Anaerobic BacteriaAnaerobic Bacteria
An anaerobic bacteria or anaerobe is any organism that does
not require oxygen for growth. It could possibly react negatively
and may even die if oxygen is present
Overview
What is anaerobic bacteria
■ According to the tolerance to oxygen
There are three categories of anaerobic bacteria: obligate,
aerotolerant, and facultative.
▲ Obligate anaerobes (StrictlyStrictly anaerobes) : need an oxygen-free
environment to live. They cannot grow in places with oxygen,
which can sometimes damage and destroy them.
▲ Aerotolerant bacteria (moderate anaerobes) : do not use oxygen
to live, but can exist in its presence for a period of time.
▲ Facultative anaerobes use fermentation to grow in places without
oxygen, but use aerobic [e'ro b k] respiration in places withʊ ɪ
oxygen.
Classification
Spore-forming:Spore-forming: rod, gram (+) — Clostridiumrod, gram (+) — Clostridium
Nonspore-forming:Nonspore-forming:
rod, gram (+)rod, gram (+) Propionibacterium (Propionibacterium ( 丙酸杆菌属 )
Bifidobacterium (Bifidobacterium ( 双 杆菌属歧 )
Lactobacillus (Lactobacillus ( 乳酸杆菌 )
Eubacterium (Eubacterium ( 真 菌细 )
Actinomyces (Actinomyces ( 放 菌线 )
rod, gram (-)rod, gram (-) Bacteroides (Bacteroides ( 杆菌属类 )
Fusobacterium (Fusobacterium ( 梭菌属 )
Campylobacter (Campylobacter ( 弯曲杆菌属 )cocci, gram (+)cocci, gram (+) Peptococcus (Peptococcus ( 消化球菌 )
Peptostreptococcus (Peptostreptococcus ( 消化 球菌属链 )
cocci, gram (-)cocci, gram (-) Veillonella (Veillonella ( 球菌属韦荣 )
■ According to the morphology, structure and dyeability
※※ The clostridia are pathogens or opportunistic pathogens.The clostridia are pathogens or opportunistic pathogens.
Nonetheless, they are responsible for some of the deadliestNonetheless, they are responsible for some of the deadliest
diseases includingdiseases including gas gangrene, tetanus and botulismgas gangrene, tetanus and botulism. Less. Less
life-threatening diseases includelife-threatening diseases include pseudomembranous colitispseudomembranous colitis
[kə'la t s]ɪ ɪ[kə'la t s]ɪ ɪ (PC) and food poisoning.(PC) and food poisoning.
※※ cause disease primarily through the production ofcause disease primarily through the production of numerousnumerous
exotoxins.exotoxins.
※※ perfringens, tetani, botulinum, difficile [ d fə'sail]ˌ ɪperfringens, tetani, botulinum, difficile [ d fə'sail]ˌ ɪ
Clostridium SpeciesClostridium Species
General introductionGeneral introduction
※※ C. tetaniC. tetani is found worldwide. Ubiquitous inis found worldwide. Ubiquitous in soilsoil, it is, it is
occasionally found inoccasionally found in intestinal flora of humans andintestinal flora of humans and
animalsanimals
※※ C.C. tetanitetani is the cause ofis the cause of tetanustetanus, or, or lockjawlockjaw. spores. spores
are introduced into wounds by contaminated soilare introduced into wounds by contaminated soil
or foreign objects such as nails, glass splinters,or foreign objects such as nails, glass splinters,
and so on.and so on.
C. tetaniC. tetani
※※ soil, fecal contaminationsoil, fecal contamination
※※ wound contaminationwound contamination
※※ gas gangrenegas gangrene
—— swelling of tissuesswelling of tissues
—— gas releasegas release
C. perfringensC. perfringens
C. Botulinum
※※ soil, sediments of lakes, ponds, decaying vegetation.soil, sediments of lakes, ponds, decaying vegetation.
※※ intestinal tracts of birds, mammals and fish.intestinal tracts of birds, mammals and fish.
※※ botulism ['b t əl zəm]ɑː ʃ ɪbotulism ['b t əl zəm]ɑː ʃ ɪ
C. Tetani C. Perfringens C. Botulinum
dyeabilitydyeability
&&
morphousmorphous
GG
++
,, slenderneslenderne
ssss
GG ++
, tubbiness, tubbiness GG ++
, tubbiness, tubbiness
sporespore
roundround ,, widwid
er than cellser than cells ,,
terminal sporeterminal spore
ovaloval ,, subtersubter
minal sporeminal spore
ovaloval ,, widerwider
than cells,than cells,
subterminalsubterminal
sporespore
flagella
++ -- ++
capsulecapsule
-- ++ --
Appearance and structure
Biological characters
Clostridium tetani : This organism is a slender bacillus
forming terminal spores giving a drumstick appearance.
tennis racket-like appearance
C. Tetani C. Perfringens C. Botulinum
StrictlyStrictly
anaerobicanaerobic;;
does notdoes not
ferment anyferment any
carbohydratecarbohydrate
and proteins.and proteins.
ModerateModerate
anaerobicanaerobic;;
Blood agar:Blood agar:
Double-hemolytic
zone ;;
Egg-yolk agar:Egg-yolk agar: an
opaque precipitate;;
Milk mediumMilk medium ::
stormy fermen-stormy fermen-
tation.tation.
StrictlyStrictly
anaerobicanaerobic ;; DigestDigest
meat residuemeat residue andand
produce stenchproduce stench..
Ferment sugarsFerment sugars withwith
production of acidproduction of acid
and COand CO22..
Culture characteristics
θ
α
Double-hemolytic zone
C. Tetani C. Perfringens C. Botulinum
StrictlyStrictly
anaerobicanaerobic;;
does notdoes not
ferment anyferment any
carbohydratecarbohydrate
and proteins.and proteins.
ModerateModerate
anaerobicanaerobic;;
Blood agar: doubleBlood agar: double
zone hemolysiszone hemolysis ;;
Egg-yolk agar:Egg-yolk agar: an
opaque precipitate;;
Milk mediumMilk medium ::
stormy fermen-stormy fermen-
tation.tation.
StrictlyStrictly
anaerobicanaerobic ;; DigestDigest
meat residuemeat residue andand
produce stenchproduce stench..
Ferment sugarsFerment sugars withwith
production of acidproduction of acid
and COand CO22..
Culture characteristics
Growth of Clostridum perfringens on egg-yolk agar. The α-toxin
(lecithinase) hydrolyzes phospholipids in serum and egg yolk,
producing an opaque precipitate (right). This precipitate is not
observed when the organism is grown in the presence of
antibodies against the toxin (left). This reaction (Nagler's
reaction) is characteristic of C. perfringens.
['les θ ne s]ə əˌ ɪ 卵磷脂酵素
['ha dr la z]ɪ əˌ ɪ
C.Tetani C.Perfringens C.Botulinum
StrictlyStrictly
anaerobicanaerobic;;
does notdoes not
ferment anyferment any
carbohydratecarbohydrate
and proteins.and proteins.
ModerateModerate
anaerobicanaerobic;;
Blood agar: doubleBlood agar: double
zone hemolysiszone hemolysis ;;
Egg-yolk agar:Egg-yolk agar: an
opaque precipitate;;
Milk mediumMilk medium ::
stormy fermen-stormy fermen-
tation.tation.
StrictlyStrictly
anaerobicanaerobic ;; DigestDigest
meat residuemeat residue andand
produce stenchproduce stench..
Ferment sugarsFerment sugars withwith
production of acidproduction of acid
and COand CO22..
Culture characteristics
stormy fermentationstormy fermentation
C. perfringens can ferment a
variety of sugars and digest proteins.
If this anaerobic grow in milk
medium, lactose is fermented, milk is
turn acid and proteins are attacked,
producing a “stormy fermentation”
with clotting and a large amount of
gas formation.
petrolatum[ petrə'le təm] layerˌ ɪ
C.Tetani C.Perfringens C. Botulinum
StrictlyStrictly
anaerobicanaerobic;;
does notdoes not
ferment anyferment any
carbohydratecarbohydrate
and proteins.and proteins.
ModerateModerate
anaerobicanaerobic;;
Blood agar: doubleBlood agar: double
zone hemolysiszone hemolysis ;;
Egg-yolk:Egg-yolk: an
opaque precipitate;;
Milk mediumMilk medium ::
stormy fermen-stormy fermen-
tation.tation.
StrictlyStrictly
anaerobicanaerobic ;; DigestDigest
meat residuemeat residue andand
produce stenchproduce stench..
Ferment sugarsFerment sugars withwith
production of acidproduction of acid
and gas.and gas.
Culture characteristics
The spore of spore-forming clostridia canThe spore of spore-forming clostridia can
tolerate boiling for tens of minutestolerate boiling for tens of minutes and they canand they can
maintainsmaintains alive for several decades in soil.alive for several decades in soil.
ResistanceResistance
▲▲ C tetaniC tetani is the only species. There are no serotypesis the only species. There are no serotypes
▲ According to the antigenic of toxin, C. Botulinum can
be devided into seven types
— A, B, C, D, E, F, and G.
Types A, B and E (and occasionally F) are the principal
causes of human illness.
Classification and Antigenic TypesClassification and Antigenic Types
toxintoxin Biological FeatureBiological Feature Types of ToxinsTypes of Toxins
AA BB CC DD EE
αα
lecithinase; increase thelecithinase; increase the
vascular permeability;vascular permeability;
hemolytic; produceshemolytic; produces
necrotizing activitynecrotizing activity
++ ++ ++ ++ ++
ββ
Necrotizing activity, inducesNecrotizing activity, induces
hypertension by causinghypertension by causing
release of catecholaminesrelease of catecholamines
[kət 'kə ləmi nz]ɪ ʊ ː[kət 'kə ləmi nz]ɪ ʊ ː ..
-- ++ ++ -- --
εε
increase the permeability ofincrease the permeability of
gastrointestinal wallgastrointestinal wall -- ++ -- ++ --
ττ
Necrotizing activity; increaseNecrotizing activity; increase
the vascular permeabilitythe vascular permeability -- -- -- -- ++
Type of C. Perfringens
Pathogenesis of tetanus caused by C tetani
Clostridium TetaniClostridium Tetani
Pathogenesis
['kre ni l]ɪ ə 头盖的
EpidemiologyEpidemiology
※※ 1 million cases of tetanus occur annually in the world, with a1 million cases of tetanus occur annually in the world, with a
mortality rate ranging from 20% to 50%. But rare in mostmortality rate ranging from 20% to 50%. But rare in most
developed countries.developed countries.
※※ In someIn some developing countries,developing countries, tetanus is still one of the tentetanus is still one of the ten
leading causes of death, and neonatal tetanus accounts forleading causes of death, and neonatal tetanus accounts for
approximately one-half of the cases worldwide.approximately one-half of the cases worldwide.
※※ In less developed countries, approximate mortality ratesIn less developed countries, approximate mortality rates
remain 85% for neonatal tetanus and 50% for nonneonatalremain 85% for neonatal tetanus and 50% for nonneonatal
tetanus.tetanus.
※※ In the United States, intravenous drug abusers have becomeIn the United States, intravenous drug abusers have become
another population with an increasing incidence of clinicalanother population with an increasing incidence of clinical
tetanustetanus
※※ In untreated tetanus, the fatality rate isIn untreated tetanus, the fatality rate is 90%90% for the newbornfor the newborn
andand 40%40% for adults.for adults.
PathogenicityPathogenicity
※※ No invasiveness; toxemiaNo invasiveness; toxemia
(exogenous infection(exogenous infection ))
※※ produces two exotoxins:produces two exotoxins:
tetanolysin, andtetanolysin, and
tetanospasmintetanospasmin(a kind of(a kind of
neurotoxin, strong toxicity)neurotoxin, strong toxicity)
※※ The actions of tetanospasminThe actions of tetanospasmin
are complex and involve threeare complex and involve three
components of the nervouscomponents of the nervous
system:system: central motor control,central motor control,
autonomic function, and theautonomic function, and the
neuromuscular junction.neuromuscular junction.
※※ retrograde transportretrograde transport
to CNS.to CNS.
※※ delitescence [de l 'tesns]ɪ ɪdelitescence [de l 'tesns]ɪ ɪ 潜潜
伏:伏:
a few days to several weeksa few days to several weeks
※※ The two animalThe two animal
species mostspecies most
susceptible to thissusceptible to this
toxemia are horsestoxemia are horses
andand humanshumans..
Clostridium tetaniClostridium tetani --TetanospasminTetanospasmin
※※ disseminates systemicallydisseminates systemically
※※ binds to ganglioside receptorsbinds to ganglioside receptors
※※ inhibitory neurones in CNSinhibitory neurones in CNS
△△ glycineglycine
■■ neurotransmitterneurotransmitter
※※ stops nerve impulse to musclesstops nerve impulse to muscles
※※ spastic paralysisspastic paralysis
※※ severe muscle contractions and spasmssevere muscle contractions and spasms
※※ can be fatalcan be fatal
破
伤
风
痉
挛
毒
素
(
tetanospasmin
)
tetanospasmin
Motorial end Lymph,blood
Retrograde transport Spinal anterior cell
Brain stem
TetanospasminTetanospasmin
Henvy chain
Light chain Release of
transmitters
['ves kl]ɪ
TetanospasminTetanospasmin
Extenso
r
Flexor
+
+
②
①
①+
③
-
① : motor neuron
② : inhibitory
interneuron
③ : Renshaw cells
+: stimulate -:
inhibit
: Toxin site
Clinical ManifestationsClinical Manifestations
※※ The initial symptom is cramping andThe initial symptom is cramping and
twitching of muscles around a wound.twitching of muscles around a wound.
The patient usually hasThe patient usually has no feverno fever butbut
sweats profusely and begins tosweats profusely and begins to
experience pain, especially in the area ofexperience pain, especially in the area of
the wound and around the neck and jawthe wound and around the neck and jaw
musclesmuscles (trismus ['tr zməs]ɪ(trismus ['tr zməs]ɪ 牙关紧闭症牙关紧闭症 ).).
※※ Portions of the body mayPortions of the body may
become extremely rigid,become extremely rigid,
andand opisthotonosopisthotonos
[ə 'p sθə tənə z]ʊ ɪ ʊ ʊ[ə 'p sθə tənə z]ʊ ɪ ʊ ʊ 角弓反张 (a(a
spasmspasm
in which the head and heelsin which the head and heels
are bent backward and theare bent backward and the
body bowed[bo d] forward) isʊbody bowed[bo d] forward) isʊ
common.common.※※ Complications include fractures, bowel impaction,Complications include fractures, bowel impaction,
intramuscular hematoma, muscle ruptures, andintramuscular hematoma, muscle ruptures, and
pulmonary, renal, and cardiac problemspulmonary, renal, and cardiac problems
ImmunityImmunity
※※ Humoral immunityHumoral immunity(antitoxin)(antitoxin)
※※ There is little, if any, inate immunity and theThere is little, if any, inate immunity and the
disease does not produce immunity in the patient.disease does not produce immunity in the patient.
※※ Active immunity follows vaccination with tetanusActive immunity follows vaccination with tetanus
toxoidtoxoid
DiagnosisDiagnosis
※※ Diagnosis is primarily byDiagnosis is primarily by the clinical symptoms (above).the clinical symptoms (above).
TheThe
wound may not be obvious.wound may not be obvious.
※※ C. tetani can be recovered from the wound in only aboutC. tetani can be recovered from the wound in only about
one-third of the cases.one-third of the cases.
※※ It is important for the clinician to be aware that toxigenicIt is important for the clinician to be aware that toxigenic
strains of C. tetani can grow actively in the wound of anstrains of C. tetani can grow actively in the wound of an
immunized person.immunized person.
※※ Numerous syndromes, includingNumerous syndromes, including rabies and meningitis,rabies and meningitis,
havehave
symptoms similar to those of tetanus and must besymptoms similar to those of tetanus and must be
VaccinationVaccination
※※ infantinfant
※※ DPT (diptheria, pertussis, tetanus)DPT (diptheria, pertussis, tetanus)
※※ tetanus toxoidtetanus toxoid
—— antigenicantigenic
—— no exotoxic activityno exotoxic activity
※※ The offending organism must be removed by localThe offending organism must be removed by local
debridementdebridement 清创术清创术
※※ toxoidtoxoid
※※ TATTAT; Metronidazole [ metrə'na də zo l]ˌ ɪ ˌ ʊ; Metronidazole [ metrə'na də zo l]ˌ ɪ ˌ ʊ 灭滴灵灭滴灵
(For more serious wounds)(For more serious wounds)
※※ AIDSAIDS patients may not respond to prophylacticpatients may not respond to prophylactic
[ pro fə'lækt k] injections of tetanus toxoidˌ ʊ ɪ[ pro fə'lækt k] injections of tetanus toxoidˌ ʊ ɪ
ControlControl
EpidemiologyEpidemiology
※※ C. perfringensC. perfringens type A:type A: the intestinal tract of humans andthe intestinal tract of humans and
animals, soil and water contaminated with feces. Formsanimals, soil and water contaminated with feces. Forms
spores under adverse environmental conditions and canspores under adverse environmental conditions and can
survive for prolonged periods.survive for prolonged periods.
※※ Type B to E strainsType B to E strains colonize the intestinal tract of animalscolonize the intestinal tract of animals
and occasionally humans.and occasionally humans.
Pathogensis of C. Perfringens
EpidemiologyEpidemiology
※※ Type AType A: gas gangrene, soft tissue infections and food poisoning: gas gangrene, soft tissue infections and food poisoning
※※ Type CType C: enteritis; necroticans: enteritis; necroticans
Pathogensis of C. Perfringens
Who is at risk?Who is at risk?
※※ Surgical patients;Surgical patients; patient after trauma with soilpatient after trauma with soil
contamination.contamination.
※※ People who ingest contaminatedPeople who ingest contaminated meat productsmeat products (without(without
proper refrigeration or reheating to inactivate endotoxin)proper refrigeration or reheating to inactivate endotoxin)
Pathogensis of C. Perfringens
ToxinsToxins
※※ Many toxins ofMany toxins of C. Perfringens have lethal, necrotizing, andhave lethal, necrotizing, and
hemolytic properties;hemolytic properties;
※※ The alpha toxin produced by all types ofThe alpha toxin produced by all types of C. perfringens,C. perfringens, it isit is
a lecithinase that lyses erythrocytes, platelets, leukocytes, anda lecithinase that lyses erythrocytes, platelets, leukocytes, and
endothelial cells. And its lethal action is proportionate to theendothelial cells. And its lethal action is proportionate to the
rate at which it splits lecithin to phosphorylcholinerate at which it splits lecithin to phosphorylcholine
[f sfər l'ko l n] and diglyceride [da 'gl sə ra d]ɒ ɪ ʊ ɪ ɪ ɪ ˌ ɪ[f sfər l'ko l n] and diglyceride [da 'gl sə ra d]ɒ ɪ ʊ ɪ ɪ ɪ ˌ ɪ 甘油二酯甘油二酯 ..
※※ The theta toxin has similar hemolytic and necrotizing effects.The theta toxin has similar hemolytic and necrotizing effects.
※※ DNAase, hyaluronidase[ ha əl 'r n de s], collagenase areˌ ɪ ʊ ɒ ɪˌ ɪDNAase, hyaluronidase[ ha əl 'r n de s], collagenase areˌ ɪ ʊ ɒ ɪˌ ɪ
also producedalso produced
Pathogensis of C. Perfringens
EnterotoxinEnterotoxin
※※ Many strains of type A produce enterotoxin, which is a heat-Many strains of type A produce enterotoxin, which is a heat-
labile ['le bəl]ɪlabile ['le bəl]ɪ 易变的易变的 protein and destroyed immediately at 100protein and destroyed immediately at 100
.℃.℃
※※ Trypsin treatment enhances the toxin activity threefold.Trypsin treatment enhances the toxin activity threefold.
※※ The toxin is produced primarily by type A strains but also byThe toxin is produced primarily by type A strains but also by
a few of type C and D strains.a few of type C and D strains.
※※ It disrupts ion transport in the ileum[' liəm]ɪIt disrupts ion transport in the ileum[' liəm]ɪ 回肠回肠 (primarily) and(primarily) and
jejunum [d 'd u nəm]ʒɪ ʒ ːjejunum [d 'd u nəm]ʒɪ ʒ ː 空肠空肠 by inserting into the cellby inserting into the cell
Pathogensis of C. Perfringens
※※ Tissue degrading enzymesTissue degrading enzymes
—— lecithinaselecithinase
—— proteolytic enzymesproteolytic enzymes
—— saccharolytic [sækərə'l t k]ɪ ɪsaccharolytic [sækərə'l t k]ɪ ɪ 糖分解的糖分解的 enzymesenzymes
※※ Destruction of blood vesselsDestruction of blood vessels
※※ Tissue necrosisTissue necrosis
※※ Anaerobic environment createdAnaerobic environment created
※※ Organism spreadsOrganism spreads
Pathogensis of C. Perfringens
Without treatment deathWithout treatment death
occurs within 2 daysoccurs within 2 days
 effective antibiotic therapyeffective antibiotic therapy
 debridementdebridement
 anti-toxinanti-toxin
 amputation & death is rareamputation & death is rare
Gas gangreneGas gangrene
※※ Gas gangreneGas gangrene is a life-threatening disease with a pooris a life-threatening disease with a poor
prognosis and often fatal outcome.prognosis and often fatal outcome.
※※ Initial trauma to host tissue damages muscle and impairsInitial trauma to host tissue damages muscle and impairs
blood supply —— lack of oxygenationblood supply —— lack of oxygenation
※※ Initial symptomsInitial symptoms :: feverfever and pain in the infected tissue;and pain in the infected tissue;
more local tissue necrosis and systemic toxemia. Infectedmore local tissue necrosis and systemic toxemia. Infected
muscle is discolored (purple mottling ['m tl ŋ]ɒ ɪmuscle is discolored (purple mottling ['m tl ŋ]ɒ ɪ 斑点斑点 ) and) and
edematous and produces aedematous and produces a foulfoul-smelling exudate; gas-smelling exudate; gas
bubblesbubbles form from the products of anaerobic fermentation.form from the products of anaerobic fermentation.
Gas gangreneGas gangrene
※※ As capillary permeability increases, the accumulation ofAs capillary permeability increases, the accumulation of
fluid increases, and venous return eventually is curtailed.fluid increases, and venous return eventually is curtailed.
※※ As more tissue becomes involved, the clostridia multiplyAs more tissue becomes involved, the clostridia multiply
within the increasing area of dead tissue, releasing morewithin the increasing area of dead tissue, releasing more
toxins into the local tissue and the systemic circulation.toxins into the local tissue and the systemic circulation.
painful, black, edematous and foulpainful, black, edematous and foul
Food poisoningFood poisoning
※※ Enterotoxin producing strains.Enterotoxin producing strains.
※※ These bacteria are found in mammalianThese bacteria are found in mammalian faeces and soil.faeces and soil.
※※ Small numbers of the bacteria may also be found in foodsSmall numbers of the bacteria may also be found in foods
and they may propagate rapidly to dangerousand they may propagate rapidly to dangerous
concentrations if the food is improperly stored andconcentrations if the food is improperly stored and
handled.handled.
Food poisoningFood poisoning
※※ more than 10more than 1088
vegetative cells are ingested and sporulate invegetative cells are ingested and sporulate in
the gut, the toxins can act rapidly in the body, causingthe gut, the toxins can act rapidly in the body, causing
severe diarrhea in 6severe diarrhea in 6 ~~ 18 hours, dysentery, gangrene,18 hours, dysentery, gangrene,
musclemuscle
infectionsinfections
※※ The action ofThe action of C. perfringensC. perfringens enterotoxin involves markedenterotoxin involves marked
hypersecretion in the jejunum and ileum, with loss of fluidshypersecretion in the jejunum and ileum, with loss of fluids
and electrolytes in diarrhea.and electrolytes in diarrhea.
Cellulitis, FasciitisCellulitis, Fasciitis
※※ Fasciitis [ fæ i'a t s]ˌ ʃ ɪ ɪFasciitis [ fæ i'a t s]ˌ ʃ ɪ ɪ 筋膜炎筋膜炎 : a rapidly progressive,: a rapidly progressive,
destructive process in which the organisms spreaddestructive process in which the organisms spread
through fascial planes.through fascial planes.
※※ Fasciitis causes suppuration and the formation of gasFasciitis causes suppuration and the formation of gas
※※ Absense of muscle involvementAbsense of muscle involvement
※※ rapidityrapidity
Clostridial anaerobic
cellulitis: following a
compound fracture of
the tibia ['t bi ]ɪ ə 胫节 .
Crepitus [k'rep t s]ɪ ə 捻
发音
was noted on exam
and the presence of
gas confirmed
radiologically.
Postoperative [ po st' p r t v]ˌ ʊ ɒ ə ə ɪ 手术后的 gangrenous cellulitis:
a huge area of ulceration filled with gangrenous skin and
slough[sla ]ʊ 腐肉 lies adjacent to the wound. There is
surrounding
cellulitis and a further area of necrotic skin in the flank [flæŋk] 侧
※※ Rare, acute necrotizing process in the jejunumRare, acute necrotizing process in the jejunum
※※ Abdominal pain, bloody diarrhea, shock, and peritonitisAbdominal pain, bloody diarrhea, shock, and peritonitis
※※ Mortality: 50%Mortality: 50%
※※ Beta-toxin-producingBeta-toxin-producing C. perfringensC. perfringens type Ctype C
※※ SepticemiaSepticemia
Necrotizing EnteritisNecrotizing Enteritis
Small intestinal serosal [s 'ro s ]ɪ ʊ ə 浆膜 surfaces are diffusely red
Small intestinal contents are red and watery
UP
C. botulinumC. botulinum
— spores heat resistant.
canning.
anaerobic environment
— Botulism
eating uncooked foods
spores
— GI, duodenum[ du 'di n m]ˌ ːə ː ə 十二指肠 , blood
stream, neuromuscular synapses.
TransmissionTransmission
— bacterial protease
— light chain, A, 50 kDa;
heavy chain, 100kDa.
— disulfide bond.
— A potent toxin
Virulence factorsVirulence factors
▲▲ binds peripheral nerve receptorsbinds peripheral nerve receptors
△△acetylcholine neurotransmitteracetylcholine neurotransmitter
▲▲ inhibits nerve impulsesinhibits nerve impulses
▲▲ flaccid paralysisflaccid paralysis
▲▲ deathdeath
△△ respiratoryrespiratory
△△ cardiac failurecardiac failure
['m skj l t r]ʌ ə ə ʃə 肌肉组织
Botulinum toxinBotulinum toxin
※※ BioterrorismBioterrorism
△△ not an infectionnot an infection
△△ resembles a chemical attackresembles a chemical attack
△△ 10 ng can kill a normal adult10 ng can kill a normal adult
---foodborne, infant, wound, undetermined.
---Certain foods; wound not.
---Foodborne botulism, consumption.
---Infant botulism, 1976, under 12m.
---ingestion, colonize and produce toxin in the
intestinal tract of infants.
---increased.
---internationally recognized.
EpidemiologyEpidemiology
— 18-36 hours:
— weakness, dizziness,dryness of the mouth.
— Nausea,vomiting.
— Neurologic features
△ blurred vision
△ inability to swallow
△ difficulty in speech
△ descending weakness of skeletal ['skelətl]
骨骼的 muscles
△ respiratory paralysis.
Clinical syndromesClinical syndromes
BotulismBotulism
▲▲ food poisoningfood poisoning
△△ rarerare
△△ fatalfatal
▲▲ germination of sporegermination of spore
▲▲ inadequately sterilized canned foodinadequately sterilized canned food
△△ homehome
△△ not an infectionnot an infection
Infection withInfection with C. botulinumC. botulinum
※※ Neonatal botulismNeonatal botulism
▲▲ uncommonuncommon
▲▲ the predominant form of botulismthe predominant form of botulism
▲▲ colonization occurscolonization occurs
△△ no normal flora to competeno normal flora to compete
△△ unlike adultunlike adult
WoundsWounds
※※ extremely rareextremely rare
※※ an infectionan infection
—— specifically neutralized,specifically neutralized, antitoxin.antitoxin.
—— toxoided, make good antigens.toxoided, make good antigens.
—— does not develop, amount toxic.does not develop, amount toxic.
—— Repeated occurrence.Repeated occurrence.
—— Once bound, unaffected by antitoxin.Once bound, unaffected by antitoxin.
—— circulating toxin , neutralized , injection ofcirculating toxin , neutralized , injection of
antitoxin.antitoxin.
—— treated immediately with antiserum.treated immediately with antiserum.
—— multivalentmultivalent toxoid,unjustified,infrequency.toxoid,unjustified,infrequency.
experimental vaccine.experimental vaccine.
ImmunityImmunity
TREATMENT
• Individuals known to have ingested food with
botulism should be treated immediately with
antiserum.
• antibiotic therapy (if infection)
• Vaccination will not protect hosts from botulism, however passive
immunisation with antibody is the treatment of choice for cases of
botulism.
PREVENTION
---proper food handling and preparation.
--- spores survive boiling (100 degrees at 1 atm) 1h.
---toxin heat-labile, boiling or intense heating, inactivate the toxin.
---bulge[b ld ]ʌ ʒ 膨胀 , gas, spoiled.
Exercises:
Anaerobic bacteria (anaerobe) Stormy fermen-tation
Nagler reaction TAT(tetanus antitoxin)
1. Briefly describe the pathogenic conditions and mechanism
of C. Tetani.
2. Briefly describe the principle of the treatment and
prevention of tetanus,
3. Please briefly describe the pathogenic mechanism of
Botulinum toxin.

13 anaerobic bacteria

  • 1.
  • 2.
    An anaerobic bacteriaor anaerobe is any organism that does not require oxygen for growth. It could possibly react negatively and may even die if oxygen is present Overview What is anaerobic bacteria
  • 3.
    ■ According tothe tolerance to oxygen There are three categories of anaerobic bacteria: obligate, aerotolerant, and facultative. ▲ Obligate anaerobes (StrictlyStrictly anaerobes) : need an oxygen-free environment to live. They cannot grow in places with oxygen, which can sometimes damage and destroy them. ▲ Aerotolerant bacteria (moderate anaerobes) : do not use oxygen to live, but can exist in its presence for a period of time. ▲ Facultative anaerobes use fermentation to grow in places without oxygen, but use aerobic [e'ro b k] respiration in places withʊ ɪ oxygen. Classification
  • 4.
    Spore-forming:Spore-forming: rod, gram(+) — Clostridiumrod, gram (+) — Clostridium Nonspore-forming:Nonspore-forming: rod, gram (+)rod, gram (+) Propionibacterium (Propionibacterium ( 丙酸杆菌属 ) Bifidobacterium (Bifidobacterium ( 双 杆菌属歧 ) Lactobacillus (Lactobacillus ( 乳酸杆菌 ) Eubacterium (Eubacterium ( 真 菌细 ) Actinomyces (Actinomyces ( 放 菌线 ) rod, gram (-)rod, gram (-) Bacteroides (Bacteroides ( 杆菌属类 ) Fusobacterium (Fusobacterium ( 梭菌属 ) Campylobacter (Campylobacter ( 弯曲杆菌属 )cocci, gram (+)cocci, gram (+) Peptococcus (Peptococcus ( 消化球菌 ) Peptostreptococcus (Peptostreptococcus ( 消化 球菌属链 ) cocci, gram (-)cocci, gram (-) Veillonella (Veillonella ( 球菌属韦荣 ) ■ According to the morphology, structure and dyeability
  • 5.
    ※※ The clostridiaare pathogens or opportunistic pathogens.The clostridia are pathogens or opportunistic pathogens. Nonetheless, they are responsible for some of the deadliestNonetheless, they are responsible for some of the deadliest diseases includingdiseases including gas gangrene, tetanus and botulismgas gangrene, tetanus and botulism. Less. Less life-threatening diseases includelife-threatening diseases include pseudomembranous colitispseudomembranous colitis [kə'la t s]ɪ ɪ[kə'la t s]ɪ ɪ (PC) and food poisoning.(PC) and food poisoning. ※※ cause disease primarily through the production ofcause disease primarily through the production of numerousnumerous exotoxins.exotoxins. ※※ perfringens, tetani, botulinum, difficile [ d fə'sail]ˌ ɪperfringens, tetani, botulinum, difficile [ d fə'sail]ˌ ɪ Clostridium SpeciesClostridium Species
  • 6.
    General introductionGeneral introduction ※※C. tetaniC. tetani is found worldwide. Ubiquitous inis found worldwide. Ubiquitous in soilsoil, it is, it is occasionally found inoccasionally found in intestinal flora of humans andintestinal flora of humans and animalsanimals ※※ C.C. tetanitetani is the cause ofis the cause of tetanustetanus, or, or lockjawlockjaw. spores. spores are introduced into wounds by contaminated soilare introduced into wounds by contaminated soil or foreign objects such as nails, glass splinters,or foreign objects such as nails, glass splinters, and so on.and so on. C. tetaniC. tetani
  • 7.
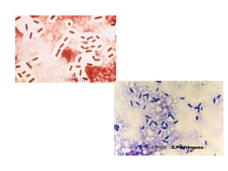
    ※※ soil, fecalcontaminationsoil, fecal contamination ※※ wound contaminationwound contamination ※※ gas gangrenegas gangrene —— swelling of tissuesswelling of tissues —— gas releasegas release C. perfringensC. perfringens
  • 8.
    C. Botulinum ※※ soil,sediments of lakes, ponds, decaying vegetation.soil, sediments of lakes, ponds, decaying vegetation. ※※ intestinal tracts of birds, mammals and fish.intestinal tracts of birds, mammals and fish. ※※ botulism ['b t əl zəm]ɑː ʃ ɪbotulism ['b t əl zəm]ɑː ʃ ɪ
  • 9.
    C. Tetani C.Perfringens C. Botulinum dyeabilitydyeability && morphousmorphous GG ++ ,, slenderneslenderne ssss GG ++ , tubbiness, tubbiness GG ++ , tubbiness, tubbiness sporespore roundround ,, widwid er than cellser than cells ,, terminal sporeterminal spore ovaloval ,, subtersubter minal sporeminal spore ovaloval ,, widerwider than cells,than cells, subterminalsubterminal sporespore flagella ++ -- ++ capsulecapsule -- ++ -- Appearance and structure Biological characters
  • 10.
    Clostridium tetani :This organism is a slender bacillus forming terminal spores giving a drumstick appearance.
  • 13.
  • 14.
    C. Tetani C.Perfringens C. Botulinum StrictlyStrictly anaerobicanaerobic;; does notdoes not ferment anyferment any carbohydratecarbohydrate and proteins.and proteins. ModerateModerate anaerobicanaerobic;; Blood agar:Blood agar: Double-hemolytic zone ;; Egg-yolk agar:Egg-yolk agar: an opaque precipitate;; Milk mediumMilk medium :: stormy fermen-stormy fermen- tation.tation. StrictlyStrictly anaerobicanaerobic ;; DigestDigest meat residuemeat residue andand produce stenchproduce stench.. Ferment sugarsFerment sugars withwith production of acidproduction of acid and COand CO22.. Culture characteristics
  • 15.
  • 16.
    C. Tetani C.Perfringens C. Botulinum StrictlyStrictly anaerobicanaerobic;; does notdoes not ferment anyferment any carbohydratecarbohydrate and proteins.and proteins. ModerateModerate anaerobicanaerobic;; Blood agar: doubleBlood agar: double zone hemolysiszone hemolysis ;; Egg-yolk agar:Egg-yolk agar: an opaque precipitate;; Milk mediumMilk medium :: stormy fermen-stormy fermen- tation.tation. StrictlyStrictly anaerobicanaerobic ;; DigestDigest meat residuemeat residue andand produce stenchproduce stench.. Ferment sugarsFerment sugars withwith production of acidproduction of acid and COand CO22.. Culture characteristics
  • 17.
    Growth of Clostridumperfringens on egg-yolk agar. The α-toxin (lecithinase) hydrolyzes phospholipids in serum and egg yolk, producing an opaque precipitate (right). This precipitate is not observed when the organism is grown in the presence of antibodies against the toxin (left). This reaction (Nagler's reaction) is characteristic of C. perfringens. ['les θ ne s]ə əˌ ɪ 卵磷脂酵素 ['ha dr la z]ɪ əˌ ɪ
  • 18.
    C.Tetani C.Perfringens C.Botulinum StrictlyStrictly anaerobicanaerobic;; doesnotdoes not ferment anyferment any carbohydratecarbohydrate and proteins.and proteins. ModerateModerate anaerobicanaerobic;; Blood agar: doubleBlood agar: double zone hemolysiszone hemolysis ;; Egg-yolk agar:Egg-yolk agar: an opaque precipitate;; Milk mediumMilk medium :: stormy fermen-stormy fermen- tation.tation. StrictlyStrictly anaerobicanaerobic ;; DigestDigest meat residuemeat residue andand produce stenchproduce stench.. Ferment sugarsFerment sugars withwith production of acidproduction of acid and COand CO22.. Culture characteristics
  • 19.
    stormy fermentationstormy fermentation C.perfringens can ferment a variety of sugars and digest proteins. If this anaerobic grow in milk medium, lactose is fermented, milk is turn acid and proteins are attacked, producing a “stormy fermentation” with clotting and a large amount of gas formation. petrolatum[ petrə'le təm] layerˌ ɪ
  • 20.
    C.Tetani C.Perfringens C.Botulinum StrictlyStrictly anaerobicanaerobic;; does notdoes not ferment anyferment any carbohydratecarbohydrate and proteins.and proteins. ModerateModerate anaerobicanaerobic;; Blood agar: doubleBlood agar: double zone hemolysiszone hemolysis ;; Egg-yolk:Egg-yolk: an opaque precipitate;; Milk mediumMilk medium :: stormy fermen-stormy fermen- tation.tation. StrictlyStrictly anaerobicanaerobic ;; DigestDigest meat residuemeat residue andand produce stenchproduce stench.. Ferment sugarsFerment sugars withwith production of acidproduction of acid and gas.and gas. Culture characteristics
  • 21.
    The spore ofspore-forming clostridia canThe spore of spore-forming clostridia can tolerate boiling for tens of minutestolerate boiling for tens of minutes and they canand they can maintainsmaintains alive for several decades in soil.alive for several decades in soil. ResistanceResistance
  • 22.
    ▲▲ C tetaniCtetani is the only species. There are no serotypesis the only species. There are no serotypes ▲ According to the antigenic of toxin, C. Botulinum can be devided into seven types — A, B, C, D, E, F, and G. Types A, B and E (and occasionally F) are the principal causes of human illness. Classification and Antigenic TypesClassification and Antigenic Types
  • 23.
    toxintoxin Biological FeatureBiologicalFeature Types of ToxinsTypes of Toxins AA BB CC DD EE αα lecithinase; increase thelecithinase; increase the vascular permeability;vascular permeability; hemolytic; produceshemolytic; produces necrotizing activitynecrotizing activity ++ ++ ++ ++ ++ ββ Necrotizing activity, inducesNecrotizing activity, induces hypertension by causinghypertension by causing release of catecholaminesrelease of catecholamines [kət 'kə ləmi nz]ɪ ʊ ː[kət 'kə ləmi nz]ɪ ʊ ː .. -- ++ ++ -- -- εε increase the permeability ofincrease the permeability of gastrointestinal wallgastrointestinal wall -- ++ -- ++ -- ττ Necrotizing activity; increaseNecrotizing activity; increase the vascular permeabilitythe vascular permeability -- -- -- -- ++ Type of C. Perfringens
  • 24.
    Pathogenesis of tetanuscaused by C tetani Clostridium TetaniClostridium Tetani Pathogenesis ['kre ni l]ɪ ə 头盖的
  • 25.
    EpidemiologyEpidemiology ※※ 1 millioncases of tetanus occur annually in the world, with a1 million cases of tetanus occur annually in the world, with a mortality rate ranging from 20% to 50%. But rare in mostmortality rate ranging from 20% to 50%. But rare in most developed countries.developed countries. ※※ In someIn some developing countries,developing countries, tetanus is still one of the tentetanus is still one of the ten leading causes of death, and neonatal tetanus accounts forleading causes of death, and neonatal tetanus accounts for approximately one-half of the cases worldwide.approximately one-half of the cases worldwide. ※※ In less developed countries, approximate mortality ratesIn less developed countries, approximate mortality rates remain 85% for neonatal tetanus and 50% for nonneonatalremain 85% for neonatal tetanus and 50% for nonneonatal tetanus.tetanus. ※※ In the United States, intravenous drug abusers have becomeIn the United States, intravenous drug abusers have become another population with an increasing incidence of clinicalanother population with an increasing incidence of clinical tetanustetanus ※※ In untreated tetanus, the fatality rate isIn untreated tetanus, the fatality rate is 90%90% for the newbornfor the newborn andand 40%40% for adults.for adults.
  • 26.
    PathogenicityPathogenicity ※※ No invasiveness;toxemiaNo invasiveness; toxemia (exogenous infection(exogenous infection )) ※※ produces two exotoxins:produces two exotoxins: tetanolysin, andtetanolysin, and tetanospasmintetanospasmin(a kind of(a kind of neurotoxin, strong toxicity)neurotoxin, strong toxicity) ※※ The actions of tetanospasminThe actions of tetanospasmin are complex and involve threeare complex and involve three components of the nervouscomponents of the nervous system:system: central motor control,central motor control, autonomic function, and theautonomic function, and the neuromuscular junction.neuromuscular junction. ※※ retrograde transportretrograde transport to CNS.to CNS. ※※ delitescence [de l 'tesns]ɪ ɪdelitescence [de l 'tesns]ɪ ɪ 潜潜 伏:伏: a few days to several weeksa few days to several weeks ※※ The two animalThe two animal species mostspecies most susceptible to thissusceptible to this toxemia are horsestoxemia are horses andand humanshumans..
  • 27.
    Clostridium tetaniClostridium tetani--TetanospasminTetanospasmin ※※ disseminates systemicallydisseminates systemically ※※ binds to ganglioside receptorsbinds to ganglioside receptors ※※ inhibitory neurones in CNSinhibitory neurones in CNS △△ glycineglycine ■■ neurotransmitterneurotransmitter ※※ stops nerve impulse to musclesstops nerve impulse to muscles ※※ spastic paralysisspastic paralysis ※※ severe muscle contractions and spasmssevere muscle contractions and spasms ※※ can be fatalcan be fatal
  • 28.
  • 29.
    TetanospasminTetanospasmin Henvy chain Light chainRelease of transmitters ['ves kl]ɪ
  • 30.
  • 31.
    Extenso r Flexor + + ② ① ①+ ③ - ① : motorneuron ② : inhibitory interneuron ③ : Renshaw cells +: stimulate -: inhibit : Toxin site
  • 32.
    Clinical ManifestationsClinical Manifestations ※※The initial symptom is cramping andThe initial symptom is cramping and twitching of muscles around a wound.twitching of muscles around a wound. The patient usually hasThe patient usually has no feverno fever butbut sweats profusely and begins tosweats profusely and begins to experience pain, especially in the area ofexperience pain, especially in the area of the wound and around the neck and jawthe wound and around the neck and jaw musclesmuscles (trismus ['tr zməs]ɪ(trismus ['tr zməs]ɪ 牙关紧闭症牙关紧闭症 ).).
  • 33.
    ※※ Portions ofthe body mayPortions of the body may become extremely rigid,become extremely rigid, andand opisthotonosopisthotonos [ə 'p sθə tənə z]ʊ ɪ ʊ ʊ[ə 'p sθə tənə z]ʊ ɪ ʊ ʊ 角弓反张 (a(a spasmspasm in which the head and heelsin which the head and heels are bent backward and theare bent backward and the body bowed[bo d] forward) isʊbody bowed[bo d] forward) isʊ common.common.※※ Complications include fractures, bowel impaction,Complications include fractures, bowel impaction, intramuscular hematoma, muscle ruptures, andintramuscular hematoma, muscle ruptures, and pulmonary, renal, and cardiac problemspulmonary, renal, and cardiac problems
  • 34.
    ImmunityImmunity ※※ Humoral immunityHumoralimmunity(antitoxin)(antitoxin) ※※ There is little, if any, inate immunity and theThere is little, if any, inate immunity and the disease does not produce immunity in the patient.disease does not produce immunity in the patient. ※※ Active immunity follows vaccination with tetanusActive immunity follows vaccination with tetanus toxoidtoxoid
  • 35.
    DiagnosisDiagnosis ※※ Diagnosis isprimarily byDiagnosis is primarily by the clinical symptoms (above).the clinical symptoms (above). TheThe wound may not be obvious.wound may not be obvious. ※※ C. tetani can be recovered from the wound in only aboutC. tetani can be recovered from the wound in only about one-third of the cases.one-third of the cases. ※※ It is important for the clinician to be aware that toxigenicIt is important for the clinician to be aware that toxigenic strains of C. tetani can grow actively in the wound of anstrains of C. tetani can grow actively in the wound of an immunized person.immunized person. ※※ Numerous syndromes, includingNumerous syndromes, including rabies and meningitis,rabies and meningitis, havehave symptoms similar to those of tetanus and must besymptoms similar to those of tetanus and must be
  • 36.
    VaccinationVaccination ※※ infantinfant ※※ DPT(diptheria, pertussis, tetanus)DPT (diptheria, pertussis, tetanus) ※※ tetanus toxoidtetanus toxoid —— antigenicantigenic —— no exotoxic activityno exotoxic activity
  • 37.
    ※※ The offendingorganism must be removed by localThe offending organism must be removed by local debridementdebridement 清创术清创术 ※※ toxoidtoxoid ※※ TATTAT; Metronidazole [ metrə'na də zo l]ˌ ɪ ˌ ʊ; Metronidazole [ metrə'na də zo l]ˌ ɪ ˌ ʊ 灭滴灵灭滴灵 (For more serious wounds)(For more serious wounds) ※※ AIDSAIDS patients may not respond to prophylacticpatients may not respond to prophylactic [ pro fə'lækt k] injections of tetanus toxoidˌ ʊ ɪ[ pro fə'lækt k] injections of tetanus toxoidˌ ʊ ɪ ControlControl
  • 38.
    EpidemiologyEpidemiology ※※ C. perfringensC.perfringens type A:type A: the intestinal tract of humans andthe intestinal tract of humans and animals, soil and water contaminated with feces. Formsanimals, soil and water contaminated with feces. Forms spores under adverse environmental conditions and canspores under adverse environmental conditions and can survive for prolonged periods.survive for prolonged periods. ※※ Type B to E strainsType B to E strains colonize the intestinal tract of animalscolonize the intestinal tract of animals and occasionally humans.and occasionally humans. Pathogensis of C. Perfringens
  • 39.
    EpidemiologyEpidemiology ※※ Type ATypeA: gas gangrene, soft tissue infections and food poisoning: gas gangrene, soft tissue infections and food poisoning ※※ Type CType C: enteritis; necroticans: enteritis; necroticans Pathogensis of C. Perfringens
  • 40.
    Who is atrisk?Who is at risk? ※※ Surgical patients;Surgical patients; patient after trauma with soilpatient after trauma with soil contamination.contamination. ※※ People who ingest contaminatedPeople who ingest contaminated meat productsmeat products (without(without proper refrigeration or reheating to inactivate endotoxin)proper refrigeration or reheating to inactivate endotoxin) Pathogensis of C. Perfringens
  • 41.
    ToxinsToxins ※※ Many toxinsofMany toxins of C. Perfringens have lethal, necrotizing, andhave lethal, necrotizing, and hemolytic properties;hemolytic properties; ※※ The alpha toxin produced by all types ofThe alpha toxin produced by all types of C. perfringens,C. perfringens, it isit is a lecithinase that lyses erythrocytes, platelets, leukocytes, anda lecithinase that lyses erythrocytes, platelets, leukocytes, and endothelial cells. And its lethal action is proportionate to theendothelial cells. And its lethal action is proportionate to the rate at which it splits lecithin to phosphorylcholinerate at which it splits lecithin to phosphorylcholine [f sfər l'ko l n] and diglyceride [da 'gl sə ra d]ɒ ɪ ʊ ɪ ɪ ɪ ˌ ɪ[f sfər l'ko l n] and diglyceride [da 'gl sə ra d]ɒ ɪ ʊ ɪ ɪ ɪ ˌ ɪ 甘油二酯甘油二酯 .. ※※ The theta toxin has similar hemolytic and necrotizing effects.The theta toxin has similar hemolytic and necrotizing effects. ※※ DNAase, hyaluronidase[ ha əl 'r n de s], collagenase areˌ ɪ ʊ ɒ ɪˌ ɪDNAase, hyaluronidase[ ha əl 'r n de s], collagenase areˌ ɪ ʊ ɒ ɪˌ ɪ also producedalso produced Pathogensis of C. Perfringens
  • 42.
    EnterotoxinEnterotoxin ※※ Many strainsof type A produce enterotoxin, which is a heat-Many strains of type A produce enterotoxin, which is a heat- labile ['le bəl]ɪlabile ['le bəl]ɪ 易变的易变的 protein and destroyed immediately at 100protein and destroyed immediately at 100 .℃.℃ ※※ Trypsin treatment enhances the toxin activity threefold.Trypsin treatment enhances the toxin activity threefold. ※※ The toxin is produced primarily by type A strains but also byThe toxin is produced primarily by type A strains but also by a few of type C and D strains.a few of type C and D strains. ※※ It disrupts ion transport in the ileum[' liəm]ɪIt disrupts ion transport in the ileum[' liəm]ɪ 回肠回肠 (primarily) and(primarily) and jejunum [d 'd u nəm]ʒɪ ʒ ːjejunum [d 'd u nəm]ʒɪ ʒ ː 空肠空肠 by inserting into the cellby inserting into the cell Pathogensis of C. Perfringens
  • 43.
    ※※ Tissue degradingenzymesTissue degrading enzymes —— lecithinaselecithinase —— proteolytic enzymesproteolytic enzymes —— saccharolytic [sækərə'l t k]ɪ ɪsaccharolytic [sækərə'l t k]ɪ ɪ 糖分解的糖分解的 enzymesenzymes ※※ Destruction of blood vesselsDestruction of blood vessels ※※ Tissue necrosisTissue necrosis ※※ Anaerobic environment createdAnaerobic environment created ※※ Organism spreadsOrganism spreads Pathogensis of C. Perfringens
  • 44.
    Without treatment deathWithouttreatment death occurs within 2 daysoccurs within 2 days  effective antibiotic therapyeffective antibiotic therapy  debridementdebridement  anti-toxinanti-toxin  amputation & death is rareamputation & death is rare
  • 45.
    Gas gangreneGas gangrene ※※Gas gangreneGas gangrene is a life-threatening disease with a pooris a life-threatening disease with a poor prognosis and often fatal outcome.prognosis and often fatal outcome. ※※ Initial trauma to host tissue damages muscle and impairsInitial trauma to host tissue damages muscle and impairs blood supply —— lack of oxygenationblood supply —— lack of oxygenation ※※ Initial symptomsInitial symptoms :: feverfever and pain in the infected tissue;and pain in the infected tissue; more local tissue necrosis and systemic toxemia. Infectedmore local tissue necrosis and systemic toxemia. Infected muscle is discolored (purple mottling ['m tl ŋ]ɒ ɪmuscle is discolored (purple mottling ['m tl ŋ]ɒ ɪ 斑点斑点 ) and) and edematous and produces aedematous and produces a foulfoul-smelling exudate; gas-smelling exudate; gas bubblesbubbles form from the products of anaerobic fermentation.form from the products of anaerobic fermentation.
  • 46.
    Gas gangreneGas gangrene ※※As capillary permeability increases, the accumulation ofAs capillary permeability increases, the accumulation of fluid increases, and venous return eventually is curtailed.fluid increases, and venous return eventually is curtailed. ※※ As more tissue becomes involved, the clostridia multiplyAs more tissue becomes involved, the clostridia multiply within the increasing area of dead tissue, releasing morewithin the increasing area of dead tissue, releasing more toxins into the local tissue and the systemic circulation.toxins into the local tissue and the systemic circulation.
  • 47.
    painful, black, edematousand foulpainful, black, edematous and foul
  • 49.
    Food poisoningFood poisoning ※※Enterotoxin producing strains.Enterotoxin producing strains. ※※ These bacteria are found in mammalianThese bacteria are found in mammalian faeces and soil.faeces and soil. ※※ Small numbers of the bacteria may also be found in foodsSmall numbers of the bacteria may also be found in foods and they may propagate rapidly to dangerousand they may propagate rapidly to dangerous concentrations if the food is improperly stored andconcentrations if the food is improperly stored and handled.handled.
  • 50.
    Food poisoningFood poisoning ※※more than 10more than 1088 vegetative cells are ingested and sporulate invegetative cells are ingested and sporulate in the gut, the toxins can act rapidly in the body, causingthe gut, the toxins can act rapidly in the body, causing severe diarrhea in 6severe diarrhea in 6 ~~ 18 hours, dysentery, gangrene,18 hours, dysentery, gangrene, musclemuscle infectionsinfections ※※ The action ofThe action of C. perfringensC. perfringens enterotoxin involves markedenterotoxin involves marked hypersecretion in the jejunum and ileum, with loss of fluidshypersecretion in the jejunum and ileum, with loss of fluids and electrolytes in diarrhea.and electrolytes in diarrhea.
  • 51.
    Cellulitis, FasciitisCellulitis, Fasciitis ※※Fasciitis [ fæ i'a t s]ˌ ʃ ɪ ɪFasciitis [ fæ i'a t s]ˌ ʃ ɪ ɪ 筋膜炎筋膜炎 : a rapidly progressive,: a rapidly progressive, destructive process in which the organisms spreaddestructive process in which the organisms spread through fascial planes.through fascial planes. ※※ Fasciitis causes suppuration and the formation of gasFasciitis causes suppuration and the formation of gas ※※ Absense of muscle involvementAbsense of muscle involvement ※※ rapidityrapidity
  • 52.
    Clostridial anaerobic cellulitis: followinga compound fracture of the tibia ['t bi ]ɪ ə 胫节 . Crepitus [k'rep t s]ɪ ə 捻 发音 was noted on exam and the presence of gas confirmed radiologically.
  • 53.
    Postoperative [ post' p r t v]ˌ ʊ ɒ ə ə ɪ 手术后的 gangrenous cellulitis: a huge area of ulceration filled with gangrenous skin and slough[sla ]ʊ 腐肉 lies adjacent to the wound. There is surrounding cellulitis and a further area of necrotic skin in the flank [flæŋk] 侧
  • 54.
    ※※ Rare, acutenecrotizing process in the jejunumRare, acute necrotizing process in the jejunum ※※ Abdominal pain, bloody diarrhea, shock, and peritonitisAbdominal pain, bloody diarrhea, shock, and peritonitis ※※ Mortality: 50%Mortality: 50% ※※ Beta-toxin-producingBeta-toxin-producing C. perfringensC. perfringens type Ctype C ※※ SepticemiaSepticemia Necrotizing EnteritisNecrotizing Enteritis
  • 55.
    Small intestinal serosal[s 'ro s ]ɪ ʊ ə 浆膜 surfaces are diffusely red
  • 56.
    Small intestinal contentsare red and watery UP
  • 57.
  • 58.
    — spores heatresistant. canning. anaerobic environment — Botulism eating uncooked foods spores — GI, duodenum[ du 'di n m]ˌ ːə ː ə 十二指肠 , blood stream, neuromuscular synapses. TransmissionTransmission
  • 59.
    — bacterial protease —light chain, A, 50 kDa; heavy chain, 100kDa. — disulfide bond. — A potent toxin Virulence factorsVirulence factors
  • 60.
    ▲▲ binds peripheralnerve receptorsbinds peripheral nerve receptors △△acetylcholine neurotransmitteracetylcholine neurotransmitter ▲▲ inhibits nerve impulsesinhibits nerve impulses ▲▲ flaccid paralysisflaccid paralysis ▲▲ deathdeath △△ respiratoryrespiratory △△ cardiac failurecardiac failure
  • 61.
    ['m skj lt r]ʌ ə ə ʃə 肌肉组织
  • 63.
    Botulinum toxinBotulinum toxin ※※BioterrorismBioterrorism △△ not an infectionnot an infection △△ resembles a chemical attackresembles a chemical attack △△ 10 ng can kill a normal adult10 ng can kill a normal adult
  • 64.
    ---foodborne, infant, wound,undetermined. ---Certain foods; wound not. ---Foodborne botulism, consumption. ---Infant botulism, 1976, under 12m. ---ingestion, colonize and produce toxin in the intestinal tract of infants. ---increased. ---internationally recognized. EpidemiologyEpidemiology
  • 65.
    — 18-36 hours: —weakness, dizziness,dryness of the mouth. — Nausea,vomiting. — Neurologic features △ blurred vision △ inability to swallow △ difficulty in speech △ descending weakness of skeletal ['skelətl] 骨骼的 muscles △ respiratory paralysis. Clinical syndromesClinical syndromes
  • 66.
    BotulismBotulism ▲▲ food poisoningfoodpoisoning △△ rarerare △△ fatalfatal ▲▲ germination of sporegermination of spore ▲▲ inadequately sterilized canned foodinadequately sterilized canned food △△ homehome △△ not an infectionnot an infection
  • 67.
    Infection withInfection withC. botulinumC. botulinum ※※ Neonatal botulismNeonatal botulism ▲▲ uncommonuncommon ▲▲ the predominant form of botulismthe predominant form of botulism ▲▲ colonization occurscolonization occurs △△ no normal flora to competeno normal flora to compete △△ unlike adultunlike adult
  • 68.
    WoundsWounds ※※ extremely rareextremelyrare ※※ an infectionan infection
  • 69.
    —— specifically neutralized,specificallyneutralized, antitoxin.antitoxin. —— toxoided, make good antigens.toxoided, make good antigens. —— does not develop, amount toxic.does not develop, amount toxic. —— Repeated occurrence.Repeated occurrence. —— Once bound, unaffected by antitoxin.Once bound, unaffected by antitoxin. —— circulating toxin , neutralized , injection ofcirculating toxin , neutralized , injection of antitoxin.antitoxin. —— treated immediately with antiserum.treated immediately with antiserum. —— multivalentmultivalent toxoid,unjustified,infrequency.toxoid,unjustified,infrequency. experimental vaccine.experimental vaccine. ImmunityImmunity
  • 70.
    TREATMENT • Individuals knownto have ingested food with botulism should be treated immediately with antiserum. • antibiotic therapy (if infection) • Vaccination will not protect hosts from botulism, however passive immunisation with antibody is the treatment of choice for cases of botulism.
  • 71.
    PREVENTION ---proper food handlingand preparation. --- spores survive boiling (100 degrees at 1 atm) 1h. ---toxin heat-labile, boiling or intense heating, inactivate the toxin. ---bulge[b ld ]ʌ ʒ 膨胀 , gas, spoiled.
  • 72.
    Exercises: Anaerobic bacteria (anaerobe)Stormy fermen-tation Nagler reaction TAT(tetanus antitoxin) 1. Briefly describe the pathogenic conditions and mechanism of C. Tetani. 2. Briefly describe the principle of the treatment and prevention of tetanus, 3. Please briefly describe the pathogenic mechanism of Botulinum toxin.