Congenital Heart Disease
         (CHD)

        Lecture for C-I students



                                   1
Congenital Heart Disease (CHD)

Epidemiology of CHD
 Incidence - 8/1000 live births
             - 3-4/100 still born
              - 2/100 premature infants excluding PDA
            -10-25/100 abortuses
• Most congenital defects are well tolerated during fetal life.
Etiology - Unknown in most cases
       - Genetic factors - single gene defect
                       - Chromosomal abnormality.
       - Environmental factors
      - Gender differences in type of CHD

                                                                  2
CHD…
             Relative Frequency of Congenital Heart Lesions

                  Lesions                         % of all Lesions
- Ventricular septal defect                            25-30
- A trial septal defect (Secundum)                       6-8
- Patent ductus arteriosus                               6-8
- Coarctation of aorta                                   5-7
- Tetralogy of Fallot                                    5-7
- Pulomnary Valve Sterosis                               5-7
- Aortic Valve Stenosis                                  4-7
- d-Transposition of great arteries                      3-5
- Hypoplastic left ventricle                             1-3
                                                                     3
CHD…
                      Relative Frequency …
                 Lesions                 % of all Lesions
- Hypoplastic right ventricle                  1-3

- Truncus arteriosus                           1-2

- Total anomalous PVR                          1-2

- Tricuspid atresia                            1-2

- Single ventricle                             1-2

- Double-outlet right ventricle                1-2

- Others                                      5-10

                                                            4
CHD …
Clues for Evaluation of an Infant with suspected CHD
1. On History and Physical Examination
   color)
     • Acyanotic
     • Cyanotic
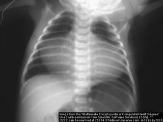
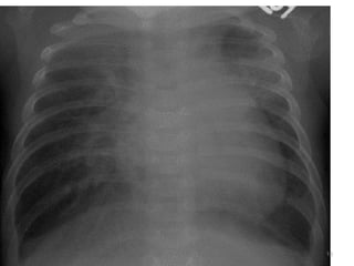
2. Chest roentgenogram
     • Normal
     • Increased/Plethora   pulmonary blood flow
     • Decreased/Oligemia


                                                   5
CHD …
3.Electrocardiogram
      - Right
      - Left         hypertrophy
      - Biventricular
     Final diagnosis - Precordial examination
                       - Echocardiography


                                                6
I. Acyanotic Congenital Heart Diseases
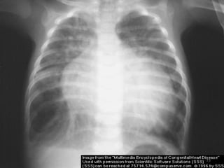
1. Left to Right Shunt Lesions
  1.1 Atrial Septal Defect
        Defect occur in any portion of the atrium
           - Ostium secundum (at fossa ovalis)
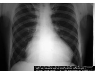
         - Ostium primum (ECD) (lower atrial septum)
       - Sinus venosus (upper atrial septum)
    Pathophysiology
      Left to right shunt
           - Transatrial in OS & SV
           - Transatrial & transventricular in OP

                                                       7
Acyanotic CHD…
Clinical Manifestations
    Most are asymptomatic
    Right ventricular lift
    Wide & fixed split of 2nd heart sound
    Systolic ejection murmur
    Mid-diastolic murmur at tricuspid area
    Holosystolic murmur at mitral area in OP
     (ECD)

                                                8
Acyanotic CHD…
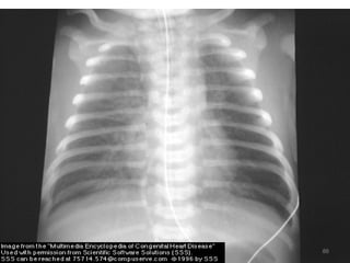
Diagnosis
    Clinical
    CXR - Right. V & A enlargement
             - Large pulm. artery
           - ↑ed pulm. vascularity
    ECG - volume overload,
          - right axis deviation
          - minor right ventricular conduction delay
    Echocardiography
    Catheterization
Prognosis        - Well tolerated
Complications –
        - pulm. Hypertension, Eismenger syndrome
Treatment
    Surgery
     - For all symptomatic ASD
      - Asymptomatic patients with shunt ratio > 2:1
                                                       9
10
11
12
13
14
15
Acyanotic CHD…
1.2 Ventricular Septal Defect
      The most common cardiac malformation
   Defect occur in any portion of the septum
            - Majority membranous
            - Muscular – Single or Swiss-cheese defect
   Pathophysiology
     Lt to Rt shunt
     Restrictive if defect is small (0.5cm2)
     Non-restrictive - large defect (> 1cm2)
          - Right and left vent. Pressure equalized
                                                         16
Acyanotic CHD…
Clinical Manifestation
    Small defects with trivial Lt to Rt Shunt
               - Most common
               - Asymptomatic
               - Loud, harsh holosystolic M at LLSB
   Large defects
     - Excessive pulmonary blood flow
     - Pulmonary hypertension
     - Dyspnea, feeding difficulties, poor growth,
      perspiration, recurrent plum. infection, heart failure
     - Less harsh but more blowing holosystolic murmur
     - Accentuated 2nd heart sound
     - Mid-diastolic apical M when shunt ratio > 2:1

                                                               17
Acyanotic CHD…
Diagnosis
     - Clinical
     - CXR - Cardiomegaly
             - Plethoric lung
     - ECG
     - Echocardiography
Prognosis
     - 30-50% small defects close by 2 yr of age
     - Rarely moderate to large defects close

                                                   18
Acyanotic CHD…
Complications
      - Infective endocarditis
      - Recurrent lung infection
      - Heart failure
      - Pulmonary HTN
      - Acquired pulmonary stenosis
       -- aortic valve regurgitation
Treatment
      - Small defects - reassurance
                          - Prophylaxis against IE
      - Large defects - medical treatment (control of CHF,
                               promoting normal growth
              prevent IE, prevent development
              of p. HTN)
                          - Surgical repair between 6-12m
                                                             19
20
21
22
Acyanotic CHD…
1.3 Patent Ductus Arteriosus
      Functional closure soon after birth
      Aortic end of the ductus distal to the
      origin of left subclavian artery and the other
  end at bifurcation of pulmonary artery.
     Male to female ratio 1:2
  Pathology – Deficiency of mucoid endothelial
                layer & muscular media in
          term infant.

                                                   23
Acyanotic CHD…
Pathophysiology
 Lt to Rt shunt - size
                  - ratio of pulm. to systemic resistance
 Reversal of shunt
 Clinical Manifestation
  Asymptomatic in small ductus
  Wide pulse pressure
  Bounding pulse                   large
  Continuous or machinery
   M at 2nd Left ICS

                                                            24
Acyanotic CHD…
Diagnosis
      - Clinical
      - Chest X-ray
      - ECG
      - Echocardiography
Prognosis
      - Small PDA - normal life
      - Large PDA - CHF
Complications
      - Infective Endocarditis/Endarteritis
      - CHF
      - Embolization
      - Pulmonary HTN
Treatment - Medical
           - Surgical closure
                                              25
26
27
Acyanotic CHD…
2. Obstructive Lesions
   2.1 Pulmonic Stenosis - 4 types
                   - Valvular
                   - Infundibular
                  - Supra valvular
                    - Peripheral
      Pathophysiology
       - Rt outlet obstruction → Pressure work
                                       ↓
                            Rt vent. hyperthropy

                                                   28
Acyanotic CHD…

Clinical Manifestation
      - Mild to moderate - asymptomatic
      - Critical stenosis
      - Systolic ejection murmur
      - Heart failure in neonates & infants
      - Rarely cyanosis


                                              29
Acyanotic CHD…
Diagnosis
    - Clinical
    - CXR - Rt vent. hypertrophy
             - reduced pulm. blood flow
     - ECG
     - Echocardiography
Prognosis - good in mild to moderate
Complications - CHF in severe Ps
                   - rarely IE
Treatment - vavular PS - ballon valvoplasty
            - surgery

                                              30
31
Acyanotic CHD…


2.2 Aortic Stenosis
    -    Valvular - the commonest
    -    Supra valvular
    -    Subvalvular (subaortic)




                                    32
Acyanotic CHD…
Clinical Manifestation
    Mild stenosis
       - Normal pulse & apical impulse
       - Systolic ejection M
      - Normal to enlarged heart size
    Critical stenosis
       - Left ventricular failure
       - pulm. edema, cardiomegaly
       - Weak peripheral pulses
       - Weak systolic M
       - Paradoxical split 2nd heart sound

                                             33
Acyanotic CHD…
Diagnosis
     - Clinical
     - CXR
     - ECG
     - Echocardiography
     - Graded exercise testing
Prognosis is good for mild to moderate
Treatment
      - Balloon valvoplasty
      - Surgical

                                         34
35
36
37
Acyanotic CHD…
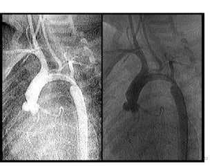
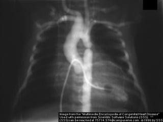
2.3 Coarctation of the Aorta
    • Occur at any site from the arch of aorta to iliac
      bifurcation
    • 98% juxta ductal
 Pathogenesis
    • In utero arch hypoplasia

    Rt heart output passes through the ductus



                                                          38
Acyanotic CHD…
Clinical Manifestation
        Hypertension → mechanical obstruction
                 → renal
        Differential cyanosis → pink upper extr.
                          → cyanosed lower extr.
        Classic signs
          - Disparity in pulse & BP
          - Radio-femoral delay
          - Systolic M at LMSB & inter-scapular area

                                                       39
Acyanotic CHD…
Diagnosis
      - Clinical
      - CXR - cardiomegaly & pulm. congestion
            - Notching of ribs
      - ECG
      - Echocardiography
Prognosis – Untreated cases succumb by 20-40 years
Complications - CVA
                 - I/E
                 - Aneurysms
Treatment
      - Medical - IV PGE1 in neonatal age
      - Surgery
                                                     40
41
42
43
44
Acyanotic CHD…
3. Pulmonary Vascular Disease (Eismenger
  syndrome)
     - Occur in shunt lesions
           VSD - mainly
            ASD
            PDA
    - Reversal of shunt due to pulm. HTN
            → Cyanosis

                                           45
Acyanotic CHD…

4. Regurgitant Lessons
     - Pulmonary valvular insufficiency
     - Congenital mitral valve insufficiency
     - Mitral valve prolapse




                                               46
II. Cyanotic Congenital Heart Disease

1. Cyanotic lesions with decreased pulmonary
    blood flow
1.1 Tetralogy of Fallot
      Consists: 1. Rt ventricular outflow obst.
                    2. Ventricular septal defect
                  3. Dextroposition of the aorta
         4. Right ventricular hypertrophy

                                                   47
Cyanotic CHD…
Pathophysiology
  - Outflow obstruction
  - Hypertrophy of subpulmonic muslce
  - Normal or small pulmonary valve annulus
  - Rarely pulmonary atresia
  - VSD - Non-restrictive, located just below
            aortic valve
  - Aortic arch is right side in 20%
  - Right ventricular output shunts to the aorta
                                                   48
Cyanotic CHD…
Clinical Manifestation
   - Rarely pink TOF - in the absence of obstruction
   - Cyanosis
   - Clubbing
   - Squatting position in walking children
   - Paroxysmal hypercyanotic attacks
         occur during 1st 2 years
   - Systolic ejection M
   - Delayed growth & development
   - Single 2nd heart sound

                                                       49
Cyanotic CHD…
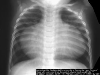
Diagnosis
   CXR - Narrow base & uplifted apex
        - A boot or wooden shoe
        - decreased pulm. vascularity
        - Right side aortic arch in 20%
   ECG
   Echocardiography
Complication
       - Cerebral thrombosis - in < 2 years
       - Brain abscess
       - Infective endocarditis
       - Polycythemia
       - CHF in pink TOF

                                              50
Cyanotic CHD…
Treatment
  Severe outflow obstruction
     - Medical Px - PGE1 infusion
                       - Prevent dehydration
                       - Partial exchange transfusion
                     - Oral propranolol for tet spells
  - Surgery - Blalock Taussig
                  - Total correction


                                                         51
52
53
54
55
56
57
Cyanotic CHD…
1.2   Pulmonary Atresia
      - With VSD - Extreme form of TOF
      - Without VSD - No egress of blood from Rt vent.
              - Shunt through foramen ovale to Lt atrium

                    Left ventricle
                              systemic circulation
                      Aorta
                                   pulmonic circulation

      - Hypoplastic right ventricle (PDA)

                                                           58
Cyanotic CHD…
Clinical Manifestation
       - Cyanosis at birth
       - Respiratory distress
       - Single 2nd heart sound
       - No murmur
Diagnosis
     - CXR
     - ECG
     - Echocardiography
Treatment - PGE1
            - Surgery

                                  59
60
Cyanotic CHD…
1.3 Tricuspid atresia
 - No outlet from Right atrium to Left vent.
 - Systemic venous return

     Rt atrium

      Lt atrium

     Left ventricule

  systemic        Pulmonic
                     (VSD, PDA)


                                               61
Cyanotic CHD…
Clinical Manifestation
   - Cyanosis at birth
   - Polycythemia
   - Easily fatiguability
   - Exertional dyspnea
Diagnosis
   - EXR -Pulm. Under circulation
   - ECG -Lt axis deviation & Lt vent. hypertrophy
   - Echocardiography


                                                     62
Cyanotic CHD…


Treatment
  - PGE1
 - Surgery - Aortico - pulmonary Shunt
           - Bidirectional Glenn shunt
           - Modified Fontan operation



                                         63
64
Cyanotic CHD…
1.4 Ebstein Anomaly of the tricuspid valve
  - Down ward displacement of the tricuspid valve
  - Right ventricle with two parts
        - atrialized
        - normal ventricular myocardium
  - Abnormal tricuspid valve
  - Huge Rt atrium
  - Tricuspid regurgitation
  - Compromised Rt ventricular function

                                                    65
Cyanotic CHD…
Clinical Manifestations
   - Easly fatiguability
   - Cyanosis
   - Dysrhythmia
   - Rt to Lt shunt through formen ovale
   - Holosystolic M at tricuspid area
   - Heart failure
Diagnosis
   - CXR - box shaped heart
   - ECG - Right BBB
           - Superior axis deviation
Treatment
         - PGE1
         - Surgery
                                           66
67
68
69
Cyanotic CHD…
2.Cyanotic CHD With increased pulmonary blood
  flow
  2.1 Transposition of GA
  a. D -TGA (uncorrected)
    - Systemic venous return to Rt atrium Normal
    - Pulmonary venous return to Lt atrium
    - Aorta arises from Right ventricle
   - Pulm. artery arises from Lt vent. Pathology


                                                   70
Cyanotic CHD…

*Systemic & Pulmonary Circulations Consists of
 two parallel circuits
*Survival is with associated - patent foramen ovale or
                               - VSD or
                               - PDA
Clinical Manifestations
       - Tachypnea & cyanosis at birth
       - Rarely congestive heart failure

                                                         71
72
73
Cyanotic CHD…
b. L. TGA (corrected transposition)
   Systemic VR to normally positioned Rt atrium
               
       Through bicuspid (Mitral) valve
               
        Right sided left ventricle
               
        Pulmo. artery  pulm. venous return
                             
                     Normally positioned Lt atrium
                           
                      Through tricuspid valve
                           
                    Left sided Right ventricle  Aorta
                                                         74
Cyanotic CHD…
 Discordant atrio-ventricular relation
     (ventricular inversion)
 Transposition of great arteries
     Clinical Manifestation
Depends on associated malformation




                                          75
Cyanotic CHD…
Diagnosis
      - Clinical
      - CXR - Cardiomegaly
               - Narrow mediastinum
               - Increased pulmonary blood flow
      - ECG
      - Echocardiography
Treatment
      - PGE1 - emergency
      - Surgery


                                                  76
Cyanotic CHD…
2.2 Truncus arteriosus
 - Single arterial trunk for both pulm. &
   systemic circ.
 - 4 types depending the origin of pulmonary artery
Clinical Manifestation
       -      Cyanosis
       -      CHF                  at 2-3rd m
       -      Systalic ejection m
Treatment - surgery

                                                      77
78
79
Cyanotic CHD…
2.3 Total Anomalous Pulm. Venous return
      - Pulm. drainage into systemic vein




                                            80
81
82
Cyanotic CHD…
2.4   Single Ventricle
            - No interventricular septum




                                           83
Cyanotic CHD…
2.5   Hypoplastic Left Heart Syndrome
      - Under development of Lt Side of the heart
                   - Atretic aortic or mitral orifice
                   - Non functional Lt ventricle
      - Hypoplasia of ascending aorta
         Right ventricle supplies both pulm. &
          systemic circulation



                                                        84
85
86
Cyanotic CHD…
2.6 Persistent fetal circulation




                                   87
Cyanotic CHD…
2.6 Dextroposition of the heart
2.7 Dextrocardia




                                  88
THANK YOU!!



              89

Congenital heart disease (chd)

  • 1.
    Congenital Heart Disease (CHD) Lecture for C-I students 1
  • 2.
    Congenital Heart Disease(CHD) Epidemiology of CHD Incidence - 8/1000 live births - 3-4/100 still born - 2/100 premature infants excluding PDA -10-25/100 abortuses • Most congenital defects are well tolerated during fetal life. Etiology - Unknown in most cases - Genetic factors - single gene defect - Chromosomal abnormality. - Environmental factors - Gender differences in type of CHD 2
  • 3.
    CHD… Relative Frequency of Congenital Heart Lesions Lesions % of all Lesions - Ventricular septal defect 25-30 - A trial septal defect (Secundum) 6-8 - Patent ductus arteriosus 6-8 - Coarctation of aorta 5-7 - Tetralogy of Fallot 5-7 - Pulomnary Valve Sterosis 5-7 - Aortic Valve Stenosis 4-7 - d-Transposition of great arteries 3-5 - Hypoplastic left ventricle 1-3 3
  • 4.
    CHD… Relative Frequency … Lesions % of all Lesions - Hypoplastic right ventricle 1-3 - Truncus arteriosus 1-2 - Total anomalous PVR 1-2 - Tricuspid atresia 1-2 - Single ventricle 1-2 - Double-outlet right ventricle 1-2 - Others 5-10 4
  • 5.
    CHD … Clues forEvaluation of an Infant with suspected CHD 1. On History and Physical Examination color) • Acyanotic • Cyanotic 2. Chest roentgenogram • Normal • Increased/Plethora pulmonary blood flow • Decreased/Oligemia 5
  • 6.
    CHD … 3.Electrocardiogram - Right - Left hypertrophy - Biventricular Final diagnosis - Precordial examination - Echocardiography 6
  • 7.
    I. Acyanotic CongenitalHeart Diseases 1. Left to Right Shunt Lesions 1.1 Atrial Septal Defect  Defect occur in any portion of the atrium - Ostium secundum (at fossa ovalis) - Ostium primum (ECD) (lower atrial septum) - Sinus venosus (upper atrial septum) Pathophysiology  Left to right shunt - Transatrial in OS & SV - Transatrial & transventricular in OP 7
  • 8.
    Acyanotic CHD… Clinical Manifestations  Most are asymptomatic  Right ventricular lift  Wide & fixed split of 2nd heart sound  Systolic ejection murmur  Mid-diastolic murmur at tricuspid area  Holosystolic murmur at mitral area in OP (ECD) 8
  • 9.
    Acyanotic CHD… Diagnosis  Clinical  CXR - Right. V & A enlargement - Large pulm. artery - ↑ed pulm. vascularity  ECG - volume overload, - right axis deviation - minor right ventricular conduction delay  Echocardiography  Catheterization Prognosis - Well tolerated Complications – - pulm. Hypertension, Eismenger syndrome Treatment  Surgery - For all symptomatic ASD - Asymptomatic patients with shunt ratio > 2:1 9
  • 10.
  • 11.
  • 12.
  • 13.
  • 14.
  • 15.
  • 16.
    Acyanotic CHD… 1.2 VentricularSeptal Defect  The most common cardiac malformation  Defect occur in any portion of the septum - Majority membranous - Muscular – Single or Swiss-cheese defect Pathophysiology  Lt to Rt shunt  Restrictive if defect is small (0.5cm2)  Non-restrictive - large defect (> 1cm2) - Right and left vent. Pressure equalized 16
  • 17.
    Acyanotic CHD… Clinical Manifestation  Small defects with trivial Lt to Rt Shunt - Most common - Asymptomatic - Loud, harsh holosystolic M at LLSB  Large defects - Excessive pulmonary blood flow - Pulmonary hypertension - Dyspnea, feeding difficulties, poor growth, perspiration, recurrent plum. infection, heart failure - Less harsh but more blowing holosystolic murmur - Accentuated 2nd heart sound - Mid-diastolic apical M when shunt ratio > 2:1 17
  • 18.
    Acyanotic CHD… Diagnosis - Clinical - CXR - Cardiomegaly - Plethoric lung - ECG - Echocardiography Prognosis - 30-50% small defects close by 2 yr of age - Rarely moderate to large defects close 18
  • 19.
    Acyanotic CHD… Complications - Infective endocarditis - Recurrent lung infection - Heart failure - Pulmonary HTN - Acquired pulmonary stenosis -- aortic valve regurgitation Treatment - Small defects - reassurance - Prophylaxis against IE - Large defects - medical treatment (control of CHF, promoting normal growth prevent IE, prevent development of p. HTN) - Surgical repair between 6-12m 19
  • 20.
  • 21.
  • 22.
  • 23.
    Acyanotic CHD… 1.3 PatentDuctus Arteriosus  Functional closure soon after birth  Aortic end of the ductus distal to the origin of left subclavian artery and the other end at bifurcation of pulmonary artery.  Male to female ratio 1:2 Pathology – Deficiency of mucoid endothelial layer & muscular media in term infant. 23
  • 24.
    Acyanotic CHD… Pathophysiology Ltto Rt shunt - size - ratio of pulm. to systemic resistance Reversal of shunt Clinical Manifestation Asymptomatic in small ductus Wide pulse pressure Bounding pulse large Continuous or machinery M at 2nd Left ICS 24
  • 25.
    Acyanotic CHD… Diagnosis - Clinical - Chest X-ray - ECG - Echocardiography Prognosis - Small PDA - normal life - Large PDA - CHF Complications - Infective Endocarditis/Endarteritis - CHF - Embolization - Pulmonary HTN Treatment - Medical - Surgical closure 25
  • 26.
  • 27.
  • 28.
    Acyanotic CHD… 2. ObstructiveLesions 2.1 Pulmonic Stenosis - 4 types - Valvular - Infundibular - Supra valvular - Peripheral Pathophysiology - Rt outlet obstruction → Pressure work ↓ Rt vent. hyperthropy 28
  • 29.
    Acyanotic CHD… Clinical Manifestation - Mild to moderate - asymptomatic - Critical stenosis - Systolic ejection murmur - Heart failure in neonates & infants - Rarely cyanosis 29
  • 30.
    Acyanotic CHD… Diagnosis - Clinical - CXR - Rt vent. hypertrophy - reduced pulm. blood flow - ECG - Echocardiography Prognosis - good in mild to moderate Complications - CHF in severe Ps - rarely IE Treatment - vavular PS - ballon valvoplasty - surgery 30
  • 31.
  • 32.
    Acyanotic CHD… 2.2 AorticStenosis - Valvular - the commonest - Supra valvular - Subvalvular (subaortic) 32
  • 33.
    Acyanotic CHD… Clinical Manifestation  Mild stenosis - Normal pulse & apical impulse - Systolic ejection M - Normal to enlarged heart size  Critical stenosis - Left ventricular failure - pulm. edema, cardiomegaly - Weak peripheral pulses - Weak systolic M - Paradoxical split 2nd heart sound 33
  • 34.
    Acyanotic CHD… Diagnosis - Clinical - CXR - ECG - Echocardiography - Graded exercise testing Prognosis is good for mild to moderate Treatment - Balloon valvoplasty - Surgical 34
  • 35.
  • 36.
  • 37.
  • 38.
    Acyanotic CHD… 2.3 Coarctationof the Aorta • Occur at any site from the arch of aorta to iliac bifurcation • 98% juxta ductal Pathogenesis • In utero arch hypoplasia Rt heart output passes through the ductus 38
  • 39.
    Acyanotic CHD… Clinical Manifestation  Hypertension → mechanical obstruction → renal  Differential cyanosis → pink upper extr. → cyanosed lower extr.  Classic signs - Disparity in pulse & BP - Radio-femoral delay - Systolic M at LMSB & inter-scapular area 39
  • 40.
    Acyanotic CHD… Diagnosis - Clinical - CXR - cardiomegaly & pulm. congestion - Notching of ribs - ECG - Echocardiography Prognosis – Untreated cases succumb by 20-40 years Complications - CVA - I/E - Aneurysms Treatment - Medical - IV PGE1 in neonatal age - Surgery 40
  • 41.
  • 42.
  • 43.
  • 44.
  • 45.
    Acyanotic CHD… 3. PulmonaryVascular Disease (Eismenger syndrome) - Occur in shunt lesions VSD - mainly ASD PDA - Reversal of shunt due to pulm. HTN → Cyanosis 45
  • 46.
    Acyanotic CHD… 4. RegurgitantLessons - Pulmonary valvular insufficiency - Congenital mitral valve insufficiency - Mitral valve prolapse 46
  • 47.
    II. Cyanotic CongenitalHeart Disease 1. Cyanotic lesions with decreased pulmonary blood flow 1.1 Tetralogy of Fallot Consists: 1. Rt ventricular outflow obst. 2. Ventricular septal defect 3. Dextroposition of the aorta 4. Right ventricular hypertrophy 47
  • 48.
    Cyanotic CHD… Pathophysiology - Outflow obstruction - Hypertrophy of subpulmonic muslce - Normal or small pulmonary valve annulus - Rarely pulmonary atresia - VSD - Non-restrictive, located just below aortic valve - Aortic arch is right side in 20% - Right ventricular output shunts to the aorta 48
  • 49.
    Cyanotic CHD… Clinical Manifestation - Rarely pink TOF - in the absence of obstruction - Cyanosis - Clubbing - Squatting position in walking children - Paroxysmal hypercyanotic attacks  occur during 1st 2 years - Systolic ejection M - Delayed growth & development - Single 2nd heart sound 49
  • 50.
    Cyanotic CHD… Diagnosis CXR - Narrow base & uplifted apex - A boot or wooden shoe - decreased pulm. vascularity - Right side aortic arch in 20% ECG Echocardiography Complication - Cerebral thrombosis - in < 2 years - Brain abscess - Infective endocarditis - Polycythemia - CHF in pink TOF 50
  • 51.
    Cyanotic CHD… Treatment Severe outflow obstruction - Medical Px - PGE1 infusion - Prevent dehydration - Partial exchange transfusion - Oral propranolol for tet spells - Surgery - Blalock Taussig - Total correction 51
  • 52.
  • 53.
  • 54.
  • 55.
  • 56.
  • 57.
  • 58.
    Cyanotic CHD… 1.2 Pulmonary Atresia - With VSD - Extreme form of TOF - Without VSD - No egress of blood from Rt vent. - Shunt through foramen ovale to Lt atrium Left ventricle systemic circulation Aorta pulmonic circulation - Hypoplastic right ventricle (PDA) 58
  • 59.
    Cyanotic CHD… Clinical Manifestation - Cyanosis at birth - Respiratory distress - Single 2nd heart sound - No murmur Diagnosis - CXR - ECG - Echocardiography Treatment - PGE1 - Surgery 59
  • 60.
  • 61.
    Cyanotic CHD… 1.3 Tricuspidatresia - No outlet from Right atrium to Left vent. - Systemic venous return Rt atrium Lt atrium Left ventricule systemic Pulmonic (VSD, PDA) 61
  • 62.
    Cyanotic CHD… Clinical Manifestation - Cyanosis at birth - Polycythemia - Easily fatiguability - Exertional dyspnea Diagnosis - EXR -Pulm. Under circulation - ECG -Lt axis deviation & Lt vent. hypertrophy - Echocardiography 62
  • 63.
    Cyanotic CHD… Treatment - PGE1 - Surgery - Aortico - pulmonary Shunt - Bidirectional Glenn shunt - Modified Fontan operation 63
  • 64.
  • 65.
    Cyanotic CHD… 1.4 EbsteinAnomaly of the tricuspid valve - Down ward displacement of the tricuspid valve - Right ventricle with two parts - atrialized - normal ventricular myocardium - Abnormal tricuspid valve - Huge Rt atrium - Tricuspid regurgitation - Compromised Rt ventricular function 65
  • 66.
    Cyanotic CHD… Clinical Manifestations - Easly fatiguability - Cyanosis - Dysrhythmia - Rt to Lt shunt through formen ovale - Holosystolic M at tricuspid area - Heart failure Diagnosis - CXR - box shaped heart - ECG - Right BBB - Superior axis deviation Treatment - PGE1 - Surgery 66
  • 67.
  • 68.
  • 69.
  • 70.
    Cyanotic CHD… 2.Cyanotic CHDWith increased pulmonary blood flow 2.1 Transposition of GA a. D -TGA (uncorrected) - Systemic venous return to Rt atrium Normal - Pulmonary venous return to Lt atrium - Aorta arises from Right ventricle - Pulm. artery arises from Lt vent. Pathology 70
  • 71.
    Cyanotic CHD… *Systemic &Pulmonary Circulations Consists of two parallel circuits *Survival is with associated - patent foramen ovale or - VSD or - PDA Clinical Manifestations - Tachypnea & cyanosis at birth - Rarely congestive heart failure 71
  • 72.
  • 73.
  • 74.
    Cyanotic CHD… b. L.TGA (corrected transposition)  Systemic VR to normally positioned Rt atrium  Through bicuspid (Mitral) valve  Right sided left ventricle  Pulmo. artery  pulm. venous return  Normally positioned Lt atrium  Through tricuspid valve  Left sided Right ventricle  Aorta 74
  • 75.
    Cyanotic CHD…  Discordantatrio-ventricular relation (ventricular inversion)  Transposition of great arteries Clinical Manifestation Depends on associated malformation 75
  • 76.
    Cyanotic CHD… Diagnosis - Clinical - CXR - Cardiomegaly - Narrow mediastinum - Increased pulmonary blood flow - ECG - Echocardiography Treatment - PGE1 - emergency - Surgery 76
  • 77.
    Cyanotic CHD… 2.2 Truncusarteriosus - Single arterial trunk for both pulm. & systemic circ. - 4 types depending the origin of pulmonary artery Clinical Manifestation - Cyanosis - CHF at 2-3rd m - Systalic ejection m Treatment - surgery 77
  • 78.
  • 79.
  • 80.
    Cyanotic CHD… 2.3 TotalAnomalous Pulm. Venous return - Pulm. drainage into systemic vein 80
  • 81.
  • 82.
  • 83.
    Cyanotic CHD… 2.4 Single Ventricle - No interventricular septum 83
  • 84.
    Cyanotic CHD… 2.5 Hypoplastic Left Heart Syndrome - Under development of Lt Side of the heart - Atretic aortic or mitral orifice - Non functional Lt ventricle - Hypoplasia of ascending aorta  Right ventricle supplies both pulm. & systemic circulation 84
  • 85.
  • 86.
  • 87.
    Cyanotic CHD… 2.6 Persistentfetal circulation 87
  • 88.
    Cyanotic CHD… 2.6 Dextropositionof the heart 2.7 Dextrocardia 88
  • 89.