HELLO
      KIDNEY




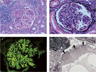
GlomerulonephrItIs
ANATOMY OF MR KIDNEY


            LET’S
            CHECK IT
            OUT!!!
Functions of ME (MR.KIDNEY)

        • Without me, YOU will UNABLE to:
         Remove wastes and water from
          the blood
         Balanced chemicals in your body
         Release hormones
         Help to control blood pressure
         Help to produce red blood cells
         Produce vitamin D, which keeps
          the bones strong and healthy
DEFINITION
What is glomerulonephristis?

            • Glomerulonephritis is

             is a kidney condition

             that involves damage

             /inflammation to the

             glomeruli.
Types of glomerulonephritis

 Acute glomerulonephritis
  - begins suddenly

Chronic glomerulonephritis
 -develops gradually over
  several years.
ETIOLOGY
Glomerolonephritis cause by?
Causes of glomerulonephritis include:
• Streptococcal infection of the throat ( strep throat) or
  skin ( impetigo)
• Hereditary diseases
• Immune diseases, such as lupus
• diabetes
• High blood pressure
• Vasculitis (inflammation of the blood vessels)
• Viruses ( HIV, hepatitis B virus, and hepatitis C virus)
• Endocarditis (infection of the valves of the heart)
Streptococcal infection of the throat
  ( strep throat) or skin ( impetigo)
Lupus
PATHOLOGY
PATHOLOGY

• glomerulonephritis are triggered by immune-

  mediated injury.

• The cellular immune response contributes to the

  infiltration of glomeruli by circulating mononuclear

  inflammatory cells (lymphocytes and macrophages)

  and crescent formation in the absence of antibody

  deposition.
PATHOLOGY
• The humoral immune response leads to immune

  deposit formation and complement activation in

  glomeruli.

• Antibodies can be deposited within the glomerulus

  when circulating antibodies react with intrinsic or

  with extrinsic antigens that have been trapped within

  the glomerulus.
PATHOLOGY
• Injury usually occurs as a consequence of the
  activation and release of a variety of inflammatory
  mediators.
• Haemodynamic, and toxic stresses can also induce
  glomerular injury.
• A few glomerular diseases are due to hereditary
  defects resulting in deformity of the glomerular
  basement membrane.
Sign and symptoms
Sign and symptoms




• Kidney pain normally happens in the “flank”
  region, which is just below the bottom of rib
  cage.
Sign and symptoms
• Cola-colored or diluted, iced-
  tea-colored urine from red
  blood cells in your urine
  (hematuria)
• Foamy urine due to excess
  protein (proteinuria)
Sign and symptoms
• High blood pressure
  (hypertension)
• Fluid retention (edema)
  with swelling evident in
  your face, hands, feet
  and abdomen
• Fatigue/SOB from
  anemia or kidney
  failure.
• Less frequent urination
  than usual.
PRECAUTION & TREATMENTS
Precautions
• Precautions
 start slowly and build up gradually
 aim to exercise for 30 minutes three
  times a week
• Advice for patients
 carry a small spray bottle filled with
  lemon water or mouthwash to spray
  their mouth when they are feeling dry
  in order to keep fluid balanced
Precautions
• Do not give an exercise to patient with consideration of
  these condition:

 Changed their dialysis schedule
 Changed their medicine schedule
 Overeaten
 Physical condition has changed;
 Fever
 Have joint or bone problems
 Weather is hot and humid and you
 Do not give exercises in an indoor, air-conditioned
  environment.
Precaution
• Discontinue routine earlier if experience any of
  the following:

 shortness of breath
 fatigue,
 rapid or irregular heartbeat,
 chest pain,
 nausea,
 leg cramps or dizziness.
Doctor treatment

• Treatment depends on the cause of the
  disorder, and the type and severity of
  symptoms.
• High blood pressure may be hard to control.
  Controlling high blood pressure is usually the
  most important part of treatment.
• Dialysis and Transplant
Doctor treatment
Medications
• Diuretics to reduce fluid retention
• Medications to suppress the immune system

Lifestyle Changes
• Restrict salt and water intake.
• Restrict intake of potassium, phosphorous, and magnesium.
• Cut down on protein in the diet.
• Maintain a healthy weight through diet and exercise.
• Take calcium supplements.
Physiotherapy treatment
• Patient education
• Endurance Exercise
Walking test
 walking, swimming, bicycling, aerobic dancing
Circulatory exercise
Exercise
program during
dialysis
BENEFITS OF EXERCISES
Benefit of exercise for
             Glomerulonephritis
• Increased energy. exercise regularly, over a period of
  time will develop greater resistance to fatigue and
  energy will increase.
• Help in dealing with stress. Exercise relieves tension,
  which enables to relax and feel less tense.
• Improved ability to sleep. As tension in body
  diminishes and begins to relax, patient will go to sleep
  much quicker and sleep more soundly.
• Improved overall daily functioning. As fitness
  improves, the capacity to perform daily tasks at school,
  home or on the job will increase.
Benefit of exercise for
           Glomerulonephritis
• Improved appearance. burn extra calories,
  muscles become firmer, it becomes easier to
  control weight thus improving overall
  appearance.
• Improved overall health. As oxygen is
  transported more efficiently around the body,
  circulation improves, the heart becomes
  stronger, blood pressure is lowered, and body
  is better equipped to fight off diseases.
Benefit of exercise for
              Glomerulonephritis
• Regular exercise can break this unhealthy circle as well
  as provide these additional benefits:

 Improve strength and mobility
 Relieve depression
 Boost blood circulation, a key to good heart health
 Maintain bone and muscle strength
 Lower your weight and cholesterol
 And boost your self-esteem
Physiotherapy treatment
• lymphatic massage
   To reduce edema

• Breathing exercise
  -breathing control
  purse lip breathing
  and diagram
  breathing
KIDNEY SAY !!!!




Thanks for watching

Glomerulonephritis =)

  • 1.
    HELLO KIDNEY GlomerulonephrItIs
  • 2.
    ANATOMY OF MRKIDNEY LET’S CHECK IT OUT!!!
  • 5.
    Functions of ME(MR.KIDNEY) • Without me, YOU will UNABLE to:  Remove wastes and water from the blood  Balanced chemicals in your body  Release hormones  Help to control blood pressure  Help to produce red blood cells  Produce vitamin D, which keeps the bones strong and healthy
  • 6.
  • 7.
    What is glomerulonephristis? • Glomerulonephritis is is a kidney condition that involves damage /inflammation to the glomeruli.
  • 8.
    Types of glomerulonephritis Acute glomerulonephritis - begins suddenly Chronic glomerulonephritis -develops gradually over several years.
  • 9.
  • 10.
    Glomerolonephritis cause by? Causesof glomerulonephritis include: • Streptococcal infection of the throat ( strep throat) or skin ( impetigo) • Hereditary diseases • Immune diseases, such as lupus • diabetes • High blood pressure • Vasculitis (inflammation of the blood vessels) • Viruses ( HIV, hepatitis B virus, and hepatitis C virus) • Endocarditis (infection of the valves of the heart)
  • 11.
    Streptococcal infection ofthe throat ( strep throat) or skin ( impetigo)
  • 12.
  • 13.
  • 14.
    PATHOLOGY • glomerulonephritis aretriggered by immune- mediated injury. • The cellular immune response contributes to the infiltration of glomeruli by circulating mononuclear inflammatory cells (lymphocytes and macrophages) and crescent formation in the absence of antibody deposition.
  • 16.
    PATHOLOGY • The humoralimmune response leads to immune deposit formation and complement activation in glomeruli. • Antibodies can be deposited within the glomerulus when circulating antibodies react with intrinsic or with extrinsic antigens that have been trapped within the glomerulus.
  • 17.
    PATHOLOGY • Injury usuallyoccurs as a consequence of the activation and release of a variety of inflammatory mediators. • Haemodynamic, and toxic stresses can also induce glomerular injury. • A few glomerular diseases are due to hereditary defects resulting in deformity of the glomerular basement membrane.
  • 19.
  • 20.
    Sign and symptoms •Kidney pain normally happens in the “flank” region, which is just below the bottom of rib cage.
  • 21.
    Sign and symptoms •Cola-colored or diluted, iced- tea-colored urine from red blood cells in your urine (hematuria) • Foamy urine due to excess protein (proteinuria)
  • 22.
    Sign and symptoms •High blood pressure (hypertension) • Fluid retention (edema) with swelling evident in your face, hands, feet and abdomen • Fatigue/SOB from anemia or kidney failure. • Less frequent urination than usual.
  • 23.
  • 24.
    Precautions • Precautions  startslowly and build up gradually  aim to exercise for 30 minutes three times a week • Advice for patients  carry a small spray bottle filled with lemon water or mouthwash to spray their mouth when they are feeling dry in order to keep fluid balanced
  • 25.
    Precautions • Do notgive an exercise to patient with consideration of these condition:  Changed their dialysis schedule  Changed their medicine schedule  Overeaten  Physical condition has changed;  Fever  Have joint or bone problems  Weather is hot and humid and you  Do not give exercises in an indoor, air-conditioned environment.
  • 26.
    Precaution • Discontinue routineearlier if experience any of the following:  shortness of breath  fatigue,  rapid or irregular heartbeat,  chest pain,  nausea,  leg cramps or dizziness.
  • 27.
    Doctor treatment • Treatmentdepends on the cause of the disorder, and the type and severity of symptoms. • High blood pressure may be hard to control. Controlling high blood pressure is usually the most important part of treatment. • Dialysis and Transplant
  • 28.
    Doctor treatment Medications • Diureticsto reduce fluid retention • Medications to suppress the immune system Lifestyle Changes • Restrict salt and water intake. • Restrict intake of potassium, phosphorous, and magnesium. • Cut down on protein in the diet. • Maintain a healthy weight through diet and exercise. • Take calcium supplements.
  • 29.
    Physiotherapy treatment • Patienteducation • Endurance Exercise Walking test  walking, swimming, bicycling, aerobic dancing Circulatory exercise
  • 30.
  • 31.
  • 32.
    Benefit of exercisefor Glomerulonephritis • Increased energy. exercise regularly, over a period of time will develop greater resistance to fatigue and energy will increase. • Help in dealing with stress. Exercise relieves tension, which enables to relax and feel less tense. • Improved ability to sleep. As tension in body diminishes and begins to relax, patient will go to sleep much quicker and sleep more soundly. • Improved overall daily functioning. As fitness improves, the capacity to perform daily tasks at school, home or on the job will increase.
  • 33.
    Benefit of exercisefor Glomerulonephritis • Improved appearance. burn extra calories, muscles become firmer, it becomes easier to control weight thus improving overall appearance. • Improved overall health. As oxygen is transported more efficiently around the body, circulation improves, the heart becomes stronger, blood pressure is lowered, and body is better equipped to fight off diseases.
  • 34.
    Benefit of exercisefor Glomerulonephritis • Regular exercise can break this unhealthy circle as well as provide these additional benefits:  Improve strength and mobility  Relieve depression  Boost blood circulation, a key to good heart health  Maintain bone and muscle strength  Lower your weight and cholesterol  And boost your self-esteem
  • 35.
    Physiotherapy treatment • lymphaticmassage To reduce edema • Breathing exercise -breathing control purse lip breathing and diagram breathing
  • 36.