GLOMERUL
ONEPHRITI
S
AMBER Z JAFFERI
EMERGENCY DEPARTMENT
SIH
2
PLAN
General over view
Little revision anatomy
3
GLOMERULONEPHRITIS
Nephros – kidney
-itis – inflammation of
Glomus – small round ball or knot
Pathos – suffering or disease
-osis – diseased condition
Glomerulonephritis – inflammation of the
glomeruli
Glomerulopathy – disease of the glomeruli
4
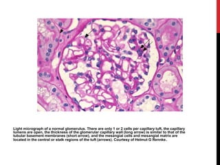
Light micrograph of a normal glomerulus. There are only 1 or 2 cells per capillary tuft, the capillary
lumens are open, the thickness of the glomerular capillary wall (long arrow) is similar to that of the
tubular basement membranes (short arrow), and the mesangial cells and mesangial matrix are
located in the central or stalk regions of the tuft (arrows). Courtesy of Helmut G Rennke.
5
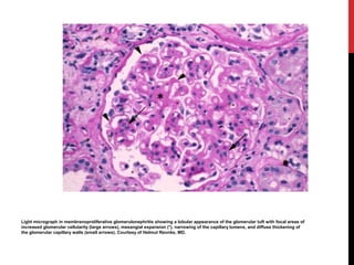
Light micrograph in membranoproliferative glomerulonephritis showing a lobular appearance of the glomerular tuft with focal areas of
increased glomerular cellularity (large arrows), mesangial expansion (*), narrowing of the capillary lumens, and diffuse thickening of
the glomerular capillary walls (small arrows). Courtesy of Helmut Rennke, MD.
6
Electron micrograph of a normal glomerular capillary loop showing the fenestrated endothelial cell (Endo), the glomerular basement membrane (GBM), and the epithelial cells with its interdigitating foot
processes (arrow). The GBM is thin and no electron dense deposits are present. Two normal platelets are seen in the capillary lumen. Courtesy of Helmut Rennke, MD.
7
Electron micrograph in dense deposit disease (DDD) showing dense, ribbon-like appearance of
subendothelial and intramembranous material (arrow) and narrowing of the capillary lumen due to
proliferation of cells (double arrow). Courtesy of Helmut Rennke, MD.
8
GLOMERULAR
DISEASE
Primary – confined to the kidney
Secondary – due to a systemic disease
9
GLOMERULAR
INJURY
Impairment of selective filtering properties of the kidney
leading to a decreased GFR
Molecules normally not filtered such as constituents of the
blood, pass into the urine and are excreted
10 MD consult
11
Anatomy of Kidney
Note the positions
of
Glomerulus
Loop of Henle
PCT, DCT, CT
Cortex, Medulla,
Pelvis.
MD consult
12
JGA
↓GFR  Renin
Angiotensin
Blood Pressure
MD consult
ULTRASTRUCTURE –
GLOM. CAPILLARY
14
POSSIBLE CLINICAL
MANIFESTATIONS
Proteinuria – asymptomatic
Haematuria – asymptomatic
Hypertension
Nephrotic syndrome
Nephritic syndrome
Acute renal failure
Rapidly progressive renal failure
End stage renal failure
15
GLOMERULONEPHRITIS
Presence of glomerular disease as opposed to
tubulointersititial or vascular disease is suspected
from history
Haematuria (especially dysmorphic red cells)
Red cell casts
Lipiduria (glomerular permeability must be
increased to allow the filtration of large
lipoproteins)
Proteinuria (may be in nephrotic range of >3.5
g/24hours)
16
Phase contrast microscopy showing dysmorphic red cells in a patient with glomerular bleeding. Acanthocytes
can be recognized as ring forms with vesicle-shaped protrusions (arrows). Courtesy of Hans Köhler, MD.
17
DIAGNOSIS
Look for clues
• History
• Haematuria
• Proteinuria
• Azotemia
• Azote – nitrogen
• A – without
• Zoe – life
• “The gas does not support life”
(French chemists Gayton de Morveau (1737-1816) and
Antoine Lavoisier (1743-1794) )
McCarthy ET, November 2008
18
DIAGNOSIS
Can be difficult to distinguish between Glomerular disease
and tubulo-interstitial disease
Tubular disease does not directly increase protein excretion
but nephron loss due to the disease can have the same end
result
19
CLINICAL PATTERNS
Patients age and characteristics of the urine sediment can
allow narrowing of the differential diagnosis options prior to
biopsy
‘URINE IS THE LIQUID BIOPSY OF THE KIDNEY’ Walter Piering
MD – Prof Med Wisconsin
20
URINARY PATTERNS
3 different patterns
• Focal nephritic
• Diffuse nephritic
• Nephrotic
21
URINARY PATTERNS
Focal nephritic
• Associated with inflammatory to less than half of the
glomeruli on light microscopy
• Red cells – often dysmorphic
• Occasional red cell casts
• Mild proteinuria (<1.5g/day)
22
URINARY PATTERNS
Diffuse nephritic
• Damage to all or almost all of the glomeruli
• Similar to focal disease but may also have heavy
proteinuria (even nephrotic range), oedema, hypertension
and/or renal insufficiency
• - ‘full house’ urinary sediment – red cells, white cells, red
cell casts, white cell casts, hyaline casts
23
URINARY PATTERNS
Nephrotic
• Heavy proteinuria
• Lipiduria – refractile fat bodies that look like a maltese
cross under polarised light
• Few cells
• Few casts – but those present are hyaline and granular
24
NON SPECIFIC NATURE OF
HISTOLOGIC PATTERNS
Membranous GN – usually Immune complex disease
(infective endocarditis, SLE, Hepatitis C)
Membranous nephropathy – drugs (gold, penicillamine),
SLE, Hepatitis B, malignancy
Focal glomerulosclerosis can be primary ( minimal change),
or secondary (intraglomerular hypertension, or healing
previous glomerular injury)
25
PATTERN DIAGNOSIS
FOCAL GN
<15 years – mild post infectious GN, IgA
nephropathy, thin basement membrane disease,
hereditary nephritis, Henoch Schonlein Purpura,
mesangial proliferative GN
15-40 years – IgA nephropathy, thin basement
membrane disease, lupus hereditary nephritis,
mesangial proliferative GN
>40 years – IgA nephropathy
26
PATTERN DIAGNOSIS
DIFFUSE GN
Post infectious GN, lupus GN,
membranoproliferative GN, mixed
cryoglobulinaemia
Often associated with decreased complement
Classic findings
• PSGN (anti strep antibodies)
• Lupus nephritis (ANA)
• Anti-GBM disease (anti GBM Abs)
• Mixed cryoglobulinaemia (circulating cryoglobulins)
• Wegener's granulomatosis (anti neutrophil cytoplasmic
abs)
27
PATTERN DIAGNOSIS
DIFFUSE GN
<15 years – Post infectious GN, membranoproliferative GN
15-40 years – Post infectious GN, rapidly progressive GN,
fibrillary GN, membranoproliferative GN
>40years – rapidly progressive GN, vasculitis, fibrillary
glomerulonephritis
28
PATTERN DIAGNOSIS
NEPHROTIC SYNDROME
<15 years – minimal change disease, focal
glomerulosclerosis, mesangial proliferative GN
15-40 years – focal glomerulosclerosis, minimal change
disease, membranous nephropathy including lupus, diabetic
nephropathy, preeclampsia, post infectious GN
>40 years – focal glomerulosclerosis, membranous
nephropathy, diabetic nephropathy, minimal change disease,
IgA nephropathy, primary amyloidosis or related disorder –
light chain deposition disease (up to 20% of pts over 60),
benign nephrosclerosis, post infectious GN
29
GENERAL WORKUP ?
GLOMERULAR DISEASE
History
• Family history kidney disease and hearing trouble (Alport’s
syndrome)
• Medications that can damage the kidney (NSAID’s, ACEI,
penicillamine, gold, mercury in some skin lightening creams)
• Recent throat infection - ? Strep- PSGN or viral – Wegener's
granulomatosis, IgA
• Cancer – solid tumours, Hodgkin’s (minimal change) or non
Hodgkin’s (MPGN)
30
GENERAL WORKUP ?
GLOMERULAR DISEASE
Physical Examination
• Inspection – appearance, colour, pitting oedema,
xanthelasma, alopecia, facial rash, purpura, clubbing,
livedo reticularis
• Palpation – pulse, hepatomegaly, palpable kidneys,
splenomegaly, palapable bladder
• Percussion – hepatomegaly, splenomegaly
• Auscultation – renal artery bruits, other bruits, cardiac
lesions, hypertension,
31
GENERAL WORKUP ?
GLOMERULAR DISEASE
Laboratory work
• UECB
• LFT
• BSL
• FBC
• Urine microscopy and culture
• ACR
• Serum and urine protein electrophoresis
• Renal ultrasound
32
GENERAL WORKUP ?
GLOMERULAR DISEASE
Laboratory work
• Specific serology
• For a nephrotic type picture
• HIV, HCV, HBV, ANA, serum cryoglobulins, anti DNA
ab, complements
• For a nephritic type picture
• Blood cultures, ASOT, AntiDNAse B, ANA, Anti DNA ab,
anti GBM ab, anti neutrophil cytoplasmic ab,
complements
33
Pre urinalysis
34
IGA NEPHROPATHY –
BUERGER’S DISEASE
Most common cause of GN in Asia but uncommon in Sth America
or Africa
15-40% of all biopsy proven GN
Male > Females
2nd
-3rd
decade
Most commonly asymptomatic with serendipitous finding of
haematuria and mild proteinuria
Another classic presentation is macroscopic haematuria in
conjunction with a viral infection
Renal function is usually normal but occasionally a patient will
present with acute renal failure due to acute tubular necrosis
secondary to the gross haematuria
Biopsy – mild to moderate mesangial cell proliferation, IgA deposits
in the mesangium on immunofluorescence, often with C3
deposition also
35
IGA NEPHROPATHY –
BUERGER’S DISEASE
Slowly progressive
By 20 years, 50% have end stage kidney disease
Worse prognosis if >1g/day proteinuria, hypertension,
increased creatinine of glomerular fibrosis at biopsy, on
presentation
36
IGA NEPHROPATHY –
BUERGER’S DISEASE
Management
• Aggressive control of blood pressure and proteinuria with
ACEI’s or AR2B’s
• Corticosteroids +/- azathiprine – varied schools of thought
• However if rapidly progressive GN with crescent
deposition treatment should be aggressive with high dose
steroids and cyclophosphamide
• Consult the Nephrologist
37
RAPIDLY PROGRESSIVE
GN (PRGN)
Medical emergency
‘full house’ nephritic urinary sediment
Immediate hospitalisation and biopsy
Crescentic GN – proliferation of cells outside the glomerulus, but
within Bowman’s space
If IgG present in linear stain along the basement membrane –
consistent with anti glomerular basement membrane antibiodies
(AGBM ab’s) which is a marker of Goodpasture’s syndrome
Presence of a linear pattern or complement in a granular pattern on
the capillary wall suggests an immune complex associated disease
such as lupus, IgA nephropathy of PSGN
Absence of immune deposition suggests a vasculitic process such
as Wegener’s granulomatosis or microscopic polyangiitis
38
RPGN – EG
GOODPASTURE’S
Autoimmune
Commonly 2nd
-3rd
decade and second peak in 60+
age group
Some present with renal involvement
(Goodpasture’s disease)
Some present with pulmonary haemorrhage and
nephritis (Goodpasture’s syndrome)
Rarely some present with only pulmonary
involvement
40
GOODPASTURES
41
RPGN – EG
GOODPASTURE’S
Classic – haemoptysis after upper respiratory
infection and have nephritic urinary sediment
History of smoking or hydrocarbon exposure is
common
CXR – pulmonary haemorrhage
Lab- iron deficiency anaemia and renal
dysfunction, circulating anti-GBM antibodies
Kidney biopsy crescentic GN with linear staining
IgG and C3 along the glomerular basement
membrane
42
RPGN – EG
GOODPASTURE’S
Treatment
• High dose IV steroids (methyl pred 500mg daily for 3
days) followed by oral prednisolone and
cyclophosphamide
• Plasma exchange every other day until anti-GBM Ab titire
is negative
• Px guarded (if present with oliguria and elevated
creatinine, or severe scarring – unlikely to recover renal
function)
43
NEPHROTIC
SYNDROME
Can be due to systemic or local renal disease
Diabetic nephropathy most common cause
Other common causes include amyloidosis (often
secondary to multiple myeloma), light chain
deposition disease, minimal change disease, focal
segmental glomerulosclerosis, membranous
nephropathy, membranoproliferative
glomerulonephritis, fibrillary glomerulonephritis
44
NEPHROTIC SYNDROME
EG MINIMAL CHANGE
DISEASE
Other name lipoid nephrosis or nil disease
Most common cause of nephrotic syndrome in kids 2-12
years but also in adults
Onset often acute and precipitant my be beesting, viral
infection, allergy or immunization
Association with Hodgkin’s lymphoma and other T cell
malignancies
45
NEPHROTIC SYNDROME
EG MINIMAL CHANGE
DISEASE
Clinical – dramatic weight gain, pitting oedema,
normal blood pressure. Urine – proteinuria,
hyaline casts, oval fat bodies. Usually no red cells.
Normal renal function but sometimes failure
secondary to severe hypoalbuminaemia or
prerenal azotemia leading to volume contraction.
Children don’t need biopsy unless hypertensive or
other complications
If biopsy done, EM fusion of podocytes (foot
processes of glomerular visceral epithelial cells)
46
NEPHROTIC SYNDROME
EG MINIMAL CHANGE
DISEASE
Treatment
• Oral corticosteroids – prednisolone 2mg/kg/day
• Cyclophosphamide if relapsing diseas
47
NEPHROTIC
SYNDROME EG FSGN
Most common cause of nephrotic syndrome in
young adults
Classic nephrotic syndrome and a small amount of
blood in the urine
Can occur in minimal change disease which
becomes resistant to prednisolone
Can be secondary heroin use
Can be secondary to HIV infection
Associated with other diseases (morbid obesity,
persistent reflux nephropathy, sickle cell disease ,
cyanotic congenital heart disease)
48
NEPHROTIC
SYNDROME EG FSGN
Diagnosis – biopsy – light microscopic pattern of
segmental or total sclerosis of glomerular tufts
Treatment – prednisolone 1mg/kg/day often for 6-8
months
Complete remission only in 50%
ACEI
Poor prognosticators – tubulointerstitial disease,
increased creatinine, marked proteinuria
49
NEPHROTIC SYNDROME
EG MEMBRANOUS
NEPHROPATHY
Most common cause of nephrotic syndrome in 40-
60 yo’s
Usually frank nephrotic syndrome, low grade
microhaematuria, relatively preserved renal
function
Some people asymptomatic
Others can lose 10-20g of protein a day and be
quite sick
Associated with certain medications eg
penicillamine, gold, captopril, NSAID’s, certain
viral infections eg Hep B and HCV and
malignancies
50
NEPHROTIC SYNDROME
EG MEMBRANOUS
NEPHROPATHY
Diagnosis is on kidney biopsy; glomeruli appear
normocellular with thickening of the GBM, immune deposits
on outer side of GBM
Mx – rule out secondary causes
Mx – supportive – ACEI/AR2B for proteinuria, statins for
hypercholesterolaemia, prophylactic warfarin (if very low
albumin markedly increased risk of venous thrombosis)
Prednisolone may be used
Some may not progress over 10 years, but marked
proteinuria and increased creatinine – 40 % progress to
ESKD
51
NEPHROTIC SYNDROME
EG
MEMBRANOPROLIFERATIV
E GLOMERULONEPHRITIS
Idiopathic if between 10-30 year
Between 35-60 years usually secondary to Hepatitis C
Clinical- hypertension, mild nephrotic syndrome,
microhaematuria, relatively preserved renal function
Pts with HCV may have circulating cryoglobulins including
triad of weakness, arthralgias and palpable purpura
In kids 2 forms
• MPGN 1 – circulating immune complexes passively trapped in
glomeruli
• MPGN 2 – circulating IgG (nephritic factor) that activates
complement via the alternative pathway
52
NEPHROTIC SYNDROME
EG
MEMBRANOPROLIFERATIV
E GLOMERULONEPHRITIS
Diagnosis – serum complement (depressed),
hepatitis serologies, biopsy – glomeruli are
hypercellular, often lobular in appearance – more
detailed changes.
Treatment – manage hypertension, ACEI/AR2B,
salt restriction, diuretics, treat HCV with interferon
50% progress to ESKD
Tends to recur in a kidney transplant
53
NEPHROTIC SYNDROME
EG FIBRILLARY
GLOMERULONEPHRITIS
Recently recognised – 40-60 years
Similar to MPGN but serum complement normal and
microscopy of biopsy demonstrates fibrilllar deposist in the
mesangium.
Prognosis guarded
54
Diseases PSGN IgA Nephropathy MPGN RPGN
Age and Sex All ages, mean 7 years,
2:1 male
2:1 male, 15-35 yrs 6:1 male, 15-30 yrs Mean 51yrs, 2:1 male
Clinical Manifestations 90% 50% 90% 90%
Acute nephritic
syndrome
Occasionally 50% Rare rare
Asymptomatic
haematuria
10-20% Rare Rare 10-20%
Nephrotic syndrome 70% 30-50% Rare 25%
Hypertension 50% Rare 50% 60%
Acute renal failure Latent 1-3 weeks Follows viral infection Pul haemorrhage, iron
def
none
Lab findings ASOT IgA +anti GBM membrane + ANCA
Positive streptozyme IgA in dermal caps
C3-C9 N C1 and C4
Immunogenetics HLA B12
Light microscopy Diffuse proliferation Focal proliferation Focal- diffuse crescentic Crescentic GN
Immunoflourescence Granular IgG and C3 Diffuse mesangial IgA Linear IgG and C3 No immune complexes
Electron microscopy Subepithelial humps Mesangial deposits No deposits No deposits
Prognosis 95% cure
5% progress
Slow progression in 25-
50 years
75% stabilise or improve
if treated early
75% stabilise or improve
if treated early
Treatment Supportive None established Plasman exchange,
cyclosphosphamide,
steroids
Pulsed steroid therpy
55
CONCLUSIONS
Take a history
Do a urine test
If haematuria and proteinuria - ?GN
Exclude secondary causes
Biosy is the definitive way to diagnose but some hints from
history and
56
ACKNOWLEDGEMENTS
Handbook of nephrology…..Wilcox et al
Up to date
MD Consult

Glomerulonephritis nurse teaching jan 2017

  • 1.
  • 2.
  • 3.
    3 GLOMERULONEPHRITIS Nephros – kidney -itis– inflammation of Glomus – small round ball or knot Pathos – suffering or disease -osis – diseased condition Glomerulonephritis – inflammation of the glomeruli Glomerulopathy – disease of the glomeruli
  • 4.
    4 Light micrograph ofa normal glomerulus. There are only 1 or 2 cells per capillary tuft, the capillary lumens are open, the thickness of the glomerular capillary wall (long arrow) is similar to that of the tubular basement membranes (short arrow), and the mesangial cells and mesangial matrix are located in the central or stalk regions of the tuft (arrows). Courtesy of Helmut G Rennke.
  • 5.
    5 Light micrograph inmembranoproliferative glomerulonephritis showing a lobular appearance of the glomerular tuft with focal areas of increased glomerular cellularity (large arrows), mesangial expansion (*), narrowing of the capillary lumens, and diffuse thickening of the glomerular capillary walls (small arrows). Courtesy of Helmut Rennke, MD.
  • 6.
    6 Electron micrograph ofa normal glomerular capillary loop showing the fenestrated endothelial cell (Endo), the glomerular basement membrane (GBM), and the epithelial cells with its interdigitating foot processes (arrow). The GBM is thin and no electron dense deposits are present. Two normal platelets are seen in the capillary lumen. Courtesy of Helmut Rennke, MD.
  • 7.
    7 Electron micrograph indense deposit disease (DDD) showing dense, ribbon-like appearance of subendothelial and intramembranous material (arrow) and narrowing of the capillary lumen due to proliferation of cells (double arrow). Courtesy of Helmut Rennke, MD.
  • 8.
    8 GLOMERULAR DISEASE Primary – confinedto the kidney Secondary – due to a systemic disease
  • 9.
    9 GLOMERULAR INJURY Impairment of selectivefiltering properties of the kidney leading to a decreased GFR Molecules normally not filtered such as constituents of the blood, pass into the urine and are excreted
  • 10.
  • 11.
    11 Anatomy of Kidney Notethe positions of Glomerulus Loop of Henle PCT, DCT, CT Cortex, Medulla, Pelvis. MD consult
  • 12.
  • 13.
  • 14.
    14 POSSIBLE CLINICAL MANIFESTATIONS Proteinuria –asymptomatic Haematuria – asymptomatic Hypertension Nephrotic syndrome Nephritic syndrome Acute renal failure Rapidly progressive renal failure End stage renal failure
  • 15.
    15 GLOMERULONEPHRITIS Presence of glomerulardisease as opposed to tubulointersititial or vascular disease is suspected from history Haematuria (especially dysmorphic red cells) Red cell casts Lipiduria (glomerular permeability must be increased to allow the filtration of large lipoproteins) Proteinuria (may be in nephrotic range of >3.5 g/24hours)
  • 16.
    16 Phase contrast microscopyshowing dysmorphic red cells in a patient with glomerular bleeding. Acanthocytes can be recognized as ring forms with vesicle-shaped protrusions (arrows). Courtesy of Hans Köhler, MD.
  • 17.
    17 DIAGNOSIS Look for clues •History • Haematuria • Proteinuria • Azotemia • Azote – nitrogen • A – without • Zoe – life • “The gas does not support life” (French chemists Gayton de Morveau (1737-1816) and Antoine Lavoisier (1743-1794) ) McCarthy ET, November 2008
  • 18.
    18 DIAGNOSIS Can be difficultto distinguish between Glomerular disease and tubulo-interstitial disease Tubular disease does not directly increase protein excretion but nephron loss due to the disease can have the same end result
  • 19.
    19 CLINICAL PATTERNS Patients ageand characteristics of the urine sediment can allow narrowing of the differential diagnosis options prior to biopsy ‘URINE IS THE LIQUID BIOPSY OF THE KIDNEY’ Walter Piering MD – Prof Med Wisconsin
  • 20.
    20 URINARY PATTERNS 3 differentpatterns • Focal nephritic • Diffuse nephritic • Nephrotic
  • 21.
    21 URINARY PATTERNS Focal nephritic •Associated with inflammatory to less than half of the glomeruli on light microscopy • Red cells – often dysmorphic • Occasional red cell casts • Mild proteinuria (<1.5g/day)
  • 22.
    22 URINARY PATTERNS Diffuse nephritic •Damage to all or almost all of the glomeruli • Similar to focal disease but may also have heavy proteinuria (even nephrotic range), oedema, hypertension and/or renal insufficiency • - ‘full house’ urinary sediment – red cells, white cells, red cell casts, white cell casts, hyaline casts
  • 23.
    23 URINARY PATTERNS Nephrotic • Heavyproteinuria • Lipiduria – refractile fat bodies that look like a maltese cross under polarised light • Few cells • Few casts – but those present are hyaline and granular
  • 24.
    24 NON SPECIFIC NATUREOF HISTOLOGIC PATTERNS Membranous GN – usually Immune complex disease (infective endocarditis, SLE, Hepatitis C) Membranous nephropathy – drugs (gold, penicillamine), SLE, Hepatitis B, malignancy Focal glomerulosclerosis can be primary ( minimal change), or secondary (intraglomerular hypertension, or healing previous glomerular injury)
  • 25.
    25 PATTERN DIAGNOSIS FOCAL GN <15years – mild post infectious GN, IgA nephropathy, thin basement membrane disease, hereditary nephritis, Henoch Schonlein Purpura, mesangial proliferative GN 15-40 years – IgA nephropathy, thin basement membrane disease, lupus hereditary nephritis, mesangial proliferative GN >40 years – IgA nephropathy
  • 26.
    26 PATTERN DIAGNOSIS DIFFUSE GN Postinfectious GN, lupus GN, membranoproliferative GN, mixed cryoglobulinaemia Often associated with decreased complement Classic findings • PSGN (anti strep antibodies) • Lupus nephritis (ANA) • Anti-GBM disease (anti GBM Abs) • Mixed cryoglobulinaemia (circulating cryoglobulins) • Wegener's granulomatosis (anti neutrophil cytoplasmic abs)
  • 27.
    27 PATTERN DIAGNOSIS DIFFUSE GN <15years – Post infectious GN, membranoproliferative GN 15-40 years – Post infectious GN, rapidly progressive GN, fibrillary GN, membranoproliferative GN >40years – rapidly progressive GN, vasculitis, fibrillary glomerulonephritis
  • 28.
    28 PATTERN DIAGNOSIS NEPHROTIC SYNDROME <15years – minimal change disease, focal glomerulosclerosis, mesangial proliferative GN 15-40 years – focal glomerulosclerosis, minimal change disease, membranous nephropathy including lupus, diabetic nephropathy, preeclampsia, post infectious GN >40 years – focal glomerulosclerosis, membranous nephropathy, diabetic nephropathy, minimal change disease, IgA nephropathy, primary amyloidosis or related disorder – light chain deposition disease (up to 20% of pts over 60), benign nephrosclerosis, post infectious GN
  • 29.
    29 GENERAL WORKUP ? GLOMERULARDISEASE History • Family history kidney disease and hearing trouble (Alport’s syndrome) • Medications that can damage the kidney (NSAID’s, ACEI, penicillamine, gold, mercury in some skin lightening creams) • Recent throat infection - ? Strep- PSGN or viral – Wegener's granulomatosis, IgA • Cancer – solid tumours, Hodgkin’s (minimal change) or non Hodgkin’s (MPGN)
  • 30.
    30 GENERAL WORKUP ? GLOMERULARDISEASE Physical Examination • Inspection – appearance, colour, pitting oedema, xanthelasma, alopecia, facial rash, purpura, clubbing, livedo reticularis • Palpation – pulse, hepatomegaly, palpable kidneys, splenomegaly, palapable bladder • Percussion – hepatomegaly, splenomegaly • Auscultation – renal artery bruits, other bruits, cardiac lesions, hypertension,
  • 31.
    31 GENERAL WORKUP ? GLOMERULARDISEASE Laboratory work • UECB • LFT • BSL • FBC • Urine microscopy and culture • ACR • Serum and urine protein electrophoresis • Renal ultrasound
  • 32.
    32 GENERAL WORKUP ? GLOMERULARDISEASE Laboratory work • Specific serology • For a nephrotic type picture • HIV, HCV, HBV, ANA, serum cryoglobulins, anti DNA ab, complements • For a nephritic type picture • Blood cultures, ASOT, AntiDNAse B, ANA, Anti DNA ab, anti GBM ab, anti neutrophil cytoplasmic ab, complements
  • 33.
  • 34.
    34 IGA NEPHROPATHY – BUERGER’SDISEASE Most common cause of GN in Asia but uncommon in Sth America or Africa 15-40% of all biopsy proven GN Male > Females 2nd -3rd decade Most commonly asymptomatic with serendipitous finding of haematuria and mild proteinuria Another classic presentation is macroscopic haematuria in conjunction with a viral infection Renal function is usually normal but occasionally a patient will present with acute renal failure due to acute tubular necrosis secondary to the gross haematuria Biopsy – mild to moderate mesangial cell proliferation, IgA deposits in the mesangium on immunofluorescence, often with C3 deposition also
  • 35.
    35 IGA NEPHROPATHY – BUERGER’SDISEASE Slowly progressive By 20 years, 50% have end stage kidney disease Worse prognosis if >1g/day proteinuria, hypertension, increased creatinine of glomerular fibrosis at biopsy, on presentation
  • 36.
    36 IGA NEPHROPATHY – BUERGER’SDISEASE Management • Aggressive control of blood pressure and proteinuria with ACEI’s or AR2B’s • Corticosteroids +/- azathiprine – varied schools of thought • However if rapidly progressive GN with crescent deposition treatment should be aggressive with high dose steroids and cyclophosphamide • Consult the Nephrologist
  • 37.
    37 RAPIDLY PROGRESSIVE GN (PRGN) Medicalemergency ‘full house’ nephritic urinary sediment Immediate hospitalisation and biopsy Crescentic GN – proliferation of cells outside the glomerulus, but within Bowman’s space If IgG present in linear stain along the basement membrane – consistent with anti glomerular basement membrane antibiodies (AGBM ab’s) which is a marker of Goodpasture’s syndrome Presence of a linear pattern or complement in a granular pattern on the capillary wall suggests an immune complex associated disease such as lupus, IgA nephropathy of PSGN Absence of immune deposition suggests a vasculitic process such as Wegener’s granulomatosis or microscopic polyangiitis
  • 38.
    38 RPGN – EG GOODPASTURE’S Autoimmune Commonly2nd -3rd decade and second peak in 60+ age group Some present with renal involvement (Goodpasture’s disease) Some present with pulmonary haemorrhage and nephritis (Goodpasture’s syndrome) Rarely some present with only pulmonary involvement
  • 40.
  • 41.
    41 RPGN – EG GOODPASTURE’S Classic– haemoptysis after upper respiratory infection and have nephritic urinary sediment History of smoking or hydrocarbon exposure is common CXR – pulmonary haemorrhage Lab- iron deficiency anaemia and renal dysfunction, circulating anti-GBM antibodies Kidney biopsy crescentic GN with linear staining IgG and C3 along the glomerular basement membrane
  • 42.
    42 RPGN – EG GOODPASTURE’S Treatment •High dose IV steroids (methyl pred 500mg daily for 3 days) followed by oral prednisolone and cyclophosphamide • Plasma exchange every other day until anti-GBM Ab titire is negative • Px guarded (if present with oliguria and elevated creatinine, or severe scarring – unlikely to recover renal function)
  • 43.
    43 NEPHROTIC SYNDROME Can be dueto systemic or local renal disease Diabetic nephropathy most common cause Other common causes include amyloidosis (often secondary to multiple myeloma), light chain deposition disease, minimal change disease, focal segmental glomerulosclerosis, membranous nephropathy, membranoproliferative glomerulonephritis, fibrillary glomerulonephritis
  • 44.
    44 NEPHROTIC SYNDROME EG MINIMALCHANGE DISEASE Other name lipoid nephrosis or nil disease Most common cause of nephrotic syndrome in kids 2-12 years but also in adults Onset often acute and precipitant my be beesting, viral infection, allergy or immunization Association with Hodgkin’s lymphoma and other T cell malignancies
  • 45.
    45 NEPHROTIC SYNDROME EG MINIMALCHANGE DISEASE Clinical – dramatic weight gain, pitting oedema, normal blood pressure. Urine – proteinuria, hyaline casts, oval fat bodies. Usually no red cells. Normal renal function but sometimes failure secondary to severe hypoalbuminaemia or prerenal azotemia leading to volume contraction. Children don’t need biopsy unless hypertensive or other complications If biopsy done, EM fusion of podocytes (foot processes of glomerular visceral epithelial cells)
  • 46.
    46 NEPHROTIC SYNDROME EG MINIMALCHANGE DISEASE Treatment • Oral corticosteroids – prednisolone 2mg/kg/day • Cyclophosphamide if relapsing diseas
  • 47.
    47 NEPHROTIC SYNDROME EG FSGN Mostcommon cause of nephrotic syndrome in young adults Classic nephrotic syndrome and a small amount of blood in the urine Can occur in minimal change disease which becomes resistant to prednisolone Can be secondary heroin use Can be secondary to HIV infection Associated with other diseases (morbid obesity, persistent reflux nephropathy, sickle cell disease , cyanotic congenital heart disease)
  • 48.
    48 NEPHROTIC SYNDROME EG FSGN Diagnosis– biopsy – light microscopic pattern of segmental or total sclerosis of glomerular tufts Treatment – prednisolone 1mg/kg/day often for 6-8 months Complete remission only in 50% ACEI Poor prognosticators – tubulointerstitial disease, increased creatinine, marked proteinuria
  • 49.
    49 NEPHROTIC SYNDROME EG MEMBRANOUS NEPHROPATHY Mostcommon cause of nephrotic syndrome in 40- 60 yo’s Usually frank nephrotic syndrome, low grade microhaematuria, relatively preserved renal function Some people asymptomatic Others can lose 10-20g of protein a day and be quite sick Associated with certain medications eg penicillamine, gold, captopril, NSAID’s, certain viral infections eg Hep B and HCV and malignancies
  • 50.
    50 NEPHROTIC SYNDROME EG MEMBRANOUS NEPHROPATHY Diagnosisis on kidney biopsy; glomeruli appear normocellular with thickening of the GBM, immune deposits on outer side of GBM Mx – rule out secondary causes Mx – supportive – ACEI/AR2B for proteinuria, statins for hypercholesterolaemia, prophylactic warfarin (if very low albumin markedly increased risk of venous thrombosis) Prednisolone may be used Some may not progress over 10 years, but marked proteinuria and increased creatinine – 40 % progress to ESKD
  • 51.
    51 NEPHROTIC SYNDROME EG MEMBRANOPROLIFERATIV E GLOMERULONEPHRITIS Idiopathicif between 10-30 year Between 35-60 years usually secondary to Hepatitis C Clinical- hypertension, mild nephrotic syndrome, microhaematuria, relatively preserved renal function Pts with HCV may have circulating cryoglobulins including triad of weakness, arthralgias and palpable purpura In kids 2 forms • MPGN 1 – circulating immune complexes passively trapped in glomeruli • MPGN 2 – circulating IgG (nephritic factor) that activates complement via the alternative pathway
  • 52.
    52 NEPHROTIC SYNDROME EG MEMBRANOPROLIFERATIV E GLOMERULONEPHRITIS Diagnosis– serum complement (depressed), hepatitis serologies, biopsy – glomeruli are hypercellular, often lobular in appearance – more detailed changes. Treatment – manage hypertension, ACEI/AR2B, salt restriction, diuretics, treat HCV with interferon 50% progress to ESKD Tends to recur in a kidney transplant
  • 53.
    53 NEPHROTIC SYNDROME EG FIBRILLARY GLOMERULONEPHRITIS Recentlyrecognised – 40-60 years Similar to MPGN but serum complement normal and microscopy of biopsy demonstrates fibrilllar deposist in the mesangium. Prognosis guarded
  • 54.
    54 Diseases PSGN IgANephropathy MPGN RPGN Age and Sex All ages, mean 7 years, 2:1 male 2:1 male, 15-35 yrs 6:1 male, 15-30 yrs Mean 51yrs, 2:1 male Clinical Manifestations 90% 50% 90% 90% Acute nephritic syndrome Occasionally 50% Rare rare Asymptomatic haematuria 10-20% Rare Rare 10-20% Nephrotic syndrome 70% 30-50% Rare 25% Hypertension 50% Rare 50% 60% Acute renal failure Latent 1-3 weeks Follows viral infection Pul haemorrhage, iron def none Lab findings ASOT IgA +anti GBM membrane + ANCA Positive streptozyme IgA in dermal caps C3-C9 N C1 and C4 Immunogenetics HLA B12 Light microscopy Diffuse proliferation Focal proliferation Focal- diffuse crescentic Crescentic GN Immunoflourescence Granular IgG and C3 Diffuse mesangial IgA Linear IgG and C3 No immune complexes Electron microscopy Subepithelial humps Mesangial deposits No deposits No deposits Prognosis 95% cure 5% progress Slow progression in 25- 50 years 75% stabilise or improve if treated early 75% stabilise or improve if treated early Treatment Supportive None established Plasman exchange, cyclosphosphamide, steroids Pulsed steroid therpy
  • 55.
    55 CONCLUSIONS Take a history Doa urine test If haematuria and proteinuria - ?GN Exclude secondary causes Biosy is the definitive way to diagnose but some hints from history and
  • 56.

Editor's Notes

  • #24 Patients who also have oedema and hyperlipidaemia (nephrotic syndrome) have a more marked glomerular leak Some form of secondary focal glomerulosclerosis (eg reflux nephropathy) is more likely in patients with nephrotic range proteinuria (&amp;gt;3.5G/24 hrs). Relatively bland sediment (few cells or casts) in nephrotic disorders results from lack of inflammatory cell infiltration in the glomeruli. Largely due to absence of immune complex deposition in most of these conditions such as minimal change disease, diabetic nephropathy and amyloidosis. Immune complexes are depositied in membranous neprhopathy but this occurs across the glomerular basement membrane in the sub-epithelial space. So complement can be activated but the chemoattractants (C3a and C5a) are separated from the vascular space by the basement membrane and don’t have access to the circulating mononuclear cells and neutrophils. This lack of inflammation also results in the plasma creatinine concentration being normal or only slightly elevated at presentation. Acute renal failure can occur but usually only in a limited setting eg Concurrent acute tubular necrosis usually in minimal change disease and usually over 50years Tubular injury in collapsing focal glomerulosclerosis either idiopathic or associated with HIV Minimal change disease with acute interstitial nephritis induced by non steroidal antiinflammatory drugs Crescentic glomerulonephritis superimposed upon membranous nephropathy Nephrotic syndrome secondary ton monoclonal immunoglobulin deposition disease may also develop myeloma cast nephropathy and acute renal failure Triad of nephrotic syndrome, a nephrotic sediment and acute renal failure narrows the differential DX
  • #26 Varies between geographical locations but this is a broad brush stroke
  • #31 Xanthelasma, pitting oedema – nephrotic syndrome, Alopecia, facial rash – lupus Clubbing in hepatits related kidney disease Livedo reticularis – vasculitis Purpura – endocarditis associated GN, lupus, cryogolbulinaemia
  • #33 anti neutrophil cytoplasmic ab-wegener’s or idiopathic, microscopic polyangiitis