Staphylococcus
Dr.Riyaz Sheriff
Staphylococcus
• Ubiquitous
• Gram positive
• Cocci
• Staphyle - Bunch of grapes
• Kokkos - Berry
• Discovered by Von Recklinghausen
• Named by Sir Alexander Ogston
Staphylococcus
• Pyogenic infections
• Pigment production  not associated with
virulence
– Golden yellow colonies  Staphylococccus aureus
– White colonies  Staphylococcus epidermidis
– White colonies  Staphylococcus albus
– Lemon yellow colonies  Staphylococcus citreus
Staphylococcus aureus
Staphylococcus epidermidis
s.Aureus & S.epidermidis
s.Aureus & S.epidermidis
s.Aureus & S.epidermidis
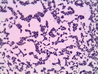
Arrangements of cocci
Grape like cluster
Generally!
• Non motile
• Non sporing
• Young cultures may have capsules
• Stain with aniline dyes
• Uniformly gram positive
• L forms may be seen
Current classification
• 32 species
• 15 sub species
• Coagulase positive  Staphylococcus aureus
• Coagulase negative
– Staph. epidermidis
– Staph hemolyticus
– Staph saprophyticus
– Staph hominis
– Staph capitis Commensal flora
Staphylococcus aureus
• Gram positive cocci
• Arranged in grape like
clusters
• Cluster formation is d/t
division in 3 planes and
daughter cells remain in
close proximity
• May appear in singles,
pairs or short chains
• Some bacteria may have
capsules
Culture characteristics
• Grow on ordinary media
• Temp 10-42°C. optimum is 37°C
• pH range 7.4 – 7.6
• Aerobes
• Facultative anerobes
• Nutrient agar
– Large, Circular, Smooth, Shiny, Opaque & easily
emulsifiable colonies
– Yellow pigment which does not diffuse into medium
– Pigment is carotene like lipoprotein
– Pigment production best at 22°C or when glycerol
monoacetate / milk is incorporated into medium
culture characteristics (Cont'd)
• Nutrient slope
– Oil paint appearance
• Blood agar
– Marked hemolysis on sheep blood agar
– 20-25% Co2
– Rabbit / Sheep blood
• Mac Conkey agar
– Pink colonies due to lactose fermentation
• Liquid media
– Uniform turbidity
• Selective medium
– Salt milk agar
– Salt broth
– Ludlam’s medium ( Lithium chloride, Tellurite)
Salt milk agar
Biochemical reactions
• Catalase  Positive
• Indole  Negative
• MR  Positive
• VP  Positive
• Urease  Positive
• Nitrate reduction  Positive
• Mannitol fermentation  Positive
• Phosphatase production  Positive
Indole
Mr / vp
Urease test
Mannitol fermentation
Resistance
• Withstand upto 60°C, die at 62°C
• Can grow upto 45°C
• Can grow in medium containing 10-15% NaCl
• Resist 1% phenol for 15mins
• 1% mercuric perchloride kills staphylococci in
10mins
• Aniline dyes lethal
– Crystal violet  1:5,00,000 concentration
– Brilliant green  1: 1,00,00,000 concentration
• Fatty acids inhibit growth of staphylococci
Penicillins & Staphylococci
• Sensitive in pre-antibiotic era
• Few strains evolved !!
• Pencillinase
• Inducible enzyme
• Plasmid mediated : Transduction / conjugation
• 4 types A-D
• Newer antibiotic resistant bacteria spread far and
wide ….
• Hospital strains belong to group A
Resistance to drugs - Penicillin
• Changes in bacterial surface receptors (PBP2a)
• Avoids binding of antibiotic to cell wall
• Development of tolerance to penicillin
• Also includes beta-lactamase resistance
penicillins like Methicillin & Cloxacillins :
MRSA
• Plasmid borne resistance to Erythromycin,
Tetracyclines, Aminoglycosides etc
• Cause hospital infections & epidemics 
EMRSA
• Methicillin  Oxacillin  Cefoxitin
Pathogenicity
• Infections
– Cocci enter via damaged skin/ mucousa/tissue
– Colonise locally
– Evade host mechanism
– Tissue damage
• Intoxications
– Disease caused by bacterial toxins
– In vitro/ in vivo
virulence
• Cell associated polymers
– Cell wall polysaccharide peptidoglycan
• Rigidity and structural integrity
• Activates complement
• Induces release of inflammatory cytokines
– Techoic acid
• Antigenic component
• Adhesion
• Protect from complement mediated opsonisation
– Capsular polysacchride
• Inhibit opsonization
virulence
• Cell surface proteins
– Protein A
• Chemotactic
• Anti – phagocytic
• Anti-Complementary
• Induces platelet damage & hypersensitivity
– Clumping factor – Bound coagulase – slide coagulase
test
• Extracellular enzymes
– Coagulase clots human/rabbit plasma
– Coagulase enzyme + CRF  coagulum (fibrinogen to
fibrin clot) – free coagulase- Tube coagulase test
Slide coagulase test
Tube coagulase test
virulence
– Lipases
– Hyaluronidase
– Nucleases
– Protein receptors
Toxins
• Cytolytic toxins
– Alpha Hemolysin
– Beta Hemolysin
– Gamma Hemolysin
– Delta Hemolysin
– Leucocidin - (Panton –Valentine toxin or PVL)
• Enterotoxin
– Staphylococcal food poisoning
– Nausea , Diarrhoea , vomiting after 2-6hrs of ingestion of
contaminated food
– Heat stable toxin : 100°C for 10-40mins
– Common food products : Meat, Fish, Milk or Milk products
• A, B,C1,C2,C3,D,E & H
Summation of Factors
associated with virulence
Hemolysis
Gelatin liquefaction
Lipolytic activity
Production of urease
Production of phosphatase
Coagulase formation
Mannitol fermentation
Toxin mediated syndromes
• TSST & SSSS toxins are called superantigens
• Potent activators of T-Lymphocytes
• Stimulate wide variety of T Lymphocyte
regardless of antigen specificity
• Excessive improper immune response,
Massive release of cytokines , TNF & INF Ɣ
Toxin mediated syndromes
• Toxic Shock Syndrome Toxin  TSST
– Multisystem disease
– Older days : Tampon usage
– Follows infection of mucosa / site by toxin producing
strains
• Fever
• Hypotension
• Myalgia
• Vomiting
• Diarrhoea
• Mucousal hyperemia
• Rash
– TSST 1 Antibody is seen in patients recovering from TSST
Toxin mediated syndromes
• Exfoliative (epidermolytic) toxin SSSS
• Staphylococcal Scalded Skin Syndrome
• Exfoliative disease
• Outer layer of epidermis gets separated from
underlying tissue
• Severe form of SSSS in new born  Ritter’s disease
• In older patients  Toxic epidermal Necrolysis
• Milder forms
– Phemphigus neonatorum
– Bullous impetigo
Staphylococcal diseases
• Skin and soft tissue infections
– Folliculitis
– Furancle
– Boils
– Abscess
– Wound infection
– Carbuncle
– Impetigo
– Paronychia
– Cellulitis
• Musculoskeletal
– Osteomyelitis
– Arthritis
– Bursitis
– Pyomyositis
Staphylococcal diseases
• Respiratory
– Tonsillitis
– Pharyngitis
– Sinusitis
– Otitis
– Bronchopneumonia
– Lung abscess
– Empyema
• Central nervous system
– Abscess
– Meningitis
– Intra cranial thrombophlebitis
Staphylococcal diseases
• Endovascular
– Bacteremia
– Septicemia
– Pyemia
– Endocarditis
• Urinary tract infection
– Uncommon
– Present with instrumentation
– Diabetes
– Significant when associated with Bacteremia
Bacteriophage typing
• Strain to be typed is inoculated as lawn culture on nutrient agar
• After drying phages are applied on marked squares in a fixed
dose
• After overnight incubation cultures will be observed to be
lysed by some phages
• Phage type of strain is expressed by the phages which lyse the
bacteria
• Phage typing is important in epidemiological studies.
LAWN
CULTURE
PHAGE
Epidemiology
• Primarily colonize skin
• Respiratory & superficial infections disseminate into
environment
• 10-30% carry staphylococci in nose
• 10 % have staphylococcal carriage in hair& perineum
• 5-10% carriage is seen in vagina
• Transmission of infection can be by contact, direct or
through fomites, by dust or by airborne droplets
• Nosocomial cross infection is very important 
resistant strains
LAB DIAGNOSIS
• SPECIMEN COLLECTION
• Microscopy
• Culture
• Identification
– Catalase test
– Coagulase test
• Slide
• Tube
– Antibiotic sensitivity
– Phage typing
Treatment
• Penicillin is drug of choice
• Methicillin/ cloxacillin in penicillin resistant cases
• For MRSA  Vancomycin
• Vancomycin, Teicoplanin resistant strains have appeared
• Superficial infection  local application with bacitracin,
Chlorhexidine or Mupirocin
• Very resistant cases & chronic resistant carriers 
Rifampicin along with oral antibiotic
Coagulase negative
Staphylococcci
• Staphylococcus epidermidis
– Commensal on skin
– Can cause cystitis
– Stitch abscess, artificial heart valves, shunts, intra
vascular catheters& prosthetic appliances
• Staphylococcus hemolyticus
• Staphylococcus saprophyticus
– Uti in young women
Staphylococcus

Staphylococcus

  • 1.
  • 2.
    Staphylococcus • Ubiquitous • Grampositive • Cocci • Staphyle - Bunch of grapes • Kokkos - Berry • Discovered by Von Recklinghausen • Named by Sir Alexander Ogston
  • 3.
    Staphylococcus • Pyogenic infections •Pigment production  not associated with virulence – Golden yellow colonies  Staphylococccus aureus – White colonies  Staphylococcus epidermidis – White colonies  Staphylococcus albus – Lemon yellow colonies  Staphylococcus citreus
  • 4.
  • 6.
  • 7.
  • 8.
  • 9.
  • 11.
  • 12.
  • 13.
    Generally! • Non motile •Non sporing • Young cultures may have capsules • Stain with aniline dyes • Uniformly gram positive • L forms may be seen
  • 14.
    Current classification • 32species • 15 sub species • Coagulase positive  Staphylococcus aureus • Coagulase negative – Staph. epidermidis – Staph hemolyticus – Staph saprophyticus – Staph hominis – Staph capitis Commensal flora
  • 15.
    Staphylococcus aureus • Grampositive cocci • Arranged in grape like clusters • Cluster formation is d/t division in 3 planes and daughter cells remain in close proximity • May appear in singles, pairs or short chains • Some bacteria may have capsules
  • 16.
    Culture characteristics • Growon ordinary media • Temp 10-42°C. optimum is 37°C • pH range 7.4 – 7.6 • Aerobes • Facultative anerobes • Nutrient agar – Large, Circular, Smooth, Shiny, Opaque & easily emulsifiable colonies – Yellow pigment which does not diffuse into medium – Pigment is carotene like lipoprotein – Pigment production best at 22°C or when glycerol monoacetate / milk is incorporated into medium
  • 17.
    culture characteristics (Cont'd) •Nutrient slope – Oil paint appearance • Blood agar – Marked hemolysis on sheep blood agar – 20-25% Co2 – Rabbit / Sheep blood • Mac Conkey agar – Pink colonies due to lactose fermentation • Liquid media – Uniform turbidity • Selective medium – Salt milk agar – Salt broth – Ludlam’s medium ( Lithium chloride, Tellurite)
  • 22.
  • 23.
    Biochemical reactions • Catalase Positive • Indole  Negative • MR  Positive • VP  Positive • Urease  Positive • Nitrate reduction  Positive • Mannitol fermentation  Positive • Phosphatase production  Positive
  • 24.
  • 25.
  • 26.
  • 27.
  • 28.
    Resistance • Withstand upto60°C, die at 62°C • Can grow upto 45°C • Can grow in medium containing 10-15% NaCl • Resist 1% phenol for 15mins • 1% mercuric perchloride kills staphylococci in 10mins • Aniline dyes lethal – Crystal violet  1:5,00,000 concentration – Brilliant green  1: 1,00,00,000 concentration • Fatty acids inhibit growth of staphylococci
  • 29.
    Penicillins & Staphylococci •Sensitive in pre-antibiotic era • Few strains evolved !! • Pencillinase • Inducible enzyme • Plasmid mediated : Transduction / conjugation • 4 types A-D • Newer antibiotic resistant bacteria spread far and wide …. • Hospital strains belong to group A
  • 30.
    Resistance to drugs- Penicillin • Changes in bacterial surface receptors (PBP2a) • Avoids binding of antibiotic to cell wall • Development of tolerance to penicillin • Also includes beta-lactamase resistance penicillins like Methicillin & Cloxacillins : MRSA • Plasmid borne resistance to Erythromycin, Tetracyclines, Aminoglycosides etc • Cause hospital infections & epidemics  EMRSA • Methicillin  Oxacillin  Cefoxitin
  • 31.
    Pathogenicity • Infections – Coccienter via damaged skin/ mucousa/tissue – Colonise locally – Evade host mechanism – Tissue damage • Intoxications – Disease caused by bacterial toxins – In vitro/ in vivo
  • 32.
    virulence • Cell associatedpolymers – Cell wall polysaccharide peptidoglycan • Rigidity and structural integrity • Activates complement • Induces release of inflammatory cytokines – Techoic acid • Antigenic component • Adhesion • Protect from complement mediated opsonisation – Capsular polysacchride • Inhibit opsonization
  • 33.
    virulence • Cell surfaceproteins – Protein A • Chemotactic • Anti – phagocytic • Anti-Complementary • Induces platelet damage & hypersensitivity – Clumping factor – Bound coagulase – slide coagulase test • Extracellular enzymes – Coagulase clots human/rabbit plasma – Coagulase enzyme + CRF  coagulum (fibrinogen to fibrin clot) – free coagulase- Tube coagulase test
  • 34.
  • 35.
  • 36.
    virulence – Lipases – Hyaluronidase –Nucleases – Protein receptors
  • 37.
    Toxins • Cytolytic toxins –Alpha Hemolysin – Beta Hemolysin – Gamma Hemolysin – Delta Hemolysin – Leucocidin - (Panton –Valentine toxin or PVL) • Enterotoxin – Staphylococcal food poisoning – Nausea , Diarrhoea , vomiting after 2-6hrs of ingestion of contaminated food – Heat stable toxin : 100°C for 10-40mins – Common food products : Meat, Fish, Milk or Milk products • A, B,C1,C2,C3,D,E & H
  • 38.
    Summation of Factors associatedwith virulence Hemolysis Gelatin liquefaction Lipolytic activity Production of urease Production of phosphatase Coagulase formation Mannitol fermentation
  • 39.
    Toxin mediated syndromes •TSST & SSSS toxins are called superantigens • Potent activators of T-Lymphocytes • Stimulate wide variety of T Lymphocyte regardless of antigen specificity • Excessive improper immune response, Massive release of cytokines , TNF & INF Ɣ
  • 40.
    Toxin mediated syndromes •Toxic Shock Syndrome Toxin  TSST – Multisystem disease – Older days : Tampon usage – Follows infection of mucosa / site by toxin producing strains • Fever • Hypotension • Myalgia • Vomiting • Diarrhoea • Mucousal hyperemia • Rash – TSST 1 Antibody is seen in patients recovering from TSST
  • 41.
    Toxin mediated syndromes •Exfoliative (epidermolytic) toxin SSSS • Staphylococcal Scalded Skin Syndrome • Exfoliative disease • Outer layer of epidermis gets separated from underlying tissue • Severe form of SSSS in new born  Ritter’s disease • In older patients  Toxic epidermal Necrolysis • Milder forms – Phemphigus neonatorum – Bullous impetigo
  • 43.
    Staphylococcal diseases • Skinand soft tissue infections – Folliculitis – Furancle – Boils – Abscess – Wound infection – Carbuncle – Impetigo – Paronychia – Cellulitis • Musculoskeletal – Osteomyelitis – Arthritis – Bursitis – Pyomyositis
  • 45.
    Staphylococcal diseases • Respiratory –Tonsillitis – Pharyngitis – Sinusitis – Otitis – Bronchopneumonia – Lung abscess – Empyema • Central nervous system – Abscess – Meningitis – Intra cranial thrombophlebitis
  • 46.
    Staphylococcal diseases • Endovascular –Bacteremia – Septicemia – Pyemia – Endocarditis • Urinary tract infection – Uncommon – Present with instrumentation – Diabetes – Significant when associated with Bacteremia
  • 47.
    Bacteriophage typing • Strainto be typed is inoculated as lawn culture on nutrient agar • After drying phages are applied on marked squares in a fixed dose • After overnight incubation cultures will be observed to be lysed by some phages • Phage type of strain is expressed by the phages which lyse the bacteria • Phage typing is important in epidemiological studies.
  • 48.
  • 49.
    Epidemiology • Primarily colonizeskin • Respiratory & superficial infections disseminate into environment • 10-30% carry staphylococci in nose • 10 % have staphylococcal carriage in hair& perineum • 5-10% carriage is seen in vagina • Transmission of infection can be by contact, direct or through fomites, by dust or by airborne droplets • Nosocomial cross infection is very important  resistant strains
  • 50.
    LAB DIAGNOSIS • SPECIMENCOLLECTION • Microscopy • Culture • Identification – Catalase test – Coagulase test • Slide • Tube – Antibiotic sensitivity – Phage typing
  • 51.
    Treatment • Penicillin isdrug of choice • Methicillin/ cloxacillin in penicillin resistant cases • For MRSA  Vancomycin • Vancomycin, Teicoplanin resistant strains have appeared • Superficial infection  local application with bacitracin, Chlorhexidine or Mupirocin • Very resistant cases & chronic resistant carriers  Rifampicin along with oral antibiotic
  • 52.
    Coagulase negative Staphylococcci • Staphylococcusepidermidis – Commensal on skin – Can cause cystitis – Stitch abscess, artificial heart valves, shunts, intra vascular catheters& prosthetic appliances • Staphylococcus hemolyticus • Staphylococcus saprophyticus – Uti in young women