 The kidney is a mysterious organ that makes urine
 Has role in-
 Excreting wastes
 Regulating body fluids
 Balancing soluble ions
 Kidneys-bean shape organs within peritoneum
 Each organ weights 125 to 170 gm in males and 115 to 150 gr in females
 The renal artery divides into anterior and posterior arteries which in turn give off
segmental arteries
 The main renal artery gives off-
 Interlobar
 Arcuate
 Interlobular arteries
 On the cut surface-cortex and medulla
 medulla is divided to 18 pyramids
 Each pyramid base is located at the corticomedullary junction
 Nephrons-
• Functional and basic unit
• Composed of glomeruli,bowman’s capsule, PCT, DCT & henle’s loop.
• Glomeruli-cortex
• Henle’s loop-medulla
• Nephrons-1 million
 Glomeruli-
• Malphigi first described glomerulus
• Glomerulus-glomerular tuft + bowman’s capsule
• Glomerulus-vascular tuft lined by endothelium,supported by mesangium
• 200 μm.
 Proximal tubule-
• 14mm long.
• Cells are cuboid/short columnar,eosinophilic cytoplasm,granular,round nucleus in
centre.with brush border
• Reabsorption of majority glomerular ultrafiltrate.
 Henle’s loop-
• Between proximal and distal tubules
• U-shaped unit
• Cells are flat, attenuated cytoplasm, no brush border
 Distal tubule-
• Connects to ascending henle’s loop
• No brush border
 Collecting duct-
• Begins near end of DCT in cortex
• Potassium secretion
 GLOMERULUS
 Iverson and Brun (1951)- first renal biopsy description
 Nephrotic syndrome:
› Adult NS
› Children with atypical features
 Acute renal failure:
› Undiagnosed
› Non resolving clinical ATN >3-4
weeks
 Systemic diseases with renal dysfunction
 Sub-nephrotic proteinuria
› >2g/d in DM, early MGN, FSGS,
IgAN
› <2g/d needs clinicians discretion
 Hematuria
› Isolated
› Associated with proteinuria and
abnormal urine sediment
 Post transplant
 CKD-
 generally contraindicated
 In moderate dysfunction-potential
reversibility and basic disease
 Diabetes Mellitus
 Microscopic hematuria
 Absence of retinopathy and
neuropathy
 Onset of proteinuria <5years from
diagnosis
 Acute worsening of renal function
 Systemic features
 Renal biopsies taken by True-cut or biopsy gun under local anesthesia
 performed in prone position for native kidneys and in supine position for transplanted
kidneys
 It is better to use 16 or 14 guage needle
 optimum location for biopsy is juxtamedullary
 Other renal biopsy techniques include transjugular retrograde approach by
catheter, laparascopic techniques, and open laparatomic biopsy.
Procedure-
 Informed consent
 Patient in prone position with wedge or pillow below the abdomen
 Light sedation
 Local anesthesia with 1-2% lignocaine from the skin down to the capsule
 Stab incision can be given to ease biopsy gun entry
 Advance the biopsy gun, when the capsule is reached, instruct patient to take a deep breath
and fire the gun
 2-3 cores can be taken from the lower pole of the left kidney
 Press on wound for 2-5 minutes
Post procedure-
 Bed rest is instructed for 18-24 hours
 BP and pulse are monitored in the following way-
 Every 15 mins for 1 hour
 Every 30 mins for 1 hour
 Every hour for 4 hours
 4 hourly for next remaining 24 hours
 Save aliquots of each voided urine sample in clear specimen jars
 Hct monitored 6-8 hours and 18-24 hours after biopsy
Complications-
 Hematoma
 Hematuria
 AV fistula
Fixatives-
 For light microscopy, neutral buffered formaldehyde is used
 suitable for immunohistochemical study and also molecular procedures
 For electron microscopy, 2-3% glutaraldehyde fluid is suitable.
 Immunofluorescence samples do not need any fixative and should be delivered
and frozen in Michel`s media for frozen sections
Specimen division-
 >8mm - LM/IF/EM
 4-8mm - EM/IF
 <4mm - EM
 Adequacy of the sample:
› two biopsy cylinders with a minimal length of 1 cm and a diameter of at least
1.2 mm.
› 10–15 glomeruli are optimal; very often 6–10 glomeruli are sufficient
› some cases even one glomerulus is enough
Sectioning and staining-
› After histologic processing and paraffin embedding, the tissues are sectioned
by microtome
› sections are prepared as thin as 3 μm or less for light microscopy. Thicker
sections is needed in congo red and Immunohistochemistry staining.
› Most helpful stains are-HE, PAS, Massons trichrome, JMS and congo red.
PAS TRICHROME SILVER
Basement membrane red deep blue black
Mesangial matrix red deep blue black
Interstitial collagen ------ pale blue -------
Cell cytoplasm ------- rust/orange granular ------
Immune complex deposit -/+ bright red
orange,homogenous
-----
Fibrin weakly + Bright red orange,fibrillar ----
amyloid -------- Light blue orange ----
Light
microscopy(LM)
IHC-IF
Electron
Microscopy(EM)
 Glomeruli
 Tubules
 Interstitium
 Vessels
A. Injury Localization: Glomerular/Vascular/Tubulointerstitial
B. Category of Injury: Active Versus Fibrosing
1. Active lesions
 a. Proliferation
 b. Necrosis
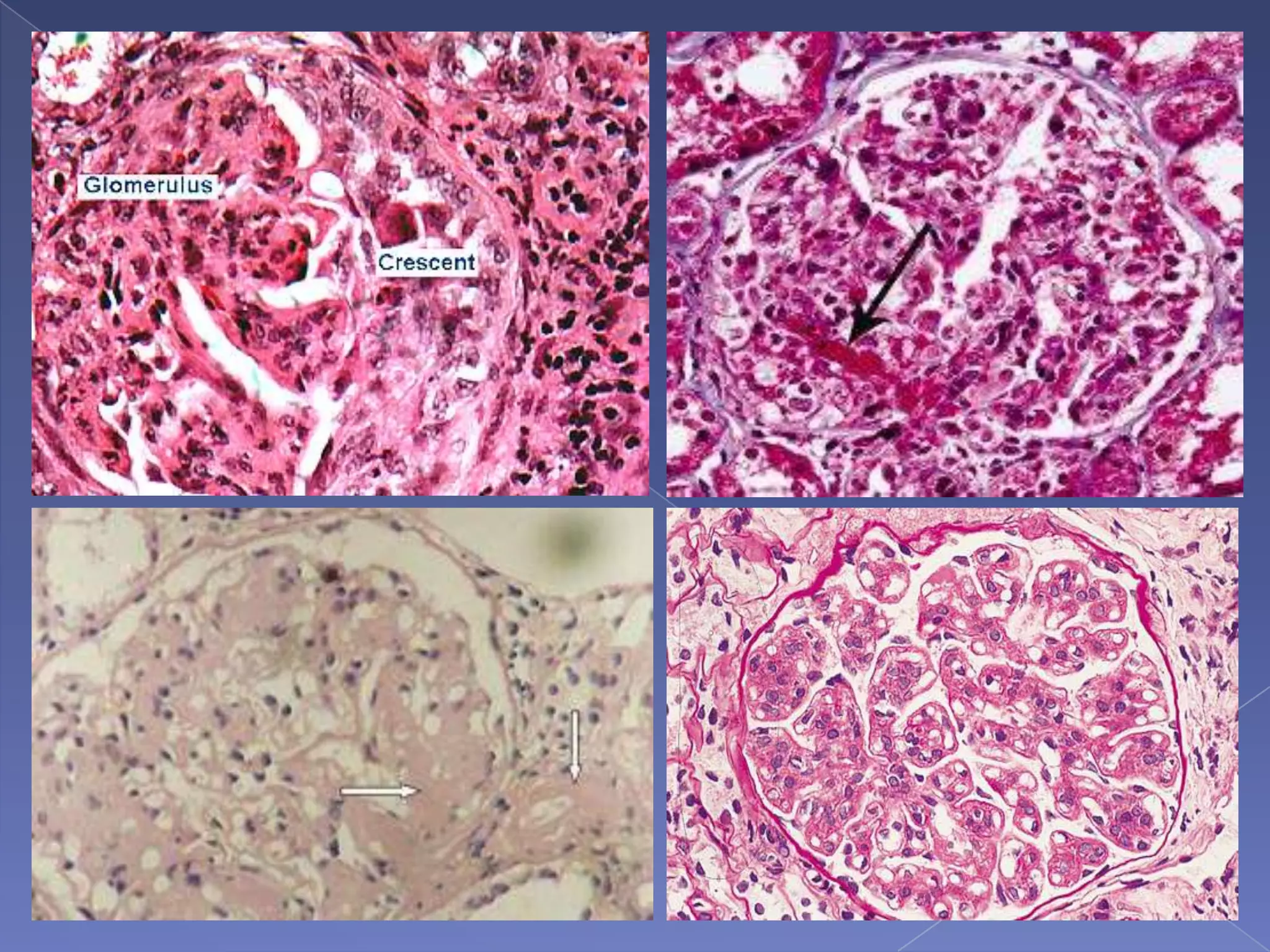
 c. Crescents
 d. Edema
 e. Active inflammation (eg, glomerulitis, tubulitis, vasculitis)
2. Fibrosing
 a. Glomerulosclerosis
 b. Fibrous crescents
 c. Tubular atrophy
 d. Interstitial fibrosis
 e. Vascular sclerosis
C. Types of Lesions
 1. Determination of the nature and pathogenesis of lesions: examination by IF, EM and
LM
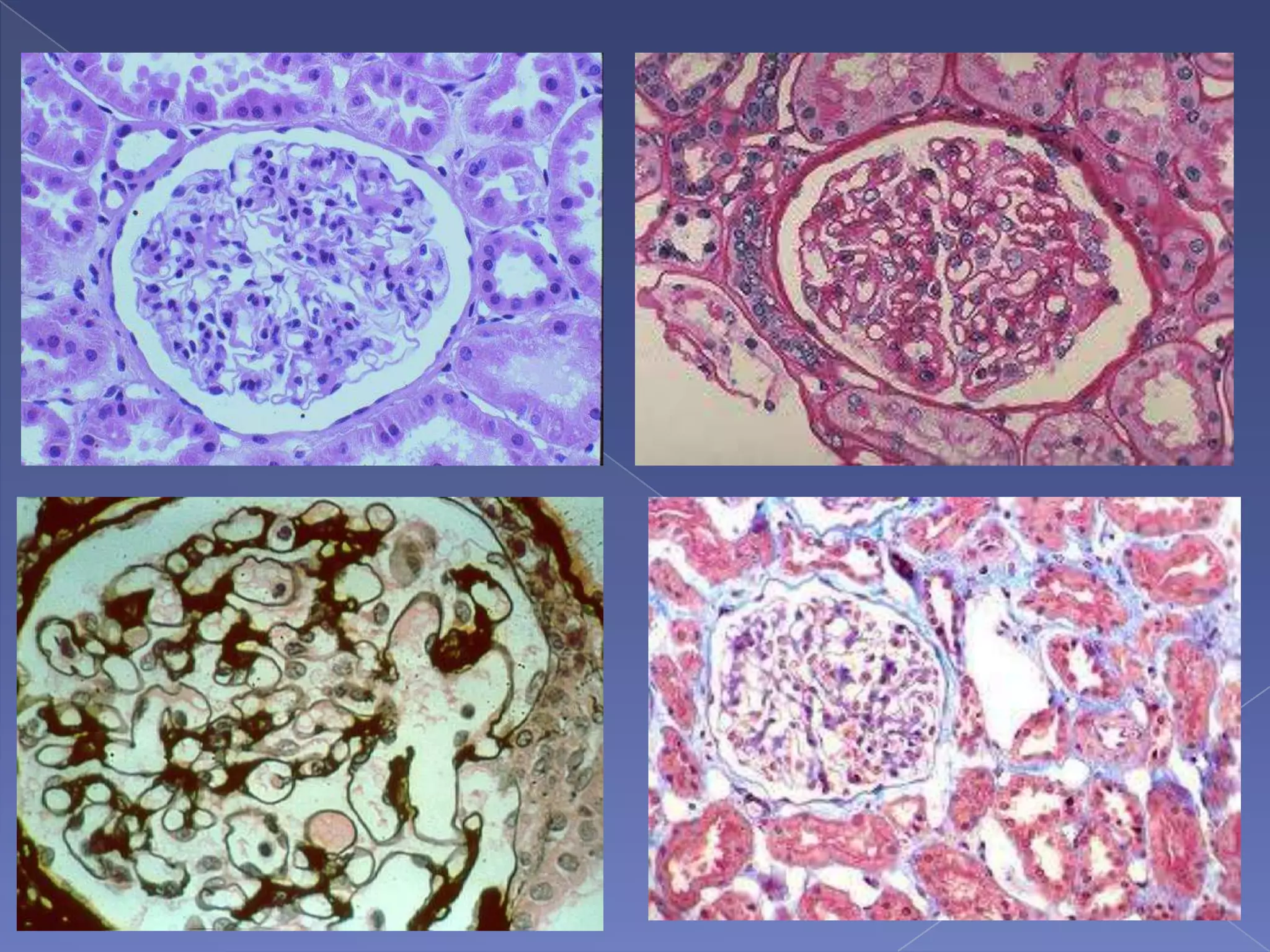
GLOMERULI
Focal/diffuse
Global/segmental
Number & size
Cellularity
Deposits
Mesangium
Fibrinoid necrosis & crescents
TUBULOINTERSTITIUM
Tubular atrophy/dilatation
Necrosis
Interstitial inflammation
Interstiial fibrosis
EM
Additional features
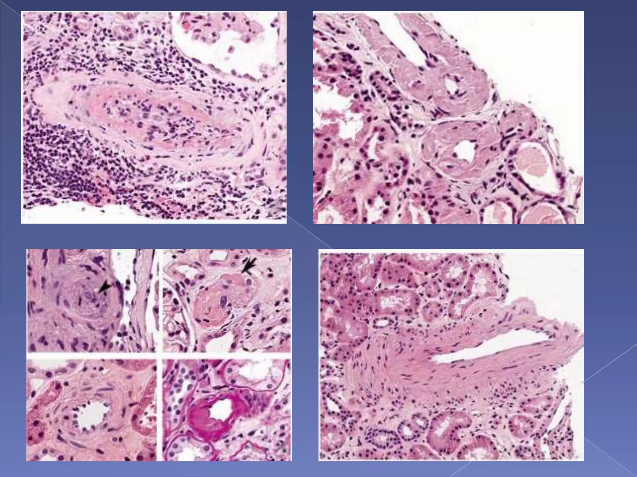
VESSELS
Wall thickening
Hyalinosis
Fibrinoid necrosis
Endothelitis
 Focal-Involving <50% of glomeruli
 Diffuse-Involving 50% or more of glomeruli
 Segmental-Involving part of a glomerular tuft
 Global-Involving all of a glomerular tuft
 Mesangial hypercellularity-4 or more nuclei in a peripheral mesangial segment
 Endocapillary hypercellularity-Increased cellularity internal to the GBM composed of
leukocytes, endothelial cells and/or mesangial cells
 Extracapillary hypercellularity-Increased cellularity in Bowman’s space, i.e. > one layer of
parietal or visceral epithelial cells, or monocytes/macrophages
 Crescent-Extracapillary hypercellularity other than the epithelial hyperplasia of collapsing
variant of FSGS
 Fibrinoid necrosis-Lytic destruction of cells and matrix with deposition of acidophilic fibrin-
rich material
 Sclerosis-Increased collagenous extracellular matrix that is expanding the
mesangium, obliterating capillary lumens or forming adhesions to Bowman’s capsule
 Hyaline-Glassy acidophilic extracellular material
 Membranoproliferative-Combined capillary wall thickening and endocapillary
hypercellularity
 Lobular -Consolidated expansion of segments that are demarcated by intervening urinary
space
 Mesangiolysis-lysis of mesangial matrix
 No abnormality by light microscopy:
1. No glomerular disease
2. Glomerular disease with no light microscopic changes (e.g. minimal change
glomerulopathy, thin basement membrane nephropathy)
3. Mild or early glomerular disease (e.g. Class I lupus nephritis, IgA nephropathy, C1q
nephropathy, Alport syndrome, etc.)
 Thick capillary walls without hypercellularity or mesangial expansion:
1. Membranous glomerulopathy (primary or secondary) (>Stage I)
2. Thrombotic microangiopathy with expanded subendothelial zone
3. Preeclampsia/eclampsia with endothelial swelling
3. Fibrillary glomerulonephritis with predominance of capillary wall deposits
 Thick walls with mesangial expansion but little or no hypercellularity:
1. Diabetic glomerulosclerosis with diffuse rather than nodular sclerosis
2. Secondary membranous glomerulopathy with mesangial immune deposits
3. Amyloidosis
4. Monoclonal immunoglobulin deposition disease
5. Fibrillary glomerulonephritis
6. Dense deposit disease (type II membranoproliferative glomerulonephritis)
Focal segmental glomerular sclerosis without hypercellularity:
1. Focal segmental glomerulosclerosis (primary or secondary)
2. Chronic sclerotic phase of a focal glomerulonephritis
3. Hereditary nephritis (Alport syndrome)
Mesangial or endocapillary hypercellularity:
1. Focal or diffuse mesangioproliferative glomerulonephritis*
2. Focal or diffuse (endocapillary) proliferative glomerulonephritis*
3. Acute (“exudative”) diffuse proliferative postinfectious glomerulonephritis
4. Membranoproliferative glomerulonephritis (type I, II or III)
Extracapillary hypercellularity:
1. ANCA crescentic glomerulonephritis (paucity of immunoglobulin by IFM)
2. Immune complex crescentic glomerulonephritis ((granular immunoglobulin by IFM)
3. Anti-GBM crescentic glomerulonephritis (linear immunoglobulin by IFM)
4. Collapsing variant of focal segmental glomerulosclerosis (including HIV nephropathy)
Membranoproliferative, lobular or nodular pattern:
1. Membranoproliferative glomerulonephritis (type I, II/DDD, or IIIB/IIIS)
2. Diabetic glomerulosclerosis with nodular mesangial expansion (KW nodules)
3. Monoclonal immunoglobulin deposition disease with nodular sclerosis
4. Idiopathic (smoking associated) nodular glomerulosclerosis
5. Thrombotic microangiopathy
6. Fibrillary glomerulonephritis
7. Immunotactoid glomerulopathy
Advanced diffuse global glomerular sclerosis
1. End stage glomerular disease
2. End stage vascular disease
3. End stage tubulointerstitial disease
 Directed at identification of pathogenic Ig and complement.
 Abs used routinely-IgG, IgA, IgM, Kappa & lambda light chains, C3, C4, C1q,
fibrinogen
 Glomerular/extraglomerular location,intensity & pattern of staining
 Glomerular staining catagorized as-mesangial, capilary wall or both
 Capillary staining –granular,linear,band like
Capillary granularmesangial both
Coarse granular granular
Fine granular Band like coarsely granular
Linear cap wall Granular mesangial Granular cap wall Diffuse smudgy mes &
cap wall
•Anti GBM disease(IgG,
C3)
•Monoclonal Ig deposition
disease(mostly kappa
chain)
•Diabetic
nephropathy(IgG,albumin)
•Dense deposit disease(
ribbonlike,thick C3)
•Rarely fibrillary GN (IgG)
•IgA nephropathy
•WHO Class II lupus( full
house)
•C1q nephropathy
•IgM is idiopathic
nephrotic syndrome
•Other
mesangioproliferative GN
•Finely granular
(membranous GN
with/without SLE)
•Coarsely granular
(MPGN, WHO Class III, or
IV lupus)
•Scattered ,coarse granules
(poststreptococcal GN)
•Primary
amyloidosis(usually λ)
•Fibrillary GN(IgG)
•Monoclonal Ig deposition
disease
 Detailed evaluation of cellular & extracellular contents
 Assesment of thickness,contour, & integrity of GBM & mesangial matrix
 Fibrillary GN & immunotactoid GP can be diagnosed only on EM
Mesangial dense deposit(IgA)
Mesangial & subendothelial
dense deposit(lupus IV)
SUBEPITHELIAL HUMP
Subendothelial dense deposit
 Diseases primarily affecting the tubules are considered under the following
headings
 Acute tubular necrosis
 Tubular casts
 Chronic changes/tubular atrophy
 Tubulitis
 Tubular basement membrane changes
 Charaterised morphologically by destruction/severe injury of the renal tubular
epithelium
 2 major causes are-toxins & ischaemia
 Evidence of ATN/injury are-
 Degeneration & necrosis of individual tubular epithelial cells
 Swelling of tubular epithelium(ballooning)
 Detachment of tubular epithelium from underlying BM
 Loss of PAS positive brush border of PCT
 Thinning of tubular epithelium
 Dilatation of tubular Lumina
 Interstitial edema
 Casts ( hyaline, pigmented, eosinophilic, cellular, granular debris)
 Tubular lumen contains sloughed epithelial cells, leukocytes, cellular debris
 Rupture of tubular BM
 Hyaline droplet change-small to
large eosinophilic PAS positive
droplets
 Vacuolar change-
 Hydropic change
 Foam cells
 Fatty change
 Hypokalemic nephropathy
 Pigmented tubular epithelium
 Intranuclear inclusions
Hydropic change
Fatty change
Inclusions in lead intoxication CMV inclusions
 Lymphocytes or other inflammatory cells on epithelial side of tubular BM
infiltrating the tubular epithelium
 Marker of active tubulointerstitial inflammation.
 Hyaline casts
 WBC casts
 Epithelial / granular casts
 RBC casts
 Large hyaline fractured casts
 Myoglobin/hemoglobin casts
 Tubules are non functioning & it is no longer capable of regenerating and
resuming function.
 Accompanied by thickening of tubular BM
 Tubular BM are thickned & wrinkled
 3 types of atrophic tubules-
1. Classic atrophic tubules-thick wrinkled ocassional lamellated tubular BM
,simplified cuboidal non descript epithelium
2. Endocrine tubules-narrow/no tubular lumen. clear epithelial cells, thin/absent BM
3. Thyroidized tubules-round tubules, simplified epithelium, uniform intratubular
casts that mimic thyroid
4. Super tubules-enlarged, dilated. either hypertrophic/hyperplastic
Thickened BM
THYROIDIZATION
 No abnormality on LM-
 No interstitial disease
 Interstitial disease with no change
 Early disease
 Interstitial expansion by edema
 ATN
 Renal vein thrombosis
 Nephrotic syndrome(MCD)
 AGN (acute lupus,APSGN)
 Thrombotic microangiopathy(HUS)
 Interstitial expansion by eosinophilic material
 Collagen-fibrosis
 Sickle cell disease
 Radiation nephritis
 amyloid
 Interstitial expansion by leukocytes
 Polymorphs(APSGN, drug induced, sepsis)
 Lymphoplasmacytic(chr nephritsi, vasculitis, rejection)
 Eosinophils (vasculitis, drug induced, lupus)
 Epitheloid(TB, sarcoidosis, drug induced, malakoplakia)
 Expansion by foam cells
 Hereditary nephritis(alports syndrome)
 Abundant,prolonged proteinuria or Nephrotic syndrome(membranous GN)
 Interstitial hemorrhage
 Acute rejection
 Severe GN with rupture of bowmans capsule
 Malignant HTN
 Vasculitis
 Interstitial expansion by neoplastic cells-
 Lymphoma
 Leukemia
 Primary renal ca
 Metastasis
 Crystals & mineral deposits
 Nephrocalcinosis(ca carbonate)
 ARF(ca oxalate)
 Uric acid(gout)
 Cholesterol(glomerular disease with nephrotic syndrome)
edema Int nephritis polymorphs
granuloma DLBCL
 Vasculitis
 Fibrinoid necrosis
 Thrombosis
 Pseudoaneurysm
 Infarct
 Endothelitis
 Deposition of material-
 Amyloid
 Hyaline arteriolosclerosis
 Toxins
 Thrombotic microangiopathy
 Peripheral hyalin
 Hypertension induced changes
 Medial hypertrophy
 Intimal thickening
 Replication of elastic lamina
THANK YOU

Interpretation of renal biopsy

  • 2.
     The kidneyis a mysterious organ that makes urine  Has role in-  Excreting wastes  Regulating body fluids  Balancing soluble ions
  • 3.
     Kidneys-bean shapeorgans within peritoneum  Each organ weights 125 to 170 gm in males and 115 to 150 gr in females  The renal artery divides into anterior and posterior arteries which in turn give off segmental arteries  The main renal artery gives off-  Interlobar  Arcuate  Interlobular arteries  On the cut surface-cortex and medulla  medulla is divided to 18 pyramids  Each pyramid base is located at the corticomedullary junction
  • 5.
     Nephrons- • Functionaland basic unit • Composed of glomeruli,bowman’s capsule, PCT, DCT & henle’s loop. • Glomeruli-cortex • Henle’s loop-medulla • Nephrons-1 million  Glomeruli- • Malphigi first described glomerulus • Glomerulus-glomerular tuft + bowman’s capsule • Glomerulus-vascular tuft lined by endothelium,supported by mesangium • 200 μm.  Proximal tubule- • 14mm long. • Cells are cuboid/short columnar,eosinophilic cytoplasm,granular,round nucleus in centre.with brush border • Reabsorption of majority glomerular ultrafiltrate.
  • 6.
     Henle’s loop- •Between proximal and distal tubules • U-shaped unit • Cells are flat, attenuated cytoplasm, no brush border  Distal tubule- • Connects to ascending henle’s loop • No brush border  Collecting duct- • Begins near end of DCT in cortex • Potassium secretion
  • 8.
  • 12.
     Iverson andBrun (1951)- first renal biopsy description
  • 13.
     Nephrotic syndrome: ›Adult NS › Children with atypical features  Acute renal failure: › Undiagnosed › Non resolving clinical ATN >3-4 weeks  Systemic diseases with renal dysfunction  Sub-nephrotic proteinuria › >2g/d in DM, early MGN, FSGS, IgAN › <2g/d needs clinicians discretion  Hematuria › Isolated › Associated with proteinuria and abnormal urine sediment  Post transplant  CKD-  generally contraindicated  In moderate dysfunction-potential reversibility and basic disease  Diabetes Mellitus  Microscopic hematuria  Absence of retinopathy and neuropathy  Onset of proteinuria <5years from diagnosis  Acute worsening of renal function  Systemic features
  • 15.
     Renal biopsiestaken by True-cut or biopsy gun under local anesthesia  performed in prone position for native kidneys and in supine position for transplanted kidneys  It is better to use 16 or 14 guage needle  optimum location for biopsy is juxtamedullary  Other renal biopsy techniques include transjugular retrograde approach by catheter, laparascopic techniques, and open laparatomic biopsy.
  • 16.
    Procedure-  Informed consent Patient in prone position with wedge or pillow below the abdomen  Light sedation  Local anesthesia with 1-2% lignocaine from the skin down to the capsule  Stab incision can be given to ease biopsy gun entry  Advance the biopsy gun, when the capsule is reached, instruct patient to take a deep breath and fire the gun  2-3 cores can be taken from the lower pole of the left kidney  Press on wound for 2-5 minutes
  • 17.
    Post procedure-  Bedrest is instructed for 18-24 hours  BP and pulse are monitored in the following way-  Every 15 mins for 1 hour  Every 30 mins for 1 hour  Every hour for 4 hours  4 hourly for next remaining 24 hours  Save aliquots of each voided urine sample in clear specimen jars  Hct monitored 6-8 hours and 18-24 hours after biopsy Complications-  Hematoma  Hematuria  AV fistula
  • 18.
    Fixatives-  For lightmicroscopy, neutral buffered formaldehyde is used  suitable for immunohistochemical study and also molecular procedures  For electron microscopy, 2-3% glutaraldehyde fluid is suitable.  Immunofluorescence samples do not need any fixative and should be delivered and frozen in Michel`s media for frozen sections Specimen division-  >8mm - LM/IF/EM  4-8mm - EM/IF  <4mm - EM
  • 19.
     Adequacy ofthe sample: › two biopsy cylinders with a minimal length of 1 cm and a diameter of at least 1.2 mm. › 10–15 glomeruli are optimal; very often 6–10 glomeruli are sufficient › some cases even one glomerulus is enough Sectioning and staining- › After histologic processing and paraffin embedding, the tissues are sectioned by microtome › sections are prepared as thin as 3 μm or less for light microscopy. Thicker sections is needed in congo red and Immunohistochemistry staining. › Most helpful stains are-HE, PAS, Massons trichrome, JMS and congo red.
  • 20.
    PAS TRICHROME SILVER Basementmembrane red deep blue black Mesangial matrix red deep blue black Interstitial collagen ------ pale blue ------- Cell cytoplasm ------- rust/orange granular ------ Immune complex deposit -/+ bright red orange,homogenous ----- Fibrin weakly + Bright red orange,fibrillar ---- amyloid -------- Light blue orange ----
  • 22.
  • 23.
     Glomeruli  Tubules Interstitium  Vessels
  • 24.
    A. Injury Localization:Glomerular/Vascular/Tubulointerstitial B. Category of Injury: Active Versus Fibrosing 1. Active lesions  a. Proliferation  b. Necrosis  c. Crescents  d. Edema  e. Active inflammation (eg, glomerulitis, tubulitis, vasculitis) 2. Fibrosing  a. Glomerulosclerosis  b. Fibrous crescents  c. Tubular atrophy  d. Interstitial fibrosis  e. Vascular sclerosis C. Types of Lesions  1. Determination of the nature and pathogenesis of lesions: examination by IF, EM and LM
  • 25.
    GLOMERULI Focal/diffuse Global/segmental Number & size Cellularity Deposits Mesangium Fibrinoidnecrosis & crescents TUBULOINTERSTITIUM Tubular atrophy/dilatation Necrosis Interstitial inflammation Interstiial fibrosis EM Additional features VESSELS Wall thickening Hyalinosis Fibrinoid necrosis Endothelitis
  • 27.
     Focal-Involving <50%of glomeruli  Diffuse-Involving 50% or more of glomeruli  Segmental-Involving part of a glomerular tuft  Global-Involving all of a glomerular tuft  Mesangial hypercellularity-4 or more nuclei in a peripheral mesangial segment  Endocapillary hypercellularity-Increased cellularity internal to the GBM composed of leukocytes, endothelial cells and/or mesangial cells  Extracapillary hypercellularity-Increased cellularity in Bowman’s space, i.e. > one layer of parietal or visceral epithelial cells, or monocytes/macrophages  Crescent-Extracapillary hypercellularity other than the epithelial hyperplasia of collapsing variant of FSGS  Fibrinoid necrosis-Lytic destruction of cells and matrix with deposition of acidophilic fibrin- rich material  Sclerosis-Increased collagenous extracellular matrix that is expanding the mesangium, obliterating capillary lumens or forming adhesions to Bowman’s capsule  Hyaline-Glassy acidophilic extracellular material  Membranoproliferative-Combined capillary wall thickening and endocapillary hypercellularity  Lobular -Consolidated expansion of segments that are demarcated by intervening urinary space  Mesangiolysis-lysis of mesangial matrix
  • 30.
     No abnormalityby light microscopy: 1. No glomerular disease 2. Glomerular disease with no light microscopic changes (e.g. minimal change glomerulopathy, thin basement membrane nephropathy) 3. Mild or early glomerular disease (e.g. Class I lupus nephritis, IgA nephropathy, C1q nephropathy, Alport syndrome, etc.)
  • 31.
     Thick capillarywalls without hypercellularity or mesangial expansion: 1. Membranous glomerulopathy (primary or secondary) (>Stage I) 2. Thrombotic microangiopathy with expanded subendothelial zone 3. Preeclampsia/eclampsia with endothelial swelling 3. Fibrillary glomerulonephritis with predominance of capillary wall deposits
  • 32.
     Thick wallswith mesangial expansion but little or no hypercellularity: 1. Diabetic glomerulosclerosis with diffuse rather than nodular sclerosis 2. Secondary membranous glomerulopathy with mesangial immune deposits 3. Amyloidosis 4. Monoclonal immunoglobulin deposition disease 5. Fibrillary glomerulonephritis 6. Dense deposit disease (type II membranoproliferative glomerulonephritis)
  • 33.
    Focal segmental glomerularsclerosis without hypercellularity: 1. Focal segmental glomerulosclerosis (primary or secondary) 2. Chronic sclerotic phase of a focal glomerulonephritis 3. Hereditary nephritis (Alport syndrome)
  • 34.
    Mesangial or endocapillaryhypercellularity: 1. Focal or diffuse mesangioproliferative glomerulonephritis* 2. Focal or diffuse (endocapillary) proliferative glomerulonephritis* 3. Acute (“exudative”) diffuse proliferative postinfectious glomerulonephritis 4. Membranoproliferative glomerulonephritis (type I, II or III)
  • 35.
    Extracapillary hypercellularity: 1. ANCAcrescentic glomerulonephritis (paucity of immunoglobulin by IFM) 2. Immune complex crescentic glomerulonephritis ((granular immunoglobulin by IFM) 3. Anti-GBM crescentic glomerulonephritis (linear immunoglobulin by IFM) 4. Collapsing variant of focal segmental glomerulosclerosis (including HIV nephropathy)
  • 36.
    Membranoproliferative, lobular ornodular pattern: 1. Membranoproliferative glomerulonephritis (type I, II/DDD, or IIIB/IIIS) 2. Diabetic glomerulosclerosis with nodular mesangial expansion (KW nodules) 3. Monoclonal immunoglobulin deposition disease with nodular sclerosis 4. Idiopathic (smoking associated) nodular glomerulosclerosis 5. Thrombotic microangiopathy 6. Fibrillary glomerulonephritis 7. Immunotactoid glomerulopathy
  • 37.
    Advanced diffuse globalglomerular sclerosis 1. End stage glomerular disease 2. End stage vascular disease 3. End stage tubulointerstitial disease
  • 38.
     Directed atidentification of pathogenic Ig and complement.  Abs used routinely-IgG, IgA, IgM, Kappa & lambda light chains, C3, C4, C1q, fibrinogen  Glomerular/extraglomerular location,intensity & pattern of staining  Glomerular staining catagorized as-mesangial, capilary wall or both  Capillary staining –granular,linear,band like Capillary granularmesangial both
  • 39.
    Coarse granular granular Finegranular Band like coarsely granular
  • 40.
    Linear cap wallGranular mesangial Granular cap wall Diffuse smudgy mes & cap wall •Anti GBM disease(IgG, C3) •Monoclonal Ig deposition disease(mostly kappa chain) •Diabetic nephropathy(IgG,albumin) •Dense deposit disease( ribbonlike,thick C3) •Rarely fibrillary GN (IgG) •IgA nephropathy •WHO Class II lupus( full house) •C1q nephropathy •IgM is idiopathic nephrotic syndrome •Other mesangioproliferative GN •Finely granular (membranous GN with/without SLE) •Coarsely granular (MPGN, WHO Class III, or IV lupus) •Scattered ,coarse granules (poststreptococcal GN) •Primary amyloidosis(usually λ) •Fibrillary GN(IgG) •Monoclonal Ig deposition disease
  • 41.
     Detailed evaluationof cellular & extracellular contents  Assesment of thickness,contour, & integrity of GBM & mesangial matrix  Fibrillary GN & immunotactoid GP can be diagnosed only on EM
  • 42.
    Mesangial dense deposit(IgA) Mesangial& subendothelial dense deposit(lupus IV) SUBEPITHELIAL HUMP Subendothelial dense deposit
  • 45.
     Diseases primarilyaffecting the tubules are considered under the following headings  Acute tubular necrosis  Tubular casts  Chronic changes/tubular atrophy  Tubulitis  Tubular basement membrane changes
  • 46.
     Charaterised morphologicallyby destruction/severe injury of the renal tubular epithelium  2 major causes are-toxins & ischaemia  Evidence of ATN/injury are-  Degeneration & necrosis of individual tubular epithelial cells  Swelling of tubular epithelium(ballooning)  Detachment of tubular epithelium from underlying BM  Loss of PAS positive brush border of PCT  Thinning of tubular epithelium  Dilatation of tubular Lumina  Interstitial edema  Casts ( hyaline, pigmented, eosinophilic, cellular, granular debris)  Tubular lumen contains sloughed epithelial cells, leukocytes, cellular debris  Rupture of tubular BM
  • 47.
     Hyaline dropletchange-small to large eosinophilic PAS positive droplets  Vacuolar change-  Hydropic change  Foam cells  Fatty change  Hypokalemic nephropathy  Pigmented tubular epithelium  Intranuclear inclusions
  • 48.
  • 49.
    Inclusions in leadintoxication CMV inclusions
  • 50.
     Lymphocytes orother inflammatory cells on epithelial side of tubular BM infiltrating the tubular epithelium  Marker of active tubulointerstitial inflammation.
  • 51.
     Hyaline casts WBC casts  Epithelial / granular casts  RBC casts  Large hyaline fractured casts  Myoglobin/hemoglobin casts
  • 52.
     Tubules arenon functioning & it is no longer capable of regenerating and resuming function.  Accompanied by thickening of tubular BM  Tubular BM are thickned & wrinkled  3 types of atrophic tubules- 1. Classic atrophic tubules-thick wrinkled ocassional lamellated tubular BM ,simplified cuboidal non descript epithelium 2. Endocrine tubules-narrow/no tubular lumen. clear epithelial cells, thin/absent BM 3. Thyroidized tubules-round tubules, simplified epithelium, uniform intratubular casts that mimic thyroid 4. Super tubules-enlarged, dilated. either hypertrophic/hyperplastic
  • 53.
  • 55.
     No abnormalityon LM-  No interstitial disease  Interstitial disease with no change  Early disease  Interstitial expansion by edema  ATN  Renal vein thrombosis  Nephrotic syndrome(MCD)  AGN (acute lupus,APSGN)  Thrombotic microangiopathy(HUS)  Interstitial expansion by eosinophilic material  Collagen-fibrosis  Sickle cell disease  Radiation nephritis  amyloid
  • 56.
     Interstitial expansionby leukocytes  Polymorphs(APSGN, drug induced, sepsis)  Lymphoplasmacytic(chr nephritsi, vasculitis, rejection)  Eosinophils (vasculitis, drug induced, lupus)  Epitheloid(TB, sarcoidosis, drug induced, malakoplakia)  Expansion by foam cells  Hereditary nephritis(alports syndrome)  Abundant,prolonged proteinuria or Nephrotic syndrome(membranous GN)  Interstitial hemorrhage  Acute rejection  Severe GN with rupture of bowmans capsule  Malignant HTN  Vasculitis
  • 57.
     Interstitial expansionby neoplastic cells-  Lymphoma  Leukemia  Primary renal ca  Metastasis  Crystals & mineral deposits  Nephrocalcinosis(ca carbonate)  ARF(ca oxalate)  Uric acid(gout)  Cholesterol(glomerular disease with nephrotic syndrome)
  • 58.
    edema Int nephritispolymorphs granuloma DLBCL
  • 60.
     Vasculitis  Fibrinoidnecrosis  Thrombosis  Pseudoaneurysm  Infarct  Endothelitis  Deposition of material-  Amyloid  Hyaline arteriolosclerosis  Toxins  Thrombotic microangiopathy  Peripheral hyalin  Hypertension induced changes  Medial hypertrophy  Intimal thickening  Replication of elastic lamina
  • 62.