Inflammatory bowel disease




                             intestines.

It includes a group of chronic disorders that
cause inflammation or ulceration in large and
small intestines.
TYPES
      Crohn’s disease                   Ulcerative colitis

• Extends into the deeper
  layers of the intestinal wall,   • causes ulceration and
  and may affect the mouth,          inflammation of the inner
  esophagus, stomach, and            lining of the colon and
  small intestine.                   rectum.
• Transmural inflammation
  and skip lesions.                • It is usually in the form of
• In 50% cases -ileocolic,30%        characteristic ulcers or open
  ileal and 20% -colic region.       sores.
•    Regional enteritis
Other forms of IBD
•   Collagenous colitis
•   Lymphocytic colitis
•   Ischemic colitis
•   Behcet’s syndrome
•   Infective colitis
•   Intermediate colitis
Epidemiology
                       Ulcerative colitis         Crohn’s

Incidence / 1 lac.     2.2-14.3                   3.1-14.6

Age of onset                                15-30, 60-80

Ethnicity                                     Jewish

Male: Female           1:1                        1.1-1.8 : 1

Smoking                May prevent                Causative

Oral contraceptives    No risk                    1.4 odds ratio

Appedicectomy          Protective                 Not

Monozygotic            6%                         58%

Dizygotic              0%                         4%
Etiopathogenesis
•   Exact cause is unknown.
•   Genetic factors
•   Immunological factors
•   Microbial factors
•   Psychosocial factors
Genetic factors

• Ulcerative colitis is more common in
  DR2-related genes
• Crohn’s disease is more common in
  DR5 DQ1 alleles
• 3-20 times higher incidence in first degree
  relatives
Immunologic factors
• Defective regulation of immunesuppresion
• Activated CD+4 cells activate other
  inflammatory cells like macrophages & B-cells
  or recruit more inflammatory cells by
  stimulation of homing receptor on leucocytes
  & vascular epithelium.
Pathogenesis of IBD
                                                                                           Tolerance


                                                                      Acute Injury

                                    Environmental
                                        trigger
        Normal                                                                                            Complete Healing
         Gut                (Infection, NSAID, other)



                                                                                                              Genetically
     Tolerance-                                                     Acute Inflammation                         Susceptible
     controlled                                                                                                   Host
                                                                                ↓ Immunoregulation,
   inflammation
                                                                                  failure of repair or
                                                                                  bacterial clearance

                                                                                                         Chronic Inflammation
American Gastroenterological Association Institute, Bethesda, MD.
Sartor RB. Nat Clin Pract Gastroenterol Hepatol. 2006;3:390-407.
Pathology
Macrocopic features
• Ulcerative colitis
 Usually involves rectum & extends proximally to
  involve all or part of colon.
 Spread is in continuity.
 May be limited colitis( proctitis &
  proctosigmoiditis)
 in total colitis there is back wash ileitis (lumpy-
  bumpy appearance)
• Mild disease- erythema & sand paper
  appearance(fine granularity)
• Moderate-marked erythema,coarse
  granularity,contact bleeding & no ulceration
• Severe- spontaneous bleeding, edematous &
  ulcerated(collar button ulcer).
• Long standing-epithelial regeneration so
  pseudopolyps , mucosal atrophy &
  disorientation leads to a precancerous
  condition.
• Eventually can lead to shortening and
  narrowing of colon.
• Fulminant disease-Toxic colitis/megacolon
Ulcerative colitis


                pseudopolyps
     Ulcer
Microscopic features
 Crypts atrophy & irregularity
 Superficial erosion
 Diffuse mixed inflammation
 Basal lymphoplasmacytosis
Diffuse
inflammation



          Crypt
           distortion
Macroscopic features
• Crohn’s disease
Can affect any part of GIT
Transmural
Segmental with skip lesions
Cobblestone appearance
Creeping fat- adhesions & fistula
Microscopic features
• Aphthous ulcerations
• Focal crypt abscesses
• Granuloma-pathognomic
• Submucosal or subserosal lymphoid
  aggregates
• Transmural with fissure formation
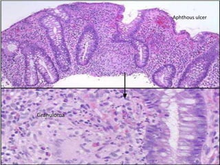
Aphthous ulcer




Granuloma
Clinical features
• Ulcerative colitis
Diarrhea
Rectal bleeding
Tenesmus
Passage of mucus
Crampy abdominal pain
• Diarrhea & bleeding blood-intermittent &mild.
  do not seek medical attention.
• Patient with proctatis-pass fresh or blood
  stained mucus with formed or semi formed
  stool. They also have tenesmus , urgency with
  feeling of incomplete evacuation.
• With proctosigmoiditis-constipation
• Severe disease-liquid stools with blood , pus &
  fecal matter.
• Physical signs
Proctitis – Tender anal canal & blood on rectal
  examination
Extensive disease-tenderness on palpation of
  colon
Toxic colitis-severe pain &bleeding
If perforation-signs of peritonitis
Clinical Severity of UC

                                                  Mild             Moderate        Severe       Fulminant

    Bowel movement                                   <4                               >6             >10

    Blood in stool                           Intermittent                          Frequent      Continuous

    Temperature                                  Normal                             >37.5°         >37.5°

    Pulse                                        Normal                            >90 bpm        >90 bpm
                                                                   Intermediate
                                                                                  <75% normal    Transfusion
    Hemoglobin                                   Normal
                                                                                     rate          required
    ESR                                    <30 mm/hour                            >30 mm/hour   >30 mm/hour
                                                                                                  Abdominal
                                                                                  Abdominal
    Clinical signs                                                                              distension and
                                                                                  tenderness
                                                                                                  tenderness
1. Truelove SC, et al. Br Med J. 1955;2:1041-1045.
2. Sandborn WJ. Curr Treat Options Gastroenterol.1999;2:113-118.
Diagnosis
•   Laboratory tests
•   Endoscopy
•   Radiography
•   Biopsy
Laboratory tests
• Hemogram
C-reactive protein is increased
ESR is increased
Platelet count-increased
Hemoglobin-decreased
 Fecal Calponectin levels correlate with
  histological inflammation,predict relapses
  &detect pouchitis
Barium
enema
Barium enema
• Fine mucosal granularity
• Superficial ulcers seen
• Collar button ulcers
• Pipe stem appearance-
   loss of haustrations
• Narrow & short colon-
  ribbon contour colon
Sigmoidoscopy
•   Always abnormal
•   Loss of vascular patterns
•   Granularity
•   Friability
•   ulceration
Extra intestinal manifestations
Clinical features
• Ileal Crohn’s Disease
Abdominal pain
 Diarrhea
 Weight loss
Low grade fever
• Jejunoileitis disease
 Malabsorption
 Steatorrhea
Colitis and perianal disease
• Bloody diarrohea
• Passage of mucus
• Lethargy
• Malaise
• Anorexia
• Weight loss
Diagnosis
•   Laboratory tests
•   Endoscopy
•   Radiography
•   Biopsy
•   CT enterography
Laboratory tests
•   CRP-elevated
•   ESR-elevated
•   Anemia
•   Leukocytosis
•   hypoalbuminemia
Barium enema


String
sign
Colonoscopy
CT enterography
•   Mural hyperenhancement
•   Stratification
•   Engorged vasa recta
•   Perienteric inflammatory
    changes
Treatment
Treatment
Lifestyle changes
Drugs
•   5-ASA agents
•   Glucocorticoids
•   Antibiotics
•   Immunosuppresants
•   Biological therapy
5-ASA Agents
•Sulfasalazine (5-aminosalicylic
acid and sulfapyridine as carrier
substance)
•Mesalazine (5-ASA), e.g. Asacol,
Pentasa
•Balsalazide (prodrug of 5-ASA)
• Olsalazine (5-ASA dimer cleaves
in colon)
Topical Action of 5-ASA: Extent of Disease
                          Impacts Formulation Choice
                                                  Distribution of 5-ASA Preparations
                                                                                     Oral
                                                                                     • Varies by agent: may be released in the distal/terminal
                                                                                       ileum, or colon1




                                                                                      Liquid Enemas
                                                                                      • May reach the splenic flexure2-4
                                                                                      • Do not frequently concentrate in the rectum3




                                                                                     Suppositories
                                                                                     • Reach the upper rectum2,5
                                                                                       (15-20 cm beyond the anal verge)



1. Sandborn WJ, et al. Aliment Pharmacol Ther. 2003;17:29-42; 2. Regueiro M, et al. Inflamm Bowel Dis. 2006;12:972–978; 3. Van Bodegraven AA,
et al. Aliment Pharmacol Ther. 1996; 10:327-332; 4. Chapman NJ, et al. Mayo Clin Proc. 1992;62:245-248; 5. Williams CN, et al. Dig Dis Sci. 1987;32:71S-75S.
• Use
 In mild to moderate UC & crohn’s colitis
 Maintaining remission
 May reduce risk of colorectal cancer

• Adverse effects
 Nausea, headache, epigastric pain, diarrhoea,
  hypersensitivity, pancreatitis
 Caution in renal impairment, pregnancy, breast feeding
Glucocorticoids
• Anti inflammatory agents for moderate to
  severe relapses.
• Inhibition of inflammatory pathways
• Budesonide- 9mg/dl used for 2-3 months &
  then tapered.
• Prednisone-40-60mg/day
• No role in maintainence therapy
Antibiotics
• No role in active/quienscent UC
• Metronidazole is effective in active
  inflammatory,fistulous & perianal CD.
• Dose-15-20mg/kg/day in 3 divided doses.
• Ciprofloxacin
• Rifaximin
Immunosuppresants
• Thiopurines
Azathioprine
6-mercaptopurin
• Methotrexate
• Cyclosporine
Cyclosporine
• Preventing clonal expansion of T cell subsets
• Use
  Steroid sparing
  Active and chronic disease
• Side effects
  Tremor, paraesthesiae, malaise, headache, gingival
  hyperplasia, hirsutism Major: renal impairment,
  infections, neurotoxicity
Biological therapy
• Infliximab
  Anti TNF monoclonal antibody
  Infliximab binds to TNF trimers with high affinity, preventing cytokine
  from binding to its receptors
  It also binds to membrane-bound TNF- a and neutralizes its activity &
  also reduces serum TNF levels.
• Use
  Fistulizing CD
  Severe active CD
  Refractory/intolerant of steroids or immunosuppression
• Side effects
   Infusion reactions, Sepsis, Reactivation of Tb, Increased risk of Tb
Other medications

Anti- diarrheals - Loperamide (Imodium)
Laxatives - senna, bisacodyl
Pain relievers. acetaminophen (Tylenol).
Iron supplements
 Nutrition
Surgery
 Ulcerative colitis
    Indications:
• Fulminating disease
• Chronic disease with anemia, frequent stools,
  urgency & tenesmus
• Steriod dependant disease
• Risk of neoplastic change
• Extraintestinal manifestations
• Severe hemorrhage or stenosis
Others
•   Proctocolectomy & ileostomy
•   Rectal &anal dissection
•   Colectomy with ileorectal anastomosis
•   Ileostomy with intraabdominal pouch
Crohn’s disease
•   Ileocaecal resection
•   Segmental resection
•   Colectomy & ileorectal anastamosis
•   Temporary loop ileostomy
•   Proctocolectomy
•   Stricturoplasty
Strictureplasty
Inflammatory bowel disease
Inflammatory bowel disease

Inflammatory bowel disease

  • 2.
    Inflammatory bowel disease intestines. It includes a group of chronic disorders that cause inflammation or ulceration in large and small intestines.
  • 3.
    TYPES Crohn’s disease Ulcerative colitis • Extends into the deeper layers of the intestinal wall, • causes ulceration and and may affect the mouth, inflammation of the inner esophagus, stomach, and lining of the colon and small intestine. rectum. • Transmural inflammation and skip lesions. • It is usually in the form of • In 50% cases -ileocolic,30% characteristic ulcers or open ileal and 20% -colic region. sores. • Regional enteritis
  • 5.
    Other forms ofIBD • Collagenous colitis • Lymphocytic colitis • Ischemic colitis • Behcet’s syndrome • Infective colitis • Intermediate colitis
  • 6.
    Epidemiology Ulcerative colitis Crohn’s Incidence / 1 lac. 2.2-14.3 3.1-14.6 Age of onset 15-30, 60-80 Ethnicity Jewish Male: Female 1:1 1.1-1.8 : 1 Smoking May prevent Causative Oral contraceptives No risk 1.4 odds ratio Appedicectomy Protective Not Monozygotic 6% 58% Dizygotic 0% 4%
  • 7.
    Etiopathogenesis • Exact cause is unknown. • Genetic factors • Immunological factors • Microbial factors • Psychosocial factors
  • 8.
    Genetic factors • Ulcerativecolitis is more common in DR2-related genes • Crohn’s disease is more common in DR5 DQ1 alleles • 3-20 times higher incidence in first degree relatives
  • 9.
    Immunologic factors • Defectiveregulation of immunesuppresion • Activated CD+4 cells activate other inflammatory cells like macrophages & B-cells or recruit more inflammatory cells by stimulation of homing receptor on leucocytes & vascular epithelium.
  • 11.
    Pathogenesis of IBD Tolerance Acute Injury Environmental trigger Normal Complete Healing Gut (Infection, NSAID, other) Genetically Tolerance- Acute Inflammation Susceptible controlled Host ↓ Immunoregulation, inflammation failure of repair or bacterial clearance Chronic Inflammation American Gastroenterological Association Institute, Bethesda, MD. Sartor RB. Nat Clin Pract Gastroenterol Hepatol. 2006;3:390-407.
  • 12.
    Pathology Macrocopic features • Ulcerativecolitis  Usually involves rectum & extends proximally to involve all or part of colon.  Spread is in continuity.  May be limited colitis( proctitis & proctosigmoiditis)  in total colitis there is back wash ileitis (lumpy- bumpy appearance)
  • 14.
    • Mild disease-erythema & sand paper appearance(fine granularity) • Moderate-marked erythema,coarse granularity,contact bleeding & no ulceration • Severe- spontaneous bleeding, edematous & ulcerated(collar button ulcer). • Long standing-epithelial regeneration so pseudopolyps , mucosal atrophy & disorientation leads to a precancerous condition. • Eventually can lead to shortening and narrowing of colon. • Fulminant disease-Toxic colitis/megacolon
  • 15.
    Ulcerative colitis pseudopolyps Ulcer
  • 16.
    Microscopic features  Cryptsatrophy & irregularity  Superficial erosion  Diffuse mixed inflammation  Basal lymphoplasmacytosis
  • 18.
    Diffuse inflammation Crypt distortion
  • 19.
    Macroscopic features • Crohn’sdisease Can affect any part of GIT Transmural Segmental with skip lesions Cobblestone appearance Creeping fat- adhesions & fistula
  • 22.
    Microscopic features • Aphthousulcerations • Focal crypt abscesses • Granuloma-pathognomic • Submucosal or subserosal lymphoid aggregates • Transmural with fissure formation
  • 23.
  • 24.
    Clinical features • Ulcerativecolitis Diarrhea Rectal bleeding Tenesmus Passage of mucus Crampy abdominal pain
  • 25.
    • Diarrhea &bleeding blood-intermittent &mild. do not seek medical attention. • Patient with proctatis-pass fresh or blood stained mucus with formed or semi formed stool. They also have tenesmus , urgency with feeling of incomplete evacuation. • With proctosigmoiditis-constipation • Severe disease-liquid stools with blood , pus & fecal matter.
  • 26.
    • Physical signs Proctitis– Tender anal canal & blood on rectal examination Extensive disease-tenderness on palpation of colon Toxic colitis-severe pain &bleeding If perforation-signs of peritonitis
  • 27.
    Clinical Severity ofUC Mild Moderate Severe Fulminant Bowel movement <4 >6 >10 Blood in stool Intermittent Frequent Continuous Temperature Normal >37.5° >37.5° Pulse Normal >90 bpm >90 bpm Intermediate <75% normal Transfusion Hemoglobin Normal rate required ESR <30 mm/hour >30 mm/hour >30 mm/hour Abdominal Abdominal Clinical signs distension and tenderness tenderness 1. Truelove SC, et al. Br Med J. 1955;2:1041-1045. 2. Sandborn WJ. Curr Treat Options Gastroenterol.1999;2:113-118.
  • 29.
    Diagnosis • Laboratory tests • Endoscopy • Radiography • Biopsy
  • 30.
    Laboratory tests • Hemogram C-reactiveprotein is increased ESR is increased Platelet count-increased Hemoglobin-decreased  Fecal Calponectin levels correlate with histological inflammation,predict relapses &detect pouchitis
  • 31.
  • 32.
    Barium enema • Finemucosal granularity • Superficial ulcers seen • Collar button ulcers • Pipe stem appearance- loss of haustrations • Narrow & short colon- ribbon contour colon
  • 33.
    Sigmoidoscopy • Always abnormal • Loss of vascular patterns • Granularity • Friability • ulceration
  • 37.
  • 39.
    Clinical features • IlealCrohn’s Disease Abdominal pain  Diarrhea  Weight loss Low grade fever • Jejunoileitis disease  Malabsorption  Steatorrhea
  • 40.
    Colitis and perianaldisease • Bloody diarrohea • Passage of mucus • Lethargy • Malaise • Anorexia • Weight loss
  • 41.
    Diagnosis • Laboratory tests • Endoscopy • Radiography • Biopsy • CT enterography
  • 42.
    Laboratory tests • CRP-elevated • ESR-elevated • Anemia • Leukocytosis • hypoalbuminemia
  • 43.
  • 44.
  • 46.
    CT enterography • Mural hyperenhancement • Stratification • Engorged vasa recta • Perienteric inflammatory changes
  • 48.
  • 49.
  • 50.
  • 51.
    Drugs • 5-ASA agents • Glucocorticoids • Antibiotics • Immunosuppresants • Biological therapy
  • 52.
    5-ASA Agents •Sulfasalazine (5-aminosalicylic acidand sulfapyridine as carrier substance) •Mesalazine (5-ASA), e.g. Asacol, Pentasa •Balsalazide (prodrug of 5-ASA) • Olsalazine (5-ASA dimer cleaves in colon)
  • 53.
    Topical Action of5-ASA: Extent of Disease Impacts Formulation Choice Distribution of 5-ASA Preparations Oral • Varies by agent: may be released in the distal/terminal ileum, or colon1 Liquid Enemas • May reach the splenic flexure2-4 • Do not frequently concentrate in the rectum3 Suppositories • Reach the upper rectum2,5 (15-20 cm beyond the anal verge) 1. Sandborn WJ, et al. Aliment Pharmacol Ther. 2003;17:29-42; 2. Regueiro M, et al. Inflamm Bowel Dis. 2006;12:972–978; 3. Van Bodegraven AA, et al. Aliment Pharmacol Ther. 1996; 10:327-332; 4. Chapman NJ, et al. Mayo Clin Proc. 1992;62:245-248; 5. Williams CN, et al. Dig Dis Sci. 1987;32:71S-75S.
  • 54.
    • Use  Inmild to moderate UC & crohn’s colitis  Maintaining remission  May reduce risk of colorectal cancer • Adverse effects  Nausea, headache, epigastric pain, diarrhoea, hypersensitivity, pancreatitis  Caution in renal impairment, pregnancy, breast feeding
  • 55.
    Glucocorticoids • Anti inflammatoryagents for moderate to severe relapses. • Inhibition of inflammatory pathways • Budesonide- 9mg/dl used for 2-3 months & then tapered. • Prednisone-40-60mg/day • No role in maintainence therapy
  • 56.
    Antibiotics • No rolein active/quienscent UC • Metronidazole is effective in active inflammatory,fistulous & perianal CD. • Dose-15-20mg/kg/day in 3 divided doses. • Ciprofloxacin • Rifaximin
  • 57.
  • 58.
    Cyclosporine • Preventing clonalexpansion of T cell subsets • Use Steroid sparing Active and chronic disease • Side effects Tremor, paraesthesiae, malaise, headache, gingival hyperplasia, hirsutism Major: renal impairment, infections, neurotoxicity
  • 59.
    Biological therapy • Infliximab Anti TNF monoclonal antibody Infliximab binds to TNF trimers with high affinity, preventing cytokine from binding to its receptors It also binds to membrane-bound TNF- a and neutralizes its activity & also reduces serum TNF levels. • Use Fistulizing CD Severe active CD Refractory/intolerant of steroids or immunosuppression • Side effects Infusion reactions, Sepsis, Reactivation of Tb, Increased risk of Tb
  • 60.
    Other medications Anti- diarrheals- Loperamide (Imodium) Laxatives - senna, bisacodyl Pain relievers. acetaminophen (Tylenol). Iron supplements  Nutrition
  • 61.
    Surgery Ulcerative colitis Indications: • Fulminating disease • Chronic disease with anemia, frequent stools, urgency & tenesmus • Steriod dependant disease • Risk of neoplastic change • Extraintestinal manifestations • Severe hemorrhage or stenosis
  • 63.
    Others • Proctocolectomy & ileostomy • Rectal &anal dissection • Colectomy with ileorectal anastomosis • Ileostomy with intraabdominal pouch
  • 64.
    Crohn’s disease • Ileocaecal resection • Segmental resection • Colectomy & ileorectal anastamosis • Temporary loop ileostomy • Proctocolectomy • Stricturoplasty
  • 65.