Tetralogy of Fallot
 Most common cyanotic heart defect seen in
children beyond infancy, accounting for a third
of all congenital heart disease (CHD) in this age
group
 Tetralogy of Fallot (TOF) is a congenital heart
defect, which has four anatomical components:
 Anterior malalignment ventricular septal defect
(VSD)
 Aortic override over the muscular septum
 Variable degrees of subvalvar, valvar, and
supravalvar pulmonary stenosis
 Right ventricular (RV) infundibular narrowing and
RV hypertrophy
 The four salient anatomic components of Fallot’s
tetralogy result from a specific morphogenetic
abnormality:
Malalignment of the
infundibular septum
Embryology
 In the normal heart, division of the fetal conotruncus
culminates in alignment of the infundibular septum
with the muscular trabecular septum
 In Fallot’s tetralogy, the infundibular septum
deviates anteriorly and cephalad and is therefore not
aligned with the trabecular septum, creating a
ventricular septal defect at the site of malalignment
 The deviation of the infundibular septum encroaches
on the right ventricular outflow tract and causes
infundibular stenosis and a biventricular (overriding)
aorta
 Malaligned ventricular septal defects are located
in the perimembranous septum with extension
into the infundibular septum
 Atrioventricular conduction is normal
Ventricular septal defect
 This condition is usually a large non-restrictive
defect (i.e. no obstruction to flow across the
VSD)
 It is often located in the perimembranous and
muscular regions of the ventricular septum,
allowing shunting of blood between the ventricles
(right to left in a classical cyanotic ToF)
RV outflow tract obstruction
 The obstruction to pulmonary blood flow at the
level of the RV outflow tract (RVOT) is a key
feature of ToF
 The RVOTO subsequently causes the RVH
(another key feature of ToF)
 In the presence of an unrestrictive VSD,
worsening RVOTO increases the RV pressure,
drives a right-to-left shunt through the VSD,
reduces pulmonary blood flow, and leads to
hypoxaemia
 Assuming the patent ductus arteriosus (PDA) is
closed and there is no collateral supply, then the more
severe the RVOTO, the more hypoxaemic the patient
may be on presentation
 A key feature is obstruction at the sub-valvular
RVOT (in 50% of patients)
 However, the obstruction may be at the pulmonary
valve (10%), above the pulmonary valve (10%), or a
mixture (30%)
 Complete occlusion of the RVOT is known as
Pulmonary Atresia
Overriding aorta
 This condition describes the ventriculoarterial
connection where the aorta can override the VSD to
varying degrees, because of malalignment of the
outlet component of the septum
 In ToF, the aorta still arises from the left ventricle, with
only some origin from the right ventricle
 If the aorta arises predominantly from the right
ventricle, then this abnormality may be called double-
outlet right ventricle (DORV), and the physiology is
determined by the VSD position and associated RV or
left ventricular (LV ) outflow obstruction
RV hypertrophy
 RV hypertrophy develops as a consequence of
the RVOTO because increased RV pressure
needs to be generated to maintain pulmonary
blood flow
Genetics
 Chromosomal anomalies are involved in about 12
percent of the cases, e.g. trisomy 21 (Down
syndrome), trisomy 13 (Patau syndrome) and trisomy
18 (Edwards syndrome)
 DiGeorge Syndrome 22q11 microdeletion
 Alagille syndrome
 CHARGE (coloboma, heart defect, atresia choanae,
retarded growth and development, genital
abnormality, ear abnormality) syndrome
 VACTERL
 Patients with TOF and Down syndrome
frequently have a particularly large VSD in the
inlet septum
 Coronary abnormalities occur in 5 percent,
anomalous origin of left anterior descending
(LAD) artery from the right coronary artery
(RCA) being the most common
Natural History
 Two thirds of patients reached their first birthday
 Approximately half reached age 3 years
 Approximately a quarter completed the first
decade of life
 The attrition rate was then 6.4% per year with
 11% alive at age 20 years
 6% at age 30 years
 3% at age 40 years
Natural History of Pulmonary
Atresia
 If pulmonary atresia is present as well, survival
is even poorer with only 50 percent of patients
surviving to 1 year and only 8 percent of
patients surviving to 10 years
 Adequate collateral blood flow occasionally
permits survival into adolescence and adulthood
Hemodynamics
 The important features that determine the
hemodynamic consequences in patients with
ventricular septal defect and pulmonary stenosis
are the
 Size of the defect
 The severity of the stenosis, and
 Level of systemic vascular resistance
‘Pink’ Fallot
 Children with this variant are acyanotic with normal or
near-normal oxygen saturations
 There is minimal or no RVOTO
 Physiologically, the lesion behaves like a large
unrestricted VSD with a left-to-right shunt
 Patients can present with heart failure or other
features of the left-to-right shunt, although this
condition can change with time as the child grows,
and features are more like the features of a classical
ToF
Fallot-type pulmonary atresia (15%
of ToF)
 This type is the severest variant, characterised by
complete atresia (i.e. complete occlusion) of the
pulmonary valve
 Therefore, there is no forward flow of blood from the RV
into the pulmonary artery
 Intracardiac mixing is essential, and all pulmonary blood
flow must be supplied from the aorta either by a PDA
(‘duct-dependent pulmonary circulation’) or from major
collaterals from the aorta to the pulmonary arteries (major
aortopulmonary collateral arteries, MAPCAs)
 In the neonatal period, prostaglandin (either alprostadil
[prostaglandin E1] or dinoprostone [prostaglandin E2]) may
be required acutely to maintain any pulmonary blood flow
through the PDA
ToF with absent pulmonary valve
(6% of ToF)
 There is no pulmonary valve, but the RVOT is
open
 These infants are often acyanotic because there
is no RVOTO, but the condition is notable for
respiratory complications that develop secondary
to massive aneurysmal dilatation of the
pulmonary arteries caused by absence of the
pulmonary valve, with obligatory pulmonary
regurgitation
 These aneurysmal dilatations externally
compress the distal trachea and bronchi causing
intrathoracic airway obstruction, lung atelectasis,
Clinical Features
 The tetralogy usually comes to light in neonates and
infants
 When the shunt is left-to-right, initial suspicion is a
prominent systolic murmur
 When the shunt is balanced, the murmur persists in
addition to mild, intermittent, or stress-induced
cyanosis
 When the shunt is reversed, the prominence of the
systolic murmur is inversely proportional to the degree
of cyanosis
 The clinical course in early infancy is often benign
 Mild to moderate neonatal cyanosis tends to increase,
but cyanosis may be delayed for months and is
coupled with increased oxygen requirements of the
growing infant rather than with progressive
obstruction to right ventricular outflow
 Patients seldom remain acyanotic after the first few
years of life, and by 5 to 8 years of age, most children
are conspicuously cyanotic, with cyanosis closely
coupled to the severity of pulmonary stenosis
 The degree of right ventricular outflow tract
obstruction (RVOTO) often correlates with the
degree of cyanosis and the timing of presentation
 Thus patients with mild pulmonary obstruction
present late, perhaps even in adulthood, the so-
called “pink TOF”, while patients with severe
obstruction may present soon after birth on
closure of the ductus arteriosus
 In less severe cases, cyanosis is first noticed
during crying
Cyanotic Spells
 Spell usually occurs in infants between 3 to 24
months of age
 Typical spell is characterized by progressive increase
in the rate and depth of respiration, deepening
cyanosis, limpness or syncope
 Convulsions, cerebrovasclur accident and death are
potential complications
 Spells are less common after 2 years
 Initiated usually by crying, feeding or bowel
movement, spells are particularly common after
getting up from sleep
Wood's theory
 Hypoxemic spells are
caused by:
 Spasm of the infundibulum
of the right ventricle
 Progressively increasing
right to left shunting
 Metabolic acidosis
Catecholamine release
 Leads to increased myocardial contractility and
infundibular stenosis
 (both these theories do not explain the cause of
cyanotic spells in patients with tetralogy of Fallot
with pulmonary atresia).
Guntheroth's theory
 Episodes of paroxysmal hyperpnoea are the
cause rather than the effect of cyanotic spells
 Hyperpnoea
 Increased systemic venous return
 Right to left shunt as well as oxygen consumption
through increase work of breathing
Kothari's theory
 Stimulation of mechanoreceptors in the right
ventricle to be the cause of spells
Morgan’s theory
 Vulnerable respiratory centre which over-
reacts to hypoxic stimuli like crying, feeding
Young’s theory
 It was proposed that the spell was precipitated by
an atrial tachycardia
Squatting in TOF
 Squatting is of diagnostic significance in TOF
 Squatting increases peripheral vascular
resistance and thus decreases the magnitude of
the right to left shunt across the VSD
 Locking up the more desaturated lower limb
venous blood and displacing the better
oxygenated mesenteric venous blood into the
right heart may be the other benefits of squatting
Squatting Equivalents
 Recurrent hypoxic spells sometimes lead to
brain damage and mental retardation
 Cerebral venous sinus thromboses and small
occult thromboses may become manifest after
prolonged hypoxic spells
 Hypernasal resonance or nasal speech
(velopharyngeal insufficiency) may develop after
repeated or prolonged spells because nasal
resonance is compromised by improper
approximation of the velum (soft palate) and the
pharyngeal walls
 Brain abscess and cerebral embolism add to the
list of central nervous system complications
 Iron deficient erythrocytosis in patients less
than 4 years of age increases the risk of cerebral
venous sinus thrombosis
 Wheezing and stridor have been attributed to
tracheal compression by an enlarged aorta
 A stenotic pulmonary valve and an incompetent
aortic valve are substrates for infective
endocarditis
Physical Examination
 Most infants are smaller than expected for age
 Cyanosis of the lips and nail bed may be noticed at birth
or may appear later
 Cyanosis in TOF is determined by the severity of
pulmonary stenosis and also to a lesser extent by
systemic to pulmonary collaterals
 Infundibular stenosis worsens as the infant grows so that a
previously pink baby turns blue
 In the case of pulmonary atresia, cyanosis sometimes
may be absent due to systemic pulmonary collaterals
 Clubbing may be present after 3 months of life.
 S1 is normal, while S2 is single due to a faint P2
 Delayed and hesitant closure of the pulmonary
valve due to the slow pressure drop in the
stenotic infundibular chamber, associated valvar
stenosis and the overriding aorta all contribute to
the single S2
 A prominent ejection systolic murmur, is heard
at the mid and upper left sternal border
 The intensity of this murmur is inversely
proportional to the severity of stenosis
 With more severe stenosis RV pumps more into
the aorta and less across the RVOT, decreasing
the murmur
 The murmur disappears during a spell
 An aortic ejection click due to the dilated
ascending aorta may be heard over the apex
 A continuous murmur below the left clavicle
denotes a patent ductus arteriosus (PDA)
 A more widely heard continuous murmur,
especially over the back, is due to systemic-
pulmonary collaterals
Investigations
ECG in TOF
 In the newborn, the EKG may be normal but over
the first weeks of life normal regression of right
ventricular preponderance is not seen
 Right ventricular hypertrophy is the hallmark EKG
finding in the patient with tetralogy of Fallot and is
of value in the differential diagnosis from
ventricular septal defect
 Tall R waves in the right precordial leads (V1-V2)
are usually seen
Whereas the R wave in V1 is tall and usually
monophasic, R wave in V2 is much shorter –
the so called “sudden transition” is
characteristic
 Right-axis deviation may accompany right
ventricular hypertrophy, additionally, right atrial
enlargement is manifested by tall P waves (P
pulmonale)
 Left-axis deviation suggests an associated
complete AV canal defect
 Sudden transition of the QRS complex
morphology in leads V1 and V2 is a common
pattern in patients with tetralogy of Fallot. There is
a Rs pattern with a tall R wave in lead V1, and a
rS pattern from leads V2 or V3 to lead V6
 With pulmonary atresia and
an abundant collateral arterial
circulation, P waves are broad
and bifid because of increased
flow into the left atrium
 Q waves with well-developed
R waves appear in leads V5-6
because of increased flow
into the left ventricle
 ST segment and T wave
abnormalities may be found in
midprecordial leads
Chest Xray
 Findings on an x-ray diagnostic of tetralogy of
fallot include:
 Normal or decreased pulmonary vascularity
 Concave pulmonary artery segment
 A right sided aortic arch may also be present.
 There is pruning or reduction in the prominence of
the pulmonary vasculature over time
Chest X-Ray
 Plain films may classically show a "boot shaped"
heart with an upturned cardiac apex due to right
ventricular hypertrophy and concave
pulmonary arterial segment
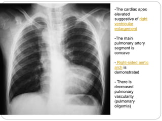
-The cardiac apex
elevated
suggestive of right
ventricular
enlargement
-The main
pulmonary artery
segment is
concave
- Right-sided aortic
arch is
demonstrated
- There is
decreased
pulmonary
vascularity
(pulmonary
oligemia)
Echocardiography in TOF
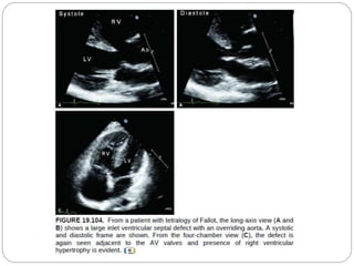
Parasternal long-axis view
 Left and right ventricular size/function
 Degree of aortic override
 override of the aortic root over the
ventricular septal defect should be less
than half of the aortic diameter
 Analysis of the ventricular septal defect
 magnitude and direction of shunting
across the VSD
 Confirmation of aorto-mitral
continuity
 absence of the fibrous continuity between
the aortic and mitral valves is inconsistent
with tetralogy of fallot, and may be
suggestive of double outlet right ventricle
(DORV)
Parasternal short-axis view
 Location of the ventricular septal
defect
 Anatomy of the right ventricular
outflow tract
 Dilation of the RVOT may be
observed
 Dynamic obstruction of the RVOT
may be noted, resulting from
incursion of the infundibulum into
the outflow tract
 Pulmonic valve
 leaflet number and degree of mobility
 dimensions of the annulus
 spectral Doppler interrogation for the presence and
grading of associated pulmonic
regurgitation or stenosis
 Apical 4 chamber view
 Assess right and left ventricular size and function
 Right ventricular hypertrophy may be assessed by
measurement of the free wall of the right ventricle
Cath Study in TOF
 Cardiac catheterization may be necessary in few
cases to further delineate
 The levels of right ventricular outflow obstruction
 Branch pulmonary artery stenosis or hypoplasia
 Coronary artery anatomy
 Presence of aortopulmonary collaterals, and
 Presence of additional VSD
 The hemodynamic findings at catheterization
typically reveal normal or only mildly elevated
filling pressures
 The left and right ventricular systolic
pressures are equal
 Pulmonary artery pressures are normal or low
 The degree of right-to-left shunting is best shown
by the degree of systemic desaturation
 Angiographic assessment should be geared
towards the information that is needed; biplane
angiography is ideal
 RV angiogram (anteroposterior [AP] cranial, left
anterior oblique [LAO] view) shows simultaneous
opacification of aorta and PA, RVOT obstruction
and PA anatomy
 An aortic root injection will usually provide
adequate identification of the coronary arteries,
although selective injections may occasionally be
needed
 The arch and descending aorta may also be seen
in this view and show a PDA or collateral vessels
 If collateral vessels are identified, selective
injections are helpful to assess the areas of the
pulmonary bed that they supply and whether they
are the sole supply to these areas
 The VSD is best seen from a left ventricular
injection in a long axial oblique projection
 Multidetector computed tomography (MDCT)
angiography is a safe and effective non-invasive
technique to answer questions remaining after
echocardiography in patients with TOF
 Major aortopulmonary collateral arteries (MAPCA)
from all sources are best shown by this technique
Management
Management of
Cyanotic Spells
 A cyanotic spell is usually self limiting and lasts
less than 15-30 minutes
 But sometimes they can be prolonged and
require emergency measures like:
1.
 Hold the child in knee chest position
 This increases the SVR and decreases the
desaturated systemic venous return
2.
 Calm the child. The ideal sedative is morphine
 It causes respiratory centre suppression and
sedation thereby reducing hyperpnea
 Decreases systemic venous return (venodilator) and
relax the infundibulum
 The dose of morphine is 0.1 mg/kg and it can be
given intravenous (IV), intramuscular (IM) or
subcutaneous. It may be repeated after 5 minutes.
The ventilation facilities should be at hand
 The other alternative sedatives are:
 Midazolam 0.05–0.1 mg/kg (IV, intranasal or
intrarectal) or
 Dexmedetomidine 0.5 -1 mcg/kg IV or
 Fentanyl 1–2 mcg/kg IV
 Ketamine has dual benefit of causing sedation and
increasing SVR. The dose is 0.25- 1.0 mg/kg IV or
IM.
3.
 100% Oxygen supplementation
 This causes pulmonary vasodilation and hence
decreases the pulmonary vascular resistance
(PVR)
4.
 Sodium bicarbonate in a dose of 1–2 meq/kg IV
is given slowly to correct metabolic acidosis
 This may reduce the respiratory centre
stimulating effect of acidosis and may diminish
the increase in pulmonary vascular resistance
caused by hypoxia and acidosis
 It can be repeated in 10-15 minutes
5.
 Beta blockers like injection propanolol is given in
a dose of 0.1-0.2 mg/kg IV over 5 minutes and
can be repeated once after 15 minutes
 It decreases the heart rate, infundibular spasm
and increases SVR
 If propanolol is not available then injection
metoprolol can be given
6.
 In refractory cases vasopressors can be given to
increase the SVR and promote the redirection of
blood flow through the pulmonary circulation
 Phenylephrine a alpha-adrenergic blocker can
be given in a dose of 5 to 20 mcg/kg IV bolus,
followed by an infusion of 0.1 to 0.5 mcg/kg/min
7.
 Avoid any actions that agitate the baby like
vigorous examination, repeated attempts to
venipuncture etc
 The drugs to be avoided are inotropes (e.g.
digoxin, dopamine, or dobutamine) and diuretics.
 If the spell is persistent or refractory, then
intubation and mechanical ventilation maybe
required
 A emergency Blalock-Taussig (BT) shunt /
pulmonary balloon valvuloplasty (PBV) may be
required in refractory cases
Transcatheter Interventions In
TOF
 Balloon dilatation of pulmonary stenosis
 Balloon dilatation and/or ductal stenting
 Balloon dilatation of peripheral pulmonary artery
stenosis with or without stenting
 Stenting of RVOT for infundibular stenosis by balloon
expandable stainless steel stents (Johnson &
Johnson).
 Transcatheter pulmonary valve replacement
Pulmonary Balloon
Valvuloplasty
 Balloon dilatation of pulmonary stenosis may be
an effective palliative procedure in a subset of
patients, obviating the need for a palliative shunt
 The PBV is recommended if the patient’s size or
cardiac anatomy makes that patient an unsuitable
candidate for total surgical correction
 The valvar obstruction should be a significant part of
the RVOTO obstruction
 Also due to the multiple obstructions in the RVOT, the
subvalvar obstruction still remains thus preventing
flooding of the lungs after PBV
 The supravalvar pulmonic stenosis, if discrete, can be
relieved by balloon dilatation
 With the balloon dilatation, immediate surgical
intervention with high risk is avoided
Advantages of Pulmonary Balloon
Valvuloplasty
 Substantial increase in saturation (SO2)
 Growth of pulmonary valve annulus and
pulmonary arteries
 The need for transannular patch is reduced by
40 percent
 The high risk intracardiac repair (ICR) is
postponed in infants
 PBV in TOF acts as a safe bridge to surgery.
Disadvantages of Pulmonary
Balloon Valvuloplasty
 Pulmonary balloon valvuloplasty may not be
successful in all patients
 Very rarely in severely hypoxic and sick patients
with very low SO2 the very attempt to cross the
infundibulum can precipitate the cyanotic spell
 The mortality can occur due to either cyanotic
spell or tamponade in very sick infants
Palliative
procedures
augmenting
pulmonary blood
flow
Shunt operations
 Designed to reduce cyanosis
 Pott shunt
 Waterston shunt
 Blalock-Taussig shunt
Blalock-Taussing shunt
(classical)
 Subclavian artery to pulmonary artery
anastomosis (end-to-side)
 Infrequently, this may lead to pulmonary
hypertension
Blalock Taussing shunt
(Classical)
 Originally, the shunt sacrificed the subclavian
artery (with a distal ligation) and the proximal portion
is routed downwards to an end to side anastomosis
with the ipsilateral branch of the pulmonary artery
Blalock Taussing shunt
(Modified)
 Uses a synthetic graft, usually expanded
polytetrafluoroethylene (Gore-Tex), to connect the
arteries
 Interposition graft between subclavian artery and
ipsilateral pulmonary artery
Pott shunt
 It consists of a shunt formed between the
descending thoracic aorta and the left pulmonary
artery
Waterston shunt
 It consists of a shunt formed between
the ascending aorta and the right pulmonary
artery
Surgery
 The ideal age for TOF repair remains
controversial
 Most centers prefer to operate by 1 year of age
 Transannular-transpulmonary approach is usually
followed
Surgical Techniques for
Intracardiac Repair
Indices for prediction of
success of intracardiac repai
Nakata index
 Sum of the cross sectional areas of the left
and right pulmonary arteries at their
prebranching points as related to body surface
area
 The normal Nakata index is + 330 mm²/m²
 An index of more than 150 mm²/m² is acceptable
for complete repair without prior palliative shunt
 Tetralogy of Fallot with pulmonary stenosis should
have an index of more than 100 for surgery
McGoon ratio
 Ratio of the sum of the pre branching
diameters of the left and right pulmonary
arteries to the diameter of the descending
aorta just above the level of the diaphragm
 Ratio above 1.2 is associated with acceptable
postoperative right ventricular systolic pressure in
tetralogy of Fallot
Contraindications to Primary
Repair
Pulmonary
atresia with
Fallot’s tetralogy
 Pulmonary atresia with Fallot’s tetralogy is the
ultimate expression of severity
 The right ventricle terminates blindly against an
atretic pulmonary valve or against imperforate
muscle
 The pulmonary trunk is either a vestigial cord or a
hypoplastic funnel-shaped channel that widens as
it approaches the bifurcation
 The proximal pulmonary arteries are hypoplastic
and may be discontinuous
 The entire right ventricular output enters the
systemic circulation via the nonrestrictive
malaligned ventricular septal defect
 The lungs are perfused by systemic-to-pulmonary
arterial collaterals on which survival depends
 Exceptionally, the pulmonary circulation is
supplied primarily, if not exclusively, by a long,
narrow sigmoid-shaped ductus arteriosus
MAPCAs
 Systemic arterial collaterals are classified according to
their origins as:
 Bronchial
 Originate where their name indicates and anastomose to
pulmonary arteries within the lung
 Direct systemic arterial collaterals
 Originate from the descending aorta, enter the hilum, and
then assume the structure and distribution of intrapulmonary
arteries
 Indirect systemic arterial collaterals
 Originate from the internal mammary, innominate, and
subclavian arteries and anastomose to proximal pulmonary
arteries outside the lung
 Systemic arterial collaterals anatomose with
pulmonary arteries in three locations: (1)
intrapulmonary; (2) extrapulmonary; and (3) hilar
 All three major types of collaterals are present when
Fallot’s tetralogy occurs with pulmonary atresia,
but only bronchial collaterals are present when the
tetralogy occurs with pulmonary stenosis,
irrespective of severity
 About 10% of arterial collaterals originate from
coronary arteries
FALLOT’S TETRALOGY WITH
ABSENT PULMONARY VALVE
 Pulmonary valve tissue is lacking completely or
consists of rudimentary remnants of avascular
myxomatous connective tissue
 Rarely, absence of the pulmonary valve occurs with
absence of a pulmonary artery and with systemic to
pulmonary artery collaterals
 Obstruction to right ventricular outflow resides at the
narrow pulmonary annulus, not at the malaligned
infundibular septum
 The pulmonary trunk, especially its proximal
branches, dilates massively together with the
infundibulum
Management
 The life-threatening symptom is respiratory distress in the
newborn
 It occurs predominantly in the Fallot-type APV
 Airway management as a primary procedure involves intubation,
mechanical ventilation and extracorporeal membrane
oxygenation in some infants
 Urgent complete surgical repair should relieve the compression
of the tracheobronchial tree
 This is achieved by combined anterior and posterior plication of
the pulmonary arteries or by translocation of the pulmonary
artery anterior to the aorta and away from the airways,
‘maneuver de Lecompte’ procedure
 Repair of pulmonary insufficiency and stenosis
requires placement of a valve conduit (homograft or
heterograft) in the right ventricular outflow tract
 Repair in the Fallot-type APV includes additional
closure of the VSD with a patch
 Asymptomatic infants can undergo repair within the
first 6 to 12 months
 Repair should however not be delayed for too long in
order to avoid the harmful effect of the dilated
pulmonary arteries on the tracheobronchial tree

TOF.pptx

  • 1.
  • 2.
     Most commoncyanotic heart defect seen in children beyond infancy, accounting for a third of all congenital heart disease (CHD) in this age group
  • 3.
     Tetralogy ofFallot (TOF) is a congenital heart defect, which has four anatomical components:  Anterior malalignment ventricular septal defect (VSD)  Aortic override over the muscular septum  Variable degrees of subvalvar, valvar, and supravalvar pulmonary stenosis  Right ventricular (RV) infundibular narrowing and RV hypertrophy
  • 5.
     The foursalient anatomic components of Fallot’s tetralogy result from a specific morphogenetic abnormality: Malalignment of the infundibular septum
  • 7.
    Embryology  In thenormal heart, division of the fetal conotruncus culminates in alignment of the infundibular septum with the muscular trabecular septum  In Fallot’s tetralogy, the infundibular septum deviates anteriorly and cephalad and is therefore not aligned with the trabecular septum, creating a ventricular septal defect at the site of malalignment  The deviation of the infundibular septum encroaches on the right ventricular outflow tract and causes infundibular stenosis and a biventricular (overriding) aorta
  • 9.
     Malaligned ventricularseptal defects are located in the perimembranous septum with extension into the infundibular septum  Atrioventricular conduction is normal
  • 10.
    Ventricular septal defect This condition is usually a large non-restrictive defect (i.e. no obstruction to flow across the VSD)  It is often located in the perimembranous and muscular regions of the ventricular septum, allowing shunting of blood between the ventricles (right to left in a classical cyanotic ToF)
  • 11.
    RV outflow tractobstruction  The obstruction to pulmonary blood flow at the level of the RV outflow tract (RVOT) is a key feature of ToF  The RVOTO subsequently causes the RVH (another key feature of ToF)  In the presence of an unrestrictive VSD, worsening RVOTO increases the RV pressure, drives a right-to-left shunt through the VSD, reduces pulmonary blood flow, and leads to hypoxaemia
  • 12.
     Assuming thepatent ductus arteriosus (PDA) is closed and there is no collateral supply, then the more severe the RVOTO, the more hypoxaemic the patient may be on presentation  A key feature is obstruction at the sub-valvular RVOT (in 50% of patients)  However, the obstruction may be at the pulmonary valve (10%), above the pulmonary valve (10%), or a mixture (30%)  Complete occlusion of the RVOT is known as Pulmonary Atresia
  • 13.
    Overriding aorta  Thiscondition describes the ventriculoarterial connection where the aorta can override the VSD to varying degrees, because of malalignment of the outlet component of the septum  In ToF, the aorta still arises from the left ventricle, with only some origin from the right ventricle  If the aorta arises predominantly from the right ventricle, then this abnormality may be called double- outlet right ventricle (DORV), and the physiology is determined by the VSD position and associated RV or left ventricular (LV ) outflow obstruction
  • 15.
    RV hypertrophy  RVhypertrophy develops as a consequence of the RVOTO because increased RV pressure needs to be generated to maintain pulmonary blood flow
  • 16.
    Genetics  Chromosomal anomaliesare involved in about 12 percent of the cases, e.g. trisomy 21 (Down syndrome), trisomy 13 (Patau syndrome) and trisomy 18 (Edwards syndrome)  DiGeorge Syndrome 22q11 microdeletion  Alagille syndrome  CHARGE (coloboma, heart defect, atresia choanae, retarded growth and development, genital abnormality, ear abnormality) syndrome  VACTERL
  • 17.
     Patients withTOF and Down syndrome frequently have a particularly large VSD in the inlet septum
  • 19.
     Coronary abnormalitiesoccur in 5 percent, anomalous origin of left anterior descending (LAD) artery from the right coronary artery (RCA) being the most common
  • 20.
    Natural History  Twothirds of patients reached their first birthday  Approximately half reached age 3 years  Approximately a quarter completed the first decade of life  The attrition rate was then 6.4% per year with  11% alive at age 20 years  6% at age 30 years  3% at age 40 years
  • 23.
    Natural History ofPulmonary Atresia  If pulmonary atresia is present as well, survival is even poorer with only 50 percent of patients surviving to 1 year and only 8 percent of patients surviving to 10 years  Adequate collateral blood flow occasionally permits survival into adolescence and adulthood
  • 24.
  • 25.
     The importantfeatures that determine the hemodynamic consequences in patients with ventricular septal defect and pulmonary stenosis are the  Size of the defect  The severity of the stenosis, and  Level of systemic vascular resistance
  • 27.
    ‘Pink’ Fallot  Childrenwith this variant are acyanotic with normal or near-normal oxygen saturations  There is minimal or no RVOTO  Physiologically, the lesion behaves like a large unrestricted VSD with a left-to-right shunt  Patients can present with heart failure or other features of the left-to-right shunt, although this condition can change with time as the child grows, and features are more like the features of a classical ToF
  • 28.
    Fallot-type pulmonary atresia(15% of ToF)  This type is the severest variant, characterised by complete atresia (i.e. complete occlusion) of the pulmonary valve  Therefore, there is no forward flow of blood from the RV into the pulmonary artery  Intracardiac mixing is essential, and all pulmonary blood flow must be supplied from the aorta either by a PDA (‘duct-dependent pulmonary circulation’) or from major collaterals from the aorta to the pulmonary arteries (major aortopulmonary collateral arteries, MAPCAs)  In the neonatal period, prostaglandin (either alprostadil [prostaglandin E1] or dinoprostone [prostaglandin E2]) may be required acutely to maintain any pulmonary blood flow through the PDA
  • 29.
    ToF with absentpulmonary valve (6% of ToF)  There is no pulmonary valve, but the RVOT is open  These infants are often acyanotic because there is no RVOTO, but the condition is notable for respiratory complications that develop secondary to massive aneurysmal dilatation of the pulmonary arteries caused by absence of the pulmonary valve, with obligatory pulmonary regurgitation  These aneurysmal dilatations externally compress the distal trachea and bronchi causing intrathoracic airway obstruction, lung atelectasis,
  • 30.
  • 31.
     The tetralogyusually comes to light in neonates and infants  When the shunt is left-to-right, initial suspicion is a prominent systolic murmur  When the shunt is balanced, the murmur persists in addition to mild, intermittent, or stress-induced cyanosis  When the shunt is reversed, the prominence of the systolic murmur is inversely proportional to the degree of cyanosis
  • 32.
     The clinicalcourse in early infancy is often benign  Mild to moderate neonatal cyanosis tends to increase, but cyanosis may be delayed for months and is coupled with increased oxygen requirements of the growing infant rather than with progressive obstruction to right ventricular outflow  Patients seldom remain acyanotic after the first few years of life, and by 5 to 8 years of age, most children are conspicuously cyanotic, with cyanosis closely coupled to the severity of pulmonary stenosis
  • 33.
     The degreeof right ventricular outflow tract obstruction (RVOTO) often correlates with the degree of cyanosis and the timing of presentation  Thus patients with mild pulmonary obstruction present late, perhaps even in adulthood, the so- called “pink TOF”, while patients with severe obstruction may present soon after birth on closure of the ductus arteriosus  In less severe cases, cyanosis is first noticed during crying
  • 34.
  • 35.
     Spell usuallyoccurs in infants between 3 to 24 months of age  Typical spell is characterized by progressive increase in the rate and depth of respiration, deepening cyanosis, limpness or syncope  Convulsions, cerebrovasclur accident and death are potential complications  Spells are less common after 2 years  Initiated usually by crying, feeding or bowel movement, spells are particularly common after getting up from sleep
  • 37.
    Wood's theory  Hypoxemicspells are caused by:  Spasm of the infundibulum of the right ventricle  Progressively increasing right to left shunting  Metabolic acidosis
  • 38.
    Catecholamine release  Leadsto increased myocardial contractility and infundibular stenosis  (both these theories do not explain the cause of cyanotic spells in patients with tetralogy of Fallot with pulmonary atresia).
  • 39.
    Guntheroth's theory  Episodesof paroxysmal hyperpnoea are the cause rather than the effect of cyanotic spells  Hyperpnoea  Increased systemic venous return  Right to left shunt as well as oxygen consumption through increase work of breathing
  • 40.
    Kothari's theory  Stimulationof mechanoreceptors in the right ventricle to be the cause of spells
  • 41.
    Morgan’s theory  Vulnerablerespiratory centre which over- reacts to hypoxic stimuli like crying, feeding
  • 42.
    Young’s theory  Itwas proposed that the spell was precipitated by an atrial tachycardia
  • 44.
  • 45.
     Squatting isof diagnostic significance in TOF  Squatting increases peripheral vascular resistance and thus decreases the magnitude of the right to left shunt across the VSD  Locking up the more desaturated lower limb venous blood and displacing the better oxygenated mesenteric venous blood into the right heart may be the other benefits of squatting
  • 47.
  • 49.
     Recurrent hypoxicspells sometimes lead to brain damage and mental retardation  Cerebral venous sinus thromboses and small occult thromboses may become manifest after prolonged hypoxic spells
  • 50.
     Hypernasal resonanceor nasal speech (velopharyngeal insufficiency) may develop after repeated or prolonged spells because nasal resonance is compromised by improper approximation of the velum (soft palate) and the pharyngeal walls  Brain abscess and cerebral embolism add to the list of central nervous system complications
  • 51.
     Iron deficienterythrocytosis in patients less than 4 years of age increases the risk of cerebral venous sinus thrombosis  Wheezing and stridor have been attributed to tracheal compression by an enlarged aorta  A stenotic pulmonary valve and an incompetent aortic valve are substrates for infective endocarditis
  • 52.
  • 53.
     Most infantsare smaller than expected for age  Cyanosis of the lips and nail bed may be noticed at birth or may appear later  Cyanosis in TOF is determined by the severity of pulmonary stenosis and also to a lesser extent by systemic to pulmonary collaterals  Infundibular stenosis worsens as the infant grows so that a previously pink baby turns blue  In the case of pulmonary atresia, cyanosis sometimes may be absent due to systemic pulmonary collaterals  Clubbing may be present after 3 months of life.
  • 54.
     S1 isnormal, while S2 is single due to a faint P2  Delayed and hesitant closure of the pulmonary valve due to the slow pressure drop in the stenotic infundibular chamber, associated valvar stenosis and the overriding aorta all contribute to the single S2
  • 55.
     A prominentejection systolic murmur, is heard at the mid and upper left sternal border  The intensity of this murmur is inversely proportional to the severity of stenosis  With more severe stenosis RV pumps more into the aorta and less across the RVOT, decreasing the murmur  The murmur disappears during a spell
  • 56.
     An aorticejection click due to the dilated ascending aorta may be heard over the apex  A continuous murmur below the left clavicle denotes a patent ductus arteriosus (PDA)  A more widely heard continuous murmur, especially over the back, is due to systemic- pulmonary collaterals
  • 57.
  • 58.
    ECG in TOF In the newborn, the EKG may be normal but over the first weeks of life normal regression of right ventricular preponderance is not seen  Right ventricular hypertrophy is the hallmark EKG finding in the patient with tetralogy of Fallot and is of value in the differential diagnosis from ventricular septal defect  Tall R waves in the right precordial leads (V1-V2) are usually seen
  • 60.
    Whereas the Rwave in V1 is tall and usually monophasic, R wave in V2 is much shorter – the so called “sudden transition” is characteristic
  • 61.
     Right-axis deviationmay accompany right ventricular hypertrophy, additionally, right atrial enlargement is manifested by tall P waves (P pulmonale)  Left-axis deviation suggests an associated complete AV canal defect  Sudden transition of the QRS complex morphology in leads V1 and V2 is a common pattern in patients with tetralogy of Fallot. There is a Rs pattern with a tall R wave in lead V1, and a rS pattern from leads V2 or V3 to lead V6
  • 62.
     With pulmonaryatresia and an abundant collateral arterial circulation, P waves are broad and bifid because of increased flow into the left atrium  Q waves with well-developed R waves appear in leads V5-6 because of increased flow into the left ventricle  ST segment and T wave abnormalities may be found in midprecordial leads
  • 63.
    Chest Xray  Findingson an x-ray diagnostic of tetralogy of fallot include:  Normal or decreased pulmonary vascularity  Concave pulmonary artery segment  A right sided aortic arch may also be present.  There is pruning or reduction in the prominence of the pulmonary vasculature over time
  • 64.
    Chest X-Ray  Plainfilms may classically show a "boot shaped" heart with an upturned cardiac apex due to right ventricular hypertrophy and concave pulmonary arterial segment
  • 66.
    -The cardiac apex elevated suggestiveof right ventricular enlargement -The main pulmonary artery segment is concave - Right-sided aortic arch is demonstrated - There is decreased pulmonary vascularity (pulmonary oligemia)
  • 67.
  • 68.
    Parasternal long-axis view Left and right ventricular size/function  Degree of aortic override  override of the aortic root over the ventricular septal defect should be less than half of the aortic diameter  Analysis of the ventricular septal defect  magnitude and direction of shunting across the VSD  Confirmation of aorto-mitral continuity  absence of the fibrous continuity between the aortic and mitral valves is inconsistent with tetralogy of fallot, and may be suggestive of double outlet right ventricle (DORV)
  • 69.
    Parasternal short-axis view Location of the ventricular septal defect  Anatomy of the right ventricular outflow tract  Dilation of the RVOT may be observed  Dynamic obstruction of the RVOT may be noted, resulting from incursion of the infundibulum into the outflow tract
  • 70.
     Pulmonic valve leaflet number and degree of mobility  dimensions of the annulus  spectral Doppler interrogation for the presence and grading of associated pulmonic regurgitation or stenosis
  • 71.
     Apical 4chamber view  Assess right and left ventricular size and function  Right ventricular hypertrophy may be assessed by measurement of the free wall of the right ventricle
  • 73.
  • 74.
     Cardiac catheterizationmay be necessary in few cases to further delineate  The levels of right ventricular outflow obstruction  Branch pulmonary artery stenosis or hypoplasia  Coronary artery anatomy  Presence of aortopulmonary collaterals, and  Presence of additional VSD
  • 75.
     The hemodynamicfindings at catheterization typically reveal normal or only mildly elevated filling pressures  The left and right ventricular systolic pressures are equal  Pulmonary artery pressures are normal or low  The degree of right-to-left shunting is best shown by the degree of systemic desaturation
  • 76.
     Angiographic assessmentshould be geared towards the information that is needed; biplane angiography is ideal  RV angiogram (anteroposterior [AP] cranial, left anterior oblique [LAO] view) shows simultaneous opacification of aorta and PA, RVOT obstruction and PA anatomy
  • 78.
     An aorticroot injection will usually provide adequate identification of the coronary arteries, although selective injections may occasionally be needed  The arch and descending aorta may also be seen in this view and show a PDA or collateral vessels  If collateral vessels are identified, selective injections are helpful to assess the areas of the pulmonary bed that they supply and whether they are the sole supply to these areas
  • 79.
     The VSDis best seen from a left ventricular injection in a long axial oblique projection  Multidetector computed tomography (MDCT) angiography is a safe and effective non-invasive technique to answer questions remaining after echocardiography in patients with TOF  Major aortopulmonary collateral arteries (MAPCA) from all sources are best shown by this technique
  • 80.
  • 81.
  • 83.
     A cyanoticspell is usually self limiting and lasts less than 15-30 minutes  But sometimes they can be prolonged and require emergency measures like:
  • 84.
    1.  Hold thechild in knee chest position  This increases the SVR and decreases the desaturated systemic venous return
  • 86.
    2.  Calm thechild. The ideal sedative is morphine  It causes respiratory centre suppression and sedation thereby reducing hyperpnea  Decreases systemic venous return (venodilator) and relax the infundibulum  The dose of morphine is 0.1 mg/kg and it can be given intravenous (IV), intramuscular (IM) or subcutaneous. It may be repeated after 5 minutes. The ventilation facilities should be at hand
  • 87.
     The otheralternative sedatives are:  Midazolam 0.05–0.1 mg/kg (IV, intranasal or intrarectal) or  Dexmedetomidine 0.5 -1 mcg/kg IV or  Fentanyl 1–2 mcg/kg IV  Ketamine has dual benefit of causing sedation and increasing SVR. The dose is 0.25- 1.0 mg/kg IV or IM.
  • 88.
    3.  100% Oxygensupplementation  This causes pulmonary vasodilation and hence decreases the pulmonary vascular resistance (PVR)
  • 89.
    4.  Sodium bicarbonatein a dose of 1–2 meq/kg IV is given slowly to correct metabolic acidosis  This may reduce the respiratory centre stimulating effect of acidosis and may diminish the increase in pulmonary vascular resistance caused by hypoxia and acidosis  It can be repeated in 10-15 minutes
  • 90.
    5.  Beta blockerslike injection propanolol is given in a dose of 0.1-0.2 mg/kg IV over 5 minutes and can be repeated once after 15 minutes  It decreases the heart rate, infundibular spasm and increases SVR  If propanolol is not available then injection metoprolol can be given
  • 91.
    6.  In refractorycases vasopressors can be given to increase the SVR and promote the redirection of blood flow through the pulmonary circulation  Phenylephrine a alpha-adrenergic blocker can be given in a dose of 5 to 20 mcg/kg IV bolus, followed by an infusion of 0.1 to 0.5 mcg/kg/min
  • 92.
    7.  Avoid anyactions that agitate the baby like vigorous examination, repeated attempts to venipuncture etc  The drugs to be avoided are inotropes (e.g. digoxin, dopamine, or dobutamine) and diuretics.
  • 93.
     If thespell is persistent or refractory, then intubation and mechanical ventilation maybe required  A emergency Blalock-Taussig (BT) shunt / pulmonary balloon valvuloplasty (PBV) may be required in refractory cases
  • 94.
    Transcatheter Interventions In TOF Balloon dilatation of pulmonary stenosis  Balloon dilatation and/or ductal stenting  Balloon dilatation of peripheral pulmonary artery stenosis with or without stenting  Stenting of RVOT for infundibular stenosis by balloon expandable stainless steel stents (Johnson & Johnson).  Transcatheter pulmonary valve replacement
  • 95.
    Pulmonary Balloon Valvuloplasty  Balloondilatation of pulmonary stenosis may be an effective palliative procedure in a subset of patients, obviating the need for a palliative shunt  The PBV is recommended if the patient’s size or cardiac anatomy makes that patient an unsuitable candidate for total surgical correction
  • 96.
     The valvarobstruction should be a significant part of the RVOTO obstruction  Also due to the multiple obstructions in the RVOT, the subvalvar obstruction still remains thus preventing flooding of the lungs after PBV  The supravalvar pulmonic stenosis, if discrete, can be relieved by balloon dilatation  With the balloon dilatation, immediate surgical intervention with high risk is avoided
  • 98.
    Advantages of PulmonaryBalloon Valvuloplasty  Substantial increase in saturation (SO2)  Growth of pulmonary valve annulus and pulmonary arteries  The need for transannular patch is reduced by 40 percent  The high risk intracardiac repair (ICR) is postponed in infants  PBV in TOF acts as a safe bridge to surgery.
  • 99.
    Disadvantages of Pulmonary BalloonValvuloplasty  Pulmonary balloon valvuloplasty may not be successful in all patients  Very rarely in severely hypoxic and sick patients with very low SO2 the very attempt to cross the infundibulum can precipitate the cyanotic spell  The mortality can occur due to either cyanotic spell or tamponade in very sick infants
  • 100.
  • 101.
    Shunt operations  Designedto reduce cyanosis  Pott shunt  Waterston shunt  Blalock-Taussig shunt
  • 102.
    Blalock-Taussing shunt (classical)  Subclavianartery to pulmonary artery anastomosis (end-to-side)  Infrequently, this may lead to pulmonary hypertension
  • 103.
    Blalock Taussing shunt (Classical) Originally, the shunt sacrificed the subclavian artery (with a distal ligation) and the proximal portion is routed downwards to an end to side anastomosis with the ipsilateral branch of the pulmonary artery
  • 105.
    Blalock Taussing shunt (Modified) Uses a synthetic graft, usually expanded polytetrafluoroethylene (Gore-Tex), to connect the arteries  Interposition graft between subclavian artery and ipsilateral pulmonary artery
  • 107.
    Pott shunt  Itconsists of a shunt formed between the descending thoracic aorta and the left pulmonary artery
  • 108.
    Waterston shunt  Itconsists of a shunt formed between the ascending aorta and the right pulmonary artery
  • 109.
    Surgery  The idealage for TOF repair remains controversial  Most centers prefer to operate by 1 year of age  Transannular-transpulmonary approach is usually followed
  • 110.
  • 112.
    Indices for predictionof success of intracardiac repai
  • 113.
    Nakata index  Sumof the cross sectional areas of the left and right pulmonary arteries at their prebranching points as related to body surface area  The normal Nakata index is + 330 mm²/m²  An index of more than 150 mm²/m² is acceptable for complete repair without prior palliative shunt  Tetralogy of Fallot with pulmonary stenosis should have an index of more than 100 for surgery
  • 114.
    McGoon ratio  Ratioof the sum of the pre branching diameters of the left and right pulmonary arteries to the diameter of the descending aorta just above the level of the diaphragm  Ratio above 1.2 is associated with acceptable postoperative right ventricular systolic pressure in tetralogy of Fallot
  • 115.
  • 118.
  • 119.
     Pulmonary atresiawith Fallot’s tetralogy is the ultimate expression of severity  The right ventricle terminates blindly against an atretic pulmonary valve or against imperforate muscle  The pulmonary trunk is either a vestigial cord or a hypoplastic funnel-shaped channel that widens as it approaches the bifurcation
  • 120.
     The proximalpulmonary arteries are hypoplastic and may be discontinuous  The entire right ventricular output enters the systemic circulation via the nonrestrictive malaligned ventricular septal defect
  • 122.
     The lungsare perfused by systemic-to-pulmonary arterial collaterals on which survival depends  Exceptionally, the pulmonary circulation is supplied primarily, if not exclusively, by a long, narrow sigmoid-shaped ductus arteriosus
  • 123.
    MAPCAs  Systemic arterialcollaterals are classified according to their origins as:  Bronchial  Originate where their name indicates and anastomose to pulmonary arteries within the lung  Direct systemic arterial collaterals  Originate from the descending aorta, enter the hilum, and then assume the structure and distribution of intrapulmonary arteries  Indirect systemic arterial collaterals  Originate from the internal mammary, innominate, and subclavian arteries and anastomose to proximal pulmonary arteries outside the lung
  • 124.
     Systemic arterialcollaterals anatomose with pulmonary arteries in three locations: (1) intrapulmonary; (2) extrapulmonary; and (3) hilar  All three major types of collaterals are present when Fallot’s tetralogy occurs with pulmonary atresia, but only bronchial collaterals are present when the tetralogy occurs with pulmonary stenosis, irrespective of severity  About 10% of arterial collaterals originate from coronary arteries
  • 126.
  • 127.
     Pulmonary valvetissue is lacking completely or consists of rudimentary remnants of avascular myxomatous connective tissue  Rarely, absence of the pulmonary valve occurs with absence of a pulmonary artery and with systemic to pulmonary artery collaterals  Obstruction to right ventricular outflow resides at the narrow pulmonary annulus, not at the malaligned infundibular septum  The pulmonary trunk, especially its proximal branches, dilates massively together with the infundibulum
  • 128.
    Management  The life-threateningsymptom is respiratory distress in the newborn  It occurs predominantly in the Fallot-type APV  Airway management as a primary procedure involves intubation, mechanical ventilation and extracorporeal membrane oxygenation in some infants  Urgent complete surgical repair should relieve the compression of the tracheobronchial tree  This is achieved by combined anterior and posterior plication of the pulmonary arteries or by translocation of the pulmonary artery anterior to the aorta and away from the airways, ‘maneuver de Lecompte’ procedure
  • 129.
     Repair ofpulmonary insufficiency and stenosis requires placement of a valve conduit (homograft or heterograft) in the right ventricular outflow tract  Repair in the Fallot-type APV includes additional closure of the VSD with a patch  Asymptomatic infants can undergo repair within the first 6 to 12 months  Repair should however not be delayed for too long in order to avoid the harmful effect of the dilated pulmonary arteries on the tracheobronchial tree