Embed presentation
Download to read offline










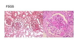
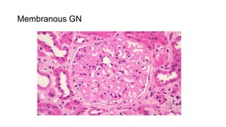
This document discusses several types of glomerular and interstitial kidney pathologies including acute post infectious glomerulonephritis, rapidly progressive glomerulonephritis/crescentic glomerulonephritis, focal segmental glomerulosclerosis, membranous glomerulonephritis, acute tubular necrosis/acute prerenal failure, acute pyelonephritis, and chronic pyelonephritis.








