INFLAMMATORY
BOWEL DISEASE
SMS 2044
INFLAMMATORY BOWEL DISEASE
IBD is a group of inflammatory
conditions of large intestine ,in
some cases small intestine.
Intestines - Pathology
Idiopathic Inflammatory
Bowel Diseases
Etiology & Pathogenesis
Crohn’s disease
Ulcerative Colitis
 Etiology & Pathogenesis
 Characterized by= A chronic, relapsing inflammatory
conditions
 unknown etiology.
 Speculations involve= Genetic factors,
 Unknown infectious agents,
 Special susceptibility factors, altered immuno-reactivity to
dietary
Idiopathic Inflammatory Bowel
Diseases
Idiopathic Inflammatory Bowel
Diseases

Distinguished into two clinicopathologic entities:
 Crohn’s disease (CD)
 Ulcerative colitis (UC)
 Crohn’s disease (CD)
 Transmural granulomatous inflammation of the bowel,
with mucosal ulcerations, fissures & fistulas in Young
(20s)whites Females
 Skip lesions (cobble stone app.)
 Ulcerative colitis (UC)
 Crypt abscesses, psudopolyps & ↑risk of carcinoma
(adenocarcinoma)
Intestines - Pathology
Idiopathic Inflammatory Bowel Diseases
(CD) (UC)
Fissuring Ulcer
noncaseating granulomas
ULCERATIVE COLITIS
 Ulcerative colitis (Colitis ulcerosa, UC) is a form of
inflammatory bowel disease (IBD).
 Ulcerative colitis is a form of colitis, a disease of the
intestine, specifically the large intestine or colon, that
includes characteristic ulcers, or open sores, in the
colon.
 The main symptom of active disease is usually
diarrhea mixed with blood, of gradual onset.
 however, a systemic disease that affects many parts
of the body outside the intestine
AETILOGY
 Exact cause is unknown.
 Several causes have been suggested .it
includes
1. Genetic Factors
2. Environmental Factors
3. Auto Immune Disease
4. Several Other Theories
Genetic factors
 A genetic component to the etiology of ulcerative
colitis can be hypothesized based on the
following
1. Aggregation of ulcerative colitis in Families.
2. Diet: as the colon is exposed to many different
dietary substances which may encourage
inflammation.
3. Other childhood exposures or infections
Autoimmune disease
4. Some sources list ulcerative colitis as an
Autoimmune disease
Disease in which immune system malfunctions,
attacking some parts of body.
This suggests cause of disease is in colon itself,
not in immune system.
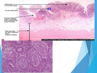
Pathological Feature
 Ulcerative colitis involves only the mucosa; it is
characterized by the formation of crypt abscesses and a
coexisting depletion of goblet cell mucin.
 In severe cases, the submucosa may be involved; in
some cases, the deeper muscular layers of the colonic
wall is also affected.
 Increased cellular infiltrate in the lamina propria,more
extensive and extends diffusely towards the deeper part
(transmucosal)
 Accumulation of plasma cells near the mucosal base, in-
between the crypt base and the muscularis mucosae (basal
plasmacytosis
 An irregular surface or a villiform surface and a disturbed
crypt architecture.
 Mucosal atrophy characterized by a combination of crypt
drop-out and shortening of crypts.
 Mucosal ulcerations and erosions, mucin depletion,
 Paneth-cell metaplasia and diffuse thickening of the
muscularis mucosae
H&E stain of a colonic biopsy showing a crypt
abscess:a classic finding in ulcerative colitis
Patients with ulcerative colitis
can occasionally have
aphthous ulcers involving the
tongue, lips, palate and
pharynx
Endoscopic image of ulcerative colitis
showing loss of vascular pattern of the
sigmoid colon, granularity and some
friability of the mucosa.
CLASSIFICATION
Extent of involvement
 The disease is classified by the extent of involvement,
depending on how far up the colon the disease extends.
1.Distal colitis
a. Proctitis: Involvement limited to the rectum.
b. Proctosigmoiditis: Involvement of the rectosigmoid colon, the
portion of the colon adjacent to the rectum.
c. Left-sided colitis: Involvement of the descending colon, which runs
along the patient's left side, up to the splenic flexure and the
beginning of the transverse colon.
2.Extensive colitis, inflammation extending beyond the
reach of enemas:
1. Mild disease : fewer than 4 stools daily,no signs of
systemic toxicity,normal ESR,mild abdominal pain.
2. Moderate disease :more than 4 stools daily,minimal
signs of toxicity,anaemia,moderate abdominal
pain,low grade fever.
3. Severe disease :more than 6 bloody stools,evidence
of toxicity with fever,tachycardia,elevated ESR
4. Fulminant disease :more than 10
stools,bleeding,toxicity,abdominal tenderness,blood
transfusion requirement.unless treated will lead to
death.
Severity of disease
Clinical presentation
1. Diarrhoea mixed with blood and mucus.
2. Gradual onset.
3. Signs of weight loss.
4. Different degrees of abdominal pain ranging
from mild discomfort to severely painful
cramps.
Extraintestinal features
1. Iritis
2. Episcleritis
3. Aphthous ulcers involving
tongue,lips,palate,pharynx.
4. Arthritis
5. Ankylosing spondylitis
6. Erythema nodusum
7. Deep venous thrombosis
8. Pulmonary embolism
9. Auto immune hemolytic anaemia
10. Clubbing of fingers
Diagnosis
1. Complete blood count-
anaemia,thrombocytosis,high platelet count.
2. Electrolyte studies-hypokalemia,hypomagnesia
3. Renal function tests
4. Liver function tests
5. X-ray
6. Stool culture
7. ESR
8. C-reactive protein
Crohn's Disease
Definition:Definition:
Crohn's disease (also known as regional
enteritis) is a chronic, episodic, inflammatory
condition of the gastrointestinal tract characterized
by:
 Transmural inflammation (affecting the entire wall
of the involved bowel) and skip lesions (areas of
inflammation with areas of normal lining between).
 Crohn's disease is a type of inflammatory bowel
disease (IBD) and can affect any part of the
gastrointestinal tract from mouth to anus; as a
result,
Introduction to Crohn’s disease:
 This is a chronic inflammatory disease which causes
stomach pains, diarrhoea, and weight loss.
 The disease is characterised by periods of activity and
remissions.
 It typically affects the lower part of the small intestine (ileum)
or the large intestine (colon), but it can affect any part of the
digestive system.
Classification:
 Based on location.
Classification
Based on behaviour of
disease
Stricturing disease.
Penetrating disease.
Inflammatory disease.
Cause
 The exact cause of Crohn's disease is unknown.
 However, genetic and environmental factors
have been invoked in the pathogenesis of the
disease.
 Mutations in the CARD15 gene (also known as
the NOD2 gene) are associated with Crohn's
disease and with susceptibility to certain
phenotypes of disease location and activity.
Cause contd..
 Abnormalities in the immune system
 Many environmental factors.
 Diets
 Smoking
 Methods of hormonal contraception
 Some bacteria:
Eg Mycobacterium avium subsp. Paratuberculosis,
mannose, anti saccharomyces cerevisiae antibodies
and E. coli
Pathology:
Odeomatous and thickened bowel wall
Cobblestone
Patchy inlammation
Skip lessions
Transmural inflammation
Mucosal damage (transmural)
Well demarcated regions
Noncaseating granulomas
Formation of fissures
narrowed lumen (obstruction)
H and E section of colectomy showing transmural inflammation.
Cobblestone
www.freelivedoctor.com
Clinical Features
 Ileal Crohn’s Disease
Abdominal pain
Diarrhea
Weight loss
 Crohn’s colitis
Bloody diarrohea
Passage of mucus
Lethargy
Malaise
Anorexia
Weight loss
Chronic course may lead to:
 Fibrosing strictures
- terminal ileum
- fistulas other areas
 Protein loss
 Vit B12 loss
 Bile salt loss
- steatorrhea
Complications:
Complications:
Severe, life-threatening inflammation of
colon.
Perforation of the small intestine or colon.
Life-threatening acute haemorrhage.
Fistulae and perianal disease.
linear serpentine ulcers
Cancer.
Investigations:
 Endoscopic image of Crohn's colitis showing deep ulceration.
Contd…..
 Bacteriology
 Barium studies
 Other investigations
 X-ray
 Radio labelled white cell scan
 Ultrasound
 MRI scans
Contd..
 CT scan showing Crohn's disease in the fundus of the stomach.
ULCERATIVE
COLITIS
CROHN’S
Age Any Any
Sex m=f M=f
Anatomical
distribution
Colon only Any part of G.I
Presentation Bloody
diarrhoea
Variable; pain diarrhoea,
Weight loss
Risk factors more common in
non smokers
More common in smokers
Comparison of UC and CD
Treatment of
Inflammatory Bowel
Disease
TREATMENT
Treatment for IBD may include:
DIETARY CHANGES
LIFESTYLE CHANGES
DRUG THERAPY SURGERY
Dietary Changes
 Taking specific nutritional supplements,
 Limiting dairy products,
 Eating low-fat foods,
 Avoiding foods high in undigestible fiber
 Low-salt diet
 Following doctor-recommended diets and
 Eating smaller, more frequent meals.
LIFESTYLE CHANGES
.
Taking
rest
nonsmoking
Stress reductionDoing exercise
Drug Therapies
5-Aminosalicylates (5-ASA): Aminosalicylates are
A group of medicines that can help to control the symptoms
of some inflammatory bowel (gut) diseases.
Glucocorticoids (steroids)
 Antibiotics
Immunosuppressants
 Biological Therapy
Aminosalicylates
 Sulfasalazine (5-aminosalicylic acid and
sulfapyridine as carrier substance)
 Mesalazine (5-ASA), e.g. Asacol, Pentasa
 Balsalazide (prodrug of 5-ASA)
 Olsalazine (5-ASA dimer cleaves in colon)
 Oral, rectal preparation
What is Irritable Bowel Syndrome(IBS)?
 A group of functional bowel disorders
 Chronic abdominal complaints without a structural or
biochemical cause
 Constitutes a major health problem with gastrointestinal
(GI) symptoms
 The cause of IBS is unknown.
 Affects up to ~20 % adults in the industrialized world
 The condition is more frequent in women.
 The direct medical costs of IBS are ~ $ US 8 billion in the
US each year.
Clinical Manifestation
 Usually affects individuals younger than 45.
 Decreased incidence in older individuals
 Women are 2-3 times more likely to have IBS.
[80% patients are women]
Findings
 The main finding is abdominal pain during morning
hours – which may be in the hypogastrium (25%),
right (20%), left (20%), and epigastrium (10%).
 Other findings may include defecation straining,
urgency or a feeling of incomplete bowel movement,
bloating, and passing mucus.
Treatments
 High-fiber diets.
 Anticholinergic drugs inhibit gastrocolic reflex
(ipratropium bromide).
 Anti-diarrheals (loperamide).
 Chloride Channel Activators – lubiprostone.
 Anti-depressants – SSRIs (fluoxetine).
 Serotonin Receptor Agonist and Antagonists –
Alosetron, Tegaserod.
inflammatory bowel disease

inflammatory bowel disease

  • 1.
  • 2.
    INFLAMMATORY BOWEL DISEASE IBDis a group of inflammatory conditions of large intestine ,in some cases small intestine.
  • 3.
    Intestines - Pathology IdiopathicInflammatory Bowel Diseases Etiology & Pathogenesis Crohn’s disease Ulcerative Colitis
  • 4.
     Etiology &Pathogenesis  Characterized by= A chronic, relapsing inflammatory conditions  unknown etiology.  Speculations involve= Genetic factors,  Unknown infectious agents,  Special susceptibility factors, altered immuno-reactivity to dietary Idiopathic Inflammatory Bowel Diseases
  • 5.
    Idiopathic Inflammatory Bowel Diseases  Distinguishedinto two clinicopathologic entities:  Crohn’s disease (CD)  Ulcerative colitis (UC)  Crohn’s disease (CD)  Transmural granulomatous inflammation of the bowel, with mucosal ulcerations, fissures & fistulas in Young (20s)whites Females  Skip lesions (cobble stone app.)  Ulcerative colitis (UC)  Crypt abscesses, psudopolyps & ↑risk of carcinoma (adenocarcinoma)
  • 6.
    Intestines - Pathology IdiopathicInflammatory Bowel Diseases (CD) (UC) Fissuring Ulcer noncaseating granulomas
  • 7.
    ULCERATIVE COLITIS  Ulcerativecolitis (Colitis ulcerosa, UC) is a form of inflammatory bowel disease (IBD).  Ulcerative colitis is a form of colitis, a disease of the intestine, specifically the large intestine or colon, that includes characteristic ulcers, or open sores, in the colon.  The main symptom of active disease is usually diarrhea mixed with blood, of gradual onset.  however, a systemic disease that affects many parts of the body outside the intestine
  • 9.
    AETILOGY  Exact causeis unknown.  Several causes have been suggested .it includes 1. Genetic Factors 2. Environmental Factors 3. Auto Immune Disease 4. Several Other Theories
  • 10.
    Genetic factors  Agenetic component to the etiology of ulcerative colitis can be hypothesized based on the following 1. Aggregation of ulcerative colitis in Families. 2. Diet: as the colon is exposed to many different dietary substances which may encourage inflammation. 3. Other childhood exposures or infections
  • 11.
    Autoimmune disease 4. Somesources list ulcerative colitis as an Autoimmune disease Disease in which immune system malfunctions, attacking some parts of body. This suggests cause of disease is in colon itself, not in immune system.
  • 12.
    Pathological Feature  Ulcerativecolitis involves only the mucosa; it is characterized by the formation of crypt abscesses and a coexisting depletion of goblet cell mucin.  In severe cases, the submucosa may be involved; in some cases, the deeper muscular layers of the colonic wall is also affected.  Increased cellular infiltrate in the lamina propria,more extensive and extends diffusely towards the deeper part (transmucosal)  Accumulation of plasma cells near the mucosal base, in- between the crypt base and the muscularis mucosae (basal plasmacytosis
  • 13.
     An irregularsurface or a villiform surface and a disturbed crypt architecture.  Mucosal atrophy characterized by a combination of crypt drop-out and shortening of crypts.  Mucosal ulcerations and erosions, mucin depletion,  Paneth-cell metaplasia and diffuse thickening of the muscularis mucosae
  • 14.
    H&E stain ofa colonic biopsy showing a crypt abscess:a classic finding in ulcerative colitis
  • 17.
    Patients with ulcerativecolitis can occasionally have aphthous ulcers involving the tongue, lips, palate and pharynx Endoscopic image of ulcerative colitis showing loss of vascular pattern of the sigmoid colon, granularity and some friability of the mucosa.
  • 18.
    CLASSIFICATION Extent of involvement The disease is classified by the extent of involvement, depending on how far up the colon the disease extends. 1.Distal colitis a. Proctitis: Involvement limited to the rectum. b. Proctosigmoiditis: Involvement of the rectosigmoid colon, the portion of the colon adjacent to the rectum. c. Left-sided colitis: Involvement of the descending colon, which runs along the patient's left side, up to the splenic flexure and the beginning of the transverse colon. 2.Extensive colitis, inflammation extending beyond the reach of enemas:
  • 19.
    1. Mild disease: fewer than 4 stools daily,no signs of systemic toxicity,normal ESR,mild abdominal pain. 2. Moderate disease :more than 4 stools daily,minimal signs of toxicity,anaemia,moderate abdominal pain,low grade fever. 3. Severe disease :more than 6 bloody stools,evidence of toxicity with fever,tachycardia,elevated ESR 4. Fulminant disease :more than 10 stools,bleeding,toxicity,abdominal tenderness,blood transfusion requirement.unless treated will lead to death. Severity of disease
  • 20.
    Clinical presentation 1. Diarrhoeamixed with blood and mucus. 2. Gradual onset. 3. Signs of weight loss. 4. Different degrees of abdominal pain ranging from mild discomfort to severely painful cramps.
  • 21.
    Extraintestinal features 1. Iritis 2.Episcleritis 3. Aphthous ulcers involving tongue,lips,palate,pharynx. 4. Arthritis 5. Ankylosing spondylitis 6. Erythema nodusum 7. Deep venous thrombosis 8. Pulmonary embolism 9. Auto immune hemolytic anaemia 10. Clubbing of fingers
  • 22.
    Diagnosis 1. Complete bloodcount- anaemia,thrombocytosis,high platelet count. 2. Electrolyte studies-hypokalemia,hypomagnesia 3. Renal function tests 4. Liver function tests 5. X-ray 6. Stool culture 7. ESR 8. C-reactive protein
  • 23.
  • 24.
    Definition:Definition: Crohn's disease (alsoknown as regional enteritis) is a chronic, episodic, inflammatory condition of the gastrointestinal tract characterized by:  Transmural inflammation (affecting the entire wall of the involved bowel) and skip lesions (areas of inflammation with areas of normal lining between).  Crohn's disease is a type of inflammatory bowel disease (IBD) and can affect any part of the gastrointestinal tract from mouth to anus; as a result,
  • 25.
    Introduction to Crohn’sdisease:  This is a chronic inflammatory disease which causes stomach pains, diarrhoea, and weight loss.  The disease is characterised by periods of activity and remissions.  It typically affects the lower part of the small intestine (ileum) or the large intestine (colon), but it can affect any part of the digestive system.
  • 26.
  • 27.
    Classification Based on behaviourof disease Stricturing disease. Penetrating disease. Inflammatory disease.
  • 28.
    Cause  The exactcause of Crohn's disease is unknown.  However, genetic and environmental factors have been invoked in the pathogenesis of the disease.  Mutations in the CARD15 gene (also known as the NOD2 gene) are associated with Crohn's disease and with susceptibility to certain phenotypes of disease location and activity.
  • 29.
    Cause contd..  Abnormalitiesin the immune system  Many environmental factors.  Diets  Smoking  Methods of hormonal contraception  Some bacteria: Eg Mycobacterium avium subsp. Paratuberculosis, mannose, anti saccharomyces cerevisiae antibodies and E. coli
  • 30.
    Pathology: Odeomatous and thickenedbowel wall Cobblestone Patchy inlammation Skip lessions Transmural inflammation Mucosal damage (transmural) Well demarcated regions Noncaseating granulomas Formation of fissures narrowed lumen (obstruction) H and E section of colectomy showing transmural inflammation.
  • 31.
  • 33.
  • 34.
    Clinical Features  IlealCrohn’s Disease Abdominal pain Diarrhea Weight loss  Crohn’s colitis Bloody diarrohea Passage of mucus Lethargy Malaise Anorexia Weight loss
  • 35.
    Chronic course maylead to:  Fibrosing strictures - terminal ileum - fistulas other areas  Protein loss  Vit B12 loss  Bile salt loss - steatorrhea Complications:
  • 36.
    Complications: Severe, life-threatening inflammationof colon. Perforation of the small intestine or colon. Life-threatening acute haemorrhage. Fistulae and perianal disease. linear serpentine ulcers Cancer.
  • 37.
    Investigations:  Endoscopic imageof Crohn's colitis showing deep ulceration.
  • 38.
    Contd…..  Bacteriology  Bariumstudies  Other investigations  X-ray  Radio labelled white cell scan  Ultrasound  MRI scans
  • 39.
    Contd..  CT scanshowing Crohn's disease in the fundus of the stomach.
  • 40.
    ULCERATIVE COLITIS CROHN’S Age Any Any Sexm=f M=f Anatomical distribution Colon only Any part of G.I Presentation Bloody diarrhoea Variable; pain diarrhoea, Weight loss Risk factors more common in non smokers More common in smokers Comparison of UC and CD
  • 41.
  • 42.
    TREATMENT Treatment for IBDmay include: DIETARY CHANGES LIFESTYLE CHANGES DRUG THERAPY SURGERY
  • 43.
    Dietary Changes  Takingspecific nutritional supplements,  Limiting dairy products,  Eating low-fat foods,  Avoiding foods high in undigestible fiber  Low-salt diet  Following doctor-recommended diets and  Eating smaller, more frequent meals.
  • 44.
  • 45.
    Drug Therapies 5-Aminosalicylates (5-ASA):Aminosalicylates are A group of medicines that can help to control the symptoms of some inflammatory bowel (gut) diseases. Glucocorticoids (steroids)  Antibiotics Immunosuppressants  Biological Therapy
  • 46.
    Aminosalicylates  Sulfasalazine (5-aminosalicylicacid and sulfapyridine as carrier substance)  Mesalazine (5-ASA), e.g. Asacol, Pentasa  Balsalazide (prodrug of 5-ASA)  Olsalazine (5-ASA dimer cleaves in colon)  Oral, rectal preparation
  • 47.
    What is IrritableBowel Syndrome(IBS)?  A group of functional bowel disorders  Chronic abdominal complaints without a structural or biochemical cause  Constitutes a major health problem with gastrointestinal (GI) symptoms  The cause of IBS is unknown.  Affects up to ~20 % adults in the industrialized world  The condition is more frequent in women.  The direct medical costs of IBS are ~ $ US 8 billion in the US each year.
  • 48.
    Clinical Manifestation  Usuallyaffects individuals younger than 45.  Decreased incidence in older individuals  Women are 2-3 times more likely to have IBS. [80% patients are women]
  • 50.
    Findings  The mainfinding is abdominal pain during morning hours – which may be in the hypogastrium (25%), right (20%), left (20%), and epigastrium (10%).  Other findings may include defecation straining, urgency or a feeling of incomplete bowel movement, bloating, and passing mucus.
  • 51.
    Treatments  High-fiber diets. Anticholinergic drugs inhibit gastrocolic reflex (ipratropium bromide).  Anti-diarrheals (loperamide).  Chloride Channel Activators – lubiprostone.  Anti-depressants – SSRIs (fluoxetine).  Serotonin Receptor Agonist and Antagonists – Alosetron, Tegaserod.

Editor's Notes

  • #31 Crohn's disease shows a transmural pattern of inflammation, meaning that the inflammation may span the entire depth of the intestinal wall.[1]
  • #46 Slide 5 Ideally, treatment for active Crohn's disease should rapidly improve symptoms. Non-specific anti-inflammatory drugs are the mainstay of treatment for Crohn's disease. Examples are: glucocorticoids 5-aminosalicylates (5-ASA) immunosuppressants antimetabolites methotrexate.