FUNDAMENTALS OF
RENAL PATHOLOGY


Renal pathology is a subspecialty of anatomic pathology that deals
with the diagnosis and characterization of medical diseases (nontumor) of the kidneys.



In the academic setting, renal pathologists work closely with
nephrologists and transplant surgeons, who typically obtain
diagnostic specimens via percutaneous renal biopsy.



The renal pathologist must synthesize findings from light
microscopy, electron microscopy, and immunofluorescence to
obtain a definitive diagnosis.



Medical renal diseases may affect the glomerulus, the tubules and
interstitium, the vessels, or a combination of these compartments.
NORMAL HISTOLOGY
THE GLOMERULUS
Typical stains used in renal
evaluating renal biopsy
ELECTRON MICROGRAM
Clinical Presentations of Glomerular
Diseases


symptomatic proteinuria



•nephrotic syndrome



(proteinuria, hypoproteinemia, lyperlipidemia, edema)



•asymptomatic hematuria



•glomerulonephritis



(hematuria, proteinuria, hypertension, renal failure)



•acute glomerulonephritis



(neprhitis with short term renal failure)



•crescentic glomerulonephritis



(nephritis with rapidly progressive renal failure)



•chronic glomerulonephritis



(chronic progression of renal failure)



•End Stage Renal Disease



(irreversible renal failure)
The Nephrotic Syndrome


The nephrotic syndrome is characterized by massive proteinuria,
which leads to hypoproteinemia/hypoalbunemia, hyperlipidemia
with elevated cholesterols, triglicerides and other lipids, and edema.



The edema results not only from the hypoosmolar state caused by
the loss of plasma proteins, but also from abnormal salt and water
retention.
Histologic feature that is found in any
patient with nephrotic range
proteinuria no matter what the cause
OVAL FAT BODIES
Minimal Change Glomerulopathy
IF
ULTRA STRUCTURE
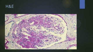
Membranous Glomerulopathy
H&E
SPECIAL STAINS

IA

L STAINS
ELECTRON MICROGRAM
IF
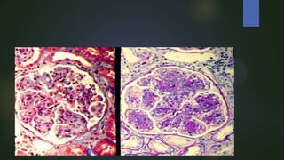
Focal Segmental Glomerulosclerosis
H&E
IF
Type I Membranoproliferative
(Mesangiocapillary)
Glomerulonephritis
IF
ELECRON MICRGRAM
IF
ELECTRON MICROGRAM
Type II Membranoproliferative
Glomerulonephritis, (Dense Deposit
Disease)
ELECTRON MICROGRAM
IF
REFFERENCE


www.uncnephropathology.org/jennette/tutorial.htm

Renal pathology