Approach to Hemolytic Anemia
PRESENTOR : ABHINAV KUMAR
MODERATOR :DR.NARAYAN SWAMY
OBJECTIVES
1. Identify general diagnostic findings of hemolytic
anemia
2. Describe a classification system for hemolytic
anemias:
a. Hereditary anemias ( defects within RBC )
b. Acquired anemias ( external causes )
Sickle Cell Anemia
a. identify clinical complications
b. identify diagnostic findings
c. describe treatment of sickle cell disease:
health care maintenance; painful crisis
OBJECTIVES
4. Thalassemias
describe populations most affected
beta thalassemia major: describe
complications; diagnostic findings
beta thalassemia minor ( trait ): describe
clinical and diagnostic findings
define the 4 types of alpha thalassemia
5. Glucose-6-phosphate dehydrogenase
( G6PD ) deficiency
a. identify populations affected with disease
b. identify causes of acute hemolytic crises
c. describe clinical presentation
OBJECTIVES
1. Autoimmune hemolytic anemias
a. identify major causes of " warm" and
"cold" autoimmune hemolytic anemias
b. describe how the following tests can
help diagnose autoimmune hemolytic
anemias:
direct antiglobulin test ( direct Coomb’s
test )
cold agglutinin titer
c. describe clinical presentation
d. describe emergency treatment for
rapidly developing/ and or severe
autoimmune hemolytic anemia
2. Identify hemolytic anemias occurring due
to mechanical shearing of RBCs
HEMOLYTIC ANEMIAS
Definition:
• Increased destruction of RBC outside the bone
marrow resulting in shortened RBC lifespan
• Destruction may be
within vessels( intravascular )
within the spleen ( extravascular ) or both.
Measures of Hemolysis
• Reticulocyte (normal 0.5-2 %), MCV
• Serum LDH
• Indirect bilirubin
• RBC morphology- Spherocytes, Schistocytes
Target Cells, Acanthocytes, Sickle Cells,
Agglutination,
Mixed fields
• Erythroid hyperplasia, m:e 1:1
• Chromium RBC survival
Measures of Hemolysis
• Intravascular
Hemolysis
• Decreased
haptoglobin and
hemopexin(20-40
ml/day)
• Plasma hgb >50
mg/dl, looks pink
• Urine-distinguish
hgb from
myoglobin
• Methemalbumin
elevated (5-10
days)
• Urinary
hemosiderin (7+
days)
• Extravascular
Hemolysis
• Decreased
haptoglobin
• Normal plasma
hemoglobin
• Increased LDH
• Ancillary studies
• Coomb’s tests
• Hgb
/Electrophoresis
• Membrane
/Osmotic fragility
• Metabolism /G6PD
CLASSIFICATION OF HEMOLYTIC ANEMIAS
INTRACORPUSCULAR
DEFECTS
EXTRACORPUSCULAR
FACTORS
HEREDITARY •HEMOGLOBINOPATHIES
•ENZYMOPATHIES
•MEMBRANE-
CYTOSKELETAL DEFECTS
•FAMILIAL HEMOLYTIC
UREMIC SYNDROME
ACQUIRED •PAROXYSMAL
NOCTURNAL
HEMOGLOBINURIA
•MECHANICAL DESTRUCTION
[MICROANGIOPATHIC]
•TOXIC AGENTS
•DRUGS
•INFECTIOUS
•AUTOIMMUNE
•SERUM HAPTOGLOBIN  25 mg/dL
• serum LDH,  total bilirubin, indirect bilirubin
•HEMOLYTIC ANEMIAS
•Hemoglobin electrophoresis •Direct antiglobulin (Coomb’s) test
•HbS •other hemoglobinopathies
•HbC, HbSC, HbD etc.
•sickle cell anemia
•NEG •POS
•Peripheral blood smear •autoimmune
•hemolytic anemia
•POS
•NEG
•platelets•
•nml
•G-6-P-D
deficiency
•spherocytosis
•heterozygotes •homozygotes
•Nml
CBC
•NEG •POS
•Sickle
RBC
•PT, PTT, D-dimers
• •nml
•Prosthetic heart valve
•DIC
•TTP - HUS
•schistocytes
•Work-up of Normocytic Anemias
•Absolute Retic Count >100,000/L
HEMOLYTIC ANEMIAS
I. GENERAL DIAGNOSTIC FINDINGS
A. increased reticulocyte count
( % reticulocytes /total RBC )
absolute reticulocyte count is more accurate:
allows correction for anemia -decreased RBC
count in denominator falsely increases
reticulocyte count.
absolute reticulocyte count = % reticulocytes x
RBC/uL
absolute reticulocyte count > 100,000/uL =
hemolytic anemia
HEMOLYTIC ANEMIAS
I. GENERAL DIAGNOSTIC FINDINGS
B.increased serum unconjugated bilirubin
(hyperbilirubinemia )
product of breakdown of hemoglobin
released by lysed RBC
heme is enzymatically converted in
macrophages to bilirubin, which is then
transported in plasma by albumin
unconjugated bilirubin has not been
metabolized (conjugated to glucuronic
acid )
HEMOLYTIC ANEMIAS
I. GENERAL DIAGNOSTIC FINDINGS
C. decreased serum haptoglobin
serum haptoglobin binds free hemoglobin
complex is rapidly cleared
haptoglobin level decreases
HEMOLYTIC ANEMIAS
I. GENERAL DIAGNOSTIC FINDINGS
D. increased lactate dehydrogenase:
released upon lysis of RBC
both intravascular and extravascular
hemolysis are associated with above
findings- only intravascular hemolysis is
associated with:
E. hemoglobinuria ( increased hemoglobin in
urine )
F. hemoglobinemia ( increased free
hemoglobin in blood )
II. CLASSIFICATION OF HEMOLYTIC
ANEMIAS
A. DEFECTS WITHIN RBC ( hereditary )
1. synthesis of structurally abnormal
hemoglobin
e.g.SICKLE CELL ANEMIA
2. decreased synthesis of globin
chains ( structurally normal )
e.g.THALASSEMIAS
3. enzyme abnormalities
e.g.GLUCOSE-6-PHOSPHATE
DEHYDROGENASE
DEFICIENCY
4. RBC membrane abnormalities
e.g.hereditary spherocytosis
II. CLASSIFICATION OF HEMOLYTIC
ANEMIAS
B. EXTERNAL CAUSES OF HEMOLYTIC
ANEMIAS (acquired)
1. Immune Mediated
a. autoimmune disease : e.g.
systemic lupus erythematosus
b. infections ( e.g. Mycoplasma
pneumoniae )
c. drugs
d. WBC malignancies ( e.g. chronic
lymphocytic leukemia )
e. idiopathic ( cause unknown )
2. Mechanical trauma
a. disseminated intravascular
coagulation
b. prosthetic heart valves
3. Parasitization of RBC
Laboratory Evaluation of Hemolysis
Extravascular Intravascular
HEMATOLOGIC
Routine blood film
Reticulocyte count
Bone marrow
examination
Polychromatophila
Erythroid
hyperplasia
Polychromatophilia
Erythroid
hyperplasia
PLASMA OR SERUM
Bilirubin
Haptoglobin
Plasmahemoglobin
Lactate
dehydrogenase
Unconjugated
, Absent
N/
(Variable)
Unconjugated
Absent
(Variable)
URINE
Bilirubin
Hemosiderin
Hemoglobin
+
0
0
+
+
+ severe cases
POLYCHROMATOPHILIC CELLS
Case 1
• 3 yr old male child presenting with
pallor,jaundice,
• Severe pain of long bones, fever
• CBC-anemia,reticulocytosis,increased
WBC
• LAB - LDH -600 (normal upto 200)
S.bilirubin- 5mg%
Peripheral smear
HEREDITARY HEMOLYTIC
ANEMIAS
SICKLE CELL ANEMIA
FORMS: (autosomal recessive inheritance )
Homozygotes: sickle cell disease ( median life
expectancy 5th decade- forties )
no normal, mature Hgb ( have Hgb S
instead of normal Hgb A ): 1/400 African
American births ( also seen in other
groups; e.g. Caucasians )
Heterozygotes: sickle cell trait – in 8-10%
African Americans ( normal lifespan )
60% Hgb is normal ( Hgb A) and mature;
40% of Hgb is Hgb S
enough normal Hgb to prevent most
complications which develop in
homozygotes
HEREDITARY HEMOLYTIC
ANEMIAS
COMPLICATIONS OF SICKLE CELL DISEASE
Chronic Hemolytic Anemia
Mean RBC lifespan = 17 days
Hgb = 6-10 gm/dL; Reticulolyte count = 3- 15%
AGE AT PRESENTATION:
1. may present in infancy
2. 61% by 2 years
3. 96% by 8 years
Most Common Presenting Symptoms:
1. dactylitis ( acute pain in hands and/or
feet )
2. acute painful crisis ( to be discussed )
3. splenic sequestration ( to be
discussed )
SICKLE CELL DISEASE
PAINFUL CRISIS
A. Precipitating events:
deoxygenation; infection ( and fever );
dehydration; stress; menses; cold; alcohol
consumption; often no identifyable cause
widespread occlusion in microvasculature
B. Clinical presentation
often severe pain
most typically: back, chest,extremities
abdomen
other symptoms: fever, swelling,
tenderness, increased respiratory rate,
nausea and vomiting (may last a few hours
– 2 weeks )
SICKLE CELL
DISEASE:COMPLICATIONS
INFECTION
A. lack of protection from bacterial infection
normally provided by spleen
splenic macrophages engulf
activation of alternative complement pathway )
1. in early childhood, spleen is enlarged and
congested with abnormal RBC
2. infarction of spleen occurs by
adolesence or early adulthood
(from vasoocclusion by abnormal RBC:
“autosplenectomy”)
SICKLE CELL DISEASE:
COMPLICATIONS
INFECTION
NOTE: splenic infarction can develop at high
altitude in patients with sickle cell trait
occurs more commonly in Caucasians
rather than patients of African ancestry
SICKLE CELL DISEASE:
COMPLICATIONS
INFECTION CONTINUED:
B. Infection is important cause of death in
children: (young children are treated
prophylactically with penicillin )
C. Patients have increased episodes of
pneumonia, sepsis, meningitis
osteomyelitis
D. Vulnerable for infections by encapsulated
bacteria:Streptococcus pneumoniae;
Hemophilus influenzae type b
Other important bacteria causing infection:
Salmonella and Staphylococcus aureus
(osteomyelitis )
SICKLE CELL DISEASE:
COMPLICATIONS
PULMONARY COMPLICATIONS
both acute and chronic problems occur:
a leading cause of death
ACUTE CHEST SYNDROME: 30% patients
Symptoms: shortness of breath,
chest pain,
fever,
increased respiratory rate,
leukocytosis,
infiltrate on chest x-ray
Life-threatening
extreme deoxygenation in blood ( hypoxemia)
can result in widespread vaso-occlusion and
failure of multiple organs  ”crash”
can be associated with infection
Streptococcus pneumoniae
Hemophilus influenzae type b
Mycoplasma pneumoniae
Chlamydia pneumoniae
Consequences
SICKLE CELL DISEASE:
COMPLICATIONS
Neurologic:
seizures 30%
transient ischemic attack 11%
cerebral infarction ( 54%- peaks in young children
and adults > 29yrs
cerebral hemorrhage ( 34%- peaks in adults in
twenties )
SICKLE CELL DISEASE:
COMPLICATIONS
Renal: abnormal function of renal tubules
(concentrating ability etc. )
infarction of renal papilla results in
hematuria (blood in urine )
homozygotes may also have glomerular
disease
AND may develop chronic renal failure
NOTE: heterozytotes:
episodes of hematuria; impaired
concentrating ability of renal tubules
(less severe and presents later than in
homozygotes); may have increased # of
urinary tract infections
SICKLE CELL
DISEASE:COMPLICATIONS
Priapism:
prolonged, painful erection
Incidence: 6 –42%
peak ages: 5-13yrs and 21-29 yrs (may occur
in pre-adolescent males)
Bone:
1. significantly increased production of RBC
in bone marrow expands itbossing of
forehead”
2. infarction of bone secondary to vaso-
occlusione.g. aseptic necrosis of femoral
head; extreme pain may be associated with
infarction
3. osteomyelitis ( infection of bone)
SICKLE CELL DISEASE:
COMPLICATIONS
Leg Ulcers: ( “ stasis ulcers” )
1. major cause of disability- frequent, chronic,
resistant to treatment
2. increased incidence in teenagers; at medial
or lateral malleolus
3. Associated with occlusion and stasis in skin
microvasculature
4. Infection
SICKLE CELL DISEASE:
COMPLICATIONS
Cardiac Complications:
1. chronic anemia compensated by high
cardiac output resulting in enlargement
of heart ( cardiomegaly ) and decreased
cardiac reserve
2. heart at increased risk of going into
failure with transfusions and fluid overload
3. myocardial infarction may occur
4. “Cor pulmonale”
( necrosis of lung tissue; pulmonary
hypertension caused by chronic hypoxia )
SICKLE CELL DISEASE:
COMPLICATIONS
Hepatobiliary System
bilirubin gallstones
SICKLE CELL DISEASE:
COMPLICATIONS
Splenic sequestration
• occurs in young children
• spleen is significantly enlarged and congested with
red blood cells
• shock can occur due to significantly decreased
blood volume ( hypovolemia )
CASE
Splenomegaly secondary to acute
sequestration crisis in a 20-month-old
female with sickle cell disease:
An enlarged spleen was palpated on
physical examination.
Note the spleen outlined by the adjacent bowel
Note how the spleen is on the left and does not cross
the midline
•NORMAL SIZED SPLEEN IN AN ADULT
spleen is enlarged due to extreme sequestration of
abnormal sickled red blood cells within it
SPLEEN IN YOUNG CHILD WITH SPLENIC
SEQUESTRATION CRISIS
SICKLE CELL
DISEASE:COMPLICATIONS
Retinopathy 
• Occlusion of retinal vessels: hemorrhage and
eventual detachments
visual loss
Aplastic crisis:
temporary; caused by Parvovirus B19
SICKLE CELL DISEASE:
COMPLICATIONS
note: patients with sickle cell trait at higher risk
of rhabdomyolysis :
1. prolonged physical conditions ( e.g. a
military recruit undergoing a long march )
2. during exercise at high altitude
DIAGNOSIS OF SICKLE CELL
ANEMIA
Note: only homozygotes have abnormal CBC and sickle cells on
peripheral blood smear
1. sickle cells seen on peripheral blood smear
2. Hgb = 6-10gm/dL; reticulocyte count = 3- 15%
3. MCV = normocytic ( 80-100fL ); may be macrocytic due to
reticulocytes
4. hemoglobin electrophoresis: abnormal band seen (called
Hgb S ): both homozygotes and heterozygotes
5. solubility test ( homozygotes and heterozygotes )
6. prenatal diagnosis: DNA analysis of fetal cells ( e.g.
chorionic villus sampling )
7. testing of all neonates occurs in most states in the US
currently
TREATMENT OF SICKLE CELL
DISEASE
HEALTH CARE MAINTENANCE
Immunization of children against
• Streptococcus pneumoniae;
• Hemophilus influenzae type B;
• hepatitis B virus, and
• influenza virus
( immunization important for patients
with splenectomy in general )
prophylactic penicillin for children 5yrs years
and less
125 mg penicillin V orally 2X/day until 2-3
years, then 250 mg penicillin V orally 2X/day
through 5 years
HEALTH CARE MAINTENANCE
3. Hydroxyurea : increases production of
fetal Hgbdecreases mortality due to sickle
cell disease if hydroxyurea alone does not
give good treatment response, add
erythropoietin.
4. assess and treat a febrile child immediately:
physical exam; CBC,urine culture; chest x-
ray- hospitalization, blood culture and lumbar
puncture ( to assess for meningitis ) may be
needed
HEALTH CARE MAINTENANCE
5. education:
e.g.parents instructed how to detect early
signs of infection and enlarging spleens in
young children; genetic counseling
6. folate supplements: rapid turnover of RBC
increases demand for folate
dose: 1mg oral folate/day
HEALTH CARE MAINTENANCE
7. Transcranial doppler ( TCD ) to assess
blood flow velocity in large intracranial
vessels; can predict patients at risk for
stroke
At Increased risk: chronic exchange
transfusions of packed red blood cells; is
protective against stroke
serial testing is needed normal flow
velocity on a single test does not “assure
continued low risk status”
8. Retinal evaluation begun at school age (
due to ocular complications: e.g. early,
proliferative sickle retinopathy)
CURATIVE THERAPY
• Successful bone marrow
( or hematopoietic stem cell) transplant
from a HLA-matched sibling
• Cord blood stem cells from a sibling are
also used for transplantation
TREATMENT OF
COMPLICATIONS
PAINFUL CRISIS:
“MOHA”: Morphine; Oxygen; Hydration; Antibiotics
1. relieve severe pain rapidly and safely ( narcotics
typically needed; avoid respiratory depression )
IV MORPHINE often given first
patient controlled analgesia delivered via a pump:
basal continuous rate of morphine with a bolus that can
be delivered to the patient if the patient needs it, at a
specified dose and interval
note:can also be given orally or as rectal suppository
a. hydromorphone hydrochloride (
Dilaudid ): can be given orally, by
injection, or as a suppository
b. fentanyl citrate (Sublimaze): can
be given as IV infusion or worn as a
patch
Other narcotic drugs:
TREATMENT OF
COMPLICATIONS
Drugs with low risk for respiratory depression:
a. ketorolac ( Toradol )bone pain
note: is given by injection or orally over 5 days with
H2 blocker because of severe GI side effects )
b. tramodol hydrochloride( Ultram): may be used for
outpatient management of painful crisis: given
orally; low risk for abuse or addiction
2. give OXYGEN
3. HYDRATION with oral or IV fluid
4. evaluate for infection and give ANTIBIOTIC if
present
TREATMENT OF COMPLICATIONS OF
SICKLE CELL DISEASE
Priapism:( painful, prolonged erection: may
persist for very long time )
1. IV hydration and pain medication: if persists
12 hrs
2. partial exchange transfusion (to decrease
abnormal Hgb)
3. Surgical Intervention (urologist)
Indications for Transfusion:
1. Aplastic crisis: to increase oxygen carrying capacity
of blood
2. Splenic sequestration and hypovolemia: to
expand blood volume
3. Before surgery ( to decrease perioperative
complications )
4. Acute chest syndrome:widespread deoxygenation
and vaso-occlusionmulti-organ failure
5. Stroke prevention in high risk patients ( chronic
exchange transfusions given )
6. Avoid transfusing to Hgb much above 10gm/dL to
avoid hyperviscosity and occlusive complications
CASE 2
• 6 yr old child presenting with severe
pallor,jaundice growth delay
• Abnormal facies,hepatosplenomegaly+
• h/o recurrent blood transfusions
• CBC-Hb -3gm%, MCV-58FL(Nl-86-98),
-MCH- 19pg (nl-28-33)
P.S- MICROCYTIC,HYPOCHROMIA with
target cells +
Diagnosis?
Target cells
THALASSEMIAS
PATIENTS AFFECTED
Mediterranean ( Greece; Italy ), Southeast
Asian, Asian Indian, African extraction
PATHOGENESIS OF THALASSEMIAS
1. decreased synthesis of alpha or beta
globin chains of hemoglobin
2. severity depends on extent of decreased
chain production
3. beta thalassemias: decreased production
of beta chains
4. alpha thalassemias: decreased
production of alpha chains
PATHOGENESIS OF
THALASSEMIA MAJOR
Severe deficiency of globin chain
production:
• globin chain produced is in excess and can’t
find complementary chain
• precipitates
• toxic to RBC
• RBC membrane defect
• impairs DNA synthesis
• abnormal RBCs made in bone marrow
• vast majority of RBCs produced in bone marrow
are “rejects”,
• destroyed in bone marrow
• only few RBC released into circulation
• Many RBC released are hemolyzed in spleen
• profound anemia
• spleen enlarges
PATHOGENESIS OF
THALASSEMIA MAJOR
beta thalassemias more severe than alpha
thalassemias:
• excess of alpha globin chains made with
beta thalassemias  MORE TOXIC
• excess of beta globin chains made with
alpha thalassemias LESS TOXIC
BETA THALASSEMIAS
BETA THALASSEMIA MAJOR ( homozygotes )
Presentation:
• 4-12 months (after fetal hemoglobin disappears)
• pallor; irritability; growth retardation; jaundice
• scleral icterus due to hyperbilirubinemia
• abdominal swelling due to hepatosplenomegaly
( hepatosplenomegaly due to RBC destruction and
attempts at production of RBCs in these organs )
BETA THALASSEMIA MAJOR
Complications:
1. bony abnormalities ( initially of skull and
face )
significant expansion of bone marrow
occurs
due to extreme attempts to produce RBC
cortex thinned
new bone formed on external aspect of
skull
“crew haircut” or “hair on end” appearance of
skull on x-ray due to perpendicular radiations of
new bone formation on the outer table
large maxilla with malocclusion:”chipmunk facies"
BETA THALASSEMIA MAJOR
Complications:
2. bilirubin gallstones ( due to hyperbilirubinemia:
increased serum unconjugated bilirubin: 2-4mg/dL )
3. profound anemiaheart failure; death in early
childhood if untreatedtreated by regular blood
transfusions
4. IRON OVERLOAD – secondary hemochromatosis
a. causes: regular transfusions
increased absorption of iron from GI tract
b. consequences: iron accumulates in various
organs and is toxic
i. chronic liver failure with fibrosis ( cirrhosis )
ii. endocrine organ involvement  results in
hormonal insufficiency
iii. cardiac disease ( cardiomyopathy )
results in heart failure; arrhythmias
BETA THALASSEMIA MAJOR
Diagnostic Findings:
1. CBC: Hgb 3-4gm/dL; severe
hypochromia ( decreased MCH) and
severe microcytosis (decreased MCV)
2. peripheral blood smear: target cells
(RBCs have a “bull’s eye” appearance )
3. prenatal diagnosis: DNA study of fetal cells
BETA THALASSEMIA MAJOR
Treatment:
• Regular packed RBC transfusions to
maintain Hgb level at 9-10gm/dL
• Iron chelation therapy with deferoxamine -
prevent iron overload
• Splenectomy when transfusion requirements
very excessive
immunizations and prophylactic
penicillin needed as with sickle cell disease
BETA THALASSEMIA MAJOR
• frequent monitoring of cardiac function
• folic acid supplementationincreased RBC
production in bone marrow
• good screening; genetic counseling;
prenatal diagnosis
• bone marrow or stem cell transplantation
donated by HLA-matched relative: only
chance for cure
• stem cell transplantation: harvesting
progenitor blood cells in peripheral blood
BETA THALASSEMIA MAJOR
Prognosis:
1. survival significantly shortened
2. 3rd decadeif transfusion therapy
performed with iron chelation
3. bone marrow or stem cell transplant only
chance for cure
BETA THALASSEMIAS
BETA THALASSEMIA MINOR ( TRAIT ):
heterozygotes
1. asymptomatic or symptoms of mild anemia:
may be discovered on routine exam in older
children or adults
2. during pregnancy, anemia often more
severe and transfusions may be necessary
important to distinguish from iron
deficiency anemia: iron can worsen anemia
HOWEVER: if a patient with thalassemia minor
develops iron deficiency anemia, “ they
should not be denied iron”:
www.uptodate.com- (10/13/09)
USE OF IRON STUDIES TO DIFFERENTIATE BETWEEN:
Iron Deficiency Anemia - Anemia of Chronic Disease -
Thalassemia Minor
SERUM IRON FERRITIN TIBC
Iron
Deficiency
Anemia
  
Anemia of
Chronic Dz  NL or  
Thalassemia
Minor NL or  NL or  NL
BETA THALASSEMIAS
BETA THALASSEMIA MINOR ( TRAIT ):
heterozygotes
3. diagnostic findings
a. mild anemia ( Hgb rarely < 10gm/dL)
b. striking microcytosis ( MCV < 75fL: as low as
55fL ) and hypochromia ( decreased MCH )
c. abnormal pattern on hemoglobin
electrophoresis
( increased Hgb A2; is not always present )
d. iron studies: total iron binding capacity normal
iron and ferritin normal or may be increased (
due to mild iron absorption from GI tract )
e. peripheral blood smear: target cells
f. normal or increased RDW; normal reticulocyte
count
4. iron therapy won't help ( may worsen
anemia )
BETA THALASSEMIAS
BETA THALASSEMIA INTERMEDIA
Some clinical manifestations of thalassemia major
presenting later in life due to
chronic hypoxia
iron overload ( heart failure,pul Htn)
less transfusion dependent
Note: hydroxyurea, which is used in the treatment
of sickle cell disease to stimulate fetal Hgb
synthesis is helpful in some patients with
beta thalassemia intermedia
THALASSEMIAS
ALPHA THALASSEMIAS
1. alpha thalassemia minima: MCV may be
slightly low; patients asymptomatic; Hgb
electrophoresis normal; important for
genetic counseling
2. alpha thalassemia minor: (may be milder
than beta thalassemia trait: MCV 60 – 75fL )
MCV often low; hypochromia; target
cells; normal Hgb electrophoresis ( no
increase in Hgb A2 )
3. Hbg H disease: chronic hemolytic anemia
presenting at birth;
neonatal jaundice ( severity like beta
thalassemia intermedia )
1. Hgb Barts: usually death in utero or at birth
HEMOGLOBINOPATHIES
NOTE: patients can have a combination of
sickle cell anemia and thalassemia (beta
or alpha):
e.g. sickle cell trait/ beta thalassemia
minor
Other anemias with hemoglobin mutations
and abnormal structure exist: e.g. Hgb C;
Hgb SC; Hgb D; Hgb G
In general:
hemoglobinopathies are hemolytic
anemias in which the Hgb is abnormal in
structure or amount
CASE 3
• 45 yr old male came to opd in a remote
PHC with burning micturition
• Urine R/M shows numerous pus cells++++
• UTI diagnosed & medical officer gave
cotrimoxazole 2 bd X 5days
• 1 wk later,pt developed severe
pallor,palpitation,jaundice
• Lab- increased LDH, S.BILIRUBIN,RETIC
COUNT
• P.S- shows irreg cells like
Bite cells
Heinz bodies
Diagnosis?
• G-6PD DEFICIENCY
• INVESTIGATION-
• Peripheral smear- bite cells,heinz bodies,
- polychromasia
G-6PD LEVEL
BEUTLER FLUORESCENT SPOT TEST-
Positive-if blood spot fails to flouresce in
U V
GLUCOSE-6-PHOSPHATE
DEHYDROGENASE
DEFICIENCY (G6PD deficiency)
Pathogenesis:
deficiency of the G6PD enzyme increases
susceptibility of RBC to oxidative damage
• antimalarial drugs (e.g. Primaquine);
• sulfonamides;
• nitrofurantoin;
• fava beans;
• diabetic ketoacidosis
• infections ( ex. viral hepatitis; pneumonia;
Salmonella; Ecoli; beta-hemolytic Streptococci;
Rickettsia );
Definitive risk Possible risk Doubtful risk
antimalarials Primaquine
Dapsone
cholrproguanil
chloroquine quinine
Sulphonamides/
sulphones
Sulphametoxazole
Dapsone
Sulfasalazine
Sulfadimidine
Sulfisoxazole
Sulfadiazine
Antibacterials/
Antibiotics
Cotrimoxazole
Nalidixic acid
Nitrofurantoin
Ciprofloxacin
Norfloxacin
Cholramphenicol
p-Aminosalicylic
acid
Antipyretic/
Analgesics
Acetanilide
Phenazopyridine
[pyridium]
Acetylsalicylic acid
High dose[>3g/d]
Acetylsalicylic acid
[<3g/d]
Acetaminophen
GLUCOSE-6-PHOSPHATE
DEHYDROGENASE
DEFICIENCY (G6PD deficiency)
Incidence: x-linked recessive inheritance
typically affects males;
female carriers are rarely affected
different disease variants; most common
variants of disease:
1. G6PD A-: 10-11% African Americans;
moderate enzyme deficiency
2. G6PD Mediterranean: Middle East; more
severe enzyme deficiency
Clinical Presentation: intermittent acute
hemolytic episodes and is healthy with
normal CBC in between episodes
self-limited acute hemolytic crisis occuring
within hours – a few days of exposure to oxidant
stressor
• self- limited because only old RBC are lysed:
when only “younger RBC” remain, episode is over
symptoms:
• sudden onset of jaundice,
• Pallor
• dark urine (due to hemoglobinuria) with or
without abdominal and back pain
Clinical Presentation: patient has intermittent
acute hemolytic episodes
• abrupt fall in Hgb by 3- 4gm/dL
• increased unconjugated bilirubin
reticulocytosis is present upon recovery
(within 5 days after onset )
• Favism:
occurs in young children in Italy or Greece (
with more severe form of G6PD deficiency );
presentation hours after consumption of
fava beans results in a fatal anemia if
children are not transfused )
• Assay can assess enzyme function
• “bite cells”- oxidized denatured Hgb “puddles” to
1 side of the RBC, leaving a clear zone adjacent to
the RBC membrane on the opposite side which
looks like a “bite” in an “oreo cookie”
GLUCOSE-6-PHOSPHATE
DEHYDROGENASE
DEFICIENCY (G6PD deficiency)
Treatment:
1. avoidance of drugs precipitating
hemolytic crises
1. during hemolytic crisis:
a. transfuse if anemia is sufficiently severe
b. withdraw precipitating agent
2. Pyruvate Kinase Deficiency
 AR
 Deficient ATP production, Chronic
hemolytic anemia
 Clinical features
o hydrops fetalis
o neonatal jaundice
o compensated hemolytic anemia
 Inv
• P. Smear: PRICKLE CELLS ( Contracted rbc with
spicules)
Decreased enzyme activity
Prickle cell
Disorders of Cation Transport
• Autosomal dominant inheritance
• Increased intracellular sodium in red cells, with
concomitant loss of potassium
(pseudohyperkalemia).
• Some familiesassociated with gain of water
red cells are overhydrated (low MCHC)
• Blood smear the normally round-shaped central
pallor is replaced by a linear-shaped central pallor
• stomatocytosis.
• Other families,red cells are instead dehydrated
(high MCHC)
• their consequent rigidityxerocytosis.
• missense mutations of the SLC4A1 gene
encoding band 3 give stomatocytosis.
• Hemolysismild to quite severe.
• Splenectomy is contraindicated
severe thromboembolic complications.
CASE 4
• 14 YR old female present with anemia,
jaundice
• Rt hypochondrial pain
• o/e- vitals
stable.pallor+,icterus+,splenomegaly +
• Usg- cholilithiasis
• Lab:elevated LDH, S.Bilirubin
• Peripheral smear shows-
Differential diagnosis
• Hereditary spherocytosis
• Autoimmune hemolytic anemia
• Other diagnostic tests- osmotic fragility
- coombs test
HEREDITARY
SPHEROCYTOSIS
Pathophysiology:
1. structural defect in RBC membrane
spheroidal shape and lack of
deformability of RBC
2. hemolysis in spleen results from lack of
deformability.
HEREDITARY
SPHEROCYTOSIS
NOTE ON ADDITIONAL SIGNIFICANCE
OF SPHEROIDAL SHAPE OF RBCs:
spheroidal shape is associated with a
increased concentration of Hgb per RBC
area
Mean cell hemoglobin concentration
(MCHC) is increased
HEREDITARY
SPHEROCYTOSIS
Incidence: highest in people of Northern European
extraction: 1/5000
Clinical Presentation and Course:
major clinical features:
anemia,
splenomegaly
jaundice
variation in severity: from asymptomatic to
presentation at birth
Treatment:Splenectomy
ACQUIRED HEMOLYTIC ANEMIAS
AUTOIMMUNE HEMOLYTIC ANEMIAS
Pathogenesis:
Autoantibodies directed against RBCs are
bound to RBCs and increase clearance of
RBCs in spleen by macrophages:
antibody binds to receptors on splenic
macrophages and causes macrophages to
phagocytize the RBCs
activation of complement by autoantibody may
also occur
Pathogenesis:
AUTOIMMUNE HEMOLYTIC
ANEMIAS
Classification:
I. “Warm” Autoimmune Hemolytic
Anemia
autoantibodies preferentially reacting
at body temperature
A. primary ( no known cause )- many
cases have no known cause
AUTOIMMUNE HEMOLYTIC
ANEMIAS
Classification:
I. “Warm” Autoimmune Hemolytic Anemia
B. Secondary (known causes)
1. malignancies of white blood cells ( e.g.
chronic lymphocytic leukemia )
2. autoimmune disease ( e.g. SLE)
3. drugs: many
a. penicillin; cephalosporins ( antibiotics )
especially after very large intravenous
dose; sulfonamides
b. alpha-methyl dopa ( anti-hypertensive
drug used in pregnancy )
1% patients on alpha methyl dopa have
clinically significant disease
c. various other drugs: e.g. NSAIDs;
quinine/quinidine
4. viral infections ( usually in children )
AUTOIMMUNE HEMOLYTIC
ANEMIAS
Classification:
II. “Cold” Autoimmune Hemolytic Anemia
autoantibodies preferentially react at cold
temperatures (4-18oC)
A. chronic: typically cause is unknown; WBC
malignancies ( e.g. lymphoma ) may be a
known cause )
B.
acrocyanosis: dark, purple-grey
discoloration of fingertips, toes, nose, and
ears due to RBC agglutination at cold
temperature
AUTOIMMUNE HEMOLYTIC
ANEMIAS
Classification:
II. “Cold” Autoimmune Hemolytic Anemia
autoantibodies preferentially react at cold
temperatures (4-18oC)
A. acute: post-infectious
1. Mycoplasma pneumoniae ( primary
atypical pneumonia ); Epstein Barr
Virus
2. abrupt onset occurring during
recovery; self limited; typically clinical
findings of cold autoimmune hemolytic
anemia not present
AUTOIMMUNE HEMOLYTIC
ANEMIAS
Diagnostic Findings:
POSITIVE DIRECT ANTIGLOBULIN TEST
( direct Coomb’s test ):
detection of autoantibodies on patient’s
RBC
CBC:
a. mild –severe decrease in Hgb
b. increased reticulocyte count
cold agglutinin titer increased in cold
autoimmune hemolytic anemia: e.g. acute, post-
infectious autoimmune hemolytic anemias ( with
Mycoplasma pneumonia )
CLINICAL FEATURES
• slight jaundice and scleral icterus
• Pallor
• may have shortness of breath or dyspnea
on exertion
• Splenomegaly
• presentation can vary in mode of onset and
severity:
a. gradual; patients relatively asymptomatic
b. rapid development with severe anemia and
severe symptoms
e.g. high-output heart failure
AUTOIMMUNE HEMOLYTIC
ANEMIAS
Treatment: (symptomatic, unstable disease )
1. Immunosuppressive therapy
a.corticosteroids (prednisone): first line
therapy
b.cytotoxic drug therapy:
cyclophosphamide: azathioprine
(if dependence on high dose of
prednisone or side effects)
2. splenectomy: removes primary site of RBC destruction
3. If a drug is causing hemolysis, terminate drug
AUTOIMMUNE HEMOLYTIC
ANEMIAS
Treatment: (of symptomatic, unstable disease )
for rapidly developing and/or severe anemia:
• transfusion with packed RBC is needed
Hgb <7gm/dL (or higher in patient with
preexisting cardiac disease):
Patient can develop high output cardiac failure
and pulmonary edema, MI, and/or cardiac
arrythymias due to severe hypoxemia
patient may also need oxygen therapy
AUTOIMMUNE HEMOLYTIC
ANEMIAS
Treatment:
cold agglutinin disease: prevention
• patients should avoid cold and dress warmly
even in summer
PARASITIZATION OF RBC
malarial parasites: Plasmodium falciparum, vivax,
malariae, or ovale
pathogenesis:
parasite is engulfed by RBC after binding RBC
receptor
takes over RBC metabolic machinery
ingests Hgb
bursts out of RBC
cycle repeats again
Case 5
• 32 yr old presented 4 days history of distention
of abdomen and rt hypochondrial pain and has
h/o passage of dark colored urine at night for
weeks
• On USG- hepatomegaly,gross ascites,hepatic
vein thrombosis
Lab : Hb – 7gm%. WBC- 2200, PLC- 80,000
LDH- 600, S.BR- 4 mg%
urine bile pigment +,heme dip stick++
What is the diagnosis?
Paroxysmal nocturnal hemoglobinuria
• Acquired chronic H.A
• Persistent intra vascular hemolysis
• Pancytopenia
• Lab :hburia,hemosiderinuria,increased
LDH,bilirubin
• Risk of venous thrombosis
• C/F – hemoglobinuria during night
• P.S – polychromatophilia, normoblasts
• B.M – normoblastic hyperplasia
• Def.diagnosis-flow cytometry CD59-,CD55-
RBC,WBC
- Hams’ acidified serum test
Case 6
• 25 yr old male with RHD – severe MRMVR
done,after 10 days presented with pallor,
palpitation,jaundice
CBC shows Hb – 7.5 gm %, Hct -22 %
Lab : S.bilirubin -4.5mg%
LDH -600
Retic count 10%
Peripheral smear –
Microangiopathic hemolytic
anemia
Schistocytes
MECHANICAL CAUSES:
SHEARING STRESS ON RBC
Macrovascular:
• prosthetic heart valves: (10% artificial aortic
prosthesis) turbulent blood flow through
narrow openings occurs, causing RBC shearing
(e.g. seen with paravalvular leaks)
• anemia can be severe: 5-7gm/dL
• diagnostic findings of intravascular hemolysis
are present ( increased reticulocyte count;
decreased haptoglobin; hemoglobinemia,
and hemoglobinuria )
• schistocytes ( fragmented RBCs ) are present
MECHANICAL CAUSES:
SHEARING STRESS ON RBC
Microvascular: “microangiopathic hemolytic
anemia”
diseases with widespread formation of
thrombi ( clots ) in microcirculation; red
blood cells are torn as they pass through
clots
fragments = schistocytes
1. disseminated intravascular coagulation
(DIC )
2. thrombotic thrombocytopenic purpura –
hemolytic uremic syndrome ( TTP – HUS
)
• General approach to anemia – CORRECTED RETIC CT
• General approach to hemolytic anemia
• NO BLEEDING
• CONFIRM HEMOLYSIS – LDH, IB, HAPTOGLOBIN
• ETIOLOGY - PERIPHERAL BLOOD SMEAR
• DIRECT COOMBS TEST
• HEMOGLOBIN ELECTROPHORESIS
• RBC ENZYME STUDIES
Tests for Acquired Nonimmune HAs
• (CBC, PBS, Urine hemosiderin,
• Copper/Ceruloplasmin, CD55/59)
• Hereditary Spherocytosis – (+) spherocytes, (-) DAT
• G6PD Deficiency – low G6PD levels; avoid stress inducers
• PNH – low CD 55/CD 59; Ecaluzimab
• Secondary Iron Overload ; Muscle Breakdown
TAKE HOME MESSAGE
REFRENCES
• HARRISONS 18TH EDITION
• A P I TEXTBOOK 9TH EDITION
• ROBBINS PATHOLOGIC BASIS OF DISEASE
8TH EDITION
• Current medical diagnosis and treatment 2011
• MEDSCAPE
• UPTODATE
Hemolytic anemia

Hemolytic anemia

  • 1.
    Approach to HemolyticAnemia PRESENTOR : ABHINAV KUMAR MODERATOR :DR.NARAYAN SWAMY
  • 2.
    OBJECTIVES 1. Identify generaldiagnostic findings of hemolytic anemia 2. Describe a classification system for hemolytic anemias: a. Hereditary anemias ( defects within RBC ) b. Acquired anemias ( external causes ) Sickle Cell Anemia a. identify clinical complications b. identify diagnostic findings c. describe treatment of sickle cell disease: health care maintenance; painful crisis
  • 3.
    OBJECTIVES 4. Thalassemias describe populationsmost affected beta thalassemia major: describe complications; diagnostic findings beta thalassemia minor ( trait ): describe clinical and diagnostic findings define the 4 types of alpha thalassemia 5. Glucose-6-phosphate dehydrogenase ( G6PD ) deficiency a. identify populations affected with disease b. identify causes of acute hemolytic crises c. describe clinical presentation
  • 4.
    OBJECTIVES 1. Autoimmune hemolyticanemias a. identify major causes of " warm" and "cold" autoimmune hemolytic anemias b. describe how the following tests can help diagnose autoimmune hemolytic anemias: direct antiglobulin test ( direct Coomb’s test ) cold agglutinin titer c. describe clinical presentation d. describe emergency treatment for rapidly developing/ and or severe autoimmune hemolytic anemia 2. Identify hemolytic anemias occurring due to mechanical shearing of RBCs
  • 5.
    HEMOLYTIC ANEMIAS Definition: • Increaseddestruction of RBC outside the bone marrow resulting in shortened RBC lifespan • Destruction may be within vessels( intravascular ) within the spleen ( extravascular ) or both.
  • 6.
    Measures of Hemolysis •Reticulocyte (normal 0.5-2 %), MCV • Serum LDH • Indirect bilirubin • RBC morphology- Spherocytes, Schistocytes Target Cells, Acanthocytes, Sickle Cells, Agglutination, Mixed fields • Erythroid hyperplasia, m:e 1:1 • Chromium RBC survival
  • 7.
    Measures of Hemolysis •Intravascular Hemolysis • Decreased haptoglobin and hemopexin(20-40 ml/day) • Plasma hgb >50 mg/dl, looks pink • Urine-distinguish hgb from myoglobin • Methemalbumin elevated (5-10 days) • Urinary hemosiderin (7+ days) • Extravascular Hemolysis • Decreased haptoglobin • Normal plasma hemoglobin • Increased LDH • Ancillary studies • Coomb’s tests • Hgb /Electrophoresis • Membrane /Osmotic fragility • Metabolism /G6PD
  • 8.
    CLASSIFICATION OF HEMOLYTICANEMIAS INTRACORPUSCULAR DEFECTS EXTRACORPUSCULAR FACTORS HEREDITARY •HEMOGLOBINOPATHIES •ENZYMOPATHIES •MEMBRANE- CYTOSKELETAL DEFECTS •FAMILIAL HEMOLYTIC UREMIC SYNDROME ACQUIRED •PAROXYSMAL NOCTURNAL HEMOGLOBINURIA •MECHANICAL DESTRUCTION [MICROANGIOPATHIC] •TOXIC AGENTS •DRUGS •INFECTIOUS •AUTOIMMUNE
  • 9.
    •SERUM HAPTOGLOBIN 25 mg/dL • serum LDH,  total bilirubin, indirect bilirubin •HEMOLYTIC ANEMIAS •Hemoglobin electrophoresis •Direct antiglobulin (Coomb’s) test •HbS •other hemoglobinopathies •HbC, HbSC, HbD etc. •sickle cell anemia •NEG •POS •Peripheral blood smear •autoimmune •hemolytic anemia •POS •NEG •platelets• •nml •G-6-P-D deficiency •spherocytosis •heterozygotes •homozygotes •Nml CBC •NEG •POS •Sickle RBC •PT, PTT, D-dimers • •nml •Prosthetic heart valve •DIC •TTP - HUS •schistocytes •Work-up of Normocytic Anemias •Absolute Retic Count >100,000/L
  • 10.
    HEMOLYTIC ANEMIAS I. GENERALDIAGNOSTIC FINDINGS A. increased reticulocyte count ( % reticulocytes /total RBC ) absolute reticulocyte count is more accurate: allows correction for anemia -decreased RBC count in denominator falsely increases reticulocyte count. absolute reticulocyte count = % reticulocytes x RBC/uL absolute reticulocyte count > 100,000/uL = hemolytic anemia
  • 12.
    HEMOLYTIC ANEMIAS I. GENERALDIAGNOSTIC FINDINGS B.increased serum unconjugated bilirubin (hyperbilirubinemia ) product of breakdown of hemoglobin released by lysed RBC heme is enzymatically converted in macrophages to bilirubin, which is then transported in plasma by albumin unconjugated bilirubin has not been metabolized (conjugated to glucuronic acid )
  • 13.
    HEMOLYTIC ANEMIAS I. GENERALDIAGNOSTIC FINDINGS C. decreased serum haptoglobin serum haptoglobin binds free hemoglobin complex is rapidly cleared haptoglobin level decreases
  • 14.
    HEMOLYTIC ANEMIAS I. GENERALDIAGNOSTIC FINDINGS D. increased lactate dehydrogenase: released upon lysis of RBC both intravascular and extravascular hemolysis are associated with above findings- only intravascular hemolysis is associated with: E. hemoglobinuria ( increased hemoglobin in urine ) F. hemoglobinemia ( increased free hemoglobin in blood )
  • 15.
    II. CLASSIFICATION OFHEMOLYTIC ANEMIAS A. DEFECTS WITHIN RBC ( hereditary ) 1. synthesis of structurally abnormal hemoglobin e.g.SICKLE CELL ANEMIA 2. decreased synthesis of globin chains ( structurally normal ) e.g.THALASSEMIAS 3. enzyme abnormalities e.g.GLUCOSE-6-PHOSPHATE DEHYDROGENASE DEFICIENCY 4. RBC membrane abnormalities e.g.hereditary spherocytosis
  • 16.
    II. CLASSIFICATION OFHEMOLYTIC ANEMIAS B. EXTERNAL CAUSES OF HEMOLYTIC ANEMIAS (acquired) 1. Immune Mediated a. autoimmune disease : e.g. systemic lupus erythematosus b. infections ( e.g. Mycoplasma pneumoniae ) c. drugs d. WBC malignancies ( e.g. chronic lymphocytic leukemia ) e. idiopathic ( cause unknown ) 2. Mechanical trauma a. disseminated intravascular coagulation b. prosthetic heart valves 3. Parasitization of RBC
  • 17.
    Laboratory Evaluation ofHemolysis Extravascular Intravascular HEMATOLOGIC Routine blood film Reticulocyte count Bone marrow examination Polychromatophila Erythroid hyperplasia Polychromatophilia Erythroid hyperplasia PLASMA OR SERUM Bilirubin Haptoglobin Plasmahemoglobin Lactate dehydrogenase Unconjugated , Absent N/ (Variable) Unconjugated Absent (Variable) URINE Bilirubin Hemosiderin Hemoglobin + 0 0 + + + severe cases
  • 18.
  • 19.
    Case 1 • 3yr old male child presenting with pallor,jaundice, • Severe pain of long bones, fever • CBC-anemia,reticulocytosis,increased WBC • LAB - LDH -600 (normal upto 200) S.bilirubin- 5mg%
  • 20.
  • 21.
    HEREDITARY HEMOLYTIC ANEMIAS SICKLE CELLANEMIA FORMS: (autosomal recessive inheritance ) Homozygotes: sickle cell disease ( median life expectancy 5th decade- forties ) no normal, mature Hgb ( have Hgb S instead of normal Hgb A ): 1/400 African American births ( also seen in other groups; e.g. Caucasians ) Heterozygotes: sickle cell trait – in 8-10% African Americans ( normal lifespan ) 60% Hgb is normal ( Hgb A) and mature; 40% of Hgb is Hgb S enough normal Hgb to prevent most complications which develop in homozygotes
  • 24.
    HEREDITARY HEMOLYTIC ANEMIAS COMPLICATIONS OFSICKLE CELL DISEASE Chronic Hemolytic Anemia Mean RBC lifespan = 17 days Hgb = 6-10 gm/dL; Reticulolyte count = 3- 15% AGE AT PRESENTATION: 1. may present in infancy 2. 61% by 2 years 3. 96% by 8 years Most Common Presenting Symptoms: 1. dactylitis ( acute pain in hands and/or feet ) 2. acute painful crisis ( to be discussed ) 3. splenic sequestration ( to be discussed )
  • 26.
    SICKLE CELL DISEASE PAINFULCRISIS A. Precipitating events: deoxygenation; infection ( and fever ); dehydration; stress; menses; cold; alcohol consumption; often no identifyable cause widespread occlusion in microvasculature B. Clinical presentation often severe pain most typically: back, chest,extremities abdomen other symptoms: fever, swelling, tenderness, increased respiratory rate, nausea and vomiting (may last a few hours – 2 weeks )
  • 27.
    SICKLE CELL DISEASE:COMPLICATIONS INFECTION A. lackof protection from bacterial infection normally provided by spleen splenic macrophages engulf activation of alternative complement pathway ) 1. in early childhood, spleen is enlarged and congested with abnormal RBC 2. infarction of spleen occurs by adolesence or early adulthood (from vasoocclusion by abnormal RBC: “autosplenectomy”)
  • 29.
    SICKLE CELL DISEASE: COMPLICATIONS INFECTION NOTE:splenic infarction can develop at high altitude in patients with sickle cell trait occurs more commonly in Caucasians rather than patients of African ancestry
  • 30.
    SICKLE CELL DISEASE: COMPLICATIONS INFECTIONCONTINUED: B. Infection is important cause of death in children: (young children are treated prophylactically with penicillin ) C. Patients have increased episodes of pneumonia, sepsis, meningitis osteomyelitis D. Vulnerable for infections by encapsulated bacteria:Streptococcus pneumoniae; Hemophilus influenzae type b Other important bacteria causing infection: Salmonella and Staphylococcus aureus (osteomyelitis )
  • 31.
    SICKLE CELL DISEASE: COMPLICATIONS PULMONARYCOMPLICATIONS both acute and chronic problems occur: a leading cause of death ACUTE CHEST SYNDROME: 30% patients Symptoms: shortness of breath, chest pain, fever, increased respiratory rate, leukocytosis, infiltrate on chest x-ray
  • 32.
    Life-threatening extreme deoxygenation inblood ( hypoxemia) can result in widespread vaso-occlusion and failure of multiple organs  ”crash” can be associated with infection Streptococcus pneumoniae Hemophilus influenzae type b Mycoplasma pneumoniae Chlamydia pneumoniae Consequences
  • 33.
    SICKLE CELL DISEASE: COMPLICATIONS Neurologic: seizures30% transient ischemic attack 11% cerebral infarction ( 54%- peaks in young children and adults > 29yrs cerebral hemorrhage ( 34%- peaks in adults in twenties )
  • 34.
    SICKLE CELL DISEASE: COMPLICATIONS Renal:abnormal function of renal tubules (concentrating ability etc. ) infarction of renal papilla results in hematuria (blood in urine ) homozygotes may also have glomerular disease AND may develop chronic renal failure NOTE: heterozytotes: episodes of hematuria; impaired concentrating ability of renal tubules (less severe and presents later than in homozygotes); may have increased # of urinary tract infections
  • 35.
    SICKLE CELL DISEASE:COMPLICATIONS Priapism: prolonged, painfulerection Incidence: 6 –42% peak ages: 5-13yrs and 21-29 yrs (may occur in pre-adolescent males) Bone: 1. significantly increased production of RBC in bone marrow expands itbossing of forehead” 2. infarction of bone secondary to vaso- occlusione.g. aseptic necrosis of femoral head; extreme pain may be associated with infarction 3. osteomyelitis ( infection of bone)
  • 37.
    SICKLE CELL DISEASE: COMPLICATIONS LegUlcers: ( “ stasis ulcers” ) 1. major cause of disability- frequent, chronic, resistant to treatment 2. increased incidence in teenagers; at medial or lateral malleolus 3. Associated with occlusion and stasis in skin microvasculature 4. Infection
  • 39.
    SICKLE CELL DISEASE: COMPLICATIONS CardiacComplications: 1. chronic anemia compensated by high cardiac output resulting in enlargement of heart ( cardiomegaly ) and decreased cardiac reserve 2. heart at increased risk of going into failure with transfusions and fluid overload 3. myocardial infarction may occur 4. “Cor pulmonale” ( necrosis of lung tissue; pulmonary hypertension caused by chronic hypoxia )
  • 40.
  • 41.
    SICKLE CELL DISEASE: COMPLICATIONS Splenicsequestration • occurs in young children • spleen is significantly enlarged and congested with red blood cells • shock can occur due to significantly decreased blood volume ( hypovolemia )
  • 42.
    CASE Splenomegaly secondary toacute sequestration crisis in a 20-month-old female with sickle cell disease: An enlarged spleen was palpated on physical examination.
  • 43.
    Note the spleenoutlined by the adjacent bowel Note how the spleen is on the left and does not cross the midline •NORMAL SIZED SPLEEN IN AN ADULT
  • 44.
    spleen is enlargeddue to extreme sequestration of abnormal sickled red blood cells within it SPLEEN IN YOUNG CHILD WITH SPLENIC SEQUESTRATION CRISIS
  • 45.
    SICKLE CELL DISEASE:COMPLICATIONS Retinopathy  •Occlusion of retinal vessels: hemorrhage and eventual detachments visual loss Aplastic crisis: temporary; caused by Parvovirus B19
  • 46.
    SICKLE CELL DISEASE: COMPLICATIONS note:patients with sickle cell trait at higher risk of rhabdomyolysis : 1. prolonged physical conditions ( e.g. a military recruit undergoing a long march ) 2. during exercise at high altitude
  • 47.
    DIAGNOSIS OF SICKLECELL ANEMIA Note: only homozygotes have abnormal CBC and sickle cells on peripheral blood smear 1. sickle cells seen on peripheral blood smear 2. Hgb = 6-10gm/dL; reticulocyte count = 3- 15% 3. MCV = normocytic ( 80-100fL ); may be macrocytic due to reticulocytes 4. hemoglobin electrophoresis: abnormal band seen (called Hgb S ): both homozygotes and heterozygotes 5. solubility test ( homozygotes and heterozygotes ) 6. prenatal diagnosis: DNA analysis of fetal cells ( e.g. chorionic villus sampling ) 7. testing of all neonates occurs in most states in the US currently
  • 48.
    TREATMENT OF SICKLECELL DISEASE HEALTH CARE MAINTENANCE Immunization of children against • Streptococcus pneumoniae; • Hemophilus influenzae type B; • hepatitis B virus, and • influenza virus ( immunization important for patients with splenectomy in general ) prophylactic penicillin for children 5yrs years and less 125 mg penicillin V orally 2X/day until 2-3 years, then 250 mg penicillin V orally 2X/day through 5 years
  • 49.
    HEALTH CARE MAINTENANCE 3.Hydroxyurea : increases production of fetal Hgbdecreases mortality due to sickle cell disease if hydroxyurea alone does not give good treatment response, add erythropoietin. 4. assess and treat a febrile child immediately: physical exam; CBC,urine culture; chest x- ray- hospitalization, blood culture and lumbar puncture ( to assess for meningitis ) may be needed
  • 50.
    HEALTH CARE MAINTENANCE 5.education: e.g.parents instructed how to detect early signs of infection and enlarging spleens in young children; genetic counseling 6. folate supplements: rapid turnover of RBC increases demand for folate dose: 1mg oral folate/day
  • 51.
    HEALTH CARE MAINTENANCE 7.Transcranial doppler ( TCD ) to assess blood flow velocity in large intracranial vessels; can predict patients at risk for stroke At Increased risk: chronic exchange transfusions of packed red blood cells; is protective against stroke serial testing is needed normal flow velocity on a single test does not “assure continued low risk status” 8. Retinal evaluation begun at school age ( due to ocular complications: e.g. early, proliferative sickle retinopathy)
  • 52.
    CURATIVE THERAPY • Successfulbone marrow ( or hematopoietic stem cell) transplant from a HLA-matched sibling • Cord blood stem cells from a sibling are also used for transplantation
  • 53.
    TREATMENT OF COMPLICATIONS PAINFUL CRISIS: “MOHA”:Morphine; Oxygen; Hydration; Antibiotics 1. relieve severe pain rapidly and safely ( narcotics typically needed; avoid respiratory depression ) IV MORPHINE often given first patient controlled analgesia delivered via a pump: basal continuous rate of morphine with a bolus that can be delivered to the patient if the patient needs it, at a specified dose and interval note:can also be given orally or as rectal suppository
  • 54.
    a. hydromorphone hydrochloride( Dilaudid ): can be given orally, by injection, or as a suppository b. fentanyl citrate (Sublimaze): can be given as IV infusion or worn as a patch Other narcotic drugs:
  • 55.
    TREATMENT OF COMPLICATIONS Drugs withlow risk for respiratory depression: a. ketorolac ( Toradol )bone pain note: is given by injection or orally over 5 days with H2 blocker because of severe GI side effects ) b. tramodol hydrochloride( Ultram): may be used for outpatient management of painful crisis: given orally; low risk for abuse or addiction 2. give OXYGEN 3. HYDRATION with oral or IV fluid 4. evaluate for infection and give ANTIBIOTIC if present
  • 56.
    TREATMENT OF COMPLICATIONSOF SICKLE CELL DISEASE Priapism:( painful, prolonged erection: may persist for very long time ) 1. IV hydration and pain medication: if persists 12 hrs 2. partial exchange transfusion (to decrease abnormal Hgb) 3. Surgical Intervention (urologist)
  • 57.
    Indications for Transfusion: 1.Aplastic crisis: to increase oxygen carrying capacity of blood 2. Splenic sequestration and hypovolemia: to expand blood volume 3. Before surgery ( to decrease perioperative complications ) 4. Acute chest syndrome:widespread deoxygenation and vaso-occlusionmulti-organ failure 5. Stroke prevention in high risk patients ( chronic exchange transfusions given ) 6. Avoid transfusing to Hgb much above 10gm/dL to avoid hyperviscosity and occlusive complications
  • 58.
    CASE 2 • 6yr old child presenting with severe pallor,jaundice growth delay • Abnormal facies,hepatosplenomegaly+ • h/o recurrent blood transfusions • CBC-Hb -3gm%, MCV-58FL(Nl-86-98), -MCH- 19pg (nl-28-33) P.S- MICROCYTIC,HYPOCHROMIA with target cells +
  • 59.
  • 60.
  • 61.
    THALASSEMIAS PATIENTS AFFECTED Mediterranean (Greece; Italy ), Southeast Asian, Asian Indian, African extraction PATHOGENESIS OF THALASSEMIAS 1. decreased synthesis of alpha or beta globin chains of hemoglobin 2. severity depends on extent of decreased chain production 3. beta thalassemias: decreased production of beta chains 4. alpha thalassemias: decreased production of alpha chains
  • 63.
    PATHOGENESIS OF THALASSEMIA MAJOR Severedeficiency of globin chain production: • globin chain produced is in excess and can’t find complementary chain • precipitates • toxic to RBC • RBC membrane defect • impairs DNA synthesis • abnormal RBCs made in bone marrow
  • 64.
    • vast majorityof RBCs produced in bone marrow are “rejects”, • destroyed in bone marrow • only few RBC released into circulation • Many RBC released are hemolyzed in spleen • profound anemia • spleen enlarges
  • 65.
    PATHOGENESIS OF THALASSEMIA MAJOR betathalassemias more severe than alpha thalassemias: • excess of alpha globin chains made with beta thalassemias  MORE TOXIC • excess of beta globin chains made with alpha thalassemias LESS TOXIC
  • 66.
    BETA THALASSEMIAS BETA THALASSEMIAMAJOR ( homozygotes ) Presentation: • 4-12 months (after fetal hemoglobin disappears) • pallor; irritability; growth retardation; jaundice • scleral icterus due to hyperbilirubinemia • abdominal swelling due to hepatosplenomegaly ( hepatosplenomegaly due to RBC destruction and attempts at production of RBCs in these organs )
  • 67.
    BETA THALASSEMIA MAJOR Complications: 1.bony abnormalities ( initially of skull and face ) significant expansion of bone marrow occurs due to extreme attempts to produce RBC cortex thinned new bone formed on external aspect of skull
  • 68.
    “crew haircut” or“hair on end” appearance of skull on x-ray due to perpendicular radiations of new bone formation on the outer table
  • 69.
    large maxilla withmalocclusion:”chipmunk facies"
  • 70.
    BETA THALASSEMIA MAJOR Complications: 2.bilirubin gallstones ( due to hyperbilirubinemia: increased serum unconjugated bilirubin: 2-4mg/dL ) 3. profound anemiaheart failure; death in early childhood if untreatedtreated by regular blood transfusions 4. IRON OVERLOAD – secondary hemochromatosis a. causes: regular transfusions increased absorption of iron from GI tract b. consequences: iron accumulates in various organs and is toxic i. chronic liver failure with fibrosis ( cirrhosis ) ii. endocrine organ involvement  results in hormonal insufficiency iii. cardiac disease ( cardiomyopathy ) results in heart failure; arrhythmias
  • 71.
    BETA THALASSEMIA MAJOR DiagnosticFindings: 1. CBC: Hgb 3-4gm/dL; severe hypochromia ( decreased MCH) and severe microcytosis (decreased MCV) 2. peripheral blood smear: target cells (RBCs have a “bull’s eye” appearance ) 3. prenatal diagnosis: DNA study of fetal cells
  • 73.
    BETA THALASSEMIA MAJOR Treatment: •Regular packed RBC transfusions to maintain Hgb level at 9-10gm/dL • Iron chelation therapy with deferoxamine - prevent iron overload • Splenectomy when transfusion requirements very excessive immunizations and prophylactic penicillin needed as with sickle cell disease
  • 74.
    BETA THALASSEMIA MAJOR •frequent monitoring of cardiac function • folic acid supplementationincreased RBC production in bone marrow • good screening; genetic counseling; prenatal diagnosis • bone marrow or stem cell transplantation donated by HLA-matched relative: only chance for cure • stem cell transplantation: harvesting progenitor blood cells in peripheral blood
  • 75.
    BETA THALASSEMIA MAJOR Prognosis: 1.survival significantly shortened 2. 3rd decadeif transfusion therapy performed with iron chelation 3. bone marrow or stem cell transplant only chance for cure
  • 76.
    BETA THALASSEMIAS BETA THALASSEMIAMINOR ( TRAIT ): heterozygotes 1. asymptomatic or symptoms of mild anemia: may be discovered on routine exam in older children or adults 2. during pregnancy, anemia often more severe and transfusions may be necessary important to distinguish from iron deficiency anemia: iron can worsen anemia HOWEVER: if a patient with thalassemia minor develops iron deficiency anemia, “ they should not be denied iron”: www.uptodate.com- (10/13/09)
  • 77.
    USE OF IRONSTUDIES TO DIFFERENTIATE BETWEEN: Iron Deficiency Anemia - Anemia of Chronic Disease - Thalassemia Minor SERUM IRON FERRITIN TIBC Iron Deficiency Anemia    Anemia of Chronic Dz  NL or   Thalassemia Minor NL or  NL or  NL
  • 78.
    BETA THALASSEMIAS BETA THALASSEMIAMINOR ( TRAIT ): heterozygotes 3. diagnostic findings a. mild anemia ( Hgb rarely < 10gm/dL) b. striking microcytosis ( MCV < 75fL: as low as 55fL ) and hypochromia ( decreased MCH ) c. abnormal pattern on hemoglobin electrophoresis ( increased Hgb A2; is not always present ) d. iron studies: total iron binding capacity normal iron and ferritin normal or may be increased ( due to mild iron absorption from GI tract ) e. peripheral blood smear: target cells f. normal or increased RDW; normal reticulocyte count 4. iron therapy won't help ( may worsen anemia )
  • 79.
    BETA THALASSEMIAS BETA THALASSEMIAINTERMEDIA Some clinical manifestations of thalassemia major presenting later in life due to chronic hypoxia iron overload ( heart failure,pul Htn) less transfusion dependent Note: hydroxyurea, which is used in the treatment of sickle cell disease to stimulate fetal Hgb synthesis is helpful in some patients with beta thalassemia intermedia
  • 80.
    THALASSEMIAS ALPHA THALASSEMIAS 1. alphathalassemia minima: MCV may be slightly low; patients asymptomatic; Hgb electrophoresis normal; important for genetic counseling 2. alpha thalassemia minor: (may be milder than beta thalassemia trait: MCV 60 – 75fL ) MCV often low; hypochromia; target cells; normal Hgb electrophoresis ( no increase in Hgb A2 ) 3. Hbg H disease: chronic hemolytic anemia presenting at birth; neonatal jaundice ( severity like beta thalassemia intermedia ) 1. Hgb Barts: usually death in utero or at birth
  • 81.
    HEMOGLOBINOPATHIES NOTE: patients canhave a combination of sickle cell anemia and thalassemia (beta or alpha): e.g. sickle cell trait/ beta thalassemia minor Other anemias with hemoglobin mutations and abnormal structure exist: e.g. Hgb C; Hgb SC; Hgb D; Hgb G In general: hemoglobinopathies are hemolytic anemias in which the Hgb is abnormal in structure or amount
  • 82.
    CASE 3 • 45yr old male came to opd in a remote PHC with burning micturition • Urine R/M shows numerous pus cells++++ • UTI diagnosed & medical officer gave cotrimoxazole 2 bd X 5days • 1 wk later,pt developed severe pallor,palpitation,jaundice • Lab- increased LDH, S.BILIRUBIN,RETIC COUNT • P.S- shows irreg cells like
  • 83.
  • 84.
  • 85.
    Diagnosis? • G-6PD DEFICIENCY •INVESTIGATION- • Peripheral smear- bite cells,heinz bodies, - polychromasia G-6PD LEVEL BEUTLER FLUORESCENT SPOT TEST- Positive-if blood spot fails to flouresce in U V
  • 86.
    GLUCOSE-6-PHOSPHATE DEHYDROGENASE DEFICIENCY (G6PD deficiency) Pathogenesis: deficiencyof the G6PD enzyme increases susceptibility of RBC to oxidative damage • antimalarial drugs (e.g. Primaquine); • sulfonamides; • nitrofurantoin; • fava beans; • diabetic ketoacidosis • infections ( ex. viral hepatitis; pneumonia; Salmonella; Ecoli; beta-hemolytic Streptococci; Rickettsia );
  • 87.
    Definitive risk Possiblerisk Doubtful risk antimalarials Primaquine Dapsone cholrproguanil chloroquine quinine Sulphonamides/ sulphones Sulphametoxazole Dapsone Sulfasalazine Sulfadimidine Sulfisoxazole Sulfadiazine Antibacterials/ Antibiotics Cotrimoxazole Nalidixic acid Nitrofurantoin Ciprofloxacin Norfloxacin Cholramphenicol p-Aminosalicylic acid Antipyretic/ Analgesics Acetanilide Phenazopyridine [pyridium] Acetylsalicylic acid High dose[>3g/d] Acetylsalicylic acid [<3g/d] Acetaminophen
  • 88.
    GLUCOSE-6-PHOSPHATE DEHYDROGENASE DEFICIENCY (G6PD deficiency) Incidence:x-linked recessive inheritance typically affects males; female carriers are rarely affected different disease variants; most common variants of disease: 1. G6PD A-: 10-11% African Americans; moderate enzyme deficiency 2. G6PD Mediterranean: Middle East; more severe enzyme deficiency
  • 89.
    Clinical Presentation: intermittentacute hemolytic episodes and is healthy with normal CBC in between episodes self-limited acute hemolytic crisis occuring within hours – a few days of exposure to oxidant stressor • self- limited because only old RBC are lysed: when only “younger RBC” remain, episode is over symptoms: • sudden onset of jaundice, • Pallor • dark urine (due to hemoglobinuria) with or without abdominal and back pain
  • 90.
    Clinical Presentation: patienthas intermittent acute hemolytic episodes • abrupt fall in Hgb by 3- 4gm/dL • increased unconjugated bilirubin reticulocytosis is present upon recovery (within 5 days after onset ) • Favism: occurs in young children in Italy or Greece ( with more severe form of G6PD deficiency ); presentation hours after consumption of fava beans results in a fatal anemia if children are not transfused )
  • 91.
    • Assay canassess enzyme function • “bite cells”- oxidized denatured Hgb “puddles” to 1 side of the RBC, leaving a clear zone adjacent to the RBC membrane on the opposite side which looks like a “bite” in an “oreo cookie”
  • 92.
    GLUCOSE-6-PHOSPHATE DEHYDROGENASE DEFICIENCY (G6PD deficiency) Treatment: 1.avoidance of drugs precipitating hemolytic crises 1. during hemolytic crisis: a. transfuse if anemia is sufficiently severe b. withdraw precipitating agent
  • 93.
    2. Pyruvate KinaseDeficiency  AR  Deficient ATP production, Chronic hemolytic anemia  Clinical features o hydrops fetalis o neonatal jaundice o compensated hemolytic anemia  Inv • P. Smear: PRICKLE CELLS ( Contracted rbc with spicules) Decreased enzyme activity
  • 94.
  • 95.
    Disorders of CationTransport • Autosomal dominant inheritance • Increased intracellular sodium in red cells, with concomitant loss of potassium (pseudohyperkalemia). • Some familiesassociated with gain of water red cells are overhydrated (low MCHC) • Blood smear the normally round-shaped central pallor is replaced by a linear-shaped central pallor • stomatocytosis.
  • 96.
    • Other families,redcells are instead dehydrated (high MCHC) • their consequent rigidityxerocytosis. • missense mutations of the SLC4A1 gene encoding band 3 give stomatocytosis. • Hemolysismild to quite severe. • Splenectomy is contraindicated severe thromboembolic complications.
  • 97.
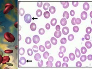
    CASE 4 • 14YR old female present with anemia, jaundice • Rt hypochondrial pain • o/e- vitals stable.pallor+,icterus+,splenomegaly + • Usg- cholilithiasis • Lab:elevated LDH, S.Bilirubin • Peripheral smear shows-
  • 99.
    Differential diagnosis • Hereditaryspherocytosis • Autoimmune hemolytic anemia • Other diagnostic tests- osmotic fragility - coombs test
  • 100.
    HEREDITARY SPHEROCYTOSIS Pathophysiology: 1. structural defectin RBC membrane spheroidal shape and lack of deformability of RBC 2. hemolysis in spleen results from lack of deformability.
  • 102.
    HEREDITARY SPHEROCYTOSIS NOTE ON ADDITIONALSIGNIFICANCE OF SPHEROIDAL SHAPE OF RBCs: spheroidal shape is associated with a increased concentration of Hgb per RBC area Mean cell hemoglobin concentration (MCHC) is increased
  • 103.
    HEREDITARY SPHEROCYTOSIS Incidence: highest inpeople of Northern European extraction: 1/5000 Clinical Presentation and Course: major clinical features: anemia, splenomegaly jaundice variation in severity: from asymptomatic to presentation at birth Treatment:Splenectomy
  • 104.
    ACQUIRED HEMOLYTIC ANEMIAS AUTOIMMUNEHEMOLYTIC ANEMIAS Pathogenesis: Autoantibodies directed against RBCs are bound to RBCs and increase clearance of RBCs in spleen by macrophages: antibody binds to receptors on splenic macrophages and causes macrophages to phagocytize the RBCs activation of complement by autoantibody may also occur
  • 105.
  • 106.
    AUTOIMMUNE HEMOLYTIC ANEMIAS Classification: I. “Warm”Autoimmune Hemolytic Anemia autoantibodies preferentially reacting at body temperature A. primary ( no known cause )- many cases have no known cause
  • 107.
    AUTOIMMUNE HEMOLYTIC ANEMIAS Classification: I. “Warm”Autoimmune Hemolytic Anemia B. Secondary (known causes) 1. malignancies of white blood cells ( e.g. chronic lymphocytic leukemia ) 2. autoimmune disease ( e.g. SLE) 3. drugs: many a. penicillin; cephalosporins ( antibiotics ) especially after very large intravenous dose; sulfonamides b. alpha-methyl dopa ( anti-hypertensive drug used in pregnancy ) 1% patients on alpha methyl dopa have clinically significant disease c. various other drugs: e.g. NSAIDs; quinine/quinidine 4. viral infections ( usually in children )
  • 108.
    AUTOIMMUNE HEMOLYTIC ANEMIAS Classification: II. “Cold”Autoimmune Hemolytic Anemia autoantibodies preferentially react at cold temperatures (4-18oC) A. chronic: typically cause is unknown; WBC malignancies ( e.g. lymphoma ) may be a known cause ) B. acrocyanosis: dark, purple-grey discoloration of fingertips, toes, nose, and ears due to RBC agglutination at cold temperature
  • 110.
    AUTOIMMUNE HEMOLYTIC ANEMIAS Classification: II. “Cold”Autoimmune Hemolytic Anemia autoantibodies preferentially react at cold temperatures (4-18oC) A. acute: post-infectious 1. Mycoplasma pneumoniae ( primary atypical pneumonia ); Epstein Barr Virus 2. abrupt onset occurring during recovery; self limited; typically clinical findings of cold autoimmune hemolytic anemia not present
  • 111.
    AUTOIMMUNE HEMOLYTIC ANEMIAS Diagnostic Findings: POSITIVEDIRECT ANTIGLOBULIN TEST ( direct Coomb’s test ): detection of autoantibodies on patient’s RBC CBC: a. mild –severe decrease in Hgb b. increased reticulocyte count cold agglutinin titer increased in cold autoimmune hemolytic anemia: e.g. acute, post- infectious autoimmune hemolytic anemias ( with Mycoplasma pneumonia )
  • 113.
    CLINICAL FEATURES • slightjaundice and scleral icterus • Pallor • may have shortness of breath or dyspnea on exertion • Splenomegaly • presentation can vary in mode of onset and severity: a. gradual; patients relatively asymptomatic b. rapid development with severe anemia and severe symptoms e.g. high-output heart failure
  • 114.
    AUTOIMMUNE HEMOLYTIC ANEMIAS Treatment: (symptomatic,unstable disease ) 1. Immunosuppressive therapy a.corticosteroids (prednisone): first line therapy b.cytotoxic drug therapy: cyclophosphamide: azathioprine (if dependence on high dose of prednisone or side effects) 2. splenectomy: removes primary site of RBC destruction 3. If a drug is causing hemolysis, terminate drug
  • 115.
    AUTOIMMUNE HEMOLYTIC ANEMIAS Treatment: (ofsymptomatic, unstable disease ) for rapidly developing and/or severe anemia: • transfusion with packed RBC is needed Hgb <7gm/dL (or higher in patient with preexisting cardiac disease): Patient can develop high output cardiac failure and pulmonary edema, MI, and/or cardiac arrythymias due to severe hypoxemia patient may also need oxygen therapy
  • 116.
    AUTOIMMUNE HEMOLYTIC ANEMIAS Treatment: cold agglutinindisease: prevention • patients should avoid cold and dress warmly even in summer
  • 117.
    PARASITIZATION OF RBC malarialparasites: Plasmodium falciparum, vivax, malariae, or ovale pathogenesis: parasite is engulfed by RBC after binding RBC receptor takes over RBC metabolic machinery ingests Hgb bursts out of RBC cycle repeats again
  • 119.
    Case 5 • 32yr old presented 4 days history of distention of abdomen and rt hypochondrial pain and has h/o passage of dark colored urine at night for weeks • On USG- hepatomegaly,gross ascites,hepatic vein thrombosis Lab : Hb – 7gm%. WBC- 2200, PLC- 80,000 LDH- 600, S.BR- 4 mg% urine bile pigment +,heme dip stick++ What is the diagnosis?
  • 121.
    Paroxysmal nocturnal hemoglobinuria •Acquired chronic H.A • Persistent intra vascular hemolysis • Pancytopenia • Lab :hburia,hemosiderinuria,increased LDH,bilirubin • Risk of venous thrombosis • C/F – hemoglobinuria during night • P.S – polychromatophilia, normoblasts • B.M – normoblastic hyperplasia • Def.diagnosis-flow cytometry CD59-,CD55- RBC,WBC - Hams’ acidified serum test
  • 122.
    Case 6 • 25yr old male with RHD – severe MRMVR done,after 10 days presented with pallor, palpitation,jaundice CBC shows Hb – 7.5 gm %, Hct -22 % Lab : S.bilirubin -4.5mg% LDH -600 Retic count 10% Peripheral smear –
  • 123.
  • 124.
    MECHANICAL CAUSES: SHEARING STRESSON RBC Macrovascular: • prosthetic heart valves: (10% artificial aortic prosthesis) turbulent blood flow through narrow openings occurs, causing RBC shearing (e.g. seen with paravalvular leaks) • anemia can be severe: 5-7gm/dL • diagnostic findings of intravascular hemolysis are present ( increased reticulocyte count; decreased haptoglobin; hemoglobinemia, and hemoglobinuria ) • schistocytes ( fragmented RBCs ) are present
  • 125.
    MECHANICAL CAUSES: SHEARING STRESSON RBC Microvascular: “microangiopathic hemolytic anemia” diseases with widespread formation of thrombi ( clots ) in microcirculation; red blood cells are torn as they pass through clots fragments = schistocytes 1. disseminated intravascular coagulation (DIC ) 2. thrombotic thrombocytopenic purpura – hemolytic uremic syndrome ( TTP – HUS )
  • 126.
    • General approachto anemia – CORRECTED RETIC CT • General approach to hemolytic anemia • NO BLEEDING • CONFIRM HEMOLYSIS – LDH, IB, HAPTOGLOBIN • ETIOLOGY - PERIPHERAL BLOOD SMEAR • DIRECT COOMBS TEST • HEMOGLOBIN ELECTROPHORESIS • RBC ENZYME STUDIES Tests for Acquired Nonimmune HAs • (CBC, PBS, Urine hemosiderin, • Copper/Ceruloplasmin, CD55/59) • Hereditary Spherocytosis – (+) spherocytes, (-) DAT • G6PD Deficiency – low G6PD levels; avoid stress inducers • PNH – low CD 55/CD 59; Ecaluzimab • Secondary Iron Overload ; Muscle Breakdown TAKE HOME MESSAGE
  • 127.
    REFRENCES • HARRISONS 18THEDITION • A P I TEXTBOOK 9TH EDITION • ROBBINS PATHOLOGIC BASIS OF DISEASE 8TH EDITION • Current medical diagnosis and treatment 2011 • MEDSCAPE • UPTODATE