CChhrroonniicc Bronchitis 
Chronic bronchitis 
Chronic Bronchitis is a respiratory condition that involves inflammation of the bronchial tubes 
(medium-sized airways) and bronchioles (the smaller branches of the bronchi) resulting in 
excessive secretions of mucus and tissue swelling that reduces the diameter of the bronchial 
tubes, making it progressively more difficult to breath. It leads to persistent coughing and 
production of sputum (phlegm) and mucus on a daily basis for at least three months per year, 
two years in a row. In the majority of patients both CB and emphysema co-exist, usually in 
heavy cigarette smokers. 
Aetiology and prevalence 
Atmospheric pollution and occupational dust exposure are minor aetiological factors in 
chronic bronchitis and the dominant causal agent is cigarette smoke. Smoking also causes 
emphysema.
Mechanism of airflow obstruction 
In chronic bronchitis the fundamental cause of reduced ventilatory capacity and breathlessness 
is the limitation of expiratory airflow. The disease is caused by an interaction between noxious 
inhaled agents and host factors, such as genetic predisposition or respiratory infections which 
cause injury or irritation to the respiratory epithelium of the walls and lumen of the bronchi 
and bronchioles. Chronic inflammation, edema, temporary bronchospasm, and increased 
production of mucus by goblet cells are the result. As a consequence, airflow into and out of 
the lungs is reduced, sometimes to a dramatic degree.
Clinical features 
Chronic bronchitis develops over many years and patients are rarely symptomatic before 
middle age. Symptoms are initially minor, perhaps a morning cough productive of a little 
sputum. The sputum may be clear, yellowish, or greenish depending on bacterial infection, and 
sometimes tinged with blood if small blood vessels are ruptured due to constant coughing. 
Initially breathlessness is on exertion but exercise capacity progressively and slowly 
deteriorates and eventually patients become respiratory cripples distressed even at rest. 
Patients with predominant bronchitis are prone to periodic infections. Eventually patients with 
chronic bronchitis develop severe hypoxia and other complications.
CChhrroonniicc BBrroonncchhiittiiss 
Management 
Restoration of normal function is not possible in chronic bronchitis. The aim of therapy must 
therefore be to reduce disability by tackling the interrelated problems of airways obstruction, 
recurrent infections, breathlessness, hypoxia and poor exercise tolerance. Factors aggravating 
chronic bronchitis, particularly cigarette smoking, must be withdrawn. 
Oxygen therapy 
During acute exacerbation of chronic bronchitis, O2 therapy is necessary to avoid death from 
hypoxia. Studies suggest that long-term controlled O2 therapy can benefit patients with severe 
airways obstruction who have severe hypoxia and who refrain from smoking cigarettes. It is 
necessary to administer O2 virtually continuously, including during sleep. The administration 
of continuous O2 presents considerable practical and financial difficulties. 
Cessation of cigarette smoking 
Tobacco smoke damages the bronchial tree and produces airflow limitation by a number of 
different actions. Smoke impairs mucociliary clearance and causes bronchial smooth muscle to 
contract by stimulating receptors and provoking the release of inflammatory mediators. In 
addition, smoke increases mucus production and causes mucous gland hypertrophy. Smokers 
are predisposed to bronchial infection and consequent inflammation. It is therefore not 
surprising that chronic bronchitis and emphysema are found in 15% of middle-aged males who 
smoke moderately or heavily but are rare in non-smokers, and that deaths from bronchitis 
increase with the amount smoked. 
If patients with chronic bronchitis and emphysema stop smoking, the rate of decline in 
pulmonary function is reduced to that of non-smokers. If patients stop smoking early in their 
disease there is improvement in pulmonary function. 
Diagnosing Chronic Bronchitis 
Physicians diagnose chronic bronchitis by using a combination of medical history, physical exam, and 
diagnostic tests. A history of a daily cough that lasts at least three months, especially if has occurred two years 
in a row, fits the criteria for a clinical diagnosis of chronic bronchitis. A history of smoking and/or working 
with noxious chemicals is also very relevant. The physical examination usually includes listening for wheezing, 
determining if there is a prolongation of exhalation, and looking for evidence of cyanosis, which are all signs of 
airflow obstruction. A sputum sample showing neutrophil granulocytes (inflammatory white blood cells) and a 
positive culture for pathogenic microorganisms such as Streptococcal species are also indications that the 
patient might have chronic bronchitis. However, for expectorated sputum samples to be considered valid, 
conventional wisdom is that there should be fewer than 10 squamous cells and more than 25 white blood cells 
per high-power microscopic field. 
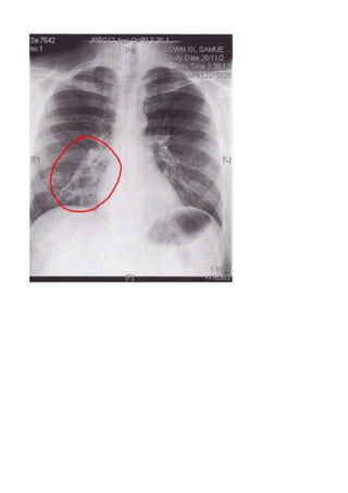
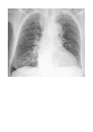
A chest X-ray is often taken if bronchitis is suspected to help rule out other lung conditions such as pneumonia, 
tuberculosis, or bronchial obstructions.
Chronic bronchitis
Chronic bronchitis
Chronic bronchitis

Chronic bronchitis

  • 1.
    CChhrroonniicc Bronchitis Chronicbronchitis Chronic Bronchitis is a respiratory condition that involves inflammation of the bronchial tubes (medium-sized airways) and bronchioles (the smaller branches of the bronchi) resulting in excessive secretions of mucus and tissue swelling that reduces the diameter of the bronchial tubes, making it progressively more difficult to breath. It leads to persistent coughing and production of sputum (phlegm) and mucus on a daily basis for at least three months per year, two years in a row. In the majority of patients both CB and emphysema co-exist, usually in heavy cigarette smokers. Aetiology and prevalence Atmospheric pollution and occupational dust exposure are minor aetiological factors in chronic bronchitis and the dominant causal agent is cigarette smoke. Smoking also causes emphysema.
  • 2.
    Mechanism of airflowobstruction In chronic bronchitis the fundamental cause of reduced ventilatory capacity and breathlessness is the limitation of expiratory airflow. The disease is caused by an interaction between noxious inhaled agents and host factors, such as genetic predisposition or respiratory infections which cause injury or irritation to the respiratory epithelium of the walls and lumen of the bronchi and bronchioles. Chronic inflammation, edema, temporary bronchospasm, and increased production of mucus by goblet cells are the result. As a consequence, airflow into and out of the lungs is reduced, sometimes to a dramatic degree.
  • 3.
    Clinical features Chronicbronchitis develops over many years and patients are rarely symptomatic before middle age. Symptoms are initially minor, perhaps a morning cough productive of a little sputum. The sputum may be clear, yellowish, or greenish depending on bacterial infection, and sometimes tinged with blood if small blood vessels are ruptured due to constant coughing. Initially breathlessness is on exertion but exercise capacity progressively and slowly deteriorates and eventually patients become respiratory cripples distressed even at rest. Patients with predominant bronchitis are prone to periodic infections. Eventually patients with chronic bronchitis develop severe hypoxia and other complications.
  • 4.
    CChhrroonniicc BBrroonncchhiittiiss Management Restoration of normal function is not possible in chronic bronchitis. The aim of therapy must therefore be to reduce disability by tackling the interrelated problems of airways obstruction, recurrent infections, breathlessness, hypoxia and poor exercise tolerance. Factors aggravating chronic bronchitis, particularly cigarette smoking, must be withdrawn. Oxygen therapy During acute exacerbation of chronic bronchitis, O2 therapy is necessary to avoid death from hypoxia. Studies suggest that long-term controlled O2 therapy can benefit patients with severe airways obstruction who have severe hypoxia and who refrain from smoking cigarettes. It is necessary to administer O2 virtually continuously, including during sleep. The administration of continuous O2 presents considerable practical and financial difficulties. Cessation of cigarette smoking Tobacco smoke damages the bronchial tree and produces airflow limitation by a number of different actions. Smoke impairs mucociliary clearance and causes bronchial smooth muscle to contract by stimulating receptors and provoking the release of inflammatory mediators. In addition, smoke increases mucus production and causes mucous gland hypertrophy. Smokers are predisposed to bronchial infection and consequent inflammation. It is therefore not surprising that chronic bronchitis and emphysema are found in 15% of middle-aged males who smoke moderately or heavily but are rare in non-smokers, and that deaths from bronchitis increase with the amount smoked. If patients with chronic bronchitis and emphysema stop smoking, the rate of decline in pulmonary function is reduced to that of non-smokers. If patients stop smoking early in their disease there is improvement in pulmonary function. Diagnosing Chronic Bronchitis Physicians diagnose chronic bronchitis by using a combination of medical history, physical exam, and diagnostic tests. A history of a daily cough that lasts at least three months, especially if has occurred two years in a row, fits the criteria for a clinical diagnosis of chronic bronchitis. A history of smoking and/or working with noxious chemicals is also very relevant. The physical examination usually includes listening for wheezing, determining if there is a prolongation of exhalation, and looking for evidence of cyanosis, which are all signs of airflow obstruction. A sputum sample showing neutrophil granulocytes (inflammatory white blood cells) and a positive culture for pathogenic microorganisms such as Streptococcal species are also indications that the patient might have chronic bronchitis. However, for expectorated sputum samples to be considered valid, conventional wisdom is that there should be fewer than 10 squamous cells and more than 25 white blood cells per high-power microscopic field. A chest X-ray is often taken if bronchitis is suspected to help rule out other lung conditions such as pneumonia, tuberculosis, or bronchial obstructions.