Welcome to Seminar
Dr. Maimuna Sayeed
Dr. Md. Tariqul Islam
Case Scenario
History
• 4 weeks old male
• Gets bluish after feeding or crying
• Previously well, full-term baby
• The family history was negative
Case Scenario (Contd.)
Physical
• Vigorous male, growing appropriately
• HR= 135, RR= 30, normal BP, no fever
• Lungs clear to auscultation b/l, no
wheezes, rhonchi, rales
• Purplish lips, hands and feet
• Grade III/VI systolic murmur loudest at
lower left sternal border
• Liver was 1.5cm below right costal margin
and a normal spleen
• Peripheral pulses equal in upper/lower
extremities, cap refill time < 3sec
Case Scenario (Contd.)
Workup
• PaO2 of 38mm Hg and a hyperoxia test
showed increase to 48mm Hg
• Electrocardiogram showed RVH
Case Scenario (Contd.)
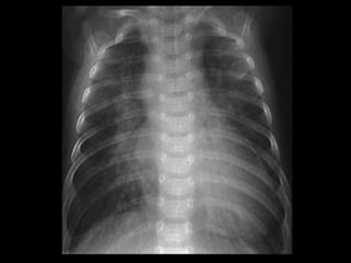
Chest X-ray
What could be the diagnosis
Congenital Cyanotic Heart Disease
(Tetralogy of Fallot)
Congenital Cyanotic Heart Disease
Overview
• Cyanosis in newborn
• Approach to Cyanotic CHD
Cyanosis in Newborn
• It is the bluish colouration of
skin and mucous membrane
due to increased
deoxygenated haemoglobin
in blood.
• Cyanosis becomes visible
when there is >3-5g/dl of
deoxygenated haemoglobin.
- T. L . Gomella, 2013
Why Cyanosis Develops?
• The degree of cyanosis depends on both oxygen
saturation and haemoglobin concentration.
• Cyanosis can be a sign of severe cardiac, respiratory
or neurologic compromise.
• Cyanosis can also be caused by a reduced blood
oxygen – carrying capacity secondary to an abnormal
form of hemoglobin such as methemoglobinemia.
Causes of Cyanosis in Newborn
A. Respiratory Diseases:
i. Parenchymal:
• Transient Tachypnea of Newborn (TTN)
• Hyaline membrane Disease (HMD)
• Aspiration - Meconium, blood, mucus or
milk
• Pneumonia
• Pulmonary
– Haemorrhage
– Edema
Causes of Cyanosis in New-born
(Contd.)
ii. Non-Parenchymal:
• Airway obstruction
– mucous plug
– choanal atresia
• External compression of the lungs
– any air leaks
– pleural effusion
• Congenital defects
– congenital diaphragmatic hernia
– hypoplastic lung
– adenomatoid malformation
– diaphragm abnormality
Causes of Cyanosis in Newborn
(Contd.)
B. Cardiac causes:
• Transposition of Great Arteries (TGA)
• Tetralogy of Fallot (TOF)
• Total Anomalous Pulmonary Venous
Return (TAPVR)
• Truncus arteriosus
• Tricuspid atresia
• Ebstien’s anomaly
• Single ventricle
• Hypoplastic Left Heart
• Double outlet right ventricle
• Persistent Pul HTN of Newborn (PPHN)
FiveTs
Causes of Cyanosis in New-born (Contd.)
C. CNS cause:
• Hypoxic Ischemic Encephalopathy
• Congenital Hydrocephalus
• Seizure
• Periventricular-intraventricular
hemorrhage
D. Miscellaneous:
• Methemoglobinemia
• Polycythemia
• Hypothermia
• Hypoglycemia
• Sepsis
Making the diagnosis
Immediate Questions:
• Does the infant have respiratory distress?
• Does the infant have a murmur?
• Was the infant cyanotic at birth?
• Is the cyanosis continuous, intermittent,
cyclical, sudden in onset, or occurring only
with feeding or crying?
Making the diagnosis (Contd.)
• Has the baby had the recommended pulse
oximetry screening for CHD?
• Is there differential cyanosis?
• What is the prenatal & delivery history?
Diagnosis
• After through history and
physical examination,
investigations according to
suspicion.
• Treatment according to
cause.
Approach For Congenital Heart Disease
In Newborn
Epidemiology of Congenital Heart
Diseases
• Structural Congenital Heart Disease is 6-8 per 1000
live births
• Major cause of death during 1st year of life after
prematurity (3/1000 live births)
- John P. Cloherty, Manual of Neonatal Care: 7th Edition
• Congenital heart defects account for 27% of infant
deaths worldwide.
- American Heart association Update, 2013
Estimated causes of neonatal mortality around
the year 2010 in Bangladesh
Data source: Bangladesh-specific mortality estimates (Liu et al. 2012).
Congenital Heart Disease documentation By
NNPD In Bangladesh, June 2014 – July, 2015
Etiology of CHD
Factors associated with
increased incidence:
High risk of CHD in children:
Prenatal factors: Genetic factors:
• Maternal rubella
• Radiation
• Alcoholism
• Age >40 yrs
• Insulin dependent
diabetes
• Fetal intra uterine
cardiac viral disease
• A sibling with a heart
defect
• A parent with CHD
• Chromosomal
aberration e.g. Down’s
syndrome
• Born with other
congenital anomalies
Common Presentations Of CHD
• Cyanosis
• CHF
• Asymptomatic heart murmur
• Arrhythmia
Relevant Clues From History For CHD
Family History:
The presence of a congenital heart lesion in a first-degree
relative can have considerable diagnostic relevance. The
recurrence rate in a first-degree relative is 1% to 4%. If
there are two affected first-degree relatives, the
recurrence rate is 3% to 12%.
E.g. ventricular septal defect, patent ductus arteriosus,
atrial septal defect, and tetralogy of Fallot
- Arthur J Mos. 1992
History
Maternal & Perinatal History-
• Maternal DM (Ventricular septal
hypertrophy)
• Maternal Rubella (PDA)
• Maternal exposure to alcohol or drugs
Physical Examination
• Dysmorphic face (Trisomies 13, 18, 21)
• Colour- Pallor or cyanosis
• Signs of respiratory distress like tachypnea, chest
indrawing
• Poor perfusions
• Pulse volume- bounding (PDA) or Diminished pulses
in the lower extremities (COA)
• Blood pressure is ≥10 mmHg in arms than legs in COA
Physical Examination (Contd.)
• Abnormal heart rate (may be high or low than
normal)
• Abnormal precordial activity (Dextrocardia,
cardiac enlargement, ventricular impulse)
• Abnormal S2 splitting
• A single S2 occurs-
– Aortic atresia
– Pulmonary atresia (PA)
– Truncus arteriosus (TAC)
– Severe pulmonary stenosis (PS)
Physical Examination (Contd.)
• Abnormal extra heart sounds (gallop, pericardial
friction rub)
• Pathologic murmurs (should be distinguished from
innocent murmur)
• Hepatomegaly
• Extracardiac abnormalities
Diagnostic Tools
• Chest X-ray
• Electrocardiogram
• Echocardiogram
• Arterial Blood Gas
• Hyperoxia test
• Pulse oxymetry
Cyanotic heart disease
↑ Pulmonary Flow ↓ Pulmonary Flow
• TGA • TOF
• Single Ventricle • Pulmonary Atresia
• Truncus Arteriosus • Tricuspid Atresia
• TAPVR w/o Obstruction • TAPVR With Obstruction
• Single Ventricle • Double Outlet Right Ventricle
• Hypoplastic Left Heart
Syndrome
• Ebstein Anomaly (of Tricuspid
Valve)
Transposition of the Great Arteries
Complete Transposition of the Great
Arteries
• 5% of all CHD
• Male: Female = 3:1
• Most common cyanotic condition that
requires hospitalization in the first two
weeks of life
• Aorta arises from the right ventricle
• Pulmonary artery arises from the left
ventricle
• Defect to permit mixing of two
circulations- ASD, VSD, PDA.
• VSD is present in 50% of cases, necessary
for survival
Clinical Symptoms
No mixing lesion and restrictive PFO
• Profound hypoxia
• Rapid deterioration
• Death in first hours of life
• Absent respiratory symptoms or limited to
tachypnea
• Single second heart sound, no murmurs
Clinical Symptoms (Contd.)
Mixing lesion present (VSD or large PDA)
• Large vigorous infant
• Cyanotic
• Little to no respiratory distress
• Most likely to develop CHF in first 3-4
months of life
Diagnosis
CXR
• Egg shaped cardiac silhouette
• Narrow superior mediastinum
ECG
• Normal or RVH
Echocardiography
• Transposed ventricular & arterial
connection
Management
• Prostaglandin to establish patency of the
ductus arteriosus
• Therapeutic balloon atrial septostomy
(Rashkind Procedure) if surgery is not
going to be performed immediately
• Improves mixing and pulmonary venous
return at the atrial level
• Definitive Surgery:
– Arterial switch operation (Jatene) - usually
within first 2 weeks
– Mustard operation
Tricuspid Atresia
Tricuspid Atresia (Contd.)
• Represents about 2% of structural heart
lesion
• Tricuspid valve fails to develop
• Hypoplasia of right heart
• Venous blood from right atrium depends
on open ASD or PFO, VSD, PDA
Tricuspid Atresia (Contd.)
Clinical Findings
• Cyanosis at birth
• Single S2
• Systolic murmur along left lower sternal
border
Diagnosis
• Chest X-Ray: Oligemic lung fields
Tricuspid Atresia (Contd.)
• ECG
– Left axis deviation
– Reveals left ventricular hypertrophy
• Echocardiography
– Absence of tricuspid valve
Tricuspid Atresia: Tx
• PGE1 administration necessary
• Rashkind Balloon atrial septostomy
• Pulmonary artery banding
• Glenn shunt
Superior and inferior vena cava are connected
directly to the pulmonary arteries - Between 3-6
month
• Fontan procedure
Anastomosis between Right atrium &
pulmonary artery - Between 1.5 – 3 year of age
Truncus Arteriosus
Truncus Arteriosus (Contd.)
• Failure of primitive truncus arteriosus to
divide into aorta and pulmonary Artery
• It constitute 1% of CHD
• VSD almost always present
• 4 types: According to arise of Pulmonary
Artery from common trunk
Truncus Arteriosus (Contd.)
Clinical Findings:
• Minimal cyanosis at birth
• Congestive Heart failure develops in 2-3
weeks
• Bounding pulses, pulse pressure widened
• Loud, single S2
• Systolic murmur heard at left sternal border
Diagnosis:
• ECG reveals biventricular hypertrophy
• Echocardiography:
• Demonstrates the large truncal artery
overriding the VSD and the pattern of origin of
the branch pulmonary arteries
Truncus Arteriosus (Contd.)
CXR
• Cardiomegaly
• Increased pulmonary vascularity
Truncus Arteriosus: Tx
Surgical repair (Rastelli repair)
• At 2 to 3 months of age
• Closing VSD
• Separation of pulmonary arteries from
truncus
• Placing conduit between right ventricle
and pulmonary arteries
Tetralogy of Fallot
Tetralogy of Fallot (Contd.)
• Constitute 10% of CHD
• Only 20% of TOF are cyanotic at neonatal
period
• Variable Degree of Pulmonary stenosis and
size of VSD determine present degree of
Cyanosis
Tetralogy of Fallot (Contd.)
Pathophysiology:
Increased resistance by the pulmonary stenosis
causes deoxygenated systemic venous return to be
diverted from RV, through VSD to the overriding aorta
and systemic circulation  systemic hypoxemia and
cyanosis
Tetralogy of Fallot (Contd.)
Symptoms:
• Dyspnea on exertion or when crying
• Tet spells: irritability, cyanosis,
hyperventilation and sometimes syncope
or convulsions due to cerebral hypoxemia.
Tetralogy of Fallot (Contd.)
Patients learn to alleviate symptoms by squatting which
increases systemic resistance and decreases the right-to-
left shunt and directs more blood to the pulmonary
circulation.
Tetralogy of Fallot (Contd.)
Physical exam:
• Clubbing of the fingers and toes
• Single S2
• Systolic ejection murmur heard at the
upper left sternal border
Lab Studies:
• CXR: prominent RV
• ECG: RVH, right axis deviation
• ECHO: displays and quantifies extent of RV
outflow tract obstruction
Tetralogy of Fallot (Contd.)
Complication:
• Hyper cyanotic spell
• Severe Polycythemia
• Cerebral thrombosis
• Cerebral abscess
• Infective endocarditis
• Heart failure
• Delayed growth, development and
puberty
Tetralogy of Fallot (Contd.)
Management:
• Correction of acidosis
• IV infusion of Prostaglandin E1 followed by
palliative surgery
• Correction of anemia by iron therapy
• Correction of dehydration.
• Treatment of cyanotic spell
• Treatment of polycythemia: Blood may be
replaced by plasma, dextran or saline after
phlebotomy.
• Prophylactic antibiotic
Cyanotic Spell - Treatment
• Knee chest position
• Oxygen inhalation
• Morphine: 50-100 µg/kg (sc, im, iv)
• Propranolol: 20 µg/kg iv
• Phenylephrine: 20 µg/kg iv
• Heavy sedation/anesthesia
• Assisted Ventilation
Definitive surgical
Palliative shunt
procedure
Modified Ballot-
Taussing (Gore-
Tex interposing)
shunt
Between the
subclavian artery
and ipsilateral
pulmonary artery
Complete surgical
repair
Patch closure of
the VSD
Widening of the
RVOT
Pulmonary
valvectomy
Total Anomalous Pulmonary Venous
Return
Pathophysiology
• The pulmonary veins drain into the RA or
its venous tributaries rather than the LA
• A interatrial communication (ASD or PFO)
is necessary for survival
• Systemic and pulmonary venous blood are
completely mixed thus produces cyanosis
Types of TAPVR
• Supracardiac (50%): Common pulmonary
vein drains into the SVC via vertical vein
• Cardiac(25%): The common PV drains into
the right atrium and/or the coronary sinus
• Infracardiac(20%): The common PV drains
into the IVC or one of its major tributaries
often via ductus venosus
• Mixed(5%)
Features
Unobstructed PVR
• Mild to moderate desaturation, signs of
CHF
• Systolic murmur heard at the LSB
Obstructed PVR
• Severe cyanosis
• Respiratory distress
• Infants are severely ill
• Fail to respond to mechanical ventilation
Diagnosis
Chest X-Ray:
• Snowman or figure of 8 appearance
• Cardiomegaly
• Plethoric lung field
Diagnosis (Contd.)
ECG:
• RVH
Echo:
• RVH
• Identify pattern of abnormal pulmonary
venous connection
Treatment
• Digitalis and diuretics to treat heart failure
• Corrective surgery
Hypoplastic Left Heart
Hypoplastic Left Heart
• 2-3% of all CHD
• Presents first week of life, as PDA closes
symptoms develop
• Ductal dependant systemic blood flow
Clinical Feature
• Cyanosis
• Poor perfusion
• Absent or weak pulse
• Right parasternal heave
• Systolic murmur
Diagnosis
• Chest X-Ray
– Cardiomegaly
– Plethoric
• ECG
– RVH
• ECHO
– Absence or hypoplasia of mitral valve & aortic
root
– small left atrium & left ventricle
Treatment of Hypoplastic Left Heart
• Correction of acidosis & hypoglycemia
• PGE1
• Balloon dilatation of atrial septum
• Norwood procedure
• Sano procedure
Single Ventricle
Clinical Feature
• Cyanosis
• Poor peripheral perfusion
• The first heart sound is normal
• The second heart sound is single & loud
• A systolic ejection murmur
Diagnosis (Contd.)
Chest radiography:
• With pulmonary stenosis, the cardiac
silhouette is normal to mildly enlarged.
Pulmonary vascularity is not increased.
• With arch obstruction, the cardiac
silhouette is usually at least mildly
enlarged. Pulmonary vascularity usually is
increased.
Diagnosis
ECG:
Ventricular hypertrophy
Echocardiography:
Two-dimensional echocardiography and
Doppler analysis is diagnostic for single
ventricle.
Treatment
Surgery:
• If pulmonary stenosis is severe, a Blalock-
Taussing aortopulmonary shunt
• If pulmonary blood flow is unrestricted,
pulmonary arterial banding
• The bidirectional Glenn shunt followed by
a modified Fontan operation
• If sub-aortic stenosis anastomosing the
proximal pulmonary artery to the side of
the ascending aorta (Damus-Stansel Kaye
operation).
Double Outlet Right Ventricle
Pathophysiology
• Both great arteries arise from the right
ventricle in association with a nonrestrictive
VSD.
• Left-to-right shunting across the VSD results in
pulmonary over circulation, pulmonary
hypertension, and congestive heart failure.
• Pulmonary stenosis results in right-to-left
shunting and cyanosis.
Symptoms
• Baby tires easily, especially when feeding
• Cyanosis
• Congestive heart failure
• Single S2
• Systolic murmur
Diagnosis
Chest X-Ray
• DORV without PS
– Cardiomegaly
– plethora
• DORV with PS
– Heart is normal
– pulmonary vascular is oligemic
Diagnosis (Contd.)
ECG
Right axis deviation with Right, Left or bi ventricular
hypertrophy
Echo
The location and size of VSD
The position of aorta and pulmonary artery out from
ventricle
Treatment
• Pulmonary arterial banding followed by
surgical correction
• Intraventricular tunnel repair
• Switch repair ( arterial, atrial ) Taussing-
Bing heart
• Rastelli operation
Ebstein Anomaly
Pathophysiology
• Downward displacement of an abnormal
tricuspid valve into the right ventricle
• Right ventricle divided into 2 parts -
Arterialized part & normal ventricular
myocardium
• Functional pulmonary atresia
Clinical Features
• Cyanosis
• Cardiac dysrhythmia
• Gallop rhythm
• Hollo systolic murmur
Diagnosis
• CXR: Cardiomegaly with huge RA
• ECG: Right bundle branch block, tall p
wave, prolonged PR interval
• ECHO: Displacement of tricuspid valve,
dilated Right atrium, Right ventricular
outflow tract obstruction
Treatment
• Neonate with severe hypoxemia: PGE1
• Starness procedure : Surgical patch closure
of tricuspid valve, atrial septectomy,
placement of a aortopulmonary shunt
• Glenn shunt
• Fontan operation
Take Home Message
Cyanotic Congenital heart disease in the newborn is a
unique and complex problem faced by both
neonatologists and cardiologists as it requires skilful
handling and balancing of both neonatal issues as well as
cardiac physiology. So rapid diagnosis and appropriate
management is the key to reduce mortality and
morbidity in this delicate newborn population.
Thank You

Cyanotic CHD

  • 1.
    Welcome to Seminar Dr.Maimuna Sayeed Dr. Md. Tariqul Islam
  • 2.
    Case Scenario History • 4weeks old male • Gets bluish after feeding or crying • Previously well, full-term baby • The family history was negative
  • 3.
    Case Scenario (Contd.) Physical •Vigorous male, growing appropriately • HR= 135, RR= 30, normal BP, no fever • Lungs clear to auscultation b/l, no wheezes, rhonchi, rales • Purplish lips, hands and feet • Grade III/VI systolic murmur loudest at lower left sternal border • Liver was 1.5cm below right costal margin and a normal spleen • Peripheral pulses equal in upper/lower extremities, cap refill time < 3sec
  • 4.
    Case Scenario (Contd.) Workup •PaO2 of 38mm Hg and a hyperoxia test showed increase to 48mm Hg • Electrocardiogram showed RVH
  • 5.
  • 6.
    What could bethe diagnosis
  • 7.
    Congenital Cyanotic HeartDisease (Tetralogy of Fallot)
  • 8.
  • 9.
    Overview • Cyanosis innewborn • Approach to Cyanotic CHD
  • 10.
    Cyanosis in Newborn •It is the bluish colouration of skin and mucous membrane due to increased deoxygenated haemoglobin in blood. • Cyanosis becomes visible when there is >3-5g/dl of deoxygenated haemoglobin. - T. L . Gomella, 2013
  • 11.
    Why Cyanosis Develops? •The degree of cyanosis depends on both oxygen saturation and haemoglobin concentration. • Cyanosis can be a sign of severe cardiac, respiratory or neurologic compromise. • Cyanosis can also be caused by a reduced blood oxygen – carrying capacity secondary to an abnormal form of hemoglobin such as methemoglobinemia.
  • 12.
    Causes of Cyanosisin Newborn A. Respiratory Diseases: i. Parenchymal: • Transient Tachypnea of Newborn (TTN) • Hyaline membrane Disease (HMD) • Aspiration - Meconium, blood, mucus or milk • Pneumonia • Pulmonary – Haemorrhage – Edema
  • 13.
    Causes of Cyanosisin New-born (Contd.) ii. Non-Parenchymal: • Airway obstruction – mucous plug – choanal atresia • External compression of the lungs – any air leaks – pleural effusion • Congenital defects – congenital diaphragmatic hernia – hypoplastic lung – adenomatoid malformation – diaphragm abnormality
  • 14.
    Causes of Cyanosisin Newborn (Contd.) B. Cardiac causes: • Transposition of Great Arteries (TGA) • Tetralogy of Fallot (TOF) • Total Anomalous Pulmonary Venous Return (TAPVR) • Truncus arteriosus • Tricuspid atresia • Ebstien’s anomaly • Single ventricle • Hypoplastic Left Heart • Double outlet right ventricle • Persistent Pul HTN of Newborn (PPHN) FiveTs
  • 15.
    Causes of Cyanosisin New-born (Contd.) C. CNS cause: • Hypoxic Ischemic Encephalopathy • Congenital Hydrocephalus • Seizure • Periventricular-intraventricular hemorrhage D. Miscellaneous: • Methemoglobinemia • Polycythemia • Hypothermia • Hypoglycemia • Sepsis
  • 16.
    Making the diagnosis ImmediateQuestions: • Does the infant have respiratory distress? • Does the infant have a murmur? • Was the infant cyanotic at birth? • Is the cyanosis continuous, intermittent, cyclical, sudden in onset, or occurring only with feeding or crying?
  • 17.
    Making the diagnosis(Contd.) • Has the baby had the recommended pulse oximetry screening for CHD? • Is there differential cyanosis? • What is the prenatal & delivery history?
  • 18.
    Diagnosis • After throughhistory and physical examination, investigations according to suspicion. • Treatment according to cause.
  • 19.
    Approach For CongenitalHeart Disease In Newborn
  • 20.
    Epidemiology of CongenitalHeart Diseases • Structural Congenital Heart Disease is 6-8 per 1000 live births • Major cause of death during 1st year of life after prematurity (3/1000 live births) - John P. Cloherty, Manual of Neonatal Care: 7th Edition • Congenital heart defects account for 27% of infant deaths worldwide. - American Heart association Update, 2013
  • 21.
    Estimated causes ofneonatal mortality around the year 2010 in Bangladesh Data source: Bangladesh-specific mortality estimates (Liu et al. 2012).
  • 22.
    Congenital Heart Diseasedocumentation By NNPD In Bangladesh, June 2014 – July, 2015
  • 23.
    Etiology of CHD Factorsassociated with increased incidence: High risk of CHD in children: Prenatal factors: Genetic factors: • Maternal rubella • Radiation • Alcoholism • Age >40 yrs • Insulin dependent diabetes • Fetal intra uterine cardiac viral disease • A sibling with a heart defect • A parent with CHD • Chromosomal aberration e.g. Down’s syndrome • Born with other congenital anomalies
  • 24.
    Common Presentations OfCHD • Cyanosis • CHF • Asymptomatic heart murmur • Arrhythmia
  • 25.
    Relevant Clues FromHistory For CHD Family History: The presence of a congenital heart lesion in a first-degree relative can have considerable diagnostic relevance. The recurrence rate in a first-degree relative is 1% to 4%. If there are two affected first-degree relatives, the recurrence rate is 3% to 12%. E.g. ventricular septal defect, patent ductus arteriosus, atrial septal defect, and tetralogy of Fallot - Arthur J Mos. 1992
  • 26.
    History Maternal & PerinatalHistory- • Maternal DM (Ventricular septal hypertrophy) • Maternal Rubella (PDA) • Maternal exposure to alcohol or drugs
  • 27.
    Physical Examination • Dysmorphicface (Trisomies 13, 18, 21) • Colour- Pallor or cyanosis • Signs of respiratory distress like tachypnea, chest indrawing • Poor perfusions • Pulse volume- bounding (PDA) or Diminished pulses in the lower extremities (COA) • Blood pressure is ≥10 mmHg in arms than legs in COA
  • 28.
    Physical Examination (Contd.) •Abnormal heart rate (may be high or low than normal) • Abnormal precordial activity (Dextrocardia, cardiac enlargement, ventricular impulse) • Abnormal S2 splitting • A single S2 occurs- – Aortic atresia – Pulmonary atresia (PA) – Truncus arteriosus (TAC) – Severe pulmonary stenosis (PS)
  • 29.
    Physical Examination (Contd.) •Abnormal extra heart sounds (gallop, pericardial friction rub) • Pathologic murmurs (should be distinguished from innocent murmur) • Hepatomegaly • Extracardiac abnormalities
  • 30.
    Diagnostic Tools • ChestX-ray • Electrocardiogram • Echocardiogram • Arterial Blood Gas • Hyperoxia test • Pulse oxymetry
  • 31.
    Cyanotic heart disease ↑Pulmonary Flow ↓ Pulmonary Flow • TGA • TOF • Single Ventricle • Pulmonary Atresia • Truncus Arteriosus • Tricuspid Atresia • TAPVR w/o Obstruction • TAPVR With Obstruction • Single Ventricle • Double Outlet Right Ventricle • Hypoplastic Left Heart Syndrome • Ebstein Anomaly (of Tricuspid Valve)
  • 32.
    Transposition of theGreat Arteries
  • 33.
    Complete Transposition ofthe Great Arteries • 5% of all CHD • Male: Female = 3:1 • Most common cyanotic condition that requires hospitalization in the first two weeks of life • Aorta arises from the right ventricle • Pulmonary artery arises from the left ventricle • Defect to permit mixing of two circulations- ASD, VSD, PDA. • VSD is present in 50% of cases, necessary for survival
  • 36.
    Clinical Symptoms No mixinglesion and restrictive PFO • Profound hypoxia • Rapid deterioration • Death in first hours of life • Absent respiratory symptoms or limited to tachypnea • Single second heart sound, no murmurs
  • 37.
    Clinical Symptoms (Contd.) Mixinglesion present (VSD or large PDA) • Large vigorous infant • Cyanotic • Little to no respiratory distress • Most likely to develop CHF in first 3-4 months of life
  • 38.
    Diagnosis CXR • Egg shapedcardiac silhouette • Narrow superior mediastinum ECG • Normal or RVH Echocardiography • Transposed ventricular & arterial connection
  • 40.
    Management • Prostaglandin toestablish patency of the ductus arteriosus • Therapeutic balloon atrial septostomy (Rashkind Procedure) if surgery is not going to be performed immediately • Improves mixing and pulmonary venous return at the atrial level • Definitive Surgery: – Arterial switch operation (Jatene) - usually within first 2 weeks – Mustard operation
  • 41.
  • 42.
    Tricuspid Atresia (Contd.) •Represents about 2% of structural heart lesion • Tricuspid valve fails to develop • Hypoplasia of right heart • Venous blood from right atrium depends on open ASD or PFO, VSD, PDA
  • 44.
    Tricuspid Atresia (Contd.) ClinicalFindings • Cyanosis at birth • Single S2 • Systolic murmur along left lower sternal border Diagnosis • Chest X-Ray: Oligemic lung fields
  • 45.
    Tricuspid Atresia (Contd.) •ECG – Left axis deviation – Reveals left ventricular hypertrophy • Echocardiography – Absence of tricuspid valve
  • 46.
    Tricuspid Atresia: Tx •PGE1 administration necessary • Rashkind Balloon atrial septostomy • Pulmonary artery banding • Glenn shunt Superior and inferior vena cava are connected directly to the pulmonary arteries - Between 3-6 month • Fontan procedure Anastomosis between Right atrium & pulmonary artery - Between 1.5 – 3 year of age
  • 48.
  • 49.
    Truncus Arteriosus (Contd.) •Failure of primitive truncus arteriosus to divide into aorta and pulmonary Artery • It constitute 1% of CHD • VSD almost always present • 4 types: According to arise of Pulmonary Artery from common trunk
  • 51.
    Truncus Arteriosus (Contd.) ClinicalFindings: • Minimal cyanosis at birth • Congestive Heart failure develops in 2-3 weeks • Bounding pulses, pulse pressure widened • Loud, single S2 • Systolic murmur heard at left sternal border Diagnosis: • ECG reveals biventricular hypertrophy • Echocardiography: • Demonstrates the large truncal artery overriding the VSD and the pattern of origin of the branch pulmonary arteries
  • 52.
    Truncus Arteriosus (Contd.) CXR •Cardiomegaly • Increased pulmonary vascularity
  • 54.
    Truncus Arteriosus: Tx Surgicalrepair (Rastelli repair) • At 2 to 3 months of age • Closing VSD • Separation of pulmonary arteries from truncus • Placing conduit between right ventricle and pulmonary arteries
  • 55.
  • 56.
    Tetralogy of Fallot(Contd.) • Constitute 10% of CHD • Only 20% of TOF are cyanotic at neonatal period • Variable Degree of Pulmonary stenosis and size of VSD determine present degree of Cyanosis
  • 58.
    Tetralogy of Fallot(Contd.) Pathophysiology: Increased resistance by the pulmonary stenosis causes deoxygenated systemic venous return to be diverted from RV, through VSD to the overriding aorta and systemic circulation  systemic hypoxemia and cyanosis
  • 61.
    Tetralogy of Fallot(Contd.) Symptoms: • Dyspnea on exertion or when crying • Tet spells: irritability, cyanosis, hyperventilation and sometimes syncope or convulsions due to cerebral hypoxemia.
  • 62.
    Tetralogy of Fallot(Contd.) Patients learn to alleviate symptoms by squatting which increases systemic resistance and decreases the right-to- left shunt and directs more blood to the pulmonary circulation.
  • 64.
    Tetralogy of Fallot(Contd.) Physical exam: • Clubbing of the fingers and toes • Single S2 • Systolic ejection murmur heard at the upper left sternal border Lab Studies: • CXR: prominent RV • ECG: RVH, right axis deviation • ECHO: displays and quantifies extent of RV outflow tract obstruction
  • 66.
    Tetralogy of Fallot(Contd.) Complication: • Hyper cyanotic spell • Severe Polycythemia • Cerebral thrombosis • Cerebral abscess • Infective endocarditis • Heart failure • Delayed growth, development and puberty
  • 67.
    Tetralogy of Fallot(Contd.) Management: • Correction of acidosis • IV infusion of Prostaglandin E1 followed by palliative surgery • Correction of anemia by iron therapy • Correction of dehydration. • Treatment of cyanotic spell • Treatment of polycythemia: Blood may be replaced by plasma, dextran or saline after phlebotomy. • Prophylactic antibiotic
  • 68.
    Cyanotic Spell -Treatment • Knee chest position • Oxygen inhalation • Morphine: 50-100 µg/kg (sc, im, iv) • Propranolol: 20 µg/kg iv • Phenylephrine: 20 µg/kg iv • Heavy sedation/anesthesia • Assisted Ventilation
  • 69.
    Definitive surgical Palliative shunt procedure ModifiedBallot- Taussing (Gore- Tex interposing) shunt Between the subclavian artery and ipsilateral pulmonary artery Complete surgical repair Patch closure of the VSD Widening of the RVOT Pulmonary valvectomy
  • 71.
  • 72.
    Pathophysiology • The pulmonaryveins drain into the RA or its venous tributaries rather than the LA • A interatrial communication (ASD or PFO) is necessary for survival • Systemic and pulmonary venous blood are completely mixed thus produces cyanosis
  • 73.
    Types of TAPVR •Supracardiac (50%): Common pulmonary vein drains into the SVC via vertical vein • Cardiac(25%): The common PV drains into the right atrium and/or the coronary sinus • Infracardiac(20%): The common PV drains into the IVC or one of its major tributaries often via ductus venosus • Mixed(5%)
  • 74.
    Features Unobstructed PVR • Mildto moderate desaturation, signs of CHF • Systolic murmur heard at the LSB Obstructed PVR • Severe cyanosis • Respiratory distress • Infants are severely ill • Fail to respond to mechanical ventilation
  • 75.
    Diagnosis Chest X-Ray: • Snowmanor figure of 8 appearance • Cardiomegaly • Plethoric lung field
  • 77.
    Diagnosis (Contd.) ECG: • RVH Echo: •RVH • Identify pattern of abnormal pulmonary venous connection
  • 78.
    Treatment • Digitalis anddiuretics to treat heart failure • Corrective surgery
  • 79.
  • 80.
    Hypoplastic Left Heart •2-3% of all CHD • Presents first week of life, as PDA closes symptoms develop • Ductal dependant systemic blood flow
  • 83.
    Clinical Feature • Cyanosis •Poor perfusion • Absent or weak pulse • Right parasternal heave • Systolic murmur
  • 84.
    Diagnosis • Chest X-Ray –Cardiomegaly – Plethoric • ECG – RVH • ECHO – Absence or hypoplasia of mitral valve & aortic root – small left atrium & left ventricle
  • 85.
    Treatment of HypoplasticLeft Heart • Correction of acidosis & hypoglycemia • PGE1 • Balloon dilatation of atrial septum • Norwood procedure • Sano procedure
  • 86.
  • 88.
    Clinical Feature • Cyanosis •Poor peripheral perfusion • The first heart sound is normal • The second heart sound is single & loud • A systolic ejection murmur
  • 89.
    Diagnosis (Contd.) Chest radiography: •With pulmonary stenosis, the cardiac silhouette is normal to mildly enlarged. Pulmonary vascularity is not increased. • With arch obstruction, the cardiac silhouette is usually at least mildly enlarged. Pulmonary vascularity usually is increased.
  • 90.
  • 91.
    Treatment Surgery: • If pulmonarystenosis is severe, a Blalock- Taussing aortopulmonary shunt • If pulmonary blood flow is unrestricted, pulmonary arterial banding • The bidirectional Glenn shunt followed by a modified Fontan operation • If sub-aortic stenosis anastomosing the proximal pulmonary artery to the side of the ascending aorta (Damus-Stansel Kaye operation).
  • 92.
  • 94.
    Pathophysiology • Both greatarteries arise from the right ventricle in association with a nonrestrictive VSD. • Left-to-right shunting across the VSD results in pulmonary over circulation, pulmonary hypertension, and congestive heart failure. • Pulmonary stenosis results in right-to-left shunting and cyanosis.
  • 95.
    Symptoms • Baby tireseasily, especially when feeding • Cyanosis • Congestive heart failure • Single S2 • Systolic murmur
  • 96.
    Diagnosis Chest X-Ray • DORVwithout PS – Cardiomegaly – plethora • DORV with PS – Heart is normal – pulmonary vascular is oligemic
  • 97.
    Diagnosis (Contd.) ECG Right axisdeviation with Right, Left or bi ventricular hypertrophy Echo The location and size of VSD The position of aorta and pulmonary artery out from ventricle
  • 98.
    Treatment • Pulmonary arterialbanding followed by surgical correction • Intraventricular tunnel repair • Switch repair ( arterial, atrial ) Taussing- Bing heart • Rastelli operation
  • 99.
  • 101.
    Pathophysiology • Downward displacementof an abnormal tricuspid valve into the right ventricle • Right ventricle divided into 2 parts - Arterialized part & normal ventricular myocardium • Functional pulmonary atresia
  • 102.
    Clinical Features • Cyanosis •Cardiac dysrhythmia • Gallop rhythm • Hollo systolic murmur
  • 103.
    Diagnosis • CXR: Cardiomegalywith huge RA • ECG: Right bundle branch block, tall p wave, prolonged PR interval • ECHO: Displacement of tricuspid valve, dilated Right atrium, Right ventricular outflow tract obstruction
  • 105.
    Treatment • Neonate withsevere hypoxemia: PGE1 • Starness procedure : Surgical patch closure of tricuspid valve, atrial septectomy, placement of a aortopulmonary shunt • Glenn shunt • Fontan operation
  • 106.
    Take Home Message CyanoticCongenital heart disease in the newborn is a unique and complex problem faced by both neonatologists and cardiologists as it requires skilful handling and balancing of both neonatal issues as well as cardiac physiology. So rapid diagnosis and appropriate management is the key to reduce mortality and morbidity in this delicate newborn population.
  • 107.