Extra-axial Neoplasms
Meningiomas account for 15% of all intracranial tumors and are the
most common extra-axial tumor. They originate from the dura or
arachnoid and occur in middle-aged adults. Women are affected
twice as often as men. Meningiomas are well-differentiated, benign,
and encapsulated lesions that indent the brain as they enlarge. They
grow slowly and may be present for many years before producing
symptoms. The histologic picture shows cells of uniform size that
tend to form whorls or psammoma bodies.
The parasagittal region is the most frequent site for meningiomas,
followed by the sphenoid wings, parasellar region, olfactory groove,
cerebello-pontine angle, and rarely the intraventricular region.
Meningiomas often induce an osteoblastic reaction in the adjacent
bone, resulting in a characteristic focal hyperostosis. They are also
hypervascular, receiving their blood supply predominantly from
dural vessels.
Meningioma: CT Imaging
􀂄􀂄 Non-Contrast
– Sharply Circumscribed
– Homogeneous
– Hyperdense (+/- Ca++)
􀂄􀂄 NOT from
psammoma bodies !
– Broad Dural Surface
– Bone Changes
(Hyperostosis)
􀂄􀂄 Enhanced CT
– Homogeneous
Enhancement

Meningioma: Vasogenic Edema
􀂄􀂄 VASCULAR
– parasitization of MCA, etc.
– compression of cortical
aa./vv.
􀂄􀂄 COMPRESSIVE TRAUMA
􀂄􀂄 SECRETORY EFFECT
􀂄􀂄 “TRANSCORTICAL FLOW”
– Close apposition of tumor to
brain
– Thinned cortex
– +/- infiltration of brain
– Fluid gradient from
meningioma into brain
Dural Tail
􀂄􀂄 Curvilinear
enhancement
􀂄􀂄 “dural flair”
􀂄􀂄 First reported
w/meningioma
􀂄􀂄 First reported to
be neoplastic invasion
􀂄􀂄What is it REALLY?
– Thickening of the dura
– Vasocongestion of the
dura
– Edema of the dura

Prevalence of "dural tail sign"
Rokni-Yazdi H, Sotoudeh H. Eur J
Radiol.
2006 Oct;60(1):42-5.
􀂄􀂄 22/98 patients (22.44%) of
intracranial
masses had "dural tail sign“
– 18 meningiomas
– 2 pituitary adenomas
– 1 primary cerebral lymphoma
􀂄􀂄 The "dural tail sign" had a
sensitivity of
58.6% and specificity of 94.02%
in
diagnosis of meningioma.
Anterior falcine meningioma
“En plaque” Meningioma
Multiple Meningioma
Intraventricular meningioma
Optic nerve sheath meningioma right
optic nerve mimicking optical glioma.
Hemangiopericytoma
􀂄􀂄 Syn: “angioblastic
meningioma”
􀂄􀂄 Cell of Origin –
perivascular pericyte of
Zahn and/or Zimmerman
􀂄􀂄WHO 2-3
􀂄􀂄< 1% of primary
CNS
􀂄􀂄 M 1.4:1 F
􀂄􀂄 Age – 40’s
􀂄􀂄 Dural based, bone
destruction, lobulated

HEMANGIOPERICYTOMA
(HPC)
􀂄􀂄 Narrow dural base
(“Mushrooming”)
􀂄􀂄No Hyperostosis
􀂄􀂄No Calcification in tumor
􀂄􀂄Lobulated (not
hemispheric)
􀂄􀂄 Internal Signal Voids (on
MRI)
– irregular and multiple
􀂄􀂄 Hypervascular on Angio
– irregular patterns
Intracerebral lymphoma
Intracerebral lymphoma
Pilocytic astrocytoma
ASTROCYTOMA, SUBEPENDYMAL
GIANT CELL IN TUBEROUS SCLEROSIS
ASTROCYTOMA, SUBEPENDYMAL
GIANT CELL IN TUBEROUS SCLEROSIS
Pleomorphic xanthoastrocytoma
Pleomorphic xanthoastrocytoma
Pleomorphic xanthoastrocytoma
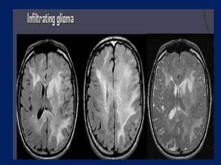
Diffuse astrocytoma
Diffuse astrocytoma
Anaplastic Astrocytoma
Anaplastic astrocytoma
Glioblastoma multiforme
Glioblastoma multiforme
Glioblastoma multiforme
Glioblastoma multiforme
Multicenteric glioma

7.5% of glioblastomas
oligodendroglioma
Oligodendroglioma
Oligodendroglioma
Gangliocytoma
Ganglioglioma
Ganglioglioma
Central neurocytoma
Central neurocytoma
Thank You.

Presentation1.pptx, supratentorial brain tumour