Inflammatory Bowel Disease
Dr. Shivshankar Swamy M S
 Definitions
 History
 Epidemiology
 Pathophysiology
 Clinical features
 Diagnosis with differentials
 Complications
 Management of disease
 Ongoing research
IBD
Inflammatory bowel disease is an idiopathic inflammatory
intestinal disease resulting from an inappropriate immune
activation to host intestinal microflora.
Types of IBD are
 Ulcerative colitis
 Crohn’s disease
 Indeterminate colitis
History
 Morgagni provided a description of intestinal inflammation
characteristic of Crohn's disease in 1761.
 After the identification of the tubercle bacillus by Koch in
1882 it was possible to describe persons with ileocecal disease
similar to intestinal tuberculosis but lacking the organism.
 In 1932, the landmark publication of Crohn, Ginzburg, and
Oppenheimer called attention to “terminal ileitis” as a distinct
entity and chronic disease.
History
 The term “Regional enteritis” embraced the focal nature of the
process, but failed to incorporate knowledge of the possibility
of disparate sites of involvement within the GI tract and
multisystemic nature.
 The term “Granulomatous enterocolitis” lost acceptance when
it became clear that granulomas were not a sine qua non of the
diagnosis.
History
 The name “Crohn's disease” has been adopted to encompass
the many clinical presentations of this pathologic entity. But for
the alphabetic priority these authors chose Crohn's disease.
 IT might well have been Ginzburg's or Oppenheimer's disease.
Epidemiology
 The incidence of UC is 3 times higher than that of CD. But
recent data suggest that the incidence of CD is increasing.
 The highest rates of IBD are seen in developed countries, and
the lowest in the developing regions;
Racial, sexual, and age-related differences
 Highest rates are seen in the Jewish populations
 The M:F ratio is approximately 1:1 for UC and females having
a slightly greater incidence in CD
 The age distribution of newly diagnosed IBD cases has double
peak, the 1st peak in people aged 15-40 years. A 2nd smaller
peak in patients aged 55-65 years
Two major types of IBD
 Crohn’s disease
 Incidence – 5.8 per 100,000 persons
 Prevalence - 116 per 100,000 persons
 Ulcerative colitis
 Incidence – 7.8 per 100,000 persons
 Prevalence - 156 per 100,000 persons
 Minnesota study, 2009
Indian perspective
 Probert CS and colleagues found out that the minimum
incidence on CD is 0.14/1lakh persons-years,
 Hindus have a much lower incidence of CD than Europeans
Recent series on Crohn’s disease from India
Incidence and prevalence of ulcerative colitis in Punjab,
North India
A Sood, V Midha, N Sood, A S Bhatia, and G Avasthi
 Crude prevalence rate- 44.3/ 100,000 inhabitants
 Crude incidence rate- 6.02 cases/ 100,000 inhabitants
Etiopathogenisis
Genetic
susceptibility
Environmental
factors
Host immunity
Genetics
 Increased risk among first-degree relatives is 14 to 15 times
higher than that of the general population
 Jews are at a 2-4 fold higher risk of developing IBD than non-
Jews of the same geographic location
 Studies in twins suggest that genetics is a more powerful
determinant of disease for CD(67%) than for UC(13%).
Genetics
Crohn’s disease Ulcerative colitis
 anti-OmpC ab is more common
among healthy family
members of CD probands
 3 imp. pathways in
pathogenesis of CD
1. NOD2/CARD15
2. Autophagy-related
genes
3. Interleukin (IL)-23
1. MDR 1
2. HLA-DR1
3. HLA-DR3,DQ2
ENVIRONMENTAL FACTORS
 Rising incidence of Crohn's disease
 Associated with higher socioeconomic status
 Breast-feeding to be protective for IBD
 Increased risk among women who use OCPs
 Increased intake of refined sugars and a paucity of fresh fruits
and vegetables
ENVIRONMENTAL FACTORS
 UC is more common among nonsmokers than current
smokers, whereas CD is more prevalent among smokers
 UC is more common in current light smokers than in heavy
smokers
 Several infectious organisms, including mycobacteria and
viruses, have been implicated in the pathogenesis of IBD
Humoral Immunity
 A marked increase in the number of plasma cells
 Proportional increase occurs in immunoglobulin Ig G synthesis
 IgG synthesis in UC is in the IgG1 and IgG3 subclasses,
whereas in CD it is IgG2
 Autoantibody in UC patients is pANCA, whereas in CD, Anti-
CBir1, Anti-OmpC or Anti I2 antibodies are seen.
Cellular Immunity
 Bacteria prompt immune responses through PRRs
 Activation of the PRRs results in downstream activation of NF-
κB, which then stimulates the transcription of various
proinflammatory cytokines
 Based on the cytokines they produce, CD4+ T cells have been
divided into three major immune phenotypes:
 T helper 1 – CD (IL-12)
 T helper 2 - UC
 T helper 17 (IL-23)
Pathology of CD
 Focal intestinal inflammation is the pathologic hallmark of CD
 Characterised by presence of aphthae on a background
uninvolved bowel
 Minute superficial ulcers, ranging from barely visible to 3 mm,
and are surrounded by a halo of erythema
 Coalesce into Linear or serpiginous ulcers with a stellate
appearance.
 Cobblestoned appearance
Crohn’s Disease
Crohn’s Disease
 Intestinal inflammation in CD is a transmural process
 The location of disease,
 35 – 50 % - both ileum and colon.
 35 % - small intestine
 15- 30% - isolated colonic disease
 Large ulcers, sinus tracts, and strictures, adhesion of bowel
loops are late features of CD
 fat wrapping - creeping of mesenteric fat onto the serosal
surface of the bowel.
Microscopic findings
 Granulomas are highly characteristic of CD
 Prevalence of granulomas in CD
 15% in endoscopic series
 70% in surgical series
 Pyloric metaplasia
 The presence of lymphoid aggregates in the submucosa and
external to the muscularis propria is a reliable sign of CD even
when granulomas are not seen
 TNF is the key cytokine in the formation of granulomas.
Granuloma
Ulcerative colitis
 At the time of initial presentation, approximately
 45% -limited to the rectosigmoid,
 35% - extending beyond the sigmoid
 20% of patients have pancolitis
 Continuous and symmetrical involvement
 Mucosa appears hyperemic, edematous, and granular in mild
disease becomes hemorrhagic, with visible punctate ulcers as it
progresses.
 In long-standing UC.
 Epithelial regeneration with recurrent attacks results in the
formation of pseudopolyps
 Atrophic and featureless colonic mucosa, associated with
shortening and narrowing of the colon
Microscopy
 Inflammation in UC characteristically is confined to the
mucosa
 Neutrophilic infiltration of colonic crypts leads to cryptitis &
crypt abscesses
 Cryptitis is associated with discharge of mucus from goblet
cells. Results in the characteristic histopathology of goblet cell
mucin depletion, formation of exudates, and epithelial cell
necrosis.
 Crypt architectural distortion or dropout of glands.
Clinical features
Manifestations of inflammatory bowel disease
 Recurrent abdominal pain and diarrhoea.
 Cramping
 Irregular bowel habits, passage of mucus without blood or pus
 Grossly bloody stools, occasionally with tenesmus: Typical of
UC, less common in CD
 Growth retardation and delayed or failed sexual maturation in
children
 Perianal disease in 50% of patients with CD
Patients with UC
 Rectal bleeding
 Frequent stools- Mucous discharge from the rectum
 Tenesmus (occasionally)
 Lower abdominal pain and severe dehydration from purulent
rectal discharge (in severe cases, especially in the elderly)
WHO- symptoms suggestive of inflamed GIT
 Diarrhea: mucus or blood may be present in the stool; can
occur at night; incontinence may occur.
 Constipation: this may be the primary symptom in UC
limited to the rectum; obstipation may occur and may
proceed to bowel obstruction
 Bowel movement abnormalities: pain or rectal bleeding
may be present, as well as severe urgency and tenesmus
 Abdominal cramping and pain: commonly present in the
right lower quadrant in CD; occur periumbilically or in the
left lower quadrant in moderate to severe UC
 Nausea and vomiting: occurs more often in CD than in UC
 Systemic symptoms
 Weight loss
 Fever
 Sweats
 Malaise
 Arthralgias
 A low-grade fever may be the first warning sign of a flare.
Signs
 Fever
 Tachycardia
 Dehydration
 Toxicity
 Pallor, anemia
 Toxic megacolon: patients appear septic, high fever with chills
tachycardia & increasing abdominal tenderness & distention
 Mass in the right lower abdominal quadrant: May be present in
CD
Perianal disease of CD
1. Skin lesions- include maceration, superficial ulcers,
abscesses, and skin tags
 type 1 (elephant ears) are typically soft and painless and
large
 type 2 are typically edematous, hard, and tender.
2. Anal canal lesions - fissures, ulcers, and stenosis
3. Perianal fistulas.
Unusual Presentations of CD
 Gastroduodenal - H-pylori-negative peptic ulcer disease,
dyspepsia or epigastric pain as the primary symptoms
 Esophageal - < 2% of patients.
 Dysphagia, odynophagia, substernal chest pain, and
heartburn
 Mouth ulcers
 Esophageal stricture and esophagobronchial fistula
 acute granulommatous appendicitis -
DISEASE BEHAVIOR IN CD
 Aggressive fistulizing disease
 anti-OMPC
 pANCA
 25% of pts present with an intra-abdominal abscess
 Indolent cicatrizing disease
 NOD2 variants
 anti-CBir1
 Anti I2
Aggressive fistulizing disease
 Fistulas are manifestations of the transmural nature of CD
 Perianal fistulas are common and occur in 15% to 35% of
patients.
 Enterovaginal fistulas occur in women
 Enterovesicular - recurrent polymicrobial UTI or as frank
pneumaturia and fecaluria.
 Enterocutaneous fistula after appendectomy
 Other types- enteroenteric, enterocolonic, and colocolonic
fistulas
Stricture
 Stricture is another characteristic complication of long-standing
inflammation
 Symptoms can include colicky, postprandial abdominal pain
and bloating, punctuated by more-severe episodes, and often
culminating in complete obstruction.
 String sign - markedly narrowed bowel segment amid widely
spaced bowel loops
CDAI
 In remission <150
 Mild-moderate 150-220
 Moderate-severe 220-450
 Fulminant >450
Ulcerative Colitis: Disease
Presentation
Mild Moderate Severe
Bowel movements <4/day 4-6/day >6/day
Blood in stools Small Moderate Severe
Tachycardia None <90/min >90/min
Fever None <99.5F >99.5F
Anemia Mild Moderate Severe
ESR <30 >30
Endoscopy Erythema,
decreased vascular
pattern, fine
granularity
Marked erythema,
coarse granularity,
absent vascular
markings, contact
bleeding, no
ulcerations
Spontaneous
bleeding,
ulcerations
EXTRAINTESTINAL MANIFESTATIONS
Musculoskeletal
 Clubbing
 Arthritic manifestations
 Peripheral arthropathy - 16% to 20%
 Pauciarticular arthropathy (type I, affecting four or fewer joints)
 Polyarticular arthropathy (type II, with five or more joints
affected)
 Axial arthropathies - 3% to 10%
 Metabolic bone disease
 Granulomatous vasculitis, periostitis and amyloidosis.
Mucocutaneous
 Pyoderma gangrenosum
 Erythema nodosum
 Granulomatous inflammation of the skin
 Aphthous ulcers of the mouth
 Angular cheilitis
Pyoderma Gangrenosum
Erythema
Nodosum
Ocular
 Occur in 6% of patients .
 Episcleritis
 Scleritis
 Uveitis - the posterior segment
 Keratopathy and night blindness
Hepatobiliary
 Gallstones
 Asymptomatic and mild elevations of liver biochemical tests
 PSC more often is associated with UC
 autoimmune hepatitis.
Vascular
 venous thromboembolism
 arterial thrombosis.
Renal and Genitourinary
 Inflammatory entrapment of the ureter
 Uric acid and oxalate stones.
 Membranous nephropathy &Glomerulonephritis
 Renal amyloidosis.
 . Penile and vulvar edema
DIFFERENTIAL DIAGNOSIS
 Intestinal tuberculosis
 Irritable bowel syndrome
 Anorexia Nervosa &Bulimia
 Ischemic bowel disease
 Neoplasia, including carcinoma and lymphoma
 Infectious diarrheas & Clostridium Difficile Colitis
 Celiac Sprue
 Collagenous and Lymphocytic Colitis
Abdominal pain, gastrointestinal bleeding, and/or intestinal
ulceration
 Ischemic colitis
 Intestinal tuberculosis
 Radiation-induced colitis
 Arteriovenous malformations
 NSAID enteropathy
 Behcet disease
 Colorectal malignancy
Diarrhea
 AIDS
 Celiac disease
 Microscopic colitis
 Irritable bowel syndrome
 Lactose intolerance
 Functional diarrhea
 Gastrointestinal infections
 Behcet disease
 Colorectal malignancy
Investigations
Investigations
 CBC
 Nutritional evaluation: Vitamin B12 , iron studies, folate &
other nutritional markers
 ESR and CRP levels
 Fecal calprotectin level
 Serologic studies: pANCA, ASCA, anti-CBir1
 Stool studies: Stool R/M, C/S, evaluation for Clostridium
difficile toxin
Imaging studies
 Upright chest and abdominal radiography
 Barium double-contrast enema radiographic studies
 Abdominal ultrasonography
 Abdominal/pelvic computed tomography scanning/magnetic
resonance imaging with enterography
 Colonoscopy, with biopsies of tissue/lesions
 Upper gastrointestinal endoscopy
 Capsule enteroscopy/double balloon enteroscopy
Plain radiograph
 In severe disease, the luminal margin of the colon becomes
edematous and irregular.
 Thickening of the colonic wall often is apparent on a plain film
 Plain films also are useful for detecting the presence of fecal
material.
 The presence of marked colonic dilatation suggests fulminant
colitis or toxic megacolon.
Toxic megacolon
Barium studies
 Aphthous ulcers, a coarse villus mucosal pattern, and thickened
folds.
 Pseudo sacculation of the antimesenteric border
 Cobblestone appearance
 Fistulas, sinus tracts, and fixed strictures
 The earliest radiologic change of UC seen is fine mucosal
granularity
Crohn’s colitis
String sign
lead-pipe or stove-pipe appearance
CT Enterography
The sensitivity - 82%
specificity - 89%
accuracy - 85%.
 Mural enhancement
 Mesenteric fat stranding
 The comb sign
 Pseudosacculations
Comb sign
MR enterography
 Intestinal wall thickening, submucosal edema, vasa recta
engorgement, and lymphadenopathy are signs of active diseas
 FIESTA images can add information regarding the functional
status of fibrotic segment
 MRI images yield a diagnostic accuracy of 91%.
Enteroscopy
 Aphthous ulcers
 Mucosal edema
 Cobblestoning
 Luminal narrowing
 Rectal sparing is more specific before treatment has been
initiated.
 Skip lesions - Crohn’s does not affect the intestinal mucosa in
a continuous fashion
Colonoscopy
 The hallmark of UC is continuous inflammation that begins in
the rectum.
 The earliest endoscopic sign of UC is a mucosal erythema and
edema
 As disease progresses, the mucosa becomes granular and
friable.
 In severe inflammation, the mucosa may be covered by yellow-
brown mucopurulent exudates associated with mucosal
ulcerations.
Ulcerative Colitis
Uses of colonoscopy
 Determine the extent and severity of colitis
 Provide tissue to assist in the diagnosis.
 Therapeutic use is stricture dilation
Tablet Enteroscopy
 Swallows encapsulated video camera
 Transmits an image to a receiver outside the pt.
 It is most commonly used for finding obscure sources of GI
blood loss,
 The images can find ulcerations associated with CD if
endoscopy and colonoscopy are unrevealing
 The major risk is the potential to get lodged at the point of
a stricture
Complications of CD
 Perforation
 Abscess formation
 Stricture & small bowel obstruction
 Nutritional deficiencies
 Cancer: small bowel adenocarinoma
 Cancer: colon???
Complications of UC
Toxic Megacolon:
 Defined as a transverse or right colon with a diameter of
>6 cm, with loss of haustration in patients with severe
attacks of UC.
 It occurs in about 5% of attacks and
 It can be triggered by electrolyte abnormalities and
narcotics.
 About 50% of acute dilations will resolve with medical
therapy alone
 Urgent colectomy is required for those that do not improve
Complicatins of UC
 Colon adenocarcinoma
 After 8–10 years of colitis, annual or biannual surveillance
colonoscopy with multiple biopsies at regular intervals should be
performed
 extensive mucosal involvement (pancolitis)
 family history of carcinoma of the colon.
 Perforation
 Massive hemorrhage
IBD - Treatment
 Medications used in treatment
 5- ASA
 Antibiotics
 Glucocorticoids
 Immune modulators
 Biologics
5- ASA
 Mainstay of therapy for mild to moderate UC and CD
 Effective at inducing remission in both UC and CD( ?)
 Maintains remission in UC
 No role in maintenance of CD
Side effects
Sulfasalazine Anorexia, dyspepsia, nausea and
vomiting
Hemolysis
Neutropenia-Agranulocytosis
Folate deficiency
Reversible male infertility
Neuropathy
Sulfa-free 5-ASAs (mesalamine,
olsalazine, balsalazide)
Headache; drug fever; rash; paradoxical
disease exacerbation; pancreatitis;
hepatitis; pericarditis; pneumonitis;
nephritis; secretory diarrhea (olsalazine)
Antibiotics
 To treat perianal disease, fistulas, and active luminal Crohn's
disease.
 Beneficial in healing perianal fistulas.
 Metronidazole demonstrated a prophylactic effect on
endoscopic and clinical recurrence at one year
 Ciprofloxacin 1 g/day to be equivalent to mesalamine 4 g/day
in achieving remission of mild to moderately active CD at
week 6
 Combination was comparable with glucocorticoids in
achieving remission over 12 weeks
Glucocorticoids
 Moderate-to-severe cases benefit from glucocorticoids.
 Oral prednisone is started at doses of 40–60 mg/d
 Parenteral glucocorticoids
 Hydrocortisone- 300mg/d
 Methylprednisolone - 40–60 mg/d
 Topically applied glucocorticoids are also beneficial for distal
colitis
 Budesonide is used for 2–3 months at a dose of 9 mg/d, then
tapered.(entocort)
 No role in maintenance therapy in either UC or CD.
Pearls of glucocorticoid use
 Use an effective dose
 Do not overdose.
 Do not treat for excessively short periods.
 Do not treat for excessively long periods.
 Anticipate side effects.
 Patients are candidates for immunomodulators or anti-TNF
agents
 If flares are frequent (>1-2 times),
 If the duration of steroid use is prolonged
 If reduction of the steroid dose causes recurrence
of symptoms(steroid dependent),
 If steroids do not appear to be working (steroid refractory)
AZATHIOPRINE AND 6-MERCAPTOPURINE
 Purine analogs that interfere with nucleic acid metabolism
 Azathioprine - 2.0 to 2.5 mg/kg/day
 6-MP -1.0 to 1.5 mg/kg/day
 Used in patients with IBD in whom remission is difficult to
maintain with the ASA alone
 Used as glucocorticoid- sparing agents in upto 2/3rds of pts
 Patients who failed with antibiotics for a fistula
Selection of Pt. for Azathioprine
 AGA recommends that Pts should undergo an assessment of
the thiopurine methyltransferase genotype before starting
therapy with AZA or 6-MP.
 Individuals who have low enzyme activity or are homozygous
deficient in the TPMT mutation are at risk of very severe
leukopenia, with potential septic complications, and are not be
good candidates for therapy with these drugs.
how long to continue?
A randomized, controlled trial demonstrated a clinical relapse
rate of 21%, 18 months after withdrawal of azathioprine in
patients who had been in remission for at least 3.5 years on the
drug, compared with a relapse rate of only 8% in the group
who continued azathioprine.`
Side effects
 Abnormal liver biochemical test results- LFT
 Bone marrow suppression- CBC
 Hypersensitivity reactions (fever, rash, arthralgia)
 Infections
 Lymphoma
 Nausea, abdominal pain, diarrhea
 Pancreatitis
Methotrexate
 Dihydrofolate reductase inhibitor
 IM or SC MTX (25 mg/week) is effective in inducing
remission and reducing glucocorticoid dosage;
 15 mg/week is effective in maintaining remission in active CD.
 Potential toxicities include leukopenia, hepatic fibrosis and
Hypersensitivity pneumonitis
CYCLOSPORINE
 Lipophilic peptide with an inhibitory effects on both the
cellular and humoral immune systems.
 Dose is 2–4 mg/kg per day IV, in severe UC that is refractory
to IV glucocorticoid
 Hypertension, gingival hyperplasia, hypertrichosis,
paresthesias, tremors, headaches, and electrolyte abnormalities
are common side effects.
 Renal function and seizures are dose limiting side effects
BIOLOGIC THERAPIES
Anti-TNF therapy
 Infliximab, Adalimumab & certolizumab pegol
 Treatment of moderate to severe active CD or UC.
 Effective in CD patients with refractory perianal and
enterocutaneous fistulas
 If a patient does not have an initial response , currently it is
considered futile to try another.
Infliximab
 INDUCTION- 3 separate infusions of 5 mg/kg for moderate to
severe IBD at weeks 0, 2, and 6
 MAINTENANCE- infusions every 8 weeks
 Before anti-TNF agents are administered, screening should be
done for coexistent infection with perianal and abdominal
abscess (includingMycobacterium tuberculosis), and caution is
advised if a patient is a carrier for the hepatitis B virus.
 Risk factors for relapse include
 male sex
 leukocyte count > 6.0 109/L
 CRP > 5.0 mg/L
 Fecal calprotectin > 300 µg/g.
Side effects
 The FDA reviewed 147 postmarketing reports of leukemia and
69 cases of new-onset psoriasis
 Other morbidities
 acute infusion reactions
 severe serum sickness.
 infections.
 optic neuritis,
 seizures,
 new-onset or exacerbation of MS
Novel therapies
CD
 T-cell marker therapies
 mesenchymal stem cells
 Thalidomide
 Interleukin (IL)-11
 UC -
 Anti-inflammatory
proteins
 Nicotine patch
 butyrate enema
 Heparin
Step up approach
 Step I – Aminosalicylates -For treating flares and maintaining
remission; more effective in UC than in CD
 Step IA – Antibiotics:
 Used sparingly in UC (limited efficacy, increased risk for
antibiotic-associated pseudomembranous colitis);
 In CD, most commonly used for perianal disease, fistulas,
intra-abdominal inflammatory masses
 Step II – Corticosteroids (intravenous, oral, topical, rectal): For
acute disease flares only
 Step III – Immunomodulators: Effective for steroid-sparing
action in refractory disease; primary treatment for fistulas and
maintenance of remission in patients intolerant of or not
responsive to aminosalicylates
 Step IV – : Tend to be disease-specific (ie, an agent works for
CD but not for UC, or vice versa)
Management of remission
 A general rule of thumb is that once remission is achieved, the
medications used to achieve remission should be continued,
except steroids, which should be tapered off, because they have
no role in maintaining remission
Adjunctive Therapies
 Antidiarrheal (diphenoxylate and atropine, loperamide,
cholestyramine)
 anticholinergic agents(eg, dicyclomine, hyoscyamine)
 Vitamin supplementation
 Iron supplementation
 Smoking cessation in CD pts
 Patients with active CD respond to bowel rest, along with TPN,
but does not reduce inflammation in UC.
 Probiotics, Prebiotics, and Synbiotics
Surgery
 Indications for urgent surgery
Toxic megacolon refractory to medical management
Fulminant attack refractory to medical management
Uncontrolled colonic bleeding
 Indications for elective surgery
Long-term steroid dependence
Dysplasia or adenocarcinoma found on screening
biopsy
Disease present 7-10 years
Surgical intervention in IBD includes the following:
 UC: Proctocolectomy with ileostomy, total proctocolectomy
with ileoanal anastomosis, UC is surgically curable
 Fulminant colitis: Surgical procedure of choice is subtotal
colectomy with end ileostomy and creation of a Hartmann
pouch
 CD: Surgery (not curative) most commonly performed in cases
of disease complications;
Pouchitis
 Patients who undergo the IPAA procedure may develop an
idiopathic inflammation termed “pouchitis,”
 which typically presents with variable symptoms of increased
stool frequency, rectal bleeding, abdominal cramping, rectal
urgency, tenesmus, incontinence & fevers.
 Patients who develop typical symptoms and signs of pouchitis
after the IPAA should be treated with a short course of
antibiotics (Evidence A)
Factors influencing disease relapse and remission
 The use of NSAIDs and antibiotics
 Bacterial and viral infections
 Smoking
 Psychosocial stress.
 Both the severity and extent of disease are important
prognostic factors after the first attack of UC.
Thank you
PG Quiz
 Extraintestinal manifestation of IBD are all except?
1. Uveitis
2. Sclerosing cholangitis
3. Osteoarthritis
4. Skin nodules
 Drugs effective in CD are all except
1. 5 ASA
2. Cyclosporine
3. Steroids
4. Antibiotics
 A 41 yr old male present wit recurrent episodes of bloddy
diarrhea for 3 yrs, despite adequate doses of sulfasalzine. He
had several exacerbations requiring steroids to control the
flares. Wat would be the next line of treatment
 Methotrexate
 Azathioprine
 Cyclosporine
 Cyclophosphomide
 Following gene mutations predispose to CD except,
1. NOD2/ CARD !%
2. Autophagy related protein
3. MDR- 1
4. IL- 23 R
 Which of the following features is more commonly associated
with ulcerative colitis than with Crohn’s disease?
 (A) Fistulas
 (B) Rectal bleeding
 (C) Segmental involvement
 (D) An abdominal mass
 (E) Mesenteric lymph node involvement
 A 40-year-old man has a history of ulcerative colitis. Features
of his illness that would contribute to an increased risk of
developing colon cancer include which of the following?
 (A) Disease duration of less than 10 years
 (B) History of toxic megacolon
 (D) Presence of pseudopolyps on colonoscopy
 (E) High steroid requirements
 A 20-year-old woman with a family history of IBD presents
with a history of intermittent right lower quadrant pain and
diarrhea. Colonoscopy shows no evidence of rectal
involvement but does show aphthous ulcerations in the
proximal colon. Of the following serologic markers, which has
a 50% likelihood to be elevated in this situation?
1. Anti-goblet cell autoantibody
2. Elevated titre against Entamoeba histolytica
3. Anti-Saccharomyces cerevisiae antibody
4. pANCA

Inflammatory bowel disease,

  • 1.
    Inflammatory Bowel Disease Dr.Shivshankar Swamy M S
  • 2.
     Definitions  History Epidemiology  Pathophysiology  Clinical features  Diagnosis with differentials  Complications  Management of disease  Ongoing research
  • 3.
    IBD Inflammatory bowel diseaseis an idiopathic inflammatory intestinal disease resulting from an inappropriate immune activation to host intestinal microflora. Types of IBD are  Ulcerative colitis  Crohn’s disease  Indeterminate colitis
  • 4.
    History  Morgagni provideda description of intestinal inflammation characteristic of Crohn's disease in 1761.  After the identification of the tubercle bacillus by Koch in 1882 it was possible to describe persons with ileocecal disease similar to intestinal tuberculosis but lacking the organism.  In 1932, the landmark publication of Crohn, Ginzburg, and Oppenheimer called attention to “terminal ileitis” as a distinct entity and chronic disease.
  • 5.
    History  The term“Regional enteritis” embraced the focal nature of the process, but failed to incorporate knowledge of the possibility of disparate sites of involvement within the GI tract and multisystemic nature.  The term “Granulomatous enterocolitis” lost acceptance when it became clear that granulomas were not a sine qua non of the diagnosis.
  • 6.
    History  The name“Crohn's disease” has been adopted to encompass the many clinical presentations of this pathologic entity. But for the alphabetic priority these authors chose Crohn's disease.  IT might well have been Ginzburg's or Oppenheimer's disease.
  • 7.
    Epidemiology  The incidenceof UC is 3 times higher than that of CD. But recent data suggest that the incidence of CD is increasing.  The highest rates of IBD are seen in developed countries, and the lowest in the developing regions;
  • 8.
    Racial, sexual, andage-related differences  Highest rates are seen in the Jewish populations  The M:F ratio is approximately 1:1 for UC and females having a slightly greater incidence in CD  The age distribution of newly diagnosed IBD cases has double peak, the 1st peak in people aged 15-40 years. A 2nd smaller peak in patients aged 55-65 years
  • 9.
    Two major typesof IBD  Crohn’s disease  Incidence – 5.8 per 100,000 persons  Prevalence - 116 per 100,000 persons  Ulcerative colitis  Incidence – 7.8 per 100,000 persons  Prevalence - 156 per 100,000 persons  Minnesota study, 2009
  • 10.
    Indian perspective  ProbertCS and colleagues found out that the minimum incidence on CD is 0.14/1lakh persons-years,  Hindus have a much lower incidence of CD than Europeans
  • 11.
    Recent series onCrohn’s disease from India
  • 12.
    Incidence and prevalenceof ulcerative colitis in Punjab, North India A Sood, V Midha, N Sood, A S Bhatia, and G Avasthi  Crude prevalence rate- 44.3/ 100,000 inhabitants  Crude incidence rate- 6.02 cases/ 100,000 inhabitants
  • 13.
  • 14.
    Genetics  Increased riskamong first-degree relatives is 14 to 15 times higher than that of the general population  Jews are at a 2-4 fold higher risk of developing IBD than non- Jews of the same geographic location  Studies in twins suggest that genetics is a more powerful determinant of disease for CD(67%) than for UC(13%).
  • 15.
    Genetics Crohn’s disease Ulcerativecolitis  anti-OmpC ab is more common among healthy family members of CD probands  3 imp. pathways in pathogenesis of CD 1. NOD2/CARD15 2. Autophagy-related genes 3. Interleukin (IL)-23 1. MDR 1 2. HLA-DR1 3. HLA-DR3,DQ2
  • 16.
    ENVIRONMENTAL FACTORS  Risingincidence of Crohn's disease  Associated with higher socioeconomic status  Breast-feeding to be protective for IBD  Increased risk among women who use OCPs  Increased intake of refined sugars and a paucity of fresh fruits and vegetables
  • 17.
    ENVIRONMENTAL FACTORS  UCis more common among nonsmokers than current smokers, whereas CD is more prevalent among smokers  UC is more common in current light smokers than in heavy smokers  Several infectious organisms, including mycobacteria and viruses, have been implicated in the pathogenesis of IBD
  • 18.
    Humoral Immunity  Amarked increase in the number of plasma cells  Proportional increase occurs in immunoglobulin Ig G synthesis  IgG synthesis in UC is in the IgG1 and IgG3 subclasses, whereas in CD it is IgG2  Autoantibody in UC patients is pANCA, whereas in CD, Anti- CBir1, Anti-OmpC or Anti I2 antibodies are seen.
  • 19.
    Cellular Immunity  Bacteriaprompt immune responses through PRRs  Activation of the PRRs results in downstream activation of NF- κB, which then stimulates the transcription of various proinflammatory cytokines  Based on the cytokines they produce, CD4+ T cells have been divided into three major immune phenotypes:  T helper 1 – CD (IL-12)  T helper 2 - UC  T helper 17 (IL-23)
  • 20.
    Pathology of CD Focal intestinal inflammation is the pathologic hallmark of CD  Characterised by presence of aphthae on a background uninvolved bowel  Minute superficial ulcers, ranging from barely visible to 3 mm, and are surrounded by a halo of erythema  Coalesce into Linear or serpiginous ulcers with a stellate appearance.  Cobblestoned appearance
  • 21.
  • 22.
  • 23.
     Intestinal inflammationin CD is a transmural process  The location of disease,  35 – 50 % - both ileum and colon.  35 % - small intestine  15- 30% - isolated colonic disease  Large ulcers, sinus tracts, and strictures, adhesion of bowel loops are late features of CD  fat wrapping - creeping of mesenteric fat onto the serosal surface of the bowel.
  • 24.
    Microscopic findings  Granulomasare highly characteristic of CD  Prevalence of granulomas in CD  15% in endoscopic series  70% in surgical series  Pyloric metaplasia  The presence of lymphoid aggregates in the submucosa and external to the muscularis propria is a reliable sign of CD even when granulomas are not seen  TNF is the key cytokine in the formation of granulomas.
  • 25.
  • 26.
    Ulcerative colitis  Atthe time of initial presentation, approximately  45% -limited to the rectosigmoid,  35% - extending beyond the sigmoid  20% of patients have pancolitis  Continuous and symmetrical involvement  Mucosa appears hyperemic, edematous, and granular in mild disease becomes hemorrhagic, with visible punctate ulcers as it progresses.
  • 27.
     In long-standingUC.  Epithelial regeneration with recurrent attacks results in the formation of pseudopolyps  Atrophic and featureless colonic mucosa, associated with shortening and narrowing of the colon
  • 30.
    Microscopy  Inflammation inUC characteristically is confined to the mucosa  Neutrophilic infiltration of colonic crypts leads to cryptitis & crypt abscesses  Cryptitis is associated with discharge of mucus from goblet cells. Results in the characteristic histopathology of goblet cell mucin depletion, formation of exudates, and epithelial cell necrosis.  Crypt architectural distortion or dropout of glands.
  • 32.
  • 33.
    Manifestations of inflammatorybowel disease  Recurrent abdominal pain and diarrhoea.  Cramping  Irregular bowel habits, passage of mucus without blood or pus  Grossly bloody stools, occasionally with tenesmus: Typical of UC, less common in CD  Growth retardation and delayed or failed sexual maturation in children  Perianal disease in 50% of patients with CD
  • 34.
    Patients with UC Rectal bleeding  Frequent stools- Mucous discharge from the rectum  Tenesmus (occasionally)  Lower abdominal pain and severe dehydration from purulent rectal discharge (in severe cases, especially in the elderly)
  • 35.
    WHO- symptoms suggestiveof inflamed GIT  Diarrhea: mucus or blood may be present in the stool; can occur at night; incontinence may occur.  Constipation: this may be the primary symptom in UC limited to the rectum; obstipation may occur and may proceed to bowel obstruction  Bowel movement abnormalities: pain or rectal bleeding may be present, as well as severe urgency and tenesmus  Abdominal cramping and pain: commonly present in the right lower quadrant in CD; occur periumbilically or in the left lower quadrant in moderate to severe UC  Nausea and vomiting: occurs more often in CD than in UC
  • 36.
     Systemic symptoms Weight loss  Fever  Sweats  Malaise  Arthralgias  A low-grade fever may be the first warning sign of a flare.
  • 37.
    Signs  Fever  Tachycardia Dehydration  Toxicity  Pallor, anemia  Toxic megacolon: patients appear septic, high fever with chills tachycardia & increasing abdominal tenderness & distention  Mass in the right lower abdominal quadrant: May be present in CD
  • 38.
    Perianal disease ofCD 1. Skin lesions- include maceration, superficial ulcers, abscesses, and skin tags  type 1 (elephant ears) are typically soft and painless and large  type 2 are typically edematous, hard, and tender. 2. Anal canal lesions - fissures, ulcers, and stenosis 3. Perianal fistulas.
  • 39.
    Unusual Presentations ofCD  Gastroduodenal - H-pylori-negative peptic ulcer disease, dyspepsia or epigastric pain as the primary symptoms  Esophageal - < 2% of patients.  Dysphagia, odynophagia, substernal chest pain, and heartburn  Mouth ulcers  Esophageal stricture and esophagobronchial fistula  acute granulommatous appendicitis -
  • 40.
    DISEASE BEHAVIOR INCD  Aggressive fistulizing disease  anti-OMPC  pANCA  25% of pts present with an intra-abdominal abscess  Indolent cicatrizing disease  NOD2 variants  anti-CBir1  Anti I2
  • 41.
    Aggressive fistulizing disease Fistulas are manifestations of the transmural nature of CD  Perianal fistulas are common and occur in 15% to 35% of patients.  Enterovaginal fistulas occur in women  Enterovesicular - recurrent polymicrobial UTI or as frank pneumaturia and fecaluria.  Enterocutaneous fistula after appendectomy  Other types- enteroenteric, enterocolonic, and colocolonic fistulas
  • 43.
    Stricture  Stricture isanother characteristic complication of long-standing inflammation  Symptoms can include colicky, postprandial abdominal pain and bloating, punctuated by more-severe episodes, and often culminating in complete obstruction.  String sign - markedly narrowed bowel segment amid widely spaced bowel loops
  • 44.
    CDAI  In remission<150  Mild-moderate 150-220  Moderate-severe 220-450  Fulminant >450
  • 45.
    Ulcerative Colitis: Disease Presentation MildModerate Severe Bowel movements <4/day 4-6/day >6/day Blood in stools Small Moderate Severe Tachycardia None <90/min >90/min Fever None <99.5F >99.5F Anemia Mild Moderate Severe ESR <30 >30 Endoscopy Erythema, decreased vascular pattern, fine granularity Marked erythema, coarse granularity, absent vascular markings, contact bleeding, no ulcerations Spontaneous bleeding, ulcerations
  • 46.
  • 47.
    Musculoskeletal  Clubbing  Arthriticmanifestations  Peripheral arthropathy - 16% to 20%  Pauciarticular arthropathy (type I, affecting four or fewer joints)  Polyarticular arthropathy (type II, with five or more joints affected)  Axial arthropathies - 3% to 10%  Metabolic bone disease  Granulomatous vasculitis, periostitis and amyloidosis.
  • 48.
    Mucocutaneous  Pyoderma gangrenosum Erythema nodosum  Granulomatous inflammation of the skin  Aphthous ulcers of the mouth  Angular cheilitis
  • 49.
  • 50.
  • 51.
    Ocular  Occur in6% of patients .  Episcleritis  Scleritis  Uveitis - the posterior segment  Keratopathy and night blindness
  • 52.
    Hepatobiliary  Gallstones  Asymptomaticand mild elevations of liver biochemical tests  PSC more often is associated with UC  autoimmune hepatitis. Vascular  venous thromboembolism  arterial thrombosis.
  • 53.
    Renal and Genitourinary Inflammatory entrapment of the ureter  Uric acid and oxalate stones.  Membranous nephropathy &Glomerulonephritis  Renal amyloidosis.  . Penile and vulvar edema
  • 54.
    DIFFERENTIAL DIAGNOSIS  Intestinaltuberculosis  Irritable bowel syndrome  Anorexia Nervosa &Bulimia  Ischemic bowel disease  Neoplasia, including carcinoma and lymphoma  Infectious diarrheas & Clostridium Difficile Colitis  Celiac Sprue  Collagenous and Lymphocytic Colitis
  • 55.
    Abdominal pain, gastrointestinalbleeding, and/or intestinal ulceration  Ischemic colitis  Intestinal tuberculosis  Radiation-induced colitis  Arteriovenous malformations  NSAID enteropathy  Behcet disease  Colorectal malignancy
  • 56.
    Diarrhea  AIDS  Celiacdisease  Microscopic colitis  Irritable bowel syndrome  Lactose intolerance  Functional diarrhea  Gastrointestinal infections  Behcet disease  Colorectal malignancy
  • 57.
  • 58.
    Investigations  CBC  Nutritionalevaluation: Vitamin B12 , iron studies, folate & other nutritional markers  ESR and CRP levels  Fecal calprotectin level  Serologic studies: pANCA, ASCA, anti-CBir1  Stool studies: Stool R/M, C/S, evaluation for Clostridium difficile toxin
  • 59.
    Imaging studies  Uprightchest and abdominal radiography  Barium double-contrast enema radiographic studies  Abdominal ultrasonography  Abdominal/pelvic computed tomography scanning/magnetic resonance imaging with enterography  Colonoscopy, with biopsies of tissue/lesions  Upper gastrointestinal endoscopy  Capsule enteroscopy/double balloon enteroscopy
  • 60.
    Plain radiograph  Insevere disease, the luminal margin of the colon becomes edematous and irregular.  Thickening of the colonic wall often is apparent on a plain film  Plain films also are useful for detecting the presence of fecal material.  The presence of marked colonic dilatation suggests fulminant colitis or toxic megacolon.
  • 62.
  • 64.
    Barium studies  Aphthousulcers, a coarse villus mucosal pattern, and thickened folds.  Pseudo sacculation of the antimesenteric border  Cobblestone appearance  Fistulas, sinus tracts, and fixed strictures  The earliest radiologic change of UC seen is fine mucosal granularity
  • 65.
  • 66.
  • 67.
  • 68.
    CT Enterography The sensitivity- 82% specificity - 89% accuracy - 85%.  Mural enhancement  Mesenteric fat stranding  The comb sign  Pseudosacculations
  • 70.
  • 71.
    MR enterography  Intestinalwall thickening, submucosal edema, vasa recta engorgement, and lymphadenopathy are signs of active diseas  FIESTA images can add information regarding the functional status of fibrotic segment  MRI images yield a diagnostic accuracy of 91%.
  • 73.
    Enteroscopy  Aphthous ulcers Mucosal edema  Cobblestoning  Luminal narrowing  Rectal sparing is more specific before treatment has been initiated.  Skip lesions - Crohn’s does not affect the intestinal mucosa in a continuous fashion
  • 75.
    Colonoscopy  The hallmarkof UC is continuous inflammation that begins in the rectum.  The earliest endoscopic sign of UC is a mucosal erythema and edema  As disease progresses, the mucosa becomes granular and friable.  In severe inflammation, the mucosa may be covered by yellow- brown mucopurulent exudates associated with mucosal ulcerations.
  • 76.
  • 77.
    Uses of colonoscopy Determine the extent and severity of colitis  Provide tissue to assist in the diagnosis.  Therapeutic use is stricture dilation
  • 78.
    Tablet Enteroscopy  Swallowsencapsulated video camera  Transmits an image to a receiver outside the pt.  It is most commonly used for finding obscure sources of GI blood loss,  The images can find ulcerations associated with CD if endoscopy and colonoscopy are unrevealing  The major risk is the potential to get lodged at the point of a stricture
  • 79.
    Complications of CD Perforation  Abscess formation  Stricture & small bowel obstruction  Nutritional deficiencies  Cancer: small bowel adenocarinoma  Cancer: colon???
  • 80.
    Complications of UC ToxicMegacolon:  Defined as a transverse or right colon with a diameter of >6 cm, with loss of haustration in patients with severe attacks of UC.  It occurs in about 5% of attacks and  It can be triggered by electrolyte abnormalities and narcotics.  About 50% of acute dilations will resolve with medical therapy alone  Urgent colectomy is required for those that do not improve
  • 81.
    Complicatins of UC Colon adenocarcinoma  After 8–10 years of colitis, annual or biannual surveillance colonoscopy with multiple biopsies at regular intervals should be performed  extensive mucosal involvement (pancolitis)  family history of carcinoma of the colon.  Perforation  Massive hemorrhage
  • 82.
    IBD - Treatment Medications used in treatment  5- ASA  Antibiotics  Glucocorticoids  Immune modulators  Biologics
  • 84.
    5- ASA  Mainstayof therapy for mild to moderate UC and CD  Effective at inducing remission in both UC and CD( ?)  Maintains remission in UC  No role in maintenance of CD
  • 86.
    Side effects Sulfasalazine Anorexia,dyspepsia, nausea and vomiting Hemolysis Neutropenia-Agranulocytosis Folate deficiency Reversible male infertility Neuropathy Sulfa-free 5-ASAs (mesalamine, olsalazine, balsalazide) Headache; drug fever; rash; paradoxical disease exacerbation; pancreatitis; hepatitis; pericarditis; pneumonitis; nephritis; secretory diarrhea (olsalazine)
  • 87.
    Antibiotics  To treatperianal disease, fistulas, and active luminal Crohn's disease.  Beneficial in healing perianal fistulas.  Metronidazole demonstrated a prophylactic effect on endoscopic and clinical recurrence at one year  Ciprofloxacin 1 g/day to be equivalent to mesalamine 4 g/day in achieving remission of mild to moderately active CD at week 6  Combination was comparable with glucocorticoids in achieving remission over 12 weeks
  • 88.
    Glucocorticoids  Moderate-to-severe casesbenefit from glucocorticoids.  Oral prednisone is started at doses of 40–60 mg/d  Parenteral glucocorticoids  Hydrocortisone- 300mg/d  Methylprednisolone - 40–60 mg/d  Topically applied glucocorticoids are also beneficial for distal colitis  Budesonide is used for 2–3 months at a dose of 9 mg/d, then tapered.(entocort)  No role in maintenance therapy in either UC or CD.
  • 89.
    Pearls of glucocorticoiduse  Use an effective dose  Do not overdose.  Do not treat for excessively short periods.  Do not treat for excessively long periods.  Anticipate side effects.
  • 90.
     Patients arecandidates for immunomodulators or anti-TNF agents  If flares are frequent (>1-2 times),  If the duration of steroid use is prolonged  If reduction of the steroid dose causes recurrence of symptoms(steroid dependent),  If steroids do not appear to be working (steroid refractory)
  • 91.
    AZATHIOPRINE AND 6-MERCAPTOPURINE Purine analogs that interfere with nucleic acid metabolism  Azathioprine - 2.0 to 2.5 mg/kg/day  6-MP -1.0 to 1.5 mg/kg/day  Used in patients with IBD in whom remission is difficult to maintain with the ASA alone  Used as glucocorticoid- sparing agents in upto 2/3rds of pts  Patients who failed with antibiotics for a fistula
  • 92.
    Selection of Pt.for Azathioprine  AGA recommends that Pts should undergo an assessment of the thiopurine methyltransferase genotype before starting therapy with AZA or 6-MP.  Individuals who have low enzyme activity or are homozygous deficient in the TPMT mutation are at risk of very severe leukopenia, with potential septic complications, and are not be good candidates for therapy with these drugs.
  • 93.
    how long tocontinue? A randomized, controlled trial demonstrated a clinical relapse rate of 21%, 18 months after withdrawal of azathioprine in patients who had been in remission for at least 3.5 years on the drug, compared with a relapse rate of only 8% in the group who continued azathioprine.`
  • 94.
    Side effects  Abnormalliver biochemical test results- LFT  Bone marrow suppression- CBC  Hypersensitivity reactions (fever, rash, arthralgia)  Infections  Lymphoma  Nausea, abdominal pain, diarrhea  Pancreatitis
  • 95.
    Methotrexate  Dihydrofolate reductaseinhibitor  IM or SC MTX (25 mg/week) is effective in inducing remission and reducing glucocorticoid dosage;  15 mg/week is effective in maintaining remission in active CD.  Potential toxicities include leukopenia, hepatic fibrosis and Hypersensitivity pneumonitis
  • 96.
    CYCLOSPORINE  Lipophilic peptidewith an inhibitory effects on both the cellular and humoral immune systems.  Dose is 2–4 mg/kg per day IV, in severe UC that is refractory to IV glucocorticoid  Hypertension, gingival hyperplasia, hypertrichosis, paresthesias, tremors, headaches, and electrolyte abnormalities are common side effects.  Renal function and seizures are dose limiting side effects
  • 97.
  • 98.
    Anti-TNF therapy  Infliximab,Adalimumab & certolizumab pegol  Treatment of moderate to severe active CD or UC.  Effective in CD patients with refractory perianal and enterocutaneous fistulas  If a patient does not have an initial response , currently it is considered futile to try another.
  • 99.
    Infliximab  INDUCTION- 3separate infusions of 5 mg/kg for moderate to severe IBD at weeks 0, 2, and 6  MAINTENANCE- infusions every 8 weeks  Before anti-TNF agents are administered, screening should be done for coexistent infection with perianal and abdominal abscess (includingMycobacterium tuberculosis), and caution is advised if a patient is a carrier for the hepatitis B virus.
  • 100.
     Risk factorsfor relapse include  male sex  leukocyte count > 6.0 109/L  CRP > 5.0 mg/L  Fecal calprotectin > 300 µg/g.
  • 101.
    Side effects  TheFDA reviewed 147 postmarketing reports of leukemia and 69 cases of new-onset psoriasis  Other morbidities  acute infusion reactions  severe serum sickness.  infections.  optic neuritis,  seizures,  new-onset or exacerbation of MS
  • 102.
    Novel therapies CD  T-cellmarker therapies  mesenchymal stem cells  Thalidomide  Interleukin (IL)-11  UC -  Anti-inflammatory proteins  Nicotine patch  butyrate enema  Heparin
  • 103.
    Step up approach Step I – Aminosalicylates -For treating flares and maintaining remission; more effective in UC than in CD  Step IA – Antibiotics:  Used sparingly in UC (limited efficacy, increased risk for antibiotic-associated pseudomembranous colitis);  In CD, most commonly used for perianal disease, fistulas, intra-abdominal inflammatory masses
  • 104.
     Step II– Corticosteroids (intravenous, oral, topical, rectal): For acute disease flares only  Step III – Immunomodulators: Effective for steroid-sparing action in refractory disease; primary treatment for fistulas and maintenance of remission in patients intolerant of or not responsive to aminosalicylates  Step IV – : Tend to be disease-specific (ie, an agent works for CD but not for UC, or vice versa)
  • 105.
    Management of remission A general rule of thumb is that once remission is achieved, the medications used to achieve remission should be continued, except steroids, which should be tapered off, because they have no role in maintaining remission
  • 106.
    Adjunctive Therapies  Antidiarrheal(diphenoxylate and atropine, loperamide, cholestyramine)  anticholinergic agents(eg, dicyclomine, hyoscyamine)  Vitamin supplementation  Iron supplementation  Smoking cessation in CD pts  Patients with active CD respond to bowel rest, along with TPN, but does not reduce inflammation in UC.  Probiotics, Prebiotics, and Synbiotics
  • 107.
    Surgery  Indications forurgent surgery Toxic megacolon refractory to medical management Fulminant attack refractory to medical management Uncontrolled colonic bleeding  Indications for elective surgery Long-term steroid dependence Dysplasia or adenocarcinoma found on screening biopsy Disease present 7-10 years
  • 108.
    Surgical intervention inIBD includes the following:  UC: Proctocolectomy with ileostomy, total proctocolectomy with ileoanal anastomosis, UC is surgically curable  Fulminant colitis: Surgical procedure of choice is subtotal colectomy with end ileostomy and creation of a Hartmann pouch  CD: Surgery (not curative) most commonly performed in cases of disease complications;
  • 109.
    Pouchitis  Patients whoundergo the IPAA procedure may develop an idiopathic inflammation termed “pouchitis,”  which typically presents with variable symptoms of increased stool frequency, rectal bleeding, abdominal cramping, rectal urgency, tenesmus, incontinence & fevers.  Patients who develop typical symptoms and signs of pouchitis after the IPAA should be treated with a short course of antibiotics (Evidence A)
  • 110.
    Factors influencing diseaserelapse and remission  The use of NSAIDs and antibiotics  Bacterial and viral infections  Smoking  Psychosocial stress.  Both the severity and extent of disease are important prognostic factors after the first attack of UC.
  • 113.
  • 114.
    PG Quiz  Extraintestinalmanifestation of IBD are all except? 1. Uveitis 2. Sclerosing cholangitis 3. Osteoarthritis 4. Skin nodules
  • 115.
     Drugs effectivein CD are all except 1. 5 ASA 2. Cyclosporine 3. Steroids 4. Antibiotics
  • 116.
     A 41yr old male present wit recurrent episodes of bloddy diarrhea for 3 yrs, despite adequate doses of sulfasalzine. He had several exacerbations requiring steroids to control the flares. Wat would be the next line of treatment  Methotrexate  Azathioprine  Cyclosporine  Cyclophosphomide
  • 117.
     Following genemutations predispose to CD except, 1. NOD2/ CARD !% 2. Autophagy related protein 3. MDR- 1 4. IL- 23 R
  • 118.
     Which ofthe following features is more commonly associated with ulcerative colitis than with Crohn’s disease?  (A) Fistulas  (B) Rectal bleeding  (C) Segmental involvement  (D) An abdominal mass  (E) Mesenteric lymph node involvement
  • 119.
     A 40-year-oldman has a history of ulcerative colitis. Features of his illness that would contribute to an increased risk of developing colon cancer include which of the following?  (A) Disease duration of less than 10 years  (B) History of toxic megacolon  (D) Presence of pseudopolyps on colonoscopy  (E) High steroid requirements
  • 120.
     A 20-year-oldwoman with a family history of IBD presents with a history of intermittent right lower quadrant pain and diarrhea. Colonoscopy shows no evidence of rectal involvement but does show aphthous ulcerations in the proximal colon. Of the following serologic markers, which has a 50% likelihood to be elevated in this situation? 1. Anti-goblet cell autoantibody 2. Elevated titre against Entamoeba histolytica 3. Anti-Saccharomyces cerevisiae antibody 4. pANCA

Editor's Notes

  • #5 This term was soon deemed unsuitable, however, when it became apparent that the disease process might involve the colon. Patients, too, misunderstood and were frightened by the “terminal” nature of their illness
  • #14 IBD represents a state of sustained immune response. The question arises as to whether this is an appropriate response to an unrecognized pathogen or an inappropriate response to an innocuous stimulusMany infectious agents have been proposed as the cause of Crohn&apos;s disease including chlamydia, Listeriamonocytogenes, cell-wall–deficient Pseudomonas species, reovirus, and many others. Paramyxovirus (measles virus) has been implicated etiologically
  • #15 The MDR1 gene product, P-glycoprotein, is highly expressed in intestinal epithelial cells and serves an important barrier function against xenobioticsSeveral centers have reported an association between severe disease and a rare allele of HLA-DR1 (DRB1*0103). In some studies, the HLA-DR3,DQ2 haplotype is associated with extensive colitis, especially in women
  • #16 NOD2 (nucleotide-binding oligomerizationdomain 2) gene, also known as CARD15 (caspase-recruitment domain 15).[genetic polymorphisms of NOD2/CARD15 with younger onset and ileal location of disease and increased likelihood of stricture formation20% to 30% of patients with Crohn&apos;s disease bear abnormal NOD2/CARD15.The gene product of NOD2/CARD15 is a cytosolic protein that functions as an intracellular sensor of bacteriaThe NOD2/CARD15 protein is expressed in monocytes and enterocytes, specifically in Paneth cells,[56] which lie within the crypts and produce the endogenous antimicrobial peptides called defensins.Autophagy is an ancient cellular process, highly conserved in evolution, by which segments of cytoplasm are isolated within a membrane and delivered to lysosomes by mechanisms that do not involve transport through endocytic or vacuolar sorting pathways
  • #18 smokers have more surgery for their disease and a greater risk of relapse
  • #19 The concept that UC is an autoimmune disease is supported by its increased association with other autoimmune disorders including thyroid disease, diabetes mellitus, and pernicious anemia.[Anti-OmpC (outer membrane porin C of E. coli) is seen more often in UC patients who have a mixed family history of Crohn&apos;s disease and UC rather than those with a family history of only UC.[66]Cellular Immunity
  • #20 Bacteria prompt immune responses largely through pattern-recognition receptors (PRRs), which include the 11 Toll-like receptors (TLRs) and 23 nucleotide-binding oligomerization domain (NOD)-like receptors (NLRs) that have been identified to date. Activation of the TLRs and NLRs results in downstream activation of nuclear factor-κB (NF-κB), which then stimulates the transcription of genes coding for various proinflammatory cytokines (including TNF, IL-1, IL-6, and IL-8), chemokines, adhesion molecules, and costimulatory moleculesIL-17 is a potent proinflammatory cytokine that not only facilitates T-cell activation but also stimulates a variety of cells, including fibroblasts, macrophages, epithelial cells, and endothelial cells, to produce an array of proinflammatory cytokines
  • #21 Aphthous ulcers heal in bowel excluded from the fecal stream by ileostomy, whereas re-establishing intestinal continuity leads to their recurrenceThe classic cobblestoned appearance of Crohn&apos;s disease results when linear and transverse ulcers intersect and networks of ulcers surround areas of relatively normal mucosa and prominent submucosaledema. Ulcers also can extend down to the muscularispropria
  • #24 With penetration of inflammation to the serosa, serositis can occur, resulting in adhesion of bowel to loops of small intestine, colon, or other adjacent organsAt the anatomic level, one of the most characteristic findings of Crohn&apos;s disease is the presence of fat wrapping, a term that refers to the creeping of mesenteric fat onto the serosal surface of the bowel. Surgeons have long taken fat wrapping as a reliable indicator of the presence of diseased tissue. Mesenteric adipose tissue hypertrophy and creeping fat are recognized early in the course of disease at laparotomy or laparoscopy. Locally, fat wrapping correlates with the presence of underlying acute and chronic inflammation, as well as transmural inflammation in the form of lymphoid aggregates
  • #25 At the microscopic level, the finding of pyloric metaplasia, normally a response to peptic ulcer disease when found in the duodenum, strongly suggests a diagnosis of Crohn&apos;s disease when found in the terminal ileum
  • #26 Photomicrograph of a typical Crohn&apos;s disease granuloma found in an endoscopic biopsy specimen. Note the loosely formed collection of cells, consisting of multinucleated giant cells (not always observed) and mononuclear cells, including T cells and epithelioid macrophages. Central caseation is not noted.The granulomas of Crohn&apos;s disease are sarcoid-like, consisting of collections of epithelioidhistiocytes and a mixture of other inflammatory cells, including lymphocytes and eosinophils; giant cells occasionally are seen. The granulomas usually are sparse, scattered, and not well formed. In contrast to the granulomas of tuberculosis, there is little or no central necrosis, and acid-fast stains and mycobacterial cultures are negative
  • #29 Total colectomy specimen from a patient with ulcerative colitis. The colon shows diffuse mucosal inflammation that extends proximally from the rectum without interruption to the transverse colon. The mucosal pattern in the terminal ileum and cecum (arrow) is normal. The distal mucosa is erythematous and friable, with many ulcers and erosionsThere are a few exceptions to this general rule. First, medical therapy can result in areas of sparing. For example, topical enema therapy can lead to near-complete mucosal healing in the rectum and distal sigmoid colon. Second, up to 75% of patients with left-sided UC have periappendiceal inflammation in the colon and patchy inflammation in the cecum,[99] resembling the skip pattern characteristic of Crohn&apos;s disease. These patterns of rectal sparing and skip lesions can lead to a misdiagnosis of Crohn&apos;s disease
  • #30 Surgical specimen of resected colon from a patient with severe ulcerative colitis showing numerous inflammatory polyps (pseudopolyposis). Pseudopolyps are most common in ulcerative colitis but also may be seen in Crohn&apos;s disease, ischemia, and other ulcerative conditions of the colon. These blunt or finger-like lesions develop as byproducts of ulcers that penetrate into the submucosa, leaving islands of adjacent regenerative mucosa. Although the intervening areas of colonic mucosa are ulcerated, pseudopolyps can persist even when inflammation has abated and the mucosa has healed.
  • #31 Neutrophilic infiltration of colonic crypts gives rise to cryptitis and ultimately to crypt abscesses with neutrophilic accumulations in crypt lumen, with Paneth cells located distal to the hepatic flexure, where they normally are absentA classic histologic feature of chronic quiescent UC is crypt architectural distortion or actual dropout of glandsAnother characteristic feature of chronic quiescent UC is Paneth cell metaplasia
  • #32 Photomicrographs of a colonic biopsy specimen showing the histology of ulcerative colitis. A, Diffuse chronic inflammation of the lamina propria and crypt distortion are present. These features are important in differentiating ulcerative colitis from acute self-limited colitis. B, The base of a single distorted colonic crypt. There are many plasma cells between the crypt and the muscularismucosae, another important finding that helps differentiate acute from chronic colitis. C, A single crypt abscess. The bottom of this distorted crypt has been destroyed by an aggregate of polymorphonuclearneutrophils. This finding is not specific for ulcerative colitis and may be seen in Crohn&apos;s disease and other types of colitis
  • #34 Generally, the manifestations of IBD depend on the area of the intestinal tract involved. The symptoms, however, are not specific for this disease, as follows:
  • #36 The World Gastroenterology Organization (WGO) indicates the following symptoms may be associated with inflammatory damage in the digestive tract[2] :
  • #39 Perianal disease is another common presentation of Crohn&apos;s disease. In as many as 24% of patients with Crohn&apos;s disease, perianal disease precedes intestinal manifestations, with a mean lead time of four years.[92] More often, however, perianal disease occurs concomitantly with or after the onset of symptoms of luminal disease. Perianal findings may be categorized as skin lesions, anal canal lesions, and perianal fistulas.[93] Skin lesions include maceration, superficial ulcers, abscesses, and skin tags. Skin tags are generally of two types: type 1 (elephant ears) are typically soft and painless and can be quite large; type 2, which often arise from healed fissures, ulcers or hemorrhoids, are typically edematous, hard, and tender.[94] Anal canal lesions include fissures, ulcers, and stenosis. The anal fissures of Crohn&apos;s disease tend to be placed more eccentrically than the usual idiopathic fissures, which generally occur in the midline. In most cases, anal stricture is asymptomatic, but occasionally obstruction occurs, particularly if stool consistency improves in the course of treatment. Deeper abscesses can arise secondary to fistulas, especially when the internal os is located high in the rectum
  • #41 Clinical observation suggests that disease behavior in Crohn&apos;s disease may be divided roughly into two categories: aggressive fistulizing disease and indolent cicatrizing disease[99]; a third subset of patients appear to develop neither of these behaviors over long periods of observation. Moreover, these distinctions are not always neat. Both fistula and stricture can occur simultaneously in the same patient, such as in the patient with a fistula arising behind a terminal ileal stricture, or at different times. Genetic factors are important in determining disease behavior, with NOD2 variants being associated with fibrostenotic disease.[49] In addition, serologic antibody responses to microbrial antigens and carbohydrates are associated with certain disease phenotypes.[100-105] Specifically, the presence of antiglycan antibodies to mannan (a constituent of the cell wall of baker&apos;s yeast anti-Saccharomycescerevisiae antibody [ASCA]) correlates with small intestinal disease; identification of anti-CBir1 (antiflagellin) is associated with internal penetrating and stricturing disease; and anti-Escherichia coli outer membrane porin C (anti-OmpC) predicts internal perforations. When perinuclearantineutrophilcytoplasmic antibodies (pANCA) are present in a patient with Crohn&apos;s disease, the phenotype is often that of an inflammatory “UC-like” Crohn&apos;s disease
  • #42 Patients present with foul, persistent vaginal discharge and occasionally with passage of flatus or frank stool per vagina
  • #43 Perianal fistulas in Crohn&apos;s disease. A, Multiple complex fistulas in a man with Crohn&apos;s disease. Several are active and draining. The scrotum, perianal skin, and buttocks are discolored and hardened by healed fistulas and abscesses. B, A simple fistula in a woman with Crohn&apos;s disease. The purplish discoloration surrounding the fistula is from an abscess that drained spontaneously through the fistula
  • #44  string sign - markedly narrowed bowel segment amid widely spaced bowel loops (Fig. 111-4) is a result of spasm and edema associated with active inflammation rather than fibrostenosis; the typical string sign transiently resolves with administration of glucagon, which relieves smooth muscle spasm.
  • #49 it occurs on the leg The phenomenon of pathergy, or the development of large ulcers in response to minor trauma, is characteristic of pyodermagangrenosum and the skin lesions of Beh?et&apos;s syndrome.Healing classically is associated with a cribriform, or pocked, scar.Erythemanodosum more commonly in women The classic appearance is of tender subcutaneous nodules with an erythematous or dusky appearance, most often on the pretibial region. There is a strong association with arthropathy. Erythemanodosum often manifests during exacerbations of intestinal disease and tends to improve with treatment of the underlying bowel diseaseLike pyodermagangrenosum, many other diseases are associated with erythemanodosum, including Streptococcus or Yersinia infection, tuberculosis, leprosy, fungal infections, Beh?et&apos;s syndrome, and sarcoidosis
  • #52 . Physical examination findings include meiosis and ciliary flush. Visual acuity is preserved unless the posterior segment becomes involved. In contrast to the uveitis associated with ankylosingspondylitis, the presentation of uveitis in patients with IBD often is insidious, with bilateral involvement and extension to the posterior segment.[149] Slit-lamp examination demonstrates an inflammatory flare in the anterior chamber. At least one report suggests that children with Crohn&apos;s colitis often have asymptomatic anterior chamber inflammation.[150] Other ocular complications of Crohn&apos;s disease include a particular corneal injury referred to as keratopathy and night blindness resulting from malabsorption of vitamin A.
  • #55 Approximately 90% of patients with Crohn disease have involvement of the terminal ileum and/or right colon. Pediatric patients are more likely (about 20%) to present with disease limited to the small intestine, although very young children often present with purely colonic disease. Occasionally, gastric or duodenal Crohn disease manifests as seemingly refractory peptic ulcer disease.Consider anorexia and bulimia in patients with suspected inflammatory bowel disease (IBD) and irritable bowel syndrome (IBS), because not only are abdominal pain, weight loss, and vomiting consistent in these 4 conditions, but IBD is frequently diagnosed in late-teen and young-adult patients, which are also the peak years for anorexia and bulimia.Due to the nonspecific gastrointestinal symptoms of Crohn disease and ulcerative colitis, several other diagnoses (see below) must be considered before establishing a diagnosis of Crohn disease or ulcerative colitis, particularly in the absence of typical endoscopic findings and in populations at higher risk for other diagnoses.
  • #56 In patients with predominant abdominal pain, gastrointestinal bleeding, and/or intestinal ulceration, consider the following conditions in the differential diagnosis
  • #57 Consider the following conditions in patients with diarrhea as a dominant symptom:
  • #59 , anti-Saccharomycescerevisiae antibodiesAlthough several laboratory studies may aid in the management of IBD and provide supporting information, no laboratory test is specific enough to adequately and definitively establish the diagnosis, including the following:
  • #62 Plain abdominal radiograph from a patient with known ulcerative colitis who presented with an acute exacerbation of his symptoms. This image shows thumbprinting in the region of the splenic flexure of the colon
  • #64 Plain abdominal film of a patient with mild left-sided ulcerative colitis showing a stool-filled proximal colon.
  • #65 Ulcers most often occur on the mesenteric border, with consequent pseudo sacculation of the antimesenteric border because of shortening of the mesenteric portion
  • #66 Double-contrast barium enema study demonstrates marked ulceration, inflammatory changes, and narrowing of the right colon in a patient with Crohn colitis.
  • #67 The string sign (a narrow band of barium flowing through an inflamed or scarred area) in the terminal ileum is typical of one form of ilealCrohn disease observed on radiographs (see the first image below). Barium enema is contraindicated in patients with moderate to severe colitis, because it risks perforation or precipitation of a toxic megacolon 
  • #69 the comb sign (segmental dilatation of the vasa recta involving an intestinal loop).[
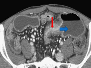
  • #70 Computed tomography enterography in a patient with Crohn&apos;s disease showing an intestinal stricture with prestenotic dilatation. The stricture is partly inflammatory, with hyperenhancement, mural thickening, and perienteric inflammation
  • #72 has the advantages of providing high soft tissue contrast, obtaining static and dynamic images, and avoiding ionizing radiation.[173] Similar to CT enterography, patients drink an oral contrast agent before the procedure. Some European centers incorporate enteroclysis with nasoduodenal intubation to administer the contrast, which might increase the yield for subtle mucosal lesions but is likely to be less acceptable to most patients.[173] Findings of intestinal wall thickening, submucosaledema, vasa recta engorgement, and lymphadenopathy are signs of active disease (Fig. 111-6). Using dynamic FIESTA (fast imaging employing steady state acquisition), images can add information regarding the functional status of fibrotic segments. A scoring system was developed for assessing small intestinal Crohn&apos;s disease and gives higher scores for details such as increased wall thickness and contrast enhancement, stenosis and mucosal abnormalities, absence of peristalsis and distensibility, and extraintestinal findings.[174] Using these criteria, compared with the gold standard of ileocolonoscopy with biopsies, the MRI images yielded a diagnostic accuracy of 91%.
  • #73 Magnetic resonance enterography with gadolinium contrast in a patient with Crohn&apos;s disease. This coronal view shows mural hyperenhancement, mural thickening, and the comb sign (engorged perienteric vasculature) involving the terminal ileum. The vessels are seen to the left of the inflamed loop and resemble the teeth of a comb.
  • #74 Double balloon enteroscopy
  • #75 Endoscopic appearance of Crohn&apos;s disease. A wide variety of findings may be visualized on endoscopy, in part depending on the duration and severity of the inflammation. A, Typical aphthous ulcers (arrows), consisting of a central white depression surrounded by a slightly elevated, erythematous rim only a few millimeters in diameter. B, Findings more typical of advanced disease, with erythema, edema, and a cobblestone appearance. C,Stellate ulcers (arrows) in the terminal ileum. D, Discrete ulcers (arrows) with normal intervening mucosa, typical of the patchy inflammation seen in Crohn&apos;s disease.
  • #77 Severe colitis noted during colonoscopy in a patient with inflammatory bowel disease. The mucosa is grossly denuded, with active bleeding noted. The patient had her colon resected very shortly after this view was obtained.
  • #88 Fistulas tend to recur with cessation of therapy, but long-term use is limited by side effects
  • #89 Budesonide possesses glucocorticoid receptor affinity superior to that of traditional glucocorticoids and also takes advantage of enhanced first-pass metabolism by the liver to limit systemic exposure. A controlled ileal-release formulation of budesonide targets the terminal ileum and right colon. Studies have demonstrated that 9 mg/day of this preparation are superior to placebo and mesalamine and about 15% less effective than prednisolone in achieving remission, but with fewer side effects
  • #90 There are several principles of glucocorticoid use in Crohn&apos;s disease:    Use an effective dose. Underdosing at the start of therapy typically leads to dose escalation and prolonged dosing to achieve a response.   Do not overdose. Patients who do not benefit from 40 to 60 mg are unlikely to benefit from increased or prolonged oral dosing. Such patients require intravenous dosing or treatment with another rapidly acting agent, such as an anti-TNF agent (see later).   Do not treat for excessively short periods. Doses should not be tapered too quickly once symptoms have been controlled. Very brief courses of glucocorticoids (three weeks or less) are likely to result in a rebound flare.   Do not treat for excessively long periods. Patients in whom a glucocorticoid taper fails should be considered candidates for glucocorticoid-sparing immune modulators. Glucocorticoids should not be begun without a strategy in mind for terminating treatment.   Anticipate side effects. Bone loss in particular may be anticipated with even short-term use. (See later, “Adjunctive Therapies.”)In an attempt to limit the unintended systemic effects
  • #92 many patients require a tapering regimen of glucocorticoids to bridge the time period until the thiopurines have taken effect
  • #96 dihydrofolatereductase inhibitor, resulting in impaired DNA synthesis. Additional anti-inflammatory properties may berelated to decreased IL-1 production
  • #97 CSA blocks the production of IL-2 by T-helper lymphocytes. CSA binds to cyclophilin, and this complex inhibits calcineurin, a cytoplasmicphosphataseenzyme involved in the activation of T cells. CSA also indirectly inhibits B cell function by blocking helper T cells
  • #104 e medical approach for patients with IBD is symptomatic care (ie, relief of symptoms) and mucosal healing following a stepwise approach to medication, with escalation of the medical regimen until a response is achieved (“step-up” or “stepwise” approach), such as the following:
  • #111 . In general, patients with disease that is limited to the distal colon do better than those with extensive colitis. UC diagnosed in the elderly generally has been thought to manifest with more-severe initial attacks, but this pattern has not been observed consistently. No one factor has been consistently identified as predicting future disease activity. In patients initially presenting with proctitis or proctosigmoiditis, disease extension occurs in approximately 10% to 30% of patients at 10 years after diagnosis.[108],[112],[113] Less commonly, extensive colitis regresses over time with treatment.