INFLAMMATORY
BOWEL DISEASE
Dr. Ansuman Dash
IBD
Inflammatory bowel disease is an idiopathic
inflammatory intestinal disease resulting from an
inappropriate immune activation to host intestinal
microflora.
Types of IBD are
 Ulcerative colitis
 Crohn’s disease
 Indeterminate colitis
■ Ulcerative colitis - nonspecific inflammatory bowel disease of
unknown etiology that effects the mucosa and submucosa of the
colon and rectum
■ Crohn’s disease - nonspecific inflammatory bowel disease that may
affect any segment of the gastrointestinal tract
■ Indeterminate colitis
– 15% patients with IBD impossible to differentiate
History
 Morgagni provided a description of intestinal inflammation
characteristic of Crohn's disease in 1761.
 In 1932, the landmark publication of Crohn, Ginzburg, and
Oppenheimer called attention to “terminal ileitis” as a
distinct entity and chronic disease.
 The name “Crohn's disease” has been adopted to encompass
the many clinical presentations of this pathologic entity. But
for the alphabetic priority these authors chose Crohn's
disease.
EPIDEMIOLOGY
■ Incidence and prevalence highest in westernized nations.
■ Prevalence rates are
■ 4.9-505 /1 lakh in Europe
■ 37.5 – 248 /1 lakh in north America
■ 4.9 – 168.3 in Asia
■ Peak incidence in 2nd to 4th decade with a 2nd peak in 7th – 9th
decade.
EPIDEMIOLOGY
■ A house to house survey of 4796 houses including 21921 persons (>
14 years age) in Haryana state revealed 10 cases (5 each in both
sexes) which gave a prevalence of 45.5/105 population (42.8/105 for
males and 48.6/105 for females).
■ In a later study from the neighbouring state of Punjab where
cluster sampling method was employed the crude incidence and
prevalence of UC was found to be 6.02/105 and 44.8/105 population
which was the highest in Asia but still less than that of North
America and Europe.
Etiopathogenisis
Genetic
susceptibility
Environmental
factors
Host immunity
etiology
• DIET:
• Fat intake
• Fast food ingestion
• Milk and fibre consumption
• Total protein and energy intake
• DRUGS:
• NSAIDS: DICLOFENAC
• Antibiotics: may precipitate the relapse
• Oral contraceptives increase the risk of developing CD
• Smoking is protective against UC but increases the risk of CD
8
GENETICS:
• If a patient has IBD, the lifetime risk that a first-degree
relative will be affected is ~15%.
• If two parents have IBD, each child has a 36% chance of
being affected.
• In twin studies , 58% of monozygotic twins are concordant
for CD and 6% are concordant for UC, whereas 4% of
dizygotic twins are concordant for CD and none are
concordant for UC.
• Mutations of gene CARD15/NOD2 on chromosome 16 is
associated with SI CD 2 other genes – OCTN1, DLG5
■ ETHNIC: Jews are more prone to IBD than non jews.
■ STRESS: Increase the relapse of IBD
9
CONTD..
■ INFECTION:
– Mycobacterium paratuberculosis : CD
– Diarrhoea :Ulcerative colitis
IBD is currently considered an inappropriate immune
response to endogenous commensal microbiota within
the intestines, with or without some component of
autoimmunity.
10
PATHOPHYSIOLOGY
11
12
Genetics
Crohn’s disease Ulcerative colitis
1. NOD2/CARD15
2. Autophagy-related
genes
3. Interleukin (IL)-23
1. MDR 1
2. HLA-DR1
3. HLA-DR3,DQ2
Anatomical classification of ulcerative colitis and
CROHN’s disease
ULCERATIVE
COLITIS CROHNS DISEASE
– Proctitis
– Proctosigmoiditi
s
– Left sided colitis
– Pancolitis
– Backwash ileitis
– Gastro duodenal
Crohn’s disease(
gastroduodenitis)
– Jejunoileitis
– Ileitis
– Ileocolitis
– Crohn’s
(granulomatous) colitis14
Ulcerative Colitis
16
UC Pathology
Macroscopic Appearance
■ Involves rectum and extends proximally to involve entire colon.
40 – 50 % - disease limited to rectum and rectosigmoid
30 – 40 % - extends beyond sigmoid but not involving whole colon
20 % - Pancolitis
 No skip lesions.
 Backwash ileitis – Inflammation extends 2 – 3 cm into terminal ileum in
10 -20 %
■ Mild Inflammation – Mucosa is erythematous and has granular
surface. (Sandpaper appearance)
■ Severe inflammation – Mucosa hemorrhagic, edematous and
ulcerated.
■ Long standing disease – Pseudopolyps
■ Toxic megacolon –Transverse or right colon with diameter >
6cm with loss of haustrations in severe UC.
Microscopic Appearance
■ Limited to mucosa and submucosa.
■ Deeper layers may be affected in fulminant disease.
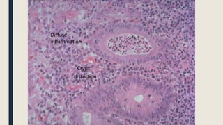
■ Distortion of crypt architecture
■ Basal plasma cells and lymphoid aggregates.
■ Mucosal vascular congestion with edema and focal hemorrhage.
■ Cryptitis and Crypt abscess – Neutrophils invade the epithelium in the
crypts
■ Mucosal infiltration by Neutrophils, Lymphocytes, Plasma cells and
Macrophages.
Crypt
distortion
Diffuse
inflammation
CLINICAL FEATURES of UC
■ Diarrhoea
■ Rectal bleeding
■ Tenesmus
■ Passage of mucus
■ Crampy abdominal pain
Proctitis –
■ Fresh blood and blood stained mucus, either with stool or streaked onto
the surface of normal or hard stool. Sense of incomplete evacuation and
urgency
■ Proctosigmoiditis – May have constipation
Severe Colitis
■ Grossly bloody diarrhea
■ Liquid stool containing blood, pus and fecal matter
■ Anorexia
■ Nausea
■ Vomiting
SIGNS –
■ Tender anal canal
■ Blood on DRE
■ Tenderness on palpation over colon in severe disease
Ulcerative Colitis: Disease Presentation
Mild Moderate Severe
Bowel movements <4/day 4-6/day >6/day
Blood in stools Small Moderate Severe
Tachycardia None <90/min >90/min
Fever None <99.5F >99.5F
Anemia Mild Moderate Severe
ESR <30 >30
Endoscopy Erythema,
decreased vascular
pattern, fine
granularity
Marked erythema,
coarse granularity,
absent vascular
markings, contact
bleeding, no
ulcerations
Spontaneous
bleeding,
ulcerations
INVESTIGATIONS
■ Elevated acute phase reactants like CRP and elevated ESR
■ Low Hemoglobin
■ Leukocytosis may be seen
■ Fecal lactoferrin and fecal Calprotectin levels – Correlate with histologic
inflammation and predict relapses
■ Stool examination for bacteria, C. difficile toxin and ova and parasites
■ P-ANCA is positive in 60 -70 %. ASCA positive in 10 – 15 %.
■ SIGMOIDOSCOPY and COLONOSCOPY with biopsy – to assess disease activity and
confirm diagnosis
■ Mild disease – Mild erythema and friability
■ Severe disease – spontaneous bleeding and ulcerations
RADIOLOGY
■ Earliest radiologic change with single-contrast barium enema is fine
mucosal granularity.
■ Deep ulcers appear as collar – button ulcer
■ Loss of haustrations in long standing disease.
■ Colon becomes shortened and narrowed
CT and MRI
■ Mild mural thickening
■ Absence of small bowel thickening
■ Target appearance of rectum
■ Adenopathy
Etiology
■ Three prevalent theories include:
– response to a specific infectious agent
– a defective mucosal barrier allowing an increased exposure to antigens
– an abnormal host response to dietary antigens
■ One infectious agent that has generated some interest is Mycobacterium
paratuberculosis, isolated in up to 65% of tissue samples from Crohn's patients
■ A statistically significant association between the onset of Crohn's disease and
prior use of antibiotics has also been observed
■ Smoking appears to be a risk factor for Crohn's disease, and after intestinal
resection, the risk of recurrence is greatly increased in smokers
COMPLICATIONS
■ Massive hemorrhage
■ Toxic Megacolon
■ Perforation and Peritonitis
■ Stricture in 5 – 10 % of patients. A stricture that is
impassable to colonoscope should be presumed
malignant unless proven otherwise.
■ Malignant transformation
Risk for carcinoma in UC
■ Disease duration
– 25% at 25 yrs, 35% at 30 yrs, 45% at 35 yrs, and 65% at 40 yrs
■ Pancolonic disease
– Left-sided only pts less likely to develop cancer than pancolitis pts
■ Continuously active disease
■ Severity of Inflammation
– Colonic stricture must be considered to be cancer until proven
otherwise
CROHN’S DISEASE
Pathology
MACROSCOPIC FEATURES
■ Can affect any part of the GI tract from mouth to anus.
■ 30 – 40 % - small bowel ds alone
■ 40 – 55 % - both small and large intestine affected
■ 15 – 25 % - colitis alone
■ Terminal ileum is involved in 90 % of small intestinal ds
■ Skip Lesions
■ Perirectal fistulas, fissures, abscesses and anal stenosis seen in one
third of CD patients.
■ Mild disease – small aphthous ulcers
■ Linear serpiginous ulcers seen
■ Cobblestone appearance
■ Pseudopolyps may be seen
■ Fistula tracts may be seen
■ Fibrosis and stricture of bowel
■ Creeping fat
■ Histologic
– transmural inflammation, submucosal edema,
loose macrophage aggregation, and ultimately
fibrosis
– Pathognomonic: the noncaseating granuloma, a
localized, well-formed aggregate of epithelioid
histocytes surrounded by lymphocytes and giant
cells; found in 50% of resected specimens.
– Focal crypt abscess may be seen
35
Clinical Presentation
ILEOCOLITIS –
 Recurrent right lower quadrant pain and diarrhea
 Palpable mass in right lower quadrant
 Mimics acute appendicitis
 May present as bowel obstruction.
JEJUNOILEITIS –
 Malabsorption and steatorrhoea
 Anemia, hypoalbuminemia, hypocalcemia, hyperoxaluria
COLITIS
■ Malaise
■ Diarrhoea
■ Crampy abdominal pain
■ Hematochezia
■ Incontinence, hemorrhoidal tags, anorectal tags,
perirectal abscess in perianal disease
Unusual Presentations of CD
■ Gastroduodenal - H-pylori-negative peptic ulcer disease,
dyspepsia or epigastric pain as the primary symptoms
■ Esophageal - < 2% of patients.
– Dysphagia, odynophagia, substernal chest pain, and
heartburn
– Mouth ulcers
– Esophageal stricture and esophagobronchial fistula
■ acute granulommatous appendicitis -
Perianal disease of CD
1. Skin lesions- include maceration, superficial ulcers,
abscesses, and skin tags
 type 1 (elephant ears) are typically soft and painless and
large
 type 2 are typically edematous, hard, and tender.
2. Anal canal lesions - fissures, ulcers, and stenosis
3. Perianal fistulas.
Aggressive fistulizing disease
 Fistulas are manifestations of the transmural nature of CD
 Perianal fistulas are common and occur in 15% to 35% of
patients.
 Enterovaginal fistulas occur in women
 Enterovesicular - recurrent polymicrobial UTI or as frank
pneumaturia and fecaluria.
 Enterocutaneous fistula after appendectomy
 Other types- enteroenteric, enterocolonic, and colocolonic
fistulas
Stricture
 Stricture is another characteristic complication of long-
standing inflammation
 Symptoms can include colicky, postprandial abdominal pain
and bloating, punctuated by more-severe episodes, and often
culminating in complete obstruction.
 String sign - markedly narrowed bowel segment amid widely
spaced bowel loops
EXTRAINTESTINAL MANIFESTATIONS
Musculoskeletal
 Clubbing
 Arthritic manifestations
Peripheral arthropathy - 16% to 20%
 Pauciarticular arthropathy (type I, affecting four or fewer joints)
 Polyarticular arthropathy (type II, with five or more joints
affected)
Axial arthropathies - 3% to 10%
Metabolic bone disease
Granulomatous vasculitis, periostitis and amyloidosis.
Mucocutaneous
Pyoderma gangrenosum
Erythema nodosum
Granulomatous inflammation of the skin
Aphthous ulcers of the mouth
Angular cheilitis
Pyoderma Gangrenosum
Erythema
Nodosum
Ocular
 Occur in 6% of patients .
 Episcleritis
 Scleritis
 Uveitis - the anterior segment
 Keratopathy and night blindness
Hepatobiliary
Gallstones
Asymptomatic and mild elevations of liver biochemical
tests
 PSC more often is associated with UC
 Autoimmune hepatitis.
Vascular
 venous thromboembolism
 arterial thrombosis.
Renal and Genitourinary
Inflammatory entrapment of the ureter
 Uric acid and oxalate stones.
 Membranous nephropathy &Glomerulonephritis
 Renal amyloidosis.
. Penile and vulvar edema
Investigations
 CBC
 Nutritional evaluation: Vitamin B12 , iron studies, folate & other
nutritional markers
 ESR and CRP levels
 Fecal calprotectin level
 Serologic studies: pANCA, ASCA, anti-CBir1
 Stool studies: Stool R/M, C/S, evaluation for Clostridium difficile toxin
DISTINGUISHING CHARACTERISTICS OF CROHN’s disease AND Ulcerative
colitis
Characteristic Feature Ulcerative Colitis Crohn’s Disease
Abdominal tenderness May be present Common
Abdominal wall and internal fistulas Common Absent
Abdominal pain Uncommon Common
Fever , Malaise Uncommon Common
Bloody Diarrheoa Frequent Occasional
Location Only colon GIT
Anatomic distribution Continuous, begins distally Skip lesions
Weight loss Occasional Frequent
54
Characteristic Feature Ulcerative colitis Crohn’s disease
Palpable mass Rare Common
Intra-abdominal abscess Rare Common
Bowel Obstruction Rare Common
Antibiotic response Rare Frequent
Skip lesions Rare Frequent
Effect of smoking Often improves Often worsens
Serologic markers
ASCA +
P-ANCA +
15%
70%
65%
20%
Iron deficiency anaemia, raised CPR/
ESR, hypoalbuminaemia
Common Common
Recto vaginal fistula Rare Frequent
Perianal Fistula Rare Frequent
55
PATHOLOGIC FEATURES OF CD AND UC
Characteristic feature Crohn’s disease Ulcerative colitis
Transmural Inflammation Common Uncommon
Granulomas Common Rare
Fissures Common Rare
Fibrosis Common No
Sub mucosal inflammation Common Uncommon
Rectal involvement Rare Common
Ileal involvement Very Common Rare
Strictures Common Rare
Crypt abcess Rare Very common
Linear clefts Common Rare
Cobblestone appearance Common Absent
ComprEhensive pharmacy review –LEON shargel, CLINICAL PHARMACY AND THERAPEUTICS- ROGER WALKER, pHARMACOTHERAPY a pathophysiologic
appraochjosepht. dipiro
56
Imaging studies
 Upright chest and abdominal radiography
 Barium double-contrast enema radiographic studies
 Abdominal ultrasonography
 Abdominal/pelvic computed tomography scanning/magnetic
resonance imaging with enterography
 Colonoscopy, with biopsies of tissue/lesions
 Upper gastrointestinal endoscopy
 Capsule enteroscopy/double balloon enteroscopy
Plain radiograph
In severe disease, the luminal margin of the colon
becomes edematous and irregular.
Thickening of the colonic wall often is apparent on a
plain film
Plain films also are useful for detecting the presence of
fecal material.
 The presence of marked colonic dilatation suggests
fulminant colitis or toxic megacolon.
Barium studies
Aphthous ulcers, a coarse villus mucosal pattern, and
thickened folds.
Pseudo sacculation of the antimesenteric border
Cobblestone appearance
Fistulas, sinus tracts, and fixed strictures
The earliest radiologic change of UC seen is fine
mucosal granularity
String sign
lead-pipe or stove-pipe appearance
MR enterography
Intestinal wall thickening, submucosal edema, vasa recta
engorgement, and lymphadenopathy are signs of active
diseas
FIESTA images can add information regarding the
functional status of fibrotic segment
 MRI images yield a diagnostic accuracy of 91%.
Colonoscopy
 The hallmark of UC is continuous inflammation that begins in
the rectum.
 The earliest endoscopic sign of UC is a mucosal erythema and
edema
 As disease progresses, the mucosa becomes granular and
friable.
 In severe inflammation, the mucosa may be covered by yellow-
brown mucopurulent exudates associated with mucosal
ulcerations.
Ulcerative Colitis
Uses of colonoscopy
Determine the extent and severity of colitis
Provide tissue to assist in the diagnosis.
Therapeutic use is stricture dilation
Capsule Enteroscopy
Swallows encapsulated video camera
Transmits an image to a receiver outside the pt.
It is most commonly used for finding obscure sources
of GI blood loss,
The images can find ulcerations associated with CD if
endoscopy and colonoscopy are unrevealing
 The major risk is the potential to get lodged at the
point of a stricture
Complications of CD
 Perforation
 Abscess formation
 Stricture & small bowel obstruction
 Nutritional deficiencies
 Cancer: small bowel adenocarinoma
 Cancer: colon???
Complications of UC
Toxic Megacolon:
 Defined as a transverse or right colon with a diameter of >6 cm,
with loss of haustration in patients with severe attacks of UC.
 It occurs in about 5% of attacks and
 It can be triggered by electrolyte abnormalities and narcotics.
 About 50% of acute dilations will resolve with medical therapy
alone
 Urgent colectomy is required for those that do not improve
Complicatins of UC
 Colon adenocarcinoma
 After 8–10 years of colitis, annual or biannual surveillance colonoscopy with multiple
biopsies at regular intervals should be performed
 extensive mucosal involvement (pancolitis)
 family history of carcinoma of the colon.
 Perforation
 Massive hemorrhage
DIFFERENTIAL DIAGNOSIS
SUMMERY
INVESTIGATIONS
Crohn’s disease Ulcerative colitis
BloodTest
•CP with morphology: Normocytic normocromic
anemia of CHRONIC disease
•Serum B12 level may be low.
•Raised ESR, CRP and raisedWBC count.
•Hypo albuminaemia.
•Blood culture in septicaemia.
•Fe deficiency anemia
•Raised white cell and platelet count
•Raised ESR, CRP
•Hypo albuminaemia
SerologicalTest
• Saccharomyces cerevisiae antibody is usually
present
•P-ANCA positive in 5 – 10 %
•P-ANCA positive in 60 – 70 %
•ASCA positive in 10 – 15 %
Stool culture
•Should always be performed in both to rule out infective cause
CONTD..
Crohn’s Disease Ulcerative Colitis
Radiography
PlainABD. X-ray:
•Loss of haustral markings and shortening of bowel
Is seen in sever lession.
•Narrowing of bowel lumen is seen
Ultrasound:
•Thickened small bowel loops and mesentery or
abscess
•Thickening of colonic wall and presence of free
fluid in abdominal cavity
Barium Enema (contraindicated in toxic
megacolon)
•Skip lesions
•Rose thorn appearance
•String appearance
•Cobble stone appearance
•Omega sign are also seen
•Ulcerations
•Pseudopolyps
•Loss of haustration
•Shortening of bowel is seen
CONTD..
Crohns disease Ulcerative colitis
Instant Barium enema
•Patchy sup. Ulceration to wide spread deep
•Cobble stone appearance and narrowing
•Superficial ulcers
•Shortened and narrowed colon in long standing
disease
Colonoscopy
•Fissures and fistulae •Pseudopolyps
•Mucosal granularity and hyperemia
High resolution USG. And spiral CT
•Radionuclide scan with gallium labeled
polymorphs or indium or technetium labeled
leucocytes
•Capsule imaging of the gut.
•Radionuclide scan used to assess colonic
inflammation
Stricture evaluation and dilation
complicated Lesser complicated

In flammatory bowel disease

  • 1.
  • 2.
    IBD Inflammatory bowel diseaseis an idiopathic inflammatory intestinal disease resulting from an inappropriate immune activation to host intestinal microflora. Types of IBD are  Ulcerative colitis  Crohn’s disease  Indeterminate colitis
  • 3.
    ■ Ulcerative colitis- nonspecific inflammatory bowel disease of unknown etiology that effects the mucosa and submucosa of the colon and rectum ■ Crohn’s disease - nonspecific inflammatory bowel disease that may affect any segment of the gastrointestinal tract ■ Indeterminate colitis – 15% patients with IBD impossible to differentiate
  • 4.
    History  Morgagni provideda description of intestinal inflammation characteristic of Crohn's disease in 1761.  In 1932, the landmark publication of Crohn, Ginzburg, and Oppenheimer called attention to “terminal ileitis” as a distinct entity and chronic disease.  The name “Crohn's disease” has been adopted to encompass the many clinical presentations of this pathologic entity. But for the alphabetic priority these authors chose Crohn's disease.
  • 5.
    EPIDEMIOLOGY ■ Incidence andprevalence highest in westernized nations. ■ Prevalence rates are ■ 4.9-505 /1 lakh in Europe ■ 37.5 – 248 /1 lakh in north America ■ 4.9 – 168.3 in Asia ■ Peak incidence in 2nd to 4th decade with a 2nd peak in 7th – 9th decade.
  • 6.
    EPIDEMIOLOGY ■ A houseto house survey of 4796 houses including 21921 persons (> 14 years age) in Haryana state revealed 10 cases (5 each in both sexes) which gave a prevalence of 45.5/105 population (42.8/105 for males and 48.6/105 for females). ■ In a later study from the neighbouring state of Punjab where cluster sampling method was employed the crude incidence and prevalence of UC was found to be 6.02/105 and 44.8/105 population which was the highest in Asia but still less than that of North America and Europe.
  • 7.
  • 8.
    etiology • DIET: • Fatintake • Fast food ingestion • Milk and fibre consumption • Total protein and energy intake • DRUGS: • NSAIDS: DICLOFENAC • Antibiotics: may precipitate the relapse • Oral contraceptives increase the risk of developing CD • Smoking is protective against UC but increases the risk of CD 8
  • 9.
    GENETICS: • If apatient has IBD, the lifetime risk that a first-degree relative will be affected is ~15%. • If two parents have IBD, each child has a 36% chance of being affected. • In twin studies , 58% of monozygotic twins are concordant for CD and 6% are concordant for UC, whereas 4% of dizygotic twins are concordant for CD and none are concordant for UC. • Mutations of gene CARD15/NOD2 on chromosome 16 is associated with SI CD 2 other genes – OCTN1, DLG5 ■ ETHNIC: Jews are more prone to IBD than non jews. ■ STRESS: Increase the relapse of IBD 9
  • 10.
    CONTD.. ■ INFECTION: – Mycobacteriumparatuberculosis : CD – Diarrhoea :Ulcerative colitis IBD is currently considered an inappropriate immune response to endogenous commensal microbiota within the intestines, with or without some component of autoimmunity. 10
  • 11.
  • 12.
  • 13.
    Genetics Crohn’s disease Ulcerativecolitis 1. NOD2/CARD15 2. Autophagy-related genes 3. Interleukin (IL)-23 1. MDR 1 2. HLA-DR1 3. HLA-DR3,DQ2
  • 14.
    Anatomical classification ofulcerative colitis and CROHN’s disease ULCERATIVE COLITIS CROHNS DISEASE – Proctitis – Proctosigmoiditi s – Left sided colitis – Pancolitis – Backwash ileitis – Gastro duodenal Crohn’s disease( gastroduodenitis) – Jejunoileitis – Ileitis – Ileocolitis – Crohn’s (granulomatous) colitis14
  • 15.
  • 16.
  • 17.
    UC Pathology Macroscopic Appearance ■Involves rectum and extends proximally to involve entire colon. 40 – 50 % - disease limited to rectum and rectosigmoid 30 – 40 % - extends beyond sigmoid but not involving whole colon 20 % - Pancolitis  No skip lesions.  Backwash ileitis – Inflammation extends 2 – 3 cm into terminal ileum in 10 -20 %
  • 18.
    ■ Mild Inflammation– Mucosa is erythematous and has granular surface. (Sandpaper appearance) ■ Severe inflammation – Mucosa hemorrhagic, edematous and ulcerated. ■ Long standing disease – Pseudopolyps ■ Toxic megacolon –Transverse or right colon with diameter > 6cm with loss of haustrations in severe UC.
  • 19.
    Microscopic Appearance ■ Limitedto mucosa and submucosa. ■ Deeper layers may be affected in fulminant disease. ■ Distortion of crypt architecture ■ Basal plasma cells and lymphoid aggregates. ■ Mucosal vascular congestion with edema and focal hemorrhage. ■ Cryptitis and Crypt abscess – Neutrophils invade the epithelium in the crypts ■ Mucosal infiltration by Neutrophils, Lymphocytes, Plasma cells and Macrophages.
  • 21.
  • 22.
    CLINICAL FEATURES ofUC ■ Diarrhoea ■ Rectal bleeding ■ Tenesmus ■ Passage of mucus ■ Crampy abdominal pain Proctitis – ■ Fresh blood and blood stained mucus, either with stool or streaked onto the surface of normal or hard stool. Sense of incomplete evacuation and urgency ■ Proctosigmoiditis – May have constipation
  • 23.
    Severe Colitis ■ Grosslybloody diarrhea ■ Liquid stool containing blood, pus and fecal matter ■ Anorexia ■ Nausea ■ Vomiting SIGNS – ■ Tender anal canal ■ Blood on DRE ■ Tenderness on palpation over colon in severe disease
  • 24.
    Ulcerative Colitis: DiseasePresentation Mild Moderate Severe Bowel movements <4/day 4-6/day >6/day Blood in stools Small Moderate Severe Tachycardia None <90/min >90/min Fever None <99.5F >99.5F Anemia Mild Moderate Severe ESR <30 >30 Endoscopy Erythema, decreased vascular pattern, fine granularity Marked erythema, coarse granularity, absent vascular markings, contact bleeding, no ulcerations Spontaneous bleeding, ulcerations
  • 25.
    INVESTIGATIONS ■ Elevated acutephase reactants like CRP and elevated ESR ■ Low Hemoglobin ■ Leukocytosis may be seen ■ Fecal lactoferrin and fecal Calprotectin levels – Correlate with histologic inflammation and predict relapses ■ Stool examination for bacteria, C. difficile toxin and ova and parasites ■ P-ANCA is positive in 60 -70 %. ASCA positive in 10 – 15 %. ■ SIGMOIDOSCOPY and COLONOSCOPY with biopsy – to assess disease activity and confirm diagnosis ■ Mild disease – Mild erythema and friability ■ Severe disease – spontaneous bleeding and ulcerations
  • 26.
    RADIOLOGY ■ Earliest radiologicchange with single-contrast barium enema is fine mucosal granularity. ■ Deep ulcers appear as collar – button ulcer ■ Loss of haustrations in long standing disease. ■ Colon becomes shortened and narrowed CT and MRI ■ Mild mural thickening ■ Absence of small bowel thickening ■ Target appearance of rectum ■ Adenopathy
  • 27.
    Etiology ■ Three prevalenttheories include: – response to a specific infectious agent – a defective mucosal barrier allowing an increased exposure to antigens – an abnormal host response to dietary antigens ■ One infectious agent that has generated some interest is Mycobacterium paratuberculosis, isolated in up to 65% of tissue samples from Crohn's patients ■ A statistically significant association between the onset of Crohn's disease and prior use of antibiotics has also been observed ■ Smoking appears to be a risk factor for Crohn's disease, and after intestinal resection, the risk of recurrence is greatly increased in smokers
  • 28.
    COMPLICATIONS ■ Massive hemorrhage ■Toxic Megacolon ■ Perforation and Peritonitis ■ Stricture in 5 – 10 % of patients. A stricture that is impassable to colonoscope should be presumed malignant unless proven otherwise. ■ Malignant transformation
  • 29.
    Risk for carcinomain UC ■ Disease duration – 25% at 25 yrs, 35% at 30 yrs, 45% at 35 yrs, and 65% at 40 yrs ■ Pancolonic disease – Left-sided only pts less likely to develop cancer than pancolitis pts ■ Continuously active disease ■ Severity of Inflammation – Colonic stricture must be considered to be cancer until proven otherwise
  • 30.
  • 31.
    Pathology MACROSCOPIC FEATURES ■ Canaffect any part of the GI tract from mouth to anus. ■ 30 – 40 % - small bowel ds alone ■ 40 – 55 % - both small and large intestine affected ■ 15 – 25 % - colitis alone ■ Terminal ileum is involved in 90 % of small intestinal ds ■ Skip Lesions ■ Perirectal fistulas, fissures, abscesses and anal stenosis seen in one third of CD patients. ■ Mild disease – small aphthous ulcers
  • 33.
    ■ Linear serpiginousulcers seen ■ Cobblestone appearance ■ Pseudopolyps may be seen ■ Fistula tracts may be seen ■ Fibrosis and stricture of bowel ■ Creeping fat
  • 34.
    ■ Histologic – transmuralinflammation, submucosal edema, loose macrophage aggregation, and ultimately fibrosis – Pathognomonic: the noncaseating granuloma, a localized, well-formed aggregate of epithelioid histocytes surrounded by lymphocytes and giant cells; found in 50% of resected specimens. – Focal crypt abscess may be seen
  • 35.
  • 36.
    Clinical Presentation ILEOCOLITIS – Recurrent right lower quadrant pain and diarrhea  Palpable mass in right lower quadrant  Mimics acute appendicitis  May present as bowel obstruction. JEJUNOILEITIS –  Malabsorption and steatorrhoea  Anemia, hypoalbuminemia, hypocalcemia, hyperoxaluria
  • 37.
    COLITIS ■ Malaise ■ Diarrhoea ■Crampy abdominal pain ■ Hematochezia ■ Incontinence, hemorrhoidal tags, anorectal tags, perirectal abscess in perianal disease
  • 38.
    Unusual Presentations ofCD ■ Gastroduodenal - H-pylori-negative peptic ulcer disease, dyspepsia or epigastric pain as the primary symptoms ■ Esophageal - < 2% of patients. – Dysphagia, odynophagia, substernal chest pain, and heartburn – Mouth ulcers – Esophageal stricture and esophagobronchial fistula ■ acute granulommatous appendicitis -
  • 39.
    Perianal disease ofCD 1. Skin lesions- include maceration, superficial ulcers, abscesses, and skin tags  type 1 (elephant ears) are typically soft and painless and large  type 2 are typically edematous, hard, and tender. 2. Anal canal lesions - fissures, ulcers, and stenosis 3. Perianal fistulas.
  • 40.
    Aggressive fistulizing disease Fistulas are manifestations of the transmural nature of CD  Perianal fistulas are common and occur in 15% to 35% of patients.  Enterovaginal fistulas occur in women  Enterovesicular - recurrent polymicrobial UTI or as frank pneumaturia and fecaluria.  Enterocutaneous fistula after appendectomy  Other types- enteroenteric, enterocolonic, and colocolonic fistulas
  • 42.
    Stricture  Stricture isanother characteristic complication of long- standing inflammation  Symptoms can include colicky, postprandial abdominal pain and bloating, punctuated by more-severe episodes, and often culminating in complete obstruction.  String sign - markedly narrowed bowel segment amid widely spaced bowel loops
  • 44.
  • 45.
    Musculoskeletal  Clubbing  Arthriticmanifestations Peripheral arthropathy - 16% to 20%  Pauciarticular arthropathy (type I, affecting four or fewer joints)  Polyarticular arthropathy (type II, with five or more joints affected) Axial arthropathies - 3% to 10% Metabolic bone disease Granulomatous vasculitis, periostitis and amyloidosis.
  • 46.
    Mucocutaneous Pyoderma gangrenosum Erythema nodosum Granulomatousinflammation of the skin Aphthous ulcers of the mouth Angular cheilitis
  • 47.
  • 48.
  • 49.
    Ocular  Occur in6% of patients .  Episcleritis  Scleritis  Uveitis - the anterior segment  Keratopathy and night blindness
  • 51.
    Hepatobiliary Gallstones Asymptomatic and mildelevations of liver biochemical tests  PSC more often is associated with UC  Autoimmune hepatitis. Vascular  venous thromboembolism  arterial thrombosis.
  • 52.
    Renal and Genitourinary Inflammatoryentrapment of the ureter  Uric acid and oxalate stones.  Membranous nephropathy &Glomerulonephritis  Renal amyloidosis. . Penile and vulvar edema
  • 53.
    Investigations  CBC  Nutritionalevaluation: Vitamin B12 , iron studies, folate & other nutritional markers  ESR and CRP levels  Fecal calprotectin level  Serologic studies: pANCA, ASCA, anti-CBir1  Stool studies: Stool R/M, C/S, evaluation for Clostridium difficile toxin
  • 54.
    DISTINGUISHING CHARACTERISTICS OFCROHN’s disease AND Ulcerative colitis Characteristic Feature Ulcerative Colitis Crohn’s Disease Abdominal tenderness May be present Common Abdominal wall and internal fistulas Common Absent Abdominal pain Uncommon Common Fever , Malaise Uncommon Common Bloody Diarrheoa Frequent Occasional Location Only colon GIT Anatomic distribution Continuous, begins distally Skip lesions Weight loss Occasional Frequent 54
  • 55.
    Characteristic Feature Ulcerativecolitis Crohn’s disease Palpable mass Rare Common Intra-abdominal abscess Rare Common Bowel Obstruction Rare Common Antibiotic response Rare Frequent Skip lesions Rare Frequent Effect of smoking Often improves Often worsens Serologic markers ASCA + P-ANCA + 15% 70% 65% 20% Iron deficiency anaemia, raised CPR/ ESR, hypoalbuminaemia Common Common Recto vaginal fistula Rare Frequent Perianal Fistula Rare Frequent 55
  • 56.
    PATHOLOGIC FEATURES OFCD AND UC Characteristic feature Crohn’s disease Ulcerative colitis Transmural Inflammation Common Uncommon Granulomas Common Rare Fissures Common Rare Fibrosis Common No Sub mucosal inflammation Common Uncommon Rectal involvement Rare Common Ileal involvement Very Common Rare Strictures Common Rare Crypt abcess Rare Very common Linear clefts Common Rare Cobblestone appearance Common Absent ComprEhensive pharmacy review –LEON shargel, CLINICAL PHARMACY AND THERAPEUTICS- ROGER WALKER, pHARMACOTHERAPY a pathophysiologic appraochjosepht. dipiro 56
  • 57.
    Imaging studies  Uprightchest and abdominal radiography  Barium double-contrast enema radiographic studies  Abdominal ultrasonography  Abdominal/pelvic computed tomography scanning/magnetic resonance imaging with enterography  Colonoscopy, with biopsies of tissue/lesions  Upper gastrointestinal endoscopy  Capsule enteroscopy/double balloon enteroscopy
  • 58.
    Plain radiograph In severedisease, the luminal margin of the colon becomes edematous and irregular. Thickening of the colonic wall often is apparent on a plain film Plain films also are useful for detecting the presence of fecal material.  The presence of marked colonic dilatation suggests fulminant colitis or toxic megacolon.
  • 59.
    Barium studies Aphthous ulcers,a coarse villus mucosal pattern, and thickened folds. Pseudo sacculation of the antimesenteric border Cobblestone appearance Fistulas, sinus tracts, and fixed strictures The earliest radiologic change of UC seen is fine mucosal granularity
  • 61.
  • 62.
  • 65.
    MR enterography Intestinal wallthickening, submucosal edema, vasa recta engorgement, and lymphadenopathy are signs of active diseas FIESTA images can add information regarding the functional status of fibrotic segment  MRI images yield a diagnostic accuracy of 91%.
  • 66.
    Colonoscopy  The hallmarkof UC is continuous inflammation that begins in the rectum.  The earliest endoscopic sign of UC is a mucosal erythema and edema  As disease progresses, the mucosa becomes granular and friable.  In severe inflammation, the mucosa may be covered by yellow- brown mucopurulent exudates associated with mucosal ulcerations.
  • 67.
  • 70.
    Uses of colonoscopy Determinethe extent and severity of colitis Provide tissue to assist in the diagnosis. Therapeutic use is stricture dilation
  • 71.
    Capsule Enteroscopy Swallows encapsulatedvideo camera Transmits an image to a receiver outside the pt. It is most commonly used for finding obscure sources of GI blood loss, The images can find ulcerations associated with CD if endoscopy and colonoscopy are unrevealing  The major risk is the potential to get lodged at the point of a stricture
  • 72.
    Complications of CD Perforation  Abscess formation  Stricture & small bowel obstruction  Nutritional deficiencies  Cancer: small bowel adenocarinoma  Cancer: colon???
  • 73.
    Complications of UC ToxicMegacolon:  Defined as a transverse or right colon with a diameter of >6 cm, with loss of haustration in patients with severe attacks of UC.  It occurs in about 5% of attacks and  It can be triggered by electrolyte abnormalities and narcotics.  About 50% of acute dilations will resolve with medical therapy alone  Urgent colectomy is required for those that do not improve
  • 74.
    Complicatins of UC Colon adenocarcinoma  After 8–10 years of colitis, annual or biannual surveillance colonoscopy with multiple biopsies at regular intervals should be performed  extensive mucosal involvement (pancolitis)  family history of carcinoma of the colon.  Perforation  Massive hemorrhage
  • 75.
  • 76.
  • 77.
    INVESTIGATIONS Crohn’s disease Ulcerativecolitis BloodTest •CP with morphology: Normocytic normocromic anemia of CHRONIC disease •Serum B12 level may be low. •Raised ESR, CRP and raisedWBC count. •Hypo albuminaemia. •Blood culture in septicaemia. •Fe deficiency anemia •Raised white cell and platelet count •Raised ESR, CRP •Hypo albuminaemia SerologicalTest • Saccharomyces cerevisiae antibody is usually present •P-ANCA positive in 5 – 10 % •P-ANCA positive in 60 – 70 % •ASCA positive in 10 – 15 % Stool culture •Should always be performed in both to rule out infective cause
  • 78.
    CONTD.. Crohn’s Disease UlcerativeColitis Radiography PlainABD. X-ray: •Loss of haustral markings and shortening of bowel Is seen in sever lession. •Narrowing of bowel lumen is seen Ultrasound: •Thickened small bowel loops and mesentery or abscess •Thickening of colonic wall and presence of free fluid in abdominal cavity Barium Enema (contraindicated in toxic megacolon) •Skip lesions •Rose thorn appearance •String appearance •Cobble stone appearance •Omega sign are also seen •Ulcerations •Pseudopolyps •Loss of haustration •Shortening of bowel is seen
  • 79.
    CONTD.. Crohns disease Ulcerativecolitis Instant Barium enema •Patchy sup. Ulceration to wide spread deep •Cobble stone appearance and narrowing •Superficial ulcers •Shortened and narrowed colon in long standing disease Colonoscopy •Fissures and fistulae •Pseudopolyps •Mucosal granularity and hyperemia High resolution USG. And spiral CT •Radionuclide scan with gallium labeled polymorphs or indium or technetium labeled leucocytes •Capsule imaging of the gut. •Radionuclide scan used to assess colonic inflammation Stricture evaluation and dilation complicated Lesser complicated