RENAL PATHOLOGYBY HAZEM ABO SHOUSHA
1. Renal pyramid
2. Interlobar artery
3. Renal artery
4. Renal vein
5. Renal hilum
6. Renal pelvis
7. Ureter
8. Minor calyx
9. Renal capsule
12.Interlobar vein
13.Nephron
14.Renal sinus
15.Major calyx
16.Renal papilla
Bowman's capsule
Proximal convoluted tubules
Loop of Henle’s
Distal convoluted tubules
Collecting ducts
Bowman’s
capsule
Epithelial cells
Mesangial cells
GBM Glomerular capillary
+ ++ +++ +++++ +++++
+++++
Selective
proteinuria
(albuminuria)
Non-selective
proteinuria
(subnephrotic
range)
Heavy proteinuria
(Nephrotic syndrome)
- >3.5 g/d proteinuria
- Hypoproteinemia
- Generalized edema
- Hyperlipidemia
- Lipiduria
- hypercoagulability
Nephritic syndrome
- Hematuria
(dysmorphic)
- RBCs cast
- Non heavy proteinuria
usually <1g/d
- hypertension
- Oliguria
- Azotemia
RPGN
Crescentic GN
- Rapidly progressive
renal failure
- Crescent >50%
- Fibrin deposition
Degree Of Glomerular Injury:
1. selective proteinuria (albuminuria)
2. Non-selective proteinuria (subnephrotic range)
3. Nephrotic syndrome
4. Macroscopic hematuria
5. Nephritic syndrome
6. Rapidly progressive glomerulonephritis RPGN
7. Chronic glomerulonephritis
Nephrotic syndrome:
• It is a clinical presentation characterized by:
i. Heavy proteinuria (3.5 or more-gram protein 124 hrs in adults)
ii. Hypoproteinemia
iii. Generalized edema
iv. Hypercholesterolemia and Lipiduria
Pathogenesis:
• Heavy proteinuria: due to initial derangement of the glomerular capillary wall which result in increase
in capillary permeability with daily heavy loss of protein in urine.
• Hypoproteinemia: is secondary to daily heavy loss of protein
• Generalized edema: is due to decrease in serum protein (Hypoproteinemia) with subsequent
decrease in plasma osmotic pressure. This will lead to escape of fluid in the interstitial tissue (edema)
with subsequent hypovolemia and diminished glomerular filtration rate. This will lead to
compensatory secretion of aldosterone leading to salt and water retention (generalized edema).
• hyperlipidemia: is due to the triggering effect of hypoalbuminemia leading to increase synthesis of
lipoproteins in the liver
• Lipiduria: is due to increase GBM permeability to lipoproteins
Macroscopic hematuria:
• Brown/red painless hematuria typically coincides with intercurrent infection
• Asymptomatic hematuria ± proteinuria
IgA nephropathy
Nephritic syndrome:
• It is a clinical syndrome characterized by:
i. Hematuria with RBCs casts
ii. Proteinuria (variable degrees but usually ⩽ 1 gm/day)
iii. Oliguria and azotemia
iv. Hypertension
v. Mild edema
Pathogenesis
• It is an acute glomerular injury. Lesions causing nephritic syndrome have in
common proliferation of endocapillary cellularity (Mesangial and endothelial
cells) and associated with leukocytic infiltration. Inflammatory reaction injures
the capillary wall, permitting escape of RBCs and proteins in urine (hematuria
and proteinuria). At the same time increased Mesangial cellularity compress
capillary Lumina and inducing hemodynamic changes that lead to reduction of
GFR that manifested clinically by oliguria with fluid retention and azotemia.
• Hypertension results from fluid retention and renin release from such ischemic
kidney.
Rapidly progressive glomerulonephritis RPGN
• It is a clinic-pathological syndrome, characterized clinically by rapid
and progressive loss of renal function associated with severe oliguria,
leading to acute renal failure. It is characterized histologically by
presence of crescents in more than 50% of the glomeruli
Pathogenesis
Injury of capillary wall leads to escape of plasma.
proteins, fibrin and inflammatory cells to
Bowman's capsule. This will lead to proliferation of
parietal cells with infiltration of macrophages and
interstitial fibroblasts leading to crescent
formation. Crescents eventually obliterate
Bowman's space and compress the glomeruli.
Chronic glomerulonephritis:
• It is the end-stage of a variety of glomerular diseases which result in
irreversible impairment of renal functions. It constitutes 35-50% of
end-stage renal disease that require chronic dialysis or renal
transplantation.
• Patient may present with hypertension and uremia and will needs life
long dialysis or transplantation.
PATHOGENESIS OF
GLOMERULONEPHRITIS
Immune
mechanism
Ab mediated
injury
Ag-Ab
complex
circulatin
complex
in-situ
complex
fixed planted
cytotoxic Ab
cell
mediated
injury
complement
mediated injury
Non Immune
mechanism
metabolic
e.g. DM
hemodynamic e.g.
HTN
glomerular
ablation deposition
e.g. Amyloidosis
IMMUNE MECHANISM OF GN
I.Ab mediated injury
Ag-Ab (immune) complex
• It is the main cause of primary glomerular injury in more than 70% of cases.
The antigen is either foreign (extrinsic) antigen which is the commonest or
normal constituent (intrinsic) as DNA which is rare.
• Whatever the nature of the antigen, it stimulates antibody production leading
to formation of immune complexes. These complexes form in the circulation
then trapped and deposited in the glomeruli (circulating immune complexes),
or form primarily in the glomeruli (in-situ immune complexes).
• These immune complexes could be detected by fluorescence
microscope (FM) and electron microscopy (EM). Two forms of immune
complexes associated injury have been established:
(1) Circulating immune complex nephritis
(2) in-situ immune complex nephritis
1.Circulating immune complex nephritis;
(type III) hypersensitivity reactions.
The antigen is not glomerular in origin; it may be endogenous (e.g. DNA) or
exogenous (e.g. bacterial antigen). Antigen-antibody complexes are formed in the
circulation and trapped in the glomeruli where they activate complement and induce
glomerular injury. Glomerular injury is may be in the form of proliferation of
endothelial, Mesangial and parietal cells with leukocytic infiltration.
2. ln-situ immune complex nephritis
Antibodies react directly with:
• Fixed: normal glomerular antigen (GBM antigen) leading to anti GBM
disease
• Planted: non-glomerular antigen (whether self antigen as DNA or foreign
Ags) deposited within the glomerulus leading to in-situ immune complex
nephritis.
Circulating immune complex nephritis
in-situ immune complex nephritis
Fixed Planted
Fate of the immune deposits:
• If the inciting antigen is short lived and limited, immune complexes will be
degraded by infiltrating monocytes and Mesangial cells with subside of
inflammation (most cases of post-streptococcal GN).
• If there is repeated exposure the antigen, there are repeated cycles of
immune complex formation with continuous progressive glomerular injury
PATHOGENESIS OF
GLOMERULONEPHRITIS
Immune
mechanism
Ab mediated
injury
Ag-Ab
complex
circulatin
complex
in-situ
complex
fixed planted
cytotoxic Ab
cell
mediated
injury
complement
mediated injury
Non Immune
mechanism
metabolic
e.g. DM
hymodynamic e.g.
HTN
glomerular
ablation deposition
e.g. Amyloidosis
PATHOGENESIS OF
GLOMERULONEPHRITIS
Immune
mechanism
Ab mediated
injury
Ag-Ab
complex
circulatin
complex
in-situ
complex
fixed planted
cytotoxic Ab
cell
mediated
injury
complement
mediated injury
Non Immune
mechanism
metabolic
e.g. DM
hymodynamic e.g.
HTN
glomerular
ablation deposition
e.g. Amyloidosis
Cytotoxic antibodies
Antibodies have direct cytotoxicity as:
• Antibodies to visceral epithelial antigen. Autoantibodies to epithelial cell
antigen leading to loss of their foot processes and detachment from GBM.
• Anti-endothelial ceil antibody (AECA). Autoantibodies against endothelial
antigens leading to vasculitis and GN
PATHOGENESIS OF
GLOMERULONEPHRITIS
Immune
mechanism
Ab mediated
injury
Ag-Ab
complex
circulatin
complex
in-situ
complex
fixed planted
cytotoxic Ab
cell
mediated
injury
complement
mediated injury
Non Immune
mechanism
metabolic
e.g. DM
hymodynamic e.g.
HTN
glomerular
ablation deposition
e.g. Amyloidosis
PATHOGENESIS OF
GLOMERULONEPHRITIS
Immune
mechanism
Ab mediated
injury
Ag-Ab
complex
circulatin
complex
in-situ
complex
fixed planted
cytotoxic Ab
cell
mediated
injury
complement
mediated injury
Non Immune
mechanism
metabolic
e.g. DM
hymodynamic e.g.
HTN
glomerular
ablation deposition
e.g. Amyloidosis
II. Cell mediated injury
•Sensitized T cells play a role in glomerular injury. It
may play a role in some cases of GN through the
action of cytokines. No immune deposits could be
detected.
PATHOGENESIS OF
GLOMERULONEPHRITIS
Immune
mechanism
Ab mediated
injury
Ag-Ab
complex
circulatin
complex
in-situ
complex
fixed planted
cytotoxic Ab
cell
mediated
injury
complement
mediated injury
Non Immune
mechanism
metabolic
e.g. DM
hymodynamic e.g.
HTN
glomerular
ablation deposition
e.g. Amyloidosis
PATHOGENESIS OF
GLOMERULONEPHRITIS
Immune
mechanism
Ab mediated
injury
Ag-Ab
complex
circulatin
complex
in-situ
complex
fixed planted
cytotoxic Ab
cell
mediated
injury
complement
mediated injury
Non Immune
mechanism
metabolic
e.g. DM
hymodynamic e.g.
HTN
glomerular
ablation deposition
e.g. Amyloidosis
III. Complement mediated injury
• Activation of the alternate complement pathway. Here
activation of complement system is not through
formation of immune. complexes.
PATHOGENESIS OF
GLOMERULONEPHRITIS
Immune
mechanism
Ab mediated
injury
Ag-Ab
complex
circulatin
complex
in-situ
complex
fixed planted
cytotoxic Ab
cell
mediated
injury
complement
mediated injury
Non Immune
mechanism
metabolic
e.g. DM
hymodynamic e.g.
HTN
glomerular
ablation deposition
e.g. Amyloidosis
PATHOGENESIS OF
GLOMERULONEPHRITIS
Immune
mechanism
Ab mediated
injury
Ag-Ab
complex
circulatin
complex
in-situ
complex
fixed planted
cytotoxic Ab
cell
mediated
injury
complement
mediated injury
Non Immune
mechanism
metabolic
e.g. DM
hymodynamic e.g.
HTN
glomerular
ablation deposition
e.g. Amyloidosis
PATHOGENESIS OF
GLOMERULONEPHRITIS
Immune
mechanism
Ab mediated
injury
Ag-Ab
complex
circulatin
complex
in-situ
complex
fixed planted
cytotoxic Ab
cell
mediated
injury
complement
mediated injury
Non Immune
mechanism
metabolic
e.g. DM
hymodynamic e.g.
HTN
glomerular
ablation deposition
e.g. Amyloidosis
NON-IMMUNE MECHANISM OF GN
1. Metabolic glomerular injury as in diabetic glomerulosclerosis
2. Hemodynamic glomerular injury as in systemic hypertension and intra-glomerular hypertension as in focal segmental
glomerulosclerosis
3. Glomerular ablation: any renal disease (glomerular or non glomerular) reduces the glomerular filtration rate (GFR) to
about 30%-50% of the normal will lead to progressive glomerulosclerosis of the remaining glomeruli
4. Deposition diseases as in renal amyloidosis
Morphological Classification of GN
Morphological Classification of GN
Light Microscopy
Diffuse
lesion
means that
all the
glomeruli are
affected
Focal lesion
means that
< 50% of the
glomeruli are
affected while
the others
looked normal
Global
lesion
means that
the entire
glomerulus is
affected.
Segmental
lesion
means that the
lesion involves
one segment
within the
affected
glomerulus.
Focal
segmental
lesion
means that
< 50% of the
glomeruli are
affected and
only segments
of these
glomeruli are
involved.
Fluorescence
Microscopy
Granular
pattern
as in cases of
circulating
immune
complex
nephritis and in-
situ immune
complex
nephritis
against planted
antigens
Linear
pattern
only in case of
in-situ immune
complex
nephritis
against
glomerular
antigen
(glomerular
basement
membrane
antigen)
Electron
Microscopy
Change in
podocyte
site of deposition of
immune complexes
Mesangial
deposits
Sub-
endothelial
deposits
between
endothelial
cells and GBM
Sub-
epithelial
deposits
between the
outer surface
of the,GBM
and the
podocytes
Intra-
membranous
deposits
within the
lamina densa
of the GBM
possible light microscopic picture of the glomeruli in glomerular diseases:
1. Normal glomeruli
2. Glomerular hypercellularity which may be due to:
• increase in mesangial cells
• infiltration of the glomeruli by inflammatory cells (neutrophils)
• proliferation of parietal cells leading to crescent formation
3. Thickening of GBM
4. Increase glomerular cellularity with thickening of GBM
5. Glomerular sclerosis
6. Deposition of foreign material as in amyloidosis
Fixed Planted
Mesangial deposits Sub-epithelial deposits Sub-endothelial deposits Intra-membranous deposits
Factors determining the site of deposition of immune
deposits:
1. Molecular charge and size
2. Integrity of the charge-selective barrier in the glomeruli
3. Changes in glomerular hemodynamics
4. Mesangial functions
Clinical manifestation of glomerular
disease:
1. Acute nephritic syndrome
2. Nephrotic syndrome
3. Asymptomatic proteinuria and/or hematuria
4. Rapidly progressive glomerulonephritis (RPGN)
5. Acute renal failure
6. Chronic renal failure
Nephrotic syndrome Nephritic syndrome
Minimal change disease +++++ -
Membranous GN ++++ +
Diabetic nephropathy ++++ +
Amyloidosis ++++ +
Focal segmental glomerulosclerosis ++++ +
Membranoproliferative GN +++ +
IgA nephropathy +++ +++
SLE +++ +++
Acute post-infectious GN + ++++
Crescentic GN + ++++
ACUTE NEPHRITIC SYNDROME
Causes of nephritic syndrome:
1.infection (primary), either due to streptococcal infection, or infection by other
organisms, so classified into:
 Post-streptococcal GN
 Non-streptococcal GN (certain pneumococcal and staphylococcal
Infections, some viral infection as HCV, and HBV)
2.Secondary to systemic disease: SLE, schistosomiasis
Post-streptococcal GN
(acute diffuse proliferative GN)
It is a common disorder especially among children that usually follows infection of
the skin or upper respiratory tract by nephritogenic strains of the β-hemolytic
streptococci (type 12, 4, 1)
pathogenesis: Circulating immune complexes activate the
complement inducing glomerular injury
Clinical picture:
abrupt onset 1-4 weeks after upper respiratory tract or skin infection leading to:
o Nephritic syndrome (gross hematuria, proteinuria, periorbital edema, hypertension,
oliguria and, azotemia)
o Low serum complement level (hypocomplementenemia)
o High titer: of anti-streptolysin O (ASO) in serum
Microscopy
o LM: diffuse increase in Mesangial cells with infiltration by neutrophils leading to
compression of capillary Lumina (bloodless glomeruli).
 May be associated with crescent formation (proliferation of parietal cells lining
Bowman's capsule).
o FM: granular deposits of IgG and C3 along capillary wall
o EM: scattered large sub-epithelial deposits shaped like "humps",
Prognosis and fate:
o Usually it carries good prognosis, however it depends on the patient's age, causative
agent and presence of crescents:
1. Good prognosis occurs if it occurred among children following streptococcal infection
with absence of crescents. Recovery occurs in about 90% of cases after several weeks.
Few cases develop rapidly progressive GN or chronic renal disease.
2. About 15%-50%develop chronic GN within few years if it occurs among adults because
it is usually secondary (non-streptococcal) and if there are crescents.
Rapidly progressive GN
RPGN
Crescentic GN
TYPES:
- Type I RPGN: anti-GBM nephritis
- Type II RPGN: any immune complex GN may lead to RPGN as
o Post-infectious GN:
 Post-streptococcal G.N.
 Non post-streptococcal G.N.
o Systemic diseases-as Systemic lupus erythematosus (S.L.E).
Type I RPGN: anti-GBM nephritis:
It is an autoimmune disease where auto-antibodies bind along
GBM collagen Many cases are characterized by severe
glomerular damage with crescent formation and development
of acute renal failure.
Goodpasture syndrome
It is acute fulminating disorder where there is anti-GBM nephritis with
pulmonary hemorrhage
 Pathogenesis: The injury of glomerular capillary wall is associated with injury of
pulmonary alveolar basement membrane wall due to formation of anti-GBM antibodies
that cross react with alveolar basement membrane
“THE LUNGS GAVE THE
IMPRESSION OF HAVING BEEN
INJECTED WITH BLOOD
THROUGH THE BRONCHI SO
THAT ALL THE AIR SPACES
WERE FILLED”
ERNEST GOODPASTURE;
Goodpasture EW. The significance
of certain pulmonary lesions in
relation to the etiology of influenza.
Am J Med Sci 1919;158:863-70.
Nephrotic syndrome
PRIMARY
Minimal change
disease
Focal segmental
glomerulosclerosis
(FSGS)
Membranous
GN
Membrano-
proliferative GN
(MPGN)
Mesangio-
proliferative GN
as IgA
nephropathy
SECONDARY
Diabetes mellitus Amyloidosis
Systemic lupus
erythematosus
(SLE)
Infections
(HBV,malaria,
schistosomiasis)
Others (due to
drugs, malignancy,
hereditary)
Minimal Change Disease
Minimal Change Disease
It is the main cause of NS among children (80% of NS
among children younger than 15) and less frequently
among adults.
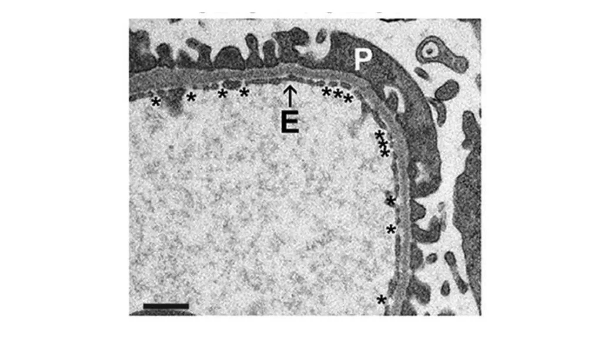
 Characterized by: normal looking glomeruli with LM and diffuse loss of
epithelial foot processes by EM
Pathogenesis:
Primary epithelial injury which is not due to deposition of immune complexes (no immune
complex deposition could be detected). Certain clinical features such as association with
atopy, viral infections and dramatic response to corticosteroids suggest disorders in T-
Lymphocytes. The current evidence suggests that there is disorder in T-cells with elaboration
of cytokines that affect synthesis of nephrin (nephrin is a glycoprotein which is considered
the major component of slit diaphragm between adjacent loot processes) leading to
epithelial cell injury (loss of podocytes) with loss of glomerular polyanion.
Clinical picture:
Nephrotic syndrome, no hypertension or hematuria
Microscopy:
o LM: normal looking glomeruli
o FM: no deposits
o EM: diffuse loss of epithelial foot processes Prognosis and fate: good
prognosis with excellent response to corticosteroid therapy in more than
90% of affected children, and less figures among adults.
Focal segmental glomerulosclerosis (FSGS)
It is responsible for NS in 15% of adults and children
 Characterized histologically by: focal and segmental obliteration of
capillary loops by increased collagen (sclerosis) and accumulation of lipid
and proteinaceous material
Types:
- Primary (idiopathic)
- Secondary: associated with infection by HIV virus heroin
addiction, or as a component of glomerular ablation
Pathogenesis
Injury to epithelial cells is its hallmark that leads to focal hyper-
permeable foci leading to entrapment of plasma proteins and lipids.
This results into mesangial cell reaction with increased mesangial
matrix.
The recurrence of proteinuria in patients with FSGS receiving renal
allograft within 24 hours after transplantation suggest a circulating
mediator for the epithelial damage
Characterized histologically by: focal and segmental obliteration
of capillary loops by increased collagen (sclerosis) and
accumulation of lipid and proteinaceous material
Clinical picture: non-selective proteinuria which may progress to
NS, may be hypertension and hematuria
Microscopy:
oLM: Some glomeruli show segmental obliteration of
capillary loops with increased mesangial matrix, collapsed
GBM and accumulation of lipids and proteinaceous
material.
o FM: usually negative
oEM: focal segmental increased in mesangial matrix with
Prognosis and fate:
poor response to corticosteroids with progression to renal failures
within 10 years in about 50% of cases.
• The lesion tends to recur in renal allograft.
Membranous GNIt is the most frequent cause of NS among adults in Western countries
 Characterized by: diffuse deposition of immune complexes in the sub-
epithelial zone of glomerular capillaries
 Types:
- Primary (idiopathic)
- Secondary: to Chronic hepatitis (B & C) infection, schistosomiasis, DM,
autoimmune diseases as SLE, certain drugs, certain malignancies
especially carcinoma and melanoma
Pathogenesis:
It is immune complex mediated diseases where immune
complexes are diffusely deposited subepithelially in absence
of inflammatory cells. Injury of the glomerular capillary wall
is induced by activation of the complement system through
the action of to C5-9 (membrane attack).
 Clinical picture: NS, sometimes non-nephrotic range non-selective proteinuria
Microscopy:
o LM: diffuse thickening of GBM, normal glomerular cellularity
o FM: typical granular deposits of immunoglobulins and complement
along the GBM.
o EM: diffuse regular sub-epithelial deposits
Prognosis and fate:
Prognosis and fate: proteinuria usually does not respond to
corticosteroids, however, it is usually having indolent course
and only about 40% of patient progress to renal failure.
Membranoproliferative GN (MPGN)
It accounts about 5%-10% of cases of primary NS in children and adults.
 Characterized by: glomerular hypercellularity with thickening of GBM
Types:
A.According to the etiology it may be:
- Primary (idiopathic)
- Secondary: to certain diseases as SLE, chronic hepatitis B&C
infection, chronic liver diseases and certain malignancy.
A.According to distinct EM and IF findings, it may be:
- Type I MPGN (most common)
- Type II MPGN (dense deposit disease); rare
Clinical picture: both types presents mainly by
NS, sometimes with non-nephrotic range
proteinuria
Microscopy:
o LM: In both types glomeruli are diffusely enlarged, hyper-cellular due to mesangial
proliferation and infiltrated leukocytes with diffuse thickening of GBM that displayed
double contour (tram-track appearance) by silver stain.
o FM:
 Type I: displays granular deposits of immunoglobulins and complement along the
capillary wall and mesangium.
 Type II: displays granular deposition of C3 along the capillary wall with absence of
immunoglobulin deposition.
o EM: focal segmental increased in mesangial matrix with prominent injury of overlying
podocytes.
 Type I: displays sub-endothelial electron dense deposits.
 Type II: displays ribbon-like dense deposits within GBM
Pathogenesis:
 Type I: caused by circulating immune complexes.
 Type II: is considered as an autoimmune disease, The serum of
these patients has a factor called C3 nephritic factor (an
autoantibody) which can activate the alternate complement
pathway with elaboration of biologically active complement
fragments.
Prognosis and fate:
both types have poor prognosis, more than 50% of them progress
to chronic GN after 10 years.
 Type II has tendency to recur in renal allograft.
IgA Nephropathy (Berger’s Disease)
It is the most common glomerular disease worldwide.
It Is one of the most common causes of recurrent microscopic or gross hematuria
Characterized by: Intense deposition of IgA
Age: The peak incidence is among children and young adults
Pathogenesis:
there is increased synthesis of IgA resulting in their trapping within the
glomeruli. These patients have genetic or acquired abnormality of immune
regulation, leading to increased mucosal IgA synthesis in response to
respiratory or gastrointestinal exposure to environmental agents (Viruses,
bacteria, food proteins). IgA and IgA complexes then trapped within the
mesangium where they activate alternate complement pathway and initiate
glomerular injury.
Clinical picture: Is variable
 Most commonly, gross hematuria occurs within 1-2 days of non-specific upper
respiratory tract infection. Typically, hematuria lasts several days then
subsides. It recurs every few months and often associated with loin pain.
 But may be presented with proteinuria and even NS in less than 10% of cases.
Microscopy:
oLM: not specific. The glomeruli commonly show mesangial proliferation.
oFM: intense mesangial staining for IgA.
oEM: electron dense deposits within the mesangium.
Prognosis and fate:
usually have remitting relapsing course, rarely resolves, but many
patients maintain normal renal functions for decades. Fifty
percent (50%) of cases slowly progress to chronic renal failure
within 20 years.
Chronic Glomerulonephritis
Chronic Glomerulonephritis
Most glomerular disease, with the possible exceptions of uncomplicated
minimal change disease and thin basement membrane nephropathy, can
progress to chronic glomerular sclerosis with progressively declining kidney
function and, eventually, to ESRD. Chronic glomerular disease is the third
leading cause of ESRD in the United States after diabetic and hypertensive
kidney disease. It constitutes 35-50% of end-stage renal disease that require
chronic dialysis or renal transplantation.
Glomerulonephritis which are commonly progressed to chronic GN are:
1. RPGN (90%)
2. Membranous GN (40%)
3. MPGN (50%)
4. FSGS(50%)
5. lgA nephropathy (50%)
6. ldiopathic (20%)of cases
Morphology
o GROSSLY: (JAR)***
 The kidneys are small, symmetrically contracted with diffusely granular external
surface.
 Cut sections, the cortex is narrow and atrophic cannot differentiate from renal
medulla with formation of multiple small cysts (honey-comb appearance)
oMICROSCOPIC:
 Glomeruli: most of them are completely hyalinized or sclerozed.
 Tubules are atrophic
 Interstitium is fibrosed
 Small and medium sized blood vessels show arteriolar sclerosis secondary
to hypertension
Clinical Picture:
hypertension & uremia
Prognosis & Fate:
Patient will continue his life on dialysis or undergo renal transplantation.
DISEASES OF RENAL TUBULES
Acute Tubular Necrosis (ATN)
• ATN is a clinicopathological entity characterized by destruction of
tubular epithelial cells associated with acute suppression and
deterioration of renal function. It is the most common cause of acute
renal failure. ATN is usually reversible. It occurs in a variety of clinical
settings.
Classification:
• Ischemic ATN
• Nephrotoxic ATN
Ischemic ATN
• his occurs in cases of hypovolemia and shock where there is reflex renal vasoconstriction which
when severe and for prolonged time cause necrosis of the renal tubular epithelium.
• Tubular epithelial cells with their high rate of energy-consuming metabolic activity and numerous
organelles, are particularly sensitive to hypoxia, which cause rapid depletion of intracellular ATP in
the tubular epithelium.
• Ischemic ATN is characterized by patchy individual cell necrosis within some proximal and distal
tubules. These single necrotic cells are shed into the tubular lumen with occlusion of tubular
lumens by casts. It is accompanied by focal rupture of basement membrane.
Nephrotoxic ATN
• It is caused by drugs such as gentamycin and other antibiotics,
radiographic contrast agents, poisons, including heavy metals (e.g.
mercury) and organic solvents (e.g. carbon tetrachloride). It is
characterized by extensive necrosis along proximal tubules that is
most sensitive to the toxin, with intact basement membrane and
occlusion of tubular lumens by casts.
Clinical picture:
Initial phase It represents the period between tubular injury and the development of
acute renal failure. There is slight decline of urinary output associated with a
rise in the blood urea nitrogen (BUN) i.e. (azotemia). This period lasts for 36
hours.
Maintenance
phase
At this phase urine output falls dramatically (40-400 cc/day). Patients present
with acute renal failure with signs and symptoms of uremia and fluid over
load. This phase lasts from 2-6 days
Recovery
phase
At this phase" there is a steady increase of urine output reaching up to 3
liters/day over the course of few days. Then renal functions improve. It is
associated with an increase in the concentrating ability of the-tubules, Blood
urea nitrogen (BUN) and creatinine levels
begin to return to normal.
Prognosis & Fate:
• It is better in nephrotoxic type, about 95% of the cases recover. On
the other hand, the prognosis is bad in ischemic type, where death
complicates more than 50% of cases of shock especially those
associated with sepsis or burns.
II: Tubulo-interstitial diseases
• infectious (urinary tract infection)
• Non-infectious (drugs, toxins, metabolic, neoplastic)
URINARY TRACT INFECTION “UTI”
UTI
Lower UTI
Cystitis Uretheritis
Upper UTI
Pyelonephritis
Lower UTI
Source of infection:
1. Ascending infection
2. Hematogenous infection
1
2
Ascending infection
• It is the MOST COMMON source of infection
Etiology:
• The principal causative organisms are enteric gram -ve bacilli.
• E.Coli is the most common one. Other important organisms are
species Proteus, Klebsiella, Enterobacter and Pseudomonas.
Pathogenesis:
• Colonization of the distal urethra (and the introits in female) by gram-negative bacteria
• The organism must gain access to the bladder, moving against the flow of urine.
• In males this may occur during urethral instrumentation, including catheterization and cystoscopy.
• In females short urethra, and repeated urethral trauma during sexual intercourse facilitate entrance of bacteria
to the urinary bladder.
• Urinary outflow obstruction at the level at urinary bladder (as in BPH and uterine prolapsed)
• bladder dysfunction (as in DM lead to incomplete emptying and increased residual volume of the bladder).
• This allow bacteria that introduced into the bladder to multiply and to induce lower urinary tract
infection (cystitis).
Age & sex:
• During the reproductive period: females are commonly than males due to:
• Short urethra
• Absence of anti-bactericidal properties of bladder mucosa in females
• Repeated sexual trauma
• In the old age males are commonly affected than females due to
• Repeated instrumentation (catheterization) following, urinary obstruction due to
enlarged prostate (BPH)
♂♀﹥
Other predisposing factors:
• Urinary tract obstruction and stasis of urine by: congenital valves in
the ureters or in the urethra, stones, enlarged prostate, tumors, or
pregnancy.
• Diabetes mellitus due to neurogenic bladder and lowered body
resistance and instrumentation.
• Immunosuppression
Hematogenous infection
 It is less common than ascending infection. It occurs by seeding of
bacteria during septicemia and infective bacterial endocarditis.
The condition is facilitated by ureteral obstruction and the use of
immunosuppressive drugs. The causative organisms are mainly
Staphylococci
 It is the way through which Bilharziasis induce cystitis
Cystitis
Types of cystitis
ACUTE
Clinical picture:
- Dysuria.
- Frequency.
- Urgency.
- supra-pubic pain.
- hematuria.
CHRONIC
chronic non-specific
Is due to
persistence of
infection or as a
sequel of acute
infection.
chronic specific
TB cystitis
results from descending infection
from tuberculosis of the kidney and
characterized by caseating
granulomatous reaction and fibrosis.
Bilharzial cystitis
Bilharzial Cystitis:
Grossly: (JAR)***
• Early
• the mucosa is congested.
• Then displays sandy patches.
• multiple polypi (simple or branched)
• or nodules and few superficial ulcers (moth eaten appearance).
• Late stages lead to “contracted calcified bladder" which may be
associated. with strictures at the ureteric orifices.
Description:
• A thick walled urinary bladder, with a dilated cavity.
• The mucosa is granular, showing opaque dirty yellow raised
patches formed of a fibrotic submucosa packed with calcified ova
with atrophy of the overlying epithelium.
Microscopically:
• is characterized by deposition of bilharzias ova within the lamina propria
and extending to the muscle layer, surrounded by localized or diffuse
granulomatous reaction.
• The urothelium may show reactive hyperplasia with formation of:
• von Brunn's nests,
• cystitis cystica
• cystitis glandularis.
• In some cases there is squamous metaplasia (precancerous lesion).
 Clinical picture of chronic cystitis:
Similar to acute cystitis
UPPER URINARY TRACT INFECTION
PYELONEPHRITIS
Inflammation of renal parenchyma and renal pelvis.
classification of
pyelonephritis
Types
Acute Chronic
Pathogenesis
Ascending
infection
Hematogenous
infection
Ascending infection
• The common route of infection
• start with lower urinary tract infection
• Then infection ascend from the bladder to the ureter through
incompetence of the vesicouretral orifice (vesico ureteric reflux)
which is mandatory.
• This incompetence is either:
• Congenital
• Secondary to persistent increase in Intravesical pressure.
• then infected urine propel up to the renal pelvis and further to
renal parenchyma through open ducts at the tips of the papillae
(intrarenal reflux)
Hematogenous infection
• Less common, but it is the main way in case of tuberculous infection
Acute Pyelonephritis
• It is an acute suppurative inflammation of renal parenchyma and
renal pelvis by bacterial infection.
Gross pathology (JAR)***
• One or both kidneys may be affected.
• The size is normal or slightly enlarged.
• There are discrete yellowish abscesses on the external renal surface.
These abscesses are
• haphazardly arranged
• or it might be present on the upper and lower poles
• or may form a single large area of suppuration.
• Renal pelvis and calyces are hyperemic with hemorrhagic and
suppurative foci.
Microscopic pathology
there are abscesses in the interstitial tissue and tubules. The glomeruli are usually not affected.
Description :
• An enlarged swollen kidney
• The external surface shows yellow foci of suppuration slightly raised above
the surface
 Cut surface
• Both the cortex and medulla show haphazardly distributed discrete focal
abscesses as well as larger areas of coalescent suppuration, all surrounded by
hyperemia.
• The mucosa of the renal pelvis is edematous, congested, partially ulcerated
and covered by suppurative inflammatory exudate.
Description :
• The kidney is swollen.
• The external surface shows foci of suppuration (abscesses).
• The Abscesses are multiple, small-sized and subcapsular in location.
• Each abscess is formed of a central yellow area of suppuration
surrounded by a zone of hyperemia (red).
Diagnosis: Pyemic abscesses of the kidney.
Clinical features
• It manifests itself by:
1. Sudden onset of pain at the costo-vertebral angle, fever, chills, and malaise.
2. Pyuria (urine contains casts of pus).
3. Bacteruria (urine contains casts of bacteria).
4. Manifestations of LUI (dysuria, frequency, and urgency)
With appropriate treatment the disease follows a benign course with healing by fibrosis that
leads to depressions in the kidney surface, associated with deformities in the pelvicalycial
system.
In diabetics and those with urinary tract obstructions, the following
Complication may develop:
1. Chronic pyelonephritis due to recurrent infection.
2. Papillary necrosis (necrotizing papillitis) especially noticed in diabetics.
3. Pyonephrosis (pyelonephritis associated with complete obstruction of
the ureter and accumulation of pus in the renal pelvis, calyces, and
interstitial tissue the kidney will be transformed into a bag full of pus).
4. Peri renal abscess due to rupture of the capsule.
Chronic pyelonephritis
• It is characterized by gross visible scarring and deformity of the renal
parenchyma and the pelvicalyceal system.
• It is essentially the result of repeated attacks of inflammation and
healing and consequently it is an important cause of end stage renal
failure.
Types
1. Chronic non specific pyelonephritis which is either:
a. secondary to obstruction (chronic obstructive pyelonephritis) or
b. secondary to urine reflux (chronic reflux- associated pyelonephritis)
2. Chronic specific pyelonephritis as in renal tuberculosis
Gross pathology
• The hallmark is large discrete cortico-medullary scars overlying
dilated, blunted, or deformed calyx, mainly present in the- upper or
lower poles.
• In obstructive type, the pelvicalyceal system is inflamed and
distended.
• In non-obstructive type, the pelvicalyceal system is not distended, If
the lesion is bilateral, scarring is asymmetrical.
Microscopically
• Severe inflammatory reaction and fibrosis of the interstitium associated
with fibrosis of mucosa of the pelvi-calyceal system.
• Atrophy or cystic dilatation of the collecting tubules. Many of the dilated
tubules contain pink to blue glassy-appearing casts known as "colloid casts"
giving them a thyroid-like appearance and hence the descriptive term
"thyroidization".
• Hyaline thickening of the wall of the arterioles (due to hypertension).
Clinical features
• Silent or with symptoms of acute pyelonephiritis
• Secondary hypertension
• Bilateral progressive cases lead to chronic renal failure
Renal TB
• Types:
1. Miliary TB:
• small tubercles, 1-2 mm in diameter
• slightly raised above the surface
• more marked in the cortex.
2. Caseocavernous:
• small foci at the base of the pyramids which enlarge,
• caseate, and spread to involve the calyces and pelvis. Later on,
• foci ulcerate and form Caseocavernous lesions with irregular cavities that become continuous with the renal pelvis
and affecting cortex and medulla.
• Obstruction of the ureter with caseous material will lead to tuberculous pyonephrosis, where the kidney is
transformed into a bag full of caseous material.
• Infection may spread to the urinary bladder.
Clinical Features
1. Hematuria.
2. Dysuria, frequency, urgency and nocturia due to bladder and
urethral irritation.
3. Chronic renal failure if bilateral .
Urolithiasis (Renal stones)
• Stones are formed at any level of the Urinary collecting system, but
most arise in the kidney (Nephrolithiasis)
• Males > females, with incidence 20-30 years
• Familial and hereditary tendency is an important factor in stone
formation.
Predisposing factors:
• Normally urine contain crystalloid in colloid solution if imbalance occur → supersaturation will
occur → crystalloid will precipitated to stone
1. Reduction in urine volume e.g. dehydration
2. Excessive excretion of crystalloids in urine leading to hypercalciurla. uricosuria, oxaluria, or cystinuria.
3. Urinary tract infection especially that associated with urea-splitting organisms (proteus vulgaris and
staphylococci). This infection causes alkalinity of urine that favour phosphate precipitation. Also bacteria
and necrotic tissue offer a nidus for stone formation. In Egypt schistosomiasis is very important
predisposing factor for stone formation.
4. Obstruction of urine outflow by enlarged prostate & tumors causes stagnation of urine and excessive re-
absorption of water with relative rise in the concentration of crystalloids. In turn stagnation leads to
infection because it gives bacteria ample time to multiply.
5. Avitaminosis e.g. vitamin A deficiency which causes desquamation of the lining epithelium acting as a
nidus for stone formation.
Types of
stones
Calcium
stones (75%)
Calcium
oxalate
Calcium
phosphate
Infection
stones (15%)
Uric acid
Stone
Occurs in 25% of
patients having
hyperurecemia and
gout but most patients
have neither of them
(idiopathic)
Cystine
stones (1%)
only 1% of
stones, occur
exclusively in
hereditary
cystinuria
 caused by infection
• Most likely associated with clinical symptoms
• In the presence of urea-splitting bacteria as Proteus species the resulting alkaline medium favors precipitation
of magnesium ammonium phosphate (struvite)(triple) and calcium phosphate (apatite)
• They vary from soft and friable to hard stones
• Stones filling the pelvicalyceal system referred to stag horn stone
Effects & complications:
1. Renal colic.
2. Hematuria from trauma and ulceration, especially in small stones with
spiky external surface, e.g. oxalate stones.
3. Infection e.g. cystitis arid/or pyelonephritis
4. Obstruction causing hydronephrosis and/or hydroureter.
5. Chronic irritation leading to squamous metaplasia which is precancerous.
Description:
• A slightly enlarged kidney with irregular external surface.
• Cut surface
• The renal pelvis and calyces are dilated, and occupied by a large branching staghorn stone.
• The stone is brown in color, hard in consistency and its surface is smooth.
• The renal pelvis and calyces are lined by suppurative inflammatory exudate.
Diagnosis: Calculous pyelonephritis.
Urinary tract obstruction
• Urinary obstruction is a common cause of renal dysfunction and it is
important to recognize because many of its causes are treatable.
• Obstruction may be sudden or insidious, partial or complete,
unilateral or bilateral
• it may occur at any level of the urinary tract from urethra to the renal
pelvis. The obstruction may be:
1. Acute obstruction: i.e., sudden and complete obstruction leads to
rapid cessation of the urine production due to increase intraluminal
pressure transmitted back to proximal convoluted tubules. If both
kidneys are involved, acute renal failure quickly follows.
2. Chronic obstruction: i.e. insidious, progressive partial obstruction or
intermittent complete obstruction. It is more common and leads to
hydronephrosis.
Hydronephrosis
permanent dilation of the renal pelvis and calyces associated with progressive atrophy of the kidney due to chronic partial or
intermittent complete obstruction to urine outflow. It maybe unilateral or bilateral.
Etiology:
I. Unilateral hydronephrosis:
• Obstruction of one side is due to pathologic processes above
the urinary bladder.
• The causes includes:
1. Causes at the renal pelvis; as:
i. calculi especially staghorn stones.
ii. tumors of renal pelvis.
iii. uretero-pelvic stricture.
2. Causes in the ureter; which may be intrinsic within the ureteric lumen or
extrinsic (compressing from outside).
a. intrinsic factors :
i. ureteric calculi.
ii. ureteric tumors.
iii. chronic ureteritis.
iv. fibrosis as in case of bilharziasis and blood clots.
b. Extrinsic factors compressing the ureter from outside as:
i. Pregnancy.
ii. pelvic tumors.
iii. retroperitoneal fibrosis
II. Bilateral hydronephrosis:
•Obstruction of both sides at the level of:
a. urinary bladder.
b. bladder outlet.
c. Urethra.
d. Bilateral ureteral “rare”.
The causes of Bilateral hydronephrosis:
1. Causes in urinary bladder as:
i. chronic cystitis with fibrosis (as in bilharziasis)
ii. bladder stone obstructing the urethral opening
iii. bladder tumor obstructing urethral opening
iv. neurogenic bladder due to spinal cord damage or in DM
2. Causes in the urethra and bladder outlet which may be intrinsic or
extrinsic.
a. Intrinsic factors as:
i. posterior urethra valve
ii. urethral stricture following urethritis specially due to gonorrhea infection
iii. urethral tumors
iv. stones
b. Extrinsic factors compressing the urethra or bladder outlet as:
i. pelvic neoplasms in the uterine cervix or rectum
ii. enlarged prostate as prostatitis, prostatic, hyperplasia or prostatic carcinoma
Gross pathology:
• Kidney is slightly or massively enlarged.
• Renal pelvis and calyceal system are dilated compressing the renal
parenchyma
• Later the kidney is transformed into a thin-walled cystic structure full
of urine with striking parenchymal atrophy.
Description :
• Markedly enlarged kidney that has been transformed into a thin-walled cystic structure, with
atrophy of the renal parenchyma.
• Cut surface
• Both the cortex and medulla are nearly totally replaced by cystic dilatations leaving only
remnants of renal tissue.
• The renal pelvis and calyces are dilated.
• The upper end of the ureter is dilated and thin walled.
Diagnosis: Hydroureter and hydronephrosis.
Clinical features:
• Unilateral hydronephrosis:
• may remain silent for long periods (asymptomatic) since the unaffected
kidney can maintain adequate renal function.
• Bilateral hydronephrosis:
• presents with hypertension with progressive loss of renal functions.
Complications:
1. Pyonephrosis may occur due to superadded infection. The kidney in
such case is transformed into a bag full of pus. The renal pelvis and
calyces show dirty yellow exudate.
2. Stone formation due to urine stagnation.
TUMORS OF THE KIDNEYS
Tumors of the kidney may arise from renal parenchyma or from renal pelvis.
Classifications
Tumors of renal
parenchyma
Benign "rare"
Oncocytoma Angiolipoma
Malignant
Renal cell
carcinoma
[hypernephroma]
Nephroblastoma
[wilms tumor]
Tumors of renal
pelvis
Urothelial tumors
Renal cell carcinoma (RCC)
• It is the main tumor of the kidney representing about 90% of all malignant renal tumors.
• It arises from tubular epithelium (adenocarcinoma)
• It is most common in the 6th decade of life, however rare cases are diagnosed in children
• Male to female ratio is 2:1.
• Genetic factors may playa role in its causation.
• It has some relationship to pipe, cigar or cigarette smoking.
Gross pathology **JAR
• The tumor may arise from any portion of the kidney, but most
commonly affects ,the poles, particularly upper pole.
• It appears as a spherical mass 3-15cm in diameter, sometimes with
satellites (multifocal).
• C.S reveals a variegated appearance, formed of bright yellow, gray,
and white tissue that distorts renal parenchyma and renal outline
with areas of necrosis and hemorrhages.
• The tumor may invade renal vein.
Description :
• Kidney of an adult showing a large ovoid tumor distorting the renal outline.
• Cut surface shows
• A sharply-defined non encapsulated spherical tumor seen replacing most of the kidney, leaving only
remnants of renal tissue at the lower pole.
• The tumor has a variegated appearance, with yellow areas, dark red foci of hemorrhage, large areas
of opaque gray-white necrosis, areas of softening and small cyst formation.
• The consistency is soft to firm.
Diagnosis: Renal cell carcinoma.
Microscopic pathology **SLIDE
• Tumor cells are arranged in compartments with delicate highly vascular stroma.
• Cells are rounded or polygonal in shape and mostly have abundant clear cytoplasm
(due to glycogen and lipid), and small regular nuclei.
• Areas of necrosis and hemorrhage are also seen.
Renal cell carcinoma
• Renal tissue infiltrated in one area by carcinomatous cells.
• The tumor cells are arranged in solid masses, trabeculae, tubular and papillary structures separated by delicate
fibrovascular connective tissue stroma.
• The carcinomatous cells are large polyhedral with pale vacuolated cytoplasm (due to high lipid content which is
dissolved during preparation).
• Some tumor cells show granular eosinophilic cytoplasm.
• The nuclei are small and hyperchromatic.
• Frequent areas of hemorrhage and necrosis are seen.
Clinical features:
• Painless profuse total hematuria,
• Pain in the costovertebral angle
• Palpable mass.
• The tumor may remain, silent (occult) and manifests itself by lung and
bone metastasis.
• Extra-renal manifestation's as fever, polycythemia, hypercalcemia,
hypertension.
a. Direct spread:
• eroding renal capsule
• renal pelvis
• Calyces
• Ureter
• renal vein.
b. Bl spread through renal V. to the IVC reaching:
• the lung
• Bones
• Brain
• Liver
• adrenals.
c. Lymphatic spread
Tumor spread
Nephroblastoma (Wilms tumor)
• It occurs mainly in children (the 4th most common malignant tumor
in children under the age of 4 years), however rare cases occur in
adults.
• Peak incidence is between 2-5 years.
• It arises from primitive renal blastema cells which may differentiate
into epithelial and mesenchymal component
Gross pathology **JAR
• The tumor appears as a large solitary well circumscribed mass,
however 10% of cases are either bilateral or multifocal
• Cut section is soft, homogeneous and tan to grey with occasional foci
of hemorrhage and necrosis.
Description:
• The kidney of a child showing a huge solitary spherical tumor replacing most of the renal tissue
• Cut surface shows a tumor which is:
• Well circumscribed and non-encapsulated.
• Tan to gray in color with few foci of hemorrhage and necrosis.
• It is fish-flesh in most areas.
• Soft in consistency.
Diagnosis: Wilm's humor (nephroblastoma).
Microscopic pathology
• Tumors are characterized by recognizable attempts to recapitulate
different stages of nephrogenesis.
• Classically the tumor is triphasic composed of:
• Blastema cells.
• Epithelial cells.
• stromal cells.
• Epithelial differentiation is in form of abortive tubules.
Clinical features:
• Large palpable abdominal mass
• (the main presentation)
• Fever, abdominal pain, or intestinal obstruction
• (less common)
Methods of spread
1. Local spread to the surrounding structures due to early invasion of
the capsule.
2. Blood borne metastases to the lung bone, and brain.
3. Lymphatic spread to the regional lymph nodes.
Urothelial tumors (tumors of transitional epithelium)
• The entire urinary collecting system from renal pelvis to urethra is lined by
transitional cells (urothelium).
• Most urothelial tumors occur in the urinary bladder. Urothelial tumors above the
bladder are relatively uncommon.
• Most urothelial tumors are malignant, but their aggressiveness and prognosis
vary, depending on microscopic grade and tumor stage.
• Most urothelial tumors are transitional cell carcinoma, however, rare cases of
squamous cell carcinoma and adenocarcinoma are also reported
Tumors of urinary bladder
1. TCC: most common
2. SCC: on top of squamous metaplasia (bilharziasis)
3. Adenocarcinoma: rare
Transitional tumors
• Risk factors:
• Cigarette smoking (the most Important risk factor)
• Industrial exposure to azo dyes
• Schistosomiasis
• Drugs as analgesics and cyclophosphamide
• Radiation therapy (cervical, prostatic or rectal cancer)
classification
According to WHO (2004)
Papilloma (rare)
Urothelial
neoplasm of low
malignant
potential (rare)
Low-grade
papillary
urothelial
carcinoma
High-grade
papillary
urothelial
carcinoma
According to invasion (tumor stage)
Superficial
tumors (not
invading the
bladder
musculosa)
Invasive tumors
(invading the
bladder
musculosa)
Transitional tumors
Papilloma
• Very rare
• Usually seen in young patients.
• Gross:
• single, 0.5-2 cm in diameter composed of delicate papillae which are
superficially attached to the mucosa by a stalk.
• Microscopic:
• delicate papillary structure, the lining epithelium indistinguishable from
normal urothelium
• When removed, rarely recurred.
Urothelial neoplasm of low malignant potential (rare)
• Gross pathology:
• larger than papilloma.
• Microscopic pathology:
• are similar, to papilloma but the urothelium is thicker and nuclei of cells are
larger mitotic figures are rare. No tissue invasion.
• They may recur after removal.
Low-grade papillary urothelial carcinoma
• Gross pathology:
• always papillary
• Microscopic pathology:
• papillary lesion lined by multiple layers of cells that are slightly
pleomorphic
• Most of them are superficial (not invading the muscle),
• May recur after removal
High-grade papillary urothelial carcinoma
• Gross pathology:
• may be papillary, occasionally are nodular
• Microscopic pathology:
• cells are pleomorphic with large irregular nuclei and frequent mitoses
• Usually invasive (invades the muscular layer)
• Methods of spread of bladder cancer:
• Local to the surrounding structures
• Lymphatic spread to LN
• Blood borne metastases
• Clinical features:
• Painless hematuria
• Dysuria
• Hydronephrosis and/or hydrometer (due to obstruction of vesicoureteric
orifices)
Adult polycystic kidneys
Adult polycystic kidneys
• It is an autosomal dominant anomaly.
• It is bilateral and may be associated with cysts in other organs.
• Renal function is usually maintained until about the fourth or fifth
decade of life.
• It may be asymptomatic until renal failure occurs, or it may lead to
renal colic .
Morphology **JAR
• The two kidneys are markedly enlarged
• The two kidneys appear as masses formed solely of cysts with no
intervening parenchyma.
• Cysts may be filled with clear serous fluid or the fluid may appear,
turbid, red to brown or hemorrhagic.
• The renal pelvis and calyces are atrophied and distorted.
The cause of death:
• Hypertension with its complications.
• Chronic renal failure.
Description :
• Hugely enlarged kidney
• The external surface appears to be composed of a mass of cysts of variable in sizes and shapes.
• Cysts are seen in cortex and medulla, which cannot be differentiated from each other
• Cysts are thin-walled and contain clear serous fluid or hemorrhagic turbid red to brown fluid
Diagnosis: Polycystic kidney.
Acute renal failure
• It is a syndrome which denotes rapid and frequently reversible
deterioration (decline) of renal function.
• It is characterized by sudden severe oliguria or anuria
• (less than 400 c.c/day), associated with azotemia (increase in the serum
level of creatinine and blood urea nitrogen).
• Causes: According to their frequency
1. Acute tubular necrosis.
2. Rapidly progressive GN.
3. Acute papillary necrosis.
4. Acute drug-induced interstitial nephritis.
5. Diffuse renal artery disease e.g. malignant hypertension.
6. Bilateral diffuse cortical necrosis.
7. Urinary obstruction (by a tumor or prostatic hyperplasia).
Chronic renal failure
• This syndrome results from gradual destruction of both kidneys. It is the
end result of all chronic renal diseases. It is characterized by prolonged
signs and symptoms of uremia. It represents a major cause of death
from chronic renal diseases.
• Causes:
1. Chronic glomerulonephritis.
2. Bilateral hydroureter and hydronephrosis.
3. Polycystic kidneys.
4. Bilateral chronic pyelonephritis including renal tuberculosis.
5. Renal amyloidosis.
6. Malignant hypertension.

Renal pathology version 5

  • 1.
  • 3.
    1. Renal pyramid 2.Interlobar artery 3. Renal artery 4. Renal vein 5. Renal hilum 6. Renal pelvis 7. Ureter 8. Minor calyx 9. Renal capsule 12.Interlobar vein 13.Nephron 14.Renal sinus 15.Major calyx 16.Renal papilla
  • 7.
    Bowman's capsule Proximal convolutedtubules Loop of Henle’s Distal convoluted tubules Collecting ducts
  • 17.
  • 18.
    + ++ ++++++++ +++++ +++++ Selective proteinuria (albuminuria) Non-selective proteinuria (subnephrotic range) Heavy proteinuria (Nephrotic syndrome) - >3.5 g/d proteinuria - Hypoproteinemia - Generalized edema - Hyperlipidemia - Lipiduria - hypercoagulability Nephritic syndrome - Hematuria (dysmorphic) - RBCs cast - Non heavy proteinuria usually <1g/d - hypertension - Oliguria - Azotemia RPGN Crescentic GN - Rapidly progressive renal failure - Crescent >50% - Fibrin deposition
  • 19.
    Degree Of GlomerularInjury: 1. selective proteinuria (albuminuria) 2. Non-selective proteinuria (subnephrotic range) 3. Nephrotic syndrome 4. Macroscopic hematuria 5. Nephritic syndrome 6. Rapidly progressive glomerulonephritis RPGN 7. Chronic glomerulonephritis
  • 20.
    Nephrotic syndrome: • Itis a clinical presentation characterized by: i. Heavy proteinuria (3.5 or more-gram protein 124 hrs in adults) ii. Hypoproteinemia iii. Generalized edema iv. Hypercholesterolemia and Lipiduria
  • 21.
    Pathogenesis: • Heavy proteinuria:due to initial derangement of the glomerular capillary wall which result in increase in capillary permeability with daily heavy loss of protein in urine. • Hypoproteinemia: is secondary to daily heavy loss of protein • Generalized edema: is due to decrease in serum protein (Hypoproteinemia) with subsequent decrease in plasma osmotic pressure. This will lead to escape of fluid in the interstitial tissue (edema) with subsequent hypovolemia and diminished glomerular filtration rate. This will lead to compensatory secretion of aldosterone leading to salt and water retention (generalized edema). • hyperlipidemia: is due to the triggering effect of hypoalbuminemia leading to increase synthesis of lipoproteins in the liver • Lipiduria: is due to increase GBM permeability to lipoproteins
  • 22.
    Macroscopic hematuria: • Brown/redpainless hematuria typically coincides with intercurrent infection • Asymptomatic hematuria ± proteinuria IgA nephropathy
  • 23.
    Nephritic syndrome: • Itis a clinical syndrome characterized by: i. Hematuria with RBCs casts ii. Proteinuria (variable degrees but usually ⩽ 1 gm/day) iii. Oliguria and azotemia iv. Hypertension v. Mild edema
  • 24.
    Pathogenesis • It isan acute glomerular injury. Lesions causing nephritic syndrome have in common proliferation of endocapillary cellularity (Mesangial and endothelial cells) and associated with leukocytic infiltration. Inflammatory reaction injures the capillary wall, permitting escape of RBCs and proteins in urine (hematuria and proteinuria). At the same time increased Mesangial cellularity compress capillary Lumina and inducing hemodynamic changes that lead to reduction of GFR that manifested clinically by oliguria with fluid retention and azotemia. • Hypertension results from fluid retention and renin release from such ischemic kidney.
  • 25.
    Rapidly progressive glomerulonephritisRPGN • It is a clinic-pathological syndrome, characterized clinically by rapid and progressive loss of renal function associated with severe oliguria, leading to acute renal failure. It is characterized histologically by presence of crescents in more than 50% of the glomeruli
  • 26.
    Pathogenesis Injury of capillarywall leads to escape of plasma. proteins, fibrin and inflammatory cells to Bowman's capsule. This will lead to proliferation of parietal cells with infiltration of macrophages and interstitial fibroblasts leading to crescent formation. Crescents eventually obliterate Bowman's space and compress the glomeruli.
  • 27.
    Chronic glomerulonephritis: • Itis the end-stage of a variety of glomerular diseases which result in irreversible impairment of renal functions. It constitutes 35-50% of end-stage renal disease that require chronic dialysis or renal transplantation. • Patient may present with hypertension and uremia and will needs life long dialysis or transplantation.
  • 28.
    PATHOGENESIS OF GLOMERULONEPHRITIS Immune mechanism Ab mediated injury Ag-Ab complex circulatin complex in-situ complex fixedplanted cytotoxic Ab cell mediated injury complement mediated injury Non Immune mechanism metabolic e.g. DM hemodynamic e.g. HTN glomerular ablation deposition e.g. Amyloidosis
  • 29.
    IMMUNE MECHANISM OFGN I.Ab mediated injury
  • 30.
    Ag-Ab (immune) complex •It is the main cause of primary glomerular injury in more than 70% of cases. The antigen is either foreign (extrinsic) antigen which is the commonest or normal constituent (intrinsic) as DNA which is rare. • Whatever the nature of the antigen, it stimulates antibody production leading to formation of immune complexes. These complexes form in the circulation then trapped and deposited in the glomeruli (circulating immune complexes), or form primarily in the glomeruli (in-situ immune complexes).
  • 31.
    • These immunecomplexes could be detected by fluorescence microscope (FM) and electron microscopy (EM). Two forms of immune complexes associated injury have been established: (1) Circulating immune complex nephritis (2) in-situ immune complex nephritis
  • 32.
    1.Circulating immune complexnephritis; (type III) hypersensitivity reactions. The antigen is not glomerular in origin; it may be endogenous (e.g. DNA) or exogenous (e.g. bacterial antigen). Antigen-antibody complexes are formed in the circulation and trapped in the glomeruli where they activate complement and induce glomerular injury. Glomerular injury is may be in the form of proliferation of endothelial, Mesangial and parietal cells with leukocytic infiltration.
  • 33.
    2. ln-situ immunecomplex nephritis Antibodies react directly with: • Fixed: normal glomerular antigen (GBM antigen) leading to anti GBM disease • Planted: non-glomerular antigen (whether self antigen as DNA or foreign Ags) deposited within the glomerulus leading to in-situ immune complex nephritis.
  • 34.
    Circulating immune complexnephritis in-situ immune complex nephritis Fixed Planted
  • 35.
    Fate of theimmune deposits: • If the inciting antigen is short lived and limited, immune complexes will be degraded by infiltrating monocytes and Mesangial cells with subside of inflammation (most cases of post-streptococcal GN). • If there is repeated exposure the antigen, there are repeated cycles of immune complex formation with continuous progressive glomerular injury
  • 36.
    PATHOGENESIS OF GLOMERULONEPHRITIS Immune mechanism Ab mediated injury Ag-Ab complex circulatin complex in-situ complex fixedplanted cytotoxic Ab cell mediated injury complement mediated injury Non Immune mechanism metabolic e.g. DM hymodynamic e.g. HTN glomerular ablation deposition e.g. Amyloidosis PATHOGENESIS OF GLOMERULONEPHRITIS Immune mechanism Ab mediated injury Ag-Ab complex circulatin complex in-situ complex fixed planted cytotoxic Ab cell mediated injury complement mediated injury Non Immune mechanism metabolic e.g. DM hymodynamic e.g. HTN glomerular ablation deposition e.g. Amyloidosis
  • 37.
    Cytotoxic antibodies Antibodies havedirect cytotoxicity as: • Antibodies to visceral epithelial antigen. Autoantibodies to epithelial cell antigen leading to loss of their foot processes and detachment from GBM. • Anti-endothelial ceil antibody (AECA). Autoantibodies against endothelial antigens leading to vasculitis and GN
  • 39.
    PATHOGENESIS OF GLOMERULONEPHRITIS Immune mechanism Ab mediated injury Ag-Ab complex circulatin complex in-situ complex fixedplanted cytotoxic Ab cell mediated injury complement mediated injury Non Immune mechanism metabolic e.g. DM hymodynamic e.g. HTN glomerular ablation deposition e.g. Amyloidosis PATHOGENESIS OF GLOMERULONEPHRITIS Immune mechanism Ab mediated injury Ag-Ab complex circulatin complex in-situ complex fixed planted cytotoxic Ab cell mediated injury complement mediated injury Non Immune mechanism metabolic e.g. DM hymodynamic e.g. HTN glomerular ablation deposition e.g. Amyloidosis
  • 40.
    II. Cell mediatedinjury •Sensitized T cells play a role in glomerular injury. It may play a role in some cases of GN through the action of cytokines. No immune deposits could be detected.
  • 41.
    PATHOGENESIS OF GLOMERULONEPHRITIS Immune mechanism Ab mediated injury Ag-Ab complex circulatin complex in-situ complex fixedplanted cytotoxic Ab cell mediated injury complement mediated injury Non Immune mechanism metabolic e.g. DM hymodynamic e.g. HTN glomerular ablation deposition e.g. Amyloidosis PATHOGENESIS OF GLOMERULONEPHRITIS Immune mechanism Ab mediated injury Ag-Ab complex circulatin complex in-situ complex fixed planted cytotoxic Ab cell mediated injury complement mediated injury Non Immune mechanism metabolic e.g. DM hymodynamic e.g. HTN glomerular ablation deposition e.g. Amyloidosis
  • 42.
    III. Complement mediatedinjury • Activation of the alternate complement pathway. Here activation of complement system is not through formation of immune. complexes.
  • 43.
    PATHOGENESIS OF GLOMERULONEPHRITIS Immune mechanism Ab mediated injury Ag-Ab complex circulatin complex in-situ complex fixedplanted cytotoxic Ab cell mediated injury complement mediated injury Non Immune mechanism metabolic e.g. DM hymodynamic e.g. HTN glomerular ablation deposition e.g. Amyloidosis PATHOGENESIS OF GLOMERULONEPHRITIS Immune mechanism Ab mediated injury Ag-Ab complex circulatin complex in-situ complex fixed planted cytotoxic Ab cell mediated injury complement mediated injury Non Immune mechanism metabolic e.g. DM hymodynamic e.g. HTN glomerular ablation deposition e.g. Amyloidosis PATHOGENESIS OF GLOMERULONEPHRITIS Immune mechanism Ab mediated injury Ag-Ab complex circulatin complex in-situ complex fixed planted cytotoxic Ab cell mediated injury complement mediated injury Non Immune mechanism metabolic e.g. DM hymodynamic e.g. HTN glomerular ablation deposition e.g. Amyloidosis
  • 44.
    NON-IMMUNE MECHANISM OFGN 1. Metabolic glomerular injury as in diabetic glomerulosclerosis 2. Hemodynamic glomerular injury as in systemic hypertension and intra-glomerular hypertension as in focal segmental glomerulosclerosis 3. Glomerular ablation: any renal disease (glomerular or non glomerular) reduces the glomerular filtration rate (GFR) to about 30%-50% of the normal will lead to progressive glomerulosclerosis of the remaining glomeruli 4. Deposition diseases as in renal amyloidosis
  • 45.
  • 46.
    Morphological Classification ofGN Light Microscopy Diffuse lesion means that all the glomeruli are affected Focal lesion means that < 50% of the glomeruli are affected while the others looked normal Global lesion means that the entire glomerulus is affected. Segmental lesion means that the lesion involves one segment within the affected glomerulus. Focal segmental lesion means that < 50% of the glomeruli are affected and only segments of these glomeruli are involved. Fluorescence Microscopy Granular pattern as in cases of circulating immune complex nephritis and in- situ immune complex nephritis against planted antigens Linear pattern only in case of in-situ immune complex nephritis against glomerular antigen (glomerular basement membrane antigen) Electron Microscopy Change in podocyte site of deposition of immune complexes Mesangial deposits Sub- endothelial deposits between endothelial cells and GBM Sub- epithelial deposits between the outer surface of the,GBM and the podocytes Intra- membranous deposits within the lamina densa of the GBM
  • 47.
    possible light microscopicpicture of the glomeruli in glomerular diseases: 1. Normal glomeruli 2. Glomerular hypercellularity which may be due to: • increase in mesangial cells • infiltration of the glomeruli by inflammatory cells (neutrophils) • proliferation of parietal cells leading to crescent formation 3. Thickening of GBM 4. Increase glomerular cellularity with thickening of GBM 5. Glomerular sclerosis 6. Deposition of foreign material as in amyloidosis
  • 48.
  • 50.
    Mesangial deposits Sub-epithelialdeposits Sub-endothelial deposits Intra-membranous deposits
  • 51.
    Factors determining thesite of deposition of immune deposits: 1. Molecular charge and size 2. Integrity of the charge-selective barrier in the glomeruli 3. Changes in glomerular hemodynamics 4. Mesangial functions
  • 52.
    Clinical manifestation ofglomerular disease: 1. Acute nephritic syndrome 2. Nephrotic syndrome 3. Asymptomatic proteinuria and/or hematuria 4. Rapidly progressive glomerulonephritis (RPGN) 5. Acute renal failure 6. Chronic renal failure
  • 53.
    Nephrotic syndrome Nephriticsyndrome Minimal change disease +++++ - Membranous GN ++++ + Diabetic nephropathy ++++ + Amyloidosis ++++ + Focal segmental glomerulosclerosis ++++ + Membranoproliferative GN +++ + IgA nephropathy +++ +++ SLE +++ +++ Acute post-infectious GN + ++++ Crescentic GN + ++++
  • 54.
  • 55.
    Causes of nephriticsyndrome: 1.infection (primary), either due to streptococcal infection, or infection by other organisms, so classified into:  Post-streptococcal GN  Non-streptococcal GN (certain pneumococcal and staphylococcal Infections, some viral infection as HCV, and HBV) 2.Secondary to systemic disease: SLE, schistosomiasis
  • 56.
  • 58.
    It is acommon disorder especially among children that usually follows infection of the skin or upper respiratory tract by nephritogenic strains of the β-hemolytic streptococci (type 12, 4, 1) pathogenesis: Circulating immune complexes activate the complement inducing glomerular injury
  • 59.
    Clinical picture: abrupt onset1-4 weeks after upper respiratory tract or skin infection leading to: o Nephritic syndrome (gross hematuria, proteinuria, periorbital edema, hypertension, oliguria and, azotemia) o Low serum complement level (hypocomplementenemia) o High titer: of anti-streptolysin O (ASO) in serum
  • 60.
    Microscopy o LM: diffuseincrease in Mesangial cells with infiltration by neutrophils leading to compression of capillary Lumina (bloodless glomeruli).  May be associated with crescent formation (proliferation of parietal cells lining Bowman's capsule). o FM: granular deposits of IgG and C3 along capillary wall o EM: scattered large sub-epithelial deposits shaped like "humps",
  • 62.
    Prognosis and fate: oUsually it carries good prognosis, however it depends on the patient's age, causative agent and presence of crescents: 1. Good prognosis occurs if it occurred among children following streptococcal infection with absence of crescents. Recovery occurs in about 90% of cases after several weeks. Few cases develop rapidly progressive GN or chronic renal disease. 2. About 15%-50%develop chronic GN within few years if it occurs among adults because it is usually secondary (non-streptococcal) and if there are crescents.
  • 63.
  • 64.
    TYPES: - Type IRPGN: anti-GBM nephritis - Type II RPGN: any immune complex GN may lead to RPGN as o Post-infectious GN:  Post-streptococcal G.N.  Non post-streptococcal G.N. o Systemic diseases-as Systemic lupus erythematosus (S.L.E).
  • 65.
    Type I RPGN:anti-GBM nephritis: It is an autoimmune disease where auto-antibodies bind along GBM collagen Many cases are characterized by severe glomerular damage with crescent formation and development of acute renal failure.
  • 66.
    Goodpasture syndrome It isacute fulminating disorder where there is anti-GBM nephritis with pulmonary hemorrhage  Pathogenesis: The injury of glomerular capillary wall is associated with injury of pulmonary alveolar basement membrane wall due to formation of anti-GBM antibodies that cross react with alveolar basement membrane
  • 67.
    “THE LUNGS GAVETHE IMPRESSION OF HAVING BEEN INJECTED WITH BLOOD THROUGH THE BRONCHI SO THAT ALL THE AIR SPACES WERE FILLED” ERNEST GOODPASTURE; Goodpasture EW. The significance of certain pulmonary lesions in relation to the etiology of influenza. Am J Med Sci 1919;158:863-70.
  • 68.
  • 69.
    PRIMARY Minimal change disease Focal segmental glomerulosclerosis (FSGS) Membranous GN Membrano- proliferativeGN (MPGN) Mesangio- proliferative GN as IgA nephropathy SECONDARY Diabetes mellitus Amyloidosis Systemic lupus erythematosus (SLE) Infections (HBV,malaria, schistosomiasis) Others (due to drugs, malignancy, hereditary)
  • 70.
  • 71.
    Minimal Change Disease Itis the main cause of NS among children (80% of NS among children younger than 15) and less frequently among adults.  Characterized by: normal looking glomeruli with LM and diffuse loss of epithelial foot processes by EM
  • 72.
    Pathogenesis: Primary epithelial injurywhich is not due to deposition of immune complexes (no immune complex deposition could be detected). Certain clinical features such as association with atopy, viral infections and dramatic response to corticosteroids suggest disorders in T- Lymphocytes. The current evidence suggests that there is disorder in T-cells with elaboration of cytokines that affect synthesis of nephrin (nephrin is a glycoprotein which is considered the major component of slit diaphragm between adjacent loot processes) leading to epithelial cell injury (loss of podocytes) with loss of glomerular polyanion.
  • 73.
    Clinical picture: Nephrotic syndrome,no hypertension or hematuria
  • 74.
    Microscopy: o LM: normallooking glomeruli o FM: no deposits o EM: diffuse loss of epithelial foot processes Prognosis and fate: good prognosis with excellent response to corticosteroid therapy in more than 90% of affected children, and less figures among adults.
  • 76.
    Focal segmental glomerulosclerosis(FSGS) It is responsible for NS in 15% of adults and children
  • 77.
     Characterized histologicallyby: focal and segmental obliteration of capillary loops by increased collagen (sclerosis) and accumulation of lipid and proteinaceous material Types: - Primary (idiopathic) - Secondary: associated with infection by HIV virus heroin addiction, or as a component of glomerular ablation
  • 78.
    Pathogenesis Injury to epithelialcells is its hallmark that leads to focal hyper- permeable foci leading to entrapment of plasma proteins and lipids. This results into mesangial cell reaction with increased mesangial matrix. The recurrence of proteinuria in patients with FSGS receiving renal allograft within 24 hours after transplantation suggest a circulating mediator for the epithelial damage
  • 79.
    Characterized histologically by:focal and segmental obliteration of capillary loops by increased collagen (sclerosis) and accumulation of lipid and proteinaceous material
  • 80.
    Clinical picture: non-selectiveproteinuria which may progress to NS, may be hypertension and hematuria
  • 81.
    Microscopy: oLM: Some glomerulishow segmental obliteration of capillary loops with increased mesangial matrix, collapsed GBM and accumulation of lipids and proteinaceous material. o FM: usually negative oEM: focal segmental increased in mesangial matrix with
  • 82.
    Prognosis and fate: poorresponse to corticosteroids with progression to renal failures within 10 years in about 50% of cases. • The lesion tends to recur in renal allograft.
  • 83.
    Membranous GNIt isthe most frequent cause of NS among adults in Western countries
  • 84.
     Characterized by:diffuse deposition of immune complexes in the sub- epithelial zone of glomerular capillaries  Types: - Primary (idiopathic) - Secondary: to Chronic hepatitis (B & C) infection, schistosomiasis, DM, autoimmune diseases as SLE, certain drugs, certain malignancies especially carcinoma and melanoma
  • 85.
    Pathogenesis: It is immunecomplex mediated diseases where immune complexes are diffusely deposited subepithelially in absence of inflammatory cells. Injury of the glomerular capillary wall is induced by activation of the complement system through the action of to C5-9 (membrane attack).
  • 86.
     Clinical picture:NS, sometimes non-nephrotic range non-selective proteinuria
  • 87.
    Microscopy: o LM: diffusethickening of GBM, normal glomerular cellularity o FM: typical granular deposits of immunoglobulins and complement along the GBM. o EM: diffuse regular sub-epithelial deposits
  • 89.
    Prognosis and fate: Prognosisand fate: proteinuria usually does not respond to corticosteroids, however, it is usually having indolent course and only about 40% of patient progress to renal failure.
  • 90.
    Membranoproliferative GN (MPGN) Itaccounts about 5%-10% of cases of primary NS in children and adults.  Characterized by: glomerular hypercellularity with thickening of GBM
  • 91.
    Types: A.According to theetiology it may be: - Primary (idiopathic) - Secondary: to certain diseases as SLE, chronic hepatitis B&C infection, chronic liver diseases and certain malignancy. A.According to distinct EM and IF findings, it may be: - Type I MPGN (most common) - Type II MPGN (dense deposit disease); rare
  • 92.
    Clinical picture: bothtypes presents mainly by NS, sometimes with non-nephrotic range proteinuria
  • 93.
    Microscopy: o LM: Inboth types glomeruli are diffusely enlarged, hyper-cellular due to mesangial proliferation and infiltrated leukocytes with diffuse thickening of GBM that displayed double contour (tram-track appearance) by silver stain. o FM:  Type I: displays granular deposits of immunoglobulins and complement along the capillary wall and mesangium.  Type II: displays granular deposition of C3 along the capillary wall with absence of immunoglobulin deposition. o EM: focal segmental increased in mesangial matrix with prominent injury of overlying podocytes.  Type I: displays sub-endothelial electron dense deposits.  Type II: displays ribbon-like dense deposits within GBM
  • 94.
    Pathogenesis:  Type I:caused by circulating immune complexes.  Type II: is considered as an autoimmune disease, The serum of these patients has a factor called C3 nephritic factor (an autoantibody) which can activate the alternate complement pathway with elaboration of biologically active complement fragments.
  • 95.
    Prognosis and fate: bothtypes have poor prognosis, more than 50% of them progress to chronic GN after 10 years.  Type II has tendency to recur in renal allograft.
  • 96.
    IgA Nephropathy (Berger’sDisease) It is the most common glomerular disease worldwide. It Is one of the most common causes of recurrent microscopic or gross hematuria
  • 97.
    Characterized by: Intensedeposition of IgA Age: The peak incidence is among children and young adults
  • 98.
    Pathogenesis: there is increasedsynthesis of IgA resulting in their trapping within the glomeruli. These patients have genetic or acquired abnormality of immune regulation, leading to increased mucosal IgA synthesis in response to respiratory or gastrointestinal exposure to environmental agents (Viruses, bacteria, food proteins). IgA and IgA complexes then trapped within the mesangium where they activate alternate complement pathway and initiate glomerular injury.
  • 99.
    Clinical picture: Isvariable  Most commonly, gross hematuria occurs within 1-2 days of non-specific upper respiratory tract infection. Typically, hematuria lasts several days then subsides. It recurs every few months and often associated with loin pain.  But may be presented with proteinuria and even NS in less than 10% of cases.
  • 100.
    Microscopy: oLM: not specific.The glomeruli commonly show mesangial proliferation. oFM: intense mesangial staining for IgA. oEM: electron dense deposits within the mesangium.
  • 102.
    Prognosis and fate: usuallyhave remitting relapsing course, rarely resolves, but many patients maintain normal renal functions for decades. Fifty percent (50%) of cases slowly progress to chronic renal failure within 20 years.
  • 103.
  • 104.
    Chronic Glomerulonephritis Most glomerulardisease, with the possible exceptions of uncomplicated minimal change disease and thin basement membrane nephropathy, can progress to chronic glomerular sclerosis with progressively declining kidney function and, eventually, to ESRD. Chronic glomerular disease is the third leading cause of ESRD in the United States after diabetic and hypertensive kidney disease. It constitutes 35-50% of end-stage renal disease that require chronic dialysis or renal transplantation.
  • 105.
    Glomerulonephritis which arecommonly progressed to chronic GN are: 1. RPGN (90%) 2. Membranous GN (40%) 3. MPGN (50%) 4. FSGS(50%) 5. lgA nephropathy (50%) 6. ldiopathic (20%)of cases
  • 106.
  • 107.
    o GROSSLY: (JAR)*** The kidneys are small, symmetrically contracted with diffusely granular external surface.  Cut sections, the cortex is narrow and atrophic cannot differentiate from renal medulla with formation of multiple small cysts (honey-comb appearance)
  • 109.
    oMICROSCOPIC:  Glomeruli: mostof them are completely hyalinized or sclerozed.  Tubules are atrophic  Interstitium is fibrosed  Small and medium sized blood vessels show arteriolar sclerosis secondary to hypertension
  • 110.
    Clinical Picture: hypertension &uremia Prognosis & Fate: Patient will continue his life on dialysis or undergo renal transplantation.
  • 111.
  • 112.
    Acute Tubular Necrosis(ATN) • ATN is a clinicopathological entity characterized by destruction of tubular epithelial cells associated with acute suppression and deterioration of renal function. It is the most common cause of acute renal failure. ATN is usually reversible. It occurs in a variety of clinical settings.
  • 113.
  • 114.
    Ischemic ATN • hisoccurs in cases of hypovolemia and shock where there is reflex renal vasoconstriction which when severe and for prolonged time cause necrosis of the renal tubular epithelium. • Tubular epithelial cells with their high rate of energy-consuming metabolic activity and numerous organelles, are particularly sensitive to hypoxia, which cause rapid depletion of intracellular ATP in the tubular epithelium. • Ischemic ATN is characterized by patchy individual cell necrosis within some proximal and distal tubules. These single necrotic cells are shed into the tubular lumen with occlusion of tubular lumens by casts. It is accompanied by focal rupture of basement membrane.
  • 115.
    Nephrotoxic ATN • Itis caused by drugs such as gentamycin and other antibiotics, radiographic contrast agents, poisons, including heavy metals (e.g. mercury) and organic solvents (e.g. carbon tetrachloride). It is characterized by extensive necrosis along proximal tubules that is most sensitive to the toxin, with intact basement membrane and occlusion of tubular lumens by casts.
  • 116.
    Clinical picture: Initial phaseIt represents the period between tubular injury and the development of acute renal failure. There is slight decline of urinary output associated with a rise in the blood urea nitrogen (BUN) i.e. (azotemia). This period lasts for 36 hours. Maintenance phase At this phase urine output falls dramatically (40-400 cc/day). Patients present with acute renal failure with signs and symptoms of uremia and fluid over load. This phase lasts from 2-6 days Recovery phase At this phase" there is a steady increase of urine output reaching up to 3 liters/day over the course of few days. Then renal functions improve. It is associated with an increase in the concentrating ability of the-tubules, Blood urea nitrogen (BUN) and creatinine levels begin to return to normal.
  • 117.
    Prognosis & Fate: •It is better in nephrotoxic type, about 95% of the cases recover. On the other hand, the prognosis is bad in ischemic type, where death complicates more than 50% of cases of shock especially those associated with sepsis or burns.
  • 118.
    II: Tubulo-interstitial diseases •infectious (urinary tract infection) • Non-infectious (drugs, toxins, metabolic, neoplastic)
  • 119.
  • 120.
  • 122.
    Lower UTI Source ofinfection: 1. Ascending infection 2. Hematogenous infection 1 2
  • 123.
    Ascending infection • Itis the MOST COMMON source of infection Etiology: • The principal causative organisms are enteric gram -ve bacilli. • E.Coli is the most common one. Other important organisms are species Proteus, Klebsiella, Enterobacter and Pseudomonas.
  • 125.
    Pathogenesis: • Colonization ofthe distal urethra (and the introits in female) by gram-negative bacteria • The organism must gain access to the bladder, moving against the flow of urine. • In males this may occur during urethral instrumentation, including catheterization and cystoscopy. • In females short urethra, and repeated urethral trauma during sexual intercourse facilitate entrance of bacteria to the urinary bladder. • Urinary outflow obstruction at the level at urinary bladder (as in BPH and uterine prolapsed) • bladder dysfunction (as in DM lead to incomplete emptying and increased residual volume of the bladder). • This allow bacteria that introduced into the bladder to multiply and to induce lower urinary tract infection (cystitis).
  • 126.
    Age & sex: •During the reproductive period: females are commonly than males due to: • Short urethra • Absence of anti-bactericidal properties of bladder mucosa in females • Repeated sexual trauma • In the old age males are commonly affected than females due to • Repeated instrumentation (catheterization) following, urinary obstruction due to enlarged prostate (BPH) ♂♀﹥
  • 127.
    Other predisposing factors: •Urinary tract obstruction and stasis of urine by: congenital valves in the ureters or in the urethra, stones, enlarged prostate, tumors, or pregnancy. • Diabetes mellitus due to neurogenic bladder and lowered body resistance and instrumentation. • Immunosuppression
  • 128.
    Hematogenous infection  Itis less common than ascending infection. It occurs by seeding of bacteria during septicemia and infective bacterial endocarditis. The condition is facilitated by ureteral obstruction and the use of immunosuppressive drugs. The causative organisms are mainly Staphylococci  It is the way through which Bilharziasis induce cystitis
  • 129.
  • 130.
    Types of cystitis ACUTE Clinicalpicture: - Dysuria. - Frequency. - Urgency. - supra-pubic pain. - hematuria. CHRONIC chronic non-specific Is due to persistence of infection or as a sequel of acute infection. chronic specific TB cystitis results from descending infection from tuberculosis of the kidney and characterized by caseating granulomatous reaction and fibrosis. Bilharzial cystitis
  • 131.
    Bilharzial Cystitis: Grossly: (JAR)*** •Early • the mucosa is congested. • Then displays sandy patches. • multiple polypi (simple or branched) • or nodules and few superficial ulcers (moth eaten appearance). • Late stages lead to “contracted calcified bladder" which may be associated. with strictures at the ureteric orifices.
  • 132.
    Description: • A thickwalled urinary bladder, with a dilated cavity. • The mucosa is granular, showing opaque dirty yellow raised patches formed of a fibrotic submucosa packed with calcified ova with atrophy of the overlying epithelium.
  • 133.
    Microscopically: • is characterizedby deposition of bilharzias ova within the lamina propria and extending to the muscle layer, surrounded by localized or diffuse granulomatous reaction. • The urothelium may show reactive hyperplasia with formation of: • von Brunn's nests, • cystitis cystica • cystitis glandularis. • In some cases there is squamous metaplasia (precancerous lesion).  Clinical picture of chronic cystitis: Similar to acute cystitis
  • 135.
    UPPER URINARY TRACTINFECTION PYELONEPHRITIS Inflammation of renal parenchyma and renal pelvis.
  • 136.
  • 137.
    Ascending infection • Thecommon route of infection • start with lower urinary tract infection • Then infection ascend from the bladder to the ureter through incompetence of the vesicouretral orifice (vesico ureteric reflux) which is mandatory. • This incompetence is either: • Congenital • Secondary to persistent increase in Intravesical pressure. • then infected urine propel up to the renal pelvis and further to renal parenchyma through open ducts at the tips of the papillae (intrarenal reflux)
  • 138.
    Hematogenous infection • Lesscommon, but it is the main way in case of tuberculous infection
  • 139.
    Acute Pyelonephritis • Itis an acute suppurative inflammation of renal parenchyma and renal pelvis by bacterial infection.
  • 140.
    Gross pathology (JAR)*** •One or both kidneys may be affected. • The size is normal or slightly enlarged. • There are discrete yellowish abscesses on the external renal surface. These abscesses are • haphazardly arranged • or it might be present on the upper and lower poles • or may form a single large area of suppuration. • Renal pelvis and calyces are hyperemic with hemorrhagic and suppurative foci. Microscopic pathology there are abscesses in the interstitial tissue and tubules. The glomeruli are usually not affected.
  • 141.
    Description : • Anenlarged swollen kidney • The external surface shows yellow foci of suppuration slightly raised above the surface  Cut surface • Both the cortex and medulla show haphazardly distributed discrete focal abscesses as well as larger areas of coalescent suppuration, all surrounded by hyperemia. • The mucosa of the renal pelvis is edematous, congested, partially ulcerated and covered by suppurative inflammatory exudate.
  • 142.
    Description : • Thekidney is swollen. • The external surface shows foci of suppuration (abscesses). • The Abscesses are multiple, small-sized and subcapsular in location. • Each abscess is formed of a central yellow area of suppuration surrounded by a zone of hyperemia (red). Diagnosis: Pyemic abscesses of the kidney.
  • 143.
    Clinical features • Itmanifests itself by: 1. Sudden onset of pain at the costo-vertebral angle, fever, chills, and malaise. 2. Pyuria (urine contains casts of pus). 3. Bacteruria (urine contains casts of bacteria). 4. Manifestations of LUI (dysuria, frequency, and urgency) With appropriate treatment the disease follows a benign course with healing by fibrosis that leads to depressions in the kidney surface, associated with deformities in the pelvicalycial system.
  • 144.
    In diabetics andthose with urinary tract obstructions, the following Complication may develop: 1. Chronic pyelonephritis due to recurrent infection. 2. Papillary necrosis (necrotizing papillitis) especially noticed in diabetics. 3. Pyonephrosis (pyelonephritis associated with complete obstruction of the ureter and accumulation of pus in the renal pelvis, calyces, and interstitial tissue the kidney will be transformed into a bag full of pus). 4. Peri renal abscess due to rupture of the capsule.
  • 145.
    Chronic pyelonephritis • Itis characterized by gross visible scarring and deformity of the renal parenchyma and the pelvicalyceal system. • It is essentially the result of repeated attacks of inflammation and healing and consequently it is an important cause of end stage renal failure.
  • 146.
    Types 1. Chronic nonspecific pyelonephritis which is either: a. secondary to obstruction (chronic obstructive pyelonephritis) or b. secondary to urine reflux (chronic reflux- associated pyelonephritis) 2. Chronic specific pyelonephritis as in renal tuberculosis
  • 147.
    Gross pathology • Thehallmark is large discrete cortico-medullary scars overlying dilated, blunted, or deformed calyx, mainly present in the- upper or lower poles. • In obstructive type, the pelvicalyceal system is inflamed and distended. • In non-obstructive type, the pelvicalyceal system is not distended, If the lesion is bilateral, scarring is asymmetrical.
  • 148.
    Microscopically • Severe inflammatoryreaction and fibrosis of the interstitium associated with fibrosis of mucosa of the pelvi-calyceal system. • Atrophy or cystic dilatation of the collecting tubules. Many of the dilated tubules contain pink to blue glassy-appearing casts known as "colloid casts" giving them a thyroid-like appearance and hence the descriptive term "thyroidization". • Hyaline thickening of the wall of the arterioles (due to hypertension).
  • 150.
    Clinical features • Silentor with symptoms of acute pyelonephiritis • Secondary hypertension • Bilateral progressive cases lead to chronic renal failure
  • 151.
    Renal TB • Types: 1.Miliary TB: • small tubercles, 1-2 mm in diameter • slightly raised above the surface • more marked in the cortex. 2. Caseocavernous: • small foci at the base of the pyramids which enlarge, • caseate, and spread to involve the calyces and pelvis. Later on, • foci ulcerate and form Caseocavernous lesions with irregular cavities that become continuous with the renal pelvis and affecting cortex and medulla. • Obstruction of the ureter with caseous material will lead to tuberculous pyonephrosis, where the kidney is transformed into a bag full of caseous material. • Infection may spread to the urinary bladder.
  • 152.
    Clinical Features 1. Hematuria. 2.Dysuria, frequency, urgency and nocturia due to bladder and urethral irritation. 3. Chronic renal failure if bilateral .
  • 153.
    Urolithiasis (Renal stones) •Stones are formed at any level of the Urinary collecting system, but most arise in the kidney (Nephrolithiasis) • Males > females, with incidence 20-30 years • Familial and hereditary tendency is an important factor in stone formation.
  • 154.
  • 155.
    • Normally urinecontain crystalloid in colloid solution if imbalance occur → supersaturation will occur → crystalloid will precipitated to stone 1. Reduction in urine volume e.g. dehydration 2. Excessive excretion of crystalloids in urine leading to hypercalciurla. uricosuria, oxaluria, or cystinuria. 3. Urinary tract infection especially that associated with urea-splitting organisms (proteus vulgaris and staphylococci). This infection causes alkalinity of urine that favour phosphate precipitation. Also bacteria and necrotic tissue offer a nidus for stone formation. In Egypt schistosomiasis is very important predisposing factor for stone formation. 4. Obstruction of urine outflow by enlarged prostate & tumors causes stagnation of urine and excessive re- absorption of water with relative rise in the concentration of crystalloids. In turn stagnation leads to infection because it gives bacteria ample time to multiply. 5. Avitaminosis e.g. vitamin A deficiency which causes desquamation of the lining epithelium acting as a nidus for stone formation.
  • 156.
    Types of stones Calcium stones (75%) Calcium oxalate Calcium phosphate Infection stones(15%) Uric acid Stone Occurs in 25% of patients having hyperurecemia and gout but most patients have neither of them (idiopathic) Cystine stones (1%) only 1% of stones, occur exclusively in hereditary cystinuria  caused by infection • Most likely associated with clinical symptoms • In the presence of urea-splitting bacteria as Proteus species the resulting alkaline medium favors precipitation of magnesium ammonium phosphate (struvite)(triple) and calcium phosphate (apatite) • They vary from soft and friable to hard stones • Stones filling the pelvicalyceal system referred to stag horn stone
  • 158.
    Effects & complications: 1.Renal colic. 2. Hematuria from trauma and ulceration, especially in small stones with spiky external surface, e.g. oxalate stones. 3. Infection e.g. cystitis arid/or pyelonephritis 4. Obstruction causing hydronephrosis and/or hydroureter. 5. Chronic irritation leading to squamous metaplasia which is precancerous.
  • 160.
    Description: • A slightlyenlarged kidney with irregular external surface. • Cut surface • The renal pelvis and calyces are dilated, and occupied by a large branching staghorn stone. • The stone is brown in color, hard in consistency and its surface is smooth. • The renal pelvis and calyces are lined by suppurative inflammatory exudate. Diagnosis: Calculous pyelonephritis.
  • 161.
  • 162.
    • Urinary obstructionis a common cause of renal dysfunction and it is important to recognize because many of its causes are treatable. • Obstruction may be sudden or insidious, partial or complete, unilateral or bilateral • it may occur at any level of the urinary tract from urethra to the renal pelvis. The obstruction may be: 1. Acute obstruction: i.e., sudden and complete obstruction leads to rapid cessation of the urine production due to increase intraluminal pressure transmitted back to proximal convoluted tubules. If both kidneys are involved, acute renal failure quickly follows. 2. Chronic obstruction: i.e. insidious, progressive partial obstruction or intermittent complete obstruction. It is more common and leads to hydronephrosis.
  • 163.
    Hydronephrosis permanent dilation ofthe renal pelvis and calyces associated with progressive atrophy of the kidney due to chronic partial or intermittent complete obstruction to urine outflow. It maybe unilateral or bilateral.
  • 164.
    Etiology: I. Unilateral hydronephrosis: •Obstruction of one side is due to pathologic processes above the urinary bladder. • The causes includes: 1. Causes at the renal pelvis; as: i. calculi especially staghorn stones. ii. tumors of renal pelvis. iii. uretero-pelvic stricture.
  • 165.
    2. Causes inthe ureter; which may be intrinsic within the ureteric lumen or extrinsic (compressing from outside). a. intrinsic factors : i. ureteric calculi. ii. ureteric tumors. iii. chronic ureteritis. iv. fibrosis as in case of bilharziasis and blood clots. b. Extrinsic factors compressing the ureter from outside as: i. Pregnancy. ii. pelvic tumors. iii. retroperitoneal fibrosis
  • 166.
    II. Bilateral hydronephrosis: •Obstructionof both sides at the level of: a. urinary bladder. b. bladder outlet. c. Urethra. d. Bilateral ureteral “rare”.
  • 167.
    The causes ofBilateral hydronephrosis: 1. Causes in urinary bladder as: i. chronic cystitis with fibrosis (as in bilharziasis) ii. bladder stone obstructing the urethral opening iii. bladder tumor obstructing urethral opening iv. neurogenic bladder due to spinal cord damage or in DM
  • 168.
    2. Causes inthe urethra and bladder outlet which may be intrinsic or extrinsic. a. Intrinsic factors as: i. posterior urethra valve ii. urethral stricture following urethritis specially due to gonorrhea infection iii. urethral tumors iv. stones b. Extrinsic factors compressing the urethra or bladder outlet as: i. pelvic neoplasms in the uterine cervix or rectum ii. enlarged prostate as prostatitis, prostatic, hyperplasia or prostatic carcinoma
  • 169.
    Gross pathology: • Kidneyis slightly or massively enlarged. • Renal pelvis and calyceal system are dilated compressing the renal parenchyma • Later the kidney is transformed into a thin-walled cystic structure full of urine with striking parenchymal atrophy.
  • 170.
    Description : • Markedlyenlarged kidney that has been transformed into a thin-walled cystic structure, with atrophy of the renal parenchyma. • Cut surface • Both the cortex and medulla are nearly totally replaced by cystic dilatations leaving only remnants of renal tissue. • The renal pelvis and calyces are dilated. • The upper end of the ureter is dilated and thin walled. Diagnosis: Hydroureter and hydronephrosis.
  • 171.
    Clinical features: • Unilateralhydronephrosis: • may remain silent for long periods (asymptomatic) since the unaffected kidney can maintain adequate renal function. • Bilateral hydronephrosis: • presents with hypertension with progressive loss of renal functions.
  • 172.
    Complications: 1. Pyonephrosis mayoccur due to superadded infection. The kidney in such case is transformed into a bag full of pus. The renal pelvis and calyces show dirty yellow exudate. 2. Stone formation due to urine stagnation.
  • 173.
    TUMORS OF THEKIDNEYS Tumors of the kidney may arise from renal parenchyma or from renal pelvis.
  • 174.
    Classifications Tumors of renal parenchyma Benign"rare" Oncocytoma Angiolipoma Malignant Renal cell carcinoma [hypernephroma] Nephroblastoma [wilms tumor] Tumors of renal pelvis Urothelial tumors
  • 175.
    Renal cell carcinoma(RCC) • It is the main tumor of the kidney representing about 90% of all malignant renal tumors. • It arises from tubular epithelium (adenocarcinoma) • It is most common in the 6th decade of life, however rare cases are diagnosed in children • Male to female ratio is 2:1. • Genetic factors may playa role in its causation. • It has some relationship to pipe, cigar or cigarette smoking.
  • 176.
    Gross pathology **JAR •The tumor may arise from any portion of the kidney, but most commonly affects ,the poles, particularly upper pole. • It appears as a spherical mass 3-15cm in diameter, sometimes with satellites (multifocal). • C.S reveals a variegated appearance, formed of bright yellow, gray, and white tissue that distorts renal parenchyma and renal outline with areas of necrosis and hemorrhages. • The tumor may invade renal vein.
  • 178.
    Description : • Kidneyof an adult showing a large ovoid tumor distorting the renal outline. • Cut surface shows • A sharply-defined non encapsulated spherical tumor seen replacing most of the kidney, leaving only remnants of renal tissue at the lower pole. • The tumor has a variegated appearance, with yellow areas, dark red foci of hemorrhage, large areas of opaque gray-white necrosis, areas of softening and small cyst formation. • The consistency is soft to firm. Diagnosis: Renal cell carcinoma.
  • 179.
    Microscopic pathology **SLIDE •Tumor cells are arranged in compartments with delicate highly vascular stroma. • Cells are rounded or polygonal in shape and mostly have abundant clear cytoplasm (due to glycogen and lipid), and small regular nuclei. • Areas of necrosis and hemorrhage are also seen.
  • 181.
    Renal cell carcinoma •Renal tissue infiltrated in one area by carcinomatous cells. • The tumor cells are arranged in solid masses, trabeculae, tubular and papillary structures separated by delicate fibrovascular connective tissue stroma. • The carcinomatous cells are large polyhedral with pale vacuolated cytoplasm (due to high lipid content which is dissolved during preparation). • Some tumor cells show granular eosinophilic cytoplasm. • The nuclei are small and hyperchromatic. • Frequent areas of hemorrhage and necrosis are seen.
  • 182.
    Clinical features: • Painlessprofuse total hematuria, • Pain in the costovertebral angle • Palpable mass. • The tumor may remain, silent (occult) and manifests itself by lung and bone metastasis. • Extra-renal manifestation's as fever, polycythemia, hypercalcemia, hypertension.
  • 183.
    a. Direct spread: •eroding renal capsule • renal pelvis • Calyces • Ureter • renal vein. b. Bl spread through renal V. to the IVC reaching: • the lung • Bones • Brain • Liver • adrenals. c. Lymphatic spread Tumor spread
  • 184.
    Nephroblastoma (Wilms tumor) •It occurs mainly in children (the 4th most common malignant tumor in children under the age of 4 years), however rare cases occur in adults. • Peak incidence is between 2-5 years. • It arises from primitive renal blastema cells which may differentiate into epithelial and mesenchymal component
  • 185.
    Gross pathology **JAR •The tumor appears as a large solitary well circumscribed mass, however 10% of cases are either bilateral or multifocal • Cut section is soft, homogeneous and tan to grey with occasional foci of hemorrhage and necrosis.
  • 187.
    Description: • The kidneyof a child showing a huge solitary spherical tumor replacing most of the renal tissue • Cut surface shows a tumor which is: • Well circumscribed and non-encapsulated. • Tan to gray in color with few foci of hemorrhage and necrosis. • It is fish-flesh in most areas. • Soft in consistency. Diagnosis: Wilm's humor (nephroblastoma).
  • 188.
    Microscopic pathology • Tumorsare characterized by recognizable attempts to recapitulate different stages of nephrogenesis. • Classically the tumor is triphasic composed of: • Blastema cells. • Epithelial cells. • stromal cells. • Epithelial differentiation is in form of abortive tubules.
  • 189.
    Clinical features: • Largepalpable abdominal mass • (the main presentation) • Fever, abdominal pain, or intestinal obstruction • (less common)
  • 190.
    Methods of spread 1.Local spread to the surrounding structures due to early invasion of the capsule. 2. Blood borne metastases to the lung bone, and brain. 3. Lymphatic spread to the regional lymph nodes.
  • 191.
    Urothelial tumors (tumorsof transitional epithelium) • The entire urinary collecting system from renal pelvis to urethra is lined by transitional cells (urothelium). • Most urothelial tumors occur in the urinary bladder. Urothelial tumors above the bladder are relatively uncommon. • Most urothelial tumors are malignant, but their aggressiveness and prognosis vary, depending on microscopic grade and tumor stage. • Most urothelial tumors are transitional cell carcinoma, however, rare cases of squamous cell carcinoma and adenocarcinoma are also reported
  • 192.
    Tumors of urinarybladder 1. TCC: most common 2. SCC: on top of squamous metaplasia (bilharziasis) 3. Adenocarcinoma: rare
  • 193.
    Transitional tumors • Riskfactors: • Cigarette smoking (the most Important risk factor) • Industrial exposure to azo dyes • Schistosomiasis • Drugs as analgesics and cyclophosphamide • Radiation therapy (cervical, prostatic or rectal cancer)
  • 194.
    classification According to WHO(2004) Papilloma (rare) Urothelial neoplasm of low malignant potential (rare) Low-grade papillary urothelial carcinoma High-grade papillary urothelial carcinoma According to invasion (tumor stage) Superficial tumors (not invading the bladder musculosa) Invasive tumors (invading the bladder musculosa) Transitional tumors
  • 195.
    Papilloma • Very rare •Usually seen in young patients. • Gross: • single, 0.5-2 cm in diameter composed of delicate papillae which are superficially attached to the mucosa by a stalk. • Microscopic: • delicate papillary structure, the lining epithelium indistinguishable from normal urothelium • When removed, rarely recurred.
  • 196.
    Urothelial neoplasm oflow malignant potential (rare) • Gross pathology: • larger than papilloma. • Microscopic pathology: • are similar, to papilloma but the urothelium is thicker and nuclei of cells are larger mitotic figures are rare. No tissue invasion. • They may recur after removal.
  • 197.
    Low-grade papillary urothelialcarcinoma • Gross pathology: • always papillary • Microscopic pathology: • papillary lesion lined by multiple layers of cells that are slightly pleomorphic • Most of them are superficial (not invading the muscle), • May recur after removal
  • 198.
    High-grade papillary urothelialcarcinoma • Gross pathology: • may be papillary, occasionally are nodular • Microscopic pathology: • cells are pleomorphic with large irregular nuclei and frequent mitoses • Usually invasive (invades the muscular layer)
  • 199.
    • Methods ofspread of bladder cancer: • Local to the surrounding structures • Lymphatic spread to LN • Blood borne metastases • Clinical features: • Painless hematuria • Dysuria • Hydronephrosis and/or hydrometer (due to obstruction of vesicoureteric orifices)
  • 200.
  • 201.
    Adult polycystic kidneys •It is an autosomal dominant anomaly. • It is bilateral and may be associated with cysts in other organs. • Renal function is usually maintained until about the fourth or fifth decade of life. • It may be asymptomatic until renal failure occurs, or it may lead to renal colic .
  • 202.
    Morphology **JAR • Thetwo kidneys are markedly enlarged • The two kidneys appear as masses formed solely of cysts with no intervening parenchyma. • Cysts may be filled with clear serous fluid or the fluid may appear, turbid, red to brown or hemorrhagic. • The renal pelvis and calyces are atrophied and distorted.
  • 203.
    The cause ofdeath: • Hypertension with its complications. • Chronic renal failure.
  • 204.
    Description : • Hugelyenlarged kidney • The external surface appears to be composed of a mass of cysts of variable in sizes and shapes. • Cysts are seen in cortex and medulla, which cannot be differentiated from each other • Cysts are thin-walled and contain clear serous fluid or hemorrhagic turbid red to brown fluid Diagnosis: Polycystic kidney.
  • 205.
    Acute renal failure •It is a syndrome which denotes rapid and frequently reversible deterioration (decline) of renal function. • It is characterized by sudden severe oliguria or anuria • (less than 400 c.c/day), associated with azotemia (increase in the serum level of creatinine and blood urea nitrogen).
  • 206.
    • Causes: Accordingto their frequency 1. Acute tubular necrosis. 2. Rapidly progressive GN. 3. Acute papillary necrosis. 4. Acute drug-induced interstitial nephritis. 5. Diffuse renal artery disease e.g. malignant hypertension. 6. Bilateral diffuse cortical necrosis. 7. Urinary obstruction (by a tumor or prostatic hyperplasia).
  • 207.
    Chronic renal failure •This syndrome results from gradual destruction of both kidneys. It is the end result of all chronic renal diseases. It is characterized by prolonged signs and symptoms of uremia. It represents a major cause of death from chronic renal diseases. • Causes: 1. Chronic glomerulonephritis. 2. Bilateral hydroureter and hydronephrosis. 3. Polycystic kidneys. 4. Bilateral chronic pyelonephritis including renal tuberculosis. 5. Renal amyloidosis. 6. Malignant hypertension.