanced.
Tan K, Roda R, Ostrow L, et al. PML-IRIS in patientswith HIVinfection: clinical manifestations and treatment with steroids. Neurology. 2009;72: 1458–1464.
Sahraian MA, Radue E-W, Eshaghi A, et al. Progressive multifocal leukoencephalopathy: a review of the neuroimaging features and differential diagnosis. Eur J Neurol. 2012;19:1060–1069.
Yousry TA, Pelletier D, Cadavid D, et al. Magnetic resonance imaging pattern in natalizumab-associated progressive multifocal leukoencephalopathy. Ann Neurol. 2012;72:779–787.
Gottumukkala RV, Romero JM, Riascos RF, Rojas R, Glikstein RS. Imaging of the brain in patients with human immunodeficiency virus infection. Topics in Magnetic Resonance Imaging. 2014 Oct 1;23(5):275-91.
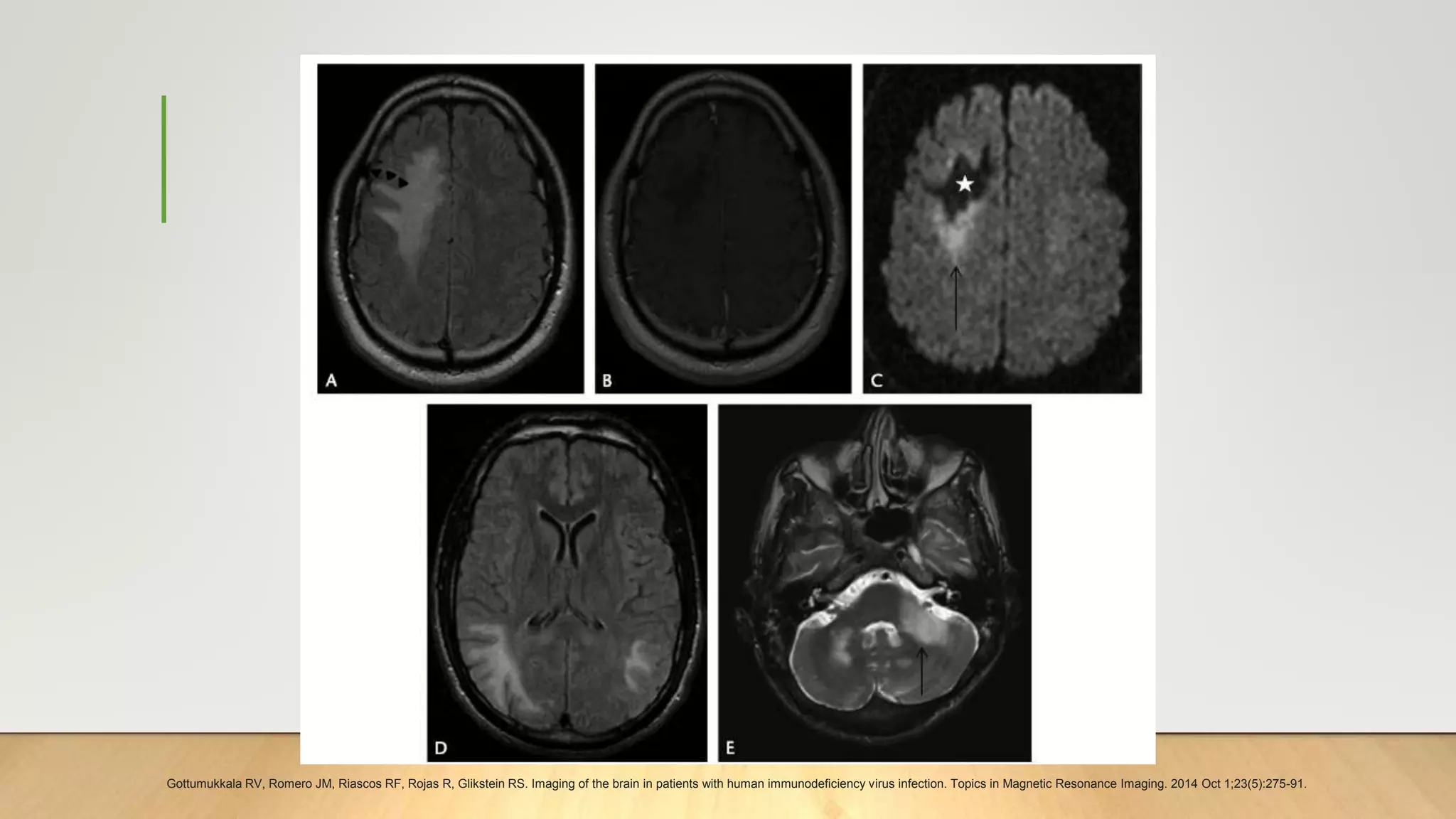
PML - IRIS
Gottumukkala RV, Romero JM, Riascos RF, Rojas R, Glikstein RS. Imaging of the brain in patients with human immunodeficiency virus infection. Topics in Magnetic Resonance Imaging. 2014 Oct 1;23(5):275-91.
HIV encephalopathy CMV Encephalitis PML
MRS NAA and choline
(prominent)
NAA and choline
(less prominent)
NAA and choline
(less prominent)
Mass lesion & meningeal
enhancement
Absent May present Absent
Predilection Symmetric, atrophy Atrophy Asymmetric,
multifocal, minimal
atrophy, Subcortical
U-fiber involvement
Magnetization transfer
ratio (MTR)
Mild decrease - decrease
Gottumukkala RV, Romero JM, Riascos RF, Rojas R, Glikstein RS. Imaging of the brain in patients with human immunodeficiency virus infection. Topics in Magnetic Resonance Imaging. 2014 Oct 1;23(5):275-91.
Tb Meningoencephalitis
• meningeal enhancement around the basal cisterns and within the sylvian fissures.
• Infarcts are seen most commonly around the basal ganglia and may show restricted
diffusion and/or T2 changes depending on their chronicity.
• Hydrocephalus, most commonly communicating, can cause periventricular T2
hyperintensity if excessive ventricular pressure results in the transependymal flow of
CSF
• Pachymeningeal TB, which appears as area of dural thickening that is hyperdense on
CT, isointense on T1 and T2-weighted sequences, and homogeneously enhancing
Trivedi R, Saksena S, Gupta RK. Magnetic resonance imaging in central nervous system tuberculosis. Indian J Radiol Imaging. 2009;19:256–265
Bernaerts A, Vanhoenacker FM, Parizel PM, et al. Tuberculosis of the central nervous system: overview of neuroradiological findings. Eur Radiol. 2003;13:1876–1890
Tuberculoma
• Multiple small (<1 cm), hypodense to isodense ring-enhancing masses that are
most often supratentorial but may appear nearly anywhere in the cranial vault
• Target appearance on CT (calcified center) – pathognomonic
• Tuberculous abscesses: large, solitary, often multiloculated ring-enhancing
lesions with significant associated edema and mass effect.
• MRS may help differentiate Tb and pyogenic abcess because pyogenic abscesses
show a characteristic cytosolic amino acid peak, which is absent in tuberculous
abscesses.
Whiteman M, Espinoza L, Post MJ, et al. Central nervous system tuberculosis in HIV-infected patients: clinical and radiographic findings. AJNR Am J Neuroradiol. 16:1319–1327.
Salgado P, Del Brutto OH, Talamás O, et al. Intracranial tuberculoma: MR imaging. Neuroradiology. 1989;31:299–302.
Trivedi R, Saksena S, Gupta RK. Magnetic resonance imaging in central nervous system tuberculosis. Indian J Radiol Imaging. 2009;19:256–265
Tuberculoma
• Miliary TB occurs less commonly and is characterized by numerous tiny (<2
mm) granulomatous lesions that are T2 hyperintense and homogeneously
enhancing
• Focal tuberculous cerebritis, which produces intense focal gyral enhancement
Burrill J, Williams CJ, Bain G, et al. Tuberculosis: a radiologic review. Radiographics. 2007;27:1255–1273.
Bernaerts A, Vanhoenacker FM, Parizel PM, et al. Tuberculosis of the central nervous system: overview of neuroradiological findings.Eur Radiol. 2003;13:1876–1890
CNS Cryptococcosis
• Dilated VR spaces
• Gelatinous pseudocysts
• eningitis
• Hydrocephalus
• Intraparenchymal cystic masses
Charlier C, Dromer F, Lévêque C, et al. Cryptococcal neuroradiological lesions correlate with severity during cryptococcal meningoencephalitis in HIV-positive patients in the HAART era. PLoS One. 2008;3:e1950.
Tien RD, Chu PK, Hesselink JR, et al. Intracranial cryptococcosis in immunocompromised patients: CT and MR findings in 29 cases. AJNR Am J Neuroradiol. 12:283–289.
Cornell SH, Jacoby CG. The varied computed tomographic appearance of intracranial cryptococcosis. Radiology. 1982;143:703–707.
Popovich MJ, Arthur RH, Helmer E. CT of intracranial cryptococcosis. AJNR Am J Neuroradiol. 11:139–142.
Neurosyphilis
• Cortical and subcortical infarcts
• Leptomeningeal enhancement
• Gummas, homogeneously enhancing cortical or dural-based mass located along the cerebral
convexities These lesions typically appear isodense to hypodense on CT with T1 isointensity
and T2 hyperintensity on MRI. Surrounding vasogenic edema with or without mass effect is
common, and focal meningeal enhancement adjacent to the nodule is a characteristic
• Atrophy
• Nonspecific white matter abnormalities
• Leptomeningeal enhancement
• Cranial neuritis, typically of the second and eighth cranial nerves.
Brightbill TC, Ihmeidan IH, Post MJ, et al. Neurosyphilis in HIV-positive and HIV-negative patients: neuroimaging findings. AJNR Am J Neuroradiol. 1995;16:703–711.
Tien RD, Gean-Marton AD, Mark AS. Neurosyphilis in HIV carriers: MR findings in six patients. AJR Am J Roentgenol. 1992; 158:1325–1328.
Holland BA, Perrett LV, Mills CM. Meningovascular syphilis: CT and MR findings. Radiology. 1986;158:439–442.
Other Bacterial And Viral Infections
• Pyogenic abscess  The imaging findings are identical to those seen with
pyogenic abscesses in immunocompetent patients
• Herpes simplex virus type 1 infection in AIDS patients can produce an
encephalitis that is usually mild and diffuse in contrast to the intense necrotizing
temporal lobe encephalitis seen in immunocompetent patients
• VZV encephalitis: Imaging findings may include hypodense lesions on CT and
T2 hyperintense white and grey matter lesions with areas of hemorrhage on MRI
Cohen WA. Intracranial bacterial infections in patients with AIDS. Neuroimaging Clin N Am. 1997;7:223–229. 122. Tan S V, Guiloff RJ, Scaravilli F, et al. Herpes simplex type 1 encephalitis in acquired immunodeficiency syndrome. Ann Neurol. 1993;34:619–622
Toledo PV, Pellegrino LN, Cunha CA. Varicella-zoster virus encephalitis in an AIDS patient. Braz J Infect Dis. 2004;8:255–258.
Summary
• The imaging findings seen in AIDS-related diseases of the CNS are highly
variable and often challenging to decipher.
• Clinical presentation + imaging
• Adjunctive imaging techniques and laboratory testing are of vital importance in
making a definitive diagnosis and guiding therapy.
Brain Imaging in Patients with HIV Infection

Brain Imaging in Patients with HIV Infection

  • 1.
    Brain Imaging inPatients with HIV Infection ADE WIJAYA, MD – OCTOBER 2018
  • 2.
    Outline: • Toxoplasmosis • PrimaryCNS Lymphoma • HIV encephalopathy • CMV encephalitis • Progressive Multifocal Leukoencephalopathy • Tuberculosis • Cryptococcosis • Neurosyphilis • Other Bacterial and Viral Infections
  • 3.
    Toxoplasmosis (CT) • Lesionshave a striking predilection for the basal ganglia and the corticomedullary junction of the cerebral hemispheres, and less commonly they arise in the brainstem • Single or multiple hypoattenuating lesions with ring or nodular enhancement and surrounding edema • Can occasionally exhibit intralesional hemorrhage at presentation • After long-term therapy: focal hyperattenuating areas within these lesions. Dina TS. Primary central nervous system lymphoma versus toxoplasmosis in AIDS. Radiology. 1991;179:823–828. PostMJ, Sheldon JJ, Hensley GT, et al. Central nervous system disease in acquired immunodeficiency syndrome: prospective correlation using CT, MR imaging, and pathologic studies. Radiology. 1986;158:141–148. Bhagavati S, Choi J. Frequent hemorrhagic lesions in cerebral toxoplasmosis in AIDS patients. J Neuroimaging. 2009;19:169–173. Revel MP, Gray F, Brugieres P, et al. Hyperdense CT foci in treated AIDS toxoplasmosis encephalitis: MR and pathologic correlation. J Comput Assist Tomogr. 16:372–375
  • 4.
    Toxoplasmosis (MRI) • Isointenseto hypointense on T1 with ring or nodular enhancement after administration of gadolinium • T2-weighted imaging is highly variable and may be hypointense, isointense, or hyperintense, depending on the stage and composition of the abscess. • T2 hyperintense while undergoing liquefactive necrosis early on and T2 hypointense in the posttreatment organizing stage, with mixed signal seen during the transition between stages • “eccentric target sign” consists of a rim-enhancing lesion containing an eccentrically located enhancing nodule, a finding which is present in only 30% of cases but is 95% specific. Dina TS. Primary central nervous system lymphoma versus toxoplasmosis in AIDS. Radiology. 1991;179:823–828. Thurnher MM, Donovan Post MJ. Neuroimaging in the brain in HIV-1-infected patients. Neuroimaging Clin N Am. 2008;18:93–117; viii. Brightbill TC, Post MJ, Hensley GT, et al. MR of Toxoplasma encephalitis: signal characteristics on T2-weighted images and pathologic correlation. J Comput Assist Tomogr. 20:417–422. KumarGGS, MahadevanA,GuruprasadAS, et al. Eccentric target sign in cerebral toxoplasmosis: neuropathological correlate to the imaging feature. J Magn Reson Imaging. 2010;31:1469–1472
  • 5.
    Primary CNS Lymphoma(PCNSL) • Hyperattenuating lesions on non-contrast CT • Subependymal spread and ventricular encasement Dina TS. Primary central nervous system lymphoma versus toxoplasmosis in AIDS. Radiology. 1991;179:823–828.
  • 6.
    Toxoplasmosis PCNSL CT HypoattenuatingHyperattenuating Predilection Basal ganglia & corticomedullary junction Subependymal spread & ventricular encasement SPECT / PET Negative uptake Positive uptake DWI ADC ratios > 1.6 ADC ratios between 1.0 - 1.6 MRI perfusion Lower cerebral blood volume Higher cerebral blood volume Gottumukkala RV, Romero JM, Riascos RF, Rojas R, Glikstein RS. Imaging of the brain in patients with human immunodeficiency virus infection. Topics in Magnetic Resonance Imaging. 2014 Oct 1;23(5):275-91.
  • 7.
    HIV Encephalopathy • Generalizedatrophy • White matter hyperintensity on MRI • MRS: Decrease in NAA and increase in choline signal KimDM, Tien R, ByrumC, et al. Imaging in acquired immune deficiency syndrome dementia complex (AIDS dementia complex): a review. Prog Neuropsychopharmacol Biol Psychiatry. 1996;20:349–370. Post MJ, Tate LG, Quencer RM, et al. CT, MR, and pathology in HIV encephalitis and meningitis. AJR Am J Roentgenol. 1988;151:373–380. Broderick DF, Wippold FJ, Clifford DB, et al. White matter lesions and cerebral atrophy on MR images in patients with and without AIDS dementia complex. AJR Am J Roentgenol. 1993;161:177–181. Olsen WL, Longo FM, Mills CM, et al. White matter disease in AIDS: findings at MR imaging. Radiology. 1988;169:445–448. Wilkinson ID, Miller RF, Paley MN, et al. Cerebral proton magnetic resonance spectroscopy in cytomegalovirus encephalitis and HIV leucoencephalopathy/encephalitis. AIDS. 1996;10:1443–1444
  • 8.
    CMV Encephalitis (CT) •Generalized atrophy and ventriculomegaly. • Low attenuation in the periventricular white matter • Periventricular enhancement Post MJ, Hensley GT, Moskowitz LB, et al. Cytomegalic inclusion virus encephalitis in patients with AIDS: CT, clinical, and pathologic correlation. AJR Am J Roentgenol. 1986;146:1229–1234 Arribas JR, Storch GA, Clifford DB, et al. Cytomegalovirus encephalitis. Ann Intern Med. 1996;125:577–587.
  • 9.
    CMV Encephalitis (MRI) •Focal or diffuse areas of increased T2 signal preferentially affecting the periventricular white matter • Rare: meningeal enhancement & cerebral mass lesion(s) with ring enhancement • Diffusion weighted imaging showed bright signal indicative of restricted diffusion along the ependyma and subependyma, which accompanied the classic findings of ependymal T2 hyperintensity and enhancement. • MRS: Decrease in NAA and increase in choline signal (more prominent in HIV encephalopathy) Seok JH, Ahn K, Park HJ. Diffusion MRI findings of cytomegalovirus-associated ventriculitis: a case report. Br J Radiol. 2011; 84:e179–e181. Dyer JR, French MA, Mallal SA. Cerebral mass lesions due to cytomegalovirus in patients with AIDS: report of two cases. J Infect. 1995; 30:147–151. Arribas JR, Storch GA, Clifford DB, et al. Cytomegalovirus encephalitis. Ann Intern Med. 1996;125:577–587. Wilkinson ID, Miller RF, Paley MN, et al. Cerebral proton magnetic resonance spectroscopy in cytomegalovirus encephalitis and HIV leucoencephalopathy/encephalitis. AIDS. 1996;10:1443–1444
  • 10.
    Progressive Multifocal Leukoencephalopathy(CT) • Asymmetric white matter lesions visible as areas of low attenuation that often involve the subcortical white matter. • Lack enhancement or mass effect • Peripheral enhancement may be seen in around 10% of cases Berger JR, Pall L, Lanska D, et al. Progressive multifocal leukoencephalopathy in patients with HIV infection. J Neurovirol. 1998;4:59–68. Whiteman ML, Post MJ, Berger JR, et al. Progressive multifocal leukoencephalopathy in 47 HIV-seropositive patients: neuroimaging with clinical and pathologic correlation. Radiology. 1993;187:233–240 Shah R, Bag AK, Chapman PR, et al. Imaging manifestations of progressive multifocal leukoencephalopathy. Clin Radiol. 2010;65: 431–439
  • 11.
    Progressive Multifocal Leukoencephalopathy(MRI) • Single or multifocal asymmetric white matter lesions that are T1 hypointense and T2 hyperintense and may become more confluent with disease progression • The subcortical white matter and centrum semiovale are affected more commonly than the periventricular white matter, and the deep gray nuclei may also be involved. • Subcortical U-fiber involvement creates a scalloped appearance with lesions closely abutting the cortical grey matter • Posterior fossa lesions are seen in one third of patients, most commonly in the middle cerebellar peduncles Whiteman ML, Post MJ, Berger JR, et al. Progressive multifocal leukoencephalopathy in 47 HIV-seropositive patients: neuroimaging with clinical and pathologic correlation. Radiology. 1993;187:233–240 Shah R, Bag AK, Chapman PR, et al. Imaging manifestations of progressive multifocal leukoencephalopathy. Clin Radiol. 2010;65: 431–439 Sahraian MA, Radue E-W, Eshaghi A, et al. Progressive multifocal leukoencephalopathy: a review of the neuroimaging features and differential diagnosis. Eur J Neurol. 2012;19:1060–1069.
  • 12.
    Progressive Multifocal Leukoencephalopathy(MRI) • PML-IRIS, lesions may cause clinically significant mass effect with or without heterogeneous enhancement • Diffusion weighted imaging of PML lesions depicts a central core of low signal with a corresponding increase in ADC. Surrounding this core is a rim of high DWI signal, likely representing restricted diffusion from cellular swelling at the more active leading edges of the lesion • Magnetic resonance spectroscopy demonstrates decreased NAA, increased choline, increased lactate, and variablemyoinositol levels, findings which are less prominent at the leading edge of the lesion where the degree of neuronal loss and other pathologic changes may be less advanced. Tan K, Roda R, Ostrow L, et al. PML-IRIS in patientswith HIVinfection: clinical manifestations and treatment with steroids. Neurology. 2009;72: 1458–1464. Sahraian MA, Radue E-W, Eshaghi A, et al. Progressive multifocal leukoencephalopathy: a review of the neuroimaging features and differential diagnosis. Eur J Neurol. 2012;19:1060–1069. Yousry TA, Pelletier D, Cadavid D, et al. Magnetic resonance imaging pattern in natalizumab-associated progressive multifocal leukoencephalopathy. Ann Neurol. 2012;72:779–787.
  • 13.
    Gottumukkala RV, RomeroJM, Riascos RF, Rojas R, Glikstein RS. Imaging of the brain in patients with human immunodeficiency virus infection. Topics in Magnetic Resonance Imaging. 2014 Oct 1;23(5):275-91.
  • 14.
    PML - IRIS GottumukkalaRV, Romero JM, Riascos RF, Rojas R, Glikstein RS. Imaging of the brain in patients with human immunodeficiency virus infection. Topics in Magnetic Resonance Imaging. 2014 Oct 1;23(5):275-91.
  • 15.
    HIV encephalopathy CMVEncephalitis PML MRS NAA and choline (prominent) NAA and choline (less prominent) NAA and choline (less prominent) Mass lesion & meningeal enhancement Absent May present Absent Predilection Symmetric, atrophy Atrophy Asymmetric, multifocal, minimal atrophy, Subcortical U-fiber involvement Magnetization transfer ratio (MTR) Mild decrease - decrease Gottumukkala RV, Romero JM, Riascos RF, Rojas R, Glikstein RS. Imaging of the brain in patients with human immunodeficiency virus infection. Topics in Magnetic Resonance Imaging. 2014 Oct 1;23(5):275-91.
  • 16.
    Tb Meningoencephalitis • meningealenhancement around the basal cisterns and within the sylvian fissures. • Infarcts are seen most commonly around the basal ganglia and may show restricted diffusion and/or T2 changes depending on their chronicity. • Hydrocephalus, most commonly communicating, can cause periventricular T2 hyperintensity if excessive ventricular pressure results in the transependymal flow of CSF • Pachymeningeal TB, which appears as area of dural thickening that is hyperdense on CT, isointense on T1 and T2-weighted sequences, and homogeneously enhancing Trivedi R, Saksena S, Gupta RK. Magnetic resonance imaging in central nervous system tuberculosis. Indian J Radiol Imaging. 2009;19:256–265 Bernaerts A, Vanhoenacker FM, Parizel PM, et al. Tuberculosis of the central nervous system: overview of neuroradiological findings. Eur Radiol. 2003;13:1876–1890
  • 17.
    Tuberculoma • Multiple small(<1 cm), hypodense to isodense ring-enhancing masses that are most often supratentorial but may appear nearly anywhere in the cranial vault • Target appearance on CT (calcified center) – pathognomonic • Tuberculous abscesses: large, solitary, often multiloculated ring-enhancing lesions with significant associated edema and mass effect. • MRS may help differentiate Tb and pyogenic abcess because pyogenic abscesses show a characteristic cytosolic amino acid peak, which is absent in tuberculous abscesses. Whiteman M, Espinoza L, Post MJ, et al. Central nervous system tuberculosis in HIV-infected patients: clinical and radiographic findings. AJNR Am J Neuroradiol. 16:1319–1327. Salgado P, Del Brutto OH, Talamás O, et al. Intracranial tuberculoma: MR imaging. Neuroradiology. 1989;31:299–302. Trivedi R, Saksena S, Gupta RK. Magnetic resonance imaging in central nervous system tuberculosis. Indian J Radiol Imaging. 2009;19:256–265
  • 18.
    Tuberculoma • Miliary TBoccurs less commonly and is characterized by numerous tiny (<2 mm) granulomatous lesions that are T2 hyperintense and homogeneously enhancing • Focal tuberculous cerebritis, which produces intense focal gyral enhancement Burrill J, Williams CJ, Bain G, et al. Tuberculosis: a radiologic review. Radiographics. 2007;27:1255–1273. Bernaerts A, Vanhoenacker FM, Parizel PM, et al. Tuberculosis of the central nervous system: overview of neuroradiological findings.Eur Radiol. 2003;13:1876–1890
  • 19.
    CNS Cryptococcosis • DilatedVR spaces • Gelatinous pseudocysts • eningitis • Hydrocephalus • Intraparenchymal cystic masses Charlier C, Dromer F, Lévêque C, et al. Cryptococcal neuroradiological lesions correlate with severity during cryptococcal meningoencephalitis in HIV-positive patients in the HAART era. PLoS One. 2008;3:e1950. Tien RD, Chu PK, Hesselink JR, et al. Intracranial cryptococcosis in immunocompromised patients: CT and MR findings in 29 cases. AJNR Am J Neuroradiol. 12:283–289. Cornell SH, Jacoby CG. The varied computed tomographic appearance of intracranial cryptococcosis. Radiology. 1982;143:703–707. Popovich MJ, Arthur RH, Helmer E. CT of intracranial cryptococcosis. AJNR Am J Neuroradiol. 11:139–142.
  • 20.
    Neurosyphilis • Cortical andsubcortical infarcts • Leptomeningeal enhancement • Gummas, homogeneously enhancing cortical or dural-based mass located along the cerebral convexities These lesions typically appear isodense to hypodense on CT with T1 isointensity and T2 hyperintensity on MRI. Surrounding vasogenic edema with or without mass effect is common, and focal meningeal enhancement adjacent to the nodule is a characteristic • Atrophy • Nonspecific white matter abnormalities • Leptomeningeal enhancement • Cranial neuritis, typically of the second and eighth cranial nerves. Brightbill TC, Ihmeidan IH, Post MJ, et al. Neurosyphilis in HIV-positive and HIV-negative patients: neuroimaging findings. AJNR Am J Neuroradiol. 1995;16:703–711. Tien RD, Gean-Marton AD, Mark AS. Neurosyphilis in HIV carriers: MR findings in six patients. AJR Am J Roentgenol. 1992; 158:1325–1328. Holland BA, Perrett LV, Mills CM. Meningovascular syphilis: CT and MR findings. Radiology. 1986;158:439–442.
  • 21.
    Other Bacterial AndViral Infections • Pyogenic abscess  The imaging findings are identical to those seen with pyogenic abscesses in immunocompetent patients • Herpes simplex virus type 1 infection in AIDS patients can produce an encephalitis that is usually mild and diffuse in contrast to the intense necrotizing temporal lobe encephalitis seen in immunocompetent patients • VZV encephalitis: Imaging findings may include hypodense lesions on CT and T2 hyperintense white and grey matter lesions with areas of hemorrhage on MRI Cohen WA. Intracranial bacterial infections in patients with AIDS. Neuroimaging Clin N Am. 1997;7:223–229. 122. Tan S V, Guiloff RJ, Scaravilli F, et al. Herpes simplex type 1 encephalitis in acquired immunodeficiency syndrome. Ann Neurol. 1993;34:619–622 Toledo PV, Pellegrino LN, Cunha CA. Varicella-zoster virus encephalitis in an AIDS patient. Braz J Infect Dis. 2004;8:255–258.
  • 22.
    Summary • The imagingfindings seen in AIDS-related diseases of the CNS are highly variable and often challenging to decipher. • Clinical presentation + imaging • Adjunctive imaging techniques and laboratory testing are of vital importance in making a definitive diagnosis and guiding therapy.