Supervision :Dr. Mohammed Ali
By:Fatima Ehsan Abduluahab
Hevi ahmed mohammed
Alaa kilil ibrahem
Hajer abdulla
Daroon kaua
OBJECTIVES:
Types of HA
Management of HA
Investigation in HA
What is hemolytic anemia
Introduction
Haemolysis indicates that there is shortening of the
normal red cell lifespan of 120 days. There are
many causes.
To compensate, the bone marrow may increase its
output of red cells six- to eightfold by increasing
the proportion of red cells produced, expanding
the volume of active marrow, and releasing
reticulocytes prematurely. Anaemia occurs only if
the rate of destruction exceeds this increased
production rate.
• RBCis broken down by macrophage of
reticuloendotheilial cell to hemoglobin
• The globin is protein destructed to amino acid .
• Heme oxidized by heme oxygenas to biliverdin
which reduced by biliverdin reductase indirect
(unconjucated) to bilirubine which is water
insoluble (not excreted in urine ) bind to
albumin.
indirect bilirubin dissociated from albumin at hepatocyte where
Conjucation will occur, when indirect bilirubin converted by GT
(Glucuronyl Transferase) to direct bilirubin which is water
soluble capable of biliary & renal excretion .
• Conjugated bilirubin is excreted by the biliary tree & enters GIT
• where some of it metabolised by colonic bacteria to form
urobilinogen then stercobilinogen, which oxidized to stercobilin
that give feces its brown color.
• some of the urobilinogen is reabsorbed & excreted in the urine
where some of it further oxidize to urobilin which gives urine it
characteristic color
General evidence of hemolysis
1. Evidence of RBC and Hb breakdown :
-Increased unconjugated (Indirect) Bilirubin.
-Increased urinary Urobilinogen.
-Increased Stool Sterecobilinogen.
Absent Hb binding protein (Haptaglobin).
2. Evidence of increased red cell production:
-Reticulocytosis –blood.
-Erythroid hyperplasia –marrow.
3. Evidence of RBC Damage :
-Spherocytes, fragmented red cells.
-Special tests : red cells survival studies.
4. If intravascular hemolysis :
-Hemoglobinuria.
-Hemoglobinaemia.
-Hemosidrinuria (if prolonged).
Laboratory features and classification of the causes of
haemolysis.
Classification of hemolytic
anemia
Causes of inherited Hemolytic anemia:
1.Enzymopathies:
- G6PD deficiency.
- Pyruvate kinase deficiency.
2. Membrane defect:
- Hereditary spherocytosis.
- Hereditary Ovalocytosis.
3. Haemoglobinopathies :
- Thalassaemias : quantitative Hbpathies.
- Qualitative Hbpathies : Hb S, C, D, E etc.
Acquired Hemolytic anemias
1-Immune
-warm antibody
-cold antibody
2-Non immune
-Microangiopathic hemolysis ( Disseminated intravascular
coagulation ,Thrombotic thrombocytopenic purpura ,
Preeclampsia, eclampsia, HELLP , Drugs (mitomycin,
cyclosporine) , Valvular hemolysis)
-Infection
- Paroxysmal nocturnal hemoglobinuria
Extravascular haemolysis
Physiological red cell destruction occurs in the fixed reticulo-
endothelial cells in the liver or spleen, so avoiding free haemoglobin
in the plasma.
• In most haemolytic states, haemolysis is predominantly extravascular
• The compensatory erythroid hyperplasia may give rise to folate
deficiency, when the blood findings will be complicated by the
presence of megaloblastosis.
• Measurement of red cell folate is unreliable in the presence of
haemolysis and serum folate will be elevated.
• Patients' red cells can be labelled with51chromium; when reinjected,
they can be used to determine red cell survival, or when combined
with surface counting may indicate whether the liver or the spleen is
the main source of red cell destruction.
Intravascular haemolysis
• When rapid red cell destruction occurs, free haemoglobin is
released into the plasma. Free haemoglobin is toxic to cells and the
body has evolved binding proteins to minimise this risk.
• Haptoglobin is an α2-globulin produced by the liver which binds
free haemoglobin, resulting in a fall in levels of haptoglobin.
• Once haptoglobins are saturated, free haemoglobin is oxidised to
form methaemoglobin which binds to albumin, in turn forming
methaemalbumin which can be detected by the Schumm's test.
• Methaemoglobin is degraded and any free haem is bound to a
second binding protein termed haemopexin.
.
• If all the protective mechanisms are overloaded, free haemoglobin may
appear in the urine.
• When fulminant, this gives rise to black urine as in severe falciparum
malaria infection
.
• In smaller amounts renal tubular cells absorb the haemoglobin, degrade it
and store the iron as haemosiderin .
• When the tubular cells are subsequently sloughed into the urine they give
rise to haemosiderinuria, which is always indicative of intravascular
haemolysis .
Causes of inherited
hemolytic anemia
1-Enzymopathies
Glucose 6 Phosphate Dehydrogenase
Deficiency Definition of G6PD
Deficiency
• Sex-linked inherited disorder characterized
usually by acute hemolytic episodes
following exposure to oxidant stress
(infection, drugs or fava beans), due to
deficiency of RBC enzyme G6PD
More than 100 million people effected worldwide ,
affecting 10% of the world's population.
• The deficiency affects males but is carried by ,
who are usually only affected in the
femalesneonatal period or in the presence of
extreme lyonisation or homozygosity.
• Glucose-6-phosphate dehydrogenase deficiency
• This enzyme is pivotal in the hexose
monophosphate shunt and produces
NADPH(nicotinamide-adenine dinucleotide
phosphate) to protect the red cell against
oxidative stress.
Role of G6pd enzyme in rbc metabolism
The red cells need energy, to maintain the cationic pump
(responsible for keeping K in and Na and Ca out and hemoglobin
in reduced thus functional of cells) form.
• Main source of energy is glucose, which is used to generate ATP
(essential for cationic pump) and NADPH (essential for keeping Hb
in reduced state) through the glycolytic pathway.
• While, NADPH (also important in generation of reduced glutathione
important in handling oxidants, and this preventing RBC damage)
is generated via the hexose monophosphate shunt for which the
action of enzyme G6PD is initial step.
• In general, defects in the hexose monophosphate shunt result in
periodic haemolysis induced by oxidative stress, whilst those in
the Embden-Meyerhof pathway result in shortened red cell survival
and chronic haemolysis .
Precipitating factor
• Occurs on consumption of Fava beans.
• Usually occurs within 24 hours of ingestion.
• Acute drug-induced haemolysis to
(e.g.): Analgesics: aspirin, phenacetin
Antimalarials: primaquine, quinine, chloroquine, pyrimethamine .
Antibiotics: sulphonamides, nitrofurantoin, ciprofloxacin.
Miscellaneous: quinidine, probenecid, vitamin K, dapsone.
• Most frequent in spring (March-May).
• 2/3 of cases occur in 1-6 year old children.
• Males predominate.
Clinical features
• Sudden Pallor
• Jaundice.
• Red or dark urine due to Hemoglobinuria.
• Lasts usually for 2-6 days followed by spontaneous
recovery.
• No organomegaly.
Blood Picture :
• Variable anaemia, during the hemolytic episode, normal Hb
between attacks.
• Red cell : normochromic, anisocytosis, some bitten cell (Blister
cells) and marked polychromasia (markedly increased reticulocytes
count).
• • Denatured haemoglobin visible as Heinz bodies within the red cell
cytoplasm.
Peripheral blood smear from a 5-year-old G6PD-deficient
boy with acute favism.
Other Laboratory tests:
• Hemoglobin in urine and plasma.
• Increase urine urobilinogen.
• Indirect hyperbilirubinaemia.
• Methemoglobin reduction test For G6PD
deficiency (Screening test )
• Specific Assay for red cell G6PD.
Management:
• Blood transfusion during the episode.
• Spontaneous recovery .
• No Cure.
• Patient should avoid Fava beans , certain drugs, e.g.
certain antimalarials(primaquine, quinine,
chloroquine, pyrimethamine ), sulphonamides,
septrin, aspirin, salazopyrine, Nalidixic acid,
Nitrofurantoin ciprofloxacin quinidine, probenecid,
vitamin K, dapsone.
Pyruvate kinase Deficiency :
-This enzyme is an important key enzyme along the
glycolytic pathway, and is essential for ATP
generation.
-Its deficiency is inherited as autosomal recessive.
-Associate with life long hemolytic anemia, with pallor,
jaundice and splenomegaly.
-Normochromic anaemia with increased retics and
diagnosed by RBC Pyruvate kinase enzyme assay.
2-Red cell membrane defects
When the normal red cell structure is disturbed, usually
by a quantitative or functional deficiency of one or
more proteins in the cytoskeleton, cells lose their
elasticity. Each time such cells pass through the spleen,
they lose membrane relative to their cell volume. This
results :
-Increase (MCHC)
-Abnormal cell shape
-Reduced red cell survival due to extravascular
hemolysis.
Red cell membrane-cytoskeleton
Hereditary spherocytosis
- This is usually inherited as an autosomal
dominant condition, although 25% of cases have
no family history and represent new mutations.
- The incidence is approximately 1 : 5000 in
developed countries.
- The most common abnormalities are
deficiencies of beta spectrin or ankyrin.
-The main clinical findings are:
Pigment gallstonesSplenomegalyJaundice
DAGNOSIS
-The anemia is usually normocytic,
with the characteristic morphology
that gives the disease its name. A
characteristic feature is an increase
in mean corpuscular hemoglobin
concentration (MCHC).
-In most cases, the diagnosis can be made
on the basis of red cell morphology and of
a test for osmotic fragility, which is called
the “pink test.”
.
Treatment
-No way has yet been found to correct the
basic defect in the membrane–
cytoskeleton structure
current guidelines are as follows:
(1) Avoid splenectomy in mild cases.
(2) Delay splenectomy until at least 4
years of age, after the risk of severe
sepsis has peaked.
(3) Antipneumococcal vaccination before
splenectomy is imperative, whereas
penicillin prophylaxis post-splenectomy is
controversial.
(4) HS patients often may require
cholecystectomy, in which case the
practice has been to also carry out a
splenectomy at the same time.
Hereditary elliptocytosis
Inheritance may be autosomal dominant or
recessive.
Heterogeneous group of disorders that produce
an increase in elliptocytic red cells on the blood
film and a variable degree of haemolysis.
This is due to a functional abnormality of one or
more anchor proteins in the red cell membrane,
e.g. alpha spectrin or protein 4.1
The clinical course is variable and depends
on the degree of membrane dysfunction
caused by the inherited molecular defect(s);
most cases present as an asymptomatic blood
film abnormality but occasional cases result
in neonatal haemolysis or a chronic
compensated haemolytic state.
Management of the latter is the same as for
hereditary spherocytosis.
3-Haemoglobinopathies
Introduction
The thalassaemias are a group of inherited
disorders of Hb production in which there
is impaired synthesis of alpha or beta
globin chains. The resultant imbalance in
the ratio of alpha to beta chains leads to
precipitation of the excess chains, causing
membrane damage and reduced red cell
survival.
Beta-thalassaemia
Failure to synthesise beta chains (beta-thalassaemia)
is the most common type of thalassaemia, most
prevalent in the Mediterranean area.
Heterozygotes have thalassaemia minor, a condition
in which there is usually mild microcytic anaemia
and little or no clinical disability.
Homozygotes (thalassaemia major) either are unable
to synthesise haemoglobin A or, at best, produce very
little; after the first 4–6 months of life.
Diagnostic features of β-thalassaemia
Beta-thalassaemia major (homozygotes)
•Profound hypochromic anaemia
• Evidence of severe red cell dysplasia
• Erythroblastosis
• Absence or gross reduction of the amount of
haemoglobin A
• Raised levels of haemoglobin F
• Evidence that both parents have thalassaemia
minor
Beta-thalassaemia minor (heterozygotes)
•Mild anaemia
• Microcytic hypochromic erythrocytes
(not iron-deficient)
• Some target cells
• Punctate basophilia
• Raised haemoglobin A2 fraction
• Evidence that one parents have
thalassaemia minor
Treatment of β-thalassaemia
major
Alpha-thalassaemia
●Reduced or absent alpha-chain
synthesis is common in South-
east Asia. There are two alpha
gene loci on chromosome 16 and
therefore four alpha genes.
If one is deleted: no clinical effect.
If two are deleted: there may be a mild
microcytic hypochromic anaemia.
If three are deleted: the patient makes
haemoglobin H, a beta tetramer that is
functionally useless; treatment is similar to that
for beta-thalassaemia of intermediate severity.
If all four alpha genes are deleted: the baby is
stillborn (hydrops fetalis).
Qualitative abnormalities –sickle-cell
anaemia
It is inherited as an autosomal recessive trait . results
from a single glutamic acid to valine substitution at
position 6 of the beta globin polypeptide chain.
Homozygotes only produce abnormal beta chains that
make haemoglobin S (HbS, termed SS), and this
results in the clinical syndrome of sickle-cell disease.
Heterozygotes produce a mixture of normal and
abnormal beta chains that make normal HbA and
HbS (termed AS), and this results in sickle-cell trait.
Clinical features
Sickling is precipitated by hypoxia,
acidosis, dehydration and infection.
Irreversibly sickled cells have a
shortened survival and plug vessels in
the microcirculation.
This results in a number of acute syndromes,
termed ‘crises’, and chronic organ damage
-Vaso-occlusive crises
-Sickle chest syndrome
-Sequestration crisis
-Aplastic crisis
Investigations
Patients with sickle-cell disease have a
compensated anaemia (usually 60–80 g/L)
with a reticulocytosis and sickle cells on the
blood film. Hb electrophoresis demonstrates a
predominance of HbS with absent HbA.
Management
All patients with sickle-cell disease
should receive prophylaxis with daily
folic acid, and appropriate management
of the hyposplenic state that is
uniformly found in these patients from
an early . Vaccination against influenza
is also advised in these patients.
Vaso-occlusive crises are managed by
aggressive rehydration, oxygen
therapy, adequate analgesia (which
often requires opiates) and
antibiotics.Transfusion should be with
fully genotyped blood wherever
possible.
Acquired haemolytic
anemia
Autoimmune haemolytic anemia
Hemolytic anemia due to antibodies directed
against red cells. These antibodies maybe
“produced by the patient Autoimmun against his
own red cells”.
Or these Antibodies maybe Alloantibodies
introduced to the patient’s circulation and acting
against his red cells;
or these maybe produced by patient and directed
against alloantibodies red cells antigens introduced
to the patient by blood transfusion or drugs.
• 1. Immune HA:
• Autoimmune haemolytic anemia
• Result from RBC destruction due to autoantibodies
which may be IgG M rarly IgE A if the AB fixes
complement result in intravascular heamolysis
• But if the complement activation is weak there will
be extravascular heamolysis the optimum
temprature for AB activation used for
classification to
• Warm HA
• Cold HA
• WARM AIHA
• This AIHA in which the auto-antibody best reacts
with red cells at 37C,
• is usually class and usually react against Rhesus an
IgG antigens, and is usually associated with
extravascular hemolysis .
• and account for , 80% of cases
• Aetiology of Warm AIHA
• 1. Idiopathic : (in about one third of cases)
• 2. Secondary:
• - lymphoid neoplasms: lymphoma, chronic
lymphocytic leukaemia, myeloma
• - solid tumours: lung, colon, kidney, ovary, thymoma
• - connective tissue disease: SLE, rheumatoid arthritis
• - drugs: methyldopa, mefenamic acid, penicillin,
quinine
• miscellaneous: ulcerative colitis, HIV .
Pallor +Jaundice + Splenomegaly
• Clinical features of Warm AIHA
• Variable age depending on whether idiopathic or with
an underlying pathology; but females predominate in
both .
• Variable presentation, but usually with insidious
onset of pallor and jaundice with splenomegaly on
examination.
• If secondary to an associated pathology, then
history and features of this pathology are elicited e.g.
signs and symptoms of SLE, lymphoma or history of
drug intake due to hypertension.
Investigations
• Blood Picture in warm AIHA and increased retic count
• Variable anemia, normochromic, spherocytes and micro-
spherocytes with polychromasia
• Other Tests in warm AIHA
• Most important is the Direct Coomb’s Testand if
positive, , it is of diagnostic value.
• S. bilirubin : increased, mainly indirect.
• Other liver function tests usually normal in
uncomplicated cases
• Treatment of warm AIHA
• Treat the under lying cause
• Prednisolone is given in a dose then reduced gradually in of 1-2
mg/kg/day initially, and for 10-14 days, responders to half its
initial dose over the next 2 weeks and more gradually thereafter
and based on response .
• Steroids work by decreasing macrophage seen in 70-80%
destruction of antibody-coated red cells and reducing antibody
production
• In steroid resistant cases Azathioprine, cyclosporin or
Cyclophosphasmide, IV Ig .
• Splenectomy is considered if there is no response to steroids
after a 3 month’s trial good response in 50-60% of cases.
• Cold Autoimmune HA
• Here the autoantibody reacts best with RBC in the
cold at 4C, and usually they are IgM class
complement, with the capacity to intravascular lysis.
• Can be chronic when the antibody is monoclonal
• They account cases. for the other 20% of
• Cold AIHA may be
• 1. Idiopathic.
• : in association with lymphomas and certain 2.
Secondary infections like Mycoplasma pneumoniae
• Clinical features of cold AIHA:
• In most idiopathic cases the patients have persistant
pallor with or without jaundice.
• Alternatively patients may have episodes of
hemoglobinuria, induced by chilling.
• A combination of these two patterns may also
occur.
• Cold mediated vaso-occlusion phenomena like
acrocyanosis may be encountered.
• Splenomegaly is commonly encountered
•Blood film in cold AIHA
• Normochromic, anisocytosis with
autoagglutination and polychromasia
• Other tests in Cold AIHA
• Direct Coomb’s tes is classically positive.
• Detection of significant cold antibodies by the
cold agglutinin titre tests.
• Chronic cold agglutinin disease
• Affect elderly may had low grade B cell lymphoma
• Cause itravascular haemolysis with cold painful and
blue fingers toes aers and nose
• Blood film shows red cell agglutination and may be
high MCV
• The patient must keep extremities warm some
respond to corticosteroid
• Alloimmune HA :
• Haemolytic transfusion reaction
• Here antibodies present in patient’s plasma react and
destroy donor cells with respective antigens.
• Hemolytic disease of the newborn
• Here antibodies pass from the mother plasma
through the placenta to fetus and destroy fetal red
cells carrying respective antigens.e.g. an O
mother with an A fetus; or an Rh (D)negative
mother with Anti D antibodies with a Rh (D)
positive fetus.
Non-immune Hemolytic anemias
Infection
associated
Mechanical HA Acquired
membrane
defects
Chemical &
physical
agents
Malaria
G-ve Sepsis
Drugs
Burns
Drowning
PNH
Liver dis.
Cardiac
Microangiopathic HA
Malaria Associated HA:A.
• Malaria, especially by
Plasmodium falciparium is
among the most common
causes of anaemia. In
addition to hemolysis,
marrow suppression,
hypersplenism maybe
involved in anemia.
Hemolysis is both
intra(sporozoites break out
of RBCs) and extravascular
(spleen). Blackwater fever is
an uncommon but quite
dangerous complication of
falciparium malaria, due to
acute intravascular extensive
hemolysis leading to black
urine with high fever.
B. Mechanical Hemolytic anemia:
• Red cells maybe destroyed
and be fragmented by
contact with abnormal
endothelial surfaces, or in
the context of abnormal
turbulent flow.
• It includes:
- Cardiac Hemolytic
anemia.
- Microangiopathic
Hemolytic Anemia.
• In both situations there
will be on blood film :
fragmented red cells with
polychromasia.
Microangiopathic haemolytic anaemia .Fibrin deposition
in capillaries can cause severe red cell disruption .It may
occur in a wide variety of conditions :disseminated
carcinomatosis, malignant or pregnancy-induced
hypertension such as preeclampsia, eclampsia, and the
HELLP syndrome (hemolysis, elevated liver enzymes, and
low platelets in association with preeclampsia, haemolytic
uraemic syndrome,thrombotic thrombocytopenic purpura
and DIC . Diagnosis of MAHA is made by the finding of
schistocytes (fragmented erythrocytes) on the peripheral
blood smear. The presence of a normal prothrombin time
and partial thromboplastin time supports a diagnosis of
TTP/HUS over that of DIC.
Physical Trauma
Physical disruption of red cells may occur in a number of conditions
and is characterised by the presence of red cell fragments on the blood
film and markers of intravascular haemolysis :
1-Mechanical heart valves . High flow through incompetent valves or
periprosthetic leaks through the suture ring holding a valve in place
result in shear stress damage .
2-March haemoglobinuria .Vigorous exercise such as prolonged
marching or marathon running can cause red cell damage in the
capillaries in the feet .
3-Thermal injury .Severe burns cause thermal damage to red cells
characterised by fragmentation and the presence of microspherocytes in
the blood .
Infection
Plasmodium falciparum malaria may be associated with
intravascular haemolysis; when severe this is termed blackwater
fever due to the associated haemoglobinuria . Clostridium
perfringens
Chemicals or drugs
These agents cause haemolysis by oxidant denaturation of
haemoglobin .Dapsone and sulfasalazine can produce haemolysis
associated with the presence of Heinz bodies in the red cells on
supravital staining with brilliant cresyl blue .Heinz bodies contain
denatured haemoglobin .Arsenic gas, copper, chlorates, nitrites and
nitrobenzene derivatives may all cause haemolysis .
Paroxysmal Nocturnal Hemoglobinuria :
This rare acquired non-malignant clonal expansion of
haematopoietic stem cells deficient in GPI-anchor protein
results in intravascular haemolysis and anaemia because of
increased sensitivity of red cells to lysis by complement.
Normal erythrocytes are protected from complement-
mediated cell lysis by the presence of membrane proteins,
including delay accelerating factor (DAF) and membrane
inhibitor of reactive lysis (MIRL). Traditional tests for PNH
were functional assays based on the increased susceptibility
of erythrocytes to lysis by acidic serum (Ham test) or
hypotonic medium (sucrose lysis test).
Now that the underlying molecular abnormality in
PNH has been defined, diagnosis can be made by
flow cytometric documentation of the absence of
DAF or MIRL on the surface of RBCs or
leukocytes. The gold standard today is flow
cytometry, which can be carried out on granulocytes
as well as on red cells. A bimodal distribution of
cells, with a discrete population that is CD59-,
CD55-, is diagnostic of PNH.
PNH is manifested by episodic acute intravascular
hemolysis, with release of free hemoglobin that results in the
hemoglobinuria for which the disease is named. The disease
is considered to be part of the spectrum of
myeloproliferative diseases: It is a clonal stem cell disorder
associated with thrombotic risk and with a risk of developing
leukemia and/or myelofibrosis. Patients are susceptible to
thrombotic complications typical of those seen in
myeloproliferative disorders, including Budd-Chiari
syndrome, portal vein thrombosis, and cerebrovascular
thrombosis.
PNH also has an association with aplastic anemia:
patients may develop aplasia, and patients with
aplastic anemia who respond to immunosuppressive
therapy frequently recover with PNH-like clones.
Treatment is largely supportive with transfusion and
treatment of thrombosis. Recently the anti-
complement C5 monoclonal antibody ecluzimab
was shown to be effective in reducing haemolysis.
However, young patients should be considered for
allogeneic stem cell transplantation.
References
Hemolytic anemia

Hemolytic anemia

  • 1.
    Supervision :Dr. MohammedAli By:Fatima Ehsan Abduluahab Hevi ahmed mohammed Alaa kilil ibrahem Hajer abdulla Daroon kaua
  • 2.
    OBJECTIVES: Types of HA Managementof HA Investigation in HA What is hemolytic anemia
  • 3.
    Introduction Haemolysis indicates thatthere is shortening of the normal red cell lifespan of 120 days. There are many causes. To compensate, the bone marrow may increase its output of red cells six- to eightfold by increasing the proportion of red cells produced, expanding the volume of active marrow, and releasing reticulocytes prematurely. Anaemia occurs only if the rate of destruction exceeds this increased production rate.
  • 4.
    • RBCis brokendown by macrophage of reticuloendotheilial cell to hemoglobin • The globin is protein destructed to amino acid . • Heme oxidized by heme oxygenas to biliverdin which reduced by biliverdin reductase indirect (unconjucated) to bilirubine which is water insoluble (not excreted in urine ) bind to albumin.
  • 5.
    indirect bilirubin dissociatedfrom albumin at hepatocyte where Conjucation will occur, when indirect bilirubin converted by GT (Glucuronyl Transferase) to direct bilirubin which is water soluble capable of biliary & renal excretion . • Conjugated bilirubin is excreted by the biliary tree & enters GIT • where some of it metabolised by colonic bacteria to form urobilinogen then stercobilinogen, which oxidized to stercobilin that give feces its brown color. • some of the urobilinogen is reabsorbed & excreted in the urine where some of it further oxidize to urobilin which gives urine it characteristic color
  • 6.
    General evidence ofhemolysis 1. Evidence of RBC and Hb breakdown : -Increased unconjugated (Indirect) Bilirubin. -Increased urinary Urobilinogen. -Increased Stool Sterecobilinogen. Absent Hb binding protein (Haptaglobin). 2. Evidence of increased red cell production: -Reticulocytosis –blood. -Erythroid hyperplasia –marrow.
  • 7.
    3. Evidence ofRBC Damage : -Spherocytes, fragmented red cells. -Special tests : red cells survival studies. 4. If intravascular hemolysis : -Hemoglobinuria. -Hemoglobinaemia. -Hemosidrinuria (if prolonged).
  • 8.
    Laboratory features andclassification of the causes of haemolysis.
  • 9.
  • 10.
    Causes of inheritedHemolytic anemia: 1.Enzymopathies: - G6PD deficiency. - Pyruvate kinase deficiency. 2. Membrane defect: - Hereditary spherocytosis. - Hereditary Ovalocytosis. 3. Haemoglobinopathies : - Thalassaemias : quantitative Hbpathies. - Qualitative Hbpathies : Hb S, C, D, E etc.
  • 11.
    Acquired Hemolytic anemias 1-Immune -warmantibody -cold antibody 2-Non immune -Microangiopathic hemolysis ( Disseminated intravascular coagulation ,Thrombotic thrombocytopenic purpura , Preeclampsia, eclampsia, HELLP , Drugs (mitomycin, cyclosporine) , Valvular hemolysis) -Infection - Paroxysmal nocturnal hemoglobinuria
  • 12.
    Extravascular haemolysis Physiological redcell destruction occurs in the fixed reticulo- endothelial cells in the liver or spleen, so avoiding free haemoglobin in the plasma. • In most haemolytic states, haemolysis is predominantly extravascular • The compensatory erythroid hyperplasia may give rise to folate deficiency, when the blood findings will be complicated by the presence of megaloblastosis. • Measurement of red cell folate is unreliable in the presence of haemolysis and serum folate will be elevated. • Patients' red cells can be labelled with51chromium; when reinjected, they can be used to determine red cell survival, or when combined with surface counting may indicate whether the liver or the spleen is the main source of red cell destruction.
  • 13.
    Intravascular haemolysis • Whenrapid red cell destruction occurs, free haemoglobin is released into the plasma. Free haemoglobin is toxic to cells and the body has evolved binding proteins to minimise this risk. • Haptoglobin is an α2-globulin produced by the liver which binds free haemoglobin, resulting in a fall in levels of haptoglobin. • Once haptoglobins are saturated, free haemoglobin is oxidised to form methaemoglobin which binds to albumin, in turn forming methaemalbumin which can be detected by the Schumm's test. • Methaemoglobin is degraded and any free haem is bound to a second binding protein termed haemopexin. .
  • 14.
    • If allthe protective mechanisms are overloaded, free haemoglobin may appear in the urine. • When fulminant, this gives rise to black urine as in severe falciparum malaria infection . • In smaller amounts renal tubular cells absorb the haemoglobin, degrade it and store the iron as haemosiderin . • When the tubular cells are subsequently sloughed into the urine they give rise to haemosiderinuria, which is always indicative of intravascular haemolysis .
  • 18.
  • 19.
    1-Enzymopathies Glucose 6 PhosphateDehydrogenase Deficiency Definition of G6PD Deficiency • Sex-linked inherited disorder characterized usually by acute hemolytic episodes following exposure to oxidant stress (infection, drugs or fava beans), due to deficiency of RBC enzyme G6PD
  • 20.
    More than 100million people effected worldwide , affecting 10% of the world's population. • The deficiency affects males but is carried by , who are usually only affected in the femalesneonatal period or in the presence of extreme lyonisation or homozygosity. • Glucose-6-phosphate dehydrogenase deficiency • This enzyme is pivotal in the hexose monophosphate shunt and produces NADPH(nicotinamide-adenine dinucleotide phosphate) to protect the red cell against oxidative stress.
  • 21.
    Role of G6pdenzyme in rbc metabolism The red cells need energy, to maintain the cationic pump (responsible for keeping K in and Na and Ca out and hemoglobin in reduced thus functional of cells) form. • Main source of energy is glucose, which is used to generate ATP (essential for cationic pump) and NADPH (essential for keeping Hb in reduced state) through the glycolytic pathway. • While, NADPH (also important in generation of reduced glutathione important in handling oxidants, and this preventing RBC damage) is generated via the hexose monophosphate shunt for which the action of enzyme G6PD is initial step. • In general, defects in the hexose monophosphate shunt result in periodic haemolysis induced by oxidative stress, whilst those in the Embden-Meyerhof pathway result in shortened red cell survival and chronic haemolysis .
  • 23.
    Precipitating factor • Occurson consumption of Fava beans. • Usually occurs within 24 hours of ingestion. • Acute drug-induced haemolysis to (e.g.): Analgesics: aspirin, phenacetin Antimalarials: primaquine, quinine, chloroquine, pyrimethamine . Antibiotics: sulphonamides, nitrofurantoin, ciprofloxacin. Miscellaneous: quinidine, probenecid, vitamin K, dapsone. • Most frequent in spring (March-May). • 2/3 of cases occur in 1-6 year old children. • Males predominate.
  • 24.
    Clinical features • SuddenPallor • Jaundice. • Red or dark urine due to Hemoglobinuria. • Lasts usually for 2-6 days followed by spontaneous recovery. • No organomegaly.
  • 26.
    Blood Picture : •Variable anaemia, during the hemolytic episode, normal Hb between attacks. • Red cell : normochromic, anisocytosis, some bitten cell (Blister cells) and marked polychromasia (markedly increased reticulocytes count). • • Denatured haemoglobin visible as Heinz bodies within the red cell cytoplasm.
  • 27.
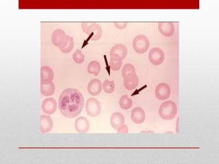
    Peripheral blood smearfrom a 5-year-old G6PD-deficient boy with acute favism.
  • 30.
    Other Laboratory tests: •Hemoglobin in urine and plasma. • Increase urine urobilinogen. • Indirect hyperbilirubinaemia. • Methemoglobin reduction test For G6PD deficiency (Screening test ) • Specific Assay for red cell G6PD.
  • 31.
    Management: • Blood transfusionduring the episode. • Spontaneous recovery . • No Cure. • Patient should avoid Fava beans , certain drugs, e.g. certain antimalarials(primaquine, quinine, chloroquine, pyrimethamine ), sulphonamides, septrin, aspirin, salazopyrine, Nalidixic acid, Nitrofurantoin ciprofloxacin quinidine, probenecid, vitamin K, dapsone.
  • 32.
    Pyruvate kinase Deficiency: -This enzyme is an important key enzyme along the glycolytic pathway, and is essential for ATP generation. -Its deficiency is inherited as autosomal recessive. -Associate with life long hemolytic anemia, with pallor, jaundice and splenomegaly. -Normochromic anaemia with increased retics and diagnosed by RBC Pyruvate kinase enzyme assay.
  • 33.
    2-Red cell membranedefects When the normal red cell structure is disturbed, usually by a quantitative or functional deficiency of one or more proteins in the cytoskeleton, cells lose their elasticity. Each time such cells pass through the spleen, they lose membrane relative to their cell volume. This results : -Increase (MCHC) -Abnormal cell shape -Reduced red cell survival due to extravascular hemolysis.
  • 35.
  • 37.
    Hereditary spherocytosis - Thisis usually inherited as an autosomal dominant condition, although 25% of cases have no family history and represent new mutations. - The incidence is approximately 1 : 5000 in developed countries. - The most common abnormalities are deficiencies of beta spectrin or ankyrin.
  • 38.
    -The main clinicalfindings are: Pigment gallstonesSplenomegalyJaundice
  • 39.
    DAGNOSIS -The anemia isusually normocytic, with the characteristic morphology that gives the disease its name. A characteristic feature is an increase in mean corpuscular hemoglobin concentration (MCHC).
  • 41.
    -In most cases,the diagnosis can be made on the basis of red cell morphology and of a test for osmotic fragility, which is called the “pink test.” .
  • 42.
    Treatment -No way hasyet been found to correct the basic defect in the membrane– cytoskeleton structure current guidelines are as follows: (1) Avoid splenectomy in mild cases. (2) Delay splenectomy until at least 4 years of age, after the risk of severe sepsis has peaked.
  • 43.
    (3) Antipneumococcal vaccinationbefore splenectomy is imperative, whereas penicillin prophylaxis post-splenectomy is controversial. (4) HS patients often may require cholecystectomy, in which case the practice has been to also carry out a splenectomy at the same time.
  • 44.
    Hereditary elliptocytosis Inheritance maybe autosomal dominant or recessive. Heterogeneous group of disorders that produce an increase in elliptocytic red cells on the blood film and a variable degree of haemolysis. This is due to a functional abnormality of one or more anchor proteins in the red cell membrane, e.g. alpha spectrin or protein 4.1
  • 46.
    The clinical courseis variable and depends on the degree of membrane dysfunction caused by the inherited molecular defect(s); most cases present as an asymptomatic blood film abnormality but occasional cases result in neonatal haemolysis or a chronic compensated haemolytic state. Management of the latter is the same as for hereditary spherocytosis.
  • 47.
  • 48.
    Introduction The thalassaemias area group of inherited disorders of Hb production in which there is impaired synthesis of alpha or beta globin chains. The resultant imbalance in the ratio of alpha to beta chains leads to precipitation of the excess chains, causing membrane damage and reduced red cell survival.
  • 49.
    Beta-thalassaemia Failure to synthesisebeta chains (beta-thalassaemia) is the most common type of thalassaemia, most prevalent in the Mediterranean area. Heterozygotes have thalassaemia minor, a condition in which there is usually mild microcytic anaemia and little or no clinical disability. Homozygotes (thalassaemia major) either are unable to synthesise haemoglobin A or, at best, produce very little; after the first 4–6 months of life.
  • 50.
    Diagnostic features ofβ-thalassaemia Beta-thalassaemia major (homozygotes) •Profound hypochromic anaemia • Evidence of severe red cell dysplasia • Erythroblastosis • Absence or gross reduction of the amount of haemoglobin A • Raised levels of haemoglobin F • Evidence that both parents have thalassaemia minor
  • 51.
    Beta-thalassaemia minor (heterozygotes) •Mildanaemia • Microcytic hypochromic erythrocytes (not iron-deficient) • Some target cells • Punctate basophilia • Raised haemoglobin A2 fraction • Evidence that one parents have thalassaemia minor
  • 52.
  • 53.
    Alpha-thalassaemia ●Reduced or absentalpha-chain synthesis is common in South- east Asia. There are two alpha gene loci on chromosome 16 and therefore four alpha genes.
  • 54.
    If one isdeleted: no clinical effect. If two are deleted: there may be a mild microcytic hypochromic anaemia. If three are deleted: the patient makes haemoglobin H, a beta tetramer that is functionally useless; treatment is similar to that for beta-thalassaemia of intermediate severity. If all four alpha genes are deleted: the baby is stillborn (hydrops fetalis).
  • 55.
    Qualitative abnormalities –sickle-cell anaemia Itis inherited as an autosomal recessive trait . results from a single glutamic acid to valine substitution at position 6 of the beta globin polypeptide chain. Homozygotes only produce abnormal beta chains that make haemoglobin S (HbS, termed SS), and this results in the clinical syndrome of sickle-cell disease. Heterozygotes produce a mixture of normal and abnormal beta chains that make normal HbA and HbS (termed AS), and this results in sickle-cell trait.
  • 57.
    Clinical features Sickling isprecipitated by hypoxia, acidosis, dehydration and infection. Irreversibly sickled cells have a shortened survival and plug vessels in the microcirculation.
  • 58.
    This results ina number of acute syndromes, termed ‘crises’, and chronic organ damage -Vaso-occlusive crises -Sickle chest syndrome -Sequestration crisis -Aplastic crisis
  • 59.
    Investigations Patients with sickle-celldisease have a compensated anaemia (usually 60–80 g/L) with a reticulocytosis and sickle cells on the blood film. Hb electrophoresis demonstrates a predominance of HbS with absent HbA.
  • 60.
    Management All patients withsickle-cell disease should receive prophylaxis with daily folic acid, and appropriate management of the hyposplenic state that is uniformly found in these patients from an early . Vaccination against influenza is also advised in these patients.
  • 61.
    Vaso-occlusive crises aremanaged by aggressive rehydration, oxygen therapy, adequate analgesia (which often requires opiates) and antibiotics.Transfusion should be with fully genotyped blood wherever possible.
  • 62.
  • 63.
    Hemolytic anemia dueto antibodies directed against red cells. These antibodies maybe “produced by the patient Autoimmun against his own red cells”. Or these Antibodies maybe Alloantibodies introduced to the patient’s circulation and acting against his red cells; or these maybe produced by patient and directed against alloantibodies red cells antigens introduced to the patient by blood transfusion or drugs. • 1. Immune HA:
  • 64.
    • Autoimmune haemolyticanemia • Result from RBC destruction due to autoantibodies which may be IgG M rarly IgE A if the AB fixes complement result in intravascular heamolysis • But if the complement activation is weak there will be extravascular heamolysis the optimum temprature for AB activation used for classification to • Warm HA • Cold HA
  • 65.
    • WARM AIHA •This AIHA in which the auto-antibody best reacts with red cells at 37C, • is usually class and usually react against Rhesus an IgG antigens, and is usually associated with extravascular hemolysis . • and account for , 80% of cases
  • 66.
    • Aetiology ofWarm AIHA • 1. Idiopathic : (in about one third of cases) • 2. Secondary: • - lymphoid neoplasms: lymphoma, chronic lymphocytic leukaemia, myeloma • - solid tumours: lung, colon, kidney, ovary, thymoma • - connective tissue disease: SLE, rheumatoid arthritis • - drugs: methyldopa, mefenamic acid, penicillin, quinine • miscellaneous: ulcerative colitis, HIV .
  • 67.
    Pallor +Jaundice +Splenomegaly • Clinical features of Warm AIHA • Variable age depending on whether idiopathic or with an underlying pathology; but females predominate in both . • Variable presentation, but usually with insidious onset of pallor and jaundice with splenomegaly on examination. • If secondary to an associated pathology, then history and features of this pathology are elicited e.g. signs and symptoms of SLE, lymphoma or history of drug intake due to hypertension.
  • 68.
    Investigations • Blood Picturein warm AIHA and increased retic count • Variable anemia, normochromic, spherocytes and micro- spherocytes with polychromasia
  • 69.
    • Other Testsin warm AIHA • Most important is the Direct Coomb’s Testand if positive, , it is of diagnostic value. • S. bilirubin : increased, mainly indirect. • Other liver function tests usually normal in uncomplicated cases
  • 72.
    • Treatment ofwarm AIHA • Treat the under lying cause • Prednisolone is given in a dose then reduced gradually in of 1-2 mg/kg/day initially, and for 10-14 days, responders to half its initial dose over the next 2 weeks and more gradually thereafter and based on response . • Steroids work by decreasing macrophage seen in 70-80% destruction of antibody-coated red cells and reducing antibody production • In steroid resistant cases Azathioprine, cyclosporin or Cyclophosphasmide, IV Ig . • Splenectomy is considered if there is no response to steroids after a 3 month’s trial good response in 50-60% of cases.
  • 73.
    • Cold AutoimmuneHA • Here the autoantibody reacts best with RBC in the cold at 4C, and usually they are IgM class complement, with the capacity to intravascular lysis. • Can be chronic when the antibody is monoclonal • They account cases. for the other 20% of • Cold AIHA may be • 1. Idiopathic. • : in association with lymphomas and certain 2. Secondary infections like Mycoplasma pneumoniae
  • 74.
    • Clinical featuresof cold AIHA: • In most idiopathic cases the patients have persistant pallor with or without jaundice. • Alternatively patients may have episodes of hemoglobinuria, induced by chilling. • A combination of these two patterns may also occur. • Cold mediated vaso-occlusion phenomena like acrocyanosis may be encountered. • Splenomegaly is commonly encountered
  • 75.
    •Blood film incold AIHA • Normochromic, anisocytosis with autoagglutination and polychromasia • Other tests in Cold AIHA • Direct Coomb’s tes is classically positive. • Detection of significant cold antibodies by the cold agglutinin titre tests.
  • 77.
    • Chronic coldagglutinin disease • Affect elderly may had low grade B cell lymphoma • Cause itravascular haemolysis with cold painful and blue fingers toes aers and nose • Blood film shows red cell agglutination and may be high MCV • The patient must keep extremities warm some respond to corticosteroid
  • 78.
    • Alloimmune HA: • Haemolytic transfusion reaction • Here antibodies present in patient’s plasma react and destroy donor cells with respective antigens.
  • 79.
    • Hemolytic diseaseof the newborn • Here antibodies pass from the mother plasma through the placenta to fetus and destroy fetal red cells carrying respective antigens.e.g. an O mother with an A fetus; or an Rh (D)negative mother with Anti D antibodies with a Rh (D) positive fetus.
  • 80.
    Non-immune Hemolytic anemias Infection associated MechanicalHA Acquired membrane defects Chemical & physical agents Malaria G-ve Sepsis Drugs Burns Drowning PNH Liver dis. Cardiac Microangiopathic HA
  • 81.
    Malaria Associated HA:A. •Malaria, especially by Plasmodium falciparium is among the most common causes of anaemia. In addition to hemolysis, marrow suppression, hypersplenism maybe involved in anemia. Hemolysis is both intra(sporozoites break out of RBCs) and extravascular (spleen). Blackwater fever is an uncommon but quite dangerous complication of falciparium malaria, due to acute intravascular extensive hemolysis leading to black urine with high fever.
  • 82.
    B. Mechanical Hemolyticanemia: • Red cells maybe destroyed and be fragmented by contact with abnormal endothelial surfaces, or in the context of abnormal turbulent flow. • It includes: - Cardiac Hemolytic anemia. - Microangiopathic Hemolytic Anemia. • In both situations there will be on blood film : fragmented red cells with polychromasia.
  • 83.
    Microangiopathic haemolytic anaemia.Fibrin deposition in capillaries can cause severe red cell disruption .It may occur in a wide variety of conditions :disseminated carcinomatosis, malignant or pregnancy-induced hypertension such as preeclampsia, eclampsia, and the HELLP syndrome (hemolysis, elevated liver enzymes, and low platelets in association with preeclampsia, haemolytic uraemic syndrome,thrombotic thrombocytopenic purpura and DIC . Diagnosis of MAHA is made by the finding of schistocytes (fragmented erythrocytes) on the peripheral blood smear. The presence of a normal prothrombin time and partial thromboplastin time supports a diagnosis of TTP/HUS over that of DIC.
  • 85.
    Physical Trauma Physical disruptionof red cells may occur in a number of conditions and is characterised by the presence of red cell fragments on the blood film and markers of intravascular haemolysis : 1-Mechanical heart valves . High flow through incompetent valves or periprosthetic leaks through the suture ring holding a valve in place result in shear stress damage . 2-March haemoglobinuria .Vigorous exercise such as prolonged marching or marathon running can cause red cell damage in the capillaries in the feet . 3-Thermal injury .Severe burns cause thermal damage to red cells characterised by fragmentation and the presence of microspherocytes in the blood .
  • 86.
    Infection Plasmodium falciparum malariamay be associated with intravascular haemolysis; when severe this is termed blackwater fever due to the associated haemoglobinuria . Clostridium perfringens Chemicals or drugs These agents cause haemolysis by oxidant denaturation of haemoglobin .Dapsone and sulfasalazine can produce haemolysis associated with the presence of Heinz bodies in the red cells on supravital staining with brilliant cresyl blue .Heinz bodies contain denatured haemoglobin .Arsenic gas, copper, chlorates, nitrites and nitrobenzene derivatives may all cause haemolysis .
  • 87.
    Paroxysmal Nocturnal Hemoglobinuria: This rare acquired non-malignant clonal expansion of haematopoietic stem cells deficient in GPI-anchor protein results in intravascular haemolysis and anaemia because of increased sensitivity of red cells to lysis by complement. Normal erythrocytes are protected from complement- mediated cell lysis by the presence of membrane proteins, including delay accelerating factor (DAF) and membrane inhibitor of reactive lysis (MIRL). Traditional tests for PNH were functional assays based on the increased susceptibility of erythrocytes to lysis by acidic serum (Ham test) or hypotonic medium (sucrose lysis test).
  • 89.
    Now that theunderlying molecular abnormality in PNH has been defined, diagnosis can be made by flow cytometric documentation of the absence of DAF or MIRL on the surface of RBCs or leukocytes. The gold standard today is flow cytometry, which can be carried out on granulocytes as well as on red cells. A bimodal distribution of cells, with a discrete population that is CD59-, CD55-, is diagnostic of PNH.
  • 90.
    PNH is manifestedby episodic acute intravascular hemolysis, with release of free hemoglobin that results in the hemoglobinuria for which the disease is named. The disease is considered to be part of the spectrum of myeloproliferative diseases: It is a clonal stem cell disorder associated with thrombotic risk and with a risk of developing leukemia and/or myelofibrosis. Patients are susceptible to thrombotic complications typical of those seen in myeloproliferative disorders, including Budd-Chiari syndrome, portal vein thrombosis, and cerebrovascular thrombosis.
  • 91.
    PNH also hasan association with aplastic anemia: patients may develop aplasia, and patients with aplastic anemia who respond to immunosuppressive therapy frequently recover with PNH-like clones. Treatment is largely supportive with transfusion and treatment of thrombosis. Recently the anti- complement C5 monoclonal antibody ecluzimab was shown to be effective in reducing haemolysis. However, young patients should be considered for allogeneic stem cell transplantation.
  • 92.