Corneal ulcer
DNYANESHWAR B. POTFODE
OPHTHALMIC OFFICER
Corneal anatomy
Corneal layer
• Epithelium
• Bowmens membrane
• Stroma
• Descement memebrane
• Endothelium
Corneal layer
Infective condition of cornea
• 1. Infective keratitis
• (a) Bacterial
• (b) Viral
• (c) Fungal
• (d) Chlamydia
• (e) Protozoa
• (f) Spirochete
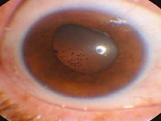
Corneal ulcer
• Corneal ulcer may be defined as
discontinuation in normal epithelial
surface of cornea associated with
necrosis of the surrounding corneal
tissue.
• Pathologically it is characterised by
oedema and cellular infiltration
INFECTIVE KERATITIS
• BACTERIAL CORNEAL ULCER
• the cornea is exposed to atmosphere and
hence prone to get infected easily
• Cornea is protected from the minor infections
by the normal defence mechanisms present in
tears lysozyme, betalysin, and other protective
proteins.
Corneal ulcer
• either the local ocular defence mechanism is
jeopardized.
• there is some local ocular predisposing
disease.
• Host's immunity is compromised.
• The causative organism is very virulent.
Etiology
• Damage to corneal epithelium.
• Infection of the eroded area.
• Neisseria gonorrhoeae,
• Corynebacterium
• diphtheriae
• Neisseria meningitidis.
1. Corneal epithelial damage
• Corneal abrasion due to small foreign body,
misdirected cilia, concretions and trivial trauma in
contact lens wearers or otherwise.
• Epithelial drying as in xerosis and exposure
keratitis.
• Necrosis of epithelium as in keratomalacia.
• Desquamation of epithelial cells as a result of
corneal oedema as in bullous keratopathy.
• Epithelial damage due to trophic changes as in
neuroparalytic keratitis.
corneal abrasion
• A corneal abrasion (scratched cornea or
scratched eye) is one of the most
common eye injuries. A scratched cornea often
causes significant discomfort, red eyes and
hypersensitivity to light. Corneal
abrasions result from a disruption or loss of
cells in the top layer of the cornea, called
the corneal epithelium.
Corneal abrasion
2. Source of infection include
• i. Exogenous infection.
• ii. From the ocular tissue.
• iii. Endogenous infection.
Exogenous infection.
• Most of the times corneal infection arises from
Exogenous source like
• Conjunctival sac,
• Lacrimal sac (dacryocystitis),
• Infected foreign bodies,
• Infected vegetative
• Material
• Water-borne
• Air-borne infections.
Infected foreign bodies
Dacryocystitis
From the ocular tissue.
• Anatomical continuity, diseases of
the conjunctiva readily spread to
corneal epithelium, those of sclera to
stroma, and of the uveal tract to the
endothelium of cornea.
Endogenous infection.
• Avascular nature of the cornea,
endogenous infections are of rare
occurrence.
3. Causative organisms
• Common bacteria associated with corneal ulceration are:
• Staphylococcus aureus,
• Pseudomonas pyocyanea,
• Streptococcus
• Pneumoniae,
• E. coli,
• Proteus,
• Klebsiella,
• N. gonorrhoea,
• N. meningitidis
• C. diphtheriae.
Pathogenesis
• Once the damaged corneal epithelium is invaded by the
offending agents the sequence of pathological changes
which occur during development of corneal ulcer can
be described under four stages-
• infiltration,
• active ulceration,
• regression and
• cicatrization.
• The terminal course of corneal ulcer depends upon the
virulence of infecting agent, host defence mechanism
and the treatment received
Pathogenesis
Clinical picture
• In bacterial infections the outcome depends
upon the virulence of organism, its toxins and
enzymes, and the response of host tissue.
• Broadly bacterial corneal ulcers may manifest
as:
• i. Purulent corneal ulcer without hypopyon; or
• ii. Hypopyon corneal ulcer.
Hypopyon corneal ulcer
Symptoms
1. Pain and foreign body sensation occurs due to
mechanical effects of lids and chemical effects of
toxins on the exposed nerve endings.
2. Watering from the eye occurs due to reflex
hyperlacrimation.
3. Photophobia, i.e., intolerance to light results from
stimulation of nerve endings.
4. Blurred vision results from corneal haze.
5. Redness of eyes occurs due to congestion of
circumcorneal vessels.
Signs
1. Lids are swollen.
2. Marked blepharospasm
3. Conjunctiva is chemosed and shows conjunctival
hyperaemia and ciliary congestion.
4. Corneal ulcer
5. Anterior chamber may or may not show pus
(hypopyon).
6. Iris may be slightly muddy in colour
7. Pupil may be small due to associated toxin induced
iritis.
8. Intraocular pressure may some times be raised
Hypopyon- pus in anterior chamber
Chemosis
Management
• Management of hypopyon corneal ulcer is
same as for other bacterial corneal ulcer.
Special points which need to be considered are
:
• Secondary glaucoma should be anticipated
and treated with 0.5% timolol maleate, B.I.D.
eye drops and oral acetazolamide.
• Source of infection, i.e., chronic dacryocystitis
if detected, should be treated by
dacryocystectomy
Complications of corneal ulcer
• 1. Toxic iridocyclitis.
• 2. Secondary glaucoma.
• 3. Descemetocele.
• 4. Perforation of corneal ulcer
• 5. Corneal scarring.
1. Toxic iridocyclitis.
• It is usually associated with cases of
purulent corneal ulcer due to
absorption of toxins in the anterior
chamber.
2. Secondary glaucoma.
• It occurs due to fibrinous exudates
blocking the angle of anterior
chamber (inflammatory glaucoma).
3. Descemetocele.
• Some ulcers caused by virulent organisms
extend rapidly up to Descemet's
membrane, which gives a great
resistance, but due to the effect of
intraocular pressure it herniates as a
transparent vesicle called the
descemetocele or keratocele.
4. Perforation of corneal ulcer
• Sudden strain due to cough, sneeze or
spasm of orbicularis muscle may convert
impending perforation into actual
perforation
5. Corneal scarring.
• It is the usual end result of healed corneal
ulcer. Corneal scarring leads to permanent
visual impairment ranging from slight blurring
to total blindness.
• Depending upon the clinical course of ulcer,
corneal scar noted may be nebula, macula,
leucoma, ectatic cicatrix or kerectasia,
adherent leucoma or anterior staphyloma.
Management of a case of corneal
ulcer
• [A] Clinical evaluation
• [B] Laboratory investigations
• [C] Treatment
[A] Clinical evaluation
• 1. Thorough history taking to elicit mode of
onset,
• 2. General physical examination
• Nourishment
• Anaemia
• Immunocompromising disease.
• 3. Ocular examination
• i. Diffuse light examination
• ii. Regurgitation test and syringing
• iii. Biomicroscopic examination
[B] Laboratory investigations
• (a) Routine laboratory investigations
• (b) Microbiological investigations.
Routine laboratory investigations
• hemoglobin,
• TLC,
• DLC,
• ESR,
• blood sugar,
• Complete urine and stool examination
Microbiological investigations.
1. Gram and Giemsa stained smears for possible identification
of infecting organisms.
ii. 10 per cent KOH wet preparation for identification of
fungal hyphae.
iii. Calcofluor white (CFW) stain preparation is viewed under
fluorescence microscope for fungal filaments, the walls of
which appear bright apple green.
iv. Culture on blood agar medium for aerobic organisms.
v. Culture on Sabouraud's dextrose agar medium for fungi.
[C] Treatment
• I. Treatment of uncomplicated corneal ulcer
• II. Treatment of non-healing corneal ulcerof
uncomplicated corneal ulcer
• III. Treatment of impending perforation
• IV. Treatment of perforated corneal ulcer
I. Treatment of uncomplicated corneal
ulcer
• 1. Specific treatment for the cause.
• 2. Non-specific supportive therapy.
• 3. Physical and general measures.
1. Specific treatment for the cause.
• Topical antibiotics. Initial therapy should be with
combination therapy to cover both gram-negative
and gram-positive organisms.
• Ciprofloxacin (0.3%) eye drops, or
• Ofloxacin (0.3%) eye drops, or
• Gatifloxacin (0.3%) eye drops.
• Systemic antibiotics are usually not required.
However, a cephalosporine and an
aminoglycoside or oral ciprofloxacin may be given
in perforation and when sclera is involved.
Topical antibiotic
2. Non-specific supportive therapy.
• (a) Cycloplegic drugs 1 percent atropine eye
ointment or drops should be used to reduce pain
from ciliary spasm and to prevent the formation
of posterior synechiae from secondary
iridocyclitis.
• (b) Systemic analgesics and anti-inflammatory
drugs such as paracetamol and ibuprofen relieve
the pain and decrease oedema
• (c) Vitamins (A, B-complex and C) help in early
healing of ulcer.
3. Physical and general measures.
• (a) Hot fomentation. Local application of heat
(preferably dry) gives comfort, reduces pain
and causes vasodilatation.
• (b) Dark goggles may be used to prevent
photophobia.
• (c) Rest, good diet and fresh air may have a
soothing effect.
Hot formentation
II. Treatment of non-healing corneal
ulcerof uncomplicated corneal ulcer
• 1. Removal of any known cause of non-healing
ulcer.
i. Local causes.
Ii. Systemic causes:
• 2. Mechanical debridement of ulcer
• 3. Cauterisation of the ulcer
• 4. Bandage soft contact lens
• 5. Peritomy
Peritomy of conjunctiva
III. Treatment of impending
perforation
• 1. No strain.
• 2. Pressure bandage
• 3. Lowering of intraocular pressure
• 4. Tissue adhesive glue such as cynoacrylate
• 5. Conjunctival flap.
• 6. Bandage soft contact lens
• 7. Penetrating therapeutic keratoplasty
Bandage soft contact lens
Treatment of perforated corneal ulcer
• Best is to prevent perforation. However, if
perforation has occurred, immediate measures
should be taken to restore the integrity of
perforated cornea.
• Depending upon the size of perforation and
availability, measures like use of tissue adhesive
glues, covering with conjunctival flap, use of
bandage soft contact lens or therapeutic
keratoplasty should be undertaken.
• Best is an urgent therapeutic keratoplasty.
keratoplasty
Fungal corneal ulcer
VIRAL CORNEAL ULCERS
• HERPES SIMPLEX KERATITIS
• Ocular infections with herpes simplex virus
(HSV) are extremely common and constitute
herpetic keratoconjunctivitis and iritis.
Herpes zoster ophthalmicus.

Corneal ulcer

  • 1.
    Corneal ulcer DNYANESHWAR B.POTFODE OPHTHALMIC OFFICER
  • 3.
  • 4.
    Corneal layer • Epithelium •Bowmens membrane • Stroma • Descement memebrane • Endothelium
  • 5.
  • 6.
    Infective condition ofcornea • 1. Infective keratitis • (a) Bacterial • (b) Viral • (c) Fungal • (d) Chlamydia • (e) Protozoa • (f) Spirochete
  • 7.
    Corneal ulcer • Cornealulcer may be defined as discontinuation in normal epithelial surface of cornea associated with necrosis of the surrounding corneal tissue. • Pathologically it is characterised by oedema and cellular infiltration
  • 8.
    INFECTIVE KERATITIS • BACTERIALCORNEAL ULCER • the cornea is exposed to atmosphere and hence prone to get infected easily • Cornea is protected from the minor infections by the normal defence mechanisms present in tears lysozyme, betalysin, and other protective proteins.
  • 9.
    Corneal ulcer • eitherthe local ocular defence mechanism is jeopardized. • there is some local ocular predisposing disease. • Host's immunity is compromised. • The causative organism is very virulent.
  • 10.
    Etiology • Damage tocorneal epithelium. • Infection of the eroded area. • Neisseria gonorrhoeae, • Corynebacterium • diphtheriae • Neisseria meningitidis.
  • 11.
    1. Corneal epithelialdamage • Corneal abrasion due to small foreign body, misdirected cilia, concretions and trivial trauma in contact lens wearers or otherwise. • Epithelial drying as in xerosis and exposure keratitis. • Necrosis of epithelium as in keratomalacia. • Desquamation of epithelial cells as a result of corneal oedema as in bullous keratopathy. • Epithelial damage due to trophic changes as in neuroparalytic keratitis.
  • 12.
    corneal abrasion • Acorneal abrasion (scratched cornea or scratched eye) is one of the most common eye injuries. A scratched cornea often causes significant discomfort, red eyes and hypersensitivity to light. Corneal abrasions result from a disruption or loss of cells in the top layer of the cornea, called the corneal epithelium.
  • 13.
  • 14.
    2. Source ofinfection include • i. Exogenous infection. • ii. From the ocular tissue. • iii. Endogenous infection.
  • 15.
    Exogenous infection. • Mostof the times corneal infection arises from Exogenous source like • Conjunctival sac, • Lacrimal sac (dacryocystitis), • Infected foreign bodies, • Infected vegetative • Material • Water-borne • Air-borne infections.
  • 16.
  • 17.
  • 18.
    From the oculartissue. • Anatomical continuity, diseases of the conjunctiva readily spread to corneal epithelium, those of sclera to stroma, and of the uveal tract to the endothelium of cornea.
  • 19.
    Endogenous infection. • Avascularnature of the cornea, endogenous infections are of rare occurrence.
  • 20.
    3. Causative organisms •Common bacteria associated with corneal ulceration are: • Staphylococcus aureus, • Pseudomonas pyocyanea, • Streptococcus • Pneumoniae, • E. coli, • Proteus, • Klebsiella, • N. gonorrhoea, • N. meningitidis • C. diphtheriae.
  • 21.
    Pathogenesis • Once thedamaged corneal epithelium is invaded by the offending agents the sequence of pathological changes which occur during development of corneal ulcer can be described under four stages- • infiltration, • active ulceration, • regression and • cicatrization. • The terminal course of corneal ulcer depends upon the virulence of infecting agent, host defence mechanism and the treatment received
  • 22.
  • 24.
    Clinical picture • Inbacterial infections the outcome depends upon the virulence of organism, its toxins and enzymes, and the response of host tissue. • Broadly bacterial corneal ulcers may manifest as: • i. Purulent corneal ulcer without hypopyon; or • ii. Hypopyon corneal ulcer.
  • 25.
  • 26.
    Symptoms 1. Pain andforeign body sensation occurs due to mechanical effects of lids and chemical effects of toxins on the exposed nerve endings. 2. Watering from the eye occurs due to reflex hyperlacrimation. 3. Photophobia, i.e., intolerance to light results from stimulation of nerve endings. 4. Blurred vision results from corneal haze. 5. Redness of eyes occurs due to congestion of circumcorneal vessels.
  • 27.
    Signs 1. Lids areswollen. 2. Marked blepharospasm 3. Conjunctiva is chemosed and shows conjunctival hyperaemia and ciliary congestion. 4. Corneal ulcer 5. Anterior chamber may or may not show pus (hypopyon). 6. Iris may be slightly muddy in colour 7. Pupil may be small due to associated toxin induced iritis. 8. Intraocular pressure may some times be raised
  • 28.
    Hypopyon- pus inanterior chamber
  • 29.
  • 30.
    Management • Management ofhypopyon corneal ulcer is same as for other bacterial corneal ulcer. Special points which need to be considered are : • Secondary glaucoma should be anticipated and treated with 0.5% timolol maleate, B.I.D. eye drops and oral acetazolamide. • Source of infection, i.e., chronic dacryocystitis if detected, should be treated by dacryocystectomy
  • 31.
    Complications of cornealulcer • 1. Toxic iridocyclitis. • 2. Secondary glaucoma. • 3. Descemetocele. • 4. Perforation of corneal ulcer • 5. Corneal scarring.
  • 32.
    1. Toxic iridocyclitis. •It is usually associated with cases of purulent corneal ulcer due to absorption of toxins in the anterior chamber.
  • 34.
    2. Secondary glaucoma. •It occurs due to fibrinous exudates blocking the angle of anterior chamber (inflammatory glaucoma).
  • 35.
    3. Descemetocele. • Someulcers caused by virulent organisms extend rapidly up to Descemet's membrane, which gives a great resistance, but due to the effect of intraocular pressure it herniates as a transparent vesicle called the descemetocele or keratocele.
  • 36.
    4. Perforation ofcorneal ulcer • Sudden strain due to cough, sneeze or spasm of orbicularis muscle may convert impending perforation into actual perforation
  • 37.
    5. Corneal scarring. •It is the usual end result of healed corneal ulcer. Corneal scarring leads to permanent visual impairment ranging from slight blurring to total blindness. • Depending upon the clinical course of ulcer, corneal scar noted may be nebula, macula, leucoma, ectatic cicatrix or kerectasia, adherent leucoma or anterior staphyloma.
  • 38.
    Management of acase of corneal ulcer • [A] Clinical evaluation • [B] Laboratory investigations • [C] Treatment
  • 39.
    [A] Clinical evaluation •1. Thorough history taking to elicit mode of onset, • 2. General physical examination • Nourishment • Anaemia • Immunocompromising disease. • 3. Ocular examination • i. Diffuse light examination • ii. Regurgitation test and syringing • iii. Biomicroscopic examination
  • 40.
    [B] Laboratory investigations •(a) Routine laboratory investigations • (b) Microbiological investigations.
  • 41.
    Routine laboratory investigations •hemoglobin, • TLC, • DLC, • ESR, • blood sugar, • Complete urine and stool examination
  • 42.
    Microbiological investigations. 1. Gramand Giemsa stained smears for possible identification of infecting organisms. ii. 10 per cent KOH wet preparation for identification of fungal hyphae. iii. Calcofluor white (CFW) stain preparation is viewed under fluorescence microscope for fungal filaments, the walls of which appear bright apple green. iv. Culture on blood agar medium for aerobic organisms. v. Culture on Sabouraud's dextrose agar medium for fungi.
  • 43.
    [C] Treatment • I.Treatment of uncomplicated corneal ulcer • II. Treatment of non-healing corneal ulcerof uncomplicated corneal ulcer • III. Treatment of impending perforation • IV. Treatment of perforated corneal ulcer
  • 44.
    I. Treatment ofuncomplicated corneal ulcer • 1. Specific treatment for the cause. • 2. Non-specific supportive therapy. • 3. Physical and general measures.
  • 45.
    1. Specific treatmentfor the cause. • Topical antibiotics. Initial therapy should be with combination therapy to cover both gram-negative and gram-positive organisms. • Ciprofloxacin (0.3%) eye drops, or • Ofloxacin (0.3%) eye drops, or • Gatifloxacin (0.3%) eye drops. • Systemic antibiotics are usually not required. However, a cephalosporine and an aminoglycoside or oral ciprofloxacin may be given in perforation and when sclera is involved.
  • 46.
  • 47.
    2. Non-specific supportivetherapy. • (a) Cycloplegic drugs 1 percent atropine eye ointment or drops should be used to reduce pain from ciliary spasm and to prevent the formation of posterior synechiae from secondary iridocyclitis. • (b) Systemic analgesics and anti-inflammatory drugs such as paracetamol and ibuprofen relieve the pain and decrease oedema • (c) Vitamins (A, B-complex and C) help in early healing of ulcer.
  • 48.
    3. Physical andgeneral measures. • (a) Hot fomentation. Local application of heat (preferably dry) gives comfort, reduces pain and causes vasodilatation. • (b) Dark goggles may be used to prevent photophobia. • (c) Rest, good diet and fresh air may have a soothing effect.
  • 49.
  • 50.
    II. Treatment ofnon-healing corneal ulcerof uncomplicated corneal ulcer • 1. Removal of any known cause of non-healing ulcer. i. Local causes. Ii. Systemic causes: • 2. Mechanical debridement of ulcer • 3. Cauterisation of the ulcer • 4. Bandage soft contact lens • 5. Peritomy
  • 51.
  • 52.
    III. Treatment ofimpending perforation • 1. No strain. • 2. Pressure bandage • 3. Lowering of intraocular pressure • 4. Tissue adhesive glue such as cynoacrylate • 5. Conjunctival flap. • 6. Bandage soft contact lens • 7. Penetrating therapeutic keratoplasty
  • 53.
  • 54.
    Treatment of perforatedcorneal ulcer • Best is to prevent perforation. However, if perforation has occurred, immediate measures should be taken to restore the integrity of perforated cornea. • Depending upon the size of perforation and availability, measures like use of tissue adhesive glues, covering with conjunctival flap, use of bandage soft contact lens or therapeutic keratoplasty should be undertaken. • Best is an urgent therapeutic keratoplasty.
  • 55.
  • 56.
  • 57.
    VIRAL CORNEAL ULCERS •HERPES SIMPLEX KERATITIS • Ocular infections with herpes simplex virus (HSV) are extremely common and constitute herpetic keratoconjunctivitis and iritis.
  • 59.