BRONCHIECTASIS Zhiwen Zhu The 1 st  affiliated hospital of Sun Yat-sen university, pulmonary department
BRONCHIECTASIS Definition Etiology Pathology Clinical presentation Diagnosis & differential diagnosis Treatment
Definition Bronchiectasis is a condition  anatomically  defined by  chronic ,  irreversible dilation  and  distortion  of the  bronchi  caused by inflammatory destruction of the  muscular  and  elastic components  of the bronchial walls.
Etiology   Conditions associated with the development of bronchiectasis   1.  Postinfection Bacterial pneumonia Tuberculosis Pertussis Measles Influenza
Etiology 2. Proximal airway obstruction Foreign body aspiration Benign airway tumors
 
 
Etiology 2. Proximal airway obstruction Middle lobe syndrome Extrinsic compression by enlarged lymph nodes of the right middle lobe of the lung that obstructed bronchi and lead to right middle lobe atelectasis and recurrent infection.
Etiology 3.Abnormal host defense   Ciliary dyskinesia ( Kartagener’s syndrome) Humoral immunodeficiency 4.Genetic disorders Cystic fibrosis α1- Antitrypsin deficiency 5.Others
Pathology  Dilation and distortion of the bronchi Damage of airway epithelium Dilation and hyperplasia of blood capillary
 
 
 
Clinical presentation The production of large quantities of purulent and often foul-smelling sputum.   The volume of sputum can be used for estimating the severity of the disease Mild < 10 mL Moderate 10~150 mL Severe >150 mL ※  Dry bronchiectasis   usually involve the upper lobes
Clinical presentation 2. Chronic cough 3. Hemoptysis: Frequent More commonly in dry variety Usually mild (blood streaking of purulent sputum) Massive hemoptysis is usually from dilated bronchial arteries or bronchial-pulmonary anastomoses under systemic pressure   4. Recurrent pneumonia: same segment 5. Systemic manifestations: fever, weight loss
Clinical presentation Physical finding Early phases or dry variety: normal Severe or secondary infection:  persisting crackling rales in the same part of lung Later stage: digital clubbing, emphysema, and cor pulmonale.
Evaluation 1.Roentgenographic studies The plain chest film:  increased in size and number of bronchovascular markings (quiet nonspecific)
 
Evaluation 1.Roentgenographic studies Bronchography:  (traditional gold standard)
 
Evaluation CT or HRCT:   high sensitivity and specificity Train track sign:   the bronchial wall is thicken and visible; the bronchi lose the trend of narrowing from proximal end to distal end.
 
 
Evaluation CT or HRCT:   high sensitivity and specificity Diamond ring sign:  dilated bronchi appear as ring structures with internal diameters greater than those of their accompany pulmonary artery branches.
 
 
 
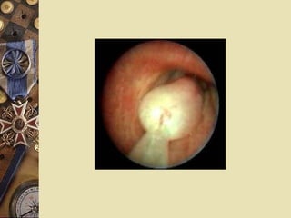
Evaluation 2.Bronchoscopy   Evaluating the proximal airways for lesions. Assessing the cause of hemoptysis Localizing the source of hemoptysis
 
Diagnosis  Symptoms Sign reontgenographic fiding
Differential diagnosis Differentiate from: Chronic bronchitis No recurrent hemoptysis; CT scan  Lung abscess X-ray/CT: local infiltrated shadow or cavitations with air-fluid level inside.
Differential diagnosis Tuberculosis radiographic finding; sputum anti-fast smear Congenital pulmonary cyst multi thin wall cavities without infiltration around.
Treatment  Medical management 1.  Improving the drainage of airway 1) expectorant 2) bronchodilators 3) postural drainage
Anterior segment
Posterior segment of right upper lobe
Lower lobe
Treatment  Medical management 1.  Improving the drainage of airway 1) expectorant 2) bronchodilators 3) postural drainage 4) bronchoscopy
Treatment Medical management 2.  Antibiotic The choice of antibiotics should be accurately by the results of sputum culture and drug sensitivity test. Empirical therapy ---antipseudomonal antibiotics.
Treatment Surgical therapy Recurrent and refractory clinical symptoms are due to a focal area of disease involvement. Massive hemoptysis Management of hemoptysis
THANK YOU!!!

4 bronchiectasis

  • 1.
    BRONCHIECTASIS Zhiwen ZhuThe 1 st affiliated hospital of Sun Yat-sen university, pulmonary department
  • 2.
    BRONCHIECTASIS Definition EtiologyPathology Clinical presentation Diagnosis & differential diagnosis Treatment
  • 3.
    Definition Bronchiectasis isa condition anatomically defined by chronic , irreversible dilation and distortion of the bronchi caused by inflammatory destruction of the muscular and elastic components of the bronchial walls.
  • 4.
    Etiology Conditions associated with the development of bronchiectasis 1. Postinfection Bacterial pneumonia Tuberculosis Pertussis Measles Influenza
  • 5.
    Etiology 2. Proximalairway obstruction Foreign body aspiration Benign airway tumors
  • 6.
  • 7.
  • 8.
    Etiology 2. Proximalairway obstruction Middle lobe syndrome Extrinsic compression by enlarged lymph nodes of the right middle lobe of the lung that obstructed bronchi and lead to right middle lobe atelectasis and recurrent infection.
  • 9.
    Etiology 3.Abnormal hostdefense Ciliary dyskinesia ( Kartagener’s syndrome) Humoral immunodeficiency 4.Genetic disorders Cystic fibrosis α1- Antitrypsin deficiency 5.Others
  • 10.
    Pathology Dilationand distortion of the bronchi Damage of airway epithelium Dilation and hyperplasia of blood capillary
  • 11.
  • 12.
  • 13.
  • 14.
    Clinical presentation Theproduction of large quantities of purulent and often foul-smelling sputum. The volume of sputum can be used for estimating the severity of the disease Mild < 10 mL Moderate 10~150 mL Severe >150 mL ※ Dry bronchiectasis usually involve the upper lobes
  • 15.
    Clinical presentation 2.Chronic cough 3. Hemoptysis: Frequent More commonly in dry variety Usually mild (blood streaking of purulent sputum) Massive hemoptysis is usually from dilated bronchial arteries or bronchial-pulmonary anastomoses under systemic pressure 4. Recurrent pneumonia: same segment 5. Systemic manifestations: fever, weight loss
  • 16.
    Clinical presentation Physicalfinding Early phases or dry variety: normal Severe or secondary infection: persisting crackling rales in the same part of lung Later stage: digital clubbing, emphysema, and cor pulmonale.
  • 17.
    Evaluation 1.Roentgenographic studiesThe plain chest film: increased in size and number of bronchovascular markings (quiet nonspecific)
  • 18.
  • 19.
    Evaluation 1.Roentgenographic studiesBronchography: (traditional gold standard)
  • 20.
  • 21.
    Evaluation CT orHRCT: high sensitivity and specificity Train track sign: the bronchial wall is thicken and visible; the bronchi lose the trend of narrowing from proximal end to distal end.
  • 22.
  • 23.
  • 24.
    Evaluation CT orHRCT: high sensitivity and specificity Diamond ring sign: dilated bronchi appear as ring structures with internal diameters greater than those of their accompany pulmonary artery branches.
  • 25.
  • 26.
  • 27.
  • 28.
    Evaluation 2.Bronchoscopy Evaluating the proximal airways for lesions. Assessing the cause of hemoptysis Localizing the source of hemoptysis
  • 29.
  • 30.
    Diagnosis SymptomsSign reontgenographic fiding
  • 31.
    Differential diagnosis Differentiatefrom: Chronic bronchitis No recurrent hemoptysis; CT scan Lung abscess X-ray/CT: local infiltrated shadow or cavitations with air-fluid level inside.
  • 32.
    Differential diagnosis Tuberculosisradiographic finding; sputum anti-fast smear Congenital pulmonary cyst multi thin wall cavities without infiltration around.
  • 33.
    Treatment Medicalmanagement 1. Improving the drainage of airway 1) expectorant 2) bronchodilators 3) postural drainage
  • 34.
  • 35.
    Posterior segment ofright upper lobe
  • 36.
  • 37.
    Treatment Medicalmanagement 1. Improving the drainage of airway 1) expectorant 2) bronchodilators 3) postural drainage 4) bronchoscopy
  • 38.
    Treatment Medical management2. Antibiotic The choice of antibiotics should be accurately by the results of sputum culture and drug sensitivity test. Empirical therapy ---antipseudomonal antibiotics.
  • 39.
    Treatment Surgical therapyRecurrent and refractory clinical symptoms are due to a focal area of disease involvement. Massive hemoptysis Management of hemoptysis
  • 40.