Blood
What is it and why is it important?
Dr. Ashish V. Jawarkar M.D.
Consultant Pathologist
Parul Sevashram Hospital
Blood
The average adult has about five
liters of blood living inside of their
body, coursing through their vessels,
delivering essential elements, and
removing harmful wastes.
Without blood, the human body
would stop working
Blood functions
Blood is the fluid of growth,
transporting nourishment from
digestion and hormones from glands
throughout the body.
Blood is the fluid of health,
transporting disease fighting
substances to the tissue and waste
to the kidneys.
Bloods Major Function
Blood is the fluid of life, transporting
oxygen from the lungs to body tissue
and carbon dioxide from body tissue
to the lungs.
Blood Percentages
55 % plasma
– Plasma is the straw-colored liquid in
which the blood cells are suspended.

45 % cells
– Red blood cells (Erythrocytes)
– White blood cells (leukocytes)
– Platelets (thrombocytes)
Blood Components
Plasma
Plasma is the relatively clear liquid water ,
sugar, fat, protein and salt solution which
carries the red cells, white cells, platelets, and
some other chemicals.
Normally, 55% of our blood's volume is made
up of plasma. About 95% of it consists of
water.
As the heart pumps blood to cells throughout
the body, plasma brings nourishment to them
and removes the waste products of metabolism
Red blood cells (erythrocytes)
Red blood cells are biconcave discs

erythrocytes
Red Blood Cells
Red cells, or erythrocytes , cells without
nuclei.
Red cells normally make up 40-50% of the
total blood volume.
They transport oxygen from the lungs to all of
the living tissues of the body and carry away
carbon dioxide.
The red cells are produced continuously in
our bone marrow from stem cells at a rate of
about 2-3 million cells per second.
Cont.
Hemoglobin is the gas transporting
protein molecule that makes up 95% of
a red cell.
The red color of blood is primarily due to
oxygenated red cells.
White Blood Cell (leukocytes)
White Blood Cells
White cells, or leukocytes , exist in variable
numbers and types but make up a very small
part of blood's volume--normally only about 1%
in healthy people.
Most are produced in our bone marrow from
the same kind of stem cells that produce red
blood cells.
Cont.
Some white cells (called lymphocytes )
are the third line of defence, part of
acquired immunity.
– They seek out, identify, and bind to
alien protein on bacteria, viruses, and
fungi so that they can be removed.
– Other white cells (called neutrophils,
nk cells and macrophages ) form a
part of innate immunity and are the
first line of defence.
Leukocytes(wbc’s) Total
Neutrophils 60-70%
Lymphocytes 20-25%
Monocytes 3-8%
Eosinophils 1-3%
Basophils ½ to 1%

(N)EVER
(L)ET
(M)ONKEYS
(E)AT
(B)ANANAS
Granulocytes
Granulocytes are white blood cells whose
cytoplasm contains tiny granules. The cells are
named according to the staining characteristics
of the granules.
Neutrophils
Neutrophils - the granules are purple
colored
– Neutrophils are phagocytic cells; they
engulf foreign material
– Part of second line of defence
Eosinophil
Have dense red granules
Play a part in allergic response
Count is increased in allergies
Basophils
Basophils have dark blue-staining
granules.
They are the least numerous blood cells.
Numbers are increased in leukemias
Agranulocytes
Agranulocytes are white blood cells
that have no distinct granules in
their cytoplasm.
Lymphocytes have large single
nuclei that occupy most of the cells.
They are an important part of the body's
immune system.
Lymphocyte
Types of lymphocytes
T-cells
B- cells
Third line of defence - Lymphocytes
Lymphocytes are a type of white blood cell found in the
blood or lymph nodes and made by bone marrow. There are
several types of lymphocyte, including:
 T-lymphocytes – recognise antigens
on pathogens and either attack them
directly or co-ordinate the activity of
other cells of the immune system.

 B-lymphocytes – recognise
antigens and produce special
chemicals called antibodies.

28 of 41

© Boardworks Ltd 2006
B lymphocytes
Antibodies are special
Y-shaped proteins
produced by
B-lymphocytes in
response to antigens.
Antibodies work by binding to antigens on pathogens,
‘labelling’ them and causing them to clump together.
The pathogen can then be destroyed by:
 phagocytosis by macrophages
 T-lymphocytes
 the antibodies themselves.
29 of 41

© Boardworks Ltd 2006
Antibodies
Each different type of antigen causes a different type of
antibody to be produced.
An antibody can only bind to the antigen that caused it to be
produced.

30 of 41

© Boardworks Ltd 2006
Delayed response
The B-lymphocyte that produces the correct antibody for the
antigen begins dividing to produce many more antibodyproducing cells.
It takes a few days to produce enough
antibodies to destroy the pathogen. This
means there is delay between infection
and the person beginning to feel better.

Once a pathogen has been destroyed, a few memory cells
remain. These recognize the pathogen if it re-infects, and
make the immune response much quicker and more effective.
This is called active immunity.
31 of 41

© Boardworks Ltd 2006
32 of 41

© Boardworks Ltd 2006
Cont
Monocytes are the largest of the
white blood cells. In tissues k/a
macrophages
They have large pleomorphic
(variously shaped) single nuclei and
function mainly as phagocytic
(engulfing) cells .
They are important in the long-term
cleanup of debris in an area of
injury.
Cont.

Monocyte (left)
Watch this and many more
animations @
http://highered.mcgrawhill.com/sites/0072495855/student_
view0/chapter2/animation__phagocy
tosis.html
Platelets (thrombocytes)

Platelets
Platelets
Platelets , or thrombocytes , are cell
fragments without nuclei that work
with blood clotting chemicals at the
site of wounds.
– They do this by adhering to the walls of blood
vessels, thereby plugging the rupture in the
vascular wall. They also can release coagulating
chemicals which cause clots to form in the blood
that can plug up narrowed blood vessels.
Blood loss
When the human body loses a little
bit of blood through a minor wound,
the platelets cause the blood to clot
so that the bleeding stops.
Because new blood is always being
made inside of your bones, the body
can replace the lost blood.
Blood replacement
When the human body loses a lot of
blood through a major wound, that
blood has to be replaced through a
blood transfusion from other people.
blood and its components
blood and its components
blood and its components
blood and its components
blood and its components
blood and its components
blood and its components
blood and its components
blood and its components
blood and its components
blood and its components
blood and its components
blood and its components
blood and its components
blood and its components
blood and its components
blood and its components
blood and its components
blood and its components

blood and its components

  • 1.
    Blood What is itand why is it important? Dr. Ashish V. Jawarkar M.D. Consultant Pathologist Parul Sevashram Hospital
  • 2.
    Blood The average adulthas about five liters of blood living inside of their body, coursing through their vessels, delivering essential elements, and removing harmful wastes. Without blood, the human body would stop working
  • 3.
    Blood functions Blood isthe fluid of growth, transporting nourishment from digestion and hormones from glands throughout the body. Blood is the fluid of health, transporting disease fighting substances to the tissue and waste to the kidneys.
  • 4.
    Bloods Major Function Bloodis the fluid of life, transporting oxygen from the lungs to body tissue and carbon dioxide from body tissue to the lungs.
  • 5.
    Blood Percentages 55 %plasma – Plasma is the straw-colored liquid in which the blood cells are suspended. 45 % cells – Red blood cells (Erythrocytes) – White blood cells (leukocytes) – Platelets (thrombocytes)
  • 6.
  • 7.
    Plasma Plasma is therelatively clear liquid water , sugar, fat, protein and salt solution which carries the red cells, white cells, platelets, and some other chemicals. Normally, 55% of our blood's volume is made up of plasma. About 95% of it consists of water. As the heart pumps blood to cells throughout the body, plasma brings nourishment to them and removes the waste products of metabolism
  • 8.
    Red blood cells(erythrocytes) Red blood cells are biconcave discs erythrocytes
  • 10.
    Red Blood Cells Redcells, or erythrocytes , cells without nuclei. Red cells normally make up 40-50% of the total blood volume. They transport oxygen from the lungs to all of the living tissues of the body and carry away carbon dioxide. The red cells are produced continuously in our bone marrow from stem cells at a rate of about 2-3 million cells per second.
  • 11.
    Cont. Hemoglobin is thegas transporting protein molecule that makes up 95% of a red cell. The red color of blood is primarily due to oxygenated red cells.
  • 12.
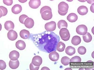
    White Blood Cell(leukocytes)
  • 15.
    White Blood Cells Whitecells, or leukocytes , exist in variable numbers and types but make up a very small part of blood's volume--normally only about 1% in healthy people. Most are produced in our bone marrow from the same kind of stem cells that produce red blood cells.
  • 16.
    Cont. Some white cells(called lymphocytes ) are the third line of defence, part of acquired immunity. – They seek out, identify, and bind to alien protein on bacteria, viruses, and fungi so that they can be removed. – Other white cells (called neutrophils, nk cells and macrophages ) form a part of innate immunity and are the first line of defence.
  • 17.
    Leukocytes(wbc’s) Total Neutrophils 60-70% Lymphocytes20-25% Monocytes 3-8% Eosinophils 1-3% Basophils ½ to 1% (N)EVER (L)ET (M)ONKEYS (E)AT (B)ANANAS
  • 18.
    Granulocytes Granulocytes are whiteblood cells whose cytoplasm contains tiny granules. The cells are named according to the staining characteristics of the granules.
  • 19.
    Neutrophils Neutrophils - thegranules are purple colored – Neutrophils are phagocytic cells; they engulf foreign material – Part of second line of defence
  • 21.
    Eosinophil Have dense redgranules Play a part in allergic response Count is increased in allergies
  • 23.
    Basophils Basophils have darkblue-staining granules. They are the least numerous blood cells. Numbers are increased in leukemias
  • 25.
    Agranulocytes Agranulocytes are whiteblood cells that have no distinct granules in their cytoplasm. Lymphocytes have large single nuclei that occupy most of the cells. They are an important part of the body's immune system.
  • 26.
  • 27.
  • 28.
    Third line ofdefence - Lymphocytes Lymphocytes are a type of white blood cell found in the blood or lymph nodes and made by bone marrow. There are several types of lymphocyte, including:  T-lymphocytes – recognise antigens on pathogens and either attack them directly or co-ordinate the activity of other cells of the immune system.  B-lymphocytes – recognise antigens and produce special chemicals called antibodies. 28 of 41 © Boardworks Ltd 2006
  • 29.
    B lymphocytes Antibodies arespecial Y-shaped proteins produced by B-lymphocytes in response to antigens. Antibodies work by binding to antigens on pathogens, ‘labelling’ them and causing them to clump together. The pathogen can then be destroyed by:  phagocytosis by macrophages  T-lymphocytes  the antibodies themselves. 29 of 41 © Boardworks Ltd 2006
  • 30.
    Antibodies Each different typeof antigen causes a different type of antibody to be produced. An antibody can only bind to the antigen that caused it to be produced. 30 of 41 © Boardworks Ltd 2006
  • 31.
    Delayed response The B-lymphocytethat produces the correct antibody for the antigen begins dividing to produce many more antibodyproducing cells. It takes a few days to produce enough antibodies to destroy the pathogen. This means there is delay between infection and the person beginning to feel better. Once a pathogen has been destroyed, a few memory cells remain. These recognize the pathogen if it re-infects, and make the immune response much quicker and more effective. This is called active immunity. 31 of 41 © Boardworks Ltd 2006
  • 32.
    32 of 41 ©Boardworks Ltd 2006
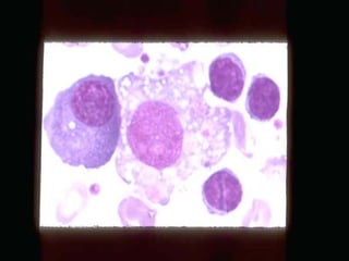
  • 33.
    Cont Monocytes are thelargest of the white blood cells. In tissues k/a macrophages They have large pleomorphic (variously shaped) single nuclei and function mainly as phagocytic (engulfing) cells . They are important in the long-term cleanup of debris in an area of injury.
  • 34.
  • 47.
    Watch this andmany more animations @ http://highered.mcgrawhill.com/sites/0072495855/student_ view0/chapter2/animation__phagocy tosis.html
  • 48.
  • 49.
    Platelets Platelets , orthrombocytes , are cell fragments without nuclei that work with blood clotting chemicals at the site of wounds. – They do this by adhering to the walls of blood vessels, thereby plugging the rupture in the vascular wall. They also can release coagulating chemicals which cause clots to form in the blood that can plug up narrowed blood vessels.
  • 52.
    Blood loss When thehuman body loses a little bit of blood through a minor wound, the platelets cause the blood to clot so that the bleeding stops. Because new blood is always being made inside of your bones, the body can replace the lost blood.
  • 53.
    Blood replacement When thehuman body loses a lot of blood through a major wound, that blood has to be replaced through a blood transfusion from other people.