Bronchiectasis
 Dr Yog Raj Khinchi
Chronic Bronchitis
Definition
 ADULTS: Productive cough daily
 for 3 months/year for 2
 consecutive years.

 CHILDREN: Productive cough of
 >2 months duration or recurrent
 episodes of productive cough >4
 times/year.
Bronchitis is a state of
increased mucus
production, with or without
adequate mucociliary
transport, that requires cough
for clearance of airway
secretions.
Airway
              Stimulus/Injury


     Increasing Secretion Production




Increased        Effective        Secretion
Mucociliary       Cough      Inspissation Airway
Clearance                        Obstruction
                             Recurrent/Persistent
Chronic Bronchitis: Underlying
Conditions
          Chronic Airway • Asthma
  Infection/Inflammation: • Cystic Fibrosis
                           • Aspiration syndromes
                           • Chronic foreign body
                           • Tuberculosis

  Primary Host Defense • Ciliary dyskinesias
         Abnormalities: • Immunodeficiencies
                           • Congenital
                           • Acquired (HIV)

        Inefficient Cough • Airway compression
              Syndromes: • Trachobronchomalacia
                           • Neuromuscular weakness
                           • Tracheostomies
                           • Bronchiolitis obliterans
Bronchiectasis
Pathogenesis
   Airway Injury +
  Secretion Stimuli




    Secretion Stasis          Infection



                 Airway Destruction +
                    Airway Dilation
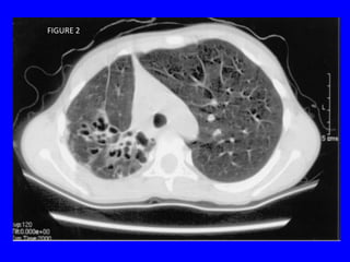
FIGURE 2
CF vs. Idiopathic Bronchiectasis

       CYSTIC               IDIOPATHIC
      FIBROSIS            BRONCHIECTATIS

Multi-organ Involvement     Sinopulmonary
                             Involvement
        Diffuse                Multifocal

    Pseudomones              Mouth Flora

 Tenacious Secretions     Mucoid/Coughable

  50% Bronchodilator      50% Bronchodilator
     Response                Response
 Progressive Outcome      Variable Outcome
Treatments for Idiopathic (Post-Infectious)
Bronchiectasis
          Reduce Secretion •      Reduce Irritant Exposure
               Production: •      Reduce Aspiration Events
                             •    Reduce GER


 Reduce Infection Exposure: •    Dental Hygiene
                                 Antibiotics for: Upper Airway
                                                  Lower Airway
                                                  Exacerbations
         Promote Secretion •     Chest Physiotherapy
               Clearance:
 Reduce Airway Obstruction: •    ?Bronchodilators
                             •   Inhaled Steroids

          Prevent Infection: •   Immunizations
                             •   ?Palivizumab, Flu shots
                             •   Pneumococcal vaccine (7 + 23 valent)
Bronchiectasis
• Irreversible, abnormal dilatation of one or more
  bronchi, with chronic airway inflammation.
  Associated chronic cough, sputum
  production, recurrent chest infections, airflow
  obstruction, and malaise
• Prevalence unknown (not common)
• Pathological endpoint with many underlying causes
Pathogens associated with exacerbations and
    disease progression in bronchiectasis
                             • Non-tuberculosis
Haemophilus influenzae         mycobacteria
Haemophilus parainfluenzae     –   M. avium complex (MAC)
Pseudomonas aeruginosa         –   M. kansasii
                               –   M. chelonae
                               –   M. fortuitum
Streptococcus pneumoniae
                               –   M. malmoense
Moraxella catarrhalis          –   M. xenopi
Staphylocccus aureus
                             • Aspergillus-related
Stenotrophomonas maltophilia
Gram-negative enterobacter
                               disease
Causes / associations of bronchiectasis
•   Idiopathic
•   Postinfectious
•   Humoral immunodeficiency
•   Allergic bronchopulmonary aspergillosis (ABPA)
•   Aspiration/GI reflux
•   Rheumatoid arthritis
•   Youngs Syndrome
•   Cystic Fibrosis
•   Ciliary dysfunction
•   Ulcerative colitis
•   Panbronchiolitis
•   Congenital
•   Yellow nail syndrome
Evidence for dysregulated immunity in
               bronchiectasis
• Increased susceptibility to infection - bacterial, non-
  tuberculous mycobacterial (NTM), and aspergillus-related
  lung disease
• Associated with autoimmune disease such as the
  inflammatory bowel disease, ulcerative colitis
• Neutrophils are markedly raised, as predicted from high local
  levels IL-8
• Associated with immune deficiency syndromes such as TAP
  deficiency syndrome
Evidence for dysregulated immunity in
               bronchiectasis
• Increased susceptibility to infection - bacterial, non-
  tuberculous mycobacterial (NTM), and aspergillus-related
  lung disease
• Associated with autoimmune disease such as the
  inflammatory bowel disease, ulcerative colitis
• Neutrophils are markedly raised, as predicted from high local
  levels IL-8
• Associated with immune deficiency syndromes such as TAP
  deficiency syndrome
Bronchiectasis associated with increased
      susceptibility to specific pathogens
                             • Non-tuberculosis
Haemophilus influenzae         mycobacteria
Haemophilus parainfluenzae     –   M. avium complex (MAC)
Pseudomonas aeruginosa         –   M. kansasii
                               –   M. chelonae
                               –   M. fortuitum
Streptococcus pneumoniae
                               –   M. malmoense
Moraxella catarrhalis          –   M. xenopi
Staphylocccus aureus
                             • Aspergillus-related
Stenotrophomonas maltophilia
Gram-negative enterobacter
                               disease
Evidence for dysregulated immunity in
               bronchiectasis
• Increased susceptibility to infection - bacterial, non-
  tuberculous mycobacterial (NTM), and aspergillus-related
  lung disease
• Associated with autoimmune disease such as the
  inflammatory bowel disease, ulcerative colitis
• Neutrophils are markedly raised, as predicted from high local
  levels IL-8
• Associated with immune deficiency syndromes such as TAP
  deficiency syndrome
Bronchiectasis associated with
    autoimmune disease

   • Rheumatoid arthritis
   • Systemic lupus erythematosus
   • Relapsing polychondritis
   • Inflammatory bowel disease -
     Ulcerative colitis and Crohn’s
     disease
Evidence for dysregulated immunity in
               bronchiectasis
• Increased susceptibility to infection - bacterial, non-
  tuberculous mycobacterial (NTM), and aspergillus-related
  lung disease
• Associated with autoimmune disease such as the
  inflammatory bowel disease, ulcerative colitis
• Neutrophils are markedly raised, as predicted from high local
  levels IL-8
• Associated with immune deficiency syndromes such as TAP
  deficiency syndrome
Suppurative Lung Disease
• Bronchiectasis
• Lung abcess
• Empyema
Brochiectasis
• Def:destructive lung disease :chronic permanent and
  abnormal dilatation of bronchial wall with variable
  inflammatory process in the lung. Chronic bronchial
  sepsis
• Pathology: non-inflammatory:congenital
             acquired:
                      Bronchial wall dilatation.
                      excess mucus.
                      loss of connective tissue support
                      inflammation with metaplasia of ciliated
  epithelium to squamous or columnar + micro-abcess formation.
  Collapsibility of the wall leads to obstructive defect on spirometry.
Notes
• Bronchiectasis is of two types:
1- Dry: there is dilatation, destruction,
  but no purulent secretion.
2- Suppurative (refers to chronic
  bronchial sepsis): this is
  bronchiectasis that have suppuration
  ( pus formation).
Pathogenesis
• Vicious cycle:
  infectious insult & impaired drainage &/or defect in host defence

• Role of positive :
  genetic susceptibilty
  family history
Notes
• Normally, in healthy individuals the immune system and
  mechanical system (cilia function) are intact, resulting in
  good clearance of microorganisms leading to recovery.
• Therefore, with impaired cilia function and/or host defense
  a vicious cycle (ongoing inflammation) will occur leading to
  bronchiectasis.
• People with family history and genetic susceptibility (e.g a-
  1 antitrypsin deficiency), when having a microbial insult,
  they can not clear it probably because of defective immune
  and/or mechanical drainage system.
• The most important organisms are: H.influenza,
  encapsulated streptococcus pneumoniae, and
  pseudomonus.
Classification
Spectrum:
• 1.follicular cylindrical:transmural inflammation, loss of bronchial
   elastic tissue, mucosal edema; post infectious
• 2.Saccular:ulceration ,craters; general dilatation specially terminal
   (saccules).
  (varicose:distortion by scarring and obstructions)
• 3. Atelactatic:
     localised, could be secondary to 1, or 2.importance to site and
   distribution: lobar or segmental.
Notes
• Another type of classification is:
1- follicular cylindrical it is called follicular
   because of presence of lymphoid follicles in the
   bronchus. But it is generally called cylindrical
   because it is transmural and localized to one
   bronchus.
2- saccular: so called because there are succule
   like formation at the terminal part of the
   bronchus.
- varicose: this is when you have two types
   together cylindrical and saccular.
Causes of bronchiectasis

Congenital:elastic bronchial wall def.
                 other congenital abnormalities,lung sequestration


Mechanical bronchial obstruction:
Intrinsic and extrinsic:
Lymph node or scaring :post-TB
Foreign body: selective lobes
Child vs adult
Notes
• Causes:
1- congenital:in fetus, the lung is not mature enough because
   its blood supply is deprived, therefore making it liable to
   bronchiectasis.
2- bronchial obstruction: the process of obstruction will cause
   stagnation of secretion which will then start the process of
   microbial infection leading to abcess formation and then
   tissue destruction, hence bronchiectasis.
- Bronchial obstruction can be intrinsic (in wall or lumen) or
   extrinsic (external compression).
Cont’d Notes
- TB produces both intrinsic (by scarring) and extrensic
  (compression by lymph node).
• The common site of obstruction is the right posterior upper
  lobe.
• Obstruction of airways in children can be caused by inhaling
  a foreign body, and the inhalation of a foreign body also
  leads to lung abcess.
• Obstruction in adults can occur due to inhaling chemicals or
  impaired gastroesophageal reflex and aspiration.
*Cont’d Causes
*Inflammatory pneumonitis
-Aspiration:chemical ,gastric
-Inhalation: fumes

*Granulomata and fibrosis:
 sarcoidosis ,TB,IPF

*Immunological over-response: ABPA (allergic bronchial pulmonary
  aspergellosis), post lung transplant

*Immune deficiency
 Primary: children: hypogammaglobinaemia:repeated
  sinopulmonary infection
 Secondary: AIDS, CA
Cont’d Causes
*Mucociliary clearance defects
-Genetic
   -Primary ciliary dyskinesia :cilia abnormal
   50% Kartegner’s:S.I, sinusitis Bronchiectasis.
  -Cystic Fibrosis: abnormal mucus content.
*Acquired: -Young’s: sinusitis ,bronchiectasis ,obstructive azoospermia.
   Abnormal mucus.
- -Post-infective bronchial damage:measles, pertussis.
   MAI.Viral.Mycoplasma
- Toxins: SO2,smoking, lidocaine. Asthma.
*Rheumatic and systemic inflammatory diseases:e.g IBD (inflammatory
   bowel disease).
*Idiopathic (including diffuse panbronchiolitis), good % with no cause
Notes
• In cystic fibrosis, the cilia is normal but the mucus is
  abnormal because there is a block in the chlorine
  channel (not responsive to cyclic AMP) causing the
  mucus to become more sticky. This disease is
  characterized by increased Na and Cl in sweat, which is
  detected by sweating test.
• Kartegner syndrome: is a type of primary ciliary
  dyskinesia which is also associated with sinusitis,
  bronchiectasis, and transposition of the viscera.
• Young’s disease is characterized by high lipid content of
  mucus.
• Idiopathic: panbronchiolitis (responsive to macrolide) is
  found mainly in Japanese and East Asia.
Cont’s Notes
• ABPA causes hyper immune activity.
• Atypical mycobacterial infection and
  uncontrolled asthma can cause
  abnormal cilia.
*Mucociliary clearance defects
• *Genetic: Cystic fibrosis: AR, Gene
   mutation,chromosome 7,Transmembrane conductance
   regulator pr-CFTR
  commonest:deletion at 508
  impairment of chloride channel.non respondent cyclic-
   AMP. Cl- and water not excreted but Na and its water
   absorbed ,mucus get thickened.Sweat content of Na , Cl
   altered.
Clinical manifestation of cystic fibrosis

                       Primary
•   Bronchiectasis            *Nasal polyps
•   Bronchiolitis, bronchitis * Cirrhosis
•   Infertility              * Meconium ileus
•   Pancreatic insufficiency
•   Pneumonia
•   Salt loss
Secondary
*Atelectasis * Allergic bronchopulmonary
*Clubbing        aspergillosis
*Malabsorption * cholelithiasis
*Heat prostration * Cor pulmonale
*Hypochloraemic * Conductive hearing loss
 hypokalaemic alkalosis * Diabetes mellitus
Diagnosis of Bronchiectasis
• 1.History: usually :muco-purulent sputum, cough.
                    occasionally recurrent hemoptysis, recurrent fever
Less specific : dyspnea, wheeze ,pleuritic pain
• 2.Examination:              Early: normal

                      nowadays:clubbing 3%,crackles70%
             rarely :Core pulmonale( right ventricular
   hypertrophy due to pulmonary hypertension),CCF.
Notes
The most important sign is is abundant productive cough
  increasing with lying down.
• The second important manifestations are lung abcess,
  infective emboli, clubbing and amyloidosis (AA type).
• How hemoptysis occurs?
An insult causes injury, followed by healing and
  neovascularization. These new formed blood vessels are
  weak and fragile, hence easily ruptured causing
  hemoptysis.
- Wheeze: musical sounds produced by air passing through
  narrowed airways (during inspiration & expiration).
- Crackles (crepitations): non-musical sounds mainly heard
  during inspiration caused by reopening of occluded small
  airways.
Investigation
• Sputum: gram stain,selective media ( it is done not to
  miss certain organisms),semi –quantitative
• !!TB, fungal
• CXR:     early volume loss,vascular crowdening
           late:cylindrical tramline,cystic.
• Disribution: central ABPA,
            LL: idiopathic
            UL: CF or variant
Investigation
• Bronchogram: surgery
• HRCT: standard
• Sinus X-Ray
• PFT: normal,obstructive,air trapping
• Specific: Ig level:IgA (in immunocompromised
  patients).
• precipitin level is measured in skin, sputum and serum. If it
  is high in 2 out of the 3 sites, we think of ABPA.
• Brochoscopy
Notes
• Bronchogram: do a bronchoscope then inject a
  dye. It is done when you are planning for
  surgery.
• HRCT= high resolution CT scan.
• Sinus X-ray is done to rule out sinusitis
• PFT is early normal, later:obstruction/ air
  trappin
• Bronchoscopy is indicated in case of hemoptysis
  and it is important to rule out obstructive
  lesions (e.g. foreign bodies) and TB. These
  three conditions are not responding to
  antibiotics.
Notes
• The previous slide shows CT taken
  during inspiration.
• Usually, a blood vessel has a
  bronchus beside it that has the same
  size.
• So, if you see a bronchus larger than
  the accompanied vessel then suspect
  bronchiectasis.
Notes
• The previous CT was taken for the
  same patient during full
  expiration, which is better than the
  full inspiratory CT.
Cont’d investigation
•   UGI Endoscopy
•   Anti protease level
•   Sweat test
•   Genetic studies
•   Rh. Factor
Complication
• Mostly:                         infective
  exacerbation,haemoptysis
• Rarely now:                    metastatic spread of
  infection       empyema
  amyloidosis                       clubbing
  joint pain
• Note: certain complications are rare because of early
  detection.
Management
• Prevention:
• Medical treatment:control infection ,bronchial hygiene
• Antibiotic:acute exacerbation: cover I.infl., strep.
  Prophylactic:several protocols: commoner :
  10days/Month or 10 days alternate with 10 free days.
• Bronchodilator
• IV Ig if deficient
• Oral Steroid:only ABPA vs inhaled steroids
• Mucolyte :debatable.role of ACC ( N-acetylcystin
  which is antioxidant), DNAs
• Anti-fungal :itracanazole: ABPA
• Future treatment:Antiprotease replacement
• CF treatment (very complicated)
Notes
• Management of bronchiectasis includes:
- 1- Giving Igs for immunocompromised patients.
- 2- Vaccination for H. influenza, pneumococcus and
  influenza.
- 3- Screening for TB (very important).
- 4- Bronchodilators (almost always given).
- 5- Steroids (only for ABPA because of the
  hyperimmunity).
- 6- mucolytics: make sputum more liquid and less viscus
  (not important except DNAs in cystic fibrosis patients to
  improve their lung function).
Cont’d management
Physiotherapy
Corner stone:Postural drainage,
hydration ,nebulized saline
*Surgery:
 .Massive haemoptysis: > 600ml/day.
 .Localized troublesome resectable bronchiectasis
 .Palliative for important stump.
Notes
- physiotherapy: teach the patient how to drain his lung
   (lungs should be drained daily).
- Surgery: is indicated:
1- when there is severe hemoptysis
2- if one lobe causing problems to the patient, so you
   resect it to prevent damage to other lobes
3- if you have a diffuse lung disease and one particular area
   which is more problematic, then you resect it.
- Mild hemoptysis: loss of 200-300ml/day.
- Moderate hemoptysis: loss of 300-600ml/day.
- Severe hemoptysis: loss of > 600ml/day.
Cont’d management
 Haemoptysis:
*Mild: antibiotic
*Severe: surgery or bronchial artery embolization
Lung Transplant: always double.
- Indication for transplantation: bilateral, advanced, and
   bleeding bronchiectasis.
- 2 lungs should be transplanted because if you transplant
   one lung only, the diseased lung you left in the body can
   affect the new transplanted lung to become also
   infected.
Bronchiectasis
“Chronic dilation of the bronchi marked by
  fetid breath and paroxysmal coughing, with
  the expectoration of mucopurulent
  matter.”
Morphological types
• Cylindrical or tubular bronchiectasis

• Varicose

• saccular or cystic bronchiectasis
Bronchiectasis


• Causes and pathogenesis
• Microbiology /common pathogens
• Therapeutic Goals
Ct/cxr
Ct/cxr
Bronchiectasis
Worldwide, infection is the primary cause
  – M. Tuberculosis
  – Childhood illnesses
     • Rubeola, B. Pertussis
Childhood Infections        M. Tb.




                          Infection


                         Inflammation


                         Bronchiectasis



                       Altered development
Inflammation

Characteristics across etiologies:
- Persistent
- Neutrophil dominant
- Pro-inflammatory cytokines (IL-
   8, IL-1, TNF-a)
- Low anti-inflammatory cytokines
   (IL-10)
Airway Damage
   Failure to Resolve Inflammation

– Inappropriate inflammation
   e.g. ABPM, CF (?)


– Impaired clearance of stimuli
   Bacteria, mucus, toxins
Airway Damage
   Failure to Resolve Inflammation
– Altered Airway Milieu
   Proteolytic damage
     -e.g. cleaved receptors
     -impaired macrophage function*

   Oxidant stress
    -low antioxidants associated with worse disease
    -dysregulation of signaling and cellular function‡
Childhood Infections        M. Tb.




                          Infection


                        Inflammation*        Impaired Clearance


                        Bronchiectasis



                       Altered development
Impaired Clearance
Altered ciliary Function
  PCD, smoking, CFTR, Young’s

Mucus rheology
  CFTR, Mucoid Ps. A

Dilated or obstructed airways
   Impaired cough, foreign bodies, aspiration
Impaired Immunity
              Ineffective inflammation

Acquired
Chemo-immunomodulation
Congenital/innate
HIV/AIDS            Chemo-Immunosuppression
                                                  anti-TNF, MTX, anti-neoplastics

Childhood Infections              M. Tb.
                                                          Innate Deficiency
                                                          CGD, CVID, Ig’opathy (IFN)




                               Infection


                            Inflammation                  Impaired Clearance
                                                           foreign body, CF


                              Bronchiectasis



                            Altered development
HIV/AIDS            Chemo-Immunosuppression

Childhood Infections              M. Tb.
                                                        Innate Deficiency




                               Infection


Auto-Immune                                             Impaired Clearance
 RA, Sjogren’s, IBD        Inflammation
ABPM

                             Bronchiectasis



                            Altered development
HIV/AIDS            Chemo-Immunosuppression

Childhood Infections              M. Tb.
                                                        Innate Deficiency




                               Infection


   Auto-Immune             Inflammation                 Impaired Clearance
    ABPM

                             Bronchiectasis



                            Altered development
HIV/AIDS            Chemo-Immunosuppression

Childhood Infections              M. Tb.
                                                        Innate Deficiency




                               Infection


   Auto-Immune             Inflammation                 Impaired Clearance
    ABPM

                             Bronchiectasis



                            Altered development
Bronchiectasis
            Epidemiology and Etiology

Who?
Patients      - with altered immune system
              - with persistent respiratory symptoms

Why?
Persistent inflammation in the respiratory system
Bronchiectasis Therapy
                      Decrease inflammation

antibiotics
clearance
   – Flutter, IPPV, Vest, Bronchodilators, hypertonic saline

(anti-inflammatory chemotherapy)
   – Steroids, macrolides, interferon-gamma, ibuprofen

(surgical resection)
When to suspect bronchiectasis?


Chronic cough, sputum
Coarse rales
Persistent respiratory
  symptoms
Recurrent pneumonia
Progressive obstructive lung
  disease
Funny bugs
Clinical Characteristics

– Focal                     – Systemic
   • Sputum production         • Malnutriton/wasting
       – Mild <15 cc/d         • Chronic Inflammation
       – Moderate 15-150           –   “gammaglobulinemia”
         cc/d                      –   CRP
                                   –   Sed’ rate
       – Severe >150 cc/d
                                   –   anemia
   • Hemoptysis
   • Dyspnea
   • Chest pain
Bronchiectasis Therapy
                    Antibiotics

Episodic or suppressive antibiotics?

  Yes.

Selective pressure vs. suppression of damage
Bronchiectasis Therapy
                      Antibiotics

                             Con
• Pro                              Select resistance
  – Decrease inflammation          Cost
                                   Side effects
  – Slow progression               adherence difficult   (e.g.
  – Eradication?                   Huong et al.)
Bronchiectasis Therapy
                      Antibiotics

                             Con
• Pro                              Select resistance
  – Decrease inflammation          Cost
                                   Side effects
  – Slow progression               adherence difficult   (e.g.
  – Eradication?                   Huong et al.)
Bronchiectasis Therapy
                Antibiotics when to use?

                             No:
• Yes:                             Minimal disease without
  – Evidence of                    organism
                                   Patient Intolerant
    exacerbation
                                   “Unaffordable”
  – Progressive decline
  – “Frequent
    exacerbator”
  – Active inflammation
    (?)
Bronchiectasis Therapy
                      Decrease inflammation

Clearance
Immunomodulatory chemotherapy
proposed therapies:
    – Steroids
    – Macrolides, tetracyclines
    – interferon-gamma
    – ibuprofen
Bronchopulmonary Hygiene
•   removal of respiratory secretions is beneficial
•   chest percussion and postural drainage
•   chest clapping or cupping
•   inflatable vests or mechanical vibrators
•   Oral devices that apply positive end-
    expiratory pressure maintain the patency of
    the airway during exhalation
• Maintaining adequate systemic hydration,
  enhanced by nebulization with saline,
• Acetylcysteine delivered by nebulizer thins
  secretions
• aerosolized recombinant human DNase
  (rhDNase) in patients with cystic fibrosis
Surgery
•   Localised bronchiectasis
•   Proximal obstructive lesion
•   Massive hemoptysis
•   Recurrent infections
Vicious loops
                   Infection




 Bronchial
Obstruction                      Inflammation




                Bronchiectasis
Summary
diagnosis                            management
•   History                          •   Treat bronchiectasis
     – Prior infections, exposures        – Clearance
     – Time course                        – Antibiotics
     – Other manifestations?              – Immune-modulation
•   Chest Imaging                    •   Balance burden of disease vs
     – Define region, pattern            burden of therapy
•   Sputum culture                       (Sputum, Symptoms, PFT’s, Weight, X-rays)
•   Determine causal disease         •   Other…
     – sweat testing                      – Underlying disease therapy
     – immune testing
     – serologic testing                  – Transplantation
                                          – Management of complications
                                                • Collapse, plugs, hemoptysis
Antibiotics
      Vicious loop        tobramycin
                                           Infection




             Bronchial
            Obstruction                                  Inflammation
Clearance                                                     Anti-inflammatory
Albuterol, DNase,                                            Inhaled steroids
Therapy vest


                                        Bronchiectasis
Bronchiectasis

Dilated airways with frequently
        thickened walls
Bronchiectasis: Clinical

Note: Bronchiectasis may happen 2/2 COPD or may be a
  separate process with very similar symptoms


Clinical:
• Cough (90 %)
• Daily sputum production (76%)
• Dyspnea (72%)
• Hemoptysis (56%)
• Recurrent pleurisy
Pathophysiology
2 Prerequisites:

• Infectious insult

• Impairment of drainage, airway
  obstruction, and/or a defect in host defense.
Pathophys Continued
• Infection:
Bacterial, mycobacterial, esp. ABPA central airway
  bronchiectasis

• Airway obstruction:
intraluminal tumor, foreign body, lymph nodes, COPD

• Immunodeficiency:
ciliary dyskinesia, HIV, hypogammaglobulinemia, cystic fibrosis
   (obstruction and immunodef.)
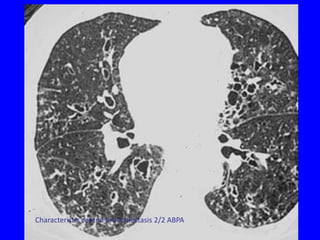
Characteristic central bronchiectasis 2/2 ABPA
Note characteristic location in the upper lobes and superior segments of
lower lobes
Exacerbation: Etiology +Rx
Colonization/infection:
• Hemophilus
• Pseudomonas
• MAI
• Aspergillus

Very difficult to distinguish colonization from acute infection with these
       bugs.
 Psuedomonas colonized more bronchiectasis on CT; increased number
       of hospitalizations vs H. flu colonization
Effect of sputum bacteriology on the quality of life of patients with bronchiectasis. Wilson CB; Jones PW; O'Leary CJ; Hansell DM; Cole PJ; Wilson R Eur
       Respir J 1997 Aug;10(8):1754-60.




Treatment:
fluoroquinolone
Prevention
• Antibiotics-Controversial:
Consider Macrolide TIW
Cipro qd X 7-14 D/ month

• Bronchial Hygiene, physiotherapy, pulmonary
  rehab
• ?bronchodilators, and steroids
• Surgery
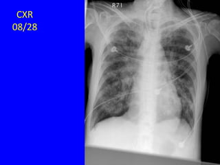
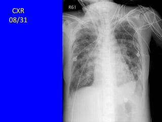
CXR
08/21
CXR
08/23
CXR
08/28
CXR
08/31
HRCT
08/31
CXR
09/01
CXR
09/09
CXR
09/15
Bronchiectasis
Introduction
• Chronic daily cough w/ viscid sputum
• Bronchial wall thickening and luminal dilation
  on CT
• Prevalence varies
  – Associated w/ ↑age, female
• Management
  – Infection control
  – ↑ bronchial hygiene
  – Surgical resection in selected p’t
Pathophysiology
• Permanent abnormal dilation and destruction
  of bronchial walls
• Two factors
  – Infection
  – Impairment of drainage, airway obstruction,
    and/or defect in host defense
• Biomarkers: inflammatory cells or 8-iso-
  prostaglandin F(2α) in sputum
Etiology
• Pulmonary infections
   – viral, mycoplasma, TB, MAC
• Airway obstruction
• Defective host defenses
• ABPA (allergic bronchopulmonary aspergillosis)
• Rheumatic and other systemic dz
   – RA, Sjogren’s syndrome
   – Ulcerative colitis
• Dyskinetic cilia
• Cystic fibrosis ← rare in TW
• Cigarette smoking?
Diagnostic Evaluation
• CBC w/ differential
• Ig quantification
• Sputum culture and smear
  – bacteria, mycobacteria, fungi
• CXR
  – Linear atelectasis, tram track, ring
    shadow, irregular peripheral opacities
• HRCT: defining test
• PFT
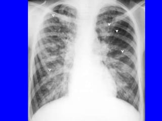
CXR of Bronchiectasis
CXR of Bronchiectasis




         Hansell DM - Radiol Clin North Am - 01-JAN-1998; 36(1): 107-28
CXR of Bronchiectasis




         Hansell DM - Radiol Clin North Am - 01-JAN-1998; 36(1): 107-28
HRCT
• Sensitivitiy ~97%
• Findings
   –   Airway dilation
   –   Lack of tapering of bronchi
   –   Bronchial wall thickening
   –   Mucopurulent plugs or debris
   –   Cyst
   –   Pneumonia, LAP, emphysema
• Distributions
   – Upper lobe
   – Central distribution
HRCT




       Radiol Clin N Am 43(2005) 513-542
HRCT
HRCT
Management
• Infection control
• ↑ bronchial hygiene
• Surgical resection in selected p’t
Infection Control
• Acute exacerbation
  –   ↑viscous, dark sputum, lassitude, SOB, pleurisy
  –   Fevers and chills generally absent
  –   CXR rarely show new infiltrates
  –   H. influenzae and P. aeruginosa
  –   FQ is reasonable (eg. ciprofloxacin) for 7~10 days
Prevention
• Daily ciprofloxacin (500~1500mg) in 2~3 doses
• Macrolide daily or three times weekly
• Daily use of a high dose oral antibiotic, such as
  amoxicillin 3 g/day
• Aerosolization of an antibiotic
• Intermittent intravenous antibiotics
Problematic Pathogen
• Pseudomonas aeruginosa
  – Almost impossible to irradicate
  – Wilson CB et al.
     • Reduced QoL
     • More extensive bronchiectasis on CT
     • Increased number of hospitalizations
  – Ciprofloxacin quickly develops resistance
Bronchial Hygiene
• Oral hydration
• Nebulization
   –   Normal saline
   –   Acetylcyteine
   –   Recombinant DNAase
   –   Hypertonic saline, mannitol, dextran, lactose
• Physiotherapy
   – Chest percussion
   – Prone position
• Bronchodilator? Steroid? NSAID?
Surgical Intervention
• Removal of the most involved segments
• Most common: middle and lower lobe
  resecton
• Hemoptysis:
  – Bronchial a. embolization
• Lung transplantation
Lung Transplantation
• Overall 1-year survival : 68% (54-91%)
• Overall 5-year survival : 62% (41-83%)
• Subgroup
   – SLTX : 1 yr survival 57% (20%-94%) n=4
      • Mean FEV1 : 50% predicted (34%-61%),
      • Mean FVC : 53% predicted (46-63%)
   – 2 lungs : 1 yr survival 73% (51-96%) n = 10
      • Mean FEV1 : 73% predicted (58%-97%),
      • Mean FVC : 68% predicted (53%-94%)
Chapter 14
                               Bronchiectasis



                                                                          C

                                       A
                                                          B
                                                                                E

       D


 Figure 14–1. Bronchiectasis. A, Varicose bronchiectasis. B, Cylindrical bronchiectasis. C, Saccular
bronchiectasis. Also illustrated are excessive bronchial secretions (D) and atelectasis (E), which are
                  both common anatomic alterations of the lungs in this disease.
Three Forms of Bronchiectasis
• Varicose bronchiectasis
• Cylindrical bronchiectasis
• Saccular bronchiectasis
Anatomic Alterations of the Lungs

•   Chronic dilation and distortion of bronchial airways
•   Excessive production of often foul-smelling sputum
•   Smooth muscle constriction of bronchial airways
•   Hyperinflation of alveoli (air-trapping)
•   Atelectasis, consolidation, and parenchymal fibrosis
•   Hemorrhage secondary to bronchial arterial erosion
Etiology
• Acquired bronchiectasis
  – Recurrent pulmonary infection
  – Bronchial obstruction
• Congenital bronchiectasis
  – Kartagener’s syndrome
  – Hypogammaglobulinemia
  – Cystic fibrosis
Overview of the Cardiopulmonary
 Clinical Manifestations Associated
       with BRONCHIECTASIS
The following clinical manifestations result from
the pathophysiologic mechanisms caused (or
activated) by Atelectasis (see Figure 9-12),
Consolidation (see Figure 9-8), Bronchospasm
(see Figure 9-10), and Excessive Bronchial
Secretions (see Figure 9-11)—the major anatomic
alterations of the lungs associated with
bronchiectasis (see Figure 14-1).
Figure 9-7. Atelectasis clinical scenario.
Figure 9-8. Alveolar consolidation clinical scenario.
Figure 9-9. Increased alveolar-capillary membrane thickness clinical scenario.
Figure 9-10. Bronchospasm clinical scenario (e.g., asthma).
Figure 9-11. Excessive bronchial secretions clinical scenario.
General Management of
           Bronchiectasis
General treatment includes:
• Controlling pulmonary infections
• Controlling airway secretions
• Preventing complications
General Management of
          Bronchiectasis
Respiratory care treatment protocols
• Oxygen therapy protocol
• Bronchopulmonary hygiene therapy protocol
• Hyperinflation therapy protocol
• Aerosolized medication protocol
• Mechanical ventilation protocol
General Management of
          Bronchiectasis
Other medications commonly prescribed
by the physician
• Xanthines
• Expectorants
• Antibiotics
BRONCHIECTASIS
RADIOLOGICAL FEATURES
BRONCHIECTASIS
       THE CHEST RADIOGRAPH
• Often normal if not severe
• Too many white lines extending from the hila
  = tram-tracks
• Elongated (tubular) opacities (white)
• Small circles containing air (black) or fluid and
  air (air-fluid level)
MILD BRONCHIECTASIS
Normal chest radiograph
presents with hemoptysis
MODERATE BRONCHIECTASIS
- Coarse white lines
extending out from hila
TOO MANY WHITE LINES
SEVERE BRONCHIECTASIS
SEVERE BRONCHIECTASIS




Circle filled
with air
SEVERE BRONCHIECTASIS
RINGS (CYSTS) CONTAINING AIR-FLUID LEVELS
BRONCHIECTASIS
                THE CT SCAN
•   Signet ring sign
•   Tram-tracks
•   String of beads
•   Circles filled with air or air and fluid
•   Tubular and branching opacities
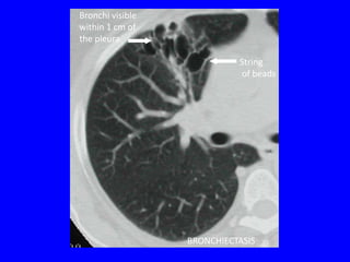
•   Bronchi visible within 1 cm of the pleura
•   Scarring
Normal pulmonary
                   artery (pearl)




                       Dilated bronchus
                       (ring)




SIGNET-RING SIGN
Dilated bronchus




BRONCHIECTASIS
Bronchi visible
within 1 cm of
the pleura

                            String
                            of beads




                  BRONCHIECTASIS
Destroyed
                 lung
                 (Scarring)




BRONCHIECTASIS
CAUSES OF BRONCHIECTASIS
• Congenital
• Acquired
CONGENITAL CAUSES OF
        BRONCHIECTASIS
• Cystic fibrosis
• Immotile cilia syndrome
CYSTIC FIBROSIS
• Diffuse bronchiectasis
• Most severe in the upper lobes
CYSTIC FIBROSIS
Worse in the
                  upper lung
                  zones




CYSTIC FIBROSIS
IMMOTILE CILIA SYNDROME
• Diffuse bronchiectasis
• May have situs inversus (Kartagener’s
  syndrome
Bronchiectasis


Dextrocardia



               KARTAGENER’S SYNDROME
Bronchiectasis




KARTAGENER’S SYNDROME
KARTAGENER’S SYNDROME
KARTAGENER’S SYNDROME




     Dextrocardia




                        Dilated
                        bronchus
CAUSES OF ACQUIRED
          BRONCHIECTASIS
• Post-infectious
• Post-obstructive
  – aspirated foreign body
  – slow-growing tumour
POST-INFECTIOUS
           BRONCHIECTASIS
• Affects the part of the lung which was
  involved with pneumonia
• Often diffuse as most commonly secondary to
  a viral pneumonia
POST-OBSTRUCTIVE
            BRONCHIECTASIS
• Focal or localized because only distal to the
  obstructing lesion
• Dilated bronchi distal to obstruction filled
  with mucus instead of air
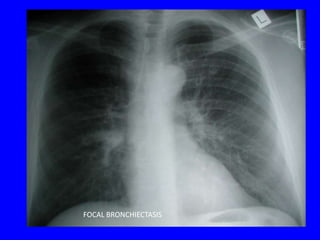
FOCAL BRONCHIECTASIS
FOCAL BRONCHIECTASIS




         Branching
         tubular opacities
FOCAL
BRONCHIECTASIS
Focal bronchiectasis
due to slow-growing
endobronchial tumour
Focal bronchiectasis
due to slow-growing
endobronchial tumour




                            Dilated bronchi
                            filled with mucus




                       Branching
                       tubular opacity
Dilated bronchi
filled with mucus
instead of air due to
proximal obstruction
PULMONARY EMBOLISM

  RADIOLOGICAL FEATURES
Lung - Pathology


Acute Lung Injury


                    Pulmonary edema



              ARDS (Diffuse alveolar damage)



              Acute interstitial pneumonia
•   Pulmonary Edema
•    1. Hemodynamic disturbances(↑ capillary hydrostatic pressure), MCC-
     LVF, Heart failure cells
•    2. ↓ oncotic pressure (Hypoalbuminemia)  Renal
     failure, Malnutrition, Cirrhosis
•    3. Microvascular injury - ↑ capillary permeability,
    – Seen in ARDS following
    a) Infection -viral pneumonia
    b) Gases, Aspiration, Drugs--heroin, Paraquat (herbicide)
    c) Shock, Trauma, Sepsis, DIC
•   ARDS:
•   Also known as ***Diffuse Alveolar Damage (DAD)  pulmonary
    edema (protein rich)  hyaline membrane disease  hypoxemia
    (refractory to oxygen Rx )
•   Mortality in 50% of cases
•   Clinical Manifestations: respiratory insufficiency, Cyanosis, arterial
    hypoxemia  multi-organ failure
•   Acute interstitial pneumonia Cause is unknown (Unlike
    ARDS) but Radiographic and Pathologic features, mortality similar to
    ARDS
• Bronchiectasis
• Infection + permanent dilatation of bronchi
• Causes:
• infections and causes of bronchial obstruction
  (FB, mucus plugs, tumors, sequestrations, cystic fibrosis)
• immotile cilia (Kartagener’s )syndrome
  (Bronchiectasis, dextrocardia -situs inversus, chronic
  sinusitis, and infertility)
• Clinically:
• Chronic cough, productive of purulent sputum
• Dyspnea and orthopnea in severe cases
• later obstructive respiratory insufficiency & Corpulmonale
Bronchiectasis
                       Gross



• Distended peripheral
  bronchi (Due to weakening
  of wall)
Bronchiectasis
    Gross
PRIMARY ANTIBODY
    DEFICIENCY
      (PAD)
        &
 BRONCHIECTASIS
 (UKPIN / BTS GUIDELINES)
BRONCHIECTASIS
A destructive lung disease characterised by:

   Abnormal & permanent dilatation of medium sized bronchi

   An associated, persistent and variable inflammatory process
    producing damage to bronchial elastic and muscular
    elements
PATHOLOGY

              Neutrophil proteases
   (acute infection in a normal or compromised host)
                        
                 Epithelial injury
                          +
          Structural protein damage
                       
           Damaged, dilated airway
                       
Mucous retention / chronic, recurrent infection
                       
Ongoing inflammation / tissue damage / repair
BRONCHIECTASIS - aetiology
   Infection
    - pertussis, influenza, measles, TB, necrotising peumonia
   Bronchial obstruction
    - mucoid impaction, ABPA
   Congenital anatomical lung abnormality
   Inherited disorders
    - ciliary dysfunction
    - cystic fibrosis
    - alpha-1 AT deficiency
• Undefined (29 - 49%)
BRONCHIECTASIS OF UNDEFINED
 REF.
        AETIOLOGY  NOS.   ANALYTE         % age   ABN.

 Hilton & Doyle    53     IgG/A/M           0     -
 1978
 Murphy et al      23     IgG/A/M, Gsub     0     -
 1984
 Barker et al      30     IgG/A/M, Gsub    37     Panhypoγ (9/30)
 1987                                             IgM (2/30)
 De Gracia et al   65     Gsub, Hib        48     IgG2
 1996                                             Hib (10/19)
 Hill et al        89     Gsub              6     IgG4
 1998
 Stead et al       56     IgG/A/M, Gsub    23     IgG4
 2002                     Hib, Pneum              Pneum (1/29)
BRONCHIECTASIS
              Pasteur et al. Am J Respir Crit Care Med (2000) 162, 1277-1284


ASSOCIATION                                n                             %
Idiopathic                                 80                             53
ABPA                                       11                              7
PAD                                       11                               7
Neutrophil defect                           1                             <1
Rheumatoid disease                          4                              3
Ulcerative colitis                          2                             <1
Ciliary dysfunction                         3                            1.5
Young’s syndrome                            5                              3
Cystic fibrosis                             4                              3
Post-infectious                            44                              9
Aspiration/reflux                           6                              4
Other defineable                            2                             <1
BRONCHIECTASIS in PAD
CVID
•   53% (Hausser et al 1983)
•   44% (Watts et al 1986)
•   18% (Hermazewski & Webster 1993)
•   20% (UK PAD Audit 1993-96)
•   27% (‘chronic lung disease’) (Cunningham Rundles 1999)
•   58% (Garcia 2001)
•   43% (Busse et al 2002)

XLA
•   7% (Hermazewski & Webster 1993)
•   12% (UK PAD Audit 1993-96)
•   20% (Quartier et al 1999)
RESPIRATORY INFECTIONS




           Figure 2 Types of infection in the 37 patients receiving
           immunoglobulin replacement treatment. The numbers of each type
           of infection are listed by each chart section.
DIAGNOSTIC DELAY
   Average: diagnosis - 6.3 years
            treatment - additional 3.9
   Diagnostic delay > 2 years:  risk of bronchiectasis
                                       sinusitis
                                       iron deficiency
    (UK PAD Audit 1993-96)                                      3

    Strongest predictor of chronic pulmonary disease in treated
    patients is established lung disease at time of presentation
    n= XLAx10, CVIDx12
    IMIg x 18, IVIg x 3, FFP x 1 (all + daily antibiotic)
    (Sweinberg et al 1991)                                       3
UK PAD AUDIT 1993-96
Development of bronchiectasis following diagnosis:

<1980         1981-87        >1988
 77%           70%           42%
CHRONIC LUNG DISEASE in PAD

 Damage sustained prior to active treatment

                  and/or

 Continued inflammation despite treatment
AIMS
Define evidence-based guidelines relevant to:

   investigation level appropriate to screen for
    significant antibody deficiency in all patients with
    bronchiectasis

   diagnosis & management of bronchiectasis
    complicating primary antibody deficiency
GUIDELINES
   Simple                            Valid
   Evidence-based                    Reproducible
   Consistent with                   Reliable
    existing, recognised standards   • Involving & representative of
   Realistic                          key disciplines
   Explicit                          Clinically applicable
   Clear & well documented           Clinically flexible
   Credible & widely supported       Scheduled for review
   Results orientated (outcomes)
GUIDELINES
LITERATURE REVIEW                 DATABASES

                                     Ovid Online Collection
   Meta-analyses                     - Medline, preMedline
   Systematic reviews                - CINAHL, EMBASE
   RCTs                              - Journals@ovid
                                     EBM Reviews
   Longitudinal studies
                                      - Cochrane Systematic Reviews
   Case control/cohort studies       - Cochrane Controlled Trials
   Case reports/case series          - Effectiveness Reviews Abstracts
                                      - ACP Journal Club
   Expert opinions
                                     Allied & Complementary
                                      Medicine
                                     Specialty Contacts
GUIDELINES
EVIDENCE            RECOMMENDATION
     1                      A
      2                     B
      3                     C
      4                     D
                           (Good Practice Points)
SIGN, RCPCH, BTS
DIAGNOSIS
PRIMARY ANTIBODY DEFICIENCY

   Humoral abnormalities are common in bronchiectasis                3
   Respiratory Physician + Immunologist                            4
   Diagnosis of significant antibody deficiency should entail use of
    established and widely accepted criteria:                         4


     - Primary Immunodeficiency Diseases. Report of an IUIS Scientific Group
       Clinical & Experimental Immunology 1999 (118), Suppl 1:1-34
    - Diagnostic Criteria for Primary Immunodeficiencies.
       Clinical Immunology 1999 (93), 190-197
    - Practice parameters for the Diagnosis & Management of Immunodeficiency.
       Annals of Allergy, Asthma & Immunology 1996 (76), 282-294
PFTs
- Reversible/irreversible bronchial obstruction
- Granulomatous disease etc.

   Correlate poorly with Radiology (bronchiectasis)                                  3
    - Pulmonary abnormalities in patients with primary hypogammaglobulinaemia
      Kainulainen et al. Jounal of Allergy & Clinical Immunology (1999) 104, 1031-1036
    - Pulmonary manifestations of hypogammaglobulinaemia
      Dukes et al. Thorax (1978) 33, 603-607
    - Radiologic findings of adult primary immunodeficiency disorders: contribution of CT
      Obregon et al. Chest (1994) 106, 490-495

• Static volumes/flow-volume loops
RADIOLOGY - CXR
          Bronchiectasis

          - vessel ‘crowding’
          - loss of vessel markings
          - tramline/ring shadows
          - cystic lesions/ air-fluid levels
          - evidence of TB

          Poor:
            diagnostic sensitivity
            monitoring of progression
                                      3
RADIOLOGY - HRCT
          - bronchial dilatation
          - bronchial wall thickening
          - classification (pathology)

             sensitivity (97%) > CXR 3
             chromosomal radiosensitivity
              - plain CXR (x 3 days background)
              - HRCT: x 30-40
              - conventional CT: x 200
          • ? routine baseline
          • ? (a)symptomatic monitoring
UNSUSPECTED DISEASE
                  (Clinical v CXR v HRCT)

   Bronchiectasis in Hypogammaglobulinaemia - A Computed
    Tomography assessment. Curtin et al. Clinical Radiology (1991) 44, 82-84
   Radiologic Findings of Adult primary Immunodeficiency Disorders.
    Obregon et al. Chest (1994)106, 490-495
   Chest High Resolution CT in Adults with Primary Humoral
    Immundeficiency. Feydy et al. British Journal of Radiology (1996) 69, 1108-1116
   Clinical Utility of High-Resolution Pulmonary Computed Tomography
    in Children with Antibody Deficiency. Manson et al. Pediatric Radiology (1997)
    27, 794-798
   The Value of Computed Tomography in the Diagnosis & Management
    of Bronchiectasis. Pang et al. Clinical Radiology (1989) 40, 40-44
   Review Article: Imaging in Bronchiectasis. Smith et al. British Journal of
    Radiology (1996) 69, 589-593
                                                                                  3
RADIOLOGY
Kainulainen et al 1999

   CVID x 18, XLA x 4             3 year follow-up
                                         
              CXR        HRCT    Disease progression (5)
Bronchiectasis 3            16
                                               Serum IgG
                                     Case No   T=0 T=36
                                        1       9.9   10.0
                                        2       4.6    6.1
                                        8       3.7    5.1
                                       10       3.7    4.9
                                       21       3.1    5.7
RADIOLOGY - HRCT
RCP Specialty Specific Standards

‘Fit’ patients…….CT scanning should be undertaken in
a minority of patients but usually not more than once a
year or if respiratory function tests or symptoms
deteriorate

JCIA November 2001                                   4
MANAGEMENT – GENERAL ISSUES

   Shared Care (Immunologist/Respiratory Physician) optimal                 4
   Bronchodilators (reversible airflow obstruction)
   Mucolytics - insufficient evidence to evaluate routine use
                 (Cochrane Database of Systematic Reviews. 3, 2003)
   Physical therapy - insufficient evidence to support or refute usage
                        (Cochrane Database of Systematic Reviews. 3, 2003)
   Anti-inflammatory agents
REPLACEMENT THERAPY
   Risk/benefit assessment                                              4
   IV/Sc routes optimal                                                 2
    pulmonary infections in XLA/CVID (v untreated)                    2
   Optimal dosing/frequency/serum IgG level not established
   Tailor route/dose/infusion frequency                               3
---------------------------------------------------------------
   Maintain IgG >5g/l                                                 2
   Paediatric target: mid reference range                           4
   IgG: >8g/l   infection (v 5g/l, XLA, children)                     3
         9.4 g/l   infection (v 6.5g/l, XLA/CVID, children/adults)     3
   High v standard doses   infections (no. & duration)                2
                              days hospitalised
                              serum IgG
   Insidious disease progression despite ‘adequate’ replacement         3
REPLACEMENT THERAPY
         High dose v low dose: secondary outcome, pulmonary function
   Eijkhout et al 2001 (randomised, double-blind, multicentre, crossover, n=43)
    High dose (mean trough IgG 9.4 g/l): PEFR 37.3 l/min
    Standard dose (mean trough IgG 6.5 g/l): PEFR 11.4 l/min NS

   Roifman & Gelfand 1988 (ramdomised, crossover, n=12)
    High dose   FVC & FEV1                                               p<0.01

   Roifman et al 1987 (randomised, crossover, n=12)
    Mean FEV1 & FVC high dose phase v low dose phase                   p<0.01

   Bernatowska et al 1987 (two-dose, crossover, non-randomised, n=13)
    High dose  Max. expiratory flow & FEV1                           NA
ACUTE INFECTION
MICROBIOLOGY
  Culture & sensitivity routinely in acute setting                 3
  Value unclear in chronic situation - confirm original pathogen
                                     - ? emerging resistance
                                     - additional pathogens

ANTIBIOTICS
 Effectiveness established in exacerbations (bronchiectasis)           2
 Higher doses for longer periods                                   4
 Local treatment protocols                                         4
ANTIBIOTIC PROPHYLAXIS
   Chronic bronchitis - no place in routine treatment
    (Cochrane Database of Systematic Reviews. 3, 2003)

   Cystic fibrosis benefits - principally staphylococci
                           - infancy  3/6 years
                           - ? older children/adults
                           - ? > 3years treatment
    (The Cochrane Library, Oxford. 2, 2003)
    (Cochrane Database of Systematic Reviews. 3, 2003)


•   Bronchiectasis - limited meta-analysis (6 RCTs)
                  - marginal benefit / cautious support
    (Evans et al. Thorax 2001)
ANTIBIOTIC PROPHYLAXIS
   No robust data v placebo
   No substantial data v (or additional to) IVIg/SCIg (Silk et al. 1990)
   ? Single intervention in mild antibody deficiency
      - not in more severe phenotypes / tissue damage
   Papworth protocol: consider if: > 3 exacerbations / year                         4
                                      radiological / PFT deterioration
   ? Eradication/clean-up therapy prior to prophylaxis
    - no clear evidence of benefit in antibody deficiency + structural lung damage
   Development of local protocols for management of infections
    (esp. with Primary Care) and initiating prophylaxis         4
ANTIBIOTIC PROPHYLAXIS

     Percentage of sputum samples growing pathogens
        before and after prophylactic ciprofloxacin
                    70
                    60
                    50
                                                  all pathogens
                    40
                    30                            H. Infl (all
                %
                                                  isolates)
                    20
                                                  H Infl. (resistant
                    10                            to ciprofloxacin)
                     0
                       Prior to        On
                    ciprofloxacin ciprofloxacin
(Heelan et al., ESID 2002)
SURGERY
    Diagnostic delay > 2 years:  need for surgical procedures
                                                                          Adequate
     treatment:  lobectomy/pneumonectomy by 95%
    (UK PAD Audit 1993-96)                                        3

    Important treatment option with favourable outcomes
    especially in focal bronchiectasis
    (Cohen et al 1994, Mansharamani & Koziel 2003)                    3
QUESTIONS / ISSUES
   HRCT in routine screening & monitoring
   Radiological changes a primary therapeutic target
    - Does HRCT modify our current assumptions about criteria for adequate
      treatment of antibody deficiency disorders?
   Correct level of Ig treatment
    - arbitrary target serum level (evidence) or individualised (clinical + HRCT factors)
    - single intervention universally applicable in all patients (probably not)
    - higher doses: expense, complications, limited commodity
   Roles of: antibiotics
             anti-inflammatory agents
             bronchodilators
             aids to airway clearance
   Role of co-factors (e.g. 1AT)
   Selective IgA deficiency
PIN GUIDELINES
   Identify need for focused clinical research
   Encourage debate and discussion
   Reflect uncertainties in the field
   Proscriptive as necessary, flexible where possible

13 bronchiectasis-dr khinchi

  • 1.
  • 2.
    Chronic Bronchitis Definition ADULTS:Productive cough daily for 3 months/year for 2 consecutive years. CHILDREN: Productive cough of >2 months duration or recurrent episodes of productive cough >4 times/year.
  • 3.
    Bronchitis is astate of increased mucus production, with or without adequate mucociliary transport, that requires cough for clearance of airway secretions.
  • 4.
    Airway Stimulus/Injury Increasing Secretion Production Increased Effective Secretion Mucociliary Cough Inspissation Airway Clearance Obstruction Recurrent/Persistent
  • 5.
    Chronic Bronchitis: Underlying Conditions Chronic Airway • Asthma Infection/Inflammation: • Cystic Fibrosis • Aspiration syndromes • Chronic foreign body • Tuberculosis Primary Host Defense • Ciliary dyskinesias Abnormalities: • Immunodeficiencies • Congenital • Acquired (HIV) Inefficient Cough • Airway compression Syndromes: • Trachobronchomalacia • Neuromuscular weakness • Tracheostomies • Bronchiolitis obliterans
  • 6.
    Bronchiectasis Pathogenesis Airway Injury + Secretion Stimuli Secretion Stasis Infection Airway Destruction + Airway Dilation
  • 8.
  • 9.
    CF vs. IdiopathicBronchiectasis CYSTIC IDIOPATHIC FIBROSIS BRONCHIECTATIS Multi-organ Involvement Sinopulmonary Involvement Diffuse Multifocal Pseudomones Mouth Flora Tenacious Secretions Mucoid/Coughable 50% Bronchodilator 50% Bronchodilator Response Response Progressive Outcome Variable Outcome
  • 10.
    Treatments for Idiopathic(Post-Infectious) Bronchiectasis Reduce Secretion • Reduce Irritant Exposure Production: • Reduce Aspiration Events • Reduce GER Reduce Infection Exposure: • Dental Hygiene Antibiotics for: Upper Airway Lower Airway Exacerbations Promote Secretion • Chest Physiotherapy Clearance: Reduce Airway Obstruction: • ?Bronchodilators • Inhaled Steroids Prevent Infection: • Immunizations • ?Palivizumab, Flu shots • Pneumococcal vaccine (7 + 23 valent)
  • 11.
    Bronchiectasis • Irreversible, abnormaldilatation of one or more bronchi, with chronic airway inflammation. Associated chronic cough, sputum production, recurrent chest infections, airflow obstruction, and malaise • Prevalence unknown (not common) • Pathological endpoint with many underlying causes
  • 12.
    Pathogens associated withexacerbations and disease progression in bronchiectasis • Non-tuberculosis Haemophilus influenzae mycobacteria Haemophilus parainfluenzae – M. avium complex (MAC) Pseudomonas aeruginosa – M. kansasii – M. chelonae – M. fortuitum Streptococcus pneumoniae – M. malmoense Moraxella catarrhalis – M. xenopi Staphylocccus aureus • Aspergillus-related Stenotrophomonas maltophilia Gram-negative enterobacter disease
  • 13.
    Causes / associationsof bronchiectasis • Idiopathic • Postinfectious • Humoral immunodeficiency • Allergic bronchopulmonary aspergillosis (ABPA) • Aspiration/GI reflux • Rheumatoid arthritis • Youngs Syndrome • Cystic Fibrosis • Ciliary dysfunction • Ulcerative colitis • Panbronchiolitis • Congenital • Yellow nail syndrome
  • 14.
    Evidence for dysregulatedimmunity in bronchiectasis • Increased susceptibility to infection - bacterial, non- tuberculous mycobacterial (NTM), and aspergillus-related lung disease • Associated with autoimmune disease such as the inflammatory bowel disease, ulcerative colitis • Neutrophils are markedly raised, as predicted from high local levels IL-8 • Associated with immune deficiency syndromes such as TAP deficiency syndrome
  • 15.
    Evidence for dysregulatedimmunity in bronchiectasis • Increased susceptibility to infection - bacterial, non- tuberculous mycobacterial (NTM), and aspergillus-related lung disease • Associated with autoimmune disease such as the inflammatory bowel disease, ulcerative colitis • Neutrophils are markedly raised, as predicted from high local levels IL-8 • Associated with immune deficiency syndromes such as TAP deficiency syndrome
  • 16.
    Bronchiectasis associated withincreased susceptibility to specific pathogens • Non-tuberculosis Haemophilus influenzae mycobacteria Haemophilus parainfluenzae – M. avium complex (MAC) Pseudomonas aeruginosa – M. kansasii – M. chelonae – M. fortuitum Streptococcus pneumoniae – M. malmoense Moraxella catarrhalis – M. xenopi Staphylocccus aureus • Aspergillus-related Stenotrophomonas maltophilia Gram-negative enterobacter disease
  • 17.
    Evidence for dysregulatedimmunity in bronchiectasis • Increased susceptibility to infection - bacterial, non- tuberculous mycobacterial (NTM), and aspergillus-related lung disease • Associated with autoimmune disease such as the inflammatory bowel disease, ulcerative colitis • Neutrophils are markedly raised, as predicted from high local levels IL-8 • Associated with immune deficiency syndromes such as TAP deficiency syndrome
  • 18.
    Bronchiectasis associated with autoimmune disease • Rheumatoid arthritis • Systemic lupus erythematosus • Relapsing polychondritis • Inflammatory bowel disease - Ulcerative colitis and Crohn’s disease
  • 19.
    Evidence for dysregulatedimmunity in bronchiectasis • Increased susceptibility to infection - bacterial, non- tuberculous mycobacterial (NTM), and aspergillus-related lung disease • Associated with autoimmune disease such as the inflammatory bowel disease, ulcerative colitis • Neutrophils are markedly raised, as predicted from high local levels IL-8 • Associated with immune deficiency syndromes such as TAP deficiency syndrome
  • 20.
    Suppurative Lung Disease •Bronchiectasis • Lung abcess • Empyema
  • 21.
    Brochiectasis • Def:destructive lungdisease :chronic permanent and abnormal dilatation of bronchial wall with variable inflammatory process in the lung. Chronic bronchial sepsis • Pathology: non-inflammatory:congenital acquired: Bronchial wall dilatation. excess mucus. loss of connective tissue support inflammation with metaplasia of ciliated epithelium to squamous or columnar + micro-abcess formation. Collapsibility of the wall leads to obstructive defect on spirometry.
  • 22.
    Notes • Bronchiectasis isof two types: 1- Dry: there is dilatation, destruction, but no purulent secretion. 2- Suppurative (refers to chronic bronchial sepsis): this is bronchiectasis that have suppuration ( pus formation).
  • 23.
    Pathogenesis • Vicious cycle: infectious insult & impaired drainage &/or defect in host defence • Role of positive : genetic susceptibilty family history
  • 24.
    Notes • Normally, inhealthy individuals the immune system and mechanical system (cilia function) are intact, resulting in good clearance of microorganisms leading to recovery. • Therefore, with impaired cilia function and/or host defense a vicious cycle (ongoing inflammation) will occur leading to bronchiectasis. • People with family history and genetic susceptibility (e.g a- 1 antitrypsin deficiency), when having a microbial insult, they can not clear it probably because of defective immune and/or mechanical drainage system. • The most important organisms are: H.influenza, encapsulated streptococcus pneumoniae, and pseudomonus.
  • 25.
    Classification Spectrum: • 1.follicular cylindrical:transmuralinflammation, loss of bronchial elastic tissue, mucosal edema; post infectious • 2.Saccular:ulceration ,craters; general dilatation specially terminal (saccules). (varicose:distortion by scarring and obstructions) • 3. Atelactatic: localised, could be secondary to 1, or 2.importance to site and distribution: lobar or segmental.
  • 26.
    Notes • Another typeof classification is: 1- follicular cylindrical it is called follicular because of presence of lymphoid follicles in the bronchus. But it is generally called cylindrical because it is transmural and localized to one bronchus. 2- saccular: so called because there are succule like formation at the terminal part of the bronchus. - varicose: this is when you have two types together cylindrical and saccular.
  • 27.
    Causes of bronchiectasis Congenital:elasticbronchial wall def. other congenital abnormalities,lung sequestration Mechanical bronchial obstruction: Intrinsic and extrinsic: Lymph node or scaring :post-TB Foreign body: selective lobes Child vs adult
  • 28.
    Notes • Causes: 1- congenital:infetus, the lung is not mature enough because its blood supply is deprived, therefore making it liable to bronchiectasis. 2- bronchial obstruction: the process of obstruction will cause stagnation of secretion which will then start the process of microbial infection leading to abcess formation and then tissue destruction, hence bronchiectasis. - Bronchial obstruction can be intrinsic (in wall or lumen) or extrinsic (external compression).
  • 29.
    Cont’d Notes - TBproduces both intrinsic (by scarring) and extrensic (compression by lymph node). • The common site of obstruction is the right posterior upper lobe. • Obstruction of airways in children can be caused by inhaling a foreign body, and the inhalation of a foreign body also leads to lung abcess. • Obstruction in adults can occur due to inhaling chemicals or impaired gastroesophageal reflex and aspiration.
  • 30.
    *Cont’d Causes *Inflammatory pneumonitis -Aspiration:chemical,gastric -Inhalation: fumes *Granulomata and fibrosis: sarcoidosis ,TB,IPF *Immunological over-response: ABPA (allergic bronchial pulmonary aspergellosis), post lung transplant *Immune deficiency Primary: children: hypogammaglobinaemia:repeated sinopulmonary infection Secondary: AIDS, CA
  • 31.
    Cont’d Causes *Mucociliary clearancedefects -Genetic -Primary ciliary dyskinesia :cilia abnormal 50% Kartegner’s:S.I, sinusitis Bronchiectasis. -Cystic Fibrosis: abnormal mucus content. *Acquired: -Young’s: sinusitis ,bronchiectasis ,obstructive azoospermia. Abnormal mucus. - -Post-infective bronchial damage:measles, pertussis. MAI.Viral.Mycoplasma - Toxins: SO2,smoking, lidocaine. Asthma. *Rheumatic and systemic inflammatory diseases:e.g IBD (inflammatory bowel disease). *Idiopathic (including diffuse panbronchiolitis), good % with no cause
  • 32.
    Notes • In cysticfibrosis, the cilia is normal but the mucus is abnormal because there is a block in the chlorine channel (not responsive to cyclic AMP) causing the mucus to become more sticky. This disease is characterized by increased Na and Cl in sweat, which is detected by sweating test. • Kartegner syndrome: is a type of primary ciliary dyskinesia which is also associated with sinusitis, bronchiectasis, and transposition of the viscera. • Young’s disease is characterized by high lipid content of mucus. • Idiopathic: panbronchiolitis (responsive to macrolide) is found mainly in Japanese and East Asia.
  • 33.
    Cont’s Notes • ABPAcauses hyper immune activity. • Atypical mycobacterial infection and uncontrolled asthma can cause abnormal cilia.
  • 34.
    *Mucociliary clearance defects •*Genetic: Cystic fibrosis: AR, Gene mutation,chromosome 7,Transmembrane conductance regulator pr-CFTR commonest:deletion at 508 impairment of chloride channel.non respondent cyclic- AMP. Cl- and water not excreted but Na and its water absorbed ,mucus get thickened.Sweat content of Na , Cl altered.
  • 35.
    Clinical manifestation ofcystic fibrosis Primary • Bronchiectasis *Nasal polyps • Bronchiolitis, bronchitis * Cirrhosis • Infertility * Meconium ileus • Pancreatic insufficiency • Pneumonia • Salt loss
  • 36.
    Secondary *Atelectasis * Allergicbronchopulmonary *Clubbing aspergillosis *Malabsorption * cholelithiasis *Heat prostration * Cor pulmonale *Hypochloraemic * Conductive hearing loss hypokalaemic alkalosis * Diabetes mellitus
  • 37.
    Diagnosis of Bronchiectasis •1.History: usually :muco-purulent sputum, cough. occasionally recurrent hemoptysis, recurrent fever Less specific : dyspnea, wheeze ,pleuritic pain • 2.Examination: Early: normal nowadays:clubbing 3%,crackles70% rarely :Core pulmonale( right ventricular hypertrophy due to pulmonary hypertension),CCF.
  • 38.
    Notes The most importantsign is is abundant productive cough increasing with lying down. • The second important manifestations are lung abcess, infective emboli, clubbing and amyloidosis (AA type). • How hemoptysis occurs? An insult causes injury, followed by healing and neovascularization. These new formed blood vessels are weak and fragile, hence easily ruptured causing hemoptysis. - Wheeze: musical sounds produced by air passing through narrowed airways (during inspiration & expiration). - Crackles (crepitations): non-musical sounds mainly heard during inspiration caused by reopening of occluded small airways.
  • 39.
    Investigation • Sputum: gramstain,selective media ( it is done not to miss certain organisms),semi –quantitative • !!TB, fungal • CXR: early volume loss,vascular crowdening late:cylindrical tramline,cystic. • Disribution: central ABPA, LL: idiopathic UL: CF or variant
  • 40.
    Investigation • Bronchogram: surgery •HRCT: standard • Sinus X-Ray • PFT: normal,obstructive,air trapping • Specific: Ig level:IgA (in immunocompromised patients). • precipitin level is measured in skin, sputum and serum. If it is high in 2 out of the 3 sites, we think of ABPA. • Brochoscopy
  • 41.
    Notes • Bronchogram: doa bronchoscope then inject a dye. It is done when you are planning for surgery. • HRCT= high resolution CT scan. • Sinus X-ray is done to rule out sinusitis • PFT is early normal, later:obstruction/ air trappin • Bronchoscopy is indicated in case of hemoptysis and it is important to rule out obstructive lesions (e.g. foreign bodies) and TB. These three conditions are not responding to antibiotics.
  • 43.
    Notes • The previousslide shows CT taken during inspiration. • Usually, a blood vessel has a bronchus beside it that has the same size. • So, if you see a bronchus larger than the accompanied vessel then suspect bronchiectasis.
  • 45.
    Notes • The previousCT was taken for the same patient during full expiration, which is better than the full inspiratory CT.
  • 46.
    Cont’d investigation • UGI Endoscopy • Anti protease level • Sweat test • Genetic studies • Rh. Factor
  • 47.
    Complication • Mostly: infective exacerbation,haemoptysis • Rarely now: metastatic spread of infection empyema amyloidosis clubbing joint pain • Note: certain complications are rare because of early detection.
  • 48.
    Management • Prevention: • Medicaltreatment:control infection ,bronchial hygiene • Antibiotic:acute exacerbation: cover I.infl., strep. Prophylactic:several protocols: commoner : 10days/Month or 10 days alternate with 10 free days. • Bronchodilator • IV Ig if deficient • Oral Steroid:only ABPA vs inhaled steroids • Mucolyte :debatable.role of ACC ( N-acetylcystin which is antioxidant), DNAs • Anti-fungal :itracanazole: ABPA • Future treatment:Antiprotease replacement • CF treatment (very complicated)
  • 49.
    Notes • Management ofbronchiectasis includes: - 1- Giving Igs for immunocompromised patients. - 2- Vaccination for H. influenza, pneumococcus and influenza. - 3- Screening for TB (very important). - 4- Bronchodilators (almost always given). - 5- Steroids (only for ABPA because of the hyperimmunity). - 6- mucolytics: make sputum more liquid and less viscus (not important except DNAs in cystic fibrosis patients to improve their lung function).
  • 50.
    Cont’d management Physiotherapy Corner stone:Posturaldrainage, hydration ,nebulized saline *Surgery: .Massive haemoptysis: > 600ml/day. .Localized troublesome resectable bronchiectasis .Palliative for important stump.
  • 51.
    Notes - physiotherapy: teachthe patient how to drain his lung (lungs should be drained daily). - Surgery: is indicated: 1- when there is severe hemoptysis 2- if one lobe causing problems to the patient, so you resect it to prevent damage to other lobes 3- if you have a diffuse lung disease and one particular area which is more problematic, then you resect it. - Mild hemoptysis: loss of 200-300ml/day. - Moderate hemoptysis: loss of 300-600ml/day. - Severe hemoptysis: loss of > 600ml/day.
  • 52.
    Cont’d management Haemoptysis: *Mild:antibiotic *Severe: surgery or bronchial artery embolization Lung Transplant: always double. - Indication for transplantation: bilateral, advanced, and bleeding bronchiectasis. - 2 lungs should be transplanted because if you transplant one lung only, the diseased lung you left in the body can affect the new transplanted lung to become also infected.
  • 53.
  • 54.
    “Chronic dilation ofthe bronchi marked by fetid breath and paroxysmal coughing, with the expectoration of mucopurulent matter.”
  • 57.
    Morphological types • Cylindricalor tubular bronchiectasis • Varicose • saccular or cystic bronchiectasis
  • 58.
    Bronchiectasis • Causes andpathogenesis • Microbiology /common pathogens • Therapeutic Goals
  • 59.
  • 60.
  • 61.
    Bronchiectasis Worldwide, infection isthe primary cause – M. Tuberculosis – Childhood illnesses • Rubeola, B. Pertussis
  • 62.
    Childhood Infections M. Tb. Infection Inflammation Bronchiectasis Altered development
  • 63.
    Inflammation Characteristics across etiologies: -Persistent - Neutrophil dominant - Pro-inflammatory cytokines (IL- 8, IL-1, TNF-a) - Low anti-inflammatory cytokines (IL-10)
  • 64.
    Airway Damage Failure to Resolve Inflammation – Inappropriate inflammation e.g. ABPM, CF (?) – Impaired clearance of stimuli Bacteria, mucus, toxins
  • 65.
    Airway Damage Failure to Resolve Inflammation – Altered Airway Milieu Proteolytic damage -e.g. cleaved receptors -impaired macrophage function* Oxidant stress -low antioxidants associated with worse disease -dysregulation of signaling and cellular function‡
  • 66.
    Childhood Infections M. Tb. Infection Inflammation* Impaired Clearance Bronchiectasis Altered development
  • 67.
    Impaired Clearance Altered ciliaryFunction PCD, smoking, CFTR, Young’s Mucus rheology CFTR, Mucoid Ps. A Dilated or obstructed airways Impaired cough, foreign bodies, aspiration
  • 68.
    Impaired Immunity Ineffective inflammation Acquired Chemo-immunomodulation Congenital/innate
  • 69.
    HIV/AIDS Chemo-Immunosuppression anti-TNF, MTX, anti-neoplastics Childhood Infections M. Tb. Innate Deficiency CGD, CVID, Ig’opathy (IFN) Infection Inflammation Impaired Clearance foreign body, CF Bronchiectasis Altered development
  • 70.
    HIV/AIDS Chemo-Immunosuppression Childhood Infections M. Tb. Innate Deficiency Infection Auto-Immune Impaired Clearance RA, Sjogren’s, IBD Inflammation ABPM Bronchiectasis Altered development
  • 71.
    HIV/AIDS Chemo-Immunosuppression Childhood Infections M. Tb. Innate Deficiency Infection Auto-Immune Inflammation Impaired Clearance ABPM Bronchiectasis Altered development
  • 72.
    HIV/AIDS Chemo-Immunosuppression Childhood Infections M. Tb. Innate Deficiency Infection Auto-Immune Inflammation Impaired Clearance ABPM Bronchiectasis Altered development
  • 73.
    Bronchiectasis Epidemiology and Etiology Who? Patients - with altered immune system - with persistent respiratory symptoms Why? Persistent inflammation in the respiratory system
  • 74.
    Bronchiectasis Therapy Decrease inflammation antibiotics clearance – Flutter, IPPV, Vest, Bronchodilators, hypertonic saline (anti-inflammatory chemotherapy) – Steroids, macrolides, interferon-gamma, ibuprofen (surgical resection)
  • 75.
    When to suspectbronchiectasis? Chronic cough, sputum Coarse rales Persistent respiratory symptoms Recurrent pneumonia Progressive obstructive lung disease Funny bugs
  • 76.
    Clinical Characteristics – Focal – Systemic • Sputum production • Malnutriton/wasting – Mild <15 cc/d • Chronic Inflammation – Moderate 15-150 – “gammaglobulinemia” cc/d – CRP – Sed’ rate – Severe >150 cc/d – anemia • Hemoptysis • Dyspnea • Chest pain
  • 77.
    Bronchiectasis Therapy Antibiotics Episodic or suppressive antibiotics? Yes. Selective pressure vs. suppression of damage
  • 78.
    Bronchiectasis Therapy Antibiotics Con • Pro Select resistance – Decrease inflammation Cost Side effects – Slow progression adherence difficult (e.g. – Eradication? Huong et al.)
  • 79.
    Bronchiectasis Therapy Antibiotics Con • Pro Select resistance – Decrease inflammation Cost Side effects – Slow progression adherence difficult (e.g. – Eradication? Huong et al.)
  • 80.
    Bronchiectasis Therapy Antibiotics when to use? No: • Yes: Minimal disease without – Evidence of organism Patient Intolerant exacerbation “Unaffordable” – Progressive decline – “Frequent exacerbator” – Active inflammation (?)
  • 81.
    Bronchiectasis Therapy Decrease inflammation Clearance Immunomodulatory chemotherapy proposed therapies: – Steroids – Macrolides, tetracyclines – interferon-gamma – ibuprofen
  • 82.
    Bronchopulmonary Hygiene • removal of respiratory secretions is beneficial • chest percussion and postural drainage • chest clapping or cupping • inflatable vests or mechanical vibrators • Oral devices that apply positive end- expiratory pressure maintain the patency of the airway during exhalation
  • 83.
    • Maintaining adequatesystemic hydration, enhanced by nebulization with saline, • Acetylcysteine delivered by nebulizer thins secretions • aerosolized recombinant human DNase (rhDNase) in patients with cystic fibrosis
  • 84.
    Surgery • Localised bronchiectasis • Proximal obstructive lesion • Massive hemoptysis • Recurrent infections
  • 85.
    Vicious loops Infection Bronchial Obstruction Inflammation Bronchiectasis
  • 86.
    Summary diagnosis management • History • Treat bronchiectasis – Prior infections, exposures – Clearance – Time course – Antibiotics – Other manifestations? – Immune-modulation • Chest Imaging • Balance burden of disease vs – Define region, pattern burden of therapy • Sputum culture (Sputum, Symptoms, PFT’s, Weight, X-rays) • Determine causal disease • Other… – sweat testing – Underlying disease therapy – immune testing – serologic testing – Transplantation – Management of complications • Collapse, plugs, hemoptysis
  • 87.
    Antibiotics Vicious loop tobramycin Infection Bronchial Obstruction Inflammation Clearance Anti-inflammatory Albuterol, DNase, Inhaled steroids Therapy vest Bronchiectasis
  • 88.
    Bronchiectasis Dilated airways withfrequently thickened walls
  • 89.
    Bronchiectasis: Clinical Note: Bronchiectasismay happen 2/2 COPD or may be a separate process with very similar symptoms Clinical: • Cough (90 %) • Daily sputum production (76%) • Dyspnea (72%) • Hemoptysis (56%) • Recurrent pleurisy
  • 90.
    Pathophysiology 2 Prerequisites: • Infectiousinsult • Impairment of drainage, airway obstruction, and/or a defect in host defense.
  • 91.
    Pathophys Continued • Infection: Bacterial,mycobacterial, esp. ABPA central airway bronchiectasis • Airway obstruction: intraluminal tumor, foreign body, lymph nodes, COPD • Immunodeficiency: ciliary dyskinesia, HIV, hypogammaglobulinemia, cystic fibrosis (obstruction and immunodef.)
  • 97.
  • 98.
    Note characteristic locationin the upper lobes and superior segments of lower lobes
  • 99.
    Exacerbation: Etiology +Rx Colonization/infection: •Hemophilus • Pseudomonas • MAI • Aspergillus Very difficult to distinguish colonization from acute infection with these bugs. Psuedomonas colonized more bronchiectasis on CT; increased number of hospitalizations vs H. flu colonization Effect of sputum bacteriology on the quality of life of patients with bronchiectasis. Wilson CB; Jones PW; O'Leary CJ; Hansell DM; Cole PJ; Wilson R Eur Respir J 1997 Aug;10(8):1754-60. Treatment: fluoroquinolone
  • 100.
    Prevention • Antibiotics-Controversial: Consider MacrolideTIW Cipro qd X 7-14 D/ month • Bronchial Hygiene, physiotherapy, pulmonary rehab • ?bronchodilators, and steroids • Surgery
  • 101.
  • 102.
  • 103.
  • 104.
  • 105.
  • 106.
  • 107.
  • 108.
  • 109.
  • 110.
    Introduction • Chronic dailycough w/ viscid sputum • Bronchial wall thickening and luminal dilation on CT • Prevalence varies – Associated w/ ↑age, female • Management – Infection control – ↑ bronchial hygiene – Surgical resection in selected p’t
  • 111.
    Pathophysiology • Permanent abnormaldilation and destruction of bronchial walls • Two factors – Infection – Impairment of drainage, airway obstruction, and/or defect in host defense • Biomarkers: inflammatory cells or 8-iso- prostaglandin F(2α) in sputum
  • 112.
    Etiology • Pulmonary infections – viral, mycoplasma, TB, MAC • Airway obstruction • Defective host defenses • ABPA (allergic bronchopulmonary aspergillosis) • Rheumatic and other systemic dz – RA, Sjogren’s syndrome – Ulcerative colitis • Dyskinetic cilia • Cystic fibrosis ← rare in TW • Cigarette smoking?
  • 113.
    Diagnostic Evaluation • CBCw/ differential • Ig quantification • Sputum culture and smear – bacteria, mycobacteria, fungi • CXR – Linear atelectasis, tram track, ring shadow, irregular peripheral opacities • HRCT: defining test • PFT
  • 114.
  • 115.
    CXR of Bronchiectasis Hansell DM - Radiol Clin North Am - 01-JAN-1998; 36(1): 107-28
  • 116.
    CXR of Bronchiectasis Hansell DM - Radiol Clin North Am - 01-JAN-1998; 36(1): 107-28
  • 117.
    HRCT • Sensitivitiy ~97% •Findings – Airway dilation – Lack of tapering of bronchi – Bronchial wall thickening – Mucopurulent plugs or debris – Cyst – Pneumonia, LAP, emphysema • Distributions – Upper lobe – Central distribution
  • 118.
    HRCT Radiol Clin N Am 43(2005) 513-542
  • 119.
  • 120.
  • 121.
    Management • Infection control •↑ bronchial hygiene • Surgical resection in selected p’t
  • 122.
    Infection Control • Acuteexacerbation – ↑viscous, dark sputum, lassitude, SOB, pleurisy – Fevers and chills generally absent – CXR rarely show new infiltrates – H. influenzae and P. aeruginosa – FQ is reasonable (eg. ciprofloxacin) for 7~10 days
  • 123.
    Prevention • Daily ciprofloxacin(500~1500mg) in 2~3 doses • Macrolide daily or three times weekly • Daily use of a high dose oral antibiotic, such as amoxicillin 3 g/day • Aerosolization of an antibiotic • Intermittent intravenous antibiotics
  • 124.
    Problematic Pathogen • Pseudomonasaeruginosa – Almost impossible to irradicate – Wilson CB et al. • Reduced QoL • More extensive bronchiectasis on CT • Increased number of hospitalizations – Ciprofloxacin quickly develops resistance
  • 125.
    Bronchial Hygiene • Oralhydration • Nebulization – Normal saline – Acetylcyteine – Recombinant DNAase – Hypertonic saline, mannitol, dextran, lactose • Physiotherapy – Chest percussion – Prone position • Bronchodilator? Steroid? NSAID?
  • 126.
    Surgical Intervention • Removalof the most involved segments • Most common: middle and lower lobe resecton • Hemoptysis: – Bronchial a. embolization • Lung transplantation
  • 127.
    Lung Transplantation • Overall1-year survival : 68% (54-91%) • Overall 5-year survival : 62% (41-83%) • Subgroup – SLTX : 1 yr survival 57% (20%-94%) n=4 • Mean FEV1 : 50% predicted (34%-61%), • Mean FVC : 53% predicted (46-63%) – 2 lungs : 1 yr survival 73% (51-96%) n = 10 • Mean FEV1 : 73% predicted (58%-97%), • Mean FVC : 68% predicted (53%-94%)
  • 128.
    Chapter 14 Bronchiectasis C A B E D Figure 14–1. Bronchiectasis. A, Varicose bronchiectasis. B, Cylindrical bronchiectasis. C, Saccular bronchiectasis. Also illustrated are excessive bronchial secretions (D) and atelectasis (E), which are both common anatomic alterations of the lungs in this disease.
  • 129.
    Three Forms ofBronchiectasis • Varicose bronchiectasis • Cylindrical bronchiectasis • Saccular bronchiectasis
  • 130.
    Anatomic Alterations ofthe Lungs • Chronic dilation and distortion of bronchial airways • Excessive production of often foul-smelling sputum • Smooth muscle constriction of bronchial airways • Hyperinflation of alveoli (air-trapping) • Atelectasis, consolidation, and parenchymal fibrosis • Hemorrhage secondary to bronchial arterial erosion
  • 131.
    Etiology • Acquired bronchiectasis – Recurrent pulmonary infection – Bronchial obstruction • Congenital bronchiectasis – Kartagener’s syndrome – Hypogammaglobulinemia – Cystic fibrosis
  • 132.
    Overview of theCardiopulmonary Clinical Manifestations Associated with BRONCHIECTASIS The following clinical manifestations result from the pathophysiologic mechanisms caused (or activated) by Atelectasis (see Figure 9-12), Consolidation (see Figure 9-8), Bronchospasm (see Figure 9-10), and Excessive Bronchial Secretions (see Figure 9-11)—the major anatomic alterations of the lungs associated with bronchiectasis (see Figure 14-1).
  • 133.
    Figure 9-7. Atelectasisclinical scenario.
  • 134.
    Figure 9-8. Alveolarconsolidation clinical scenario.
  • 135.
    Figure 9-9. Increasedalveolar-capillary membrane thickness clinical scenario.
  • 136.
    Figure 9-10. Bronchospasmclinical scenario (e.g., asthma).
  • 137.
    Figure 9-11. Excessivebronchial secretions clinical scenario.
  • 138.
    General Management of Bronchiectasis General treatment includes: • Controlling pulmonary infections • Controlling airway secretions • Preventing complications
  • 139.
    General Management of Bronchiectasis Respiratory care treatment protocols • Oxygen therapy protocol • Bronchopulmonary hygiene therapy protocol • Hyperinflation therapy protocol • Aerosolized medication protocol • Mechanical ventilation protocol
  • 140.
    General Management of Bronchiectasis Other medications commonly prescribed by the physician • Xanthines • Expectorants • Antibiotics
  • 141.
  • 142.
    BRONCHIECTASIS THE CHEST RADIOGRAPH • Often normal if not severe • Too many white lines extending from the hila = tram-tracks • Elongated (tubular) opacities (white) • Small circles containing air (black) or fluid and air (air-fluid level)
  • 143.
    MILD BRONCHIECTASIS Normal chestradiograph presents with hemoptysis
  • 144.
    MODERATE BRONCHIECTASIS - Coarsewhite lines extending out from hila
  • 145.
  • 146.
  • 147.
  • 148.
  • 149.
    RINGS (CYSTS) CONTAININGAIR-FLUID LEVELS
  • 150.
    BRONCHIECTASIS THE CT SCAN • Signet ring sign • Tram-tracks • String of beads • Circles filled with air or air and fluid • Tubular and branching opacities • Bronchi visible within 1 cm of the pleura • Scarring
  • 151.
    Normal pulmonary artery (pearl) Dilated bronchus (ring) SIGNET-RING SIGN
  • 152.
  • 153.
    Bronchi visible within 1cm of the pleura String of beads BRONCHIECTASIS
  • 154.
    Destroyed lung (Scarring) BRONCHIECTASIS
  • 155.
    CAUSES OF BRONCHIECTASIS •Congenital • Acquired
  • 156.
    CONGENITAL CAUSES OF BRONCHIECTASIS • Cystic fibrosis • Immotile cilia syndrome
  • 157.
    CYSTIC FIBROSIS • Diffusebronchiectasis • Most severe in the upper lobes
  • 158.
  • 159.
    Worse in the upper lung zones CYSTIC FIBROSIS
  • 160.
    IMMOTILE CILIA SYNDROME •Diffuse bronchiectasis • May have situs inversus (Kartagener’s syndrome
  • 161.
    Bronchiectasis Dextrocardia KARTAGENER’S SYNDROME
  • 162.
  • 163.
  • 164.
    KARTAGENER’S SYNDROME Dextrocardia Dilated bronchus
  • 165.
    CAUSES OF ACQUIRED BRONCHIECTASIS • Post-infectious • Post-obstructive – aspirated foreign body – slow-growing tumour
  • 166.
    POST-INFECTIOUS BRONCHIECTASIS • Affects the part of the lung which was involved with pneumonia • Often diffuse as most commonly secondary to a viral pneumonia
  • 167.
    POST-OBSTRUCTIVE BRONCHIECTASIS • Focal or localized because only distal to the obstructing lesion • Dilated bronchi distal to obstruction filled with mucus instead of air
  • 168.
  • 169.
    FOCAL BRONCHIECTASIS Branching tubular opacities
  • 170.
  • 171.
    Focal bronchiectasis due toslow-growing endobronchial tumour
  • 172.
    Focal bronchiectasis due toslow-growing endobronchial tumour Dilated bronchi filled with mucus Branching tubular opacity
  • 173.
    Dilated bronchi filled withmucus instead of air due to proximal obstruction
  • 174.
    PULMONARY EMBOLISM RADIOLOGICAL FEATURES
  • 175.
    Lung - Pathology AcuteLung Injury Pulmonary edema ARDS (Diffuse alveolar damage) Acute interstitial pneumonia
  • 176.
    Pulmonary Edema • 1. Hemodynamic disturbances(↑ capillary hydrostatic pressure), MCC- LVF, Heart failure cells • 2. ↓ oncotic pressure (Hypoalbuminemia)  Renal failure, Malnutrition, Cirrhosis • 3. Microvascular injury - ↑ capillary permeability, – Seen in ARDS following a) Infection -viral pneumonia b) Gases, Aspiration, Drugs--heroin, Paraquat (herbicide) c) Shock, Trauma, Sepsis, DIC • ARDS: • Also known as ***Diffuse Alveolar Damage (DAD)  pulmonary edema (protein rich)  hyaline membrane disease  hypoxemia (refractory to oxygen Rx ) • Mortality in 50% of cases • Clinical Manifestations: respiratory insufficiency, Cyanosis, arterial hypoxemia  multi-organ failure • Acute interstitial pneumonia Cause is unknown (Unlike ARDS) but Radiographic and Pathologic features, mortality similar to ARDS
  • 177.
    • Bronchiectasis • Infection+ permanent dilatation of bronchi • Causes: • infections and causes of bronchial obstruction (FB, mucus plugs, tumors, sequestrations, cystic fibrosis) • immotile cilia (Kartagener’s )syndrome (Bronchiectasis, dextrocardia -situs inversus, chronic sinusitis, and infertility) • Clinically: • Chronic cough, productive of purulent sputum • Dyspnea and orthopnea in severe cases • later obstructive respiratory insufficiency & Corpulmonale
  • 178.
    Bronchiectasis Gross • Distended peripheral bronchi (Due to weakening of wall)
  • 179.
  • 180.
    PRIMARY ANTIBODY DEFICIENCY (PAD) & BRONCHIECTASIS (UKPIN / BTS GUIDELINES)
  • 181.
    BRONCHIECTASIS A destructive lungdisease characterised by:  Abnormal & permanent dilatation of medium sized bronchi  An associated, persistent and variable inflammatory process producing damage to bronchial elastic and muscular elements
  • 182.
    PATHOLOGY Neutrophil proteases (acute infection in a normal or compromised host)  Epithelial injury + Structural protein damage  Damaged, dilated airway  Mucous retention / chronic, recurrent infection  Ongoing inflammation / tissue damage / repair
  • 185.
    BRONCHIECTASIS - aetiology  Infection - pertussis, influenza, measles, TB, necrotising peumonia  Bronchial obstruction - mucoid impaction, ABPA  Congenital anatomical lung abnormality  Inherited disorders - ciliary dysfunction - cystic fibrosis - alpha-1 AT deficiency • Undefined (29 - 49%)
  • 186.
    BRONCHIECTASIS OF UNDEFINED REF. AETIOLOGY NOS. ANALYTE % age ABN. Hilton & Doyle 53 IgG/A/M 0 - 1978 Murphy et al 23 IgG/A/M, Gsub 0 - 1984 Barker et al 30 IgG/A/M, Gsub 37 Panhypoγ (9/30) 1987 IgM (2/30) De Gracia et al 65 Gsub, Hib 48 IgG2 1996 Hib (10/19) Hill et al 89 Gsub 6 IgG4 1998 Stead et al 56 IgG/A/M, Gsub 23 IgG4 2002 Hib, Pneum Pneum (1/29)
  • 187.
    BRONCHIECTASIS Pasteur et al. Am J Respir Crit Care Med (2000) 162, 1277-1284 ASSOCIATION n % Idiopathic 80 53 ABPA 11 7 PAD 11 7 Neutrophil defect 1 <1 Rheumatoid disease 4 3 Ulcerative colitis 2 <1 Ciliary dysfunction 3 1.5 Young’s syndrome 5 3 Cystic fibrosis 4 3 Post-infectious 44 9 Aspiration/reflux 6 4 Other defineable 2 <1
  • 188.
    BRONCHIECTASIS in PAD CVID • 53% (Hausser et al 1983) • 44% (Watts et al 1986) • 18% (Hermazewski & Webster 1993) • 20% (UK PAD Audit 1993-96) • 27% (‘chronic lung disease’) (Cunningham Rundles 1999) • 58% (Garcia 2001) • 43% (Busse et al 2002) XLA • 7% (Hermazewski & Webster 1993) • 12% (UK PAD Audit 1993-96) • 20% (Quartier et al 1999)
  • 189.
    RESPIRATORY INFECTIONS Figure 2 Types of infection in the 37 patients receiving immunoglobulin replacement treatment. The numbers of each type of infection are listed by each chart section.
  • 191.
    DIAGNOSTIC DELAY  Average: diagnosis - 6.3 years treatment - additional 3.9  Diagnostic delay > 2 years:  risk of bronchiectasis sinusitis iron deficiency (UK PAD Audit 1993-96) 3  Strongest predictor of chronic pulmonary disease in treated patients is established lung disease at time of presentation n= XLAx10, CVIDx12 IMIg x 18, IVIg x 3, FFP x 1 (all + daily antibiotic) (Sweinberg et al 1991) 3
  • 192.
    UK PAD AUDIT1993-96 Development of bronchiectasis following diagnosis: <1980 1981-87 >1988 77% 70% 42%
  • 193.
    CHRONIC LUNG DISEASEin PAD Damage sustained prior to active treatment and/or Continued inflammation despite treatment
  • 194.
    AIMS Define evidence-based guidelinesrelevant to:  investigation level appropriate to screen for significant antibody deficiency in all patients with bronchiectasis  diagnosis & management of bronchiectasis complicating primary antibody deficiency
  • 195.
    GUIDELINES  Simple  Valid  Evidence-based  Reproducible  Consistent with  Reliable existing, recognised standards • Involving & representative of  Realistic key disciplines  Explicit  Clinically applicable  Clear & well documented  Clinically flexible  Credible & widely supported  Scheduled for review  Results orientated (outcomes)
  • 196.
    GUIDELINES LITERATURE REVIEW DATABASES  Ovid Online Collection  Meta-analyses - Medline, preMedline  Systematic reviews - CINAHL, EMBASE  RCTs - Journals@ovid  EBM Reviews  Longitudinal studies - Cochrane Systematic Reviews  Case control/cohort studies - Cochrane Controlled Trials  Case reports/case series - Effectiveness Reviews Abstracts - ACP Journal Club  Expert opinions  Allied & Complementary Medicine  Specialty Contacts
  • 197.
    GUIDELINES EVIDENCE RECOMMENDATION 1 A 2 B 3 C 4 D (Good Practice Points) SIGN, RCPCH, BTS
  • 198.
    DIAGNOSIS PRIMARY ANTIBODY DEFICIENCY  Humoral abnormalities are common in bronchiectasis 3  Respiratory Physician + Immunologist 4  Diagnosis of significant antibody deficiency should entail use of established and widely accepted criteria: 4 - Primary Immunodeficiency Diseases. Report of an IUIS Scientific Group Clinical & Experimental Immunology 1999 (118), Suppl 1:1-34 - Diagnostic Criteria for Primary Immunodeficiencies. Clinical Immunology 1999 (93), 190-197 - Practice parameters for the Diagnosis & Management of Immunodeficiency. Annals of Allergy, Asthma & Immunology 1996 (76), 282-294
  • 199.
    PFTs - Reversible/irreversible bronchialobstruction - Granulomatous disease etc.  Correlate poorly with Radiology (bronchiectasis) 3 - Pulmonary abnormalities in patients with primary hypogammaglobulinaemia Kainulainen et al. Jounal of Allergy & Clinical Immunology (1999) 104, 1031-1036 - Pulmonary manifestations of hypogammaglobulinaemia Dukes et al. Thorax (1978) 33, 603-607 - Radiologic findings of adult primary immunodeficiency disorders: contribution of CT Obregon et al. Chest (1994) 106, 490-495 • Static volumes/flow-volume loops
  • 200.
    RADIOLOGY - CXR Bronchiectasis - vessel ‘crowding’ - loss of vessel markings - tramline/ring shadows - cystic lesions/ air-fluid levels - evidence of TB Poor:  diagnostic sensitivity  monitoring of progression 3
  • 201.
    RADIOLOGY - HRCT - bronchial dilatation - bronchial wall thickening - classification (pathology)  sensitivity (97%) > CXR 3  chromosomal radiosensitivity - plain CXR (x 3 days background) - HRCT: x 30-40 - conventional CT: x 200 • ? routine baseline • ? (a)symptomatic monitoring
  • 202.
    UNSUSPECTED DISEASE (Clinical v CXR v HRCT)  Bronchiectasis in Hypogammaglobulinaemia - A Computed Tomography assessment. Curtin et al. Clinical Radiology (1991) 44, 82-84  Radiologic Findings of Adult primary Immunodeficiency Disorders. Obregon et al. Chest (1994)106, 490-495  Chest High Resolution CT in Adults with Primary Humoral Immundeficiency. Feydy et al. British Journal of Radiology (1996) 69, 1108-1116  Clinical Utility of High-Resolution Pulmonary Computed Tomography in Children with Antibody Deficiency. Manson et al. Pediatric Radiology (1997) 27, 794-798  The Value of Computed Tomography in the Diagnosis & Management of Bronchiectasis. Pang et al. Clinical Radiology (1989) 40, 40-44  Review Article: Imaging in Bronchiectasis. Smith et al. British Journal of Radiology (1996) 69, 589-593 3
  • 203.
    RADIOLOGY Kainulainen et al1999  CVID x 18, XLA x 4  3 year follow-up  CXR HRCT Disease progression (5) Bronchiectasis 3 16 Serum IgG Case No T=0 T=36 1 9.9 10.0 2 4.6 6.1 8 3.7 5.1 10 3.7 4.9 21 3.1 5.7
  • 204.
    RADIOLOGY - HRCT RCPSpecialty Specific Standards ‘Fit’ patients…….CT scanning should be undertaken in a minority of patients but usually not more than once a year or if respiratory function tests or symptoms deteriorate JCIA November 2001 4
  • 205.
    MANAGEMENT – GENERALISSUES  Shared Care (Immunologist/Respiratory Physician) optimal 4  Bronchodilators (reversible airflow obstruction)  Mucolytics - insufficient evidence to evaluate routine use (Cochrane Database of Systematic Reviews. 3, 2003)  Physical therapy - insufficient evidence to support or refute usage (Cochrane Database of Systematic Reviews. 3, 2003)  Anti-inflammatory agents
  • 207.
    REPLACEMENT THERAPY  Risk/benefit assessment 4  IV/Sc routes optimal 2   pulmonary infections in XLA/CVID (v untreated) 2  Optimal dosing/frequency/serum IgG level not established  Tailor route/dose/infusion frequency 3 ---------------------------------------------------------------  Maintain IgG >5g/l 2  Paediatric target: mid reference range 4  IgG: >8g/l   infection (v 5g/l, XLA, children) 3 9.4 g/l   infection (v 6.5g/l, XLA/CVID, children/adults) 3  High v standard doses   infections (no. & duration) 2  days hospitalised  serum IgG  Insidious disease progression despite ‘adequate’ replacement 3
  • 208.
    REPLACEMENT THERAPY High dose v low dose: secondary outcome, pulmonary function  Eijkhout et al 2001 (randomised, double-blind, multicentre, crossover, n=43) High dose (mean trough IgG 9.4 g/l): PEFR 37.3 l/min Standard dose (mean trough IgG 6.5 g/l): PEFR 11.4 l/min NS  Roifman & Gelfand 1988 (ramdomised, crossover, n=12) High dose   FVC & FEV1 p<0.01  Roifman et al 1987 (randomised, crossover, n=12) Mean FEV1 & FVC high dose phase v low dose phase p<0.01  Bernatowska et al 1987 (two-dose, crossover, non-randomised, n=13) High dose  Max. expiratory flow & FEV1 NA
  • 210.
    ACUTE INFECTION MICROBIOLOGY  Culture & sensitivity routinely in acute setting 3  Value unclear in chronic situation - confirm original pathogen - ? emerging resistance - additional pathogens ANTIBIOTICS  Effectiveness established in exacerbations (bronchiectasis) 2  Higher doses for longer periods 4  Local treatment protocols 4
  • 211.
    ANTIBIOTIC PROPHYLAXIS  Chronic bronchitis - no place in routine treatment (Cochrane Database of Systematic Reviews. 3, 2003)  Cystic fibrosis benefits - principally staphylococci - infancy  3/6 years - ? older children/adults - ? > 3years treatment (The Cochrane Library, Oxford. 2, 2003) (Cochrane Database of Systematic Reviews. 3, 2003) • Bronchiectasis - limited meta-analysis (6 RCTs) - marginal benefit / cautious support (Evans et al. Thorax 2001)
  • 212.
    ANTIBIOTIC PROPHYLAXIS  No robust data v placebo  No substantial data v (or additional to) IVIg/SCIg (Silk et al. 1990)  ? Single intervention in mild antibody deficiency - not in more severe phenotypes / tissue damage  Papworth protocol: consider if: > 3 exacerbations / year 4 radiological / PFT deterioration  ? Eradication/clean-up therapy prior to prophylaxis - no clear evidence of benefit in antibody deficiency + structural lung damage  Development of local protocols for management of infections (esp. with Primary Care) and initiating prophylaxis 4
  • 213.
    ANTIBIOTIC PROPHYLAXIS Percentage of sputum samples growing pathogens before and after prophylactic ciprofloxacin 70 60 50 all pathogens 40 30 H. Infl (all % isolates) 20 H Infl. (resistant 10 to ciprofloxacin) 0 Prior to On ciprofloxacin ciprofloxacin (Heelan et al., ESID 2002)
  • 215.
    SURGERY  Diagnostic delay > 2 years:  need for surgical procedures Adequate treatment:  lobectomy/pneumonectomy by 95% (UK PAD Audit 1993-96) 3  Important treatment option with favourable outcomes especially in focal bronchiectasis (Cohen et al 1994, Mansharamani & Koziel 2003) 3
  • 216.
    QUESTIONS / ISSUES  HRCT in routine screening & monitoring  Radiological changes a primary therapeutic target - Does HRCT modify our current assumptions about criteria for adequate treatment of antibody deficiency disorders?  Correct level of Ig treatment - arbitrary target serum level (evidence) or individualised (clinical + HRCT factors) - single intervention universally applicable in all patients (probably not) - higher doses: expense, complications, limited commodity  Roles of: antibiotics anti-inflammatory agents bronchodilators aids to airway clearance  Role of co-factors (e.g. 1AT)  Selective IgA deficiency
  • 218.
    PIN GUIDELINES  Identify need for focused clinical research  Encourage debate and discussion  Reflect uncertainties in the field  Proscriptive as necessary, flexible where possible