Glomerular Disease
Presentor: Dr.Hussen.{R1}
Moderator: Dr. Abdulaziz. (Ass. Professor of Internal medicine)
Outline
• Introduction
• Pathogenesis
• Clinical Evaluation
• Asymptomatic Urine abnormalities
• Macrohematuria
• Nephrotic syndrome
• Nephritic syndrome
• Rapidly progressive glomerulonephritis
• Treatment
Introduction
• Glomerular anatomy and physiology:
The glomerulus is a tuft of capillaries (specialized microvasculature)
that is interposed b/n the afferent & efferent arterioles
Two human kidneys contain nearly 1.8 million glomerular capillary
tufts
Each glomerulus is enclosed within an epithelial cell capsule =
Bowman's capsule(BC)
Cont…
• The glomerular capillary wall consists of three layers:
1. Fenestrated endothelial cell
2. Glomerular basement membrane (GBM)
3. Epithelial cell
The epithelial cells are attached to the GBM by discrete foot processes.
The pores b/n the foot processes (slit pores) are closed by a thin membrane
called the slit diaphragm
Filtration of small solutes (such as Na and urea) and water, while restricting the
passage of larger molecules (larger proteins)
Glomerular diseases
• Are disorders that primarily affect the structure and function of the
renal glomerular apparatus
• Glomerular disease could be
• Primary
• As part of multisystem Disease
• All lead to alterations in permeability, structure and function
Pathogenesis
• Pathogenesis variably linked to the presence of
• Genetic mutations
• Infection
• Toxin exposure
• Autoimmunity
• Atherosclerosis
• Hypertension
• Emboli, thrombosis
• Diabetes mellitus
Pathogenesis
• Glomerulonephritis: immune mediated
• Develop as a result of immune dysregulation , through
autoimmunity/ineffectual response to foreign antigen
• Molecular mimickery : Ab to a foreign antigen cross react with a native
protein
• Inability to eliminate foreign Ag resulting in persistent antigenemia with
antibody production and formation of circulating Ag-Ab complexes
Pathogenesis
• Mechanisms of injury: immune mediated
• Deposition of circulating immune complexes
• Insitu formation of immune complexes
 subsequently followed by activation of inflammatory subtance including cell infiltration,
complement…immunoglobulin deposits
then proliferation, apoptosis and fibrosis
then damage to GMB, podocyte, and endothelial change
 menifaste as proteinuria, renal failure, edema, hematuria..
Cont..
• Non immune mediated
Activation of complement ; no deposition
Epithelial cell injury by ; toxins/cytokines
loss of foot process
proteinuria
Terminology
• Histologic descriptions:
Proliferative: an increase in the number of cells in the glomerulus.
Sclerosing: presence of scarring
Necrotizing: areas of cell death.
• Proliferation may occur:
Predominantly in the mesangium: mesangial proliferative GN.
Within the capillary wall: endocapillary hypercellularity.
Extracapillary
Approach to the patient:
• Clinical evaluation
The history, physical examination, and investigations are aimed at:
Excluding nonglomerular disease
Finding evidence of associated multisystem disease, and
Establishing renal function
History
• Clinical presentations that vary from the asymptomatic to fulminant
illness with AKI possibly associated with life-threatening extrarenal
disease
• Majority are asymptomatic.
• Specific questioning may reveal edema, hypertension, foamy urine
• Multisystem diseases associated
• Family history
• Drugs,infection,malignant and toxins
Physical examination
• Dependent pitting edema.
• Xanthelasmas
• Pulmonary signs
• Palpable purpura
Laboratory Studies
• Assessment of renal function and careful examination of the urine are
critical .
• Certain serologic tests are helpful.
• Serum and urine electrophoresis.
• Testing for the presence of ongoing bacterial or viral infections.
• Measurement of systemic complement pathway activation
• Genetic evaluation
Imaging
• Ultrasound scanning:
To ensure the presence of two kidneys
To rule out obstruction or anatomic abnormalities
To assess kidney size.
Clinical syndromes
• Asymptomatic
• Macroscopic hematuria
• Nephrotic syndrome
• Acute nephritic syndrome: AGN,RPGN
• Chronic glomerulonephritis [CKD]
Spectrum of glomerular diseases
Asymptomatic urine abnormalities
• Isolated urinary abnormality.
• Most of the time the first evidence of glomerular disease.
• Asymptomatic low-grade proteinuria and microhematuria and the
combination of the two
• Increase in prevalence with age
Microscopic hematuria
• Can be symptomatic or asymptomatic
• More than two red blood cells in the spun urine sediment
• Result from small breaks in the glomerular basement membrane
• Urine culture to exclude infection
• Renal image for anatomical lesions
• Cystoscopy to r/o CA in > 40ys
• Phase contrast microscopy for dysmorphic RBC and RBC cast
Proteinuria
• Normal urine protein excretion is less than 150 mg/24 h.
• 20 to 30 mg of albumin
• 10 to 20 mg of low-molecular-weight proteins that undergo glomerular filtration
• 40 to 60 mg of secreted proteins (e.g., Tamm-Horsfall, IgA)
• Identified and quantified by dipstick test or assay in timed urine collection
Macrohematuria
• Rule out urologic causes mostly in old
• If due to glomerular disease, usuaiy brown or “smoky” rather than red,
and clots are unusual
• Common in children and young adults
• Distinguished from other causes of red or brown urine, including
• hemoglobinuria,
• myoglobinuria,
• porphyrias, consumption of food dyes (particularly beetroot),
• and intake of drugs (especially rifampin/rifampicin).
Nephrotic Syndrome
Nephrotic syndrome is pathognomonic of glomerular disease.
It is a clinical syndrome with a characteristic pentad
• Proteinuria > 3.5 g/day[24hr urine collection]
Hypoalbuminemia <3.5 g/dl
Edema
Hypercholesterolemia
Lipiduria
Cont..
• Proteinuria:
• It is glomerular proteinuria that is responsible for protein loss in the
nephrotic syndrome
• Albumin is the principal urinary protein lost
• Other plasma proteins including clotting inhibitors, transferrin, and
hormone carrying proteins such as vitamin D-binding protein may be
lost as well
• Lipiduria: fatty cast and oval fat body
Cont..
• Hypoalbuminemia:
• The liver responds by increasing albumin
• Increase in protein synthesis is not discriminating plasma protein
variation--- hypercoagulability and hyperlipidemia
• Edema:
Decrease in plasma oncotic pressure.
Primary renal sodium retention in the collecting tubules
ETIOLOGY OF NEPHROTIC SYNDROME
• Primary glomerular disease:
• Minimal change nephropathy
• Focal segmental glomerulosclerosis
• Membranous GN
• Secondary GN associated with systemic disease:
• Diabetic nephropathy
• Amyloidoisis
• Drugs: penicillamine, gold, mercury, cadmium
• Tumors, infections. vasculitis
Minimal change disease
• Commonest cause of NS in children
• May occur in adults(10-15% of NS )
• Occurs in the absence of
• cellular glomerular infiltratesor
• immunoglobulin deposits
• in association with the use NSAIDS, or as a paraneoplastic effect of
malignancy, most often HD
• Responsive to steroid therapy
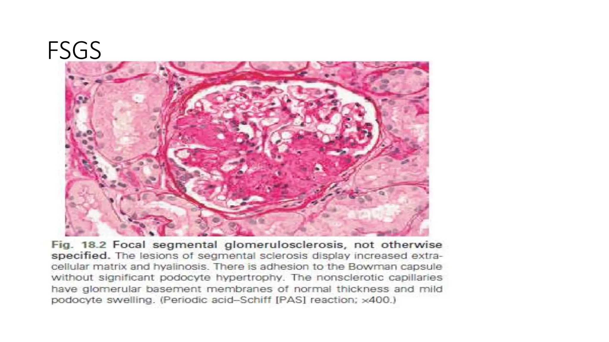
FSGS – Focal segmental glomerulosclerosis
• Most common cause of idiopathic nephrotic syndrome in African
Americans
• No inflammatory cells are present in the glomeruli
• Sclerosis of the glomeruli are more pronounced at the cortico-medullary
junction.
• Clinically, patients present with the nephrotic syndrome, hematuria,
hypertension and decreased renal function.
• Associated diseases
HIV , Obesity , Sickle cell anemia, malignancies , Chronic vesicoureteral
FSGS
Membranous nephropathy
• A common cause of the nephrotic syndrome in adults.
• Pathological changes are characterized by thickening of the capillary
wall. No glomerular hypercellularity or inflammatory changes .
• Heavy proteinuria with nephrotic syndrome
• Progresses very slowly
• In 30% associated with a malignancy (solid tumors of the breast, lung,
colon), infection (hepatitis B, malaria, schistosomiasis), or
rheumatologic disorders like lupus or rarely rheumatoid arthritis.
History
• Duration of edema
• Urine volume, color
• Hx of DM, HTN
• 2nd causes : autoimmino
infections risk
hereditary
drugs hx
• NS complications
Management
Treatment of secondary
Nephritic Syndrome
In the nephritic syndrome, there is evidence of
glomerular inflammation resulting in
Oliguria
Hematuria: red cell casts
Proteinuria: usually <3 g/day
Edema
Hypertension
Etiologies of nephritic syndrome
• Primary
postinfecious/diffuse proliferative GN
membranoproliferative GN
IgA nephropathy
crescent GN
• Secondary
SLE
systemic vasculitis
systemic sclerosis
Acute nephritic syndrome
AGN Vs RPGN
• AGN is the clinical correlate of diffuse proliferative
glomerulonephritis.
• AGN presents with sudden onset ( days)of haematuria ,oliguria
,oedema and hypertension
• AGN and RPGN are part of a spectrum of presentations of
immunologically mediated proliferative glomerulonephritis
• RPGN is characterized by rapidly progressive deterioration in renal
function associated with oliguria
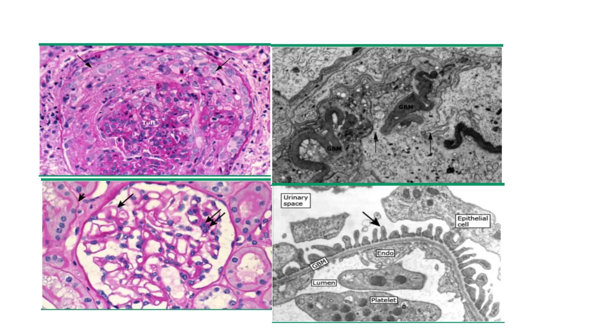
RPGN
• Decline in GFR occurs over days or weeks.
• The histopathologic term crescentic glomerulonephritis is the
pathologic equivalent of the clinical presentation of RPGN
• Many crescents are seen on biopsy.
Types of RPGN
• TYPE I GN: with creation of linear deposits of Ig on GBM
AntiGBM ds / Goodpasture syndrome
• TYPE II GN: with granular deposits of Ig and complement
Lupus Nephritis
Cryoglobulinemic
Post-infectious GN
• TYPE III - Pauci immune proliferative GN – lack of immune deposits on IF and EM
Wegner’s granulomatosis
Microscopic polyangiitis
Churg-Strauss Disease
• Type IV-Double antibody positive
feature of type 1 and 3
Progressive Chronic Kidney disease
• In most types of chronic GN, a proportion of patients (often between
25% and 50%) will have slowly progressive renal impairment.
• In long-standing GN, the kidneys shrink but remain smooth and
symmetric.
• Renal biopsy at this stage is more hazardous and less likely to provide
diagnostic material. Light microscopy often shows nonspecific
features of end-stage renal disease (ESRD).
Complement interpretation
POSTSTREPTOCOCCAL
GLOMERULONEPHRITIS
• In underdeveloped countries is epidemic
• Usually affects children between the ages of 2 and 14 years, but in
• Developed countries is more typical in the elderly It is more common
in males
• Poststreptococcal glomerulonephritis due to impetigo develops 2–6
weeks after skin infection and 1–3 weeks after streptococcal
• pharyngitis.
Post streptococcal
• Treatment is supportive, with control of hypertension, edema,and
dialysis as needed
• Antibiotic - to all patients and their cohabitants
• Overall, the prognosis is good
• The prognosis in elderly patients is worse with a high incidence of
azotemia (up to 60%), nephrotic-range proteinuria, and end-stage
renal disease.
SUBACUTE BACTERIAL ENDOCARDITIS
• Typically a complication of subacute bacterial endocarditis, who
remain untreated for a long time
• Unusual in acute bacterial endocarditis because it takes 10–14 days
to develop immune complex–mediated injury, by which time the
patient has been treated
• Patients present with gross or microscopic hematuria, pyuria, and
mild proteinuria
SBE…
• A normocytic anemia, elevated ESR, hypocomplementemia, high
titers of rheumatoid factor, type III cryoglobulins
• Grossly, the kidneys have subcapsular hemorrhages with a “flea-
bitten”appearance
• Primary treatment is eradication of the infection with 4–6 weeks of
antibiotics
• Prognosis for renal recovery is good
Clinical features
Work up
• U/A
• RFT
• Electrolyte
Urine microscopy (red cell cast), dysmorphic RBCs and proteinuria
• CBC
• 24 hr urine protein
• Complement
• ESR
• ASO titer, viral marker
Cont…
• Diagnostically useful tests :
 Culture (swab from throat or infected skin)
 Serum anti-streptolysin-O titre, anti DNAse, antihyaluronidase
 Hepatitis B surface antigen
 Hepatitis C antibody
 anti DNA , ANCA, Ant GBM
 ↓C3,4
 HIV
 Renal biopsy : light, immunofiuroscence, electron microscopy
Complications of nephritic syndrome
• Hypertensive encephalopathy (seizures, coma)
• Fluid oveload -pulmonary oedema
• Uraemia requiring dialysis
• Chronic glomerulonephritis and CKD
• HTN
Acute nephritic syndrome
management
• Supportive measures until spontaneous recovery
• Control HTN.
• Fluid balance.
• Oliguric with fluid overload: diuresis
• Post streptococcal GN
• Good prognosis, antibiotics indicated
• SBE
• Antibiotics
• GN complicating SLE or systemic vasculitides
• immunosuppression with prednisolone, cyclophosphamide or azathioprine/ MMF
• RPGN: steroid(MP), cyclophosphide, plasmapharesis,
References
• Harrison 21th edition
• Up-to-date 2023
• Compressive Clinical Nephrology 6th edition
• KDIGO 2021 Guideline On Glomerular Diseases
• KDIGO 2021 CKD Guideline
.
Thank you

Glomerular Disease sem.pptx

  • 1.
    Glomerular Disease Presentor: Dr.Hussen.{R1} Moderator:Dr. Abdulaziz. (Ass. Professor of Internal medicine)
  • 2.
    Outline • Introduction • Pathogenesis •Clinical Evaluation • Asymptomatic Urine abnormalities • Macrohematuria • Nephrotic syndrome • Nephritic syndrome • Rapidly progressive glomerulonephritis • Treatment
  • 3.
    Introduction • Glomerular anatomyand physiology: The glomerulus is a tuft of capillaries (specialized microvasculature) that is interposed b/n the afferent & efferent arterioles Two human kidneys contain nearly 1.8 million glomerular capillary tufts Each glomerulus is enclosed within an epithelial cell capsule = Bowman's capsule(BC)
  • 5.
    Cont… • The glomerularcapillary wall consists of three layers: 1. Fenestrated endothelial cell 2. Glomerular basement membrane (GBM) 3. Epithelial cell The epithelial cells are attached to the GBM by discrete foot processes. The pores b/n the foot processes (slit pores) are closed by a thin membrane called the slit diaphragm Filtration of small solutes (such as Na and urea) and water, while restricting the passage of larger molecules (larger proteins)
  • 6.
    Glomerular diseases • Aredisorders that primarily affect the structure and function of the renal glomerular apparatus • Glomerular disease could be • Primary • As part of multisystem Disease • All lead to alterations in permeability, structure and function
  • 7.
    Pathogenesis • Pathogenesis variablylinked to the presence of • Genetic mutations • Infection • Toxin exposure • Autoimmunity • Atherosclerosis • Hypertension • Emboli, thrombosis • Diabetes mellitus
  • 8.
    Pathogenesis • Glomerulonephritis: immunemediated • Develop as a result of immune dysregulation , through autoimmunity/ineffectual response to foreign antigen • Molecular mimickery : Ab to a foreign antigen cross react with a native protein • Inability to eliminate foreign Ag resulting in persistent antigenemia with antibody production and formation of circulating Ag-Ab complexes
  • 9.
    Pathogenesis • Mechanisms ofinjury: immune mediated • Deposition of circulating immune complexes • Insitu formation of immune complexes  subsequently followed by activation of inflammatory subtance including cell infiltration, complement…immunoglobulin deposits then proliferation, apoptosis and fibrosis then damage to GMB, podocyte, and endothelial change  menifaste as proteinuria, renal failure, edema, hematuria..
  • 10.
    Cont.. • Non immunemediated Activation of complement ; no deposition Epithelial cell injury by ; toxins/cytokines loss of foot process proteinuria
  • 11.
    Terminology • Histologic descriptions: Proliferative:an increase in the number of cells in the glomerulus. Sclerosing: presence of scarring Necrotizing: areas of cell death. • Proliferation may occur: Predominantly in the mesangium: mesangial proliferative GN. Within the capillary wall: endocapillary hypercellularity. Extracapillary
  • 12.
    Approach to thepatient: • Clinical evaluation The history, physical examination, and investigations are aimed at: Excluding nonglomerular disease Finding evidence of associated multisystem disease, and Establishing renal function
  • 13.
    History • Clinical presentationsthat vary from the asymptomatic to fulminant illness with AKI possibly associated with life-threatening extrarenal disease • Majority are asymptomatic. • Specific questioning may reveal edema, hypertension, foamy urine • Multisystem diseases associated • Family history • Drugs,infection,malignant and toxins
  • 14.
    Physical examination • Dependentpitting edema. • Xanthelasmas • Pulmonary signs • Palpable purpura
  • 15.
    Laboratory Studies • Assessmentof renal function and careful examination of the urine are critical . • Certain serologic tests are helpful. • Serum and urine electrophoresis. • Testing for the presence of ongoing bacterial or viral infections. • Measurement of systemic complement pathway activation • Genetic evaluation
  • 16.
    Imaging • Ultrasound scanning: Toensure the presence of two kidneys To rule out obstruction or anatomic abnormalities To assess kidney size.
  • 17.
    Clinical syndromes • Asymptomatic •Macroscopic hematuria • Nephrotic syndrome • Acute nephritic syndrome: AGN,RPGN • Chronic glomerulonephritis [CKD]
  • 18.
  • 23.
    Asymptomatic urine abnormalities •Isolated urinary abnormality. • Most of the time the first evidence of glomerular disease. • Asymptomatic low-grade proteinuria and microhematuria and the combination of the two • Increase in prevalence with age
  • 24.
    Microscopic hematuria • Canbe symptomatic or asymptomatic • More than two red blood cells in the spun urine sediment • Result from small breaks in the glomerular basement membrane • Urine culture to exclude infection • Renal image for anatomical lesions • Cystoscopy to r/o CA in > 40ys • Phase contrast microscopy for dysmorphic RBC and RBC cast
  • 25.
    Proteinuria • Normal urineprotein excretion is less than 150 mg/24 h. • 20 to 30 mg of albumin • 10 to 20 mg of low-molecular-weight proteins that undergo glomerular filtration • 40 to 60 mg of secreted proteins (e.g., Tamm-Horsfall, IgA) • Identified and quantified by dipstick test or assay in timed urine collection
  • 27.
    Macrohematuria • Rule outurologic causes mostly in old • If due to glomerular disease, usuaiy brown or “smoky” rather than red, and clots are unusual • Common in children and young adults • Distinguished from other causes of red or brown urine, including • hemoglobinuria, • myoglobinuria, • porphyrias, consumption of food dyes (particularly beetroot), • and intake of drugs (especially rifampin/rifampicin).
  • 28.
    Nephrotic Syndrome Nephrotic syndromeis pathognomonic of glomerular disease. It is a clinical syndrome with a characteristic pentad • Proteinuria > 3.5 g/day[24hr urine collection] Hypoalbuminemia <3.5 g/dl Edema Hypercholesterolemia Lipiduria
  • 29.
    Cont.. • Proteinuria: • Itis glomerular proteinuria that is responsible for protein loss in the nephrotic syndrome • Albumin is the principal urinary protein lost • Other plasma proteins including clotting inhibitors, transferrin, and hormone carrying proteins such as vitamin D-binding protein may be lost as well • Lipiduria: fatty cast and oval fat body
  • 30.
    Cont.. • Hypoalbuminemia: • Theliver responds by increasing albumin • Increase in protein synthesis is not discriminating plasma protein variation--- hypercoagulability and hyperlipidemia • Edema: Decrease in plasma oncotic pressure. Primary renal sodium retention in the collecting tubules
  • 31.
    ETIOLOGY OF NEPHROTICSYNDROME • Primary glomerular disease: • Minimal change nephropathy • Focal segmental glomerulosclerosis • Membranous GN • Secondary GN associated with systemic disease: • Diabetic nephropathy • Amyloidoisis • Drugs: penicillamine, gold, mercury, cadmium • Tumors, infections. vasculitis
  • 35.
    Minimal change disease •Commonest cause of NS in children • May occur in adults(10-15% of NS ) • Occurs in the absence of • cellular glomerular infiltratesor • immunoglobulin deposits • in association with the use NSAIDS, or as a paraneoplastic effect of malignancy, most often HD • Responsive to steroid therapy
  • 36.
    FSGS – Focalsegmental glomerulosclerosis • Most common cause of idiopathic nephrotic syndrome in African Americans • No inflammatory cells are present in the glomeruli • Sclerosis of the glomeruli are more pronounced at the cortico-medullary junction. • Clinically, patients present with the nephrotic syndrome, hematuria, hypertension and decreased renal function. • Associated diseases HIV , Obesity , Sickle cell anemia, malignancies , Chronic vesicoureteral
  • 37.
  • 38.
    Membranous nephropathy • Acommon cause of the nephrotic syndrome in adults. • Pathological changes are characterized by thickening of the capillary wall. No glomerular hypercellularity or inflammatory changes . • Heavy proteinuria with nephrotic syndrome • Progresses very slowly • In 30% associated with a malignancy (solid tumors of the breast, lung, colon), infection (hepatitis B, malaria, schistosomiasis), or rheumatologic disorders like lupus or rarely rheumatoid arthritis.
  • 39.
    History • Duration ofedema • Urine volume, color • Hx of DM, HTN • 2nd causes : autoimmino infections risk hereditary drugs hx • NS complications
  • 42.
  • 46.
  • 48.
    Nephritic Syndrome In thenephritic syndrome, there is evidence of glomerular inflammation resulting in Oliguria Hematuria: red cell casts Proteinuria: usually <3 g/day Edema Hypertension
  • 49.
    Etiologies of nephriticsyndrome • Primary postinfecious/diffuse proliferative GN membranoproliferative GN IgA nephropathy crescent GN • Secondary SLE systemic vasculitis systemic sclerosis
  • 51.
    Acute nephritic syndrome AGNVs RPGN • AGN is the clinical correlate of diffuse proliferative glomerulonephritis. • AGN presents with sudden onset ( days)of haematuria ,oliguria ,oedema and hypertension • AGN and RPGN are part of a spectrum of presentations of immunologically mediated proliferative glomerulonephritis • RPGN is characterized by rapidly progressive deterioration in renal function associated with oliguria
  • 52.
    RPGN • Decline inGFR occurs over days or weeks. • The histopathologic term crescentic glomerulonephritis is the pathologic equivalent of the clinical presentation of RPGN • Many crescents are seen on biopsy.
  • 54.
    Types of RPGN •TYPE I GN: with creation of linear deposits of Ig on GBM AntiGBM ds / Goodpasture syndrome • TYPE II GN: with granular deposits of Ig and complement Lupus Nephritis Cryoglobulinemic Post-infectious GN • TYPE III - Pauci immune proliferative GN – lack of immune deposits on IF and EM Wegner’s granulomatosis Microscopic polyangiitis Churg-Strauss Disease • Type IV-Double antibody positive feature of type 1 and 3
  • 55.
    Progressive Chronic Kidneydisease • In most types of chronic GN, a proportion of patients (often between 25% and 50%) will have slowly progressive renal impairment. • In long-standing GN, the kidneys shrink but remain smooth and symmetric. • Renal biopsy at this stage is more hazardous and less likely to provide diagnostic material. Light microscopy often shows nonspecific features of end-stage renal disease (ESRD).
  • 56.
  • 57.
    POSTSTREPTOCOCCAL GLOMERULONEPHRITIS • In underdevelopedcountries is epidemic • Usually affects children between the ages of 2 and 14 years, but in • Developed countries is more typical in the elderly It is more common in males • Poststreptococcal glomerulonephritis due to impetigo develops 2–6 weeks after skin infection and 1–3 weeks after streptococcal • pharyngitis.
  • 58.
    Post streptococcal • Treatmentis supportive, with control of hypertension, edema,and dialysis as needed • Antibiotic - to all patients and their cohabitants • Overall, the prognosis is good • The prognosis in elderly patients is worse with a high incidence of azotemia (up to 60%), nephrotic-range proteinuria, and end-stage renal disease.
  • 59.
    SUBACUTE BACTERIAL ENDOCARDITIS •Typically a complication of subacute bacterial endocarditis, who remain untreated for a long time • Unusual in acute bacterial endocarditis because it takes 10–14 days to develop immune complex–mediated injury, by which time the patient has been treated • Patients present with gross or microscopic hematuria, pyuria, and mild proteinuria
  • 60.
    SBE… • A normocyticanemia, elevated ESR, hypocomplementemia, high titers of rheumatoid factor, type III cryoglobulins • Grossly, the kidneys have subcapsular hemorrhages with a “flea- bitten”appearance • Primary treatment is eradication of the infection with 4–6 weeks of antibiotics • Prognosis for renal recovery is good
  • 63.
  • 64.
    Work up • U/A •RFT • Electrolyte Urine microscopy (red cell cast), dysmorphic RBCs and proteinuria • CBC • 24 hr urine protein • Complement • ESR • ASO titer, viral marker
  • 65.
    Cont… • Diagnostically usefultests :  Culture (swab from throat or infected skin)  Serum anti-streptolysin-O titre, anti DNAse, antihyaluronidase  Hepatitis B surface antigen  Hepatitis C antibody  anti DNA , ANCA, Ant GBM  ↓C3,4  HIV  Renal biopsy : light, immunofiuroscence, electron microscopy
  • 66.
    Complications of nephriticsyndrome • Hypertensive encephalopathy (seizures, coma) • Fluid oveload -pulmonary oedema • Uraemia requiring dialysis • Chronic glomerulonephritis and CKD • HTN
  • 67.
    Acute nephritic syndrome management •Supportive measures until spontaneous recovery • Control HTN. • Fluid balance. • Oliguric with fluid overload: diuresis • Post streptococcal GN • Good prognosis, antibiotics indicated • SBE • Antibiotics • GN complicating SLE or systemic vasculitides • immunosuppression with prednisolone, cyclophosphamide or azathioprine/ MMF • RPGN: steroid(MP), cyclophosphide, plasmapharesis,
  • 68.
    References • Harrison 21thedition • Up-to-date 2023 • Compressive Clinical Nephrology 6th edition • KDIGO 2021 Guideline On Glomerular Diseases • KDIGO 2021 CKD Guideline
  • 69.

Editor's Notes

  • #4 Networks of capillaty filtitating of renal unit capillaries attached to the mesangium, both of which are enclosed in a pouch-like extension of the tubule that represents the Bowman capsule.
  • #5 The podocyte foot processes have gaps—filtration slits—with a diameter of 30 to 40 nm. The filtration slits are bridged by the slit diaphragms (SDs), which are themselves penetrated by small pores. Mesangial cells, , have contractile properties and can alter the capillary surface area available for filtration The charge selectivity of the filtiration barrier GBM
  • #6 Filtration occur in capillary thru intracellular and extracellular(GBM, endothelia, epithelial) Glomerular filtration barrier is selective for: Size Shape charge.
  • #7 Glomerular disease can result from many inherited or acquired disorders and can manifest in a variety of ways, ranging in severity from asymptomatic urinary abnormalities to acute kidney injury (AKI) or end-stage renal disease the GBM is an elastic membrane that expands or shrinks in surface area with increasing or decreasing transmural hydrostatic pressure, respectively. Its expansion decreases with increasing pressure and is limited.
  • #11 Genetic ,metabolim
  • #13 a positive family history also may be obtained in some cases and may suggest a genetic cause. Classic genetic causes of renal disease may include Alport syndrome, especially if associated with hearing loss (see Chapter 46); uncommon familial forms of immunoglobulin A (IgA) nephropathy (see Chapter 23); focal segmental glomerulosclerosis (FSGS) secondary to mutations in podocin or other molecules involved in glomerular permeability Some forms of complement-mediated glomerulonephritis (GN) (see Chapter22); hemolytic uremic syndrome Morbid obesity can be associated with FSGS. Certain drugs and toxins may cause glomerular disease, including NSAIDs and interferon in MCD penicillamine, NSAIDs, and mercury (e.g., in skin-lightening creams) in membranous nephropathy; Pamidronate and heroin in FSGS; smoking with nodular glomerulosclerosis; cyclosporine, tacrolimus, mitomycin C, and oral contraceptives in HUS.
  • #14 Recent or persistent infection, especially streptococcal infection, infective endocarditis, and certain viral infections also may be associated with a variety of glomerular diseases. Malignant neoplasms associated with glomerular disease include lung, breast, and gastrointestinal (GI) adenocarcinoma in membranous nephropathy; Hodgkin disease in MCD; non-Hodgkin lymphoma in membranoproliferative glomerulonephritis (MPGN); and renal cell carcinoma in amyloid disease Patients will occasionally present with the renal disease as the first manifestation of a tumor
  • #16 Renal function and careful examination of the urine are critical The quantity of urine protein and the presence or absence of dysmorphic red cells and casts will help classify the clinical presentation Certain serologic tests are helpful. Antinuclear and anti-DNA antibodies for lupus, Anti–glomerular basement membrane (anti-GBM) antibodies for Goodpasture disease, Antineutrophil cytoplasmic autoantibody (ANCA) for vasculitis, Anti-streptolysin O titer or streptozyme test for poststreptococcal GN Testing for the presence of ongoing bacterial or viral infections is also useful. This includes blood cultures and testing for hepatitis B, hepatitis C, and human immunodeficiency virus (HIV) infection. Measurement of systemic complement pathway activation by testing for serum C3, C4, and CH50 (50% hemolyzing dose of complement is often helpful in limiting the differential diagnosis
  • #17 Ultrasound scanning is recommended in the workup to Ensure the presence of two kidneys, To rule out obstruction or anatomic abnormalities, To assess kidney size. Renal size is often normal in GN, large kidneys (>14 cm) are sometimes seen in nephrotic syndrome associated with diabetes, amyloid disease, or HIV infection. any acute severe GN and acute interstitial nephritis. The occurrence of small kidneys (<9 cm) and/or severe cortical thinning suggests advanced chronic kidney disease (CKD) and should limit enthusiasm for renal biopsy or aggressive immunosuppressive therapies. In adults, an increase in cortical echogenicity is a sensitive marker for parenchymal renal disease but is nonspecific (Fig. 5.3). Decreased cortical echogenicity can be found in acute pyelonephritis and acute renal vein thrombosis. Renal biopsy is generally required to establish the type of glomerular disease and to guide treatment decisions No need of biopsy when: If nephrotic children (age 2 to 12) have no unusual clinical features, the probability of MCD is so high that corticosteroids can be initiated without biopsy In patients with acute nephritic syndrome, if all features point to poststreptococcal GN, especially in an epidemic, biopsy can be reserved for the minority who do not show early spontaneous improvement In Goodpasture disease the presence of lung hemorrhage and rapidly progressive RF with urinary rbc l casts and high levels of anti-GBM ab. In patients with systemic features of vasculitis, a +ve ANCA titer, -ve blood cultures, & tissue biopsy specimen from another site showing vasculitis are sufficient to secure a diagnosis of renal vasculitis. in patients with long-standing DM with findings suggestive of diabetic nephropathy and other evidence of microvascular complications of DM patients with glomerular disease presenting with minor, asymptomatic urine abnormalities and well-preserved RF because the prognosis is excellent and histologic findings will not alter management
  • #25 Do all above if asymptomatic. If > 5% dysmorphic RBC, RBC cast, proteinuria show glomerular origen
  • #26 Can be differentiated on basis of many method . E.g non nephrotic range < 3.5g/24 hr Overflow Proteinuria  Increased excretion of low-molecular-weight proteins can occur with marked overproduction of a particular protein, leading to increased glomerular filtration and excretion. This is almost always due to immunoglobulin light chains in multiple myeloma but may also be due to lysozyme (in acute myelomonocytic leukemia), myoglobin (in rhabdomyolysis), or free hemoglobin (in intravascular hemolysis) that is not bound to haptoglobin [6]. In these settings, the filtered load is increased to a level that exceeds the normal proximal reabsorptive capacity. Patients with myeloma kidney also may develop a component of tubular proteinuria since the excreted light chains may be toxic to the tubules, leading to diminished reabsorption Tubular Proteinuria Low-molecular-weight proteins, such as beta2-microglobulin, immunoglobulin light chains, retinol-binding protein, and polypeptides derived from the breakdown of albumin, have molecular weights that are generally under 25,000 Daltons in comparison to the 69,000 Daltons molecular weight of albumin. These smaller proteins can be filtered across the glomerulus and are then almost completely reabsorbed in the proximal tubule. Interference with proximal tubular reabsorption, due to a variety of tubulointerstitial diseases or even some primary glomerular diseases, can lead to increased excretion of these smaller proteins. The increased excretion of immunoglobulin light chains (or Bence Jones proteins) in tubular proteinuria is mild, polyclonal (both kappa and lambda), and not injurious to the kidney. This is in contrast to the monoclonal and potentially nephrotoxic nature of the light chains in the overflow proteinuria seen in multiple myeloma
  • #27 Glomerular Proteinuria Functional proteinuria: transient non-nephrotic proteinuria - occur with fever, exercise, CHF, sleep apnea etc. Orthostatic proteinuria: proteinuria is absent when urine is generated in the recumbent position. If there is no proteinuria in early-morning urine, the diagnosis of orthostatic proteinuria can be made. Mostly <1 g/day usually found in young. The prognosis is uniformly good, and renal biopsy is not indicated. Fixed non-nephrotic proteinuria: usually from glomerular disease.
  • #28 Most cases are caused by IgA nephropathy .
  • #29 Not all patients with proteinuria above 3.5 g/24 h will have full nephrotic syndrome; some have a normal serum albumin concentration and no edem
  • #30 These include Increased hepatic synthesis of LDL, VLDL, and lipoprotein(a) secondary to the hypoalbuminemia; Defective peripheral lipoprotein lipase activity resulting in increased VLDL; and Urinary losses of high-density lipoprotein Infection Primary peritonitis, cellulitis and others Infection rate decrease with age The increased risk for infection has several explanations. Large fluid collections are sites for bacteria to grow easily; nephrotic skin is fragile, creating sites of entry; and edema may dilute local humoral immune factors. Loss of IgG and complement factor B (of the alternative pathway) in the urine impairs host ability to eliminate encapsulated organisms such as pneumococci. Zinc and transferrin are lost in the urine, and both are required for normal lymphocyte function.
  • #31 At least two major mechanisms are involved in the formation of nephrotic edema: underfill and overfill. In the first mechanism, which is more common in children with MCD, the edema appears to result from the low serum albumin, producing a decrease in plasma oncotic pressure, which allows increased transudation of fluid from capillary beds into the extracellular space according to the laws of Starling. The consequent decrease in circulating blood volume (underfill) results in a secondary stimulation of the renin-angiotensin system (RAS), resulting in aldosterone-induced sodium retention in the distal tubule. This attempt to compensate for hypovolemia merely aggravates edema because the low oncotic pressure alters the balance of forces across the capillary wall in favor of hydrostatic pressure, forcing. more fluid into the interstitial space rather than retaining it within the vascular compartment. However, a much more common mechanism for edema, occurring in most nephrotic patients, is a primary defect in the ability of the distal nephron to excrete sodium, possibly related to activation of the epithelial sodium channel (ENaC) by proteolytic enzymes that enter the tubular lumen in heavy proteinuria. As a result, there is an increased blood volume; suppression of renin, angiotensin, and vasopressin; and a tendency to hypertension rather than to hypotension. The kidney is also relatively resistant to the actions of atrial natriuretic peptide. An elevated blood volume results (overfill), which, in association with the low plasma oncotic pressure, provokes transudation of fluid into the extracellular space and edema. In addition to activation of the ENaC (see earlier discussion), it has been hypothesized that inflammatory leukocytes in the interstitium, which are found in many glomerular diseases, may impair sodium excretion by producing angiotensin II and oxidants (oxidants inactivate local nitric oxide, which is natriuretic). In principal cells, passive apical Na+ entry occurs through an amiloride-sensitive, epithelial Na+ channel (ENaC) with basolateral exit mediated by the Na+/K+-ATPase (Fig. 303-3D). This Na+ reabsorptive process is tightly regulated by aldosterone and is physiologically activated by a variety of proteolytic enzymes that cleave extracellular domains of ENaC; plasmin in the tubular fluid of nephrotic patients, for example, activates ENaC, leading to sodium retention
  • #33 With the exception of MCD, most causes of nephrotic syndrome are associated with some risk for the development of progressive renal failure. Progression is uncommon if there is sustained proteinuria of less than 2 g/day. The risk increases in proportion to the severity of the proteinuria, with marked risk for progression when protein excretion is more than 5 g/day Proteinuria identifies patients with severe glomerular injury; however, experimental and clinical evidence also suggests that proteinuria itself may be toxic, especially to the tubulointerstitium. In experimental models, measures that reduce proteinuria (e.g., ACE inhibitors) also prevent tubulointerstitial disease and progressive renal failure.
  • #34 Biopsy if modify treatment
  • #35 In patients with acute nephritic syndrome, if all features point to poststreptococcal GN, especially in an epidemic, biopsy can be reserved for the minority who do not show early spontaneous improvement. In Goodpasture disease, the presence of lung hemorrhage and rapidly progressive renal failure with urinary red cell casts and high levels of circulating anti-GBM antibody establishes the diagnosis without the need for a biopsy, although a biopsy may still provide valuable prognostic information. In patients with systemic features of vasculitis, a positive ANCA titer, negative blood cultures, and a tissue biopsy specimen from another site showing vasculitis are sufficient to secure a diagnosis of renal vasculitis. Again, however, renal biopsy may provide important clues to disease activity and chronicity.
  • #38 Increased extracelluiar matrix in sclerosis segment and adhesion to the bawmancapsule
  • #49 An “active” urine sediment that often contains RBC casts, pigmented casts, and cellular debris
  • #52 Decline in GFR by > 50 % with 3 month
  • #53  Crescents proliferation of parietal cells migration of monocytes ,macrophages into Bowmans space  Crescents obliterate Bowman’s space , compress glomerular tuft
  • #54 A. High-power light micrograph in crescentic glomerulonephritis. The hypercellular circumferential crescent (arrows) is compressing the glomerular tuft in the center of the glomerulus and closing the capillary lumens. B. Light micrograph of a normal glomerulus. There are only 1 or 2 cells per capillary tuft, the capillary lumens are open, the thickness of the glomerular capillary wall (long arrow) is similar to that of the tubular basement membranes (short arrow), and the mesangial cells and mesangial matrix are located in the central or stalk regions of the tuft (arrows) C. Electron micrograph in rapidly progressive glomerulonephritis (RPGN) showing characteristic breaks in the glomerular basement membrane (GBM) (arrows). These rents allow fibrin and cellular elements to enter Bowman's space and initiate crescent formation. D. Electron micrograph of a normal glomerular capillary loop showing the fenestrated endothelial cell (Endo), the glomerular basement membrane (GBM), and the epithelial cells with its interdigitating foot processes (arrow). The GBM is thin, and no electron-dense deposits are present. Two normal platelets are seen in the capillary lumen.
  • #68 Because most glomerular disease is thought to have an immune pathogenesis, treatment has generally consisted of immunosuppressive therapy the more severe and acute the presentation of GN, the more successful is immunosuppressive treatment.